Non-Thrombotic Filling Defects in Cerebral Veins and Sinuses: When Normal Structures Mimic a Disease
Abstract
1. Introduction
2. Cerebral Venous Thrombosis
3. Neuroradiological Techniques: Tips and Tricks
- -
- CT scans had a sensitivity of 0.79 and specificity of 0.90 in detecting CVT.
- -
- MRI sequences, including conventional T1/T2 imaging and MRV, had a sensitivity of 0.82 and a specificity of 0.92.
- -
- TOF MRV works by generating images based on the natural flow of blood and is particularly useful in cases where contrast agents cannot be used (e.g., in pregnant or breastfeeding patients or those with severe renal failure).
- -
- PC MRV measures blood flow velocity and is more accurate than TOF in certain cases but is less commonly used due to its complexity, longer acquisition times, and operator dependency.
- -
- CE MRV is more sensitive, allowing for more precise detection of thrombi, especially within smaller veins. This technique is particularly helpful in distinguishing between low-flow states and hypoplastic sinuses (flow gaps), which can be challenging to differentiate without contrast.
- -
- CTV is optimal for a first-line imaging modality, particularly for evaluating the major venous sinuses.
- -
- CE MRV is highly recommended for a better assessment of smaller veins and cortical vein thrombosis, with TOF MRV being a good alternative in situations where contrast cannot be used.
- -
- For diagnosing cortical vein thrombosis, newer imaging methods like SWI and GRE sequences should be employed alongside MRV for a comprehensive diagnosis. These techniques have shown higher diagnostic accuracy in identifying thrombosed cortical veins.
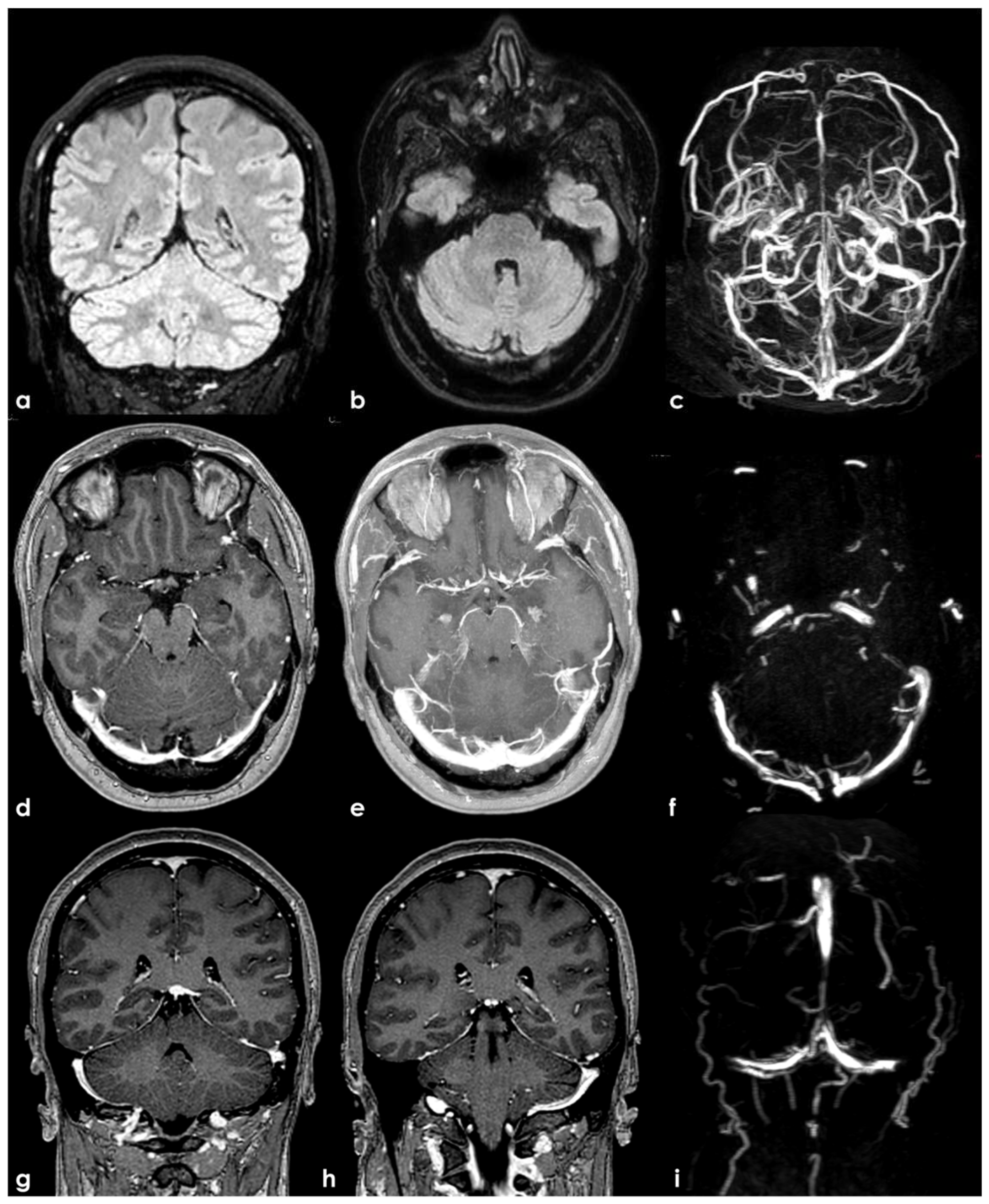
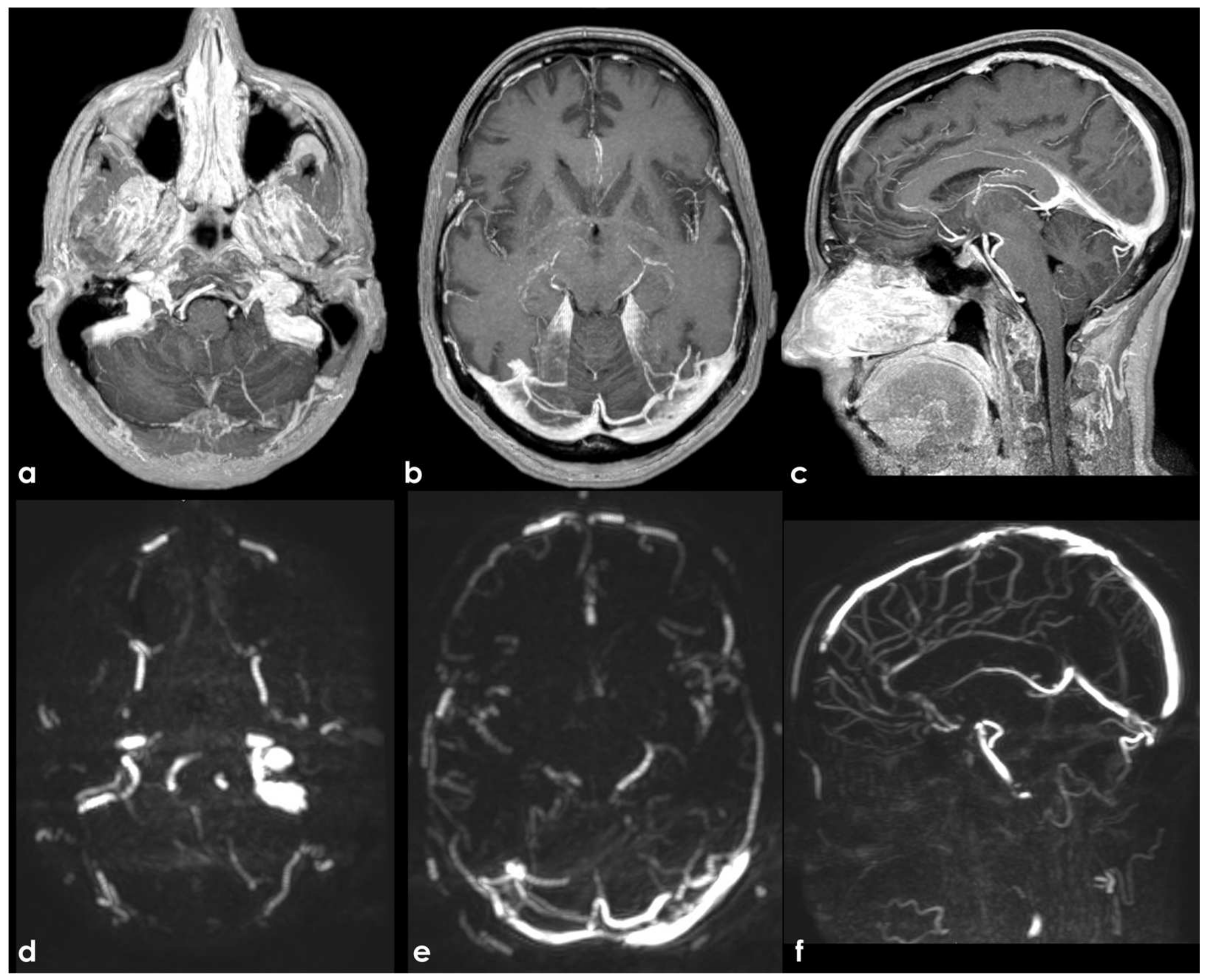
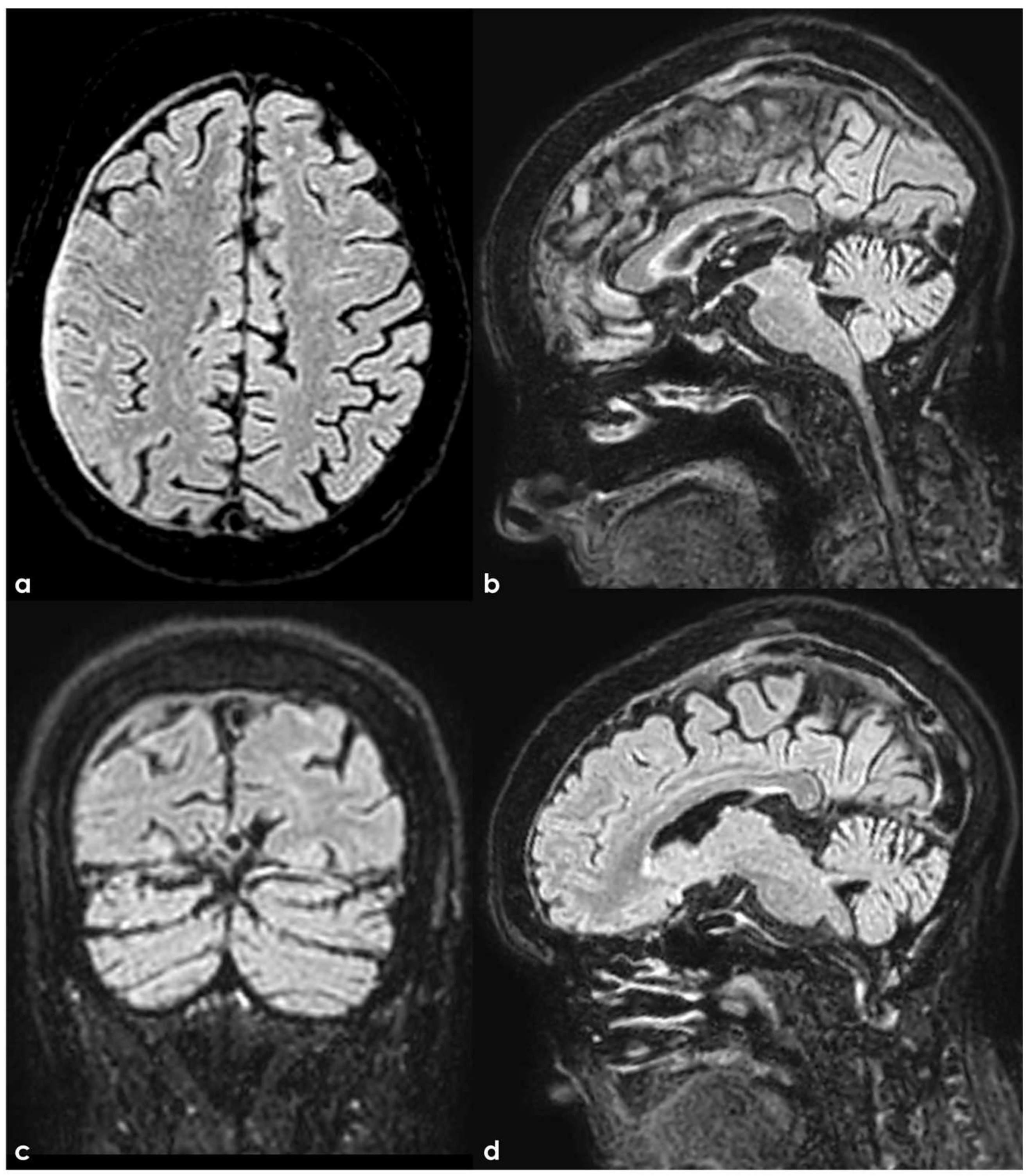
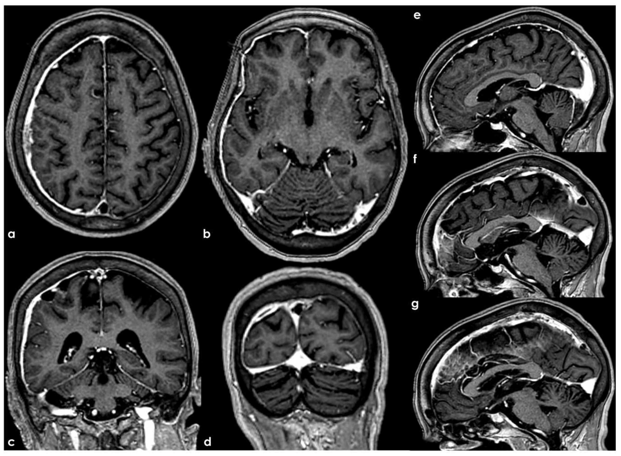
4. Non-Thrombotic Focal Filling Defects in the Intracranial Veins
4.1. Normal Structures in the Intracranial Dural Sinuses
4.1.1. Septations
- -
- Venous flow regulation: by covering venous orifices partially, valvelike chordae prevent retrograde blood flow;
- -
- Structural support: trabecular and longitudinal chordae maintain the integrity of the sinus lumen and prevent collapse under pressure fluctuations;
- -
- Flow optimization: the arrangement of trabecular projections and asymmetry ensures optimal blood flow dynamics, particularly in the right-sided dominance of the SSS.
