Pituitary Spindle Cell Oncocytoma: More than a Grade 1 Tumor?
Abstract
1. Introduction
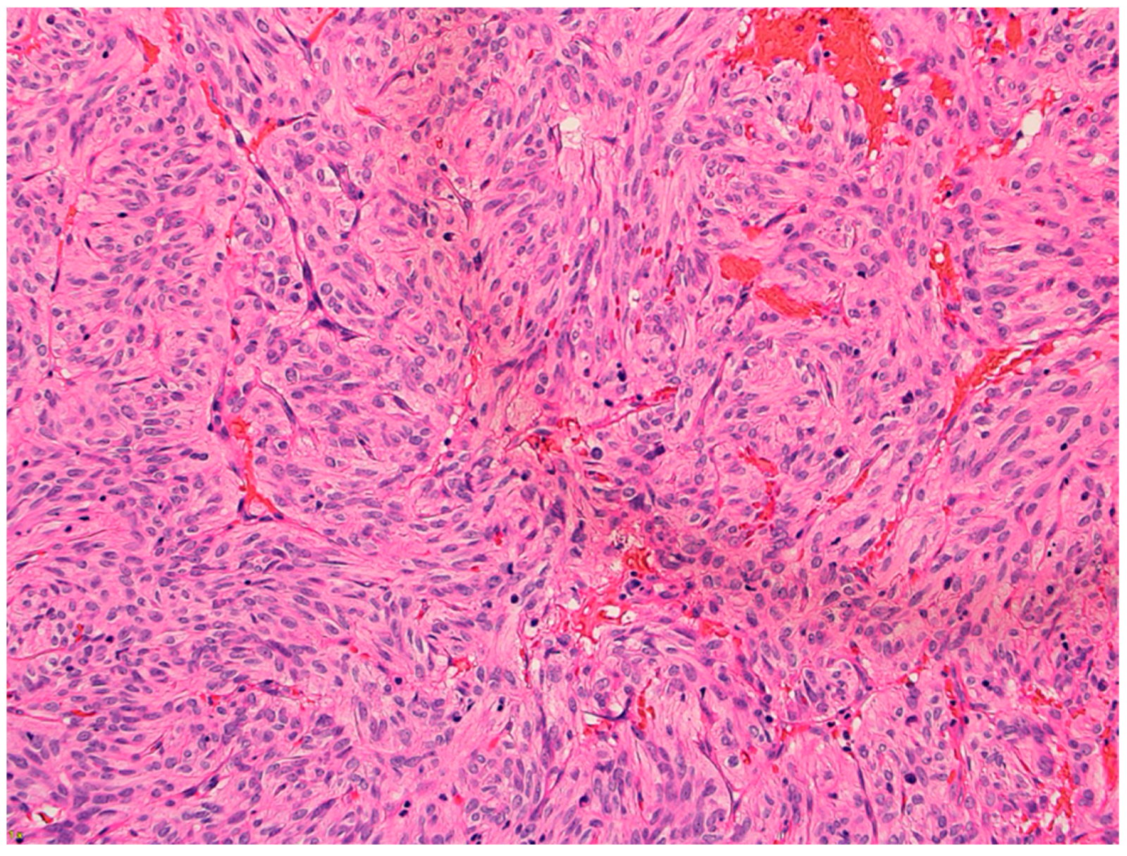
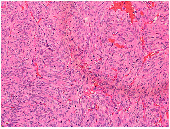
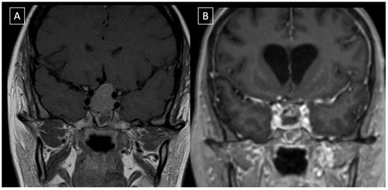
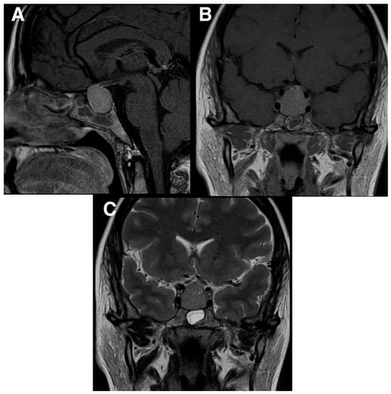
2. Case Presentation
3. Discussion
4. Conclusions
Author Contributions
Funding
Institutional Review Board Statement
Informed Consent Statement
Data Availability Statement
Conflicts of Interest
Abbreviations
| IHC | Immunohistochemistry |
| SCO | Spindle-cell oncocytoma |
| CT | Computed Tomography |
| MRI | Magnetic resonance imaging |
| TTF-1 | Thyroid Transcription Factor-1 |
| EMA | Epithelial Membrane Antigen |
| NVD | Nausea, vomiting, and diarrhea |
| F/U | Follow-up |
| VS | Vision |
| VD | Visual defect |
| PIT-1 | Pituitary-specific positive transcription factor-1 |
| PTTG-1 | Pituitary Tumor Transforming Gene-1 |
| GFAP | Glial Fibrillary Acidic Protein |
| Gal3 | Galectin-3 |
| Bcl2 | B-cell lymphoma 2 |
| TSR | Transsphenoidal resection |
| GK | Gamma Knife |
| Gy | Gray |
| ND | Not described |
| AMA | Anti-mitochondrial Ab |
References
- Roncaroli, F.; Scheithauer, B.W.; Cenacchi, G.; Horvath, E.; Kovacs, K.; Lloyd, R.V.; Abell-Aleff, P.; Santi, M.; Yates, A.J. Spindle cell oncocytoma of the adenohypophysis: A tumor of folliculostellate cells? Am. J. Pathol. 2002, 26, 1048–1055. [Google Scholar] [CrossRef]
- Joshi, S.; Krishnamurthy, B.; McKelvie, P.; Dhillon, R. Case report of pituitary spindle cell oncocytoma concurrent to growth-hormone secreting pituitary adenoma. Interdiscip. Neurosurg. Adv. Tech. Case Manag. 2024, 36, 101971. [Google Scholar] [CrossRef]
- Guerrero-Pérez, F.; Vidal, N.; Marengo, A.P.; Del Pozo, C.; Blanco, C.; Rivero-Celada, D.; Díez, J.J.; Iglesias, P.; Picó, A. Posterior pituitary tumours: The spectrum of a unique entity. Endocrine 2019, 63, 36–43. [Google Scholar] [CrossRef] [PubMed]
- Kunihiro, J.; Inoue, A.; Miyake, T.; Ohno, T.; Kitazawa, R.; Kunieda, T. Clinicopathological features and endoscopic findings of spindle cell oncocytoma: A case report and review of the literature. Int. J. Surg. Case Rep. 2023, 109, 108536. [Google Scholar] [CrossRef] [PubMed]
- Hasegawa, H.; Van Gompel, J.J.; Oushy, S.H.; Pollock, B.E.; Link, M.J.; Meyer, F.B.; Bancos, I.; Erickson, D.; Davidge-Pitts, C.J.; Little, J.T.; et al. A Comprehensive Study of Spindle Cell Oncocytoma of the Pituitary Gland: Series of 6 Cases and Meta-Analysis of 85 Cases. World Neurosurg. 2021, 149, E197–E216. [Google Scholar] [CrossRef]
- Akyoldaş, G.; Hergünsel, B.; Özdemir, I.E.; Şengöz, M.; Peker, S. Gamma knife radiosurgery for pituitary spindle cell oncocytomas. Clin. Neurol. Neurosurg. 2019, 187, 105560. [Google Scholar] [CrossRef]
- Hodzic, Z.; Rowan, N.R.; Kashiwazaki, R.; Willson, T.J.; Wang, E.W.; Lee, S.E. A systematic review of sinonasal oncocytomas and oncocytic carcinomas: Diagnosis, management, and technical considerations. Int. Forum Allergy Rhinol. 2017, 7, 514–524. [Google Scholar] [CrossRef]
- Hsieh, Y.-Y.; Chien, S.-C.; Tsai, H.-C.; Wei, K.-C.; Chuang, C.-C.; Jung, S.-M. Pituitary spindle cell oncocytoma: Two cases report and literature review. Int. J. Surg. Case Rep. 2024, 124, 110328. [Google Scholar] [CrossRef]
- Borges, M.T.; Lillehei, K.O.; Kleinschmidt-DeMasters, B.K. Spindle cell oncocytoma with late recurrence and unique neuroimaging characteristics due to recurrent subclinical intratumoral bleeding. J. Neuro-Oncol. 2011, 101, 145–154. [Google Scholar] [CrossRef]
- Larsen, A.M.G.; Cote, D.J.; Zaidi, H.A.; Bi, W.L.; Schmitt, P.J.; Iorgulescu, J.B.; Miller, M.B.; Smith, T.R.; Lopes, M.B.; Jane, J.A.; et al. Spindle cell oncocytoma of the pituitary gland. J. Neurosurg. 2018, 131, 517–525. [Google Scholar] [CrossRef]
- Chang, C.N.; Shen, C.C. Spindle cell oncocytoma of the pituitary tumor: A rare case report and literature reviews. Front. Surg. 2023, 9, 1021680. [Google Scholar] [CrossRef]
- Shimizu, A.; Nonami, Y.; Kanamuro, T.; Masui, K.; Yamamoto, T.; Amano, K.; Kawamata, T.; Ichihara, A.; Nagashima, Y. Pituicytoma with pleomorphism: A case report with cytological findings. Diagn. Cytopathol. 2022, 51, E1–E5. [Google Scholar] [CrossRef] [PubMed]
- Tena-Suck, M.L.; Hernández-Pacheco, A.A.; Rocandio-Hernández, D.; Salinas-Lara, C.; Sánchez-Garibay, C. Spindle Cells Oncocytoma and Rathke’s Cyst; A Collision Sellar Tumor– Brief Communication & Case Report. Med Clin. Case Rep. 2022, 2, 1022. [Google Scholar] [CrossRef]
- Abdulrazeq, H.; Anderson, M.; Poggi, J.; Sampath, S.; Kanach, C.; Dellale, I.; Sampath, P. Management of pituitary spindle cell oncocytomas: A case report and review of the literature. Interdiscip. Neurosurg. Adv. Tech. Case Manag. 2021, 23, 100972. [Google Scholar] [CrossRef]
