Abstract
Background/Objectives: The craniovertebral junction (CVJ) poses unique challenges in the surgical management of intradural extramedullary (IDEM) tumors due to its complex anatomy and proximity to critical neurovascular structures. This study presents a comprehensive review of a single center’s experience over three years in managing IDEM tumors at the CVJ, emphasizing a novel approach to dural opening aimed at improving surgical access and patient outcomes. Materials and Methods: A retrospective analysis was conducted on patients with confirmed IDEM tumors involving the CVJ who underwent surgical intervention between January 2019 and December 2021 at the “ARNAS Garibaldi” Neurosurgical Department. The surgical technique involved a posterior midline approach with a modified dural opening technique, facilitating lateral dural incisions based on tumor location and size. Clinical, radiological, and surgical data were collected and analyzed, including patient demographics, tumor characteristics, surgical details, complications, and postoperative outcomes. Results: Eight patients (mean age: 53.87 ± 8.9 years) with diverse IDEM tumors (meningiomas, schwannomas, neurofibromas) at various locations, from the foramen magnum to the C2 vertebra, were included. Common symptoms included paresthesia (62.5%) and neck/head pain (62.5%). The modified dural opening technique enabled complete tumor resection in all cases, demonstrating favorable postoperative outcomes with no significant postoperative complications except for one case with CSF leak. Conclusions: This study highlights the complexity of managing IDEM tumors at the CVJ and introduces a novel modified dural opening technique aimed at optimizing surgical access while minimizing spinal cord retraction. Early outcomes suggest improved postoperative neurological status and reduced surgical complications. However, careful patient selection and meticulous technique are crucial. Further studies are warranted to validate the safety and efficacy of this approach, fostering advancements in the surgical management of IDEM tumors at the CVJ.
1. Introduction
The craniovertebral junction (CVJ), comprising the occipital bone, atlas, and axis, is a highly complex anatomical region that acts as a vital transition between the cranium and the vertebral column []. Intradural extramedullary (IDEM) tumors at the CVJ pose a significant challenge for neurosurgeons due to the intricate anatomy and the proximity of critical neurovascular structures [,]. Traditional surgical approaches in this region often involve difficult trade-offs between achieving complete tumor resection and minimizing patient morbidity. The unique characteristics of the CVJ, including its narrow operative corridors and the presence of vital structures like the vertebral arteries and lower cranial nerves, complicate both exposure and manipulation during surgery [,,]. Conventional durotomy techniques, while effective in many areas of the spine, are often inadequate at the CVJ. These standard methods may not provide sufficient access to deeply located or laterally positioned tumors, increasing the risk of incomplete resection or iatrogenic injury. The need for improved techniques is underscored by the complex interplay between maximizing tumor removal and preserving neurological function, particularly given the high stakes involved in surgeries at this critical juncture []. In response to these challenges, we have developed a novel dural opening technique specifically tailored for IDEM tumors at the CVJ. This approach is designed to enhance surgical access while reducing the risk of neurovascular damage, ultimately aiming to improve postoperative recovery and minimize complications. Our technique addresses the limitations of traditional durotomies by optimizing exposure in a region where every millimeter of operative space is critical []. In this paper, we present a comprehensive review of our experience over the past three years, highlighting the utility of this new dural opening method and its potential impact on patient outcomes. By providing a detailed analysis of surgical complications, patient outcomes, and postoperative neurological status, we aim to demonstrate the relevance and distinct advantages of this technique in the management of CVJ IDEM tumors. This contribution is intended to support the ongoing evolution of surgical approaches in this challenging area, offering a promising new avenue for improving patient care [].
2. Materials and Methods
We created a database based on the patients affected by IDEM tumors involving the CVJ. All of them underwent preoperative MRI and CT scans of the CVJ, and surgery was performed between January 2019 and December 2021 in the “ARNAS Garibaldi” Neurosurgical Department. The surgical technique involves a posterior midline approach including a laminectomy and/or minimum suboccipital craniectomy with a modified dural opening. We analyzed patients’ genders and ages, neurological examination results, tumor localization, and the histologic subtypes of the different tumors involved, the percentage of the tumor that was removed, and their postoperative complication rates (Table 1).

Table 1.
Characteristics of patients and data related to intradural extramedullary (IDEM) tumors at the craniovertebral junction (CVJ) undergoing surgical intervention. The table provides detailed information regarding gender, age, neurological examination results, tumor localization, histologic subtype of different involved tumors, percentage of tumor removed, and postoperative complications.
2.1. Study Design
This study was conducted as a retrospective investigation over a three-year period at a single center. Patients with intradural extramedullary tumors of the craniovertebral junction (CVJ) who underwent surgical intervention were included. The study aimed to evaluate the effectiveness of a novel proposed dural opening technique in improving access and tumor removal in CVJ tumors.
2.2. Study Population
The study population was selected among patients presenting with symptoms attributable to intradural extramedullary CVJ tumors and who underwent surgical intervention at our center between January 2019 and December 2021. Inclusion criteria encompassed patients with a confirmed diagnosis of intradural extramedullary CVJ tumors and availability of complete clinical data.
