Application of PCR-Based Techniques for the Identification of Genetic Fingerprint Diversity of Dominant Bacteria in Fecal Samples of Children with Diarrhea in Vietnam
Abstract
1. Introduction
2. Materials and Methods
2.1. Ethical Committee Approval
2.2. Sample Collection
2.3. Harvest of Bacteria from Fecal Samples
2.4. Extraction of Bacterial Metagenomic DNA
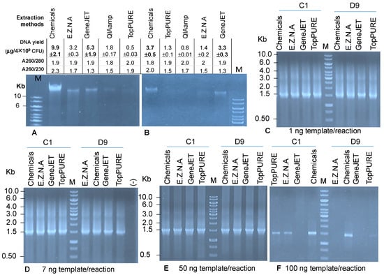
2.4.1. Investigation of Methods for Obtaining High Yield of Metagenomic DNA
2.4.2. Detection of Polymerase Inhibition by PCR
2.4.3. Selection of Methods for Extracting Diverse Metagenomic DNA from Stools
2.5. Analysis of Bacterial Diversity in the Stool Samples Using Fingerprinting Techniques
2.6. Sequencing Representative DNA Bands and Analysis of Bacterial Diversity
2.7. Statistical Analysis
3. Results
3.1. Extraction of Bacteria from Fecal Samples
3.2. Selection of Appropriate Methods for Obtaining the Most Diverse Metagenomic DNA
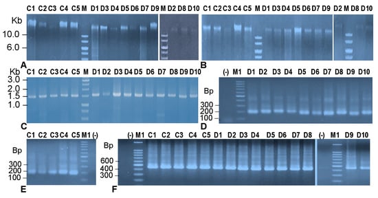
3.3. Bacterial Metagenomic DNA Extraction and Analysis of Bacterial Diversity in the Stool Samples Using Fingerprinting Techniques
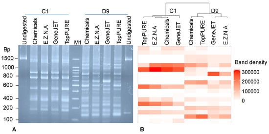
3.4. Sequencing the Representative DNA Bands of Individual Samples and Assessment of Bacterial Diversity
4. Discussion
4.1. The Separation of Bacteria from Fecal Residues Assists in Increasing the Quality of the Extracted Metagenomic DNAs; The Chemical Protocol and Kit GeneJET Are Good for the Extraction of the Efficient and Diverse Bacterial Metagenomic DNA
4.2. PCR-DGGE Fingerprints of V3 Region Are Suitable for Evaluation of Bacterial Diversity of Fecal Samples if Compared to the PCR-RFLP Fingerprints of 16S rRNA or PCR-DGGE Fingerprints of V6–V8 Region
4.3. Viral Diarrhea Has the Strongest Impacts on the Bacterial Diversity; Streptococcus May Be an Indicator of Persistent Diarrhea, and Probiotic Strains May Relate to the Self-Recovery of the Diarrhea
5. Conclusions
Supplementary Materials
Author Contributions
Funding
Institutional Review Board Statement
Informed Consent Statement
Data Availability Statement
Acknowledgments
Conflicts of Interest
References
- WHO Diarrhoeal Disease. Available online: https://www.who.int/news-room/fact-sheets/detail/diarrhoeal-disease (accessed on 17 May 2024).
