The Outcomes of Three Surgical Approaches for Acromioclavicular Dislocation Treatment: Findings from Vietnam
Abstract
1. Introduction
2. Materials and Methods
2.1. Participants and Selection Criteria
2.2. Study Design
2.3. Data Collection
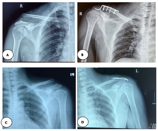
Surgical Techniques and Postoperative Care
2.4. Statistical Analysis
2.5. Ethical Consideration
3. Results
3.1. Patients’ Characteristics
3.2. Outcomes of Three Surgical Methods
4. Discussion
5. Conclusions
Author Contributions
Funding
Institutional Review Board Statement
Informed Consent Statement
Data Availability Statement
Acknowledgments
Conflicts of Interest
References
- Sirin, E.; Aydin, N.; Mert Topkar, O. Acromioclavicular joint injuries: Diagnosis, classification and ligamentoplasty procedures. EFORT Open Rev. 2018, 3, 426–433. [Google Scholar] [CrossRef] [PubMed]
- Ruiz Ibán, M.A.; Sarasquete, J.; Gil de Rozas, M.; Costa, P.; Tovío, J.D.; Carpinteiro, E.; Hachem, A.I.; Perez España, M.; Asenjo Gismero, C.; Diaz Heredia, J.; et al. Low prevalence of relevant associated articular lesions in patients with acute III–VI acromioclavicular joint injuries. Knee Surg. Sport. Traumatol. Arthrosc. 2019, 27, 3741–3746. [Google Scholar] [CrossRef] [PubMed]
- Pallis, M.; Cameron, K.L.; Svoboda, S.J.; Owens, B.D. Epidemiology of acromioclavicular joint injury in young athletes. Am. J. Sports Med. 2012, 40, 2072–2077. [Google Scholar] [CrossRef] [PubMed]
- Dragoo, J.L.; Braun, H.J.; Bartlinski, S.E.; Harris, A.H. Acromioclavicular joint injuries in National Collegiate Athletic Association football: Data from the 2004–2005 through 2008–2009 National Collegiate Athletic Association Injury Surveillance System. Am. J. Sports Med. 2012, 40, 2066–2071. [Google Scholar] [CrossRef] [PubMed]
- Chillemi, C.; Franceschini, V.; Dei Giudici, L.; Alibardi, A.; Salate Santone, F.; Ramos Alday, L.J.; Osimani, M. Epidemiology of isolated acromioclavicular joint dislocation. Emerg. Med. Int. 2013, 2013, 171609. [Google Scholar] [CrossRef] [PubMed]
- Kiel, J.; Kaiser, K. Acromioclavicular Joint Injury; StatPearls: Treasure Island, FL, USA, 2022. [Google Scholar]
- Available online: http://hocvienquany.edu.vn/Tapchi_YDHQS/Portal/TrangChu.html (accessed on 27 January 2022).
