Endoscopic Ultrasonography-Guided Fine-Needle Biopsy for Patients with Resectable Pancreatic Malignancies
Abstract
1. Introduction
2. Materials and Methods
2.1. Study Design
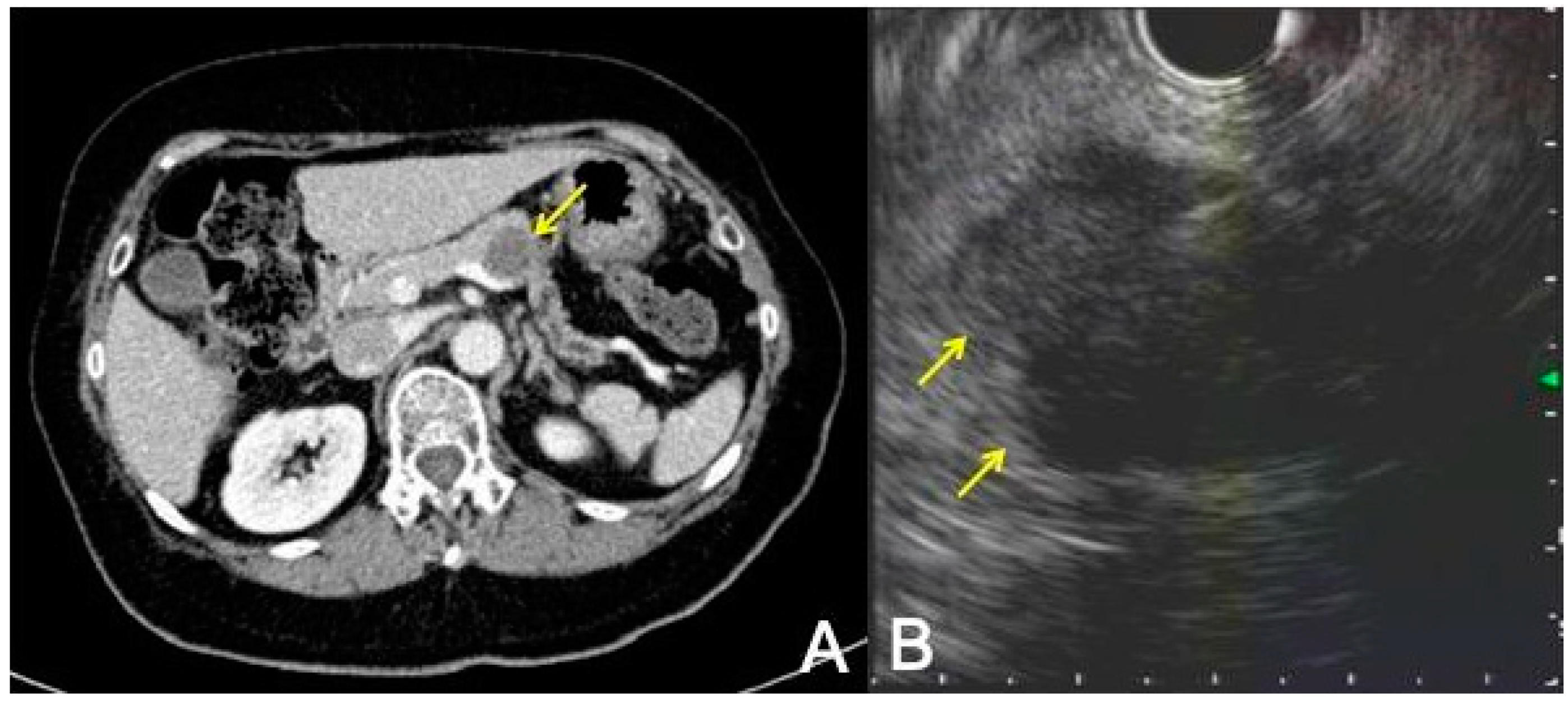
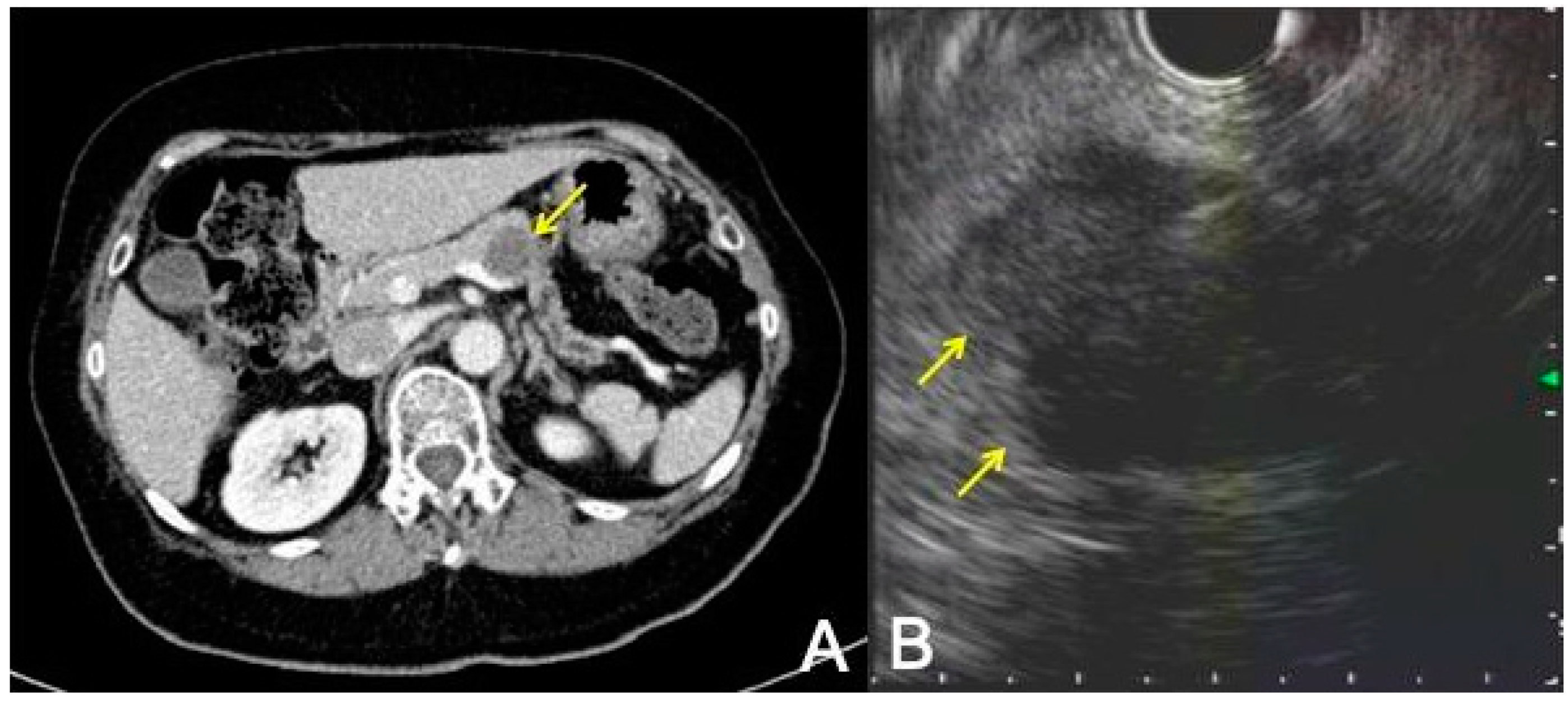
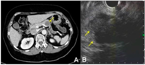
2.2. EUS-FNB
2.3. Statistical Analysis
3. Results
4. Discussion
5. Conclusions
Author Contributions
Funding
Institutional Review Board Statement
Informed Consent Statement
Data Availability Statement
Conflicts of Interest
References
- Siegel, R.L.; Miller, K.D.; Fuchs, H.E.; Jemal, A. Cancer Statistics, 2021. CA Cancer J. Clin. 2021, 71, 7–33. [Google Scholar] [CrossRef]
- Grossberg, A.J.; Chu, L.C.; Deig, C.R.; Fishman, E.K.; Hwang, W.L.; Maitra, A.; Marks, D.L.; Mehta, A.; Nabavizadeh, N.; Simeone, D.M.; et al. Multidisciplinary standards of care and recent progress in pancreatic ductal adenocarcinoma. CA Cancer J. Clin. 2020, 70, 375–403. [Google Scholar] [CrossRef]
- Z’graggen, K.; Fernández-del Castillo, C.; Rattner, D.W.; Sigala, H.; Warshaw, A.L. Metastases to the Pancreas and Their Surgical Extirpation. Arch. Surg. 1998, 133, 413–418. [Google Scholar] [CrossRef] [PubMed]
- Lai, J.-H.; Lee, K.-H.; Chang, C.-W.; Chen, M.-J.; Lin, C.-C. Predicting Factors for Pancreatic Malignancy with Computed Tomography and Endoscopic Ultrasonography in Chronic Pancreatitis. Diagnostics 2022, 12, 1004. [Google Scholar] [CrossRef] [PubMed]
- Srisajjakul, S.; Prapaisilp, P.; Bangchokdee, S. CT and MR features that can help to differentiate between focal chronic pancreatitis and pancreatic cancer. Radiol. Med. 2020, 125, 356–364. [Google Scholar] [CrossRef] [PubMed]
- Catalano, M.F.; Sahai, A.; Levy, M.; Romagnuolo, J.; Wiersema, M.; Brugge, W.; Freeman, M.; Yamao, K.; Canto, M.; Hernandez, L.V. EUS-based criteria for the diagnosis of chronic pancreatitis: The Rosemont classification. Gastrointest. Endosc. 2009, 69, 1251–1261. [Google Scholar] [CrossRef]
- Lai, J.H.; Lin, H.H.; Lin, C.C. Factors affecting cytological results of endoscopic ultrasound guided-fine needle aspiration during learning. Diagn. Pathol. 2020, 15, 17. [Google Scholar] [CrossRef]
- Ryan, D.P.; Hong, T.S.; Bardeesy, N. Pancreatic adenocarcinoma. N. Engl. J. Med. 2014, 371, 1039–1049. [Google Scholar] [CrossRef]