2.3. Surgical Technique
All patients underwent surgical intervention for the removal of intradural extramedullary (IDEM) tumors at the craniovertebral junction (CVJ). The novel dural opening technique implemented in all cases was tailored specifically to the tumor’s size, location, and relationship with surrounding structures as identified on preoperative imaging. Unlike traditional midline dural openings, this approach offers better visualization and access to the tumor with minimal disturbance to the surrounding neural structures. After precise exposure of the dura mater, a midline linear incision was first performed, extending from the caudal to the cranial limits of the tumor (Figure 1). This was followed by two lateral transverse incisions made perpendicular to the midline cut, both on the same side as the lesion. These transverse incisions were planned based on the tumor’s position, typically placed just below and above the tumor margins to provide optimal access. This unique combination of incisions allows for a controlled and targeted opening, ensuring maximal exposure of the tumor while minimizing unnecessary disruption to the dura and adjacent tissue. Once the incisions are completed, the dura is carefully peeled back in a manner akin to opening a book. This “book-like” opening is deliberate, as it provides wide exposure and clear visualization of the underlying tumor without needing to extend the incisions more than necessary. The lateral folding of the dura creates a natural opening that reduces tension and prevents dural retraction into the wound, a common issue in more traditional midline incisions. This technique ensures that the dura remains stable throughout the procedure, offering better protection to the spinal cord and brainstem during tumor resection.

Figure 1.
Illustration of the proposed novel dural opening technique performed on all study patients. The modified dural incision is tailored according to the tumor’s preoperative imaging-based location and size. The figure depicts the sequential steps involved: a midline linear incision and two lateral transverse incisions on the same side of the lesion, followed by folding of the dural layer in a way resembling a book.
For the closure, a continuous crossed suture technique was employed using 4-0 or 5-0 Prolene (polypropylene) sutures. This method involves passing the suture in a continuous pattern, crossing over itself with each pass to provide even tension distribution along the entire dural edge. The crossing of the sutures ensures a watertight closure, crucial in preventing cerebrospinal fluid (CSF) leaks in the craniovertebral region, where increased pressure dynamics and proximity to vital structures demand high closure integrity. Prolene, being a non-absorbable monofilament, offers both strength and durability, significantly reducing the risk of suture failure or long-term tissue reactions. In cases where the dura was found to be fragile or when the edges were under excessive tension, a dural patch (such as DuraGen or a synthetic graft) was used to reinforce the closure. The graft was applied over the suture line, acting as an additional barrier to prevent CSF leakage while distributing the mechanical forces evenly across the repair. This additional layer of protection is especially important in the CVJ, where anatomical constraints and the presence of critical neural structures increase the complexity of the repair.
This modified extended dural opening offers a significant advantage over the traditional midline incision, especially for IDEM tumors at the CVJ. It allows for greater surgical access with minimal disruption to the surrounding dura and neural structures, ensuring both complete tumor resection and a secure dural closure. The careful planning and execution of this technique reduce the risks associated with excessive dural retraction and CSF leaks, making it a promising alternative to more conventional approaches.
2.4. Outcome Assessment
Pre- and postoperative clinical data were collected and analyzed. Results were assessed based on objective criteria, including pre- and postoperative imaging, clinical follow-up, and neuropathological examination of tumor tissue samples.
2.5. Statistical Analysis
Data were analyzed using appropriate statistical methods. Continuous variables were summarized as mean ± standard deviation or median (interquartile range), depending on their distribution.
3. Results
The clinical group included eight patients diagnosed with intradural extramedullary (IDEM) tumors of the craniovertebral junction (CVJ), comprising two males and six females, with a mean age of 53.87 ± 8.9 years. The diagnoses were distributed as follows: meningiomas (3/8, 37.5%), schwannomas (4/8, 50%), and neurofibroma (1/8, 12.5%). Tumor locations varied from the foramen magnum to the C2 vertebra (Table 1). The most common symptoms included paresthesia (5/8, 62.5%) and head or neck pain (5/8, 62.5%). Gait disturbances were observed in three patients (37.5%), and motor weakness in another three patients (37.5%).
All patients underwent surgical resection using a posterior midline approach with a tailored dural opening technique, allowing for complete tumor removal regardless of the tumor’s location or histological type. A critical aspect of all surgeries was the use of intraoperative neurophysiological monitoring (IONM), which included somatosensory evoked potentials (SSEPs) and motor evoked potentials (MEPs). This monitoring played a key role in safeguarding neurological function during tumor removal, as it provided real-time feedback on the integrity of sensory and motor pathways, helping to minimize the risk of intraoperative neural injury. IONM was consistently applied throughout each procedure to ensure maximum safety, especially given the critical anatomical region of the CVJ and its proximity to vital neural structures. No postoperative complications were noted at the two-year follow-up, except for a single patient who experienced a cerebrospinal fluid (CSF) leak, which was successfully managed with lumbar spinal drainage.