- Kim, D.J.; Lee, S.; Kim, M.-S.; Hwang, J.-H.; Hahm, M.H. Spindle cell oncocytoma of the sella turcica with anaplastic features and rapid progression in short-term follow-up: A case report with proposal of distinctive radiologic features. J. Pathol. Transl. Med. 2021, 55, 225–229. [Google Scholar] [CrossRef]
- Kottangal, G.V.; Madhavan, L.; Kuruvilla, S.; Parameswaran, K.K.; Kollathodi, S.B. Spindle cell oncocytoma, a misdiagnosed rare entity of the pituitary—A case report with review of literature and special emphasis on the morphological differentials. Indian J. Pathol. Oncol. 2021, 8, 533–537. [Google Scholar] [CrossRef]
- Taka, T.M.; Yang, C.Y.; Limbo, J.N.; Chan, A.Y.; Davies, J.; Kuan, E.C.; Turner, S.G.; Hsu, F.P.K. Pituitary spindle cell oncocytoma: Illustrative case. J. Neurosurg. Case Lessons 2021, 2, 21356. [Google Scholar] [CrossRef]
- Leonardo, T.; Antonio, A.; Giorgio, F.; Giulio, B.; Giorgio, C.; Aldo, P.; Emanuele, F.; Giovanna, M.; Marco, L. Arterial Embolization and Second-Look in Spindle Cell Oncocytoma of the Pituitary Gland: Case Report and Review of Literature. World Neurosurg. 2020, 142, 87–92. [Google Scholar] [CrossRef]
- Samadian, M.; Mousavinejad, S.; Khoshsirat, S.; Dehghan, M.; Sharifi, G.; Ebrahimzadeh, K.; Rezaei, O. Trans-nasal trans-sphenoidal endoscopic resection of spindle cell oncocytoma of adenohypophysis: The first case report in a child and a review of literature. Asian J. Neurosurg. 2020, 15, 210–213. [Google Scholar] [CrossRef]
- Borg, A.; Jaunmuktane, Z.; Dorward, N. Tumours of the Neurohypophysis—One unit’s experience and literature review. World Neurosurg. 2020, 134, E968–E978. [Google Scholar] [CrossRef]
- Li, Y.; Chen, S.H.; Sheinberg, D.; Buttrick, S.; Levine, C.G.; Bhatia, R.G.; Lam, B.L.; Pasol, J.; Ayala, A.R.; Starke, R.M. Imaging Characteristics of a Hypervascular Pituitary Spindle Cell Oncocytoma on Magnetic Resonance Imaging and Digital Subtraction Angiography. World Neurosurg. 2020, 133, 56–59. [Google Scholar] [CrossRef] [PubMed]
- Chainey, J.; Chan, V.K.-Y.; Au, K.; Das, S. Multiple recurrences of spindle cell oncocytoma: A case report and literature review. Clin. Neuropathol. 2020, 39, 32–39. [Google Scholar] [CrossRef]
- Sollfrank, L.; Lettmaier, S.; Erdmann, M.; Uslu, U. Panniculitis Under Successful Targeted Inhibition of the MAPK/ERK Signaling Pathway in a Patient with BRAF V600E-mutated Spindle Cell Oncocytoma of the Pituitary Gland. Anticancer. Res. 2019, 39, 3955–3959. [Google Scholar] [CrossRef] [PubMed]
- Yip, C.-M.; Lee, H.-P.; Hsieh, P.-P. Pituitary spindle cell oncocytoma presented as pituitary apoplexy. J. Surg. Case Rep. 2019, 2019, rjz179. [Google Scholar] [CrossRef] [PubMed]
- Cole, T.S.; Potla, S.; Sarris, C.E.; Przybylowski, C.J.; Baranoski, J.F.; Mooney, M.A.; Barranco, F.D.; White, W.L.; Eschbacher, J.M.; Little, A.S. Rare Thyroid Transcription Factor 1–Positive Tumors of the Sellar Region: Barrow Neurological Institute Retrospective Case Series. World Neurosurg. 2019, 129, e294–e302. [Google Scholar] [CrossRef]
- Witte, H.M.; Riecke, A.; Saeger, W.; Hackenbroch, C.; Mathieu, R.; Mauer, U.M.; Schulz, C. Spindle cell oncocytoma of the neurohypophysis with metastasis to the sphenoparietal sinus and immunohistochemical negativity for S100 and epithelial membrane antigen (EMA). Br. J. Neurosurg. 2018, 37, 641–646. [Google Scholar] [CrossRef] [PubMed]
- Batra, V.V.; Gupta, R.K.; Singh, D.; Sharma, M.C.; Kumar, V. Is spindle cell oncocytoma a true entity or a variant of pituicytoma? A case report with review of literature. Neurol. India 2018, 66, 1413–1418. [Google Scholar] [CrossRef] [PubMed]
- Yoshida, K.; Toda, M.; Akiyama, T.; Takahashi, S.; Nishimoto, M.; Ozawa, H.; Ikari, Y.; Yoshida, K. Combined Endoscopic Endonasal and Video-microscopic Transcranial Approach with Preoperative Embolization for a Posterior Pituitary Tumor. World Neurosurg. 2018, 119, 201–208. [Google Scholar] [CrossRef]
- Nagata, Y.; Inoshita, N.; Fukuhara, N.; Yamaguchi-Okada, M.; Nishioka, H.; Yamada, S. Low-Grade Glioma of the Neurohypophysis: Clinical Characteristics and Surgical Outcomes. World Neurosurg. 2018, 114, e1225–e1231. [Google Scholar] [CrossRef]
- Sosa, S.; Danilowicz, K.; González Abbati, S.; Sevlever, G. Pituitary spindle cell oncocytoma: A case report with review of literature. Medicina 2018, 78, 33–36. [Google Scholar]
- Xie, J.; Silverman, J.F.; Pu, C.; Graner, S.; Storto, P.; Donangelo, I.; Jasnosz, K.M. Spindle cell oncocytoma of adenohypophysis: Cytogenetics and β-catenin findings with pathology differential diagnosis and review of the literature. Hum. Pathol. Case Rep. 2017, 9, 71–75. [Google Scholar] [CrossRef]
- Rafiq, N.M.; Kuniak, M.; Anichini, G.; Togersen, A.; Kamel, M.H. Spindle cell oncocytoma of the adenohypophysis: 2 case reports of unusual radiological and intra-operative findings. Interdiscip. Neurosurg. 2017, 10, 81–85. [Google Scholar] [CrossRef]