- Mohan, B.P.; Madhu, D.; Reddy, N.; Chara, B.S.; Khan, S.R.; Garg, G.; Kassab, L.L.; Muthusamy, A.K.; Singh, A.; Chandan, S.; et al. Diagnostic accuracy of EUS-guided fine-needle biopsy sampling by macroscopic on-site evaluation: A systematic review and meta-analysis. Gastrointest. Endosc. 2022, 96, 909–917.e911. [Google Scholar] [CrossRef]
- Benassai, G.; Mastrorilli, M.; Quarto, G.; Cappiello, A.; Giani, U.; Mosella, G. Survival after pancreaticoduodenectomy for ductal adenocarcinoma of the head of the pancreas. Chir. Ital. 2000, 52, 263–270. [Google Scholar]
- Millikan, K.W.; Deziel, D.J.; Silverstein, J.C.; Kanjo, T.M.; Christein, J.D.; Doolas, A.; Prinz, R.A. Prognostic factors associated with resectable adenocarcinoma of the head of the pancreas. Am. Surg. 1999, 65, 618–623. [Google Scholar] [CrossRef] [PubMed]
- Adsay, N.V.; Andea, A.; Basturk, O.; Kilinc, N.; Nassar, H.; Cheng, J.D. Secondary tumors of the pancreas: An analysis of a surgical and autopsy database and review of the literature. Virchows Arch. 2004, 444, 527–535. [Google Scholar] [CrossRef] [PubMed]
- Xu, M.M.; Sethi, A. Imaging of the Pancreas. Gastroenterol. Clin. N. Am. 2016, 45, 101–116. [Google Scholar] [CrossRef] [PubMed]
- Masetti, M.; Zanini, N.; Martuzzi, F.; Fabbri, C.; Mastrangelo, L.; Landolfo, G.; Fornelli, A.; Burzi, M.; Vezzelli, E.; Jovine, E. Analysis of prognostic factors in metastatic tumors of the pancreas: A single-center experience and review of the literature. Pancreas 2010, 39, 135–143. [Google Scholar] [CrossRef] [PubMed]
- Tamburrino, D.; Riviere, D.; Yaghoobi, M.; Davidson, B.R.; Gurusamy, K.S. Diagnostic accuracy of different imaging modalities following computed tomography (CT) scanning for assessing the resectability with curative intent in pancreatic and periampullary cancer. Cochrane Database Syst. Rev. 2016, 9, CD011515. [Google Scholar] [CrossRef] [PubMed]
- Volmar, K.E.; Jones, C.K.; Xie, H.B. Metastases in the pancreas from nonhematologic neoplasms: Report of 20 cases evaluated by fine-needle aspiration. Diagn. Cytopathol. 2004, 31, 216–220. [Google Scholar] [CrossRef] [PubMed]
- Nakamura, E.; Shimizu, M.; Itoh, T.; Manabe, T. Secondary tumors of the pancreas: Clinicopathological study of 103 autopsy cases of Japanese patients. Pathol. Int. 2001, 51, 686–690. [Google Scholar] [CrossRef]
