Prompt Hematological Recovery in Response to a Combination of Pegylated Interferon α-2a and Rituximab in a Profoundly Immuno-Suppressed Hairy Cell Leukemia Patient with a Mycobacterial Infection at Onset: Benefits and Drawbacks of Rapid Immune Reconstitution
Abstract
:1. Introduction
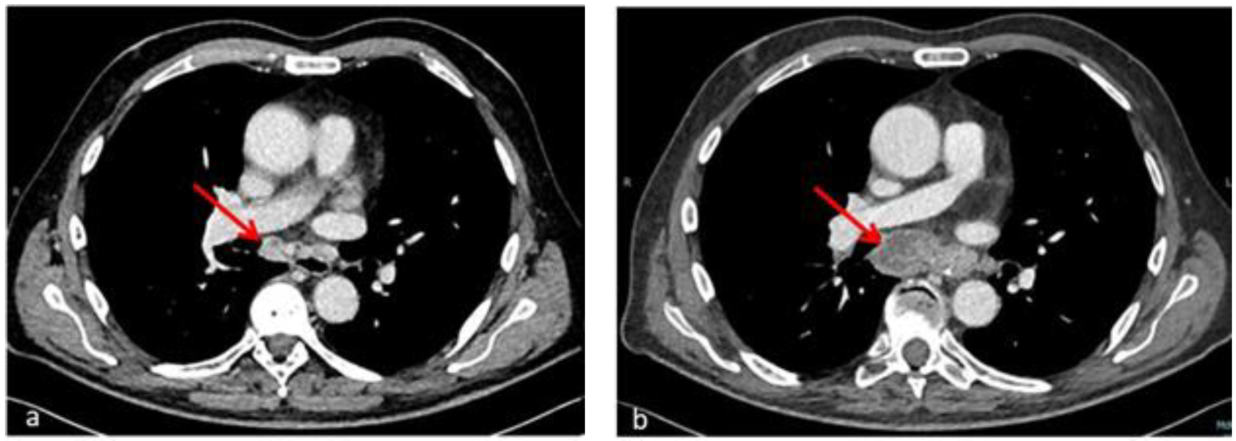
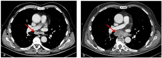
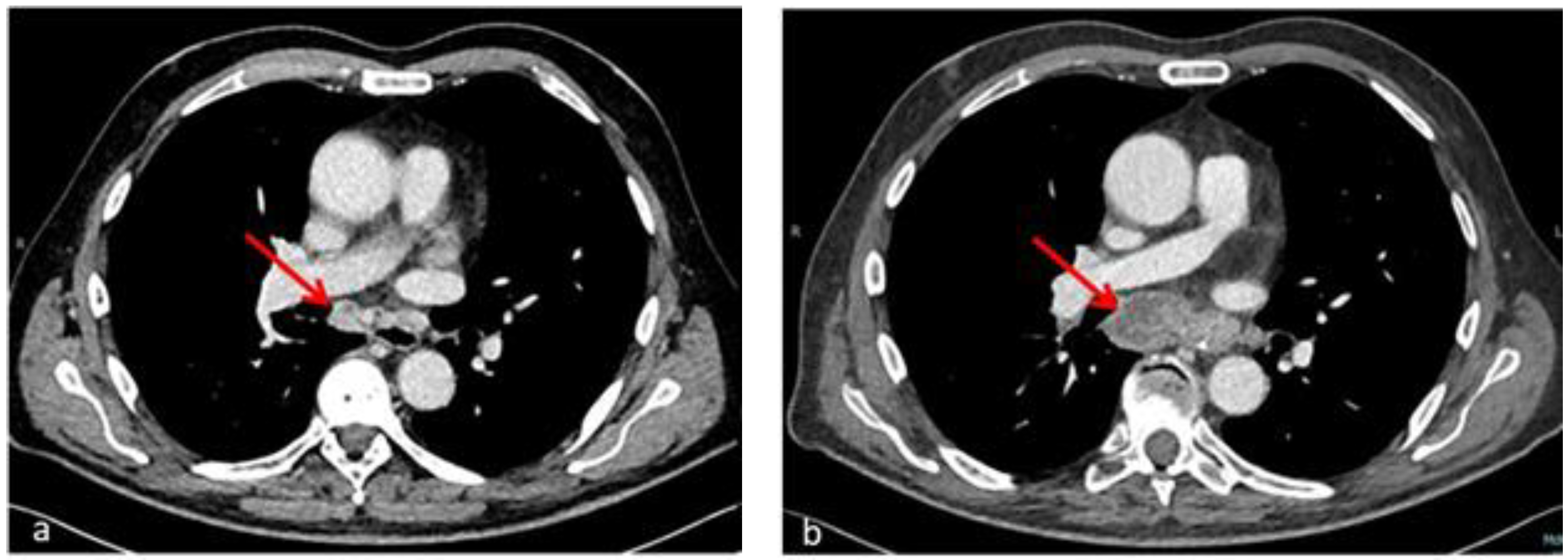
2. Case Description
3. Discussion
4. Conclusions
Author Contributions
Funding
Institutional Review Board Statement
Informed Consent Statement
Conflicts of Interest
References
- Chihara, D.; Kantarjian, H.; O’Brien, S.; Jorgensen, J.; Pierce, S.; Faderl, S.; Ferrajoli, A.; Poku, R.; Jain, P.; Thompson, P.; et al. Long-term durable remission by cladribine followed by rituximab in patients with hairy cell leukaemia: Update of a phase II trial. Br. J. Haematol. 2016, 174, 760–766. [Google Scholar] [CrossRef] [PubMed]
- Chihara, D.; Arons, E.; Stetler-Stevenson, M.; Yuan, C.M.; Wang, H.W.; Zhou, H.; Raffeld, M.; Xi, L.; Steinberg, S.M.; Feurtado, J.; et al. Randomized Phase II Study of First-Line Cladribine With Concurrent or Delayed Rituximab in Patients With Hairy Cell Leukemia. J. Clin. Oncol. 2020, 38, 1527–1538. [Google Scholar] [CrossRef] [PubMed]
- Maitre, E.; Cornet, E.; Troussard, X. Hairy cell leukemia: 2020 update on diagnosis, risk stratification, and treatment. Am. J. Hematol. 2019, 94, 1413–1422. [Google Scholar] [CrossRef]
- Meintjes, G.; Lawn, S.D.; Scano, F.; Maartens, G.; French, M.A.; Worodria, W.; Elliott, J.H.; Murdoch, D.; Wilkinson, R.J.; Seyler, C.; et al. Tuberculosis-associated immune reconstitution inflammatory syndrome: Case definitions for use in resource-limited settings. Lancet Infect. Dis. 2008, 8, 516–523. [Google Scholar] [CrossRef] [Green Version]
- Johansen, M.D.; Herrmann, J.L.; Kremer, L. Non-tuberculous mycobacteria and the rise of Mycobacterium abscessus. Nat. Rev. Microbiol. 2020, 18, 392–407. [Google Scholar] [CrossRef] [PubMed]
- Samonis, G.; Kontoyiannis, D.P. Infectious complications of purine analog therapy. Curr. Opin. Infect. Dis. 2001, 14, 409–413. [Google Scholar] [CrossRef]
- Yacoub, A.; Mascarenhas, J.; Kosiorek, H.; Prchal, J.T.; Berenzon, D.; Baer, M.R.; Ritchie, E.; Silver, R.T.; Kessler, C.; Winton, E.; et al. Pegylated interferon alfa-2a for polycythemia vera or essential thrombocythemia resistant or intolerant to hydroxyurea. Blood 2019, 134, 1498–1509. [Google Scholar] [CrossRef]