- Dang, V.C.; Dang, P.L.; Dang, V.L.; Pham, V.L. Clinical epidemiology features and risk factors for acute diarrhea caused by Rotavirus A in Vietnamese children. Int. J. Pediatr. 2023, 2023, 4628858. [Google Scholar] [CrossRef]
- Iwashita, H.; Tokizawa, A.; Thiem, V.D.; Takemura, T.; Nguyen, T.H.; Doan, H.T.; Pham, A.H.Q.; Tran, N.L.; Yamashiro, T. Risk factors associated with diarrheal episodes in an agricultural community in Nam Dinh province, Vietnam: A prospective cohort study. Int. J. Environ. Res. Public Health 2022, 19, 2456. [Google Scholar] [CrossRef]
- Vu, T.T.H.; Nguyen, T.K.; Tang, C.T.; Tran, T.M.H. Characteristics of persistent diarrhea in young children at Children’s Hospital No.2. Ho Chi Minh City J. Med. 2016, 20, 96–102. [Google Scholar]
- Tran, T.T.T. Nutritional status and feeding practice of children with persistent diarrhea hospitalized in Children Hospital No2. Ho Chi Minh City J. Med. 2002, 6, 25–30. [Google Scholar]
- Sarker, S.A.; Ahmed, T.; Brüssow, H. Persistent diarrhea: A persistent infection with enteropathogens or a gut commensal dysbiosis? Environ. Microbiol. 2017, 19, 3789–3801. [Google Scholar] [CrossRef]
- Iancu, M.A.; Profir, M.; Roşu, O.A.; Ionescu, R.F.; Cretoiu, S.M.; Gaspar, B.S. Revisiting the intestinal microbiome and its role in diarrhea and constipation. Microorganisms 2023, 11, 2177. [Google Scholar] [CrossRef]
- Kieser, S.; Sarker, S.A.; Sakwinska, O.; Foata, F.; Sultana, S.; Khan, Z.; Islam, S.; Porta, N.; Combremont, S.; Betrisey, B.; et al. Bangladeshi children with acute diarrhoea show faecal microbiomes with increased Streptococcus abundance, irrespective of diarrhoea aetiology. Environ. Microbiol. 2018, 20, 2256–2269. [Google Scholar] [CrossRef]
- Wiredu Ocansey, D.K.; Hang, S.; Yuan, X.; Qian, H.; Zhou, M.; Valerie Olovo, C.; Zhang, X.; Mao, F. The diagnostic and prognostic potential of gut bacteria in inflammatory bowel disease. Gut Microb. 2023, 15, 2176118. [Google Scholar] [CrossRef]
- Westaway, J.A.F.; Huerlimann, R.; Miller, C.M.; Kandasamy, Y.; Norton, R.; Rudd, D. Methods for exploring the faecal microbiome of premature infants: A review. Matern. Health. Neonatol. Perinatol. 2021, 7, 11. [Google Scholar] [CrossRef]
- Brugger, S.D.; Frei, L.; Frey, P.M.; Aebi, S.; Mühlemann, K.; Hilty, M. 16S rRNA Terminal restrictionfragment length polymorphism for the characterization of the nasopharyngeal microbiota. PLoS ONE 2012, 7, e52241. [Google Scholar] [CrossRef]
- Coser, J.; da Rocha Boeira, T.; Fonseca, A.S.K.; Ikuta, N.; Lunge, V.R. Human papillomavirus detection and typing using a nested-PCR-RFLP assay. Braz. J. Infect. Dis. 2011, 15, 467–472. [Google Scholar] [CrossRef] [PubMed][Green Version]
- Villegas-Castagnasso, E.E.; Díaz, S.; Giovambattista, G.; Dulout, F.N.; Peral-García, P. Analysis of ELA-DQB exon 2 polymorphism in Argentine Creole horses by PCR-RFLP and PCR-SSCP. J. Vet. Med. A. Physiol. Pathol. Clin. Med. 2003, 50, 280–285. [Google Scholar] [CrossRef] [PubMed]
- Rao, S.; Arora, K. 5—Recent trends in molecular techniques for food pathogen detection. In Chemical Analysis of Food, 2nd Ed.; Pico, Y., Ed.; Academic Press: Cambridge, MA, USA, 2020; pp. 177–285. ISBN 978-0-12-813266-1. [Google Scholar]