In this case, the dural closure was performed using a continuous crossed suture technique with 4-0 Prolene (polypropylene). This technique involves placing the suture in a continuous pattern, crossing over itself at each pass to ensure even distribution of tension along the dural edges. This continuous crossed suture is particularly useful for providing a watertight closure. Dural fragility and patient comorbidities, such as diabetes, can play a major role in the development of a CSF leak by affecting tissue healing and the strength of the dural repair. Diabetes is known to impair wound healing due to factors like reduced blood supply, decreased collagen production, and altered immune function, all of which can compromise the integrity of the dural closure. Additionally, conditions such as hypertension and chronic inflammation can make the dura more fragile and prone to tearing during surgery. In such cases, even a well-executed closure with continuous crossed sutures may not be sufficient to prevent leakage if the dura is too friable or unable to heal properly. These factors likely contributed to the CSF leak observed in this patient, despite the use of a reinforced closure technique.
Case Illustration
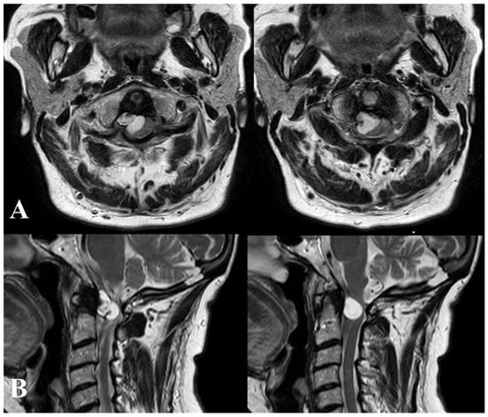
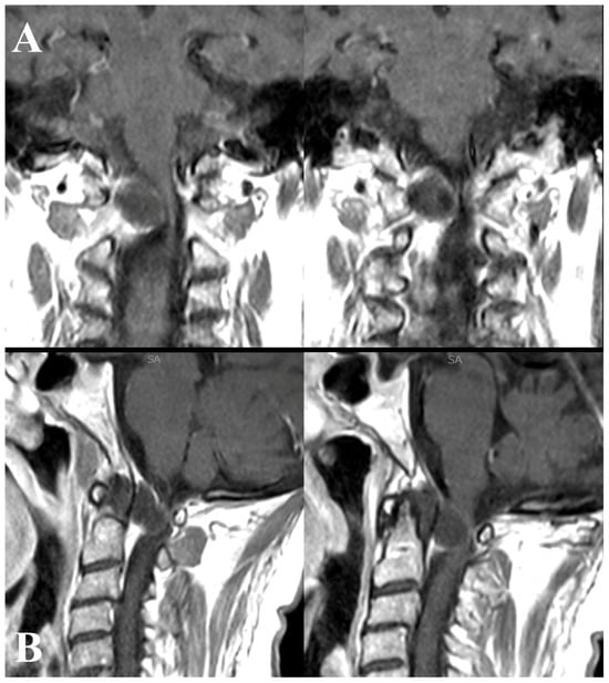
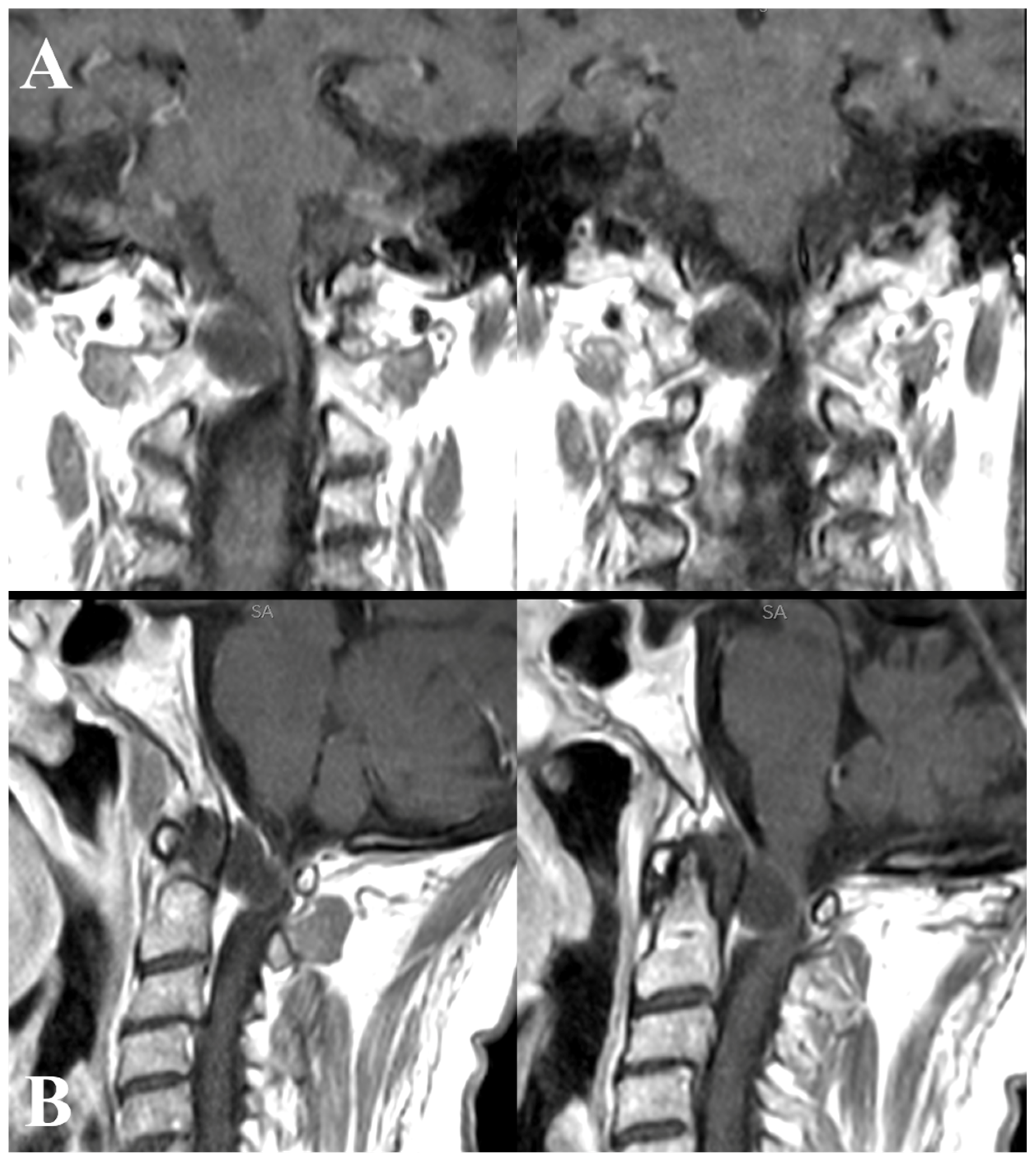
A 56-year-old woman was admitted to our institution due to a sudden onset of right hemiparesis following three days of neck pain. Upon examination, she exhibited hemi-hyposthenia (BMRC 3/5), inability to stand or walk, heightened deep tendon reflexes bilaterally (particularly on the right side), and bladder dysfunction. Additionally, she displayed nuchal rigidity and positive Kernig and Brudzinski signs. Initial hematological and coagulation tests yielded unremarkable results, and the patient had no history of vertebral trauma. Considering the abrupt symptom onset, suspicions arose regarding either a malignancy or hemorrhage from a vascular malformation. Given the concurrent presence of meningeal signs, emergency computed tomographic (CT) scanning from the brain down to the craniovertebral junction (CVJ) was