The Severity of Gastrointestinal Disorders and Autistic-Like Behaviors Could Be Associated with a Selective Humoral Response to Bovine Milk Caseins: A Case Series
Abstract
1. Introduction
2. Materials and Methods
2.1. Reagents
2.2. Study Design, Setting, and Participants
2.3. Survey Questionnaire
2.4. Biological Samples
2.5. Enzyme-Linked Immunosorbent Assay (ELISA)
2.6. Immunoblotting
2.7. Statistical Analysis
3. Results
3.1. Hypersensitivity to Bovine Milk Caseins (BMC Mix) and Associated Determinants
3.2. Differential Recognition of BMC Protein Fractions by IgG+/IgA+ Subjects (Dual Group)
4. Discussion
- El-Alameey et al. [37] found that forty children (6–12 y, 60% males) with ASD (62.5% moderate–severe) and severe GIS had a significantly higher immunoreactivity to BMC than neurotypical children, a fact associated with food selectivity, recurrent abdominal pain, and reduced serum dipeptidyl peptidase-IV (DPP-IV) activity, an enzyme that, together with milk-derived proline/glutamine-rich opioid peptides, plays a decisive role in the pathophysiology of ASD [38,39].
- Anatolyevna et al. [27] observed that ~80% and ~19% of fifty-one Russian children with ASD were IgG+ to BMC and wheat gliadins, respectively, but recognized the need to clarify the nature of immunoreactivity or intolerance when choosing optimal diet therapies.
- de Magistris et al. [13] showed that non-celiac ASD children fed unrestricted diets (milk and wheat consumers; n = 129) exhibited a higher apparent intestinal permeability [lactulose/mannitol test; OR = 14.8 (IC95% 2.0–111.6)], partially associated with a mild IgE+ but not IgA+ nor IgG+ immunoreactivity to BMC than those observed in neurotypical children (n = 44); the authors concluded that such discrepancies between the observed low immunoreactivity (for bovine milk but not wheat proteins) [22] and the high intestinal permeability could be related to “different pathways of intestinal damage” apparently associated with a high ASD clinical heterogeneity.
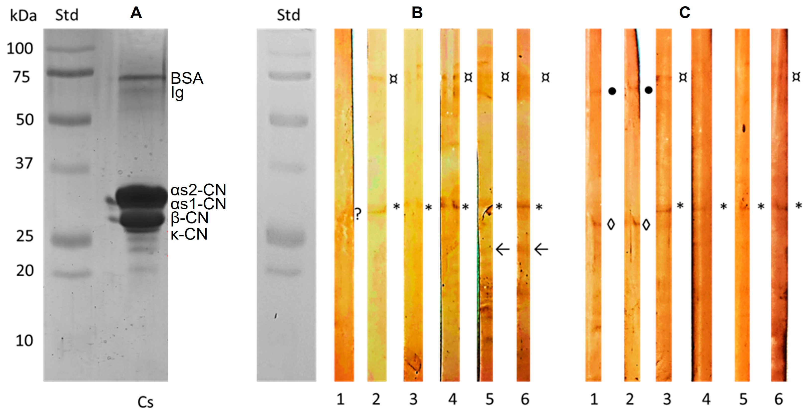
- First, the frequency of immunoreactivity toward BMC subfractions by IgG+/IgA+-BMC-sensitized individuals was αS2-CN> αS1-CN> κ-CN, β-CN> other minor fractions (e.g., BSA/Ig). Research on the specific immunoreactivity to β-CN and its harmful peptide (BMC-7) has been perhaps the most studied, such that its dietary elimination has allowed the differentiation of A1/A2 milk (β-CN variants), which differs in the presence of BMC-7 [40]. In addition, αS1/αS1-CN play a major role in Type 1 hypersensitivity to bovine milk (BM) in an age-specific manner [41]. However, enzymatically digested raw BM may also unveil T-cell but not IgE-reactive epitopes that may induce long-term immune tolerance (possibly IgG-mediated) in subjects with cow’s milk allergy [42].
