Characterization of Disease Patterns in Children with Intracranial Abscesses for Enhanced Clinical Decision-Making
Abstract
1. Introduction
2. Materials and Methods
2.1. Patient Selection
2.2. MRI
2.3. Statistics



3. Results
3.1. Epidemiology
3.2. Clinical Symptoms
3.3. Treatment
3.4. Etiology
3.5. Statistical Feature Correlation Analysis
3.6. Recommendations for Clinical Decision-Making
4. Discussion
4.1. Coherent Clinical Presentation of Children with Intracranial Abscesses with a Streptococcal and Anaerobic Pathogen Spectrum
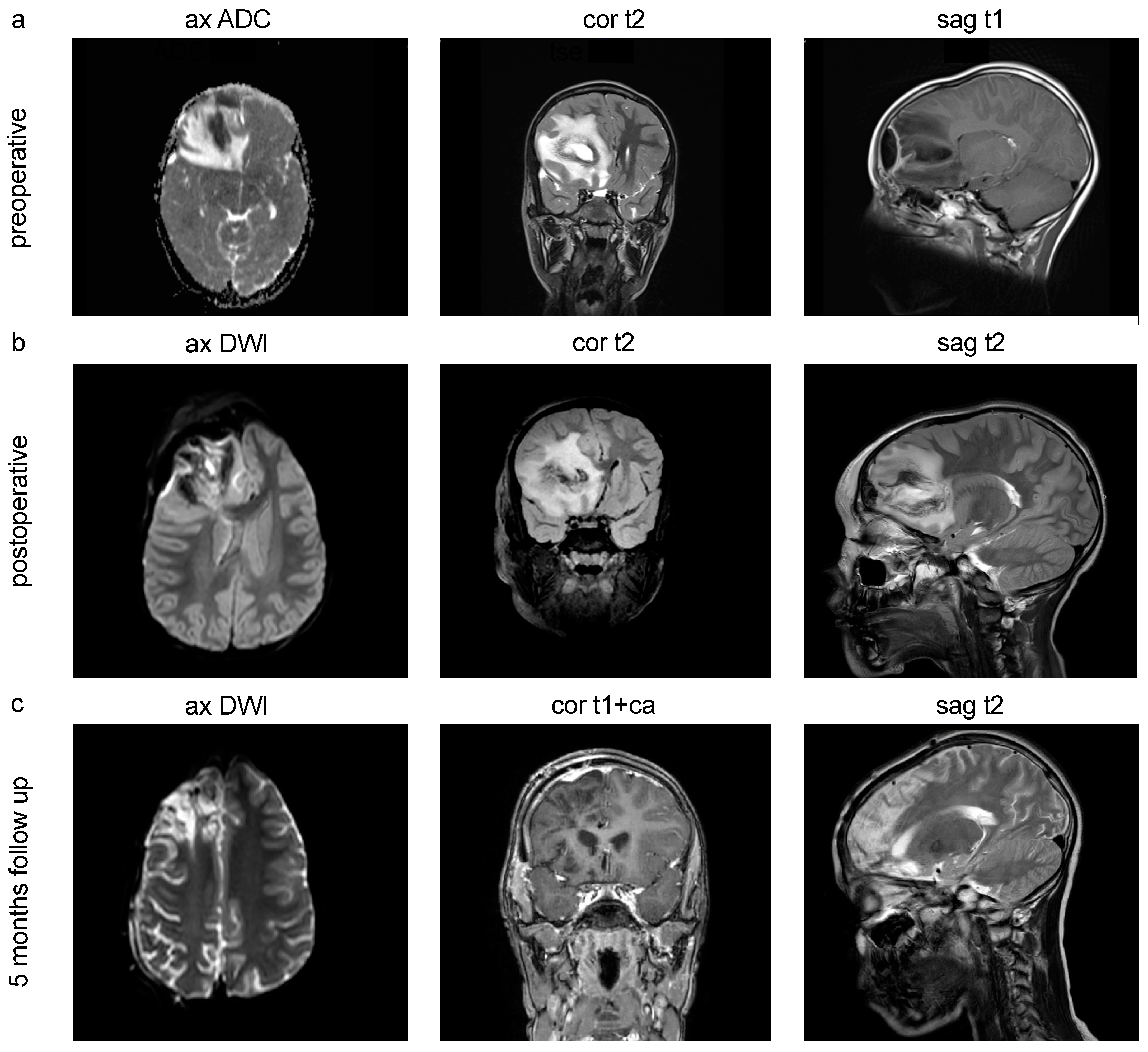
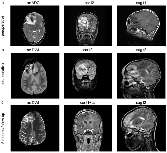
4.2. Sinusitis as the Primary Cause of Intracranial Abscesses in Children: Successful Outcomes with Neurosurgical Craniotomy and Antibiotic Treatment Resulting in No Fatalities
4.3. Feature Analysis Reveals Clinical Feature Combinations to Be Considered for Early Diagnostics and Treatment
4.4. Decreased Overall Transmission of Respiratory Pathogens During COVID-19 Pandemic Maybe Led to a Shift in Incidence and a Seasonal Increase in Intracerebral Abscesses in Children Due to a Catch-Up Effect
4.5. Close Follow-Up Examinations for Children with Neurological Deficits After Early Intervention of Intracranial Abscesses May Require an Individualized Rehabilitation Plan to Improve Outcomes
4.6. Strengths and Limitations
5. Conclusions
Supplementary Materials
Author Contributions
Funding
Institutional Review Board Statement
Informed Consent Statement
Data Availability Statement
Acknowledgments
Conflicts of Interest
References
- Miranda, H.A.; Castellar-Leones, S.M.; Elzain, M.A.; Moscote-Salazar, L.R. Brain abscess: Current management. J. Neurosci. Rural. Pract. 2013, 4, S67–S81. [Google Scholar] [CrossRef] [PubMed]
- BrBrouwer, M.C.; Coutinho, J.M.; van de Beek, D. Clinical characteristics and outcome of brain abscess: Systematic review and meta-analysis. Neurology 2014, 82, 806–813. [Google Scholar] [CrossRef]
- Sahbudak Bal, Z.; Eraslan, C.; Bolat, E.; Avcu, G.; Kultursay, N.; Ozkinay, F.; Kurugol, Z.; Vardar, F. Brain Abscess in Children: A Rare but Serious Infection. Clin. Pediatr. 2018, 57, 574–579. [Google Scholar] [CrossRef]
- Accorsi, E.K.; Hall, M.; Hersh, A.L.; Shah, S.S.; Schrag, S.J.; Cohen, A.L. Notes from the Field: Update on Pediatric Intracranial Infections—19 States and the District of Columbia, January 2016-March 2023. MMWR Morb. Mortal. Wkly. Rep. 2023, 72, 608–610. [Google Scholar] [CrossRef]
- Frazier, J.L.; Ahn, E.S.; Jallo, G.I. Management of brain abscesses in children. Neurosurg. Focus. 2008, 24, E8. [Google Scholar] [CrossRef] [PubMed]
- Brouwer, M.C.; van de Beek, D. Epidemiology, diagnosis, and treatment of brain abscesses. Curr. Opin. Infect. Dis. 2017, 30, 129–134. [Google Scholar] [CrossRef]