conducted. The CT scan revealed an iso-hyperdense lesion at the CVJ. Subsequent T1- and T2-weighted magnetic resonance imaging (MRI) identified a large anterior, right lateral tumor measuring approximately 1.3 × 1.6 cm at the C1–C2 level. The tumor appeared hyperintense in T2WI and hypointense in T1WI, exhibiting ring enhancement after gadolinium administration (Figure 2 and Figure 3).

Figure 2.
T2-weighted magnetic resonance imaging (MRI) axial (A) and sagittal (B) images revealing a large anterior, right lateral tumor measuring approximately 1.3 × 1.6 cm at the C1–C2 level. The tumor displays hyperintensity in T2-weighted imaging (T2WI).

Figure 3.
T1-weighted magnetic resonance imaging (MRI) coronal (A) and sagittal (B) sequences with gadolinium administration showing the same tumor at the C1–C2 level. The tumor exhibits hypointensity in T1-weighted imaging (T1WI) and displays ring enhancement after gadolinium administration.
To address this condition, the patient underwent surgery via a posterior approach in the prone position with her head secured in a Mayfield clamp. The procedure involved a linear midline incision extending from the inion to C3, avascular muscular detachment, partial suboccipital craniectomy, and posterior drilling of C1–C2. The dura was opened using a modified technique, consisting of a linear midline incision and two lateral transverse incisions on the same side as the lesion (Figure 4).

Figure 4.
Intraoperative depiction illustrating the dural opening using a modified technique. The procedure involves a linear midline incision, and two lateral transverse incisions performed on the same side as the lesion.
This approach facilitated a safe surgical route despite the tumor’s size, which was causing gradual spinal cord displacement (Figure 5).

Figure 5.
Illustration demonstrating the presence of the intradural extramedullary tumor causing gradual displacement of the spinal cord. Despite the tumor’s size, the surgical approach facilitated a safe route for intervention. Histological examination documented a schwannoma showing degenerative changes and diffuse hypocellular ischemic areas (ancient schwannoma).
