Pictorial Review of Paediatric Limp
Abstract
1. Introduction
- Osteomyelitis of the ischiopubic synchondrosis;
- Osteochondrosis of the ischiopubic synchondrosis;
- Haemophagocytic histiocytosis;
- Juvenile idiopathic arthritis (JIA) of hip;
- Rectus femoris avulsion fracture;
- Crystal arthritis of the hip;
- Osteomyelitis of the iliac crest;
- Ewing sarcoma of femur;
- Langerhans cell histiocytosis (LCH);
- Leukaemia;
- Simple bone cyst neck of femur with fracture;
- Septic arthritis of left sacroiliac joint;
- Discitis of lumbar spine;
- TB pyomyositis of the thigh;
- Stress fracture of the sacral ala;
- Testicular torsion.
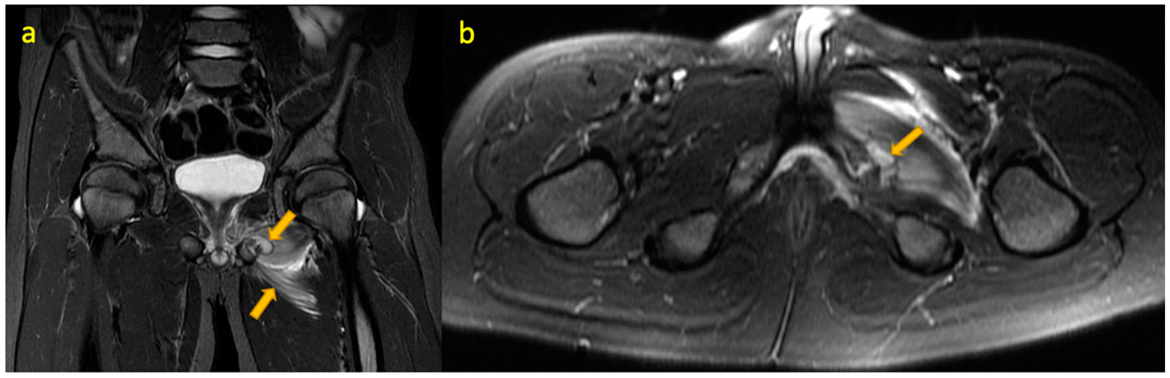
2. Osteomyelitis of Ischiopubic Synchondrosis
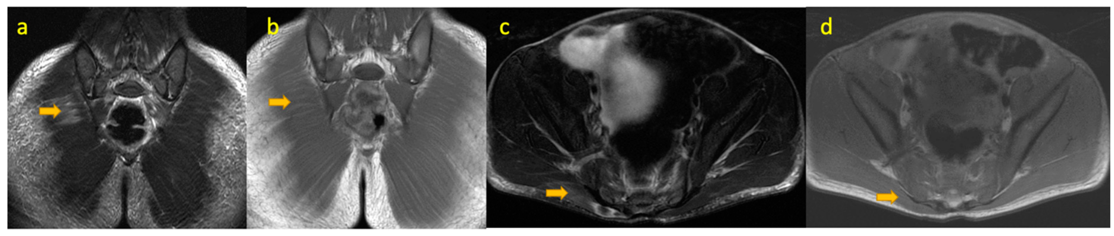
3. Osteochondrosis Ischiopubic Synchondrosis
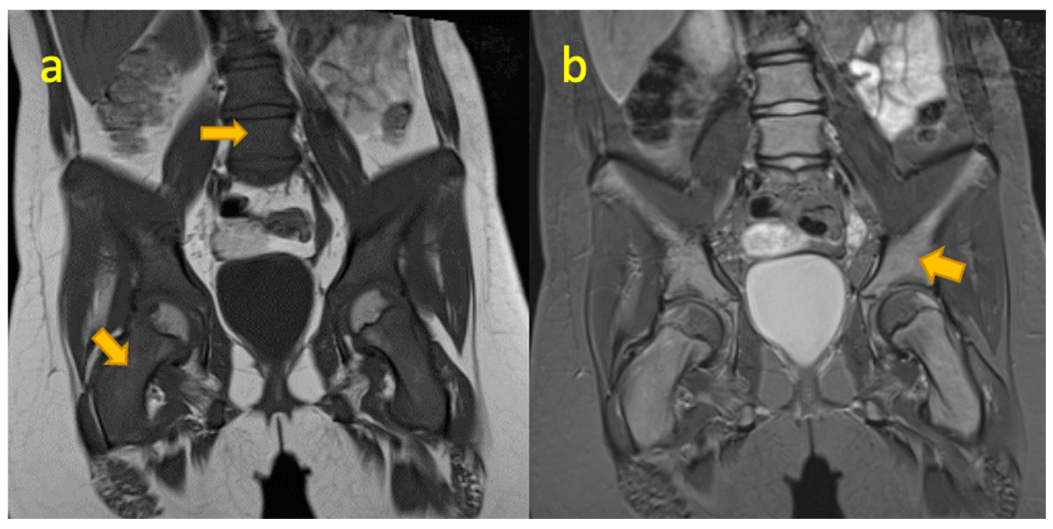
4. Haemophagocytic Lymphohistiocytosis
5. Juvenile Idiopathic Arthritis of the Hip
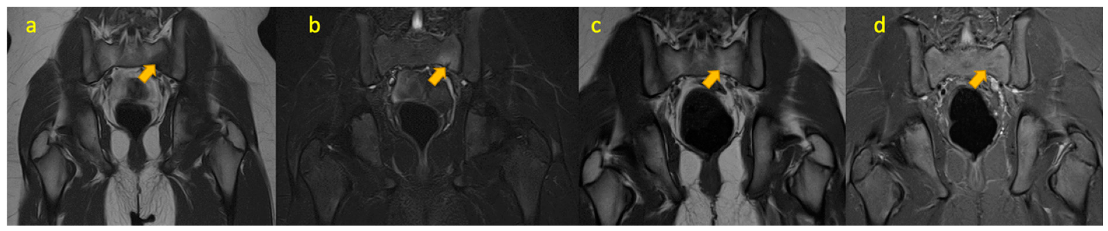
6. Rectus Femoris Avulsion Fracture
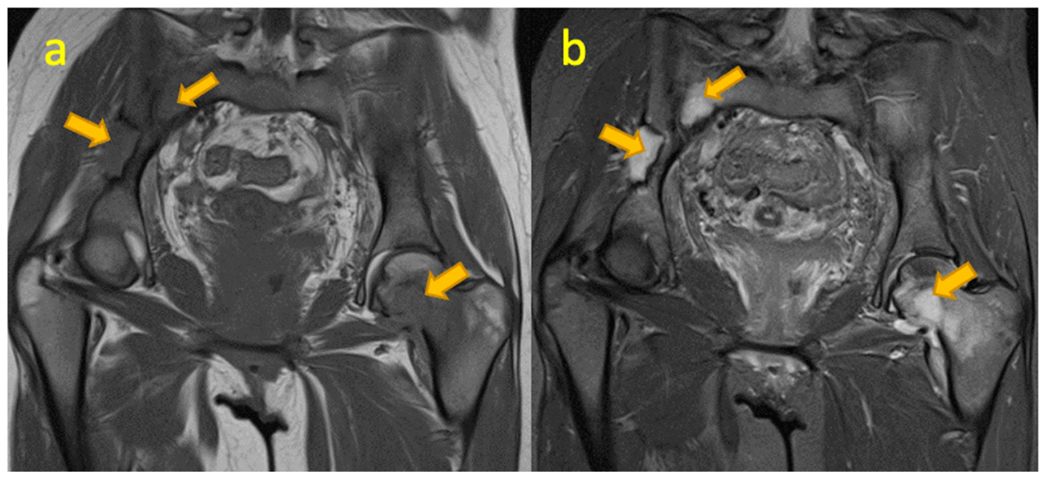
7. Crystal Arthritis of the Hip
8. Osteomyelitis Iliac Crest
9. Ewing Sarcoma of Femur
10. Langerhans Cell Histiocytosis (LCH) Femur
11. Leukaemia
12. Simple Bone Cyst of Neck of Femur
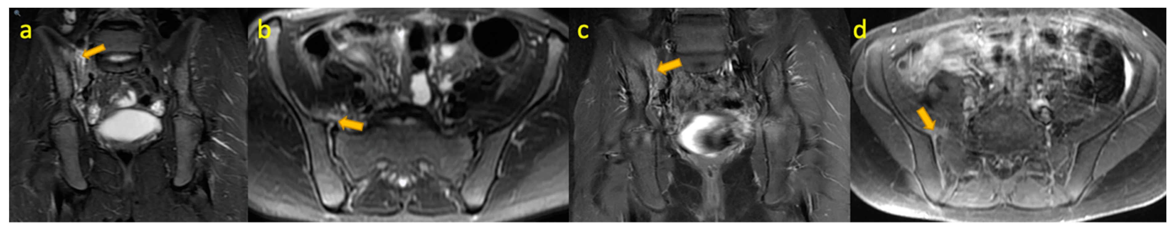
13. Septic Arthritis of the Sacroiliac Joint
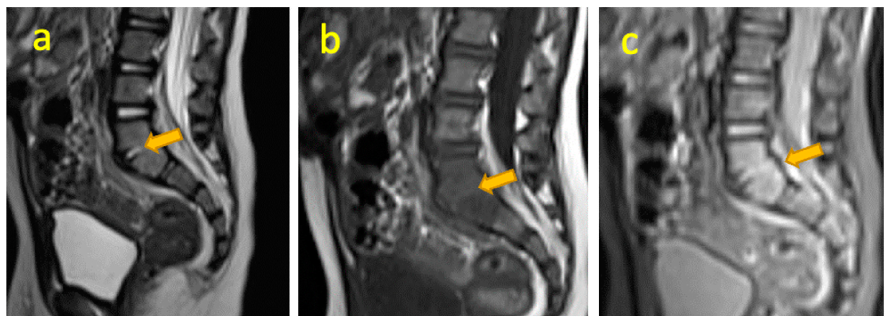
14. Lumbar Spine Discitis
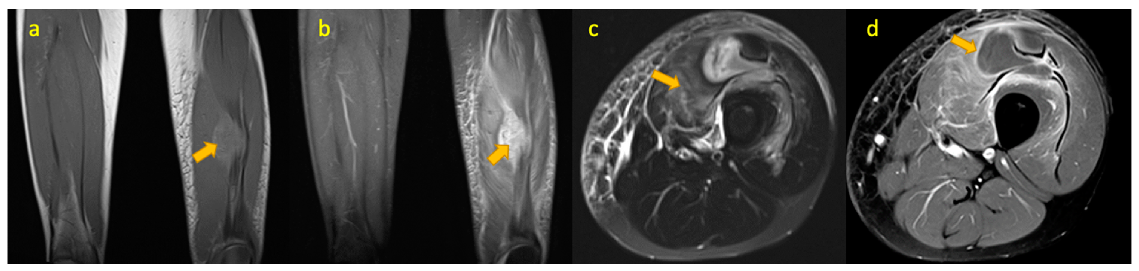
15. TB(Tuberculous) Pyomyositis Thigh
16. Stress Fracture of Sacral Ala
17. Testicular Torsion
Author Contributions
Funding
Institutional Review Board Statement
Informed Consent Statement
Conflicts of Interest
References