- Bonfield, C.M.; Sharma, J.; Dobson, S. Pediatric intracranial abscesses. J. Infect. 2015, 71 (Suppl. 1), S42–S46. [Google Scholar] [CrossRef]
- Felsenstein, S.; Williams, B.; Shingadia, D.; Coxon, L.; Riordan, A.; Demetriades, A.K.; Chandler, C.L.; Bassi, S.; Koutoumanou, E.; Stapleton, S.; et al. Clinical and microbiologic features guiding treatment recommendations for brain abscesses in children. Pediatr. Infect. Dis. J. 2013, 32, 129–135. [Google Scholar] [CrossRef] [PubMed]
- Sonneville, R.; Ruimy, R.; Benzonana, N.; Riffaud, L.; Carsin, A.; Tadie, J.M.; Piau, C.; Revest, M.; Tattevin, P.; the ESCMID Study Group for Infectious Diseases of the Brain (ESGIB). An update on bacterial brain abscess in immunocompetent patients. Clin. Microbiol. Infect. 2017, 23, 614–620. [Google Scholar] [CrossRef]
- English, B.K.; Gaur, A.H. The use and abuse of antibiotics and the development of antibiotic resistance. Adv. Exp. Med. Biol. 2010, 659, 73–82. [Google Scholar] [CrossRef]
- Kollef, M.H. Inadequate antimicrobial treatment: An important determinant of outcome for hospitalized patients. Clin. Infect. Dis. 2000, 31 (Suppl. 4), S131–S138. [Google Scholar] [CrossRef] [PubMed]
- Kim, H.Y. Statistical notes for clinical researchers: Chi-squared test and Fisher’s exact test. Restor. Dent. Endod. 2017, 42, 152–155. [Google Scholar] [CrossRef] [PubMed]
- McHugh, M.L. The chi-square test of independence. Biochem. Med. 2013, 23, 143–149. [Google Scholar] [CrossRef]
- Raffaldi, I.; Garazzino, S.; Castelli Gattinara, G.; Lipreri, R.; Lancella, L.; Esposito, S.; Giannini, A.M.; Montagnani, C.; Marseglia, G.L.; Pignata, C.; et al. Brain abscesses in children: An Italian multicentre study. Epidemiol. Infect. 2017, 145, 2848–2855. [Google Scholar] [CrossRef]
- Cole, T.S.; Clark, M.E.; Jenkins, A.J.; Clark, J.E. Pediatric focal intracranial suppuration: A UK single-center experience. Childs Nerv. Syst. 2012, 28, 2109–2114. [Google Scholar] [CrossRef]
- Ozsurekci, Y.; Kara, A.; Cengiz, A.B.; Celik, M.; Ozkaya-Parlakay, A.; Karadag-Oncel, E.; Ceyhan, M. Brain abscess in childhood: A 28-year experience. Turk. J. Pediatr. 2012, 54, 144–149. [Google Scholar] [PubMed]
- Bodilsen, J.; D’Alessandris, Q.G.; Humphreys, H.; Iro, M.A.; Klein, M.; Last, K.; Montesinos, I.L.; Pagliano, P.; Sipahi, O.R.; San-Juan, R.; et al. “European Society of Clinical Microbiology and infectious Diseases Guidelines on diagnosis and treatment of brain abscess in children and adults” Author’s reply. Clin. Microbiol. Infect. 2024, 30, 149–150. [Google Scholar] [CrossRef]
- Mameli, C.; Genoni, T.; Madia, C.; Doneda, C.; Penagini, F.; Zuccotti, G. Brain abscess in pediatric age: A review. Childs Nerv. Syst. 2019, 35, 1117–1128. [Google Scholar] [CrossRef]
