The Impact of the COVID-19 Pandemic on Proximal Humerus Fractures: Clinical Implications and Management Strategies
Abstract
1. Introduction
2. Materials and Methods
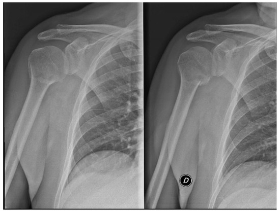
3. Results
4. Discussion
5. Conclusions
Author Contributions
Funding
Institutional Review Board Statement
Informed Consent Statement
Data Availability Statement
Conflicts of Interest
Abbreviations
| PHF | Proximal humerus fracture |
| ORIF | open reduction internal fixation |
| HA | hemiarthroplasty |
| rTSA | reverse total shoulder arthroplasty |
| NST | non-surgical treatment |
| CSS | Constant Shoulder Score |
| OSS | Oxford Shoulder Score |
| DASH | Disabilities of Arm, Shoulder, and Hand Score |
| ICC | intraclass correlation coefficient |
References
- Passaretti, D.; Candela, V.; Sessa, P.; Gumina, S. Epidemiology of proximal humeral fractures: Detailed survey of 711 patients in a metropolitan area. J. Shoulder Elb. Surg. 2017, 26, 2117–2124. [Google Scholar] [CrossRef]
- Tarallo, L.; Micheloni, G.M.; Giorgini, A.; Lombardi, M.; Limone, B.; Catani, F.; Porcellini, G. Anatomically reduced fixation should always be considered when treating B and C proximal epiphyseal humeral fractures. J. Orthop. Traumatol. 2022, 23, 51. [Google Scholar] [CrossRef] [PubMed] [PubMed Central]
- Corbacho, B.; Duarte, A.; Keding, A.; Handoll, H.; Chuang, L.H.; Torgerson, D.; Brealey, S.; Jefferson, L.; Hewitt, C.; Rangan, A. Cost effectiveness of surgical versus non-surgical treatment of adults withdisplaced fractures of the proximal humerus: Economic evaluation alongside the PROFHER trial. Bone Jt. J. 2016, 98-B, 152–159. [Google Scholar] [CrossRef]
- Ellerbrock, M.; Theil, C.; Gosheger, G.; Deventer, N.; Klingebiel, S.; Rickert, C.; Schneider, K.N. Function and return to sports after proximal humeral replacement in patients with primary bone sarcoma. J. Orthop. Traumatol. 2022, 23, 59. [Google Scholar] [CrossRef] [PubMed] [PubMed Central]
- Launonen, A.P.; Fjalestad, T.; Laitinen, M.K.; Lähdeoja, T.; Ekholm, C.; Wagle, T.; Mattila, V.M.; NITEP-group. Nordic Innovative Trials to Evaluate osteoPorotic Fractures (NITEP) Collaboration: The Nordic DeltaCon Trial protocol-non-operative treatment versus reversed total shoulder arthroplasty in patients 65 years of age and older with a displaced proximal humerus fracture: A prospective, randomised controlled trial. BMJ Open 2019, 9, e024916. [Google Scholar] [CrossRef] [PubMed] [PubMed Central]
- Launonen, A.P.; Lepola, V.; Saranko, A.; Flinkkilä, T.; Laitinen, M.; Mattila, V.M. Epidemiology of proximal humerus fractures. Arch. Osteoporos. 2015, 10, 209. [Google Scholar] [CrossRef] [PubMed]
- Warriner, A.H.; Patkar, N.M.; Curtis, J.R.; Delzell, E.; Gary, L.; Kilgore, M.; Saag, K. Which fractures are most attributable to osteoporosis? J. Clin. Epidemiol. 2011, 64, 46–53. [Google Scholar] [CrossRef] [PubMed] [PubMed Central]
- Calvo, E.; Morcillo, D.; Foruria, A.M.; Redondo-Santamaría, E.; Osorio-Picorne, F.; Caeiro, J.R.; in representation of the GEIOS-SECOT Outpatient Osteoporotic Fracture Study Group. Nondisplaced proximal humeral fractures: High incidence among outpatient-treated osteoporotic fractures and severe impact on upper extremity function and patient subjective health perception. J. Shoulder Elb. Surg. 2011, 20, 795–801. [Google Scholar] [CrossRef]
- Maier, D.; Jaeger, M.; Izadpanah, K.; Strohm, P.C.; Suedkamp, N.P. Proximal humeral fracture treatment in adults. J. Bone Jt. Surg. Am. 2014, 96, 251–261. [Google Scholar] [CrossRef] [PubMed]
- Müller, M.E.; Nazarian, S.; Koch, P. Classification AO des fractures. Tome I. Les os Longs; Springer: Berlin, Germany, 1987; pp. 11–20. [Google Scholar]
- Carofino, B.C.; Leopold, S.S. Classifications in brief: The Neer classification for proximal humerus fractures. Clin. Orthop. Relat. Res. 2013, 471, 39–43. [Google Scholar] [CrossRef] [PubMed] [PubMed Central]