- Morancie, N.A.; Helton, M.R. Evaluating the Child With a Limp. Am. Fam. Physician 2023, 107, 474–485. [Google Scholar] [PubMed]
- Nixon, G.W. Hematogenous osteomyelitis of metaphyseal-equivalent locations. AJR Am. J. Roentgenol. 1978, 130, 123–129. [Google Scholar] [CrossRef] [PubMed]
- Iqbal, A.; McKenna, D.; Hayes, R.; O’Keeffe, D. Osteomyelitis of the ischiopubic synchondrosis: Imaging findings. Skeletal Radiol. 2004, 33, 176–180. [Google Scholar] [CrossRef] [PubMed]
- Macarini, L.; Lallo, T.; Milillo, P.; Muscarella, S.; Vinci, R.; Stoppino, L.P. Case report: Multimodality imaging of van Neck-Odelberg disease. Indian J. Radiol. Imaging 2011, 21, 107–110. [Google Scholar] [CrossRef] [PubMed]
- Wait, A.; Gaskill, T.; Sarwar, Z.; Busch, M. Van neck disease: Osteochondrosis of the ischiopubic synchondrosis. J. Pediatr. Orthop. 2011, 31, 520–524. [Google Scholar] [CrossRef] [PubMed]
- Janka, G.E.; Lehmberg, K. Hemophagocytic lymphohistiocytosis: Pathogenesis and treatment. Hematol. Am. Soc. Hematol. Educ. Program. 2013, 2013, 605–611. [Google Scholar] [CrossRef]
- Shieh, A.C.; Guler, E.; Smith, D.A.; Tirumani, S.H.; Beck, R.C.; Ramaiya, N.H. Hemophagocytic Lymphohistiocytosis: A Primer for Radiologists. Am. J. Roentgenol. 2020, 214, W11–W19. [Google Scholar] [CrossRef]
- Grom, A.A. Primary Hemophagocytic Lymphohistiocytosis and Macrophage Activation Syndrome: The Importance of Timely Clinical Differentiation. J. Pediatr. 2017, 189, 19–21.e1. [Google Scholar] [CrossRef][Green Version]
- Ostrowska, M.; Gietka, P.; Mańczak, M.; Michalski, E.; Sudoł-Szopińska, I. MRI Findings in Hip in Juvenile Idiopathic Arthritis. J. Clin. Med. 2021, 10, 5252. [Google Scholar] [CrossRef] [PubMed]