- Spadaccini, M.; Conti Bellocchi, M.C.; Mangiavillano, B.; Fantin, A.; Rahal, D.; Manfrin, E.; Gavazzi, F.; Bozzarelli, S.; Crino, S.F.; Terrin, M.; et al. Secondary Tumors of the Pancreas: A Multicenter Analysis of Clinicopathological and Endosonographic Features. J. Clin. Med. 2023, 12, 2829. [Google Scholar] [CrossRef] [PubMed]
- Palmowski, M.; Hacke, N.; Satzl, S.; Klauss, M.; Wente, M.N.; Neukamm, M.; Kleeff, J.; Hallscheidt, P. Metastasis to the pancreas: Characterization by morphology and contrast enhancement features on CT and MRI. Pancreatology 2008, 8, 199–203. [Google Scholar] [CrossRef]
- Okasha, H.H.; Pawlak, K.M.; Zorniak, M.; Wiechowska-Kozlowska, A.; Naga, Y.M.; ElHusseiny, R. EUS in the evaluation of metastatic lesions to the pancreas. Endosc. Ultrasound 2020, 9, 147–150. [Google Scholar] [CrossRef]
- El Hajj, I.I.; LeBlanc, J.K.; Sherman, S.; Al-Haddad, M.A.; Cote, G.A.; McHenry, L.; DeWitt, J.M. Endoscopic ultrasound-guided biopsy of pancreatic metastases: A large single-center experience. Pancreas 2013, 42, 524–530. [Google Scholar] [CrossRef]
- Balaban, D.V.; Coman, L.; Marin, F.S.; Balaban, M.; Tabacelia, D.; Vasilescu, F.; Costache, R.S.; Jinga, M. Metastatic Renal Cell Carcinoma to Pancreas: Case Series and Review of the Literature. Diagnostics 2023, 13, 1368. [Google Scholar] [CrossRef]
- Teodorescu, C.; Bolboaca, S.D.; Rusu, I.; Pojoga, C.; Seicean, R.; Mosteanu, O.; Sparchez, Z.; Seicean, A. Contrast enhanced endoscopic ultrasound in the diagnosis of pancreatic metastases. Med. Ultrason. 2022, 24, 277–283. [Google Scholar] [CrossRef]
- National Comprehensive Cancer Network. Pancreatic Adenocarcinoma (Version 1.2024). 2023. Available online: https://www.nccn.org/professionals/physician_gls/pdf/pancreatic.pdf (accessed on 13 December 2023).
- Conroy, T.; Pfeiffer, P.; Vilgrain, V.; Lamarca, A.; Seufferlein, T.; O’Reilly, E.M.; Hackert, T.; Golan, T.; Prager, G.; Haustermans, K.; et al. Pancreatic cancer: ESMO Clinical Practice Guideline for diagnosis, treatment and follow-up. Ann. Oncol. 2023, 34, 987–1002. [Google Scholar] [CrossRef]
- Brugge, W.R.; De Witt, J.; Klapman, J.B.; Ashfaq, R.; Shidham, V.; Chhieng, D.; Kwon, R.; Baloch, Z.; Zarka, M.; Staerkel, G. Techniques for cytologic sampling of pancreatic and bile duct lesions: The Papanicolaou Society of Cytopathology Guidelines. Cytojournal 2014, 11, 2. Available online: http://www.ncbi.nlm.nih.gov/pubmed/25191516 (accessed on 2 June 2014). [CrossRef]