4.1.2. Arachnoid Granulations
4.2. Artifacts
- -
- Apparent “flow void”: In acute thrombus formation (0–5 days), the presence of paramagnetic deoxyhemoglobin renders the thrombus isointense on T1-weighted (T1W) images and hypointense on T2-weighted (T2W) images. This can mimic the flow void typically seen in patent sinuses on SEI [36]. To avoid misinterpretation, luminal signals should also be evaluated using GRE or SWI. These sequences are highly sensitive to magnetic field inhomogeneities caused by the paramagnetic thrombus, appearing as hypointense “blooming” artifacts. Any such susceptibility signals within dural sinuses should raise suspicion for CVT and prompt confirmatory venography [3].
- -
- Loss of flow void: As a thrombus transitions into the subacute phase (6–15 days), deoxyhemoglobin is replaced by methemoglobin, leading to hyperintensity on both T1W and T2W images. This appearance, termed “loss of flow void,” can resemble slow venous flow [37]. Slow flow may mimic a CVT signal. It usually affects isolated venous segments and appears isointense on T1W images. Protons in slow-moving blood are rephased by the 180° RF pulse, creating a bright intraluminal signal. PC-MRV, due to its insensitivity to T1 signal characteristics and ability to detect all flowing spins within a given VENC, allows for reliable differentiation between slow flow and subacute CVT, in particular using lower VENC settings to improve the accuracy [38,39]. In addition, in slow flow states, blooming artifacts, due to high paramagnetic properties of methemoglobin in GRE sequences, are absent [10,33]. Subacute thrombi often demonstrate restricted diffusion on diffusion-weighted imaging (DWI), reflecting their dense microstructure [40].
- -
- Entry Slice Phenomenon (ESP) occurs when a paradoxically bright signal is observed in the initial slices of T1W sequences. It results from unsaturated or “relaxed” spins entering the imaging slice, contrasting with stationary spins saturated by the short TR. This effect diminishes across subsequent slices as the blood becomes progressively saturated by rapid RF pulses [10]. ESP is confined to the first few imaging slices and fades in subsequent slices. PC-MRV can confirm flow independently of T1 signal characteristics. Reacquiring images in a different plane can help differentiate true thrombi from artifacts: true thrombi retain their bright signal irrespective of orientation, whereas ESP disappears [41].
4.3. Main Anomalies/Variations
- -
- Group I (69.2%): drains cerebral hemisphere veins via bridging veins;
- -
- Group II (88.5%): drains cerebellar hemispheric/vermian veins (subdivided further);
- -
- Group III (42.3%): formed by small veins in the tentorium;
- -
- Group IV (7.6%): formed by bridging veins from cerebral or brainstem structures.
- -
- Type I (25%): large, medial 1/3, draining into the straight sinus or torcular Herophili;
- -
- Type II (25%): small, lateral 1/3, draining into the transverse–superior petrosal sinus junction;
- -
- Type III (50%): medium sized, draining similarly to Type I.
- -
- Type I (28.8%): “candelabra” veins;
- -
- Type II (21.1%): independent veins;
- -
- Type III (35.5%): venous lakes.
- -
- Type I (37%): no communication;
- -
- Type II (26%): limited communication;
- -
- Type III (37%): extensive communication.
4.3.1. Superior Sagittal Sinus Variations
4.3.2. Transverse Sinus Variations
5. Intracranial Sinuses Stenosis
- -
- Type I: this type has the highest incidence and often exhibit a strong double-lumen sign on DSA.
- -
- Type II: the second most common type: it is smaller in size and presents with a weaker imaging signal.
- -
- Type III: the rarest type: it has less well-defined anatomical characteristics.
