Laparoscopic Splenectomy for a Congenital Epidermoid Cyst in a 15-Year-Old Child—Case Report †
Abstract
1. Introduction
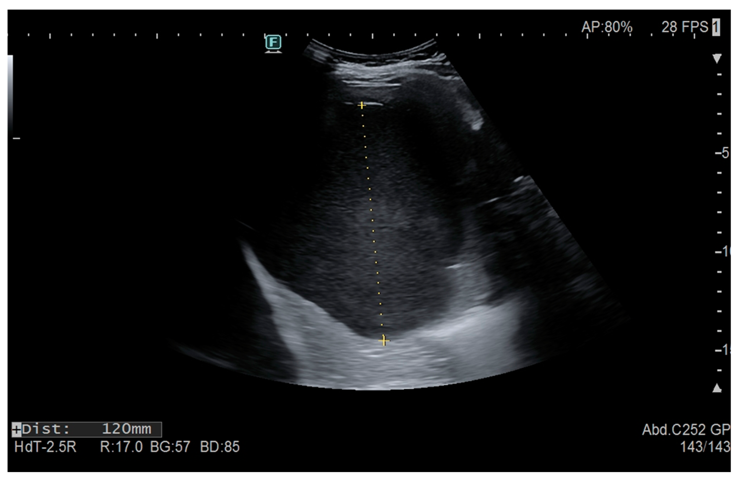
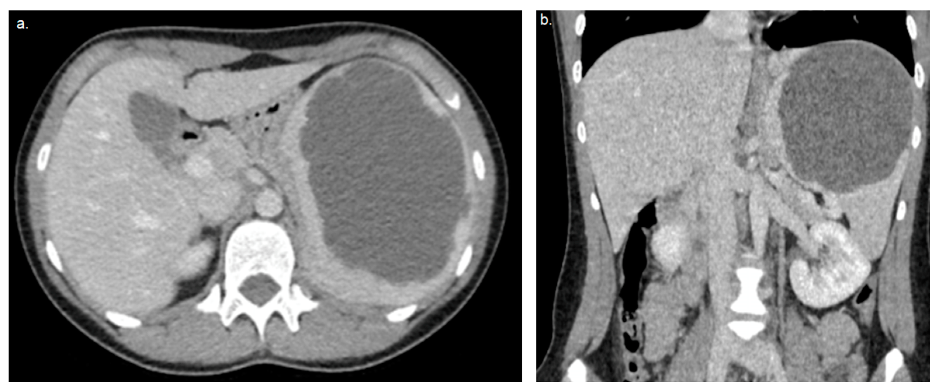
2. Case Report
3. Discussion
4. Conclusions
Author Contributions
Funding
Institutional Review Board Statement
Informed Consent Statement
Data Availability Statement
Conflicts of Interest
References
- Morgenstern, L. Nonparasitic splenic cysts: Pathogenesis, classification, and treatment. J. Am. Coll. Surg. 2002, 194, 306–314. [Google Scholar] [CrossRef] [PubMed]
- Fowler, R.H. Nonparasitic benign cystic tumors of the spleen. Int. Abstr. Surg. 1953, 96, 209–227. [Google Scholar] [PubMed]
- Martin, J.W. Congenital splenic cysts. Am. J. Surg. 1958, 96, 302–308. [Google Scholar] [CrossRef] [PubMed]
- Ingle, S.B.; Hinge Ingle, C.R.; Patrike, S. Epithelial cysts of the spleen: A minireview. World J. Gatroenterol. 2014, 20, 13899–13903. [Google Scholar] [CrossRef]
- Robbins, F.G.; Yellin, A.E.; Lingua, R.W.; Craig, J.R.; Turrill, F.L.; Mikkelsen, W.P. Splenic epidermoid cysts. Ann. Surg. 1978, 187, 231–235. [Google Scholar] [CrossRef]
- Kofinova, D.; Rangelov, E.; Vasilevski, I.; Nansenova, V.; Bogdanova, O.; Shivachev, H. Rare case of an epidermoid spleen cyst in 15-year-old girl, XXVI National ultrasound congress in medicine, Sofia, Bulgaria, 15–17 September 2023. Diagn. Ther. Ultrasound 2023, 31, 25–26. [Google Scholar]
- Chen, Y.Y.; Shyr, Y.M.; Wang, S.E. Epidermoid cyst of the spleen. J. Gastrointest. Surg. 2013, 3, 555–561. [Google Scholar] [CrossRef]
- Germano, C.; Attamante, L.; Chiadò Fiorio Tin, M.; Petruzzelli, P.; Masturzo, B.; Menato, G. Giant splenic cyst with expectant management in pregnancy: A case report and review of the literature. Case Rep. Womens Health. 2021, 9, e00305. [Google Scholar] [CrossRef]
- Czauderna, P.; Vajda, P.; Schaarschmidt, K.; Kalman, A.; Jainsch, M.; Engelis, A.; Lewicki, K.; Verebely, T.; Koltai, J.; Petersons, A.; et al. Nonparasitic splenic cysts in children: A multicentric study. Eur. J. Pediatr. Surg. 2006, 6, 415–419. [Google Scholar] [CrossRef]
- Rana, A.P.; Kaur, M.; Singh, P.; Malhotra, S.; Kuka, A.S. Splenic epidermoid cyst—A rare entity. J. Clin. Diagn. Res. 2014, 8, 175–176. [Google Scholar] [CrossRef]
- Lurbasch, O. Pathologie des angiomas. Ergebn Allg. Path. 1905, 10, 815. [Google Scholar]
- Harding, H.E. Large inclusion cyst in spleen. J. Path Bact. 1933, 36, 485. [Google Scholar] [CrossRef]
- Santy, P. Splenectomy for a true cyst of the spleen in a child. Lyon. Chir. 1930, 27, 101–104. [Google Scholar]
- Lifschitz-Mercer, B.; Open, M.; Kushnir, I.; Czernobilsky, B. Epidermoid cyst of the spleen: A cytokeratin profi le with comparison to other squamous epithelia. Virchows Arch. 1994, 424, 213–216. [Google Scholar] [CrossRef] [PubMed]
- Touloukian, R.J.; Maharaj, A.; Ghoussoub, R.; Reyes, M. Partial decapsulation of splenic epithelial cysts: Studies on etiology and outcome. J. Pediatr. Surg. 1997, 32, 272–274. [Google Scholar] [CrossRef] [PubMed]