- Schrader, C.; Schielke, A.; Ellerbroek, L.; Johne, R. PCR Inhibitors–Occurrence, properties and removal. J. Appl. Microbiol. 2012, 113, 1014–1026. [Google Scholar] [CrossRef] [PubMed]
- Oikarinen, S.; Tauriainen, S.; Viskari, H.; Simell, O.; Knip, M.; Virtanen, S.; Hyöty, H. PCR inhibition in stool samples in relation to age of infants. J. Clin. Virol. 2009, 44, 211–214. [Google Scholar] [CrossRef] [PubMed]
- Srirungruang, S.; Mahajindawong, B.; Nimitpanya, P.; Bunkasem, U.; Ayuyoe, P.; Nuchprayoon, S.; Sanprasert, V. Comparative study of DNA extraction methods for the PCR detection of intestinal parasites in human stool samples. Diagnostics 2022, 12, 2588. [Google Scholar] [CrossRef]
- Costea, P.I.; Zeller, G.; Sunagawa, S.; Pelletier, E.; Alberti, A.; Levenez, F.; Tramontano, M.; Driessen, M.; Hercog, R.; Jung, F.E.; et al. Towards standards for human fecal sample processing in metagenomic studies. Nat. Biotechnol. 2017, 35, 1069–1076. [Google Scholar] [CrossRef]
- Nguyen, T.Q.; Phung, T.B.T.; Ngoc, T.T.; Do, T.H. A comparison of five methods for effective extraction of bacterial metagenomic DNA from stools of children suffer from diarrhea with unknown cause. Biol. Forum. 2023, 15, 1–9. [Google Scholar]
- Sambrook, J.; Fritsch, E.F.; Maniatis, T. Molecular Cloning: A Laboratory Manual. 1 1; Cold Spring Harbor Laboratory Press: Cold Spring Harbor, NY, USA, 2001; ISBN 0-87969-576-5. [Google Scholar]
- QIAGEN. QIAstat-Dx® Gastrointestinal Panel Instructions for Use (Handbook); QIAGEN GmbH, QIAGEN Strasse 1, D-40724; QIAGEN: Hilden, Germany, 2020. [Google Scholar]
- Kallastu, A.; Malv, E.; Aro, V.; Meikas, A.; Vendelin, M.; Kattel, A.; Nahku, R.; Kazantseva, J. Absolute quantification of viable bacteria abundances in food by next-generation sequencing: Quantitative NGS of viable microbes. Curr. Res. Food Sci. 2023, 6, 100443. [Google Scholar] [CrossRef]
- Gu, Z.; Eils, R.; Schlesner, M. Complex heatmaps reveal patterns and correlations in multidimensional genomic data. Bioinformatics 2016, 32, 2847–2849. [Google Scholar] [CrossRef]
- Hovda, M.B.; Sivertsvik, M.; Tore Lunestad, B.; Lorentzen, G.; Rosnes, J.T. Characterisation of the dominant bacterial population in modified atmosphere packaged farmed halibut (Hippoglossus hippoglossus) based on 16S rDNA-DGGE. Food Microbiol. 2007, 24, 362–371. [Google Scholar] [CrossRef]
- Matsuki, T.; Watanabe, K.; Fujimoto, J.; Miyamoto, Y.; Takada, T.; Matsumoto, K.; Oyaizu, H.; Tanaka, R. Development of 16S rRNA-gene-targeted group-specific primers for the detection and identification of predominant bacteria in human feces. Appl. Environ. Microbiol. 2002, 68, 5445–5451. [Google Scholar] [CrossRef] [PubMed]
- Simpson, J.M.; McCracken, V.J.; Gaskins, H.R.; Mackie, R.I. Denaturing gradient gel electrophoresis analysis of 16S ribosomal DNA amplicons to monitor changes in fecal bacterial populations of weaning pigs after introduction of Lactobacillus reuteri strain MM53. Appl. Environ. Microbiol. 2000, 66, 4705–4714. [Google Scholar] [CrossRef] [PubMed]
- Sun, Y.Z.; Mao, S.Y.; Yao, W.; Zhu, W.Y. DGGE and 16S rDNA analysis reveals a highly diverse and rapidly colonising bacterial community on different substrates in the rumen of goats. Animal 2008, 2, 391–398. [Google Scholar] [CrossRef] [PubMed]