6. Conclusions
Author Contributions
Funding
Institutional Review Board Statement
Informed Consent Statement
Data Availability Statement
Conflicts of Interest
References
- Saposnik, G.; Bushnell, C.; Coutinho, J.M.; Field, T.S.; Furie, K.L.; Galadanci, N.; Kam, W.; Kirkham, F.C.; McNair, N.D.; Singhal, A.B.; et al. Diagnosis and Management of Cerebral Venous Thrombosis: A Scientific Statement From the American Heart Association. Stroke 2024, 55, E77–E90. [Google Scholar] [CrossRef] [PubMed]
- Ferro, J.M.; Canhão, P.; Stam, J.; Bousser, M.G.; Barinagarrementeria, F.; ISCVT Investigators. Prognosis of cerebral vein and dural sinus thrombosis: Results of the International Study on Cerebral Vein and Dural Sinus Thrombosis (ISCVT). Stroke 2004, 35, 664–670. [Google Scholar] [CrossRef] [PubMed]
- Chiewvit, P.; Piyapittayanan, S.; Poungvarin, N. Cerebral venous thrombosis: Diagnosis dilemma. Neurol. Int. 2011, 3, 50–56. [Google Scholar] [CrossRef] [PubMed]
- Alsafi, A.; Lakhani, A.; Jones, L.C.; Lobotesis, K. Cerebral venous sinus thrombosis, a non-enhanced CT diagnosis? Radiol. Res. Pract. 2015, 2015, 581437. [Google Scholar] [PubMed]
- Provenzale, J.M.; Joseph, G.J.; Barboriak, D.P. Dural sinus thrombosis: Findings on CT and MR imaging and diagnostic pitfalls. Am. J. Roentgenol. 1998, 170, 777–783. [Google Scholar] [CrossRef]
- Rodallec, M.H.; Krainik, A.; Feydy, A.; Hélias, A.; Colombani, J.-M.; Jullès, M.-C.; Marteau, V.; Zins, M. Cerebral venous thrombosis and multidetector CT angiography: Tips and tricks. RadioGraphics 2006, 26, S5–S18. [Google Scholar] [CrossRef]
- Leach, J.; Strub, W.; Gaskill-Shipley, M. Cerebral venous thrombus signal intensity and susceptibility effects on gradient recalled-echo MR imaging. Am. J. Neuroradiol. 2007, 28, 940–945. [Google Scholar]
- Stam, J. Thrombosis of the cerebral veins and sinuses. N. Engl. J. Med. 2005, 352, 1791–1798. [Google Scholar] [CrossRef]
- Patel, D.; Machnowska, M.; Symons, S.; Yeung, R.; Fox, A.; Aviv, R.; Maralani, P.J. Diagnostic performance of routine brain MRI sequences for dural venous sinus thrombosis. Am. J. Neuroradiol. 2016, 37, 2026–2032. [Google Scholar] [CrossRef]
- Pandey, S.; Hakky, M.; Kwak, E.; Jara, H.; Geyer, C.; Erbay, S. Application of basic principles of physics to head and neck MR an-giography: Troubleshooting for artifacts. Radiographics 2013, 33, 113–123. [Google Scholar] [CrossRef]
- Pai, V.; Khan, I.; Sitoh, Y.Y.; Purohit, B. Pearls and Pitfalls in the Magnetic Resonance Diagnosis of Dural Sinus Thrombosis: A Comprehensive Guide for the Trainee Radiologist. J. Clin. Imaging Sci. 2020, 10, 77. [Google Scholar] [CrossRef] [PubMed]
- Paoletti, M.; Germani, G.; De Icco, R.; Asteggiano, C.; Zamboni, P.; Bastianello, S. Intra-and extracranial MR venography: Technical notes, clinical application, and imaging development. Behav. Neurol. 2016, 2016, 2694504. [Google Scholar] [CrossRef] [PubMed]
- Hu, H.; Haider, C.; Campeau, N.; Huston, J.; Riederer, S.J. Intracranial contrast-enhanced magnetic resonance venography with 6.4- fold sensitivity encoding at 1.5 and 3.0 tesla. J. Magn. Reson. Imaging 2008, 27, 653–658. [Google Scholar] [CrossRef] [PubMed]
- Xu, W.; Gao, L.; Li, T.; Ramdoyal, N.D.; Zhang, J.; Shao, A. The performance of CT versus MRI in the differential diagnosis of cerebral venous thrombosis. Thromb. Haemost. 2018, 118, 1067–1077. [Google Scholar] [CrossRef] [PubMed]
- Dmytriw, A.A.; Song, J.S.A.; Yu, E.; Poon, C.S. Cerebral venous thrombosis: State of the art diagnosis and management. Neuroradiology 2018, 60, 669–685. [Google Scholar] [CrossRef]
- Coutinho, J.M.; Berg, R.v.D.; Zuurbier, S.M.; VanBavel, E.; Troost, D.; Majoie, C.B.; Stam, J. Small juxtacortical hemorrhages in cerebral venous thrombosis. Ann. Neurol. 2014, 75, 908–916. [Google Scholar] [CrossRef]
- van Dam, L.F.; van Walderveen, M.A.; Kroft, L.J.; Kruyt, N.D.; Wermer, M.J.; van Osch, M.J.; Huisman, M.V.; Klok, F.A. Current imaging modalities for diagnosing cerebral vein thrombosis—A critical review. Thromb. Res. 2020, 189, 132–139. [Google Scholar] [CrossRef]
- Ghoneim, A.; Straiton, J.; Pollard, C.; Macdonald, K.; Jampana, R. Imaging of cerebral venous thrombosis. Clin. Radiol. 2020, 75, 254–264. [Google Scholar] [CrossRef]
- Alajmi, E.; Zung, J.; Duquet-Armand, M.; Coutinho, J.M.; Mandell, D.M. Prevalence of venous infarction in patients with cerebral venous thrombosis: Baseline diffusion-weighted MRI and follow-up MRI. Stroke 2023, 54, 1808–1814. [Google Scholar] [CrossRef]
- Liang, L.; Korogi, Y.; Sugahara, T.; Ikushima, I.; Shigematsu, Y.; Takahashi, M.; Provenzale, J.M. Normal structures in the intracranial dural sinuses: Delineation with 3D contrast-enhanced magnetization prepared rapid acquisition. AJNR Am. J. Neuroradiol. 2002, 23, 1739–1746. [Google Scholar]
- Shao, Y.; Sun, J.-L.; Yang, Y.; Cui, Q.-K.; Zhang, Q.-L. Endoscopic and microscopic anatomy of the superior sagittal sinus and torcular herophili. J. Clin. Neurosci. 2009, 16, 421–424. [Google Scholar] [CrossRef] [PubMed]
- Schmutz, H.-K. The chordae Willisii in the superior sagittal sinus: Morphology and classification. Acta Anat. 1980, 108, 94–97. [Google Scholar] [CrossRef] [PubMed]
- Sharifi, M.; Kunicki, J.; Krajewski, P.; Ciszek, B. Endoscopic anatomy of the chordae Willisii in the superior sagittal sinus. J. Neurosurg. 2004, 101, 832–835. [Google Scholar] [CrossRef] [PubMed]