- Second, although it might be obvious that the relative density of protein subfractions in the BMC mix used here (αS1-CN, αS2-CN > β-CN > κ-CN, BSA > Ig; Figure 2) differs from their natural occurrence in raw bovine milk (αS1-CN, αS2-CN > β-CN > κ-CN, β-lactoglobulin > α-lactalbumin > BSA > lactoferrin/Ig) [43], the presence of additional BSA and IgG bands (>50 kDa) and other minor proteins (<24 kDa) was evident. This issue has been reported by others when using the same pure standards, either alone or mixed [44,45,46].
- Third, the BSA immunoreactivity observed in patient-specific immunoblots could be due to the ELISA assay, given that its binding to the microplate (ELISA) or to PVDF membrane strips could be strong (e.g., covalent forces), though the BSA concentration in the BMC mix is considerably low compared to α, β-CN. Furthermore, the Ag-Ab reaction with BSA from the blocking solution (ELISA assay) is negligible since, under these conditions, BSA exhibits quite low capacity to adhere to the microplate (weak bounding forces) or to create stable conjugates that can be eliminated in the washing stages [47,48].
5. Conclusions
Supplementary Materials
Author Contributions
Funding
Institutional Review Board Statement
Informed Consent Statement
Data Availability Statement
Acknowledgments
Conflicts of Interest
References
- Li, H.; Liu, H.; Chen, X.; Zhang, J.; Tong, G.; Sun, Y. Association of food hypersensitivity in children with the risk of autism spectrum disorder: A meta-analysis. Eur. J. Pediatr. 2021, 180, 999–1008. [Google Scholar] [CrossRef] [PubMed]
- Wang, J.; Ma, B.; Wang, J.; Zhang, Z.; Chen, O. Global prevalence of autism spectrum disorder and its gastrointestinal symptoms: A systematic review and meta-analysis. Front. Psychiatry 2022, 13, 963102. [Google Scholar] [CrossRef]
- Xu, G.; Snetselaar, L.G.; Jing, J.; Liu, B.; Strathearn, L.; Bao, W. Association of food allergy and other allergic conditions with autism spectrum disorder in children. JAMA Netw. Open. 2018, 1, e180279. [Google Scholar] [CrossRef]
- Ahmad, S.F.; Zoheir, K.M.A.; Ansari, M.A.; Nadeem, A.; Bakheet, S.A.; Al-Ayadhi, L.Y.; Alzahrani, M.Z.; Al-Shabanah, O.A.; Al-Harbi, M.M.; Attia, S.M. Dysregulation of Th1, Th2, Th17, and T regulatory cell-related transcription factor signaling in children with autism. Mol. Neurobiol. 2017, 54, 4390–4400. [Google Scholar] [CrossRef] [PubMed]
- Moaaz, M.; Youssry, S.; Elfatatry, A.; Abd El Rahman, M. Th17/Treg cells imbalance and their related cytokines (IL-17, IL-10 and TGF-β) in children with autism spectrum disorder. J. Neuroinmunol. 2019, 337, 577071. [Google Scholar] [CrossRef]
- Nadeem, A.; Ahmad, S.F.; Al-Harbi, N.O.; Al-Ayadhi, L.Y.; Sarawi, W.; Attia, S.M.; Bakheet, S.A.; Alqarni, S.A.; Ali, N.; AsSobeai, H.M. Imbalance in pro-inflammatory and anti-inflammatory cytokines milieu in B cells of children with autism. Mol. Immunol. 2022, 141, 297–304. [Google Scholar] [CrossRef] [PubMed]
- TTheoharides, T.C.; Angelidou, A.; Alysandratos, K.-D.; Zhang, B.; Asadi, S.; Francis, K.; Toniato, E.; Kalogeromitros, D. Mast cell activation and autism. Biochim. Biophys. Acta 2012, 1822, 34–41. [Google Scholar] [CrossRef] [PubMed]