- Chung The, H.; Le, S.N.H. Dynamic of the human gut microbiome under infectious diarrhea. Curr. Opin. Microbiol. 2022, 66, 79–85. [Google Scholar] [CrossRef]
- Wenguang, F.; Xiaomin, L.; Lijie, Y.; Guicheng, H. Comparison of DNA extraction methods for polymerase chain reaction-denaturing gradient gel electrophoresis (PCR-DGGE) analysis of the infant fecal microbial communities. Afr. J. Microbiol. Res. 2014, 8, 908–914. [Google Scholar] [CrossRef][Green Version]
- Chang, J.Y.; Antonopoulos, D.A.; Kalra, A.; Tonelli, A.; Khalife, W.T.; Schmidt, T.M.; Young, V.B. Decreased diversity of the fecal microbiome in recurrent Clostridium difficile—Associated diarrhea. Am. J. Infect. Dis 2008, 197, 435–438. [Google Scholar] [CrossRef]
- Sohail, M.U.; Al Khatib, H.A.; Al Thani, A.A.; Al Ansari, K.; Yassine, H.M.; Al-Asmakh, M. Microbiome profiling of rotavirus infected children suffering from acute gastroenteritis. Gut Pathog. 2021, 13, 21. [Google Scholar] [CrossRef]
- Lim, M.Y.; Park, Y.S.; Kim, J.H.; Nam, Y.D. Evaluation of fecal DNA extraction protocols for human gut microbiome studies. BMC Microbiol. 2020, 20, 212. [Google Scholar] [CrossRef]
- Gall-David, S.L.; Boudry, G.; Buffet-Bataillon, S. Comparison of four DNA extraction kits efficiency for 16SrDNA microbiota profiling of diverse human samples. Future Sci. OA 2023, 9, FSO837. [Google Scholar] [CrossRef]
- Johnson, J.S.; Spakowicz, D.J.; Hong, B.Y.; Petersen, L.M.; Demkowicz, P.; Chen, L.; Leopold, S.R.; Hanson, B.M.; Agresta, H.O.; Gerstein, M.; et al. Evaluation of 16S rRNA gene sequencing for species and strain-level microbiome analysis. Nat. Commun. 2019, 10, 5029. [Google Scholar] [CrossRef]
- Yu, Z.; Morrison, M. Comparisons of different hypervariable regions of Rrs genes for use in fingerprinting of microbial communities by PCR-denaturing gradient gel electrophoresis. Appl. Environ. Microbiol. 2004, 70, 4800–4806. [Google Scholar] [CrossRef] [PubMed]
- Yang, B.; Wang, Y.; Qian, P.Y. Sensitivity and correlation of hypervariable regions in 16S rRNA genes in phylogenetic analysis. BMC Bioinformatics 2016, 17, 135. [Google Scholar] [CrossRef] [PubMed]
- Mazzantini, D.; Calvigioni, M.; Celandroni, F.; Lupetti, A.; Ghelardi, E. Spotlight on the compositional quality of probiotic formulations marketed worldwide. Front. Microbiol. 2021, 12, 693973. [Google Scholar] [CrossRef] [PubMed]
- Bisgaard, H.; Li, N.; Bonnelykke, K.; Chawes, B.L.K.; Skov, T.; Paludan-Müller, G.; Stokholm, J.; Smith, B.; Krogfelt, K.A. Reduced diversity of the intestinal microbiota during infancy is associated with increased risk of allergic disease at school age. J. Allergy Clin. Immunol. 2011, 128, 646–652.e5. [Google Scholar] [CrossRef] [PubMed]
- Štšepetova, J.; Sepp, E.; Julge, K.; Vaughan, E.; Mikelsaar, M.; de Vos, W.M. Molecularly assessed shifts of Bifidobacterium ssp. and less diverse microbial communities are characteristic of 5-year-old allergic children. FEMS Microbiol. Immunol. 2007, 51, 260–269. [Google Scholar] [CrossRef]
