An Unusual Occurrence of Erythrocytosis in a Child with Nephrotic Syndrome and Advanced Chronic Kidney Disease
Abstract
:1. Introduction
2. Materials and Methods
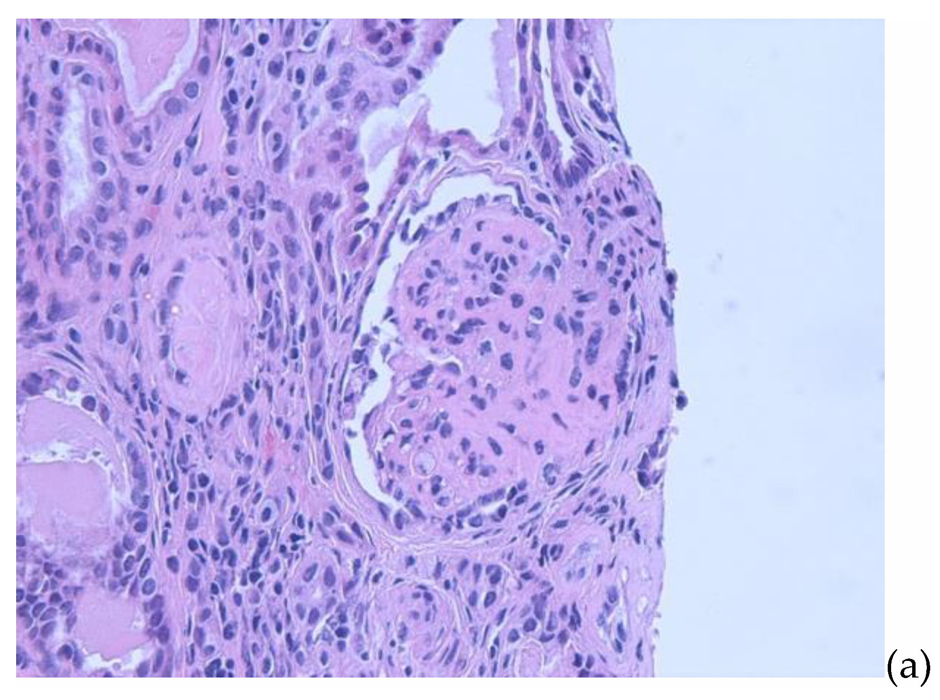
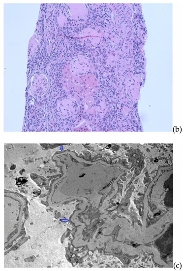
3. Case Presentation
4. Discussion
5. Conclusions
Author Contributions
Funding
Institutional Review Board Statement
Informed Consent Statement
Data Availability Statement
Conflicts of Interest
References
- McMullin, M.F. The classification and diagnosis of erythrocytosis. Int. J. Lab. Hematol. 2008, 30, 447–459. [Google Scholar] [CrossRef] [PubMed]
- Balal, M.; Seyrek, N.; Karayaylali, I.; Paydas, S. A unique form of polycythemia associated with minimal change disease. Med. Princ. Pract. 2004, 13, 366–368. [Google Scholar] [CrossRef] [PubMed]
- Nagaraju, S.P.; Bairy, M.; Attur, R.P.; Sambhaji, C.J. Cerebral venous thrombosis and secondary polycythemia in a case of nephrotic syndrome. Saudi J. Kidney Dis. Transpl. 2016, 27, 391–394. [Google Scholar] [CrossRef]
- Sun, L.; Xu, C. Portal vein thrombosis as the first sign of nephrotic syndrome. Nat. Clin. Pract. Nephrol. 2008, 4, 342–345. [Google Scholar] [CrossRef]
- Sonneborn, R.; Perez, G.O.; Epstein, M.; Martelo, O.; Pardo, V. Erythrocytosis associated with the nephrotic syndrome. Arch. Intern. Med. 1977, 137, 1068–1072. [Google Scholar] [CrossRef] [PubMed]
- Myers, D.I.; Ciuffo, A.A.; Cooke, C.R. Focal glomerulosclerosis and erythrocytosis. Johns Hopkins Med. J. 1979, 145, 192–195. [Google Scholar] [PubMed]
- Stark, S.; Winkelmann, B.; Kluthe, C.; Roigas, J.; Querfeld, U.; Müller, D. Polycythemia and increased erythropoietin in a patient with chronic kidney disease. Nat. Clin. Pract. Nephrol. 2007, 3, 222–226. [Google Scholar] [CrossRef] [PubMed]
- Nistico, A.; Iliescu, E.A.; Fitzpatrick, M.; White, C.A. Polycythemia due to obstructive sleep apnea in a patient on hemodialysis. Hemodial. Int. 2010, 14, 333–336. [Google Scholar] [CrossRef]
- Middleton, S.A.; Barbone, F.P.; Johnson, D.L.; Thurmond, R.L.; You, Y.; McMahon, F.J.; Jin, R.; Livnah, O.; Tullai, J.; Farrell, F.X.; et al. Shared and unique determinants of the erythropoietin (EPO) receptor are important for binding EPO and EPO mimetic peptide. J. Biol. Chem. 1999, 274, 14163–14169. [Google Scholar] [CrossRef] [Green Version]
- Jelkmann, W. Molecular biology of erythropoietin. Intern. Med. 2004, 43, 649–659. [Google Scholar] [CrossRef] [Green Version]
