Thrombotic Microangiopathy in the Setting of Colorectal Cancer: A Therapeutic Challenge with a Bad Prognosis
Abstract
1. Introduction
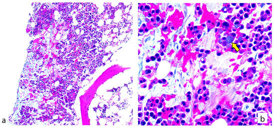
2. Case
3. Discussion
4. Conclusions
Author Contributions
Funding
Institutional Review Board Statement
Informed Consent Statement
Data Availability Statement
Acknowledgments
Conflicts of Interest
References
- Hovinga, J.A.K.; Coppo, P.; Lämmle, B.; Moake, J.L.; Miyata, T.; Vanhoorelbeke, K. Thrombotic thrombocytopenic purpura. Nat. Rev. Dis. Prim. 2017, 3, 1–17. [Google Scholar]
- Bell, W.R.; Braine, H.G.; Ness, P.M.; Kickler, T.S. Improved survival in thrombotic thrombocytopenic purpura–hemolytic uremic syndrome: Clinical experience in 108 patients. N. Engl. J. Med. 1991, 325, 398–403. [Google Scholar] [CrossRef] [PubMed]
- Morton, J.M.; George, J.N. Microangiopathic hemolytic anemia and thrombocytopenia in patients with cancer. J. Oncol. Pract. 2016, 12, 523–530. [Google Scholar] [CrossRef]
- Eremina, V.; Jefferson, J.A.; Kowalewska, J.; Hochster, H.; Haas, M.; Weisstuch, J.; Richardson, C.; Kopp, J.B.; Kabir, M.G.; Backx, P.H.; et al. VEGF inhibition and renal thrombotic microangiopathy. N. Engl. J. Med. 2008, 358, 1129–1136. [Google Scholar] [CrossRef] [PubMed]
- Izzedine, H.; Brocheriou, I.; Deray, G.; Rixe, O. Thrombotic microangiopathy and anti-VEGF agents. Nephrol. Dial. Transplant. 2007, 22, 1481–1482. [Google Scholar] [CrossRef]
- Lechner, K.; Obermeier, H.L. Cancer-related microangiopathic hemolytic anemia: Clinical and laboratory features in 168 reported cases. Medicine 2012, 91, 195–205. [Google Scholar] [CrossRef]
- Lee, J.-L.; Kim, M.-K.; Cho, H.S.; Bae, Y.K.; Cho, K.H.; Bae, S.H.; Ryoo, H.M.; Lee, K.H.; Hyun, M.S. A case of bone marrow necrosis with thrombotic thrombocytopenic purpura as a manifestation of occult colon cancer. Jpn. J. Clin. Oncol. 2004, 34, 476–480. [Google Scholar] [CrossRef][Green Version]
- Daily, D.P. Carcinoma of the colon in a patient presenting with thrombotic thrombocytopenic purpura-hemolytic uremic syndrome. Mayo Clin. Proc. 2002, 77, 873–877. [Google Scholar]
- Oberic, L.; Buffet, M.; Schwarzinger, M.; Veyradier, A.; Clabault, K.; Malot, S.; Schleinitz, N.; Valla, D.; Galicier, L.; Bengrine-Lefèvre, L.; et al. Cancer awareness in atypical thrombotic microangiopathies. Oncologist 2009, 14, 769–779. [Google Scholar] [CrossRef]
- Park, J. Microangiopathic hemolytic anemia as initial presentation of recurrent colon cancer. Blood Res. 2018, 53, 167. [Google Scholar] [CrossRef]
- Usmani, S.; Appel, J.; Shahid, Z.; Saleh, H. Spontaneous tumor lysis syndrome and secondary thrombotic thrombocytopenic purpura in early stage colorectal cancer. Chin. J. Clin. Oncol. 2008, 5, 150. [Google Scholar] [CrossRef]
- Ducos, G.; Mariotte, E.; Galicier, L.; Canet, E.; Boutboul, D.; Lemiale, V.; Schlemmer, B.; Veyradier, A.; Azoulay, E.; Zafrani, L. Metastatic cancer-related thrombotic microangiopathies: A cohort study. Future Oncol. 2014, 10, 1727–1734. [Google Scholar] [CrossRef] [PubMed]
- Robson, M.; Abbs, I. Thrombotic thrombocytopenic purpura following hemicolectomy for colonic carcinoma. Nephrol. Dial. Transplant. Off. Publ. Eur. Dial. Transpl. Assoc.-Eur. Ren. Assoc. 1997, 12, 198–199. [Google Scholar] [CrossRef]
- Lohrmann, H.-P.; Adam, W.; Heymer, B.; Kubanek, B. Microangiopathic hemolytic anemia in metastatic carcinoma: Report of eight cases. Ann. Intern. Med. 1973, 79, 368–375. [Google Scholar] [CrossRef] [PubMed]