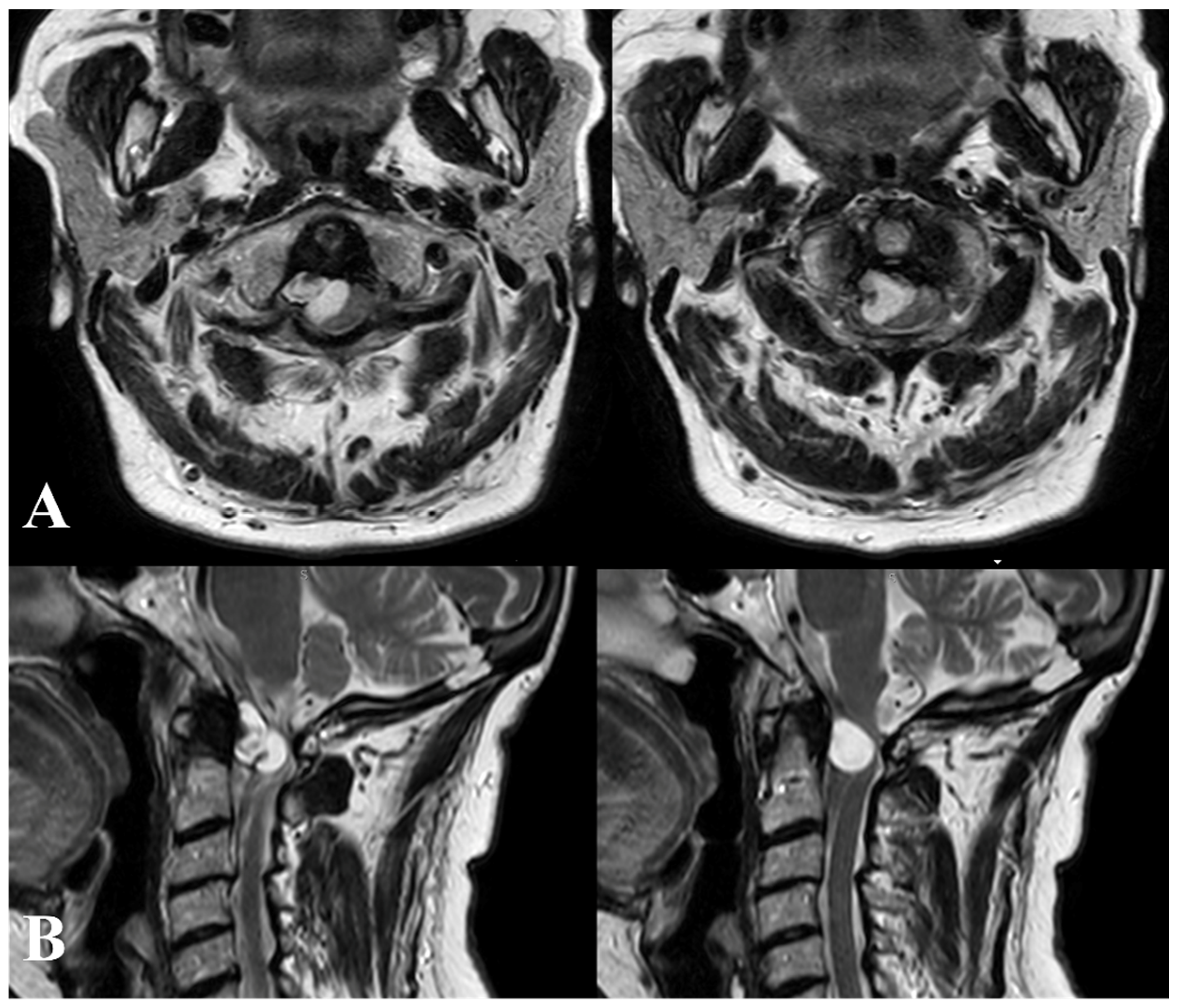
The surgery concluded without complications or neurological deficits. Postoperatively, the patient underwent an MRI that indicated the absence of residual lesions (Figure 6).

Figure 6.
Sagittal MRI sequences showing the postoperative outcome. Image (A) represents T2-weighted MRI demonstrating the absence of residual lesions after the surgical procedure. Image (B) showcases T1-weighted MRI confirming complete resection of the lesion.
At the six-month and two-year follow-ups, there was a remarkable improvement of right hemiparesis, and the patient was able to walk without assistance.
4. Discussion
Our study offers a detailed account of our single-center experience managing intradural extramedullary (IDEM) tumors at the craniovertebral junction (CVJ) over a three-year period. It introduces a novel modified dural opening technique that we believe represents a significant advancement in surgical management for these complex lesions.
The CVJ is a region of surgical complexity due to its intricate anatomy and the proximity of critical neurovascular structures [,]. The diversity of IDEM tumors observed in our study—ranging from meningiomas to neurinomas and metastatic lesions—reflects the variability in presentation and challenges associated with these lesions. This variability is consistent with previous literature, which highlights the diverse nature of IDEM tumors and the need for individualized surgical strategies [,].
Despite numerous publications over the past two decades, there remains little consensus or strong evidence on the optimal approach to address anterior and anterolateral lesions at the CVJ. While it may seem intuitive that a more lateral trajectory would move the brainstem out of the surgical field, these lateral approaches often carry additional risks. In contrast, we believe that most of these lesions do not require extensive and more invasive lateral skull base approaches. Our posterior approach, combined with the modified dural opening technique, can provide sufficient exposure of these lesions while avoiding the need for more destructive lateral approaches, thereby reducing associated risks and morbidity.
Various techniques have been described for dural opening, depending on the specific pathology and surgical goals. One common approach is the standard midline incision, where the dura is incised along the posterior median line, allowing access to the underlying neural structures. Another technique is the Y-shaped incision, which provides greater exposure by creating two diverging flaps, enhancing visualization of the surgical field. A modified Y-shaped incision, particularly useful in foramen magnum decompression procedures, can be employed to spare the occipital sinus, as disturbing its flow could lead to serious neurological sequelae []. A more specialized method for removing dumbbell-shaped spinal tumors involves using separate dural incisions to avoid postoperative CSF leakage []. The dura mater is first opened along the dural theca for adequate visualization of the intradural portion of the tumor, followed by a second incision along the nerve root to address the extradural component. In cases requiring minimal dural opening, a keyhole incision can be used to limit exposure and minimize complications []. Each technique is selected based on the need for decompression, visualization, and minimizing the risk of CSF leakage or dural damage.