- Kedzia, A.; Kedzia, W. Morphology of the Willis chords in the superior sagittal sinus during various periods of life. Folia Morphol. 2003, 62, 255–257. [Google Scholar]
- Hoffmann, A.; Stoffel, M.H.; Nitzsche, B.; Lobsien, D.; Seeger, J.; Schneider, H.; Boltze, J. The bovine cerebral venous system: Comparative anatomy, visualization, and implications for translational research. PLoS ONE 2014, 9, e92990. [Google Scholar] [CrossRef]
- Leach, J.L.; Jones, B.V.; Tomsick, T.A.; Stewart, C.A.; Balko, M.G. Normal appearance of arachnoid granulations on contrast-enhanced CT and MR of the brain: Differentiation from dural sinus disease. AJNR Am. J. Neuroradiol. 1996, 17, 1523–1532. [Google Scholar]
- Grossman, C.B.; Potts, D.G. Arachnoid granulations: Radiology and anatomy. Radiology 1974, 113, 95–100. [Google Scholar] [CrossRef]
- Potts, D.G.; Reilly, K.F.; Deonarine, V. Morphology of arachnoid villi and granulations. Radiology 1972, 105, 333–341. [Google Scholar] [CrossRef]
- Roche, J.; Warner, D. Arachnoid granulations in the transverse and sigmoid sinuses: CT, MR, and MR angiographic appearance of a normal anatomic variation. AJNR Am. J. Neuroradiol. 1996, 17, 677–683. [Google Scholar]
- Casey, S.O.; Ozsvath, R.R.; Choi, J.S. Prevalence of arachnoid granulations as detected with CT venography of the dural sinuses [letter]. AJNR Am. J. Neuroradiol. 1997, 18, 993–994. [Google Scholar]
- Kollar, C.; Johnston, I.; Parker, G.; Harper, C. Dural arteriovenous fistula in association with heterotopic brain nodule in the transverse sinus. AJNR Am. J. Neuroradiol. 1993, 19, 1126–1128. [Google Scholar]
- Mamourian, A.C.; Towfighi, J. MR of giant arachnoid granulations: A normal variant presenting as a mass within the dual venous sinus. AJNR Am. J. Neuroradiol. 1995, 16, 901–904. [Google Scholar] [PubMed]
- Leach, J.; Meyer, K.; Jones, B.; Tomsick, T. Large arachnoid granulations involving the dorsal superior sagittal sinus: Findings on MR imaging and MR venography. Am. J. Neuroradiol. 2008, 29, 1335–1339. [Google Scholar] [CrossRef]
- VandeVyver, V.; Lemmerling, M.; De Foer, B.; Casselman, J.; Verstraete, K. Arachnoid granulations of the posterior temporal bone wall: Imaging ap-pearance and differential diagnosis. AJNR Am. J. Neuroradiol. 2007, 28, 610–612. [Google Scholar] [PubMed]
- Branan, R.; Wilson, C.; Wilson, R.B.A.C.; Arana, E.; Martí-Bonmatí, L.; Perrich, K.D.; Goodwin, D.W.; Hecht, P.J.; Cheung, Y.; Levine, B.D.; et al. Arachnoid granulations simulating osteolytic lesions of the calvarium. AJNR Am. J. Neuroradiol. 1976, 127, 523–525. [Google Scholar] [CrossRef][Green Version]
- Leach, J.L.; Fortuna, R.B.; Jones, B.V.; Gaskill-Shipley, M.F. Imaging of cerebral venous thrombosis: Current techniques, spectrum of findings, and diagnostic pitfalls. RadioGraphics 2006, 26, S19–S41. [Google Scholar] [CrossRef]
- Hinman, J.M.; Provenzale, J.M. Hypointense thrombus on T2-weighted MR imaging: A potential pitfall in the diagnosis of dural sinus thrombosis. Eur. J. Radiol. 2002, 41, 147–152. [Google Scholar] [CrossRef]
- Wymer, D.; Patel, K.; Burke, W.; Bhatia, V. Phase-contrast MRI: Physics, techniques, and clinical applications. Radiographics 2020, 40, 122–140. [Google Scholar] [CrossRef]
- Fera, F.; Bono, F.; Messina, D.; Gallo, O.; Lanza, P.L.; Auteri, W.; Nicoletti, G.; Santoro, G.; Quattrone, A. Comparison of different MR venography techniques for detecting transverse sinus stenosis in idiopathic intracranial hypertension. J. Neurol. 2005, 252, 1021–1025. [Google Scholar] [CrossRef]
- Favrole, P.; Guichard, J.-P.; Crassard, I.; Bousser, M.-G.; Chabriat, H. Diffusion-weighted imaging of intravascular clots in cerebral venous thrombosis. Stroke 2004, 35, 99–103. [Google Scholar] [CrossRef]
- Bianchi, D.; Maeder, P.; Bogousslavsky, J.; Schnyder, P.; Meuli, R. Diagnosis of cerebral venous thrombosis with routine magnetic resonance: An update. Eur. Neurol. 1998, 40, 179–190. [Google Scholar] [CrossRef] [PubMed]
- Lewin, J.S.; Masaryk, T.J.; Smith, A.S.; Ruggieri, P.M.; Ross, J.S. Time-of-flight intracranial MR venography: Evaluation of the sequential oblique section technique. Am. J. Neuroradiol. 1994, 15, 1657–1664. [Google Scholar] [PubMed]
- Widjaja, E.; Shroff, M.; Blaser, S.; Laughlin, S.; Raybaud, C. 2D time-of-flight MR venography in neonates: Anatomy and pitfalls. Am. J. Neuroradiol. 2006, 27, 1913–1918. [Google Scholar] [PubMed]
- Ayanzen, R.H.; Bird, C.R.; Keller, P.J.; McCully, F.J.; Theobald, M.R.; Heiserman, J.E. Cerebral MR venography: Normal anatomy and potential diagnostic pitfalls. Am. J. Neuroradiol. 2000, 21, 74–78. [Google Scholar]
- Leach, J.; Wolujewicz, M.; Strub, W. Partially recanalized chronic dural sinus thrombosis: Findings on MR imaging, time-of-flight MR venography, and contrast-enhanced MR venography. Am. J. Neuroradiol. 2007, 28, 782–789. [Google Scholar]
- Streeter, G.L. The development of the venous sinuses of the dura mater in the human embryo. Am. J. Anat. 1915, 18, 145–178. [Google Scholar] [CrossRef]
- Haroun, A.; Mahafza, W.; Al Najar, M. Arachnoid granulations in the cerebral dural sinuses as demonstrated by con-trast-enhanced 3D magnetic resonance venography. Surg. Radiol. Anat. 2007, 29, 323–328. [Google Scholar] [CrossRef]