- Lyu, W.; Wehby, G.L. Changes in Children’s Health Care Access and Utilization in the United States in the First 2 Years of the COVID-19 Pandemic. Acad. Pediatr. 2023, 23, 1572–1578. [Google Scholar] [CrossRef]
- Caminade, C.; McIntyre, K.M.; Jones, A.E. Impact of recent and future climate change on vector-borne diseases. Ann. N. Y. Acad. Sci. 2019, 1436, 157–173. [Google Scholar] [CrossRef]
- Shachor-Meyouhas, Y.; Bar-Joseph, G.; Guilburd, J.N.; Lorber, A.; Hadash, A.; Kassis, I. Brain abscess in children–epidemiology, predisposing factors and management in the modern medicine era. Acta Paediatr. 2010, 99, 1163–1167. [Google Scholar] [CrossRef] [PubMed]
- Sarno, L.D.; Cammisa, I.; Curatola, A.; Pansini, V.; Eftimiadi, G.; Gatto, A.; Chiaretti, A. A scoping review of the management of acute mastoiditis in children: What is the best approach? Turk. J. Pediatr. 2023, 65, 906–918. [Google Scholar] [CrossRef] [PubMed]
- Canpolat, M.; Ceylan, O.; Per, H.; Koc, G.; Tumturk, A.; Kumandas, S.; Patiroglu, T.; Doganay, S.; Gumus, H.; Unal, E.; et al. Brain abscesses in children: Results of 24 children from a reference center in Central Anatolia, Turkey. J. Child. Neurol. 2015, 30, 458–467. [Google Scholar] [CrossRef] [PubMed]
- Lee, C.G.; Kang, S.H.; Kim, Y.J.; Shin, H.J.; Choi, H.S.; Lee, J.H.; Lee, M.H. Brain abscess in Korean children: A 15-year single center study. Korean J. Pediatr. 2010, 53, 648–652. [Google Scholar] [CrossRef] [PubMed]
- Gelabert-Gonzalez, M.; Serramito-Garcia, R.; Garcia-Allut, A.; Cutrin-Prieto, J. Management of brain abscess in children. J. Paediatr. Child. Health 2008, 44, 731–735. [Google Scholar] [CrossRef] [PubMed]
- Gadgil, N.; Patel, A.J.; Gopinath, S.P. Open craniotomy for brain abscess: A forgotten experience? Surg. Neurol. Int. 2013, 4, 34. [Google Scholar] [CrossRef]
- Yang, Z.; Du, L.; Liu, R.; Jian, Z.; Wan, Y. Evaluation of Continuous Irrigation and Drainage with a Double-Cavity Sleeve Tube to Treat Brain Abscess. World Neurosurg. 2017, 106, 231–239. [Google Scholar] [CrossRef]
- Lundy, P.; Kaufman, C.; Garcia, D.; Partington, M.D.; Grabb, P.A. Intracranial subdural empyemas and epidural abscesses in children. J. Neurosurg. Pediatr. 2019, 24, 14–21. [Google Scholar] [CrossRef]
- Sheehan, J.P.; Jane, J.A.; Ray, D.K.; Goodkin, H.P. Brain abscess in children. Neurosurg. Focus. 2008, 24, E6. [Google Scholar] [CrossRef]
- Kirsch, F.; Lindemann, A.K.; Geppert, J.; Borzekowski, D.; Lohmann, M.; Bol, G.F. Personal Protective Measures during the COVID-19 Pandemic in Germany. Int. J. Infect. Dis. 2022, 121, 177–183. [Google Scholar] [CrossRef]