The modified dural opening technique we propose aims to address some of the inherent challenges of CVJ surgery. By providing more direct access to lateral and anterolateral IDEM tumors, this approach minimizes the need for extensive spinal cord retraction. This could potentially lower the risk of iatrogenic spinal cord injury, a significant concern in traditional approaches. Previous studies have documented the risks associated with spinal cord retraction, including neurological deficits and prolonged recovery [,,,,,]. Our early results suggest that this novel technique may reduce these risks, as indicated by improved postoperative neurological outcomes and fewer surgical complications compared to traditional dural opening methods [,].
However, the new technique is not without its limitations. The modified dural opening may offer suboptimal exposure for midline tumors or those with a substantial midline component. Previous research has shown that midline tumors can present significant challenges due to their proximity to critical structures [,]. Additionally, there is a risk of cerebrospinal fluid leakage if the dural opening is not meticulously closed, a complication documented in the literature as a concern in various surgical techniques [,]. Thus, careful patient selection and precise surgical technique are crucial for minimizing these risks [,].
Our findings are consistent with earlier studies that emphasize the importance of tailored surgical approaches for IDEM tumors at the CVJ. For instance, a study by Jung et al. highlighted the need for individualized planning and surgical techniques to improve outcomes in similar complex cases [].
In the clinical study by Kshettry et al. [], postoperative complications were observed following median dural opening for IDEM at the CVJ. Neurological complications were noted in 30% of patients, with mild dysphagia in two and dysarthria in one, all of which resolved during early follow-up. Additionally, cerebrospinal fluid (CSF) leaks occurred in 10% of cases, requiring reoperation and duraplasty. Medical complications included deep vein thrombosis in 20% of patients, with one also developing a pulmonary embolus. Despite these complications, the study reported no worsening of symptoms or neurological exams during follow-up, and all patients achieved good functional outcomes. These findings highlight both the effectiveness and potential risks of the median dural opening technique and emphasize the importance of meticulous closure to minimize complications like CSF leakage.
Furthermore, a review by Tessitore et al. underscored the benefits of innovative surgical approaches in reducing complication rates and enhancing tumor resection []. Our results align with these findings, supporting the potential of the modified dural opening technique to advance current practices.
Despite the promising results, further research is necessary to validate the safety and efficacy of the proposed technique. Multi-center trials with larger sample sizes and longer follow-up periods will be essential for assessing the long-term outcomes and comparing this technique with other surgical methods. Additionally, exploring adjuvant treatments and incorporating intraoperative neurophysiological monitoring could further optimize patient care and outcomes [,].
Limitations
While our study provides valuable insights into the management of IDEM tumors at the CVJ and introduces a novel modified dural opening technique, several limitations must be acknowledged. First, our study is a single-center retrospective analysis, which may limit the generalizability of our findings. The relatively small sample size and lack of randomization could introduce selection bias and affect the robustness of our results. The modified dural opening technique, while promising, is primarily designed to facilitate resection of laterally positioned tumors. We recognize that its application in cases involving midline anterior tumors may be limited, as it may not provide optimal exposure for such tumors, potentially impacting its effectiveness in those cases. Additionally, the risks associated with extending the durotomy laterally must be considered, including potential damage to lateral structures and an increased risk of CSF leakage, which could negatively impact postoperative outcomes. Meticulous closure of the dural opening is essential to minimize these risks. The short follow-up period of our study also means that long-term outcomes and potential late-onset complications have not been fully assessed. Future research, including multi-center trials with larger sample sizes and extended follow-up, will be essential to validate the safety and efficacy of this technique and to compare it with other surgical approaches. Addressing these limitations will be crucial for refining our approach and optimizing patient care in managing IDEM tumors at the CVJ.
5. Conclusions
Our three-year study on intradural extramedullary tumors at the CVJ has led us to propose a new dural opening technique. Despite their rarity, these tumors can cause significant neurological issues, highlighting the need for effective surgical strategies.
We have developed a curved incision approach that enhances tumor exposure and reduces complications compared to traditional methods. A multidisciplinary team and thorough preoperative imaging are essential for successful outcomes. Further research is needed to validate our technique, compare it with other methods, and explore additional treatments. Our findings contribute to a deeper understanding of these tumors and offer a foundation for future advancements in their management.
Author Contributions
Conceptualization, G.S., G.F.N., G.E.U. and F.P.; methodology, G.S., G.F.N., F.G., F.P. and M.P.S.; software, M.P.S. and G.S.; validation, G.S., G.E.U., G.F., R.M., D.G.I. and B.C.; formal analysis, G.S.; investigation, G.S., F.P., R.C. and F.P.; resources, G.S. and F.P.; data curation, F.P. and G.S.; writing—original draft preparation, G.S.; writing—review and editing, G.S.; visualization, G.S., G.E.U. and G.F.N.; supervision, B.C., R.M., G.F. and M.F.; project administration, G.F.N. All authors have read and agreed to the published version of the manuscript.