- Tiacci, E.; De Carolis, L.; Simonetti, E.; Capponi, M.; Ambrosetti, A.; Lucia, E.; Antolino, A.; Pulsoni, A.; Ferrari, S.; Zinzani, P.L.; et al. Vemurafenib plus Rituximab in Refractory or Relapsed Hairy-Cell Leukemia. N. Engl. J. Med. 2021, 384, 1810–1823. [Google Scholar] [CrossRef]
- Ahmed, S.; Rai, K.R. Interferon in the treatment of hairy-cell leukemia. Best Pract. Res. Clin. Haematol. 2003, 16, 69–81. [Google Scholar] [CrossRef]
- Wierda, W.G.; Byrd, J.C.; Abramson, J.S.; Bhat, S.; Bociek, G.; Brander, D.; Brown, J.; Chanan-Khan, A.; Coutre, S.E.; Davis, R.S.; et al. Hairy Cell Leukemia, Version 2.2018, NCCN Clinical Practice Guidelines in Oncology. J. Natl. Compr. Canc. Netw. 2017, 15, 1414–1427. [Google Scholar] [CrossRef] [Green Version]
- King, A.C.; Kabel, C.C.; Pappacena, J.J.; Stump, S.E.; Daley, R.J. No loose ends: A review of the pharmacotherapy of hairy cell and hairy cell leukemia variant. Ann. Pharmacother. 2019, 53, 922–932. [Google Scholar] [CrossRef] [PubMed]
- McLaughlin, P.; Grillo-Lopez, A.J.; Link, B.K.; Levy, R.; Czuczman, M.S.; Williams, M.E.; Heyman, M.R.; Bence-Bruckler, I.; White, C.A.; Cabanillas, F.; et al. Rituximab chimeric anti CD-20 monoclonal antibody therapy for relapsed indolent lymphoma: Half of patients respond to a four dose treatment program. J. Clin. Oncol. 1998, 16, 2825–2833. [Google Scholar] [CrossRef] [PubMed]
- Leclerc, M.; Suarez, F.; Noël, M.P.; Vekhoff, A.; Troussard, X.; Claisse, J.F.; Thieblemont, C.; Maloisel, F.; Beguin, Y.; Tamburini, J.; et al. Rituximab therapy for hairy cell leukemia: A retrospective study of 41 cases. Ann. Hematol. 2015, 94, 89–95. [Google Scholar] [CrossRef] [Green Version]
- Sarvaria, A.; Topp, Z.; Saven, A. Current therapy and new directions in the treatment of hairy cell leukemia: A review. JAMA Oncol. 2016, 2, 123–129. [Google Scholar] [CrossRef]
- Akinosoglou, K.; Melachrinou, M.; Makatsoris, T.; Sakellakis, M.; Papakonstantinou, C.; Gogos, C.A.; Solomou, E.E. Rituximab as frontline monotherapy in untreated hairy cell leukemia patients. Ann. Hematol. 2015, 94, 1069–1070. [Google Scholar] [CrossRef] [PubMed]
- Sivaraman, S.; Venugopal, P.; Ranganathan, R.; Deshpande, C.G.; Huang, X.; Jajeh, A.; Gregory, S.A.; O’Brien, T.; Preisler, H.D. Effect of interferon-alpha on CD20 antigen expression of B-cell chronic lymphocytic leukemia. Cytokines Cell. Mol. Ther. 2000, 6, 81–87. [Google Scholar] [CrossRef] [PubMed]