- Bisaria, K.K. Anatomic variations of venous sinuses in the region of the torcular Herophili. J. Neurosurg. 1985, 62, 90–95. [Google Scholar] [CrossRef]
- Brockmann, C.; Kunze, S.C.; Schmiedek, P.; Groden, C.; Scharf, J. Variations of the superior sagittal sinus and bridging veins in human dissections and computed tomography venography. Clin. Imaging 2012, 36, 85–89. [Google Scholar] [CrossRef]
- San Millan Ruiz, D.; Fasel, J.H.D.; Gailloud, P. Unilateral hypoplasia of the rostral end of the superior sagittal sinus. AJNR Am. J. Neuroradiol. 2012, 33, 286–291. [Google Scholar] [CrossRef]
- Browder, J.; Kaplan, H. Cerebral Dural Sinuses and Their Tributaries; Thomas C: Springfield, IL, USA, 1976. [Google Scholar]
- Knott, J.F. On the cerebral sinuses and their variations. J. Anat. Physiol. 1881, 16, 27–42. [Google Scholar] [PubMed]
- Bergman, R.; Thompson, S.A.; Afifi, A.K.; Saadeh, F.A. Cardiovascular system. In Compendium of Human Anatomic Variation; Bergman, R., Ed.; Urban & Schwarzenberg: Munich, Germany, 1988; Volume 93. [Google Scholar]
- Bisaria, K.K. The superficial sylvian vein in humans: With special reference to its termination. Anat. Rec. 1985, 212, 319–325. [Google Scholar] [CrossRef] [PubMed]
- Saxena, R.C.; Beg, M.A.; Das, A.C. The straight sinus. J. Neurosurg. 1974, 41, 724–727. [Google Scholar] [CrossRef] [PubMed]
- Labbé, C. Anomalies des sinus de la dure-mère. Dévelop¬ment de ces sinus. Considérations sur la suppléance recip¬roque de ces canaux veineaux dans les cas d’absence de l’un d’eux description de quelque sinus peu connus. Arch. Physiol. Norm. Pathol. 1883, 3, 1–27. [Google Scholar]
- Woodhall, B. Variations of the cranial venous sinuses in the region of the torcular Herophili. Arch. Surg. 1936, 33, 297–314. [Google Scholar] [CrossRef]
- Edwards, E.A. Anatomic variations of the cranial venous sinuses. Their relation to the effect of jugular compres¬sion in lumbar manometric test. Arch. Neurol. Psychiatr. 1931, 26, 801–814. [Google Scholar] [CrossRef]
- Browning, H. The confluence of dural venous sinuses. Am. J. Anat. 1953, 92, 307–329. [Google Scholar] [CrossRef]
- Fukusumi, A.; Okudera, T.; Takahashi, S.; Taoka, T.; Sakamoto, M.; Nakagawa, H.; Takayama, K.; Kichikawa, K.; Iwasaki, S. Anatomical evaluation of the dural sinuses in the region of the torcular herophili using three dimensional CT venography. Acad. Radiol. 2010, 17, 1103–1111. [Google Scholar] [CrossRef]
- Singh, M.; Nagashima, M.; Inoue, Y. Anatomical variations of occipital bone impressions for dural venous sinuses around the torcular Herophili, with special reference to the consideration of clinical significance. Surg. Radiol. Anat. 2004, 26, 480–487. [Google Scholar] [CrossRef]
- Kobayashi, K.; Matsui, O.; Suzuki, M.; Ueda, F. Anatomical study of the confluence of the sinuses with contrast-enhanced magnetic resonance venography. Neuroradiology 2006, 48, 307–311. [Google Scholar] [CrossRef]
- Surendrababu, N.; Subathira; Livingstone, R. Variations in the cerebral venous anatomy and pitfalls in the diagnosis of cerebral venous sinus thrombosis: Low field MR experience. Indian J. Med. Sci. 2006, 60, 135–142. [Google Scholar] [CrossRef] [PubMed]
- Curé, J.K.; Van Tassel, P.; Smith, M.T. Normal and variant anatomy of the dural venous sinuses. Semin. Ultrasound CT MRI 1994, 15, 499–519. [Google Scholar] [CrossRef] [PubMed]
- Waltner, J.G. Anatomic variations of the lateral and sigmoid sinuses. Arch. Otolaryngol. Head Neck Surg. 1944, 39, 307–312. [Google Scholar] [CrossRef]
- Hamnett, N.T.J.; Ogungbo, B.; Nahser, H.; Javadpour, M. Anomalous cerebral venous sinus drainage. Br. J. Neurosurg. 2010, 24, 497–498. [Google Scholar] [CrossRef] [PubMed]
- Streit, H. Ueber otologisch wichtige anormalien der hirnsinus, uber accessorische sinus und bedeu¬tendere venenverbindungen. Arch. F Ohneuheilk. 1903, 58, 161. [Google Scholar] [CrossRef]
- Ruttin, E. Kloaken und blindsackbildung am sinus sigmoideus. Acta Oto-Laryngol. 1926, 9, 217–220. [Google Scholar] [CrossRef]
- Furstenberg, A.C. Septic thrombophlebitis of the sigmoid sinus. Trans. Am. Acad. Ophtal. 1937, 42, 424. [Google Scholar]
- Gangopadhyay, K.; McArthur, P.D.; Larsson, S.G. Unusual anterior course of the sigmoid sinus: Report of a case and review of the literature. J. Laryngol. Otol. 1996, 110, 984–986. [Google Scholar] [CrossRef]
- Saxena, R.C.; Beg, M.A.; Das, A.C. Double straight sinus- report of six cases. J. Neurosurg. 1973, 39, 540–542. [Google Scholar] [CrossRef]
- Mağden, A.O. Triple straight sinus--report of 2 cases. Anat. Anzeiger. 1991, 173, 17–22. [Google Scholar]
- Browder, J.; Kaplan, H.A.; Krieger, A.J. Anatomical features of the straight sinus and its tributaries. J. Neurosurg. 1976, 44, 55–61. [Google Scholar] [CrossRef] [PubMed]
- Hasegawa, M.; Yamashita, J.; Yamashima, T. Anatomical variations of the straight sinus on magnetic resonance imaging in the infratentorial supracerebellar approach to pineal region tumors. Surg. Neurol. 1991, 36, 354–359. [Google Scholar] [CrossRef] [PubMed]
- Hsu, S.-W.; Chaloupka, J.C. Atretic parietal cephalocele associated with sinus pericranii: Embryological consideration. Brain Dev. 2012, 34, 325–328. [Google Scholar] [CrossRef]
- Kim, M.S.; Lee, G.J. Two cases with persistent falcine sinus as congenital variation. J. Korean Neurosurg. Soc. 2010, 48, 82–84. [Google Scholar] [CrossRef] [PubMed]