- Micames, C.; Jowell, P.S.; White, R.; Paulson, E.; Nelson, R.; Morse, M.; Hurwitz, H.; Pappas, T.; Tyler, D.; McGrath, K. Lower frequency of peritoneal carcinomatosis in patients with pancreatic cancer diagnosed by EUS-guided FNA vs. percutaneous FNA. Gastrointest. Endosc. 2003, 58, 690–695. Available online: http://www.ncbi.nlm.nih.gov/pubmed/14595302 (accessed on 23 February 2005). [CrossRef] [PubMed]
- Okasha, H.H.; Naga, M.I.; Esmat, S.; Naguib, M.; Hassanein, M.; Hassani, M.; El-Kassas, M.; Mahdy, R.E.; El-Gemeie, E.; Farag, A.H.; et al. Endoscopic ultrasound- guided fine needle aspiration versus percutaneous ultrasound-guided fine needle aspiration in diagnosis of focal pancreatic masses. Endosc. Ultrasound 2013, 2, 190–193. Available online: http://www.ncbi.nlm.nih.gov/pubmed/24949394 (accessed on 1 October 2013). [CrossRef]
- Kwon, C.I. Will New Instruments for Endoscopic Ultrasound-Guided Tissue Acquisition Make Us Happy? Clin. Endosc. 2018, 51, 510–512. [Google Scholar] [CrossRef]
- Lai, J.H.; Lin, H.H.; Chen, M.J.; Lin, C.C. Safety and Effectiveness of Endoscopic Ultrasound-Guided Fine Needle Biopsy for Retroperitoneal and Gastrointestinal Tumors in Elderly Patients. Int. J. Gerontol. 2022, 16, 254. [Google Scholar] [CrossRef]
- Reddy, S.; Wolfgang, C.L. The role of surgery in the management of isolated metastases to the pancreas. Lancet Oncol. 2009, 10, 287–293. [Google Scholar] [CrossRef]
- DeWitt, J.; Jowell, P.; Leblanc, J.; McHenry, L.; McGreevy, K.; Cramer, H.; Volmar, K.; Sherman, S.; Gress, F. EUS-guided FNA of pancreatic metastases: A multicenter experience. Gastrointest. Endosc. 2005, 61, 689–696. [Google Scholar] [CrossRef]
- Santoni, M.; Conti, A.; Partelli, S.; Porta, C.; Sternberg, C.N.; Procopio, G.; Bracarda, S.; Basso, U.; De Giorgi, U.; Derosa, L.; et al. Surgical resection does not improve survival in patients with renal metastases to the pancreas in the era of tyrosine kinase inhibitors. Ann. Surg. Oncol. 2015, 22, 2094–2100. [Google Scholar] [CrossRef]




| Age (year) | 64.53 ± 13.5 |
| Male | 27 (39.7%) |
| History of cancer (n, %) | 17 (25%) |
| EUS-suspected malignancy | 68 |
| Pass number (n) | 3.01 |
| Successful FNB tissue proof (n, %) | 61 (88.4%) |