- Gidlund, M.; Orn, A.; Wigzell, H.; Senik, A.; Gresser, I. Enhanced NK cell activity in mice injected with interferon and interferon inducers. Nature 1978, 273, 759–761. [Google Scholar] [CrossRef] [PubMed]
- Herberman, R.B.; Ortaldo, J.R.; Bonnard, G. Augmentation by interferon of human natural and antibody-dependent cell-mediated cytotoxicity. Nature 1979, 227, 221–223. [Google Scholar] [CrossRef]
- Sacchi, S.; Federico, M.; Vitolo, U.; Boccomini, C.; Vallisa, D.; Baldini, L.; Petrini, M.; Rupoli, S.; Di Raimondo, F.; Merli, F.; et al. Clinical activity and safety of combination immunotherapy with IFN-alpha 2a and Rituximab in patients with relapsed low grade non-Hodgkin’s lymphoma. Haematologica 2001, 86, 951–958. [Google Scholar]
- Kimby, E.; Geisler, C.; Hagberg, H.; Holte, H.; Lehtinen, T.; Sundström, C. Rituximab as a Single Agent and in Combination With Interferon Alfa-2a as Treatment of Untreated and First-Relapse Follicular or Other Low-Grade Lymphomas: A Randomized Phase II Study (M 39035). Oncology 2001, 15. [Google Scholar]
- Thomas, D.A.; O’Brien, S.; Bueso-Ramos, C.; Faderl, S.; Keating, M.J.; Giles, F.J.; Cortes, J.; Kantarjian, H.M. Rituximab in relapsed or refractory hairy cell leukemia. Blood 2003, 102, 3906–3911. [Google Scholar] [CrossRef] [PubMed]
- Lorber, C.; Willfort, A.; Ohler, L.; Jäger, U.; Schwarzinger, I.; Lechner, K.; Geissler, K.l. Granulocyte colony-stimulating factor (rh G-CSF) as an adjunct to interferon alpha therapy of neutropenic patients with hairy cell leukemia. Ann. Hematol. 1993, 67, 13–16. [Google Scholar] [CrossRef] [PubMed]
- Saven, A.; Burian, C.; Adusumalli, J.; Koziol, J.A. Filgrastim for cladribine-induced neutropenic fever in patients with hairy cell leukemia. Blood 1999, 93, 2471–2477. [Google Scholar] [CrossRef] [PubMed]
- Juliusson, G.; Lenkei, R.; Tjønnfjord, G.; Heldal, D.; Liliemark, J. Neutropenic fever following cladribine therapy for symptomatic hairy-cell leukemia: Predictive factors and effects of granulocyte-macrophage colony-stimulating factor. Ann. Oncol. 1995, 6, 371–375. [Google Scholar] [CrossRef]
- Goldschmidt, N.; Ganzel, C.; Attias, D.; Gatt, M.; Polliack, A.; Tadmor, T. Pegfilgrastim prophylaxis for cladribine-induced neutropenia in patients with hairy-cell leukemia. Acta Haematol. 2014, 132, 118–121. [Google Scholar] [CrossRef] [PubMed]
- Bonelli, M.M.; Mrak, D.; Perkmann, T.; Haslacher, H.; Aletaha, D. SARS-CoV-2 Vaccination in Rituximab-Treated Patients: Evidence for Impaired Humoral but Inducible Cellular Immune Response. Ann. Rheum. Dis. 2021, 80, 1355–1356. [Google Scholar] [CrossRef] [PubMed]