Funding
This research received no external funding.
Institutional Review Board Statement
Not applicable.
Informed Consent Statement
Informed consent was obtained from all subjects involved in the study. Written informed consent has been obtained from the patients to publish this paper.
Data Availability Statement
Not applicable.
Acknowledgments
We extend our gratitude to Francesco Parisi for creating the illustrated drawings for the manuscript.
Conflicts of Interest
The authors declare no conflicts of interest.
References
- Giammalva, G.R.; Iacopino, D.G.; Graziano, F.; Giugno, A.; Gulì, C.; Basile, L.; Visocchi, M.; Maugeri, R. Surgical Highways to the Craniovertebral Junction: Is It Time for a Reappraisal? Acta Neurochir. Suppl. 2019, 125, 17–23. [Google Scholar] [CrossRef] [PubMed]
- Cofano, F.; Giambra, C.; Costa, P.; Zeppa, P.; Bianconi, A.; Mammi, M.; Monticelli, M.; Di Perna, G.; Junemann, C.V.; Melcarne, A.; et al. Management of Extramedullary Intradural Spinal Tumors: The Impact of Clinical Status, Intraoperative Neurophysiological Monitoring and Surgical Approach on Outcomes in a 12-Year Double-Center Experience. Front Neurol. 2020, 11, 598619. [Google Scholar] [CrossRef] [PubMed]
- Palmisciano, P.; Ferini, G.; Watanabe, G.; Conching, A.; Ogasawara, C.; Scalia, G.; Bin-Alamer, O.; Haider, A.S.; Passanisi, M.; Maugeri, R.; et al. Surgical Management of Craniovertebral Junction Schwannomas: A Systematic Review. Curr. Oncol. 2022, 29, 4842–4855. [Google Scholar] [CrossRef] [PubMed]
- Cardali, S.M.; Ricciardo, G.; Garufi, G.; Raffa, G.; Messineo, F.; Scalia, G.; Conti, A.; Germanò, A. Fluorescein-guided surgery for intradural spinal tumors: A single-center experience. Brain Spine 2022, 2, 100908. [Google Scholar] [CrossRef] [PubMed]
- Eicker, S.O.; Mende, K.C.; Dührsen, L.; Schmidt, N.O. Minimally invasive approach for small ventrally located intradural lesions of the craniovertebral junction. Neurosurg. Focus. 2015, 38, E10. [Google Scholar] [CrossRef]
- Parihar, V.S.; Yadav, N.; Yadav, Y.R.; Ratre, S.; Bajaj, J.; Kher, Y. Endoscopic Management of Spinal Intradural Extramedullary Tumors. J. Neurol. Surg. A Cent. Eur. Neurosurg. 2017, 78, 219–226. [Google Scholar] [CrossRef]
- Umana, G.E.; Passanisi, M.; Chaurasia, B.; Scalia, G. Incidental craniovertebral junction schwannoma: Surgical or radiosurgical management? Clin. Case Rep. 2023, 11, e7616. [Google Scholar] [CrossRef]
- Visocchi, M.; Germanò, A.; Umana, G.; Richiello, A.; Raudino, G.; Eldella, A.M.; Iacopino, G.; Barbagallo, G. Direct and Oblique Approaches to the Craniovertebral Junction: Nuances of Microsurgical and Endoscope-Assisted Techniques Along with a Review of the Literature. Acta Neurochir. Suppl. 2017, 124, 107–116. [Google Scholar] [CrossRef]
- Ciappetta, P.; D’Urso, P.I.; Colamaria, A. Giant craniovertebral junction hemorrhagic schwannoma: Case report. Neurosurgery 2008, 62, E1166; discussion E1166. [Google Scholar] [CrossRef]
- Refai, D.; Shin, J.H.; Iannotti, C.; Benzel, E.C. Dorsal approaches to intradural extramedullary tumors of the craniovertebral junction. J. Craniovertebr. Junction Spine 2010, 1, 49–54. [Google Scholar] [CrossRef]
- Moses, Z.B.; Barzilai, O.; O’Toole, J.E. Benign Intradural and Paraspinal Nerve Sheath Tumors: Advanced Surgical Techniques. Neurosurg. Clin. N. Am. 2020, 31, 221–229. [Google Scholar] [CrossRef]
- Ito, K.; Aoyama, T.; Nakamura, T.; Hanaoka, Y.; Horiuchi, T.; Hongo, K. Novel dural incision and closure procedure for preventing postoperative cerebrospinal fluid leakage during the surgical removal of dumbbell-shaped spinal tumors: Technical note. J. Neurosurg. Spine. 2016, 25, 620–625. [Google Scholar] [CrossRef] [PubMed]
- Hayashi, Y.; Fukui, I.; Sasagawa, Y.; Misaki, K.; Oishi, M.; Nakada, M. Effectiveness of modified dural incision to preserve the patency of the occipital sinus in foramen magnum decompression for a patient with Chiari malformation type I. Surg. Neurol. Int. 2018, 9, 153. [Google Scholar] [CrossRef] [PubMed] [PubMed Central]