| Location of tumor | |
| -Uncinate process and head | 47 (69.1%) |
| -Body and tail | 21 (30.8%) |
| Kinds of tumor (PDAC/NET/Metastasis) (n, %) | |
| -PDAC | 42 (61.8%) |
| -NET | 22 (32.3%) |
| -Metastasis | 4 (5.9%) |
| History of Cancer (n = 17) | No History of Cancer (n = 51) | p-Value | |
|---|---|---|---|
| Male (n, %) | 6 (35.3%) | 21 (41.2%) | 0.668 |
| Age (year) | 61.41 ± 14.7 | 65.57 ± 13.24 | 0.275 |
| Underlying cancer (n) | |||
| Lung | 3 (17.6%) | 0 | NA |
| Breast cancer | 7 (41.2%) | 0 | NA |
| Esophagus | 1 (5.9%) | 0 | NA |
| Others | 6 (35.3%) | 0 | NA |
| Pancreas tumor (n, %) | 0.003 | ||
| Primary | 13 (76.5%) | 51 (100%) | |
| Metastasis | 4 (23.5%) | 0 (0%) |
Disclaimer/Publisher’s Note: The statements, opinions and data contained in all publications are solely those of the individual author(s) and contributor(s) and not of MDPI and/or the editor(s). MDPI and/or the editor(s) disclaim responsibility for any injury to people or property resulting from any ideas, methods, instructions or products referred to in the content. |
© 2024 by the authors. Licensee MDPI, Basel, Switzerland. This article is an open access article distributed under the terms and conditions of the Creative Commons Attribution (CC BY) license (https://creativecommons.org/licenses/by/4.0/).
Share and Cite
Chien, M.-S.; Lin, C.-C.; Lai, J.-H. Endoscopic Ultrasonography-Guided Fine-Needle Biopsy for Patients with Resectable Pancreatic Malignancies. Gastroenterol. Insights 2024, 15, 375-385. https://doi.org/10.3390/gastroent15020026
Chien M-S, Lin C-C, Lai J-H. Endoscopic Ultrasonography-Guided Fine-Needle Biopsy for Patients with Resectable Pancreatic Malignancies. Gastroenterology Insights. 2024; 15(2):375-385. https://doi.org/10.3390/gastroent15020026
Chicago/Turabian StyleChien, Ming-Sheng, Ching-Chung Lin, and Jian-Han Lai. 2024. "Endoscopic Ultrasonography-Guided Fine-Needle Biopsy for Patients with Resectable Pancreatic Malignancies" Gastroenterology Insights 15, no. 2: 375-385. https://doi.org/10.3390/gastroent15020026
APA StyleChien, M.-S., Lin, C.-C., & Lai, J.-H. (2024). Endoscopic Ultrasonography-Guided Fine-Needle Biopsy for Patients with Resectable Pancreatic Malignancies. Gastroenterology Insights, 15(2), 375-385. https://doi.org/10.3390/gastroent15020026