- Ryu, C.W. Persistent falcine sinus: Is it really rare? AJNR Am. J. Neuroradiol. 2010, 31, 367–369. [Google Scholar] [CrossRef]
- Gibbs, E.L.; Gibbs, F.A. The cross section areas of the vessels that form the torcular and the manner in which flow is distributed to the right and to the left lateral sinus. Anat. Rec. 1934, 59, 419–426. [Google Scholar] [CrossRef]
- Babin, E.; Megret, M. Variations in the drainage of the basal vein. Neuroradiology 1973, 6, 154–161. [Google Scholar] [CrossRef]
- Chung, J.I.; Weon, Y.C. Anatomic variations of the deep cerebral veins, tributaries of basal vein of Rosenthal: Embryologic aspects of the regressed embryonic tentorial sinus. Interv. Neuroradiol. 2005, 11, 123–130. [Google Scholar] [CrossRef]
- Huang, Y.; Wolf, B. Veins of the posterior fossa. In Radiology of the Skull and Brain; Newton, T., Ports, D., Eds.; Mosby: St. Louis, MO, USA, 1974; Volume 2. [Google Scholar]
- Huang, Y.P.; Wolf, B.S.; Okudera, T. Angiographic anatomy of the inferior vermian vein of the cerebellum. Acta Radiol. Diagn. 1969, 9, 327–344. [Google Scholar]
- Duval, J.M.; Latouche, X.; Mondine, P.; Robillard, D. Sinus of the cerebellar tentorium. Bull. Assoc. Anat. 1975, 59, 855–862. [Google Scholar]
- Matsushima, T.; Suzuki, S.O.; Fukui, M.; Rhoton, A.L., Jr.; de Oliveira, E.; Ono, M. Microsurgical anatomy of the tentorial sinuses. J. Neurosurg. 1989, 71, 923–928. [Google Scholar] [CrossRef]
- Muthukumar, N.; Palaniappan, P. Tentorial venous sinuses: An anatomic study. Neurosurgery 1998, 42, 363–371. [Google Scholar] [CrossRef] [PubMed]
- Miabi, Z.; Midia, R.; Rohrer, S.E.; Hoeffner, E.G.; Vandorpe, R.; Berk, C.M.; Midia, M. Delineation of lateral tentorial sinus with contrast-enhanced MR Imaging and its surgical implications. AJNR Am. J. Neuroradiol. 2004, 25, 1181–1188. [Google Scholar] [PubMed]
- Tubbs, R.S.; Hansasuta, A.; Loukas, M.; Louis, R.G.; Shoja, M.M.; Salter, E.G.; Oakes, W.J. The basilar venous plexus. Clin. Anat. 2007, 20, 755–759. [Google Scholar] [CrossRef] [PubMed]
- Tubbs, R.S.; Loukas, M.; Shoja, M.M.; Oakes, W.J. Accessory venous sinus of Hyrtl. Folia Morphol. 2007, 66, 198–199. [Google Scholar]
- Adeeb, N.; Mortazavi, M.M.; Tubbs, R.S.; Cohen-Gadol, A.A. The cranial dura mater: A review of its history, embryology, and anatomy. Child’s Nerv. Syst. 2012, 28, 827–837. [Google Scholar] [CrossRef]
- Rollins, N.; Ison, C.; Booth, T.; Chia, J. MR Venography in the Pediatric Patient. AJNR Am. J. Neuroradiol. 2005, 26, 50–55. [Google Scholar]
- Tubbs, R.S.; Ammar, K.; Liechty, P.; Wellons, J.C.; Blount, J.P.; Salter, E.G.; Oakes, W.J. The marginal sinus. J. Neurosurg. 2006, 104, 429–431. [Google Scholar] [CrossRef]
- Tubbs, R.S.; Kelly, D.R.; Lott, R.; Salter, E.G.; Oakes, W.J. Complete ossification of the human falx cerebri. Clin. Anat. 2006, 19, 147–150. [Google Scholar] [CrossRef]
- Tubbs, R.S.; Loukas, M. Duplication of the superior sagittal sinus. Clin. Anat. 2006, 19, 728. [Google Scholar] [CrossRef]
- Baltsavias, G.; Bhatti, A.; Valavanis, S. Lateral convexial tributary sinus of superior sagittalsinus. A rare anatomic variation and the importance of its recognition. Clin. Neurol. Neurosurg. 2013, 115, 2268–2269. [Google Scholar] [CrossRef]
- Kocak, B.; Hasiloglu, K.O.; Kocer, N.; Aydin, S.; Islak, C. Total agenesis of superior sagittal sinus and falx cerebri in a patient who has a subacute subdural hematoma crossing midline: Case report. Neurosurgery 2013, 5, 863–867. [Google Scholar] [CrossRef]
- Tubbs, R.S.; Salter, G.; Elton, S.; Grabb, P.A.; Oakes, W.J. Sagittal suture as an external landmark for the superior sagittal sinus. J. Neurosurg. 2001, 94, 985–987. [Google Scholar] [CrossRef] [PubMed]
- Kaplan, H.A.; Browder, J. Atresia of the rostral superior sagittal sinus: Substitute parasagittal venous channels. J. Neurosurg. 1973, 38, 602–607. [Google Scholar] [CrossRef] [PubMed]
- Manoj, K.S.; Krishnamoorthy, T.; Thomas, B.; Kapilamoorthy, T.R. An incidental persistent falcine sinus with dominant straight sinus and hypoplastic distal sagittal sinus. Pediatr. Radiol. 2006, 36, 65–67. [Google Scholar] [CrossRef] [PubMed]
- Alper, F.; Kantarci, M.; Dane, S.; Gumustekin, K.; Onbas, O.; Durur, I. Importance of anatomical asymmetries of transverse sinuses: An MR venographic study. Cerebrovasc. Dis. 2004, 18, 236–239. [Google Scholar] [CrossRef] [PubMed]
- Fofi, L.; Giugni, E.; Vadalà, R.; Vanacore, N.; Aurilia, C.; Egeo, G.; Pierallini, A.; Barbanti, P. Cerebral transverse sinus morphology as detected by MR venography in patients with chronic migraine. Headache J. Head Face Pain 2012, 52, 1254–1261. [Google Scholar] [CrossRef]
- Han, K.; Chao, A.C.; Chang, F.C.; Hsu, H.Y.; Chung, C.P.; Sheng, W.Y.; Chan, L.; Wu, J.; Hu, H.H. Diagnosis of transverse sinus hypoplasia in magnetic resonance venography: New insights based on magnetic resonance imaging in combined dataset of venous outflow impairment case-control studies: Post hoc case-control study. Medicine 2016, 95, e2862. [Google Scholar] [CrossRef]
- Strydom, M.; Briers, N.; Bosman, M.; Steyn, S. The anatomical basis of venographic filling defects of the transverse sinus. Clin. Anat. 2010, 23, 153–159. [Google Scholar] [CrossRef]