- Osman, M.; Wild, A. Spindle Cell Oncocytoma of the Anterior Pituitary Presenting with an Acute Clinical Course Due to Intraventricular Hemorrhage. A Case Report and Review of Literature. Am. J. Case Rep. 2017, 18, 894–901. [Google Scholar] [CrossRef]
- Aamodt, W.W.; Siegler, J.E.; Viaene, A.N.; Rubenstein, M.N. Late onset progressive multifocal leukoencephalopathy in Hodgkin lymphoma. J. Clin. Neurosci. 2017, 43, 134–136. [Google Scholar] [CrossRef] [PubMed]
- Sali, A.; Epari, S.; Tampi, C.; Goel, A. Spindle cell oncocytoma of adenohypophysis: Review of literature and report of another recurrent case. Neuropathology 2017, 37, 535–543. [Google Scholar] [CrossRef] [PubMed]
- Billeci, D.; Marton, E.; Giordan, E.; Carraro, V.; Ronzon, M.; Rossi, S. Spindle cell oncocytoma: Report of two cases with massive bleeding and review of the literature. J. Clin. Neurosci. 2017, 39, 39–44. [Google Scholar] [CrossRef]
- Kong, X.; Li, D.; Kong, Y.; Zhong, D. Malignant adenohypophysis spindle cell oncocytoma with repeating recurrences and a high Ki-67 index. Medicine 2017, 96, e5657. [Google Scholar] [CrossRef] [PubMed]
- Hagel, C.; Buslei, R.; Buchfelder, M.; Fahlbusch, R.; Bergmann, M.; Giese, A.; Flitsch, J.; Lüdecke, D.K.; Glatzel, M.; Saeger, W. Immunoprofiling of glial tumours of the neurohypophysis suggests a common pituicytic origin of neoplastic cells. Pituitary 2017, 20, 211–217. [Google Scholar] [CrossRef]
- Custodio, P.J.P.; Jho, D.H.; Pu, C.; Gordon, M.B.; Donangelo, I. Spindle Cell Oncocytoma of the Pituitary Presenting with Severe Hyponatremia. AACE Clin. Case Rep. 2016, 2, e237–e243. [Google Scholar] [CrossRef]
- Hasiloglu, Z.; Ure, E.; Comunoglu, N.; Tanriover, N.; Oz, B.; Gazioglu, N.; Mihmanli, I. New radiological clues in the diagnosis of spindle cell oncocytoma of the adenohypophysis. Clin. Radiol. 2016, 71, 937.e5–937.e11. [Google Scholar] [CrossRef]
- Guadagno, E.; Cervasio, M.; Di Somma, A.; Califano, M.; Solari, D. Del Basso De Caro, M. Essential role of ultrastructural examination for spindle cell oncocytoma: Case report of a rare neoplasm and review of the literature. Ultrastruct. Pathol. 2016, 40, 121–124. [Google Scholar] [CrossRef] [PubMed]
- Vuong, H.G.; Kondo, T.; Tran, T.M.; Oishi, N.; Nakazawa, T.; Mochizuki, K.; Inoue, T.; Kasai, K.; Tahara, I.; Jieying, W.; et al. Spindle cell oncocytoma of adenohypophysis: Report of a case and immunohistochemical review of literature. Pathol. -Res. Pract. 2015, 212, 222–225. [Google Scholar] [CrossRef] [PubMed]
- Zygourakis, C.C.; Rolston, J.D.; Lee, H.S.; Partow, C.; Kunwar, S.; Aghi, M.K. Pituicytomas and spindle cell oncocytomas: Modern case series from the University of California, San Francisco. Pituitary 2015, 18, 150–158. [Google Scholar] [CrossRef] [PubMed]
- Mu, Q.; Yu, J.; Qu, L.; Hu, X.; Gao, H.; Liu, P.; Zheng, X.; Sun, Y.; Huang, H. Spindle cell oncocytoma of the adenohypophysis: Two case reports and a review of the literature. Mol. Med. Rep. 2015, 12, 871–876. [Google Scholar] [CrossRef] [PubMed]
- Rotman, J.A.; Kucharczyk, W.; Zadeh, G.; Kiehl, T.-R.; Al-Ahmadi, H. Spindle cell oncocytoma of the adenohypophysis: A case report illustrating its natural history with 8-year observation and a review of the literature. Clin. Imaging 2014, 38, 499–504. [Google Scholar] [CrossRef]
- Fujisawa, H.; Tohma, Y.; Muramatsu, N.; Kida, S.; Kaizaki, Y.; Tamamura, H. Spindle cell oncocytoma of the ade-nohypophysis with marked hypervascularity. Neurol. Med. Chir. 2012, 52, 594–598. [Google Scholar] [CrossRef]
- Alexandrescu, S.; Brown, R.E.; Tandon, N.; Bhattacharjee, M.B. Neuron precursor features of spindle cell oncocy-toma of adenohypophysis. Ann. Clin. Lab. Sci. 2012, 42, 123–128. [Google Scholar]
- Singh, G.; Agarwal, S.; Sharma, M.C.; Suri, V.; Sarkar, C.; Garg, A.; Kale, S.S. Spindle cell oncocytoma of the adenohypophysis: Report of a rare case and review of literature. Clin. Neurol. Neurosurg. 2012, 114, 267–271. [Google Scholar] [CrossRef]
- Chandler, J.; Ogiwara, H.; Shafizadeh, S.; Dubner, S.; Raizer, J. Spindle cell oncocytoma of the pituitary and pituicytoma: Two tumors mimicking pituitary adenoma. Surg. Neurol. Int. 2011, 2, 116. [Google Scholar] [CrossRef]
- Romero-Rojas, A.E.; Diaz-Perez, J.A.; Amaro, D.; Lozano, J.M. Spindle cell oncocytoma of the adenohypophysis: A rare tumor mimicking pituitary aden. J. Of. Clinical. Pathol. 2011, 64, 823. [Google Scholar] [CrossRef]
- Vajtai, I.; Beck, J.; Kappeler, A.; Hewer, E. Spindle cell oncocytoma of the pituitary gland with follicle-like component: Organotypic differentiation to support its origin from folliculo-stellate cells. Acta Neuropathol. 2011, 122, 253–258. [Google Scholar] [CrossRef] [PubMed]
- Mlika, M.; Azouz, H.; Chelly, I.; Ben Saïd, I.; Jemel, H.; Haouet, S.; Zitouna, M.; Kchir, N. Spindle cell oncocytoma of the adenohypophysis in a woman: A case report and review of the literature. J. Med. Case Rep. 2011, 5, 64. [Google Scholar] [CrossRef]