- Rockwood, C.A., Jr.; Green, D.P.; Bucholz, R.W. Fractures in Adults, 6th ed.; Bucholz, R.W., Heckman, J.D., Court-Brown, C.M., Koval, K.J., Tornetta, P., III, Wirth, M.A., Eds.; Lippincott Williams & Wilkins: Philadelphia, PA, USA, 1936. [Google Scholar]
- XV, T. Study on the Results of Treatment of Acromioclavicular Joint Dislocation by Reconstructing the Clavicle Ligament. Doctoral Dissertation, University of Medicine and Pharmacy at Ho Chi Minh city, Ho Chi Minh City, Vietnam, 2020. [Google Scholar]
- Ladermann, A.; Denard, P.J.; Collin, P.; Cau, J.B.C.; Van Rooij, F.; Piotton, S. Early and delayed acromioclavicular joint reconstruction provide equivalent outcomes. J. Shoulder Elb. Surg. 2021, 30, 635–640. [Google Scholar] [CrossRef]
- Fraser-Moodie, J.A.; Shortt, N.L.; Robinson, C.M. Injuries to the acromioclavicular joint. J. Bone Joint Surg. Br. 2008, 90, 697–707. [Google Scholar] [CrossRef] [PubMed]
- Kienast, B.; Thietje, R.; Queitsch, C.; Gille, J.; Schulz, A.P.; Meiners, J. Mid-term results after operative treatment of rockwood grade III-V acromioclavicular joint dislocations with an AC-hook-plate. Eur. J. Med. Res. 2011, 16, 52–56. [Google Scholar] [CrossRef] [PubMed]
- Kim, Y.-J.; Chun, Y.-M. Treatment of Acute Acromioclavicular Joint Dislocation: Kirschner’s Wire Trans-acromial Fixation versus AO Locking Hook Plate Fixation. Clin. Shoulder Elb. 2016, 19, 149–154. [Google Scholar] [CrossRef][Green Version]
- Leidel, B.A.; Braunstein, V.; Pilotto, S.; Mutschler, W.; Kirchhoff, C. Mid-term outcome comparing temporary K-wire fixation versus PDS augmentation of Rockwood grade III acromioclavicular joint separations. BMC Res. Notes 2009, 2, 84. [Google Scholar] [CrossRef] [PubMed]
- Thiel, E.; Mutnal, A.; Gilot, G.J. Surgical outcome following arthroscopic fixation of acromioclavicular joint disruption with the tightrope device. Orthopedics 2011, 34, e267–e274. [Google Scholar] [CrossRef] [PubMed]
- Olivos-Meza, A.; Almazan-Diaz, A.; Calvo, J.A.; Jimenez-Aroche, C.A.; Valdez-Chavez, M.V.; Perez-Jimenez, F.; Ibarra, C.; Cruz-Lopez, F. Radiographic displacement of acute acromioclavicular joint dislocations fixed with AC TightRope. JSES Int. 2020, 4, 49–54. [Google Scholar] [CrossRef] [PubMed]



| Characteristic | Surgical Methods | p-Value (PA–B/PA–C/PB–C) | ||
|---|---|---|---|---|
| Hook Plate (A) (n = 7) | K-Wire (B) (n = 41) | TightRope (C) (n = 32) | ||
| Age ( SD) | 44.29 ± 9.59 | 39.12 ± 11.13 | 41.53 ± 9.72 | 0.26/0.50/0.34 |
| Sex n (%) | ||||
| Male | 6 (85.71) | 34 (82.93) | 20 (62.5) | 0.86/0.26/0.05 |
| Female | 1 (14.29) | 7 (17.07) | 12 (37.5) | |
| Injuried side of the body n (%) | ||||
| Right | 4 (57.14) | 17 (41.46) | 14 (43.75) | 0.44/0.52/0.84 |
| Left | 3 (42.86) | 24 (58.54) | 18 (56.25) | 0.52/0.52/0.99 |
| Cause of injury n (%) | ||||
| Traffic | 3 (42,86) | 26 (63.41) | 22 (68.75) | 0.12/0.32/0.34 |
| Domestic | 2 (28.57) | 13 (31.71) | 6 (18.75) | |
| Sport | 1 (14.29) | 2 (4.88) | 3 (9.38) | |
| Falling | 1 (14.29) | 0 (0) | 1 (3.13) | |