- Jung, C.M.; Han, M.; Cho, H.J.; Kim, C.H.; Jung, I.; Rha, M.S. Impact of Non-Pharmaceutical Interventions on the Incidence and Treatment of Chronic Rhinosinusitis during the COVID-19 Pandemic: A Nationwide Retrospective Cohort Study. J. Clin. Med. 2023, 12, 6629. [Google Scholar] [CrossRef] [PubMed]
- Marshall, J.S.; Warrington, R.; Watson, W.; Kim, H.L. An introduction to immunology and immunopathology. Allergy Asthma Clin. Immunol. 2018, 14, 49. [Google Scholar] [CrossRef] [PubMed]
- Cohen, R.; Ashman, M.; Taha, M.K.; Varon, E.; Angoulvant, F.; Levy, C.; Rybak, A.; Ouldali, N.; Guiso, N.; Grimprel, E. Pediatric Infectious Disease Group (GPIP) position paper on the immune debt of the COVID-19 pandemic in childhood, how can we fill the immunity gap? Infect. Dis. Now. 2021, 51, 418–423. [Google Scholar] [CrossRef] [PubMed]
- Cohen, R.; Levy, C.; Rybak, A.; Angoulvant, F.; Ouldali, N.; Grimprel, E. Immune debt: Recrudescence of disease and confirmation of a contested concept. Infect. Dis. Now. 2023, 53, 104638. [Google Scholar] [CrossRef]
Disclaimer/Publisher’s Note: The statements, opinions and data contained in all publications are solely those of the individual author(s) and contributor(s) and not of MDPI and/or the editor(s). MDPI and/or the editor(s) disclaim responsibility for any injury to people or property resulting from any ideas, methods, instructions or products referred to in the content. |
© 2024 by the authors. Licensee MDPI, Basel, Switzerland. This article is an open access article distributed under the terms and conditions of the Creative Commons Attribution (CC BY) license (https://creativecommons.org/licenses/by/4.0/).
Share and Cite
Middelkamp, M.; Kania, M.M.; Groth, F.S.; Ricklefs, F.L.; Dührsen, L. Characterization of Disease Patterns in Children with Intracranial Abscesses for Enhanced Clinical Decision-Making. Pediatr. Rep. 2024, 16, 1001-1013. https://doi.org/10.3390/pediatric16040085
Middelkamp M, Kania MM, Groth FS, Ricklefs FL, Dührsen L. Characterization of Disease Patterns in Children with Intracranial Abscesses for Enhanced Clinical Decision-Making. Pediatric Reports. 2024; 16(4):1001-1013. https://doi.org/10.3390/pediatric16040085
Chicago/Turabian StyleMiddelkamp, Maximilian, Marcus M. Kania, Friederike S. Groth, Franz L. Ricklefs, and Lasse Dührsen. 2024. "Characterization of Disease Patterns in Children with Intracranial Abscesses for Enhanced Clinical Decision-Making" Pediatric Reports 16, no. 4: 1001-1013. https://doi.org/10.3390/pediatric16040085
APA StyleMiddelkamp, M., Kania, M. M., Groth, F. S., Ricklefs, F. L., & Dührsen, L. (2024). Characterization of Disease Patterns in Children with Intracranial Abscesses for Enhanced Clinical Decision-Making. Pediatric Reports, 16(4), 1001-1013. https://doi.org/10.3390/pediatric16040085