- Bento, C.; Percy, M.J.; Gardie, B.; Maia, T.M.; van Wijk, R.; Perrotta, S.; della Ragione, F.; Almeida, H.; Rossi, C.; Girodon, F.; et al. ECE-Consortium. Genetic basis of congenital erythrocytosis: Mutation update and online databases. Hum. Mutat. 2014, 35, 15–26. [Google Scholar] [CrossRef] [Green Version]
- Mossuz, P.; Girodon, F.; Donnard, M.; Latger-Cannard, V.; Dobo, I.; Boiret, N.; Lecron, J.C.; Binquet, C.; Barro, C.; Hermouet, S.; et al. Diagnostic value of serum erythropoietin level in patients with absolute erythrocytosis. Haematologica 2004, 89, 1194–1198. [Google Scholar]
- Cario, H.; McMullin, M.F.; Bento, C.; Pospisilova, D.; Percy, M.J.; Hussein, K.; Schwarz, J.; Aström, M.; Hermouet, S. Erythrocytosis in children and adolescents-classification, characterization, and consensus recommendations for the diagnostic approach. Pediatr. Blood Cancer 2013, 60, 1734–1738. [Google Scholar] [CrossRef]
- Trautmann, A.; Lipska-Ziętkiewicz, B.S.; Schaefer, F. Exploring the Clinical and Genetic Spectrum of Steroid Resistant Nephrotic Syndrome: The PodoNet Registry. Front. Pediatr. 2018, 17, 200. [Google Scholar] [CrossRef]
- Vivante, A.; Hildebrandt, F. Exploring the genetic basis of early-onset chronic kidney disease. Nat. Rev. Nephrol. 2016, 12, 133–146. [Google Scholar] [CrossRef] [Green Version]
- Iorember, F.; Aviles, D. Anemia in nephrotic syndrome: Approach to evaluation and treatment. Pediatr. Nephrol. 2017, 32, 1323–1330. [Google Scholar] [CrossRef]
- Mähr, N.; Neyer, U.; Prischl, F.; Kramar, R.; Mayer, G.; Kronenberg, F.; Lhotta, K. Proteinuria and hemoglobin levels in patients with primary glomerular disease. Am. J. Kidney Dis. 2005, 46, 424–431. [Google Scholar] [CrossRef] [PubMed]
- Vaziri, N.D.; Kaupke, C.J.; Barton, C.H.; Gonzales, E. Plasma concentration and urinary excretion of erythropoietin in adult nephrotic syndrome. Am. J. Med. 1992, 92, 35–40. [Google Scholar] [CrossRef]
- Kemper, M.J.; Bello, A.B.; Altrogge, H.; Timmermann, K.; Ludwig, K.; Müller-Wiefel, D.E. Iron homeostasis in relapsing steroid-sensitive nephrotic syndrome of childhood. Clin. Nephrol. 1999, 52, 25–29. [Google Scholar]
- Feinstein, S.; Becker-Cohen, R.; Algur, N.; Raveh, D.; Shalev, H.; Shvil, Y.; Frishberg, Y. Erythropoietin deficiency causes anemia in nephrotic children with normal kidney function. Am. J. Kidney Dis. 2001, 37, 736–742. [Google Scholar] [CrossRef]