- Wang, J.; Kang, W.J.; Cho, H. Malignant Transformation of an Epidermoid Cyst in an Intrapancreatic Accessory Spleen: A Case Report. Nucl. Med. Mol. Imaging 2020, 4, 58–60. [Google Scholar] [CrossRef] [PubMed]
- Baweja, R.; Reddy, K.; Whitton, A.; Provias, J.; Lach, B. 65-year-old female with cerebellopontine angle lesion. Brain Pathol. 2017, 27, 237–238. [Google Scholar] [CrossRef]
- Kang, S.H.; Bae, T.H.; Kim, W.S.; Kim, H.K.; Kim, M.K. Malignant transformation of facial Epidermoid cyst with distant metastasis. J. Craniofacial Surg. 2015, 26, e677–e679. [Google Scholar] [CrossRef]
- Higaki, K.; Jimi, A.; Watanabe, J.; Kusaba, A.; Kojiro, M. Epidermoid cyst of the spleen with CA19–9 or carcinoembryonic antigen production: Report of three cases. Am. J. Surg. Pathol. 1998, 22, 704–708. [Google Scholar] [CrossRef]
- Arda, I.S.; Tüzün, M.; Hicsönmez, A. Epidermoid cyst of the spleen with elevated levels of CA125 and carcino-embryonic antigen. Eur. J. Pediatr. 2005, 164, 108. [Google Scholar] [CrossRef]
- Cianci, P.; Tartaglia, N.; Altamura, A.; Fersini, A.; Vovola, F.; Sanguedolce, F.; Ambrosi, A.; Neri, V. A recurrent epidermoid cyst of the spleen: Report of a case and literature review. World J. Surg. Oncol. 2016, 1, 98. [Google Scholar] [CrossRef] [PubMed]
- Matsubayashi, H.; Kuraoka, K.; Kobayashi, Y.; Yokota, T.; Iiri, Y.; Shichijo, K.; Tada, T.; Satoh, K.; Kijima, H. Ruptured epidermoid cyst and haematoma of spleen: A diagnostic clue of high levels of serum carcinoembryonic antigen, carbohydrate antigen 19-9 and Sialyl Lewis x. Dig. Liver Dis. 2001, 33, 595–599. [Google Scholar] [CrossRef] [PubMed]
- Trompetas, V.; Panagopoulos, E.; Priovolou-Papaevangelou, M.; Ramantanis, G. Giant benign true cyst of the spleen with high serum level of CA 19-9. Eur. J. Gastroenterol. Hepatol. 2002, 14, 85–88. [Google Scholar] [CrossRef] [PubMed]
- Valverde Martinez, A.; Roldan Ortiz, S.; Fornell Ariza, M.; Castro Santiago, M.J. Partial splenectomy for a giant epidermoid cyst of the spleen. Clin. Case Rep. 2016, 4, 1013–1016. [Google Scholar] [CrossRef] [PubMed][Green Version]
- Zhou, B.; Zhang, Q.; Zhan, C.; Ding, Y.; Yan, S. Laparoscopic spleen-preserving pancreatic resection for epidermoid cyst in an intrapancreatic accessory spleen: Case report and literature review. Ther. Clin. Risk Manag. 2018, 15, 937–944. [Google Scholar] [CrossRef]
- Craig, P.S.; Rogan, M.T.; Campos-Ponce, M. Echinococcosis: Disease, detection and transmission. Parasitology 2003, 127, S5–S20. [Google Scholar] [CrossRef]
- World Health Organization (WHO)/Office International Des Epizooties (OIE). In WHO/OIE Manual on Echinococcosis in Humans and Animals: A Public Health Problem of Global Concern; Eckert, J., Gemmell, M.A., Meslin, F.-X., Pawlowski, Z.S., Eds.; World Organisation for Animal Health-OIE: Paris, France, 2001; pp. 1–265. [Google Scholar]
- Biava, M.F.; Dao, A.; Fortier, B. Laboratory diagnosis of cystic hydatic disease. World J. Surg. 2001, 25, 10–14. [Google Scholar] [CrossRef]
- Macheras, A.; Misiakos, E.; Liakakos, T.; Mpistarakis, D.; Fotiadis, C.; Karatzas, G. Non-parasitic splenic cysts: A report of three cases. World J. Gastroenterol. 2005, 11, 6884–6887. [Google Scholar] [CrossRef]