- Abd El-Azeem, M.I.; Taha, H.A.; El-Sherif, A.M. Role of MRI in evaluation of hip joint involvement in juvenile idiopathic arthritis. Egypt Rheumatol. 2012, 34, 75–82. [Google Scholar] [CrossRef][Green Version]
- Nistala, K.; Babar, J.; Johnson, K.; Campbell-Stokes, P.; Foster, K.; Ryder, C.; McDonagh, J.E. Clinical assessment and core outcome variables are poor predictors of hip arthritis diagnosed by MRI in juvenile idiopathic arthritis. Rheumatology 2007, 46, 699–702. [Google Scholar] [CrossRef] [PubMed][Green Version]
- Martini, A.; Ravelli, A.; Avcin, T.; Beresford, M.W.; Burgos-Vargas, R.; Cuttica, R.; Ilowite, N.T.; Khubchandani, R.; Laxer, R.M.; Lovell, D.J.; et al. Toward New Classification Criteria for Juvenile Idiopathic Arthritis: First Steps, Pediatric Rheumatology International Trials Organization International Consensus. J. Rheumatol. 2019, 46, 190–197. [Google Scholar] [CrossRef] [PubMed]
- Hemke, R.; Herregods, N.; Jaremko, J.L.; Åstrom, G.; Avenarius, D.; Becce, F.; Bielecki, D.K.; Boesen, M.; Dalili, D.; Giraudo, C.; et al. Imaging assessment of children presenting with suspected or known juvenile idiopathic arthritis: ESSR-ESPR points to consider. Eur. Radiol. 2020, 30, 5237–5249. Available online: https://pubmed.ncbi.nlm.nih.gov/32399709/ (accessed on 12 October 2024). [CrossRef] [PubMed]
- Mendiguchia, J.; Alentorn-Geli, E.; Idoate, F.; Myer, G.D. Rectus femoris muscle injuries in football: A clinically relevant review of mechanisms of injury, risk factors and preventive strategies. Br. J. Sports Med. 2013, 47, 359–366. [Google Scholar] [CrossRef] [PubMed]
- Lee, J.C.; Mitchell, A.W.M.; Healy, J.C. Imaging of muscle injury in the elite athlete. Br. J. Radiol. 2012, 85, 1173–1185. [Google Scholar] [CrossRef]