- Forno, E.; Onderdonk, A.B.; McCracken, J.; Litonjua, A.A.; Laskey, D.; Delaney, M.L.; DuBois, A.M.; Gold, D.R.; Ryan, L.M.; Weiss, S.T.; et al. Diversity of the gut microbiota and eczema in early life. Clin. Mol. Allerg. 2008, 6, 11. [Google Scholar] [CrossRef]
- Mirsepasi-Lauridsen, H.C.; Vrankx, K.; Engberg, J.; Friis-Møller, A.; Brynskov, J.; Nordgaard-Lassen, I.; Petersen, A.M.; Krogfelt, K.A. Disease-specific enteric microbiome dysbiosis in inflammatory bowel disease. Front. Med. 2018, 5, 304. [Google Scholar] [CrossRef]
- Mai, V.; Braden, C.R.; Heckendorf, J.; Pironis, B.; Hirshon, J.M. Monitoring of stool microbiota in subjects with diarrhea indicates distortions in composition. J. Clin. Microbiol. 2006, 44, 4550–4552. [Google Scholar] [CrossRef][Green Version]
- Xiong, L.; Li, Y.; Li, J.; Yang, J.; Shang, L.; He, X.; Liu, L.; Luo, Y.; Xie, X. Intestinal microbiota profiles in infants with acute gastroenteritis caused by rotavirus and norovirus infection: A prospective cohort study. Int. J. Infect. Dis. 2021, 111, 76–84. [Google Scholar] [CrossRef]
- Almand, E.A.; Moore, M.D.; Outlaw, J.; Jaykus, L.A. Human norovirus binding to select bacteria representative of the human gut microbiota. PLoS ONE 2017, 12, e0173124. [Google Scholar] [CrossRef]
- Greuter, T.; Michel, M.C.; Thomann, D.; Weigmann, H.; Vavricka, S.R. Randomized, Placebo-Controlled, Double-blind and open-label studies in the treatment and prevention of acute diarrhea with Enterococcus faecium SF68. Front. Med. 2020, 7, 276. [Google Scholar] [CrossRef] [PubMed]
- Wang, J.; Zhuang, P.; Lin, B.; Li, H.; Zheng, J.; Tang, W.; Ye, W.; Chen, X.; Zheng, M. Gut microbiota profiling in obese children from Southeastern China. BMC Pediatr. 2024, 24, 193. [Google Scholar] [CrossRef] [PubMed]
- He, P.; Shen, X.; Guo, S. Intestinal flora and linear growth in children. Front. Pediatr. 2023, 11, 1252035. [Google Scholar] [CrossRef] [PubMed]
- Tabassum, A.; Ali, A.; Zahedi, F.D.; Ismail, N.A.S. Immunomodulatory role of vitamin D on gut microbiome in children. Biomedicines 2023, 11, 1441. [Google Scholar] [CrossRef] [PubMed]
- Wu, L.; Park, S.H.; Kim, H. Direct and indirect evidence of effects of Bacteroides spp. on obesity and inflammation. Int. J. Mol. Sci. 2024, 25, 438. [Google Scholar] [CrossRef] [PubMed]
- George, C.M.; Birindwa, A.; Li, S.; Williams, C.; Kuhl, J.; Thomas, E.; François, R.; Presence, A.S.; Claude, B.R.J.; Mirindi, P.; et al. Akkermansia muciniphila associated with improved linear growth among young children, democratic republic of the Congo. Emerg. Infect. Dis. 2023, 29, 81–88. [Google Scholar] [CrossRef]
- Iwaza, R.; Wasfy, R.M.; Dubourg, G.; Raoult, D.; Lagier, J.C. Akkermansia muciniphila: The state of the art, 18 years after its first discovery. Front. Gastroenterol. 2022, 1, 1024393. [Google Scholar] [CrossRef]
- Wang, L.; Christophersen, C.T.; Sorich, M.J.; Gerber, J.P.; Angley, M.T.; Conlon, M.A. Low relative abundances of the mucolytic bacterium Akkermansia muciniphila and Bifidobacterium spp. in feces of children with autism. Appl. Environ. Microbiol. 2011, 77, 6718–6721. [Google Scholar] [CrossRef]