- Al-Iede, M.; Sarhan, L.; Alshrouf, M.A.; Sai, Y. Perspectives on non-IgE-mediated gastrointestinal food allergy in pediatrics: A review of current evidence and guidelines. J. Asthma Allergy 2023, 16, 279–291. [Google Scholar] [CrossRef]
- Connors, L.; O’Keefe, A.; Rosenfield, L.; Kim, H. Non-IgE-mediated food hypersensitivity. Allergy Asthma Clin. Immunol. 2018, 14 (Suppl. S2), 56. [Google Scholar] [CrossRef]
- Ozen, A.; Gulcan, E.M.; Ercan Saricoban, H.; Ozkan, F.; Cengizlier, R. Food protein-induced non-immunoglobulin E-mediated allergic colitis in infants and older Children: What cytokines are involved? Int. Arch. Allergy Immunol. 2015, 168, 61–68. [Google Scholar] [CrossRef]
- Tedner, S.G.; Asarnoj, A.; Thulin, H.; Westman, M.; Konradsen, J.R.; Nilsson, C. Food allergy and hypersensitivity reactions in children and adults—A review. J. Intern. Med. 2022, 291, 283–302. [Google Scholar] [CrossRef] [PubMed]
- Erbescu, A.; Papuc, S.M.; Budisteanu, M.; Arghir, A.; Neagu, M. Re-emerging concepts of immune dysregulation in autism spectrum disorders. Front. Psychiatr. 2022, 13, 1006612. [Google Scholar] [CrossRef]
- de Magistris, L.; Picardi, A.; Siniscalco, D.; Riccio, M.P.; Sapone, A.; Cariello, R.; Abbadessa, S.; Medici, N.; Lammers, K.M.; Schiraldi, C.; et al. Antibodies against food antigens in patients with autistic spectrum disorders. BioMed Res. Int. 2013, 1, 729349. [Google Scholar] [CrossRef]
- Kopf-Bolanz, K.A.; Schwander, F.; Gijs, M.; Vergères, G.; Portmann, R.; Egger, L. Validation of an in vitro digestive system for studying macronutrient decomposition in humans. J. Nutr. 2012, 142, 245–250. [Google Scholar] [CrossRef] [PubMed]
- Sanctuary, M.R.; Kain, J.N.; Angkustsiri, K.; German, J.B. Dietary considerations in autism spectrum disorders: The potential role of protein digestion and microbial putrefaction in the gut-brain axis. Front. Nutr. 2018, 5, 40. [Google Scholar] [CrossRef] [PubMed]
- de Vasconcelos, M.L.; Oliveira, L.M.F.; Hill, J.P.; Vidal, A.M.C. Difficulties in establishing the adverse effects of β-Casomorphin-7 released from β-Casein variants—A review. Foods 2023, 12, 3151. [Google Scholar] [CrossRef] [PubMed]
- American Psychiatric Association. Diagnostic and Statistical Manual of Mental Disorders, 5th ed.; DSM-V.: Washington, DC, USA, 2013. [Google Scholar]
- Von Elm, E.; Altman, D.G.; Egger, M.; Pocock, S.J.; Gøtzsche, P.C.; Vandenbroucke, J.P. The Strengthening the Reporting of Observational Studies in Epidemiology (STROBE) statement: Guidelines for reporting observational studies. Lancet 2007, 370, 1453–1457. [Google Scholar] [CrossRef] [PubMed]
- Thulasi, V.; Steer, R.A.; Monteiro, I.M.; Ming, X. Overall severities of gastrointestinal symptoms in pediatric outpatients with and without autism spectrum disorder. Autism 2019, 23, 524–530. [Google Scholar] [CrossRef] [PubMed]
- Flores-Rodríguez, Y.; Ceballos, O.R.; Albores-Gallo, L. Assessing autism with DSM-IV and DSM-5 criteria using the childhood autism rating scale (CARS). Salud Ment. 2022, 45, 3–10. [Google Scholar] [CrossRef]
- Hornbeck, P.V. Enzyme-linked immunosorbent assays. Curr. Prot. Immunol. 2015, 110, 2.1.1–2.1.23. [Google Scholar] [CrossRef]