- Kassarjian, A.; Rodrigo, R.M.; Santisteban, J.M. Intramuscular degloving injuries to the rectus femoris: Findings at MRI. AJR Am. J. Roentgenol. 2014, 202, W475–W480. [Google Scholar] [CrossRef] [PubMed]
- Hughes, C.; Hasselman, C.T.; Best, T.M.; Martinez, S.; Garrett, W.E. Incomplete, intrasubstance strain injuries of the rectus femoris muscle. Am. J. Sports Med. 1995, 23, 500–506. [Google Scholar] [CrossRef]
- Begum, F.A.; Kayani, B.; Chang, J.S.; Tansey, R.J.; Haddad, F.S. The management of proximal rectus femoris avulsion injuries. EFORT Open Rev. 2020, 5, 828–834. [Google Scholar] [CrossRef] [PubMed]
- Grassi, W.; Meenagh, G.; Pascual, E.; Filippucci, E. “Crystal clear”-sonographic assessment of gout and calcium pyrophosphate deposition disease. Semin. Arthritis Rheum. 2006, 36, 197–202. [Google Scholar] [CrossRef] [PubMed]
- Thiele, R.G.; Schlesinger, N. Diagnosis of gout by ultrasound. Rheumatology 2007, 46, 1116–1121. [Google Scholar] [CrossRef] [PubMed]
- Halupa, A.J.; Strony, R.J.; Bulbin, D.H.; Kraus, C.K. Pseudogout Diagnosed By Point-of-care Ultrasound. Clin. Pract. Cases Emerg. Med. 2019, 3, 425–427. [Google Scholar] [CrossRef] [PubMed]
- Davidson, D.; Letts, M.; Khoshhal, K. Pelvic osteomyelitis in children: A comparison of decades from 1980–1989 with 1990–2001. J. Pediatr. Orthop. 2003, 23, 514–521. [Google Scholar] [CrossRef] [PubMed]
- Durer, S.; Gasalberti, D.P.; Shaikh, H. Ewing Sarcoma. In StatPearls [Internet]; StatPearls Publishing: Treasure Island, FL, USA, 2024. Available online: http://www.ncbi.nlm.nih.gov/books/NBK559183/ (accessed on 13 October 2024).