- Matyja, E.; Maksymowicz, M.; Grajkowska, W.; Olszewski, W.; Zieliński, G. Spindle cell oncocytoma of the adeno-hypophysis—A clinicopathological and ultrastructural study of two cases. Folia Neuropathol. 2010, 48, 175–184. [Google Scholar]
- Demssie, Y.N.; Joseph, J.; Dawson, T.; Roberts, G.; de Carpentier, J.; Howell, S. Recurrent spindle cell oncocytoma of the pituitary, a case report and review of literature. Pituitary 2011, 14, 367–370. [Google Scholar] [CrossRef] [PubMed]
- Borota, O.C.; Scheithauer, B.; Fougner, S.L.; Hald, J.; Ramm-Pettersen, J.; Bollerslev, J. Spindle cell oncocytoma of the adenohypophysis: Report of a case with marked cellular atypia and recurrence despite adjuvant treatment. Clin. Neuropathol. 2009, 28, 91–95. [Google Scholar] [CrossRef] [PubMed]
- Coiré, C.; Horvath, E.; Smyth, H.; Kovacs, K. Rapidly recurring folliculostellate cell tumor of the adenohypophysis with the morphology of a spindle cell oncocytoma: Case report with electron microscopic studies. Clin. Neuropathol. 2009, 28, 303–308. [Google Scholar] [CrossRef] [PubMed]
- Farooq, M.U.; Bhatt, A.; Chang, H.T. Teaching NeuroImage: Spindle cell oncocytoma of the pituitary gland. Neurology 2008, 71, e3. [Google Scholar] [CrossRef]
- Vajtai, I.; Sahli, R.; Kappeler, A. Spindle cell oncocytoma of the adenohypophysis: Report of a case with a 16-year follow-up. Pathol. Res. Pr. 2006, 202, 745–750. [Google Scholar] [CrossRef]
- Dahiya, S.; Sarkar, C.; Hedley-Whyte, E.T.; Sharma, M.C.; Zervas, N.T.; Sridhar, E.; Louis, D.N. Spindle cell oncocytoma of the adenohypophysis: Report of two cases. Acta Neuropathol. 2005, 110, 97–99. [Google Scholar] [CrossRef]
- Kloub, O.; Perry, A.; Tu, P.-H.; Lipper, M.; Lopes, M.B. Spindle cell oncocytoma of the adenohypophysis: Report of two recurrent cases. Am. J. Surg. Pathol. 2005, 29, 247–253. [Google Scholar] [CrossRef]




| Age | Sex | Clinical Presentation | Diagnostic Imaging | IHC | Surgery | Post-Op Radiotherapy | Outcomes | |
|---|---|---|---|---|---|---|---|---|
| Hsieh et al., 2024 [8] | 69 | Male | Facial pain and mild decrease in visual acuity | Sellar and suprasellar lesion | S-100 protein, EMA and TTF-1 | Transsphenoidal partial resection Tan-pink, soft, and well-circumscribed mass | Not described (ND) | Uneventful post-op period, follow-up ND |
| 68 | Female | Bi-temporal visual defect | Large sellar mass with mass effect over brainstem and optic chiasm | S-100 protein, EMA(E29) and TTF-1 | Transsphenoidal partial resection | Yes 500 ×5 cGy | 2-year follow-up MRI showed partial size decreased of the tumor | |
| Joshi et al., 2024 [2] | 71 | Male | ND | Sellar mass, 4 mm | ND | Transsphenoidal resection | ND | 8-week follow-up no headache or visual disturbances |
| Chang et al., 2023 [11] | 31 | Male | Bilateral vision loss—temporal defect | Sellar mass with suprasellar extension | EMA, S-100, and TTF-1 | Transsphenoidal total resection, mass was yellow and soft with easy bleeding | ND | ND |
| Kunihiro et al., 2023 [4] | 53 | Male | Headache and diplopia | Sellar mass with suprasellar extension | S-100, TTF-1 and vimentin | Transsphenoidal total resection, mass was yellow and soft significant bleeding | No | No enlargement of residual tumor at 1-year follow-up |
| Shimizu et al., 2022 [12] | 40s | Female | Headache | Lesion with cystic area in the intra-suprasellar region | TTF-1, S-100 protein, vimentin, GFAP, EMA | Transsphenoidal resection, tumor was fibrous and easy to bleed | ND | No recurrence at 3 years |
| Tena-Suck et al., 2022 [13] | 66 | Male | Headache, chiasmatic syndrome, and bitemporal hemianopsia | Sellar lesion and a left frontal cystic lesion | Imentin, pit-1, PTTG-1, TTF-1, S100 | ND | ND | ND |
| Abdulrazeq et al., 2021 [14] | 74 | Female | Persistent headaches and vertigo | Sellar mass with lateral extension | Vimentin, annexin A1, S-100, and TTF-1 | Transsphenoidal partial resection | No | No progression at 6-month follow-up |
| Hasegawa et al., 2021 [5] | 49 | Female | Galactorrhea, numbness, headache | Sellar mass with slight suprasellar extension | S-100, TTF-1, and GFAP | Transsphenoidal partial resection Grayish, firm, markedly adhesive | No | Radiosurgery at 20 months for slight tumor progression, MRI at 39 months showed tumor stability |
| 55 | Male | Fatigue, muscle weakness, weight loss | Sellar mass with suprasellar extension | S-100 protein, TTF-1 | Transsphenoidal partial resection Firm, hypervascular | No | GK at 12 months for residual | |
| 78 | Male | Fatigue, visual deficit, hyponatremia | Sellar mass with suprasellar extension | S-100 protein, TTF-1 | Transsphenoidal partial resection | No | GK at 7 months for residual | |
| 59 | Female | Fatigue, hyponatremia | Sellar mass with suprasellar extension | S-100 protein, TTF-1 | Transsphenoidal partial resection | No | GK at 7 months for residual | |
| 56 | Male | hyponatremia | Sellar mass with suprasellar extension | S-100 protein, TTF-1 | Transsphenoidal partial resection | No | Transsphenoidal surgery at 77 months for recurrence | |