- Vojdani, A.; Kharrazian, D.; Mukherjee, P.S. The prevalence of antibodies against wheat and milk proteins in blood donors and their contribution to neuroimmune reactivities. Nutrients 2014, 6, 15–36. [Google Scholar] [CrossRef] [PubMed]
- Laemmli, U.K. Cleavage of structural proteins during the assembly of the head of bacteriophage T4. Nature 1970, 227, 680–685. [Google Scholar] [CrossRef] [PubMed]
- Ni, D.; Xu, P.; Gallagher, S. Immunoblotting and immunodetection. Curr. Prot. Cell Biol. 2017, 74, 6.2.1–6.2.37. [Google Scholar] [CrossRef]
- Hung, L.Y.; Margolis, K.G. Autism spectrum disorders and the gastrointestinal tract: Insights into mechanisms and clinical relevance. Nat. Rev. Gastroenterol. Hepatol. 2024, 21, 142–163. [Google Scholar] [CrossRef]
- Masanetz, R.K.; Winkler, J.; Winner, B.; Günther, C.; Süß, P. The gut–immune–brain axis: An important route for neuropsychiatric morbidity in inflammatory bowel disease. Int. J. Mol. Sci. 2022, 23, 11111. [Google Scholar] [CrossRef]
- Anatolyevna, B.I.; Ivanovich, P.V.; Alekseevich, Z.A.; Vadimovich, B.D. Frequency of detection of markers of casein and gluten intolerance in children with autism spectrum disorders. Vopr. Pitan. (Nutr. Issues) 2019, 88, 41–47. [Google Scholar] [CrossRef]
- Leader, G.; Abberton, C.; Cunningham, S.; Gilmartin, K.; Grudzien, M.; Higgins, E.; Joshi, L.; Whelan, S.; Mannion, A. Gastrointestinal symptoms in autism spectrum disorder: A systematic review. Nutrients 2022, 14, 1471. [Google Scholar] [CrossRef]
- Thompson, K.; Wallisch, A.; Nowell, S.; Meredith, J.; Boyd, B. The role of oral hypersensitivity in feeding behaviors of young autistic children. Autism 2023, 27, 1157–1162. [Google Scholar] [CrossRef] [PubMed]
- Wang, L.; Shen, W.; Yao, H.; Zheng, R.; Chen, W.; Zhang, W. Association between autism spectrum disorder and food allergy: A systematic review and meta-analysis. Autism Res. 2021, 14, 220–230. [Google Scholar] [CrossRef]
- Abrams, E.M.; Kim, H.; Gerdts, J.; Protudjer, J.L.P. Milk allergy most burdensome in multi-food allergic children. Pediatr. Allergy Immunol. 2020, 31, 827–834. [Google Scholar] [CrossRef]
- Martin-Martinez, B. Management of CMPA in infancy: Current approaches and future perspective. J. Immunol. Res. Innov. 2023, 1, 1–7. [Google Scholar] [CrossRef]
- Wasilewska, J.; Klukowski, M. Gastrointestinal symptoms and autism spectrum disorder: Links and risks—A possible new overlap syndrome. Ped. Health Med. Ther. 2015, 6, 153–166. [Google Scholar] [CrossRef] [PubMed]
- Jarmołowska, B.; Bukało, M.; Fiedorowicz, E.; Cieślińska, A.; Kordulewska, N.K.; Moszyńska, M.; Świątecki, A.; Kostyra, E. Role of milk-derived opioid peptides and proline dipeptidyl peptidase-4 in autism spectrum disorders. Nutrients 2019, 11, 87. [Google Scholar] [CrossRef] [PubMed]
- Vita, A.A.; Zwickey, H.; Bradley, R. Associations between food-specific IgG antibodies and intestinal permeability biomarkers. Front. Nutr. 2022, 9, 962093. [Google Scholar] [CrossRef] [PubMed]
- Isung, J.; Williams, K.; Isomura, K.; Gromark, C.; Hesselmark, E.; Lichtenstein, P.; Larsson, H.; de la Cruz, L.F.; Sidorchuk, A.; Mataix-Cols, D. Association of primary humoral immunodeficiencies with psychiatric disorders and suicidal behavior and the role of autoimmune diseases. JAMA Psychiatry 2020, 77, 1147–1154. [Google Scholar] [CrossRef] [PubMed]