- Biermann, J.S.; Chow, W.; Reed, D.R.; Lucas, D.; Adkins, D.R.; Agulnik, M.; Benjamin, R.S.; Brigman, B.; Budd, G.T.; Curry, W.T.; et al. NCCN Guidelines Insights: Bone Cancer, Version 2.2017. J. Natl. Compr. Cancer Netw. JNCCN 2017, 15, 155–167. [Google Scholar] [CrossRef] [PubMed]
- Ross, K.A.; Smyth, N.A.; Murawski, C.D.; Kennedy, J.G. The Biology of Ewing Sarcoma. ISRN Oncol. 2013, 2013, 759725. [Google Scholar] [CrossRef] [PubMed]
- Burchill, S.A. Ewing’s sarcoma: Diagnostic, prognostic, and therapeutic implications of molecular abnormalities. J. Clin. Pathol. 2003, 56, 96–102. [Google Scholar] [CrossRef] [PubMed]
- Samet, J.; Weinstein, J.; Fayad, L.M. MRI and clinical features of Langerhans cell histiocytosis (LCH) in the pelvis and extremities: Can LCH really look like anything? Skeletal Radiol. 2016, 45, 607–613. [Google Scholar] [CrossRef]
- Emslie, K.R.; Nade, S. Pathogenesis and treatment of acute hematogenous osteomyelitis: Evaluation of current views with reference to an animal model. Rev. Infect. Dis. 1986, 8, 841–849. Available online: https://pubmed.ncbi.nlm.nih.gov/3541124/ (accessed on 14 October 2024). [CrossRef] [PubMed]
- Navarro, S.M.; Matcuk, G.R.; Patel, D.B.; Skalski, M.; White, E.A.; Tomasian, A.; Schein, A.J. Musculoskeletal Imaging Findings of Hematologic Malignancies. Radiographics 2017, 37, 881–900. Available online: https://pubmed.ncbi.nlm.nih.gov/28388273/ (accessed on 14 October 2024). [CrossRef] [PubMed]
- Madhusoodhan, P.P.; Carroll, W.L.; Bhatla, T. Progress and Prospects in Pediatric Leukemia. Curr. Probl. Pediatr. Adolesc. Health. Care 2016, 46, 229–241. Available online: https://pubmed.ncbi.nlm.nih.gov/27283082/ (accessed on 15 October 2024). [CrossRef]
- Noordin, S.; Allana, S.; Umer, M.; Jamil, M.; Hilal, K.; Uddin, N. Unicameral bone cysts: Current concepts. Ann. Med. Surg. 2018, 34, 43–49. [Google Scholar] [CrossRef] [PubMed]
- Mascard, E.; Gomez-Brouchet, A.; Lambot, K. Bone cysts: Unicameral and aneurysmal bone cyst. Orthop. Traumatol. Surg. Res. OTSR 2015, 101 (Suppl. 1), S119–S127. [Google Scholar] [CrossRef]
- Lavi, E.; Gileles-Hillel, A.; Simanovsky, N.; Averbuch, D.; Wexler, I.D.; Berkun, Y. Pyogenic sacroiliitis in children: Don’t forget the very young. Eur. J. Pediatr. 2019, 178, 575–579. [Google Scholar] [CrossRef] [PubMed]
- Schaad, U.B.; McCracken, G.H.; Nelson, J.D. Pyogenic arthritis of the sacroiliac joint in pediatric patients. Pediatrics 1980, 66, 375–379. [Google Scholar] [CrossRef]
- Wada, A.; Takamura, K.; Fujii, T.; Yanagida, H.; Surijamorn, P. Septic sacroiliitis in children. J. Pediatr. Orthop. 2008, 28, 488–492. [Google Scholar] [CrossRef] [PubMed]
- Fernandez, M.; Carrol, C.L.; Baker, C.J. Discitis and vertebral osteomyelitis in children: An 18-year review. Pediatrics 2000, 105, 1299–1304. [Google Scholar] [CrossRef]
- Scheuerman, O.; Landau, D.; Schwarz, M.; Hoffer, V.; Marcus, N.; Hoffnung, L.A.; Levy, I. Cervical Discitis in Children. Pediatr. Infect. Dis. J. 2015, 34, 794–795. [Google Scholar] [CrossRef]
- Fuster, D.; Tomas, X.; Mayoral, M.; Soriano, A.; Manchon, F.; Cardenal, C.; Monegal, A.; Granados, U.; Garia, S.; Pons, F. Prospective comparison of whole-body (18)F-FDG PET/CT and MRI of the spine in the diagnosis of haematogenous spondylodiscitis. Eur. J. Nucl. Med. Mol. Imaging 2015, 42, 264–271. Available online: https://pubmed.ncbi.nlm.nih.gov/25186431/ (accessed on 15 October 2024). [CrossRef] [PubMed]