- Brain, M.; Azzopardi, J.; Baker, L.; Pineo, G.; Roberts, P.; Dacie, J. Microangiopathic haemolytic anaemia and mucin-forming adenocarcinoma. Br. J. Haematol. 1970, 18, 183–194. [Google Scholar] [CrossRef]
- Werner, T.L.; Agarwal, N.; Carney, H.M.; Rodgers, G.M. Management of cancer-associated thrombotic microangiopathy: What is the right approach? Am. J. Hematol. 2007, 82, 295–298. [Google Scholar] [CrossRef]
- von Bubnoff, N.; Sandherr, M.; Schneller, F.; Peschel, C. Thrombotic thrombocytopenic purpura in metastatic carcinoma of the breast. Am. J. Clin. Oncol. 2000, 23, 74–77. [Google Scholar] [CrossRef]
- Assi, R.; Mukherji, D.; Haydar, A.; Saroufim, M.; Temraz, S.; Shamseddine, A. Metastatic colorectal cancer presenting with bone marrow metastasis: A case series and review of literature. J. Gastrointest. Oncol. 2016, 7, 284. [Google Scholar]
- Sayani, F.A.; Abrams, C.S. How I treat refractory thrombotic thrombocytopenic purpura. Blood 2015, 125, 3860–3867. [Google Scholar] [CrossRef] [PubMed]
- Elliott, M.A.; Letendre, L.; Gastineau, D.A.; Winters, J.L.; Pruthi, R.K.; Heit, J.A. Cancer-associated microangiopathic hemolytic anemia with thrombocytopenia: An important diagnostic consideration. Eur. J. Haematol. 2010, 85, 43–50. [Google Scholar] [CrossRef] [PubMed]
- Francis, K.K.; Kalyanam, N.; Terrell, D.R.; Vesely, S.K.; George, J.N. Disseminated malignancy misdiagnosed as thrombotic thrombocytopenic purpura: A report of 10 patients and a systematic review of published cases. Oncologist 2007, 12, 11–19. [Google Scholar] [CrossRef] [PubMed]
- Howard, M.A.; Williams, L.A.; Terrell, D.R.; Duvall, D.; Vesely, S.K.; George, J.N. Complications of plasma exchange in patients treated for clinically suspected thrombotic thrombocytopenic purpura-hemolytic uremic syndrome. Transfusion 2006, 46, 154–156. [Google Scholar] [CrossRef] [PubMed]
- Babu, K.G.; Bhat, G.R. Cancer-associated thrombotic microangiopathy. Ecancermedicalscience 2016, 10. [Google Scholar] [CrossRef] [PubMed]
- Nokes, T.; George, J.N.; Vesely, S.K.; Awab, A. Pulmonary involvement in patients with thrombotic thrombocytopenic purpura. Eur. J. Haematol. 2014, 92, 156–163. [Google Scholar] [CrossRef]
- Bouchahda, M.; Saffroy, R.; Karaboué, A.; Hamelin, J.; Innominato, P.; Saliba, F.; Lévi, F.; Bosselut, N.; Lemoine, A. Undetectable RAS-Mutant Clones in Plasma: Possible Implication for Anti-EGFR Therapy and Prognosis in Patients With RAS-Mutant Metastatic Colorectal Cancer. JCO Precis. Oncol. 2020, 4, 1070–1079. [Google Scholar] [CrossRef]
- Jones, J.A.; Simone, C.B., II. Palliative radiotherapy for advanced malignancies in a changing oncologic landscape: Guiding principles and practice implementation. Ann. Palliat. Med. 2014, 3, 192–202. [Google Scholar]
- Swisher, K.K.; Terrell, D.R.; Vesely, S.K.; Kremer Hovinga, J.A.; Lämmle, B.; George, J.N. Clinical outcomes after platelet transfusions in patients with thrombotic thrombocytopenic purpura. Transfusion 2009, 49, 873–887. [Google Scholar] [CrossRef]
- Sholjakova, M.; Durnev, V.; Kartalov, A.; Kuzmanovska, B. Pain relief as an integral part of the palliative care. Open Access Maced. J. Med. Sci. 2018, 6, 739. [Google Scholar] [CrossRef]

| Identification | Age, Gender | Histology | Bone Marrow | TTP Onset Relative to Cancer Diagnosis | Treatment | Outcome of TTP/HUS | Survival since TTP (Months) |
|---|---|---|---|---|---|---|---|
| Lee et al., 2004 [7] | 67, M | Poorly differentiated Adenocarcinoma | Fibrosis | At diagnosis | Plasmapheresis and plasma exchange | No response | |
| FOLFOX-4 | Complete remission | 4.5 (Until date reported) | |||||
