A Rare Ovarian Tumor: The Sclerosing Stromal You Do Not Expect—A Case Series in the Adolescent Population and a Literature Review
Abstract
1. Introduction
2. Materials and Methods
3. Institutional Cases and Literature Review
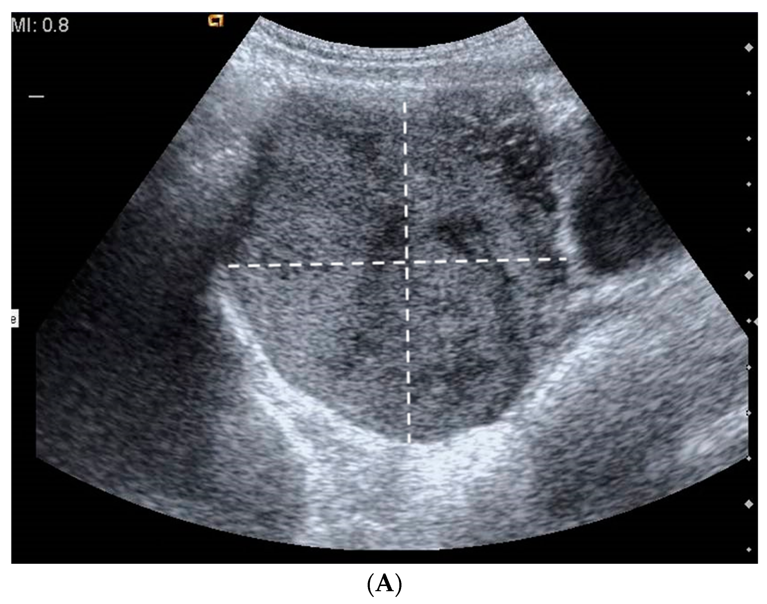
3.1. Case 1
3.2. Case 2
3.3. Case 3
3.4. Literature Review
4. Discussion
5. Conclusions
Author Contributions
Funding
Institutional Review Board Statement
Informed Consent Statement
Data Availability Statement
Conflicts of Interest
Abbreviations
References
- Chalvardjian, A.; Scully, R.E. Sclerosing stromal tumors of the ovary. Cancer 1973, 31, 664–670. [Google Scholar] [CrossRef]
- Peng, H.H.; Chang, T.C.; Hsueh, S. Sclerosing stromal tumor of ovary. Chang Gung Med. J. 2003, 26, 444–448. [Google Scholar]
- Bairwa, S.; Satarkar, R.N.; Kalhan, S.; Garg, S.; Sangwaiya, A.; Singh, P. Sclerosing Stromal Tumor: A Rare Ovarian Neoplasm. Iran J. Pathol. 2017, 12, 402–405. [Google Scholar] [CrossRef]
- Kaygusuz, E.I.; Cesur, S.; Cetiner, H.; Yavuz, H.; Koc, N. Sclerosing Stromal Tumour in Young Women: Clinicopathologic and Immunohistochemical Spectrum. J. Clin. Diagn. Res. 2013, 7, 1932–1935. [Google Scholar] [CrossRef]
- Park, S.M.; Kim, Y.N.; Woo, Y.J.; Choi, H.S.; Lee, J.S.; Heo, S.H.; Kim, C.J. A sclerosing stromal tumor of the ovary with masculinization in a premenarchal girl. Korean J. Pediatr. 2011, 54, 224–227. [Google Scholar] [CrossRef]
- Chang, W.; Oiseth, S.J.; Orentlicher, R.; Agarwal, G.; Yahr, L.J.; Cayten, C.G. Bilateral sclerosing stromal tumor of the ovaries in a premenarchal girl. Gynecol. Oncol. 2006, 101, 342–345. [Google Scholar] [CrossRef]
- Özdemir, Ö.; Sarı, M.E.; Şen, E.; Kurt, A.; İleri, A.B.; Atalay, C.R. Sclerosing stromal tumour of the ovary: A case report and the review of literature. Niger. Med. J. 2014, 55, 432–437. [Google Scholar] [CrossRef]
- Yen, E.; Deen, M.; Marshall, I. Youngest Reported Patient Presenting with an Androgen Producing Sclerosing Stromal Ovarian Tumor. J. Pediatr. Adolesc. Gynecol. 2014, 27, e121–e124. [Google Scholar] [CrossRef]
- Jung, N.H.; Kim, T.; Kim, H.J.; Lee, K.W.; Lee, N.W.; Lee, E.S. Ovarian sclerosing stromal tumor presenting as Meigs’ syndrome with elevated CA-125. J. Obstet. Gynaecol. Res. 2006, 32, 619–622. [Google Scholar] [CrossRef]
- Terauchi, F.; Onodera, T.; Nagashima, T.; Kobayashi, Y.; Moritake, T.; Oharaseki, T.; Ogura, H. Sclerosing stromal tumor of the ovary with elevated CA125. J. Obstet. Gynaecol. Res. 2005, 31, 432–435. [Google Scholar] [CrossRef]
- Bildirici, K.; Yalçin, O.T.; Ozalp, S.S.; Peker, B.; Ozden, H. Sclerosing stromal tumor of the ovary associated with Meigs’ syndrome: A case report. Eur. J. Gynaecol. Oncol. 2004, 25, 528–529. [Google Scholar]