- Demirci, M.; Tokman, H.B.; Uysal, H.K.; Demiryas, S.; Karakullukcu, A.; Saribas, S.; Cokugras, H.; Kocazeybek, B.S. Reduced Akkermansia muciniphila and Faecalibacterium prausnitzii levels in the gut microbiota of children with allergic asthma. Allergol. Immunopathol. 2019, 47, 365–371. [Google Scholar] [CrossRef]
- Wang, H.; Liu, S.; Xie, L.; Wang, J. Gut microbiota signature in children with autism spectrum disorder who suffered from chronic gastrointestinal symptoms. BMC Pediatr. 2023, 23, 476. [Google Scholar] [CrossRef]
- Wang, C.Y.C.; Shie, H.S.; Chen, S.C.; Huang, J.P.; Hsieh, I.C.; Wen, M.S.; Lin, F.C.; Wu, D. Lactococcus garvieae infections in humans: Possible association with aquaculture outbreaks. Int. J. Clin. Pract. 2007, 61, 68–73. [Google Scholar] [CrossRef] [PubMed]
- Chan, J.F.W.; Woo, P.C.Y.; Teng, J.L.L.; Lau, S.K.P.; Leung, S.S.M.; Tam, F.C.C.; Yuen, K.Y. Primary infective spondylodiscitis caused by Lactococcus garvieae and a review of human L. garvieae infections. Infection 2011, 39, 259–264. [Google Scholar] [CrossRef] [PubMed]
- Lahlou, W.; Bourial, A.; Maaouni, T.; Bensaad, A.; Bensahi, I.; Sabry, M.; Miguil, M. Lactococcus lactis endocarditis and liver abscess in an immunocompetent patient: A case report and review of the literature. J. Med. Case Rep. 2023, 17, 115. [Google Scholar] [CrossRef]
- Malta, R.C.R.; Ramos, G.L.D.P.A.; dos Santos Nascimento, J. From food to hospital: We need to talk about Acinetobacter spp. Germs 2020, 10, 210–217. [Google Scholar] [CrossRef] [PubMed]
- Reddy, D.; Morrow, B.M.; Argent, A.C. Acinetobacter baumannii infections in a South African paediatric intensive care unit. J. Trop. Pediatr. 2015, 61, 182–187. [Google Scholar] [CrossRef] [PubMed][Green Version]
- Regalado, N.G.; Martin, G.; Antony, S.J. Acinetobacter lwoffii: Bacteremia associated with acute gastroenteritis. Travel Med. Infect. Dis. 2009, 7, 316–317. [Google Scholar] [CrossRef] [PubMed]
- Ye, G.; Ye, L.; Zhou, J.; Shi, L.; Yang, L.; Dong, Z. Challenges in diagnosing community-acquired carbapenem-susceptible Acinetobacter baumannii enterogenic sepsis: A case report. Medicine 2019, 98, e16248. [Google Scholar] [CrossRef]
- Yang, S.; Liu, Y.; Yang, N.; Lan, Y.; Lan, W.; Feng, J.; Yue, B.; He, M.; Zhang, L.; Zhang, A.; et al. The gut microbiome and antibiotic resistome of chronic diarrhea rhesus macaques (Macaca mulatta) and its similarity to the human gut microbiome. Microbiome 2022, 10, 29. [Google Scholar] [CrossRef]







| Samples | Ages in Months | Gender | Health Condition | Diagnostic Result | Test Kit |
|---|---|---|---|---|---|
| C1 | 8 | Female | Healthy | Negative | QIAstat-Dx® Gastrointestinal Panel (Qiagen, Hilden, Germany) |
| C2 | 7 | Female | Healthy | Negative | QIAstat-Dx® Gastrointestinal Panel (Qiagen, Hilden, Germany) |
| C3 | 6 | Male | Healthy | Negative | QIAstat-Dx® Gastrointestinal Panel (Qiagen, Hilden, Germany) |
| C4 | 8 | Male | Healthy | Negative | QIAstat-Dx® Gastrointestinal Panel (Qiagen, Hilden, Germany) |
| C5 | 14 | Female | Healthy | Negative | QIAstat-Dx® Gastrointestinal Panel (Qiagen, Hilden, Germany) |
| D1 | 14 | Female | Acute diarrhea | Negative | Allplex™ GI-Bacteria(I) Assay (Seegene Inc., Seoul, Republic of Korea) |
| D2 | 1 | Male | Acute diarrhea | Negative | Allplex™ GI-Bacteria(I,II) Assay (Seegene Inc., Seoul, Republic of Korea) |