- Modic, M.T.; Feiglin, D.H.; Piraino, D.W.; Boumphrey, F.; Weinstein, M.A.; Duchesneau, P.M.; Rehm, S. Vertebral osteomyelitis: Assessment using MR. Radiology 1985, 157, 157–166. [Google Scholar] [CrossRef] [PubMed]
- Sen, R.K.; Tripathy, S.K.; Dhatt, S.; Saini, R.; Aggarwal, S.; Agarwal, A. Primary tuberculous pyomyositis of forearm muscles. Indian. J. Tuberc. 2010, 57, 34–40. [Google Scholar] [PubMed]
- Kim, J.Y.; Park, Y.H.; Choi, K.H.; Park, S.H.; Lee, H.Y. MRI of tuberculous pyomyositis. J. Comput. Assist. Tomogr. 1999, 23, 454–457. [Google Scholar] [CrossRef] [PubMed]
- Ergin, F.; Arslan, H.; Bilezikçi, B.; Ağildere, A.M.; Ozdemir, N. Primary tuberculosis in the gluteal muscle of a patient with chronic renal failure. A rare presentation. Nephron 2001, 89, 463–466. [Google Scholar] [CrossRef] [PubMed]
- Chen, W.L.; Lin, Y.F.; Tsai, W.C.; Tsao, Y.T. Unveiling tuberculous pyomyositis: An emerging role of immune reconstitution inflammatory syndrome. Am. J. Emerg. Med. 2009, 27, e1–e2. [Google Scholar] [CrossRef] [PubMed]
- Ahmed, J.; Homans, J. Tuberculosis pyomyosits of the soleus muscle in a fifteen-year-old boy. Pediatr. Infect. Dis. J. 2002, 21, 1169–1171. [Google Scholar] [CrossRef] [PubMed]
- Rajapakse, C.D.; Shingadia, D. Tuberculous pyomyositis of the left quadratus lumborum. Arch. Dis. Child. 2006, 91, 512. [Google Scholar] [CrossRef]
- Wang, W.Y.; Lin, F.C.F.; Tsao, T.Y.; Lu, J.J. Tuberculous myositis: An unusual presentation of extrapulmonary tuberculosis. J. Microbiol. Immunol. Infect. Wei Mian Yu Gan Ran Za Zhi 2007, 40, 79–82. [Google Scholar] [PubMed]
- Abdelwahab, I.F.; Bianchi, S.; Martinoli, C.; Klein, M.; Hermann, G. Atypical extraspinal musculoskeletal tuberculosis in immunocompetent patients: Part II, tuberculous myositis, tuberculous bursitis, and tuberculous tenosynovites. Can. Assoc. Radiol. J. Assoc. Can. Radiol. 2006, 57, 278–286. [Google Scholar]
- Knechtle, B.; Jastrzębski, Z.; Hill, L.; Nikolaidis, P.T. Vitamin D and Stress Fractures in Sport: Preventive and Therapeutic Measures—A Narrative Review. Medicina 2021, 57, 223. [Google Scholar] [CrossRef] [PubMed]
- Vajapey, S.; Matic, G.; Hartz, C.; Miller, T.L. Sacral Stress Fractures: A Rare but Curable Cause of Back Pain in Athletes. Sports Health 2019, 11, 446–452. [Google Scholar] [CrossRef]
- Creighton, A.; Holtzman, G.; Ziegler, C.; Prather, H. Sacral Pedicle Stress Fracture in an Adolescent Competitive Basketball and Track and Field Athlete with a Prior Femoral Physeal Injury: A Case Report. PMR 2019, 11, 657–660. [Google Scholar] [CrossRef] [PubMed]
- Lappe, J.; Cullen, D.; Haynatzki, G.; Recker, R.; Ahlf, R.; Thompson, K. Calcium and vitamin d supplementation decreases incidence of stress fractures in female navy recruits. J. Bone Miner. Res. Off. J. Am. Soc. Bone Miner. Res. 2008, 23, 741–749. [Google Scholar] [CrossRef]
- Miller, J.R.; Dunn, K.W.; Ciliberti, L.J.; Patel, R.D.; Swanson, B.A. Association of Vitamin D With Stress Fractures: A Retrospective Cohort Study. J. Foot Ankle Surg. Off. Publ. Am. Coll. Foot Ankle Surg. 2016, 55, 117–120. [Google Scholar] [CrossRef]