- Onur, M.R.; Simsek, B.C.; Kazez, A. Sclerosing stromal tumor of the ovary: Ultrasound elastography and MRI findings on preoperative diagnosis. J. Med. Ultrason. 2011, 38, 217–220. [Google Scholar] [CrossRef]
- Momtahan, M.; Akbarzadeh-Jahromi, M.; Najib, F.S.; Namazi, N. Different Presentations of Five Rare Cases of Sclerosing Stromal Tumor of the Ovary. Indian J. Surg. Oncol. 2018, 9, 581–584. [Google Scholar] [CrossRef]
- Dilbaz, B.; Tasci, Y.; Ulular, N.; Demir, O.F.; Goktolga, U. Sclerosing Stromal Tumor of The Ovary: A Case Report. J. Turk. Soc. Obstet. Gynecol. 2011, 8, 286. [Google Scholar] [CrossRef]
- Young, J.L., Jr.; Cheng Wu, X.; Roffers, S.D.; Howe, H.L.; Correa, C.; Weinstein, R. Ovarian cancer in children and young adults in the United States, 1992–1997. Cancer 2003, 97, 2694–2700. [Google Scholar] [CrossRef]
- Taskinen, S.; Fagerholm, R.; Lohi, J.; Taskinen, M. Pediatric ovarian neoplastic tumors: Incidence, age at presentation, tumor markers and outcome. Acta Obstet. Et Gynecol. Scand. 2015, 94, 425–429. [Google Scholar] [CrossRef]
- Lam, R.M.Y.; Geittmann, P. Sclerosing Stromal Tumor of the Ovary; A Light, Electron Microscopic and Enzyme Histochemical Study. Int. J. Gynecol. Pathol. 1988, 7, 280–290. [Google Scholar] [CrossRef]
- Tiltman, A.J.; Haffajee, Z. Sclerosing Stromal Tumors, Thecomas, and Fibromas of the Ovary: An Immunohistochemical Profile. Int. J. Gynecol. Pathol. 1999, 18, 254–258. [Google Scholar] [CrossRef]
- Ismail, S.M.; Walker, S.M. Bilateral virilizing sclerosing stromal tumours of the ovary in a pregnant woman with Gorlin’s syndrome: Implications for pathogenesis of ovarian stromal neoplasms. Histopathology 1990, 17, 159–163. [Google Scholar] [CrossRef]
- Stylianidou, A.; Varras, M.; Akrivis, C.; Fylaktidou, A.; Stefanaki, S.; Antoniou, N. Sclerosing stromal tumor of the ovary: A case report and review of the literature. Eur. J. Gynaecol. Oncol. 2001, 22, 300–304. [Google Scholar]
- Naidu, A.; Chung, B.; Simon, M.; Marshall, I. Bilateral Sclerosing Stromal Ovarian Tumor in an Adolescent. Case Rep. Radiol. 2015, 2015, 271394. [Google Scholar] [CrossRef]
- Chang, Y.W.; Hong, S.S.; Jeen, Y.M.; Kim, M.K.; Suh, E.S. Bilateral sclerosing stromal tumor of the ovary in a premenarchal girl. Pediatr. Radiol. 2009, 39, 731–734. [Google Scholar] [CrossRef]
- Devins, K.M.; Young, R.H.; Watkins, J.C. Sclerosing stromal tumour: A clinicopathological study of 100 cases of a distinctive benign ovarian stromal tumour typically occurring in the young. Histopathology 2022, 80, 360–368. [Google Scholar] [CrossRef]