- Naranja, R.J., Jr.; Iannotti, J.P. Displaced three- and four-part proximal humerus fractures: Evaluation and management. J. Am. Acad. Orthop. Surg. 2000, 8, 373–382. [Google Scholar] [CrossRef]
- Orman, S.; Mohamadi, A.; Serino, J.; Murphy, J.; Hanna, P.; Weaver, M.J.; Dyer, G.; Nazarian, A.; von Keudell, A. Comparison of surgical and non-surgical treatments for 3- and 4-part proximal humerus fractures: A network meta-analysis. Shoulder Elb. 2020, 12, 99–108. [Google Scholar] [CrossRef] [PubMed] [PubMed Central]
- Du, S.; Ye, J.; Chen, H.; Li, X.; Lin, Q. Interventions for Treating 3- or 4-part proximal humeral fractures in elderly patient: A network meta-analysis of randomized controlled trials. Int. J. Surg. 2017, 48, 240–246. [Google Scholar] [CrossRef] [PubMed]
- Maniscalco, P.; Ciatti, C.; Gattoni, S.; Quattrini, F.; Pagliarello, C.P.; Patane’, A.C.; Capelli, P.; Banchini, F.; Rivera, F.; Sanna, F.; et al. Proximal humerus fractures in COVID-19 lockdown: The experience of three orthopedics and traumatology departments in the first ten weeks of the Italian epidemic. Acta Biomed. 2021, 92, e2021104. [Google Scholar] [CrossRef] [PubMed] [PubMed Central]
- Vrotsou, K.; Ávila, M.; Machón, M.; Mateo-Abad, M.; Pardo, Y.; Garin, O.; Zaror, C.; González, N.; Escobar, A.; Cuéllar, R. Constant-Murley Score: Systematic review and standardized evaluation in different shoulder pathologies. Qual. Life Res. 2018, 27, 2217–2226. [Google Scholar] [CrossRef] [PubMed] [PubMed Central]
- Younis, F.; Sultan, J.; Dix, S.; Hughes, P.J. The range of the Oxford Shoulder Score in the asymptomatic population: A marker for post-operative improvement. Ann. R. Coll. Surg. Engl. 2011, 93, 629–633. [Google Scholar] [CrossRef] [PubMed] [PubMed Central]
- Gummesson, C.; Atroshi, I.; Ekdahl, C. The disabilities of the arm, shoulder and hand (DASH) outcome questionnaire: Longitudinal construct validity and measuring self-rated health change after surgery. BMC Musculoskelet. Disord. 2003, 4, 11. [Google Scholar] [CrossRef] [PubMed] [PubMed Central]
- Sanchez-Sotelo, J. Proximal humerus fractures. Clin. Anat. 2006, 19, 588–598. [Google Scholar] [CrossRef] [PubMed]
- Rangan, A.; Handoll, H.; Brealey, S.; Jefferson, L.; Keding, A.; Martin, B.C.; Goodchild, L.; Chuang, L.H.; Hewitt, C.; Torgerson, D.; et al. Surgical vs nonsurgical treatment of adults with displaced fractures of the proximal humerus: The PROFHER randomized clinical trial. JAMA 2015, 313, 1037–1047. [Google Scholar] [CrossRef] [PubMed]
- Handoll, H.H.; Brorson, S. Interventions for treating proximal humeral fractures in adults. Cochrane Database Syst. Rev. 2022, 6, CD000434. [Google Scholar] [CrossRef] [PubMed]
- Jawa, A.; Yi, P.H.; Boykin, R.E.; Gardner, M.J.; Gerber, C.; Lorich, D.G.; Walch, G.; Warner, J.J. Treatment of proximal humerus fractures: Comparison of shoulder and trauma surgeons. Am. J. Orthop. 2015, 44, 77–81. [Google Scholar] [PubMed]
- Troiano, E.; Peri, G.; Calò, I.; Colasanti, G.B.; Mondanelli, N.; Giannotti, S. A novel “7 sutures and 8 knots” surgical technique in reverse shoulder arthroplasty for proximal humeral fractures: Tuberosity healing improves short-term clinical results. J. Orthop. Traumatol. 2023, 24, 18. [Google Scholar] [CrossRef] [PubMed] [PubMed Central]
- Maniscalco, P.; Quattrini, F.; Ciatti, C.; Gattoni, S.; Pagliarello, C.P.; Burgio, V.; Di Stefano, G.; Cauteruccio, M.; Giovanelli, M.; Magro, A.; et al. The Italian Covid-19 Phase 2 in Piacenza: Results of the first semester of 2020 and future prospective of new orthopedics surgical procedures. Acta Biomed. 2020, 91, e2020159. [Google Scholar] [CrossRef] [PubMed] [PubMed Central]
- Ministero dell’Economia e delle Finanze. Libro Verde Sulla Spesa Sanitaria; Alcuni Esempi Settoriali: Rome, Italy, 2007. Available online: http://www.mef.gov.it/ministero/commissioni/ctfp/documenti/Libro_verde_spesa_pubblica.pdf (accessed on 22 March 2023).