| 66 | Female | Nausea, vomiting, weight loss | Sellar mass with suprasellar extension | S-100 protein, TTF-1 | Transsphenoidal gross total resection | No | GK at 31 months for recurrence | |
| Kim et al., 2021 [15] | 42 | Female | Bitemporal hemianopsia | Sella mass with suprasellar extension | Vimentin, EMA, S-100 protein, TTF-1, and galectin-3 | Transsphenoidal partial resection Highly vascular, pale-yellow and solid | No | Regrown mass at 4 months requiring a second surgery |
| Kottangal et al., 2021 [16] | 61 | Female | Hyponatremia and temporal field cut | Sellar mass with suprasellar extension | EMA, S-100 protein, TTF-1 | Transsphenoidal resection Grey-white, friable, and soft | ND | ND |
| Taka et al., 2021 [17] | 75 | Male | Bitemporal hemianopsia | Sellar mass with suprasellar extension | ND | Transsphenoidal gross total resection | ND | Follow-up on the eighth postoperative day showed improvement of peripheral vision. |
| Tariciotti et al., 2020 [18] | 64 | Female | Bitemporal hemianopia, hyposmia, headache | Sellar mass with suprasellar extension causing hydrocephalus | S100, neuron-specific Enolase, TTF-1 | Transsphenoidal partial resection heavy intraoperative bleeding | ND | Recurrence at 5 months, partial resection surgery again with close follow-up |
| Samadian et al., 2020 [19] | 8 | Male | VD | Sellar and suprasellar mass | EMA, vimentin, and S-100 | Transsphenoidal gross total resection | No | No signs of progression at 2 year follow-up |
| Borg et al., 2020 [20] | 55 | Female | Dizziness | Sellar mass with suprasellar extension | TTF-1, EMA and S-100 | Subtotal transsphenoidal resection | No | Progression at 8 years requiring radiotherapy |
| 71 | Male | Incidental | Sellar mass | TTF-1, EMA, S100 | Subtotal transsphenoidal resection Tough, grey and gelatinous. | ND | Residual remained stable in size for four years | |
| Li et al., 2020 [21] | 57 | Male | Visual defect and neck pain | Sellar mass | EMA, TTF-1, S100, vimentin, annexin1, and SSTR2 | Total transsphenoidal resection | ND | Patient recovered well and had return of normal vision |
| Chainey et al., 2020 [22] | 49 | Male | Confusion, memory loss, and increased drowsiness | Sellar mass with suprasellar extension | ND | ND | ND | Recurrence/growth at 4 and 5 years requiring two further resections |
| Akyoldas et al., 2019 [6] | 55 | Female | VD | Sellar mass | ND | Transsphenoidal resection | Yes 14 Gy | Stable at 84 months |
| 41 | Male | Loss of body hair, infertility | Sellar mass | ND | Transsphenoidal resection | Yes 12 Gy | Stable at 51 months | |
| 61 | Male | Headache—VD | Sellar mass | ND | Transsphenoidal resection | Yes 14 Gy | Stable at 47 months | |
| 50 | Male | VD | Sellar mass | ND | Transsphenoidal resection | Yes 14 Gy | Stable at 41 months | |
| 56 | Male | VD | Sellar mass | ND | Transsphenoidal resection | Yes 14 Gy | Stable at 36 months | |
| Sollfrank et al., 2019 [23] | 38 | Female | ND | Mass in right parasellar region | ND | History of six surgical excisions, radiation and chemo radiation for local recurrence of SCO. Most recent treatment was vemurafenib (BRAF inhibitor) | No | Stable—no progression on BRAF inhibitor at two-year follow-up |
| Yip et al., 2019 [24] | 28 | Female | Severe headache and blurred vision, decreased right visual acuity, visual field defects, low cortisol | Sellar mass with suprasellar extension | TTF-1, EMA, Annexin A1 | Transsphenoidal total resection mass was yellow and soft | ND | ND |
| Cole et al., 2019 [25] | 64 | Male | Headache, fatigue, vision changes, Endocrine abnormality | Sellar mass | TTF-1, EMA, GFAP, S100 | Transsphenoidal total resection | ND | No recurrence at follow-up |
| 70 | Male | Headache, fatigue, vision changes, Endocrine abnormality | Sellar mass | TTF-1, EMA, GFAP, S100 | Transsphenoidal total resection | ND | No recurrence at follow-up | |
| 27 | Female | Endocrine abnormality | Sellar mass | TTF-1, EMA, GFAP, S100 | Transsphenoidal total resection | ND | No recurrence at follow-up | |
| Guerrero-Pérez et al., 2019 [3] | 74 | Female | VD | Sellar mass | TTF-1, S100, VIM | None | ND | ND |
| 69 | Female | Weakness | Sellar/suprasellar mass | TTF-1, S100, VIM, CD56 | Total transsphenoidal resection | ND | ND | |
| 74 | Female | Nausea, vomiting and confusion | Sellar/suprasellar mass | TTF-1, S100, VIM, GFAP | Subtotal transsphenoidal resection | ND | ND | |
| 60 | Male | VD | Sellar/suprasellar mass | ND | Subtotal transcranial resection | ND | ND | |
| 60 | Male | VD | Sellar/suprasellar mass | ND | Subtotal transsphenoidal resection | ND | ND | |
| 62 | Female | VD | Sellar mass | ND | Total transsphenoidal resection | ND | ND | |