- Matsutani, H.; Nakai, G.; Yamada, T.; Yamamoto, K.; Ohmichi, M.; Narumi, Y. Diversity of imaging features of ovarian sclerosing stromal tumors on MRI and PET-CT: A case report and literature review. J. Ovarian Res. 2018, 11, 101. [Google Scholar] [CrossRef]
- Chen, Q.; Chen, Y.H.; Tang, H.Y.; Shen, Y.M.; Tan, X. Sclerosing stromal tumor of the ovary with masculinization, Meig’s syndrome and CA125 elevation in an adolescent girl: A case report. World J. Clin. Cases 2020, 8, 6364–6372. [Google Scholar] [CrossRef]
- Mahadevappa, A. Unusual presentation of benign ovarian tumor- A case report. Indian J. Res. Rep. Med. Sci. 2012, 2, 42–44. [Google Scholar]
- Ahuja, C.; Tymon-Rosario, J.; Rottmann, D.; Raad, R.A.; Silasi, D.A.; Vash-Margita, A. Minimally Invasive Ovarian-Preserving Approach for the Management of a Sclerosing Stromal Tumor in an Adolescent: A Case Report. J. Pediatr. Adolesc. Gynecol. 2022, 35, 505–508. [Google Scholar] [CrossRef]
- Damjanov, I.; Probnjak, P.; Grizelj, V.; Longhino, N. Sclerosing stromal tumor of the ovary: A Hormonal and Ultrastructural Analysis. Obstet. Gynecol. 1975, 45, 675–678. [Google Scholar] [CrossRef]
- Limaiem, F.; Boudabous, E.; Ben Slama, S.; Chelly, B.; Lahmar, A.; Bouraoui, S.; Gara, F.; Mzabi, S. Sclerosing stromal tumour of the ovary: Two case reports. Pathologica 2013, 105, 62–65. [Google Scholar]
- Duzcu, S.; Tosyali, Y.; Gurbuzel, M.; Cetin, A. A Rare Benign Tumor of the Ovary: A Case of Sclerosing Stromal Tumor and Review of the Literature. Jinekoloji Obstet. Pediatri Ve Pediatr. Cerrahi Derg. 2013, 5, 43–46. [Google Scholar]
- Vecchio, V.D.; Cardinale, S.; Carlucci, N.A.; Trojano, G. Sclerosing stromal tumor (SST) of the ovary: A case report and review of the literature. Eur. J. Gynaecol. Oncol. 2021, 42, 213–217. [Google Scholar]
- Squillaro, A.I.; Zhou, S.; Thomas, S.M.; Kim, E.S. A 10-Month-Old Infant Presenting with Signs of Precocious Puberty Secondary to a Sclerosing Stromal Tumor of the Ovary in the Absence of Hormonal Elevation. Pediatr. Dev. Pathol. 2019, 22, 375–379. [Google Scholar] [CrossRef]
- Atram, M.; Anshu Sharma, S.; Gangane, N. Sclerosing stromal tumor of the ovary. Obstet. Gynecol. Sci. 2014, 57, 405–408. [Google Scholar] [CrossRef]
- Chaurasia, J.K.; Afroz, N.; Maheshwari, V.; Naim, M. Sclerosing stromal tumour of the ovary presenting as precocious puberty: A rare neoplasm. Case Rep. 2014, bcr2013201124. [Google Scholar] [CrossRef]
- Jiang, M.J.; Le, Q.; Yang, B.; Yuan, F.; Chen, H. Ovarian sex cord stromal tumours: Analysis of the clinical and sonographic characteristics of different histopathologic subtypes. J. Ovarian Res. 2021, 14, 53. [Google Scholar] [CrossRef]
- Hillaby, K.; Aslam, N.; Salim, R.; Lawrence, A.; Raju, K.S.; Jurkovic, D. The value of detection of normal ovarian tissue (the ‘ovarian crescent sign’) in the differential diagnosis of adnexal masses. Ultrasound Obstet. Gynecol. 2004, 23, 63–67. [Google Scholar] [CrossRef]