- Reddi, V.R.; Reddy, M.K.; Srinivas, B.; Sekhar, C.C.; Ramesh, O. Mesothelial splenic cyst: A case report. Ann. Acad. Med. Singap. 1998, 27, 880–882. [Google Scholar]
- Karia, N.; Lakhoo, K. Complicated congenital splenic cyst: Saved by a splenunculus. Afr. J. Paediatr. Surg. 2011, 8, 98–100. [Google Scholar] [CrossRef]
- Aubrey-Bassler, F.K.; Sowers, N. 613 cases of splenic rupture without risk factors or previously diagnosed disease: A systematic review. BMC Emerg. Med. 2012, 14, 11. [Google Scholar] [CrossRef] [PubMed]
- Ravikanth, R. Sonological Appearance of Epidermoid Cyst of the Spleen: A Rarity. J. Med. Ultrasound. 2021, 30, 153–154. [Google Scholar] [CrossRef] [PubMed]
- Garg, M.; Kataria, S.P.; Sethi, D.; Mathur, S.K. Epidermoid cyst of spleen mimicking splenic lymphangioma. Adv. Biomed. Res. 2013, 29, 49. [Google Scholar] [CrossRef]
- Ramani, M.; Reinhold, C.; Semelka, R.C.; Siegelman, E.S.; Liang, L.; Ascher, S.M.; Brown, J.J.; Eisen, R.N.; Bret, P.M. Splenic hemangiomas and hamartomas: MR imaging characteristics of 28 lesions. Radiology 1997, 202, 166–172. [Google Scholar] [CrossRef] [PubMed]
- Attina’, G.; Triarico, S.; Romano, A.; Maurizi, P.; Mastrangelo, S.; Ruggiero, A. Role of Partial Splenectomy in Hematologic Childhood Disorders. Pathogens 2021, 10, 1436. [Google Scholar] [CrossRef]
- Lee, D.S.; Lee, S.K.; Seo, D.W. Long-term safety and efficacy of ethanol retention therapy via percutaneous approach and/or EUS guidance for symptomatic large hepatic cysts (with video). Endosc. Ultrasound. 2020, 9, 31–36. [Google Scholar]
- Lane, P.A. The spleen in children. Curr. Opin. Pediatr. 1995, 7, 36–41. [Google Scholar] [CrossRef]
- Casciani, F.; Trudeau, M.T.; Vollmer, C.M., Jr. Perioperative Immunization for Splenectomy and the Surgeon’s Responsibility: A Review. JAMA Surg. 2020, 155, 1068–1077. [Google Scholar] [CrossRef]
- Luu, S.; Spelman, D.; Woolley, I.J. Post-splenectomy sepsis: Preventative strategies, challenges, and solutions. Infect. Drug. Resist. 2019, 12, 2839–2851. [Google Scholar] [CrossRef]
- Rothman, J.A.; Stevens, J.L.; Gray, F.L.; Kalfa, T.A. How I approach hereditary hemolytic anemia and splenectomy. Pediatr. Blood Cancer. 2020, 67, e28337. [Google Scholar] [CrossRef]
- Ruggiero, A.; Attinà, G.; Chiaretti, A. Additional hypotheses about why COVID-19 is milder in children than adults. Acta Paediatr. 2020, 109, 1690. [Google Scholar] [CrossRef] [PubMed]
- Vuyyuru, S.; Kharbutli, B. Epidermoid cyst of the spleen, a case report. Int. J. Surg. Case Rep. 2017, 35, 57–59. [Google Scholar] [CrossRef] [PubMed]
- Comitalo, J.B. Laparoscopic treatment of splenic cysts. JSLS 2001, 5, 313–316. [Google Scholar] [PubMed]
- Vasilescu, A.M.; Târcoveanu, E.; Ciuntu, B.; Fotea, V.; Georgescu, S.; Andreea, L.; Ciobanu, D.L.; Lupascu, C.; Bradea, C. Laparoscopic approach for nonparasitic splenic cysts and splenic abcesses. Ann. Ital. Chir. 2022, 93, 671–679. [Google Scholar]
- Geraghty, M.; Khan, I.Z.; Conlon, K.C. Large primary splenic cyst: A laparoscopic technique. J. Minim. Access Surg. 2009, 5, 14–16. [Google Scholar]