- Meintjes, G.; Wilkinson, R.J.; Morroni, C.; Pepper, D.J.; Rebe, K.; Rangaka, M.X.; Oni, T.; Maartens, G. Randomized placebo controlled trial for prednisone for paradoxical tuberculosis associated immune reconstitution inflammatory syndrome. AIDS 2010, 24, 2381–2390. [Google Scholar] [CrossRef] [Green Version]


Publisher’s Note: MDPI stays neutral with regard to jurisdictional claims in published maps and institutional affiliations. |
© 2022 by the authors. Licensee MDPI, Basel, Switzerland. This article is an open access article distributed under the terms and conditions of the Creative Commons Attribution (CC BY) license (https://creativecommons.org/licenses/by/4.0/).
Share and Cite
Furlan, A.; Rossi, M.C.; Gherlinzoni, F.; Scotton, P. Prompt Hematological Recovery in Response to a Combination of Pegylated Interferon α-2a and Rituximab in a Profoundly Immuno-Suppressed Hairy Cell Leukemia Patient with a Mycobacterial Infection at Onset: Benefits and Drawbacks of Rapid Immune Reconstitution. Hematol. Rep. 2022, 14, 135-142. https://doi.org/10.3390/hematolrep14020020
Furlan A, Rossi MC, Gherlinzoni F, Scotton P. Prompt Hematological Recovery in Response to a Combination of Pegylated Interferon α-2a and Rituximab in a Profoundly Immuno-Suppressed Hairy Cell Leukemia Patient with a Mycobacterial Infection at Onset: Benefits and Drawbacks of Rapid Immune Reconstitution. Hematology Reports. 2022; 14(2):135-142. https://doi.org/10.3390/hematolrep14020020
Chicago/Turabian StyleFurlan, Anna, Maria Cristina Rossi, Filippo Gherlinzoni, and Piergiorgio Scotton. 2022. "Prompt Hematological Recovery in Response to a Combination of Pegylated Interferon α-2a and Rituximab in a Profoundly Immuno-Suppressed Hairy Cell Leukemia Patient with a Mycobacterial Infection at Onset: Benefits and Drawbacks of Rapid Immune Reconstitution" Hematology Reports 14, no. 2: 135-142. https://doi.org/10.3390/hematolrep14020020
APA StyleFurlan, A., Rossi, M. C., Gherlinzoni, F., & Scotton, P. (2022). Prompt Hematological Recovery in Response to a Combination of Pegylated Interferon α-2a and Rituximab in a Profoundly Immuno-Suppressed Hairy Cell Leukemia Patient with a Mycobacterial Infection at Onset: Benefits and Drawbacks of Rapid Immune Reconstitution. Hematology Reports, 14(2), 135-142. https://doi.org/10.3390/hematolrep14020020