- Yazbek, J.; Aslam, N.; Tailor, A.; Hillaby, K.; Raju, K.S.; Jurkovic, D. A comparative study of the risk of malignancy index and the ovarian crescent sign for the diagnosis of invasive ovarian cancer. Ultrasound Obstet. Gynecol. 2006, 28, 320–324. [Google Scholar] [CrossRef]
- Stankovic, Z.B.; Bjelica, A.; Djukic, M.K.; Savic, D. Value of ultrasonographic detection of normal ovarian tissue in the differential diagnosis of adnexal masses in pediatric patients. Ultrasound Obstet. Gynecol. 2010, 36, 88–92. [Google Scholar] [CrossRef]
- Renaud, E.J.; Sømme, S.; Islam, S.; Cameron, D.B.; Gates, R.L.; Williams, R.F.; Jancelewicz, T.; Oyetunji, T.A.; Grabowski, J.; Diefenbach, K.A.; et al. Ovarian masses in the child and adolescent: An American Pediatric Surgical Association Outcomes and Evidence-Based Practice Committee systematic review. J. Pediatr. Surg. 2019, 54, 369–377. [Google Scholar] [CrossRef]
- Stanković, Z.B.; Sedlecky, K.; Savić, D.; Lukač, B.J.; Mažibrada, I.; Perovic, S. Ovarian Preservation from Tumors and Torsions in Girls: Prospective Diagnostic Study. J. Pediatr. Adolesc. Gynecol. 2017, 30, 405–412. [Google Scholar] [CrossRef]
- Jung, S.E.; Rha, S.E.; Lee, J.M.; Park, S.Y.; Oh, S.N.; Cho, K.S.; Lee, E.J.; Byun, J.Y.; Hahn, S.T. CT and MRI Findings of Sex Cord–Stromal Tumor of the Ovary. Am. J. Roentgenol. 2005, 185, 207–215. [Google Scholar] [CrossRef]
- Goebel, E.A.; McCluggage, W.G.; Walsh, J.C. Mitotically Active Sclerosing Stromal Tumor of the Ovary: Report of a Case Series with Parallels to Mitotically Active Cellular Fibroma. Int. J. Gynecol. Pathol. 2016, 35, 549–553. [Google Scholar] [CrossRef]
- Zhang, X.; Li, H.; Li, L.; Zhang, H.; Zhang, T.; Liu, X. Sclerosing stromal tumor with marked atypia that mimics an undifferentiated sarcoma. Pathol. Int. 2020, 70, 53–55. [Google Scholar] [CrossRef]
- Schneider, D.T.; Jänig, U.; Calaminus, G.; Göbel, U.; Harms, D. Ovarian sex cord stromal tumors, a clinicopathological study of 72 cases from the Kiel Pediatric Tumor Registry. Virchows Archiv. 2003, 443, 549–560. [Google Scholar] [CrossRef]
- Young, R.H. Ovarian sex cord-stromal tumours and their mimics. Pathology 2018, 50, 5–15. [Google Scholar] [CrossRef]
- Kurman, R.J. WHO Classification of Tumours of Female Reproductive Organs, 4th ed.; World Health Organization, Ed.; International Agency for Research on Cancer: Lyon, France, 2014. [Google Scholar]
- Scully, R.E.; Young, R.H.; Clement, P.B. Tumors of the Ovary, Maldeveloped Gonads, Fallopian Tube, and Broad Ligament; Armed Forces Institute of Pathology: Silver Spring, MD, USA, 1998.