- Song, S.H.; Koo, J.H. Bone Stress Injuries in Runners: A Review for Raising Interest in Stress Fractures in Korea. J. Korean Med. Sci. 2020, 35, e38. [Google Scholar] [CrossRef]
- Alkhori, N.A.; Barth, R.A. Pediatric scrotal ultrasound: Review and update. Pediatr. Radiol. 2017, 47, 1125–1133. [Google Scholar] [CrossRef] [PubMed]
- Knight, P.J.; Vassy, L.E. The diagnosis and treatment of the acute scrotum in children and adolescents. Ann. Surg. 1984, 200, 664–673. [Google Scholar] [CrossRef]
- Anderson, J.B.; Williamson, R.C. The fate of the human testes following unilateral torsion of the spermatic cord. Br. J. Urol. 1986, 58, 698–704. [Google Scholar] [CrossRef]
- Patriquin, H.B.; Yazbeck, S.; Trinh, B.; Jéquier, S.; Burns, P.N.; Grignon, A.; Filiatrault, D.; Garel, L.; Dubois, J. Testicular torsion in infants and children: Diagnosis with Doppler sonography. Radiology 1993, 188, 781–785. [Google Scholar] [CrossRef] [PubMed]
- Serra, A.D.; Hricak, H.; Coakley, F.V.; Kim, B.; Dudley, A.; Morey, A.; Tschumper, B.; Carroll, P.R. Inconclusive clinical and ultrasound evaluation of the scrotum: Impact of magnetic resonance imaging on patient management and cost. Urology 1998, 51, 1018–1021. [Google Scholar] [CrossRef]
- Atkinson, G.O.; Patrick, L.E.; Ball, T.I.; Stephenson, C.A.; Broecker, B.H.; Woodard, J.R. The normal and abnormal scrotum in children: Evaluation with color Doppler sonography. AJR Am. J. Roentgenol. 1992, 158, 613–617. [Google Scholar] [CrossRef] [PubMed]
- Luker, G.D.; Siegel, M.J. Scrotal US in pediatric patients: Comparison of power and standard color Doppler US. Radiology 1996, 198, 381–385. [Google Scholar] [CrossRef] [PubMed]
- Watanabe, Y.; Dohke, M.; Ohkubo, K.; Ishimori, T.; Amoh, Y.; Okumura, A.; Oda, K.; Hayashi, T.; Dodo, Y.; Arai, Y. Scrotal disorders: Evaluation of testicular enhancement patterns at dynamic contrast-enhanced subtraction MR imaging. Radiology 2000, 217, 219–227. [Google Scholar] [CrossRef]
















| Toddler (Less Than 3 Years) | Child (3–10 Years) | Adolescent (11–19 Years) | Any Childhood Age |
|---|---|---|---|
| Cerebral palsy Congenital talipes equinovarus (Clubfoot) Congenital Achilles contracture Enteroviral infection (hand–foot-and-mouth disease) Immunisation reaction Limb-length discrepancy non-accidental trauma Toddler’s fracture Congenital vertical talus | Popliteal fossa cyst (Baker cyst) Köhler disease Dermatomyositis Myositis Legg–Calvé–Perthes disease Leukaemia Coalition of tarsals | Chondromalacia patellae Overuse syndromes Hypermobility syndrome Slipped capital femoral epiphysis (SCFE) Osgood–Schlatter disease Osteochondritis dissecans Sprain (or) strain Tendinopathies Tumour | Fracture Foreign body in foot Transient synovitis Cellulitis Contusion Septic arthritis Developmental dysplasia of hip (DDH) Reactive arthritis Juvenile idiopathic arthritis (JIA) Lyme ‘s disease arthritis osteomyelitis |
| Juvenile Idiopathic Arthritis (JIA) | Haemophagocytic Lymphohistiocytosis (HLH) | Tuberculosis Pyomyositis | Chronic Recurrent Multifocal Osteomyelitis (CRMO) | Ewing Sarcoma | Langerhans Cell Histiocytosis | |
|---|---|---|---|---|---|---|
| Musculoskeletal imaging features: plain film or CT |
| Musculoskeletal radiographic manifestations of HLH are nonspecific and overlap with infectious, inflammatory, and neoplastic disorders. They include the following: |