- Zhou, X.J.; Vaziri, N.D. Erythropoietin metabolism and pharmacokinetics in experimental nephrosis. Am. J. Physiol. 1992, 263 Pt 2, F812–F815. [Google Scholar] [CrossRef]
- Lim, C.S.; Jung, K.H.; Kim, Y.S.; Ahn, C.; Han, J.S.; Kim, S.; Lee, J.S. Secondary polycythemia associated with idiopathic membranous nephropathy. Am. J. Nephrol. 2000, 20, 344–346. [Google Scholar] [CrossRef] [PubMed]
- Chen, Y.C.; Yeh, J.C.; Chen, H.S.; Hsu, H.C. Secondary polycythemia associated with membranous nephropathy. Clin. Nephrol. 1990, 33, 148–151. [Google Scholar]
- Donnelly, S. Why is erythropoietin made in the kidney? The kidney functions as a critmeter. Am. J. Kidney Dis. 2001, 38, 415–425. [Google Scholar] [CrossRef] [PubMed]


| Hemoglobin (gm/dL) | Spot Urine Protein to Creatinine Ratio | |
|---|---|---|
| First admission | 17 | 14.6 |
| D2 of presentation | 16.5 | Not available |
| D4 of presentation | 15.6 | 11.03 |
| D7 of presentation | 15.4 | 6.2 |
| D30 of presentation | 13.7 | Not available |
| D60 of presentation | 12.3 | |
| 6 months after presentation | 11.5 | 10.2 |
| At the initiation of dialysis | 9.5 | Not available |
| At the time of renal transplant | 8.5 | Not available |
| D1 of renal transplant | 9.0 | 0.36 |
Publisher’s Note: MDPI stays neutral with regard to jurisdictional claims in published maps and institutional affiliations. |
© 2021 by the authors. Licensee MDPI, Basel, Switzerland. This article is an open access article distributed under the terms and conditions of the Creative Commons Attribution (CC BY) license (https://creativecommons.org/licenses/by/4.0/).
Share and Cite
Acharya, R.; Upadhyay, K. An Unusual Occurrence of Erythrocytosis in a Child with Nephrotic Syndrome and Advanced Chronic Kidney Disease. Pediatr. Rep. 2021, 13, 463-469. https://doi.org/10.3390/pediatric13030053
Acharya R, Upadhyay K. An Unusual Occurrence of Erythrocytosis in a Child with Nephrotic Syndrome and Advanced Chronic Kidney Disease. Pediatric Reports. 2021; 13(3):463-469. https://doi.org/10.3390/pediatric13030053
Chicago/Turabian StyleAcharya, Ratna, and Kiran Upadhyay. 2021. "An Unusual Occurrence of Erythrocytosis in a Child with Nephrotic Syndrome and Advanced Chronic Kidney Disease" Pediatric Reports 13, no. 3: 463-469. https://doi.org/10.3390/pediatric13030053
APA StyleAcharya, R., & Upadhyay, K. (2021). An Unusual Occurrence of Erythrocytosis in a Child with Nephrotic Syndrome and Advanced Chronic Kidney Disease. Pediatric Reports, 13(3), 463-469. https://doi.org/10.3390/pediatric13030053