- Park, C.K.; Kim, H.S. Clinicopathological Characteristics of Ovarian Sclerosing Stromal Tumor with an Emphasis on TFE3 Overexpression. Anticancer Res. 2017, 37, 5441–5447. [Google Scholar]
- Billmire, D.; Vinocur, C.; Rescorla, F.; Cushing, B.; London, W.; Schlatter, M.; Davis, M.; Giller, R.; Lauer, S.; Olson, T. Outcome and staging evaluation in malignant germ cell tumors of the ovary in children and adolescents: An intergroup study. J. Pediatr. Surg. 2004, 39, 424–429. [Google Scholar] [CrossRef]
- Lind, T.; Holte, J.; I Olofsson, J.; Hadziosmanovic, N.; Gudmundsson, J.; Nedstrand, E.; Lood, M.; Berglund, L.; Rodriguez-Wallberg, K. Reduced live-birth rates after IVF/ICSI in women with previous unilateral oophorectomy: Results of a multicentre cohort study. Hum. Reprod. 2018, 33, 238–247. [Google Scholar] [CrossRef]
- Hendricks, M.S.; Chin, H.; Loh, S.F. Treatment outcome of women with a single ovary undergoing in vitro fertilisation cycles. Singap. Med. J. 2010, 51, 698–701. [Google Scholar]
- Bjelland, E.K.; Wilkosz, P.; Tanbo, T.G.; Eskild, A. Is unilateral oophorectomy associated with age at menopause? A population study (the HUNT2 Survey). Hum. Reprod. 2014, 29, 835–841. [Google Scholar] [CrossRef]
- Gasparri, M.L.; Ruscito, I.; Braicu, E.I.; Sehouli, J.; Tramontano, L.; Costanzi, F.; De Marco, M.P.; Mueller, M.D.; Papadia, A.; Caserta, D.; et al. Biological Impact of Unilateral Oophorectomy: Does the Number of Ovaries Really Matter? Geburtshilfe Frauenheilkd 2021, 81, 331–338. [Google Scholar] [CrossRef]



| Patient | Year | Age | Laterality | Tumor Size (cm) | Clinical | Markers | Blood Exam | Gross Appearance | Surgery | Microscopically | Immunoistochemical Features | Follow-Up |
|---|---|---|---|---|---|---|---|---|---|---|---|---|
| E.G. (Case 1) | 2009 | 13 years | Right | 8 × 7.8 × 7 | Menstrual irregularities | Normal | Normal | Solid mass | Oophorectomy | Characteristic for sclerosing stromal tumor | / | 72 months |
| S.S.A (Case 2) | 2016 | 13 years | Left | 10 × 9.5 × 9 | Menstrual irregularities | Normal | Normal | Solid mass | Salpingo-oophorectomy | Characteristic for sclerosing stromal tumor | Inhibin + vimentin + actin + desmin. +/− | 60 months |
| L.P.T.L. (Case 3) | 2018 | 13 years | Right | 3.1 × 2.8 × 2.7 | Abdominal pain Amenorrhea | / | Normal | Solid mass | Salpingo-oophorectomy | Characteristic for sclerosing stromal tumor | Inhibin + calretinin + vimentin + actin + S-100 − EMA − CD34 − | 24 months |
| Author | Year | Age | Laterality | Tumor Size (cm) | Clinical Presentation | Markers | HT | Surgery | Follow-Up |
|---|---|---|---|---|---|---|---|---|---|
| Ahuja | 2022 | 13 years | left | 11 | Abdominal pain | ↑ CA 125 ↑ inhibin-A | ↑ T | Mass resection | 3 months |
| Del Vecchio | 2020 | 17 years | Right | 4.6 × 4.1 × 4.5 | Menstrual irregularity Abnominal pain | Normal | Normal | Mass resection | 2 months |
| Chen | 2020 | 17 years | Right | 27 × 21 × 5.5 | Virilization. Amenorrhea Meig’s syndrome | ↑ CA 125 | ↑ T ↑ A4 | Salpingo-oophorectomy | 22 months |
| Zhang | 2019 | 11 years | Left | 9 | Abdominal pain | Normal | Normal | Ovarian cystectomy | 60 months |
| Squillaro | 2018 | 10 months | Right | 2.7 × 2.5 × 1.7 | Precocious puberty Vaginal bleeding | Normal | Normal | Salpingo-oophorectomy | / |
| Matsutani | 2018 | 17 years | Left | 15 | Abdominal pain | ↑ CA 125 | Normal | Oophorectomy, omentectomy | / |