| Witte et al., 2018 [26] | 61 | Male | Headaches, bilateral retrobulbar pressure sensation, light sensitivity, and drowsiness | Sellar mass | VIM, Gal3, Bcl-2 | Transsphenoidal partial resection | No | Three reoperations were required for multiple tumor reccurences along with radiation and chemotherapy |
| Larsen et al., 2018 [10] | 66 | Female | Dizziness, nausea, diaphoresis | Sellar mass | EMA, TTF-1, S100 | Transsphenoidal partial resection | ND | Stable residual tumor at 100 months |
| 50 | Male | Dizziness | Sellar mass | EMA, TTF-1, S100 | Transsphenoidal partial resection | ND | Stable residual tumor at 30 months | |
| 63 | Male | VD | Sellar mass | TTF-1, S100 | Transsphenoidal partial resection | ND | Repeat resection (3 months after surgery); craniotomy for further progression (42 months post repeat procedure) | |
| 59 | Female | VD | Sellar mass | EMA, TTF-1, S100 | Transsphenoidal partial resection | ND | Recurrence at 6 years, treated w/ repeat resection, GK; stable at 79 months | |
| 77 | Male | VD | Sellar mass | EMA, TTF-1, S100 | Transsphenoidal gross total resection | ND | Stable after GTR (12 mos)—no complications | |
| 56 | Female | Eyeball heaviness, nausea, dizziness | Sellar mass | EMA, TTF-1, S100 | Transsphenoidal partial resection | ND | Radiotherapy for residual tumor; stable at 38 months | |
| Gupta et al., 2018 [27] | 28 | Female | Bilat vision loss, headaches, amenorrhea, galactorrhea | Sellar mass with suprasellar extension | EMA, S-100, and TTF-1 | Transsphenoidal resection | ND | At 7 month follow-up, she was free of headache and galactorrhea and had a normal vision |
| Yoshida et al., 2018 [28] | 69 | Female | Bitemporal hemianopsia | Sellar tumor with suprasellar extension | TTF-1 | Subtotal transsphenoidal resection. Tumor was extremely hypervascular | ND | No regrowth found at 6 months |
| Nagata et al., 2018 [29] | 40 | Female | VD | Sellar and suprasellar mass. | EMA, S-100, TTF-1, GFAB, Vimentin | Total transsphenoidal resection Hypervascularized lesion | No | ND |
| Sosa et al., 2018 [30] | 60 | Male | VD, fatigue, decreased libido, and erectile dysfunction for the past 8 months | Sellar mass | Vimentin, S100 protein, and TTF-1 | Transsphenoidal partial resection | No | Radiotherapy after 5-month follow-up No residual or recurrent tumor was observed at 4-year follow-up |
| Xie et al., 2017 [31] | 60 | Male | Nausea, vomiting, fatigue and syncopal episodes | Sellar and suprasellar mass | Vimentin, S-100, EMA and TTF-1 | Transsphenoidal surgical resection Vascular whitish-yellow mass with soft consistency | No | No evidence of tumor recurrence after 18-month follow-up |
| Rafiq et al., 2017 [32] | 61 | Male | VD, fatigue and weight loss | Sellar lesion with compression of the optic chiasm | Vimentin, S-100, EMA and TTF-1 | Subtotal trans sphenoidal resection Firm, fibrous and greyish | No | 3-year follow-up, scan showed tumor progression requiring surgery, GTR was achieved |
| 69 | Female | Rapidly progressive visual deterioration | Large sellar tumor with a suprasellar extension | S-100, EMA and TTF-1 | Transphenoidal resection Firm, greyish in color, moderately vascular | No | After 6-month follow-up, no progression | |
| Osman et al., 2017 [33] | 56 | Male | Headache, vomiting, neck pain, back pain, and reduced level of consciousness | Sellar and suprasellar mass | Vimentin, S-100, EMA and TTF-1, GFAP | Sub-frontal craniotomy. Profuse bleeding limited the surgical resection. | Yes | No tumor recurrence at six-month follow-up |
| Manoranjan et al., 2017 [34] | 60 | Male | Temporal loss in both visual field quadrants of his left eye | Sellar and suprasellar mass | S100, Vimentin, Bcl2, CD56, TTF-1 | Subtotal transnasal transsphenoidal resection | ND | No tumor progression at most recent follow-up |
| Sali et al., 2017 [35] | 64 | Male | Drooping of the left eyelid for 2 months and left temporal hemianopia | Sellar and suprasellar lesion | S100, synaptophysin, EMA, TTF-1 | Transsphenoidal resection | ND | ND |
| Billeci et al., 2017 [36] | 61 | Male | Headache and clinical signs of mild hypopituitarism | Sellar-suprasellar mass involving the sphenoidal sinus and chiasmatic cistern. | Vimentin, S-100, TTF-1 | Subtotal transnasal transsphenoidal resection. Tumor was firm and highly vascularized | ND | After 14 months from the second surgery, no increase in residual tumor size has been documented |
| 65 | Female | VD and severe headache | sellar-supraasellar mass with a size of | Vimentin, S-100, TTF-1 | Subtotal transnasal transsphenoidal resection. The tumor was firm, fibrotic and highly vascularized | ND | No documented recurrences after 28 months of follow-up | |
| Kong et al., 2017 [37] | 30 | Male | Headaches, fatigue, diplopia, and impaired visual field and acuity for 6 months | Suprasellar and parasellar leson | Vimentin, CD68, CD34, Nestin, GFAP, Desmin, SMA, AE1/AE3, and S-100 protein | Subtotal transnasal transsphenoidal resection. Hypervascular | ND | Two more resections were done for tumor recurrence/progression |