- Tiutiuca, R.C.; Nastase Puscasu, A.I.; Stoenescu, N.; Moscalu, M.; Bradea, C.; Eva, I.; Lupascu, C.D.; Ivan, L.; Palaghia, M.M.; Prisecariu, D.I.; et al. Laparoscopic Approach to Primary Splenic Cyst: Case Report and Review of the Literature. Life 2024, 14, 120. [Google Scholar] [CrossRef]
- Golmohammadzadeh, H.; Maddah, G.; Shams Hojjati, Y.; Abdollahi, A.; Shabahang, H. Splenic cysts: Analysis of 16 cases. Caspian. J. Intern. Med. 2016, 7, 217–221. [Google Scholar]
- Lobascio, P.; Carbotta, G.; Laforgia, R.; Fedele, S.; Sederino, M.G.; Minafra, M.; Delvecchio, A.; Ferrarese, F.; Palasciano, N. Total laparoscopic splenectomy for giant epidermoid cyst: A case report. G. Chir. 2017, 38, 202–204. [Google Scholar] [CrossRef]
- Nowak, B.; Fielding, G.A.; Pachter, H.L. Treatment of splenic cysts. Laparosc. Surg. 2021, 5, 11. [Google Scholar] [CrossRef]
- Grover, S.; Garg, B.; Sood, N.; Singh, S. Splenic Epidermoid Cyst in a Five-Year-Old Child. J. Clin. Diagn. Res. 2016, 10, ED07–ED09. [Google Scholar] [CrossRef]
- Paterson, A.; Frush, D.P.; Donnelly, L.F.; Foss, J.N.; O’Hara, S.M.; Bisset, G.S., 3rd. A pattern-oriented approach to splenic imaging in infants and children. Radiographics 1999, 19, 1465–1485. [Google Scholar] [CrossRef] [PubMed]



Disclaimer/Publisher’s Note: The statements, opinions and data contained in all publications are solely those of the individual author(s) and contributor(s) and not of MDPI and/or the editor(s). MDPI and/or the editor(s) disclaim responsibility for any injury to people or property resulting from any ideas, methods, instructions or products referred to in the content. |
© 2024 by the authors. Licensee MDPI, Basel, Switzerland. This article is an open access article distributed under the terms and conditions of the Creative Commons Attribution (CC BY) license (https://creativecommons.org/licenses/by/4.0/).
Share and Cite
Kofinova, D.; Pahnev, Y.; Rangelov, E.; Vasilevski, I.; Bogdanova, O.; Ilieva, E.; Shivachev, H. Laparoscopic Splenectomy for a Congenital Epidermoid Cyst in a 15-Year-Old Child—Case Report. Gastroenterol. Insights 2024, 15, 904-911. https://doi.org/10.3390/gastroent15040063
Kofinova D, Pahnev Y, Rangelov E, Vasilevski I, Bogdanova O, Ilieva E, Shivachev H. Laparoscopic Splenectomy for a Congenital Epidermoid Cyst in a 15-Year-Old Child—Case Report. Gastroenterology Insights. 2024; 15(4):904-911. https://doi.org/10.3390/gastroent15040063
Chicago/Turabian StyleKofinova, Denitza, Yanko Pahnev, Edmond Rangelov, Ivan Vasilevski, Olga Bogdanova, Elena Ilieva, and Hristo Shivachev. 2024. "Laparoscopic Splenectomy for a Congenital Epidermoid Cyst in a 15-Year-Old Child—Case Report" Gastroenterology Insights 15, no. 4: 904-911. https://doi.org/10.3390/gastroent15040063
APA StyleKofinova, D., Pahnev, Y., Rangelov, E., Vasilevski, I., Bogdanova, O., Ilieva, E., & Shivachev, H. (2024). Laparoscopic Splenectomy for a Congenital Epidermoid Cyst in a 15-Year-Old Child—Case Report. Gastroenterology Insights, 15(4), 904-911. https://doi.org/10.3390/gastroent15040063