- El-Alameey, I.R.; Ahmed, H.H.; Eid, I.M.; El-Dory, G.H.A.D.A.; Gameel, M.A.N.A.L. Relationship of serum dipeptidyl peptidase-iv activity and anti-casein antibodies to gastrointestinal symptoms among children with autism spectrum disorder: An Egyptian study. Asian J. Pharm. Clin. Res. 2018, 11, 370–374. [Google Scholar] [CrossRef]
- Brandtzaeg, P. Role of the intestinal immune system in health. In Crohn’s Disease and Ulcerative Colitis; Baumgart, D., Ed.; Springer: Cham, Switzerland, 2017; pp. 23–56. [Google Scholar] [CrossRef]
- Bjørklund, G.; Meguid, N.A.; Hemimi, M.; Sahakyan, E.; Fereshetyan, K.; Yenkoyan, K. The role of dietary peptides gluten and casein in the development of autism spectrum disorder: Biochemical perspectives. Mol. Neurobiol. 2024, 1–12. [Google Scholar] [CrossRef]
- Borş, A.; Borş, S.I.; Floriștean, V.C. Health-related outcomes and molecular methods for the characterization of A1 and A2 cow’s milk: Review and update. Vet. Sci. 2024, 11, 172. [Google Scholar] [CrossRef] [PubMed]
- Archila, L.D.; Khan, F.S.; Bhatnagar, N.; Robinson, D.; Farrington, M.L.; Kwok, W.W. αS1-Casein elucidate major T-cell responses in cow’s milk allergy. J. Allergy Clin. Immunol. 2017, 140, 854–857. [Google Scholar] [CrossRef]
- Huang, M.; Tan, H.; Xiong, Z.; Hu, W.; Wu, Y.; Meng, X.; Chen, H.; Li, X. Allergenicity evaluation of peptides from milk and yogurt after gastrointestinal digestion based on epitopes. Food Funct. 2022, 13, 10769–10789. [Google Scholar] [CrossRef]
- Costa, F.F.; Brito, M.A.V.P.; Furtado, M.A.M.; Martins, M.F.; de Oliveira, M.A.L.; de Castro Barra, P.M.; Garrido, L.A.; dos Santos, A.S.d.O. Microfluidic chip electrophoresis investigation of major milk proteins: Study of buffer effects and quantitative approaching. Anal. Methods 2014, 6, 1666–1673. [Google Scholar] [CrossRef]
- Verhegghe, M.; Rasschaert, G.; Herman, L.; Goossens, K.; Vandaele, L.; De Bleecker, K.; Vlaemynck, G.; Heyndrickx, M.; De Block, J. Reduction of Mycobacterium avium ssp. paratuberculosis in colostrum: Development and validation of 2 methods, one based on curdling and one based on centrifugation. J. Dairy Sci. 2017, 100, 3497–3512. [Google Scholar] [CrossRef] [PubMed]
- Li, M.; Auty, M.A.; Crowley, S.V.; Kelly, A.L.; O’Mahony, J.A.; Brodkorb, A. Self-association of bovine β-casein as influenced by calcium chloride, buffer type and temperature. Food Hydrocoll. 2019, 88, 190–198. [Google Scholar] [CrossRef]
- Loi, M.; Quintieri, L.; Fanelli, F.; Caputo, L.; Mulè, G. Application of a recombinant laccase-chlorogenic acid system in protein crosslink and antioxidant properties of the curd. Food Res. Int. 2018, 106, 763–770. [Google Scholar] [CrossRef] [PubMed]
- Ahirwar, R.; Bariar, S.; Balakrishnan, A.; Nahar, P. BSA blocking in enzyme-linked immunosorbent assays is a non-mandatory step: A perspective study on mechanism of BSA blocking in common ELISA protocols. RSC Adv. 2015, 5, 100077–100083. [Google Scholar] [CrossRef]
- Xiao, Y.; Isaacs, S.N. Enzyme-linked immunosorbent assay (ELISA) and blocking with bovine serum albumin (BSA)—Not all BSAs are alike. J. Immunol. Methods 2012, 384, 148–151. [Google Scholar] [CrossRef]