| Hagel et al., 2017 [38] | 65 | Female | ND | ND | S100, CD68, TTF, Vimentin, neuron specific enolase | ND | ND | ND |
| 41 | Female | ND | ND | S100, CD68, TTF, GFAP | ND | ND | ND | |
| 64 | Female | ND | ND | Vimentin, EMA, S100, TTF | ND | ND | ND | |
| 53 | Male | ND | ND | Vimentin, EMA, MAP2, S100, CD68, TTF | ND | ND | ND | |
| Custodio et al., 2016 [39] | 60 | Male | NVD/Fatigue, hyponatremia, panhypopituitarism, low cortisol | Sellar mass with suprasellar extension | Vimentin, EMA, S-100, and TTF-1 | Transsphenoidal partial resection yellow white mass significant bleeding | ND | No growth at 18 months |
| Hasiloglu et al., 2016 [40] | 40 | Male | Panhypopituitarism | Intra-suprasellar mass and enlargement of the sella turcica | Vimentin, galectin-3, EMA and S-100 | Transsphenoidal partial resection | No | Recurrence after one year, repeat surgery |
| 60 | Male | Headache, visual blurring | Intra-suprasellar mass and enlargement of the sella turcica | Vimentin, galectin-3, EMA and S-100 | Transsphenoidal partial resection | No | ND | |
| 55 | Male | Headache, visual blurring | Intra-suprasellar mass and enlargement of the sella turcica | Vimentin, galectin-3, EMA and S-100 | Transsphenoidal partial resection | No | ND | |
| Guadagno et al., 2016 [41] | 77 | Male | Headache and temporal hemianopsia of the right eye | Sellar mass with suprasellar extension | EMA, Vimentin, S100 protein, Galectin-3, and TTF-1, and focal positivity for Bcl-2 | Transsphenoidal total resection | ND | 14-month follow-up with no evidence of recurrence |
| Vuong et al., 2016 [42] | 70 | Male | Visual disturbance and headache | Sellar-suprasellar lesion | Vimentin, TTF-1, EMA and galectin-3 | Transsphenoidal partial resection | ND | Tumor recurrence not detected at first follow-up exam |
| Zygourakis et al., 2015 [43] | 55 | Female | Headaches | Sellar mass | AMA, EMA, S100, GFAP, TTF1 | Transsphenoidal resection | ND | No reccurence on follow-up |
| 31 | Female | Bitemporal hemianopsia | Sellar and suprasellar lesion | TTF1, EMA and AMA | Transsphenoidal partial resection | No | MRI at six months showed stable residual tumor | |
| Mu et al., 2015 [44] | 35 | Female | Amenorrhea, lactation, decreased visual acuity | Suprasellar round mass | Vimentin, EMA, S-100 and TTF-1 | Frontotemporal craniotomy, complete removal | ND | No recurrence at 21 months |
| 62 | Female | No clear symptoms or signs | Suprasellar mass | Vimentin, EMA, S-100 and TTF-1 | Right trans-pterional craniotomy, complete removal | ND | No recurrence at 15 months | |
| Rotman et al., 2014 [45] | 88 | Male | Fatigue and decreased vision | 2-cm intrasellar mass with suprasellar extension | Vimentin | Transsphenoidal partial resection | ND | ND |
| Fujisawa et al.k., 2012 [46] | 68 | Male | Unsteady gait, malaise, depression, panhypopituitarism and visual field defects | Sellar mass with suprasellar extension | EMA, S-100, and vimentin | Transsphenoidal partial resection | Yes 50 Gy | 1.5-year follow-up showed tumor progression, partial resection again with close follow-up |
| Alexandrescu et al., 2012 [47] | 24 | Female | Headaches, amenorrhea and left superior visual field disturbance of the left eye | Sellar mass | EMA, S100, vimentin | Sublabial trans-septal approach, total resection Yellow and more firm | ND | No recurrence at 6 months |
| Singh et al., 2012 [48] | 68 | Male | Head and visual deficits | Sellar–suprasellar mass | Vimentin, S100, and EMA | Sublabial transsphenoidal partial resection | ND | ND |
| Ogiwara et al., 2011 [49] | 39 | Male | Headache, loss of stamina and libido, bitemporal hemianopia, and polyuria | Suprasellar lesion with the compression of the optic nerves | TTF-1, EMA, S-100, and galectin-3 | Transcranial partial resection | Yes 5040 cGy | Recurrence at 9 months requiring repeat surgery. Transsphenoidal resection for second recurrence. No evidence of recurrence at 1-year follow-up since last surgery. |
| Romero-Rojas et al., 2011 [50] | 42 | Female | Oligomenorrhea | Sellar mass | Vimentin, S10, EMA, and antimitochondrial antibody MU213-UC clone 131 | Transsphenoidal resection | ND | ND |
| Vajtai et al., 2011 [51] | 55 | Female | Panhypopituitarism | Intra- and suprasellar tumor | S100 protein, vimentin, Bcl-2, and TTF-1 | Transsphenoidal total resection | ND | ND |
| Mlika et al., 2011 [52] | 45 | Female | Headache and visual deficit | Pituitary mass with suprasellar extension | Vimentin, S100, EMA and TTF-1 | Transsphenoidal total resection | No | No recurrence at 3 months |
| Borges et al., 2011 [9] | 70 | Female | Visual deficit in left eye | Intrasellar and suprasellar mass | Vimentin and S100 | Sublabial gross total, transsphenoidal resection | ND | Recurrence requiring second transsphenoidal subtotal resection |