| D3 | 24 | Female | Acute diarrhea | Adenovirus | Allplex™ GI-Virus Assay (Seegene Inc., Seoul, Republic of Korea) |
| D4 | 16 | Male | Acute diarrhea | Adenovirus | Allplex™ GI-Virus Assay (Seegene Inc., Seoul, Republic of Korea) |
| D5 | 11 | Male | Acute diarrhea | Enterovirus | Allplex™ respiratory panel Assay (Seegene Inc., Seoul, Republic of Korea) |
| D6 | 25 | Male | Acute diarrhea | Negative | Allplex™ GI-Bacteria(I,II) Assay (Seegene Inc., Seoul, Republic of Korea) |
| D7 | 58 | Female | Acute diarrhea | Negative | Allplex™ GI-Bacteria(I) Assay (Seegene Inc., Seoul, Republic of Korea) |
| D8 | 8 | Male | Persistent diarrhea | Negative | QIAstat-Dx® Gastrointestinal Panel (Qiagen, Hilden, Germany) |
| D9 | 11 | Female | Persistent diarrhea | Negative | QIAstat-Dx® Gastrointestinal Panel (Qiagen, Hilden, Germany) |
| D10 | 6 | Male | Persistent diarrhea | Negative | QIAstat-Dx® Gastrointestinal Panel (Qiagen, Hilden, Germany) |
Disclaimer/Publisher’s Note: The statements, opinions and data contained in all publications are solely those of the individual author(s) and contributor(s) and not of MDPI and/or the editor(s). MDPI and/or the editor(s) disclaim responsibility for any injury to people or property resulting from any ideas, methods, instructions or products referred to in the content. |
© 2024 by the authors. Licensee MDPI, Basel, Switzerland. This article is an open access article distributed under the terms and conditions of the Creative Commons Attribution (CC BY) license (https://creativecommons.org/licenses/by/4.0/).
Share and Cite
Nguyen, T.Q.; Dao, T.K.; Nguyen, H.D.; Phung, T.B.T.; Pham, T.T.N.; Nguyen, T.V.H.; Trinh, T.H.; Le, H.C.; Le, T.T.H.; Do, T.H. Application of PCR-Based Techniques for the Identification of Genetic Fingerprint Diversity of Dominant Bacteria in Fecal Samples of Children with Diarrhea in Vietnam. Infect. Dis. Rep. 2024, 16, 932-951. https://doi.org/10.3390/idr16050075
Nguyen TQ, Dao TK, Nguyen HD, Phung TBT, Pham TTN, Nguyen TVH, Trinh TH, Le HC, Le TTH, Do TH. Application of PCR-Based Techniques for the Identification of Genetic Fingerprint Diversity of Dominant Bacteria in Fecal Samples of Children with Diarrhea in Vietnam. Infectious Disease Reports. 2024; 16(5):932-951. https://doi.org/10.3390/idr16050075
Chicago/Turabian StyleNguyen, Thi Quy, Trong Khoa Dao, Hong Duong Nguyen, Thi Bich Thuy Phung, Thi Thanh Nga Pham, Thi Viet Ha Nguyen, Thi Huong Trinh, Huu Cuong Le, Thi Thu Hong Le, and Thi Huyen Do. 2024. "Application of PCR-Based Techniques for the Identification of Genetic Fingerprint Diversity of Dominant Bacteria in Fecal Samples of Children with Diarrhea in Vietnam" Infectious Disease Reports 16, no. 5: 932-951. https://doi.org/10.3390/idr16050075
APA StyleNguyen, T. Q., Dao, T. K., Nguyen, H. D., Phung, T. B. T., Pham, T. T. N., Nguyen, T. V. H., Trinh, T. H., Le, H. C., Le, T. T. H., & Do, T. H. (2024). Application of PCR-Based Techniques for the Identification of Genetic Fingerprint Diversity of Dominant Bacteria in Fecal Samples of Children with Diarrhea in Vietnam. Infectious Disease Reports, 16(5), 932-951. https://doi.org/10.3390/idr16050075