| Momtahan [13] | 2018 | 17 years | Right | 8 × 9 | Abdominal pain | Normal | / | Salpingo-oophorectomy | / |
| Yesil | 2016 | 17 years | Left | 5 × 4 | Abdominal pain | / | / | Paraovarian mass resection | / |
| Naidu | 2015 | 14 years | Bilateral | 11 × 9 × 8 | Primary amenorrhea | Normal | ↑ T ↑ 17OHP | Left salpingo-oophorectomy - right ovarian cystectomy | 3 months |
| Atram | 2014 | 15 years | Right | 8 × 5 × 3 | Mestrual irregularity Pelvic pain | / | / | / | / |
| Chaurasia | 2014 | 7 years | Right | 16 × 12.5 × 10 | Precocious puberty Vaginal bleeding | Normal | ↑ E2 | Salpingo-oophorectomy | 60 months |
| Yen | 2014 | 9 years | Left | 15 × 8.5 × 6 | Virilization | Normal | ↑ T ↑ A4 ↑ 17OHP ↑ DHEAS | Salpingo-oophorectomy | 2 months |
| Limaiem | 2013 | 16 years | Left | 15 × 11 × 7 | Mestrual irregularity Pelvic pain | Normal | Normal | Salpingo-oophorectomy | / |
| Mahadevappa | 2012 | 16 years | Left | 17 × 13 × 5 | Mestrual irregularity Abdominal mass Meig’s syndrome | ↑ CA 125 | Normal | Mass resection | / |
| Duzcu | 2012 | 17 years | / | 7.5 | Mestrual irregularity | Normal | / | / | / |
| Dilbaz [14] | 2011 | 14 years | Right | 8 | Menometrorrhagia Dysmenorrhea Pelvic pain | Normal | Normal | Mass resection | / |
| Onur | 2011 | 12 years | Right | 5 | Mestrual irregularity Abdominal pain | Normal | Normal | Salpingo-oophorectomy | / |
| Park | 2011 | 11 years | Left | 9 | Virilization | Normal | ↑ T ↑ A4 ↑ 17OHP ↑ DHEAS | Oophorectomy | 6 month |
| Author | Year | Gross Appearence | Microscopically | Immunoistochemical Features |
|---|---|---|---|---|
| Ahuja | 2022 | Tan-yellow solid mass | pseudolobular pattern, hypercellular and hypocellular myxoid areas with prominent, branching vasculature. Luteinized cells and occasional interspersed spindled cells were noted | / |
| Del Vecchio | 2020 | Solid mass | Pseudolobular pattern alternating hypocellular and hypercellular areas, the presence of luteinized theca-like cells with vacuolated cytoplasm and fusiform fibroblasts-like cells, fibrosis and oedematous stroma | inhibin + calretinin + actin + Ki67 < 10% |
| Chen | 2020 | Cystic and solid, encapsulated mass | Pseudolobular pattern, round and short spindle cells were predominant. | inhibin + calretinin + CD99 + SMA − EMA − CK − Desmin − Ki67 3% |
| Zhang | 2019 | Cystic and solid, encapsulated mass | Pseudolobular pattern, theca-like cells with eccentric nuclei, spindle-shaped fibroblast-like cells with elongated nuclei | inhibin + calretinin + vimentin + CD99 + SMA + CD34 + Ki67 15% |
| Squillaro | 2018 | Tan-pink, smooth, and glistening surface | Multiple nodules with central hyalinization and scattered degenerative vacuolated cells surrounded by fibroblast-like cells, resembling corpora albicantia-like appearance | inhibin + calretinin + SMA − CD34 − |
| Matsutani | 2018 | Cystic mass | Pseudolobular pattern, collagen-producing bland spindled cells and rounded epithelioid cells | inhibin + |
| Momtahan [13] | 2018 | Dermoid cyst like | / | / |
| Yesil | 2016 | Cystic mass | Pseudolobular pattern in which cellular spindle cell zones alternated with edem- atous and collagenous hypocellular zones | inhibin + calretinin + CD99+ SMA + Desmin − Caldesmon − Ki67 10% |
| Naidu | 2015 | Left: solid encapsulated mass with focal calcification Right: solid lobulated mass | Pseudolobular pattern, collagen-producing spindled cells and hypocellular areas with focally edematous and fibrous stroma | / |