| Matyja et al., 2010 [53] | 63 | Female | Headache, vertigo, fatigue, bitemporal hemianopsia, nausea/vomiting and sleepiness | Pituitary mass with suprasellar extension | Vimentin, S100, EMA | Transsphenoidal total resection | ND | No recurrence at 28-month follow-up |
| 65 | Female | Pituitary hormone insufficiency | Sellar mass with suprasellar extension | Vimentin, S100, EMA and galactin-3 | Frontal right craniotomy gross section | ND | No recurrence at twenty months | |
| Demssie et al., 2011 [54] | 59 | Male | Bitemporal hemianopsia, panhypopituitarism, weight loss, vomiting and tiredness | Sellar mass with suprasellar extension | S100 and EMA | Transsphenoidal partial resection | ND | Recurrence at 9 months requiring repeat surgery with radiotherapy |
| Borota et al., 2009 [55] | 55 | Female | Weight loss, headaches | Sellar mass | Vimentin, S100 and galactin-3 | Transsphenoidal partial resection | No | Growth of the tumor at 1 year requiring radiotherapy |
| Coiré et al., 2009 [56] | 63 | Female | Weight loss, anorexia, fatigue, headaches, visual deficits | Large sellar and suprasellar lesion, 3 cm in diameter | S100, vimentin, EMA and gal-3 | Transsphenoidal resection | No | Growth at five months requiring second surgery and radiotherapy |
| Farooq et al., 2008 [57] | 76 | Male | Weakness and headache | Sellar mass | S100 and EMA | Transsphenoidal partial resection | Yes | No growth at 2-year follow-up |
| Vajtai et al., 2006 [58] | 48 | Female | Fatigue, exercise intolerance, and visual deficits | Sellar mass with supra and parasellar extension | S100 protein, vimentin, and EMA | Transsphenoidal total resection | No | No recurrence at 16-year follow-up |
| Dahiya et al., 2005 [59] | 26 | Male | Headache, blurred vision in the right eye, nausea, vomiting and impotence | Sellar mass | S100 and EMA | Pterional craniotomy with subtotal resection | Yes 54 Gy over a period of 2 months | No growth over 7 years |
| 55 | Female | Headache and visual deficits | 6.5 × 3.3 × 4 cm sellar and parasellar mass | S100 and EMA | Transsphenoidal total resection | ND | No recurrence at 6 months | |
| Kloub et al., 2005 [60] | 71 | Female | Bilateral vision loss | Sellar mass | Vimentin, S-100 protein, neuron specific enolase, and EMA | Transsphenoidal resection | ND | Recurrence at 3 years |
| 76 | Male | Epistaxis | Sellar mass | EMA and S-100 | Transsphenoidal resection | ND | Recurrence at 3 years (repeat surgery and radiotherapy) and 10 years (third resection surgery) | |
| Roncaroli et al., 2002 [1] | Mean age was 62 | Female | hypopituitarism | Sellar mass with suprasellar extension | S100, vimentin, EMA and gal-3 | Transsphenoidal gross total resection | ND | No recurrence at follow-up (average follow-up of 35.4 months) |
| - | Female | hypopituitarism | Sellar mass with suprasellar extension | S100, vimentin, EMA and gal-3 | Transsphenoidal gross total resection | ND | No recurrence at follow-up | |
| - | Male | hypopituitarism | Sellar mass with suprasellar extension | S100, vimentin, EMA and gal-3 | Transsphenoidal gross total resection | ND | No recurrence at follow-up | |
| - | Male | hypopituitarism, visual deficit | Sellar mass with suprasellar extension | S100, vimentin, EMA and gal-3 | Transsphenoidal gross total resection | ND | No recurrence at follow-up | |
| - | Male | hypopituitarism, visual deficit | Sellar mass with suprasellar extension | S100, vimentin, EMA and gal-3 | Transsphenoidal gross total resection | ND | No recurrence at follow-up |
Disclaimer/Publisher’s Note: The statements, opinions and data contained in all publications are solely those of the individual author(s) and contributor(s) and not of MDPI and/or the editor(s). MDPI and/or the editor(s) disclaim responsibility for any injury to people or property resulting from any ideas, methods, instructions or products referred to in the content. |
© 2025 by the authors. Licensee MDPI, Basel, Switzerland. This article is an open access article distributed under the terms and conditions of the Creative Commons Attribution (CC BY) license (https://creativecommons.org/licenses/by/4.0/).
Share and Cite
Hammond, J.; Gagne, Z.; Mitrovic, B.; Priola, S.M. Pituitary Spindle Cell Oncocytoma: More than a Grade 1 Tumor? Neurol. Int. 2025, 17, 16. https://doi.org/10.3390/neurolint17020016
Hammond J, Gagne Z, Mitrovic B, Priola SM. Pituitary Spindle Cell Oncocytoma: More than a Grade 1 Tumor? Neurology International. 2025; 17(2):16. https://doi.org/10.3390/neurolint17020016
Chicago/Turabian StyleHammond, Jonathan, Zacharie Gagne, Bojana Mitrovic, and Stefano M. Priola. 2025. "Pituitary Spindle Cell Oncocytoma: More than a Grade 1 Tumor?" Neurology International 17, no. 2: 16. https://doi.org/10.3390/neurolint17020016
APA StyleHammond, J., Gagne, Z., Mitrovic, B., & Priola, S. M. (2025). Pituitary Spindle Cell Oncocytoma: More than a Grade 1 Tumor? Neurology International, 17(2), 16. https://doi.org/10.3390/neurolint17020016