| Level of Immunoreactivity | |||
|---|---|---|---|
| Reference | Mono | Dual | |
| n | 13 | 11 | 7 |
| Male | 10 (76.9) | 9 (81.8) | 5 (75.0) |
| Age (years; X ± SD) | 8.6 (5.9) | 7.5 (5.0) | 7.7 (4.4) |
| ASD diagnosis [age (years): X ± SD] | 5 (4.3) | 3 (1.6) | 3 (0.9) |
| Healthcare access | 9 (69.2) | 9 (81.8) | 5 (75.0) |
| Regurgitations | 4 (30.8) b | 5 (45.5) ab | 6 (85.7) a |
| Food allergies | 1 (7.7) b | 2 (18.2) ab | 4 (57.1) a |
| Postnatal diarrhea | 8 (61.5) a | 6 (54.5) ab | 1 (14.3) b |
| Self-perceived good digestive health | 6 (46.2) a | 1 (9.1) b | 2 (28.6) ab |
| >three prescribed medications | 1 (7.7) b | 6 (54.5) a | 2 (28.6) ab |
| Level of Immunoreactivity | |||
|---|---|---|---|
| Reference | Mono | Dual | |
| Food allergy | 1.0 | 2.7 (0.2–34.2) | 16.0 (1.3–200.9) * |
| Severe CARS | 1.0 | 3.1 (0.5–22.0) | 13.8 (1.5–127.5) * |
| Severe GSI | 1.0 | 2.1 (0.3–15.4) | 13.8 (1.5–127.5) * |
| Regurgitations | 1.0 | 1.9 (0.4–10.0) | 13.5 (1.2–152.2) * |
| Postnatal diarrhea | 1.0 | 0.8 (0.2–3.8) | 0.1 (0.0–1.1) * |
| >three prescribed medications | 1.0 | 14.4 (1.4–152.5) * | 4.8 (0.4–65.8) |
Disclaimer/Publisher’s Note: The statements, opinions and data contained in all publications are solely those of the individual author(s) and contributor(s) and not of MDPI and/or the editor(s). MDPI and/or the editor(s) disclaim responsibility for any injury to people or property resulting from any ideas, methods, instructions or products referred to in the content. |
© 2024 by the authors. Licensee MDPI, Basel, Switzerland. This article is an open access article distributed under the terms and conditions of the Creative Commons Attribution (CC BY) license (https://creativecommons.org/licenses/by/4.0/).
Share and Cite
Valenzuela-Zamora, Á.F.; Campos-Vega, R.; López-Diaz, J.A.; Wall-Medrano, A. The Severity of Gastrointestinal Disorders and Autistic-Like Behaviors Could Be Associated with a Selective Humoral Response to Bovine Milk Caseins: A Case Series. Gastroenterol. Insights 2024, 15, 530-540. https://doi.org/10.3390/gastroent15030039
Valenzuela-Zamora ÁF, Campos-Vega R, López-Diaz JA, Wall-Medrano A. The Severity of Gastrointestinal Disorders and Autistic-Like Behaviors Could Be Associated with a Selective Humoral Response to Bovine Milk Caseins: A Case Series. Gastroenterology Insights. 2024; 15(3):530-540. https://doi.org/10.3390/gastroent15030039
Chicago/Turabian StyleValenzuela-Zamora, Ángel F., Rocío Campos-Vega, José A. López-Diaz, and Abraham Wall-Medrano. 2024. "The Severity of Gastrointestinal Disorders and Autistic-Like Behaviors Could Be Associated with a Selective Humoral Response to Bovine Milk Caseins: A Case Series" Gastroenterology Insights 15, no. 3: 530-540. https://doi.org/10.3390/gastroent15030039
APA StyleValenzuela-Zamora, Á. F., Campos-Vega, R., López-Diaz, J. A., & Wall-Medrano, A. (2024). The Severity of Gastrointestinal Disorders and Autistic-Like Behaviors Could Be Associated with a Selective Humoral Response to Bovine Milk Caseins: A Case Series. Gastroenterology Insights, 15(3), 530-540. https://doi.org/10.3390/gastroent15030039