| Time from accident to hospitalization (day) median (IQR) | 0 (0) | 3 (6) | 1 (6.5) | 0.001/0.009/0.32 |
| Clinical manifestation n (%) | ||||
| Shoulder pain | 7 (100) | 41 (100) | 32 (100) | - |
| Swelling | 6 (85.71) | 40 (97.56) | 31 (96,88) | 0.15/0.22/0.86 |
| Shoulder deformity | 7 (100) | 41 (100) | 32 (100) | - |
| Limited mobility | 7 (100) | 41 (100) | 32 (100) | - |
| Rockwood Classification n (%) | ||||
| Type IIIb | 3 (42.86) | 30 (73.17) | 17 (53.13) | 0.20/0.63/0.20 |
| Type IV | 0 (0) | 1 (2.44) | 2 (6.25) | |
| Type V | 4 (57.14) | 10 (24.39) | 13 (40.63) | |
| All | 7 (100) | 41 (100) | 32 (100) | |
| Characteristics | Hook Plate (A) (n = 7) | K-Wire (B) (n = 41) | TightRope (C) (n = 32) | p-Value (PA–B/PA–C/PB–C) |
|---|---|---|---|---|
| Postoperative length of stay (day) median (IQR) | 5 (2) | 3 (1) | 3.5 (2) | 0.007/0.15/0.033 |
| Constant–Murley score (SD) | 83.86 ± 6.12 | 87.56 ± 5.67 | 89.06 ± 5.15 | 0.12/0.025/0.25 |
| Postoperative complications n (%) | ||||
| Yes | 2 (28.57) | 7 (17.07) | 1 (3.13) | 0.48/0.06/0.09 |
| No | 5 (71.43) | 34 (82.93) | 31 (96.88) |
| Characteristics | Hook Plate (n = 7) | K-Wire (n = 41) | TightRope (n = 32) |
|---|---|---|---|
| Preoperative coracoclavicular distance (mm) median (IQR) | 25.60 (9.86) | 19.35 (4.57) | 20.58 (8.35) |
| Postoperative coracoclavicular distance (mm) (SD) | 10.46 ± 0.31 | 10.53 ± 0.23 | 10.48 ± 0.27 |
| p-value | 0.018 | <0.001 | <0.001 |
Publisher’s Note: MDPI stays neutral with regard to jurisdictional claims in published maps and institutional affiliations. |
© 2022 by the authors. Licensee MDPI, Basel, Switzerland. This article is an open access article distributed under the terms and conditions of the Creative Commons Attribution (CC BY) license (https://creativecommons.org/licenses/by/4.0/).
Share and Cite
Thuy, N.X.; Tien, N.M.; Thinh, V.T.; Hieu, P.V.; Phan, H.H.; Duc, D.M.; Nghia, B.T.; Trieu, T.M.L.; Mai, D.N.L. The Outcomes of Three Surgical Approaches for Acromioclavicular Dislocation Treatment: Findings from Vietnam. Surg. Tech. Dev. 2022, 11, 105-113. https://doi.org/10.3390/std11030010
Thuy NX, Tien NM, Thinh VT, Hieu PV, Phan HH, Duc DM, Nghia BT, Trieu TML, Mai DNL. The Outcomes of Three Surgical Approaches for Acromioclavicular Dislocation Treatment: Findings from Vietnam. Surgical Techniques Development. 2022; 11(3):105-113. https://doi.org/10.3390/std11030010
Chicago/Turabian StyleThuy, Nguyen Xuan, Nguyen Manh Tien, Vu Truong Thinh, Pham Van Hieu, Hoang Huy Phan, Dam Minh Duc, Bui Tuan Nghia, Tran Minh Long Trieu, and Duong Ngoc Le Mai. 2022. "The Outcomes of Three Surgical Approaches for Acromioclavicular Dislocation Treatment: Findings from Vietnam" Surgical Techniques Development 11, no. 3: 105-113. https://doi.org/10.3390/std11030010
APA StyleThuy, N. X., Tien, N. M., Thinh, V. T., Hieu, P. V., Phan, H. H., Duc, D. M., Nghia, B. T., Trieu, T. M. L., & Mai, D. N. L. (2022). The Outcomes of Three Surgical Approaches for Acromioclavicular Dislocation Treatment: Findings from Vietnam. Surgical Techniques Development, 11(3), 105-113. https://doi.org/10.3390/std11030010