- Volz, F.; Doria-Medina, R.; Fung, C.; Wolf, K.; El Rahal, A.; Lützen, N.; Urbach, H.; Loidl, T.B.; Hubbe, U.; Klingler, J.H.; et al. Keyhole fenestration for cerebrospinal fluid leaks in the thoracic spine: Quantification of bone removal and microsurgical anatomy. Oper Neurosurg 2024, 27, 1–9. [Google Scholar] [CrossRef]
- Bhimani, A.D.; Denyer, S.; Esfahani, D.R.; Zakrzewski, J.; Aguilar, T.M.; Mehta, A.I. Surgical Complications in Intradural Extramedullary Spinal Cord Tumors—An ACS-NSQIP Analysis of Spinal Cord Level and Malignancy. World Neurosurg. 2018, 117, e290–e299. [Google Scholar] [CrossRef] [PubMed]
- Nicoletti, G.F.; Umana, G.E.; Graziano, F.; Florio, A.; Scalia, G. Repair of a spinal pseudomeningocele in a delayed postsurgical cerebrospinal fluid leak using titanium U-clips: Technical note. Interdiscip. Neurosurg. 2020, 21, 100742. [Google Scholar] [CrossRef]
- Scalia, G.; Marrone, S.; Costanzo, R.; Umana, G.E.; Riolo, C.; Graziano, F.; Ponzo, G.; Giuffrida, M.; Furnari, M.; Florio, A.; et al. Dural splitting reconstruction in retethering after lipomeningocele repair: Technical note. Surg. Neurol. Int. 2021, 12, 422. [Google Scholar] [CrossRef] [PubMed]
- Saway, B.F.; Fayed, I.; Dowlati, E.; Derakhshandeh, R.; Sandhu, F.A. Initial Report of an Intradural Extramedullary Metastasis of a Pancreatic Neuroendocrine Tumor to the Cervical Spine: A Case Report and Review of the Literature. World Neurosurg. 2020, 139, 355–360. [Google Scholar] [CrossRef]
- Ponzo, G.; Umana, G.E.; Giuffrida, M.; Furnari, M.; Nicoletti, G.F.; Scalia, G. Intramedullary craniovertebral junction metastasis leading to the diagnosis of underlying renal cell carcinoma. Surg. Neurol. Int. 2020, 11, 152. [Google Scholar] [CrossRef]
- Samochernykh, N.; Sysoev, K.; Kim, A.; Samochernykh, K.; Ulitin, A. C2 spinal nerve tumors in young adults: Report of two cases and review of the literature. Childs Nerv. Syst. 2021, 37, 691–694. [Google Scholar] [CrossRef]
- Suematsu, Y.; Tsuji, O.; Nagoshi, N.; Nori, S.; Suzuki, S.; Okada, E.; Yagi, M.; Kameyama, K.; Fujita, N.; Watanabe, K.; et al. Concurrent dorsal subpial schwannoma and ventral meningioma arising at the same upper cervical level: A case report. Spinal Cord. Ser. Cases. 2020, 6, 64. [Google Scholar] [CrossRef]
- Jung, S.H.; Jung, S.; Moon, K.S.; Park, H.W.; Kang, S.S. Tailored surgical approaches for benign craniovertebral junction tumors. J. Korean Neurosurg. Soc. 2010, 48, 139–144. [Google Scholar] [CrossRef] [PubMed]
- Kshettry, V.R.; Chotai, S.; Hou, J.; Lamki, T.; Ammirati, M. Successful resection of anterior and anterolateral lesions at the craniovertebral junction using a simple posterolateral approach. J. Clin. Neurosci. 2014, 21, 616–622. [Google Scholar] [CrossRef] [PubMed]
- Tessitore, E.; Mastantuoni, C.; Cabrilo, I.; Schonauer, C. Novelties for increased safety in cranio-vertebral surgery: A review. Acta Neurochir. 2023, 165, 3027–3038. [Google Scholar] [CrossRef] [PubMed]
- Stefini, R.; Peron, S.; Mandelli, J.; Bianchini, E.; Roccucci, P. Intraoperative Spinal Navigation for the Removal of Intradural Tumors: Technical Notes. Oper. Neurosurg. 2018, 15, 54–59. [Google Scholar] [CrossRef]
- Weber, C.; Gulati, S.; Jakola, A.S.; Habiba, S.; Nygaard, Ø.P.; Johannesen, T.B.; Solheim, O. Incidence rates and surgery of primary intraspinal tumors in the era of modern neuroimaging: A national population-based study. Spine 2014, 39, E967–E973. [Google Scholar] [CrossRef]
Disclaimer/Publisher’s Note: The statements, opinions and data contained in all publications are solely those of the individual author(s) and contributor(s) and not of MDPI and/or the editor(s). MDPI and/or the editor(s) disclaim responsibility for any injury to people or property resulting from any ideas, methods, instructions or products referred to in the content. |
© 2024 by the authors. Licensee MDPI, Basel, Switzerland. This article is an open access article distributed under the terms and conditions of the Creative Commons Attribution (CC BY) license (https://creativecommons.org/licenses/by/4.0/).