- Mostowfi Zadeh, D.; Abdelghafour, K.; Assiotis, A. Proximal Humerus Fracture/Dislocation: Look for the Greater Tuberosity. Cureus 2023, 15, e33795. [Google Scholar] [CrossRef] [PubMed] [PubMed Central]
- COVIDSurg Collaborative, Machine learning risk prediction of mortality for patients undergoing surgery with perioperative SARS-CoV-2: The COVIDSurg mortality score. Br. J. Surg. 2021, 108, 1274–1292. [CrossRef]



| Man | 4 (57.1%) | |||
| Woman | 3 (42.9%) | |||
| Affected arm | ||||
| Right | 3 (42.9%) | |||
| Left | 4 (57.1%) | |||
| Dominant limb | 4 (57.1%) | |||
| Non dominant limb | 3 (42.9%) | |||
| Fragments | 3 fragments | 3 (42.9%) | ||
| 4 fragments | 4 (57.1%) | |||
| average | Max | Min | ||
| Age at the time of trauma | 79.8 ± 8.77 | 93 | 69 | |
| Pain | 2.42 ± 1.98 | 6 | 0 | |
| yes | no | |||
| complication | 1 (14.3%) | 6 (85.7%) | ||
| Additional surgery | 1 (14.3%) | 6 (85.7%) | ||
| comorbidity | 6 (85.7%) | 1 (14.3%) | ||
| >Three comorbidities | 4 (57.1%) | 3 (42.9%) | ||
| tuberosity union | 6 (85.7%) | 1 (14.3%) |
| CSS | OSS | DASH | Flexion | Abduction | External Rotation | Internal Rotation | |
|---|---|---|---|---|---|---|---|
| 1 | 81 | 44 | 8.3 | 150 | 110 | 25 | T7 |
| 2 | 62 | 32 | 23.7 | 110 | 100 | 35 | Lumbosacral junction |
| 3 | 37 | 12 | 73.3 | 70 | 60 | 15 | Lumbosacral junction |
| 4 | 79 | 42 | 9.2 | 150 | 120 | 45 | T12 |
| 5 | 48 | 16 | 69.2 | 75 | 50 | 15 | Lateral thigh |
| 6 | 44 | 48 | 2.5 | 180 | 180 | 50 | T12 |
| 7 | 87 | 44 | 9.7 | 150 | 150 | 50 | T7 |
| Average | 69.4 ± 22.3 | 34 ± 14.6 | 27.9 ± 30.3 | 126.4 ± 39.1 | 110 ± 42.7 | 33.57 ± 14.3 | - |
| Max. | 96 | 48 | 2.5 | 180 | 180 | 50 | - |
| Min. | 37 | 12 | 73.3 | 70 | 60 | 15 | - |
Disclaimer/Publisher’s Note: The statements, opinions and data contained in all publications are solely those of the individual author(s) and contributor(s) and not of MDPI and/or the editor(s). MDPI and/or the editor(s) disclaim responsibility for any injury to people or property resulting from any ideas, methods, instructions or products referred to in the content. |
© 2025 by the authors. Licensee MDPI, Basel, Switzerland. This article is an open access article distributed under the terms and conditions of the Creative Commons Attribution (CC BY) license (https://creativecommons.org/licenses/by/4.0/).
Share and Cite
Caggiari, G.; Zanzi, A.; Melis, G.; Quattrini, F.; Ciatti, C. The Impact of the COVID-19 Pandemic on Proximal Humerus Fractures: Clinical Implications and Management Strategies. Surg. Tech. Dev. 2025, 14, 30. https://doi.org/10.3390/std14030030
Caggiari G, Zanzi A, Melis G, Quattrini F, Ciatti C. The Impact of the COVID-19 Pandemic on Proximal Humerus Fractures: Clinical Implications and Management Strategies. Surgical Techniques Development. 2025; 14(3):30. https://doi.org/10.3390/std14030030
Chicago/Turabian StyleCaggiari, Gianfilippo, Alessandro Zanzi, Giuseppe Melis, Fabrizio Quattrini, and Corrado Ciatti. 2025. "The Impact of the COVID-19 Pandemic on Proximal Humerus Fractures: Clinical Implications and Management Strategies" Surgical Techniques Development 14, no. 3: 30. https://doi.org/10.3390/std14030030
APA StyleCaggiari, G., Zanzi, A., Melis, G., Quattrini, F., & Ciatti, C. (2025). The Impact of the COVID-19 Pandemic on Proximal Humerus Fractures: Clinical Implications and Management Strategies. Surgical Techniques Development, 14(3), 30. https://doi.org/10.3390/std14030030