| Lesions can range between purely osteolytic, osteolytic with a sclerotic rim, mixed lytic and sclerotic, and purely sclerotic. | Very variable but usually clearly aggressive. Common findings: | Depends on the phase in which the lesion is imaged (e.g., healing phase) and the affected part of the body. It typically appears aggressive but respects growth plates. CT better demonstrates cortical erosions and soft tissue involvement. |
|
| |||||
| Musculoskeletal imaging features: MRI |
|
|
|
|
|
|
| Comment | Hepatosplenomegaly may be seen on abdominal radiographs, and pericardial or pleural effusions may be seen on chest radiographs in ‘Still disease’, i.e., systemic onset JIA. | Other organ systems are affected with their own manifestations, e.g., common chest radiograph findings include alveolar-interstitial opacities with pleural effusions, often with rapid evolution and resolution. | Predilection for the muscles of the pelvic girdle (the spine is generally the most common site of MSK involvement in TB). MRI is the preferred imaging method. Presentation may be with a soft tissue mass that has been present for a long time and constitutional symptoms, with this mimicking a malignant soft tissue mass. | Findings that should raise the possibility of haematogenous osteomyelitis over CRMO include the following: abscess, fistulous tracts, bony sequestrum, and large fluid collection. | Tumour within the long bones is almost always metadiaphyseal or diaphyseal. Ewing sarcomas demonstrate increased uptake on all three phases of Technetium99m methylene diphosphonate bone scans. | Imaging features are not pathognomonic and tissue diagnosis is usually required for a definitive diagnosis. Common lesion locations are the skull and long bones. |
Disclaimer/Publisher’s Note: The statements, opinions and data contained in all publications are solely those of the individual author(s) and contributor(s) and not of MDPI and/or the editor(s). MDPI and/or the editor(s) disclaim responsibility for any injury to people or property resulting from any ideas, methods, instructions or products referred to in the content. |
© 2025 by the authors. Licensee MDPI, Basel, Switzerland. This article is an open access article distributed under the terms and conditions of the Creative Commons Attribution (CC BY) license (https://creativecommons.org/licenses/by/4.0/).
Share and Cite
Chapala, S.; Giliyaru, S.; Botchu, R.; Saxena, S.; Iyengar, K.P.; Chandramohan, M. Pictorial Review of Paediatric Limp. Pediatr. Rep. 2025, 17, 14. https://doi.org/10.3390/pediatric17010014
Chapala S, Giliyaru S, Botchu R, Saxena S, Iyengar KP, Chandramohan M. Pictorial Review of Paediatric Limp. Pediatric Reports. 2025; 17(1):14. https://doi.org/10.3390/pediatric17010014
Chicago/Turabian StyleChapala, Shashank, Sahana Giliyaru, Rajesh Botchu, Suvinay Saxena, Karthikeyan P. Iyengar, and Muthusamy Chandramohan. 2025. "Pictorial Review of Paediatric Limp" Pediatric Reports 17, no. 1: 14. https://doi.org/10.3390/pediatric17010014
APA StyleChapala, S., Giliyaru, S., Botchu, R., Saxena, S., Iyengar, K. P., & Chandramohan, M. (2025). Pictorial Review of Paediatric Limp. Pediatric Reports, 17(1), 14. https://doi.org/10.3390/pediatric17010014