| Atram | 2014 | Ovarian torsion, solid, cystic mass | Pseudolobular pattern, spindle shaped and round to oval cells with vesicular nuclei and a moderate amount of eosinophilic cytoplasm | / |
| Chaurasia | 2014 | Encapsulated ovarian mass | Pseudolobular pattern, spindle and round vacuolated clear cells. | inhibin + vimentin + SMA + CK − |
| Yen | 2014 | Solid mass | Spindle cells, with elongated nuclei with pointy ends and scant cytoplasm. Hypercellular areas: cells with vacuolated or eosinophilic cytoplasm, round nuclei and small nucleoli | inhibin + calretinin + vimentin + CD34 − EMA − |
| Limaiem | 2013 | Solid mass | Pseudolobular pattern, oedematous and collagenous areas, spindle-shaped cells | inhibin + vimentin + SMA + CK − |
| Mahadevappa | 2012 | Solid mass | Pseudolobular pattern. Hypercellular areas: spindle-shaped cells, polygonal tumor cellsmyoid cells. Residual ovarian tissue | / |
| Duzcu | 2012 | Solid mass | Cell areas with vacuoles and cytoplasm with prominent nuclei. Presence of round-oval shaped cells and spindle cells. | inhibin + calretinin + vimentin + ER − PR + SMA + AFP − EMA − CK − |
| Dilbaz [14] | 2011 | Solid mass | Pseudolobular pattern, vacuolated spindle and polygonal cells | / |
| Onur | 2011 | Solid mass | Cellular areas and edematous and hyalinized stromal elements. Cellular areas included spindle-shaped fibroblasts and polygonal cells with vacuolated cytoplasm | inhibin + vimentin + |
| Park | 2011 | Solid mass | Fibroblasts, rounded vacuolated cells and prominent thin walled vessels, edematous and collagenous hypocellular areas | inhibin + vimentin + SMA + S100 − CK − |
Disclaimer/Publisher’s Note: The statements, opinions and data contained in all publications are solely those of the individual author(s) and contributor(s) and not of MDPI and/or the editor(s). MDPI and/or the editor(s) disclaim responsibility for any injury to people or property resulting from any ideas, methods, instructions or products referred to in the content. |
© 2023 by the authors. Licensee MDPI, Basel, Switzerland. This article is an open access article distributed under the terms and conditions of the Creative Commons Attribution (CC BY) license (https://creativecommons.org/licenses/by/4.0/).
Share and Cite
Lucchetti, M.C.; Diomedi-Camassei, F.; Orazi, C.; Tassi, A. A Rare Ovarian Tumor: The Sclerosing Stromal You Do Not Expect—A Case Series in the Adolescent Population and a Literature Review. Pediatr. Rep. 2023, 15, 20-32. https://doi.org/10.3390/pediatric15010004
Lucchetti MC, Diomedi-Camassei F, Orazi C, Tassi A. A Rare Ovarian Tumor: The Sclerosing Stromal You Do Not Expect—A Case Series in the Adolescent Population and a Literature Review. Pediatric Reports. 2023; 15(1):20-32. https://doi.org/10.3390/pediatric15010004
Chicago/Turabian StyleLucchetti, Maria Chiara, Francesca Diomedi-Camassei, Cinzia Orazi, and Alice Tassi. 2023. "A Rare Ovarian Tumor: The Sclerosing Stromal You Do Not Expect—A Case Series in the Adolescent Population and a Literature Review" Pediatric Reports 15, no. 1: 20-32. https://doi.org/10.3390/pediatric15010004
APA StyleLucchetti, M. C., Diomedi-Camassei, F., Orazi, C., & Tassi, A. (2023). A Rare Ovarian Tumor: The Sclerosing Stromal You Do Not Expect—A Case Series in the Adolescent Population and a Literature Review. Pediatric Reports, 15(1), 20-32. https://doi.org/10.3390/pediatric15010004