| Majhail et al., 2002 [8] | 66, F | Moderately differentiated adenocarcinoma | N/A | At diagnosis | Prednisone and plasma exchange (for a total of 11 weeks) with left hemicolectomy at week 5) | Complete remission at week 5 | 9 (until date reported) |
| Oberic et al., 2009 [9] | 54, F | Adenocarcinoma | Fibrosis and metastatic infiltration | At diagnosis | High dose plasma infusion + steroids + FOLFOX-5 | Death due to coma | 2 days |
| Park et al., 2018 [10] | 76, F | Poorly differentiated adenocarcinoma | Metastatic infiltration | At recurrence | Plasma exchange | Death | 10 days |
| Usami et al., 2008 [11] | 60, F | Moderately differentiated adenocarcinoma | N/A | At diagnosis | Distal colectomy | Complete remission | 14 days (Until date reported) |
| Ducos et al., 2014 [12] | 43, M | N/A | N/A | 30 days after diagnosis | N/A | Death | N/A |
| Robson et al., 1997 [13] | 64, F | Moderately differentiated adenocarcinoma | N/A | After Right hemicolectomy | Plasma exchange with FFP | Complete remission | 11 days (until date reported) |
| Lohrmann et al., 1973 [14] | 63, M | Adenocarcinoma | Increased erythropoiesis and megakaryopoeisis | 2 months after diagnosis | N/A | N/A | N/A |
| Cancer-Induced TTP | Idiopathic TTP | |
|---|---|---|
| Age [23] | Usually older | Usually younger |
| Previously diagnosed cancer [3] | Usually present | Usually absent |
| Onset [3] | Gradual | Sudden |
| Kidney injury [3] | Common | Uncommon |
| LDH levels [3] | Very High | High |
| Nucleated RBCs on smear [19] | More common | Less common |
| Back pain [3,20,24] | More common | Less common |
| Dyspnea and pulmonary infiltrates [3,20,24] | More common | Less common |
| Risk of late-onset coagulation abnormalities and DIC [3] | High | Low |
| ADAMTS13 levels [3] | Normal or slightly decreased | Decreased |
Disclaimer/Publisher’s Note: The statements, opinions and data contained in all publications are solely those of the individual author(s) and contributor(s) and not of MDPI and/or the editor(s). MDPI and/or the editor(s) disclaim responsibility for any injury to people or property resulting from any ideas, methods, instructions or products referred to in the content. |
© 2023 by the authors. Licensee MDPI, Basel, Switzerland. This article is an open access article distributed under the terms and conditions of the Creative Commons Attribution (CC BY) license (https://creativecommons.org/licenses/by/4.0/).
Share and Cite
Bouferraa, Y.; Haibe, Y.; Hamdan, H.; Mahfouz, R.; Chakhachiro, Z.; Shamseddine, A. Thrombotic Microangiopathy in the Setting of Colorectal Cancer: A Therapeutic Challenge with a Bad Prognosis. Hematol. Rep. 2023, 15, 9-16. https://doi.org/10.3390/hematolrep15010002
Bouferraa Y, Haibe Y, Hamdan H, Mahfouz R, Chakhachiro Z, Shamseddine A. Thrombotic Microangiopathy in the Setting of Colorectal Cancer: A Therapeutic Challenge with a Bad Prognosis. Hematology Reports. 2023; 15(1):9-16. https://doi.org/10.3390/hematolrep15010002
Chicago/Turabian StyleBouferraa, Youssef, Yolla Haibe, Hanan Hamdan, Rami Mahfouz, Zaher Chakhachiro, and Ali Shamseddine. 2023. "Thrombotic Microangiopathy in the Setting of Colorectal Cancer: A Therapeutic Challenge with a Bad Prognosis" Hematology Reports 15, no. 1: 9-16. https://doi.org/10.3390/hematolrep15010002
APA StyleBouferraa, Y., Haibe, Y., Hamdan, H., Mahfouz, R., Chakhachiro, Z., & Shamseddine, A. (2023). Thrombotic Microangiopathy in the Setting of Colorectal Cancer: A Therapeutic Challenge with a Bad Prognosis. Hematology Reports, 15(1), 9-16. https://doi.org/10.3390/hematolrep15010002