- Elder, B.D.; Goodwin, C.R.; Kosztowski, T.A.; Radvany, M.G.; Gailloud, P.; Moghekar, A.; Subramanian, P.S.; Miller, N.R.; Rigamonti, D. Venous sinus stenting is a valuable treatment for fulminant idiopathic intracranial hypertension. J. Clin. Neurosci. 2015, 22, 685–689. [Google Scholar] [CrossRef]
- Farb, R.I.; Vanek, I.; Scott, J.N.; Mikulis, D.J.; Willinsky, R.A.; Tomlinson, G.; TerBrugge, K.G. Idiopathic intracranial hypertension: The prevalence and morphology of sinovenous stenosis. Neurology 2003, 60, 1418–1424. [Google Scholar] [CrossRef] [PubMed]
- Lenck, S.; Vallée, F.; Labeyrie, M.-A.; Touitou, V.; Saint-Maurice, J.-P.; Guillonnet, A.; Tantot, A.; Crassard, I.; Bernat, A.-L.; Houdart, E. Stenting of the lateral sinus in idiopathic intracranial hypertension according to the type of stenosis. Neurosurgery 2017, 80, 393–400. [Google Scholar] [CrossRef] [PubMed]
- Pollay, M. The function and structure of the cerebrospinal fluid outflow system. Cerebrospinal Fluid Res. 2010, 7, 9. [Google Scholar] [CrossRef] [PubMed]
- McCormick, M.W.; Bartels, H.G.; Rodriguez, A.; Johnson, J.E.; Janjua, R.M. Anatomical variations of the transverse-sigmoid sinus junction: Implications for endovascular treatment of idiopathic intracranial hypertension. Anat. Rec. 2016, 299, 1037–1042. [Google Scholar] [CrossRef]
- Cao, X.; Li, B.; Su, H.; Wang, R.; Wang, J.; Tian, C.; Du, Z.; Liu, X.; Zhang, Y.; Chen, X.; et al. Pearls & Oy-Sters: Angioplasty and stenting as new treatment method for cough headache with stenotic internal jugular vein: Case report with 12-month follow-up. Neurology 2021, 97, e964–e967. [Google Scholar]
- Bergquist, E. Fibrous septa in the straight dural sinus. Acta Radiol. Diagn. 1975, 16, 331–336. [Google Scholar] [CrossRef]
- Yan, F.; Rajah, G.; Ding, Y.; Hua, Y.; Zhang, H.; Jiao, L.; Li, G.; Ren, M.; Meng, R.; Lin, F.; et al. Safety and efficacy of intravascular ultrasound as an adjunct to Stenting for cerebral venous sinus stenosis–induced idiopathic intracranial hypertension: A pilot study. J. Neurosurg. 2019, 132, 749–754. [Google Scholar] [CrossRef]
- Zhao, Y.; Zhang, X.; Lv, B.; Wang, J.; Liu, X.; Du, Z.; Cui, F.; Li, B.; Chen, X.; Cao, X. Dural sinus septum: An underlying cause of cerebral venous sinus stenting failure and complications. Stroke Vasc. Neurol. 2024, 9, 174–180. [Google Scholar] [CrossRef]
- Subramaniam, R.M.; Tress, B.M.; King, J.O.; Eizenberg, N.; Mitchell, P.J. Transverse sinus septum: A new aetiology of idiopathic intracranial hypertension? Australas. Radiol. 2004, 48, 114–116. [Google Scholar] [CrossRef]
- Tian, Y.; Zhang, Z.; Jing, J.; Dong, K.; Mo, D.; Wang, Y. Anatomic variation of the lateral sinus in patients with idiopathic intracranial hypertension: Delineation with black-blood contrast-enhanced MRI. Front. Neurol. 2021, 12, 715857. [Google Scholar] [CrossRef]










| Issue | TOF | PC | CE-MRV |
|---|---|---|---|
| Physical principle | Flow enhancement | Phase shift | T1 shortening |
| Sequence | Gradient echo-based | Gradient echo-based | Gradient echo-based |
| GBCA | No | No | Yes |
| Background | Partly suppressed | Suppressed | Enhancing lesions seen |
| Pitfalls | Saturation of exogenous signal (arteries) | Operator for selection of appropriate VENC | Scan timing for maximum venous enhancement |
| Flow velocity | Can detect slow flow | Depends on the VENC | Independent |
| Flow direction | Not detected | Detected | Not detected |
| Flow quantification | No | Yes | No |
| Time | Hemoglobin Degradation Product | T1WI | T2WI and FLAIR |
|---|---|---|---|
| <5 days | Deoxyhemoglobin | Iso/hypointense to brain tissue | Iso/hypointense to brain tissue |
| 6–14 days | Methemoglobin | Hyperintense | Hyperintense |
| >14 days | (Fibrosis/recanalization) | Variable | Variable |
| Type | Features |
|---|---|
| Valvelike chordae | These are the most common type, constituting approximately 45–49% of all recorded chordae. Typically found near the lateral sinus wall, they cover the openings of the superior cerebral veins and prevent blood backflow. This design ensures unidirectional drainage from the veins into the sinus. Valvelike chordae are particularly concentrated in the middle 12–14 cm of the SSS, where venous orifices often enter at physiologically unfavorable angles. They are less frequent at the anterior 5–7 cm of the SSS. |
| Trabecular chordae | These comprise 30–35% of the chordae and cross the lumen at varying angles, either centrally or peripherally. Trabecular chordae often appear as isolated strands, small clusters, or networks. They contribute structural support and regulate blood flow dynamics. Most trabecular chordae are unrelated to afferent veins, with asymmetry favoring more intense blood flow on the right side of the SSS. |
| Longitudinal lamellae | These chordae account for 20–23% of cases and typically divide the SSS lumen into two or three distinct channels. Their triangular or square morphology with concave frontal and occipital borders helps support the sinus lumen, preventing compression and maintaining pressure equilibrium. Their length ranges from 2 to 35 mm, although most are within 2–8 mm. |
| Accessory cords [23] | They constitute 1.6% of structures within the SSS. These cordlike formations often form networks at venous lacunae entrances, further aiding in the regulation of venous drainage. |
| Proponent | Descriptions | |
|---|---|---|
| Woodhall [58] | Plexiform type (56%) | Multiple channels communicate between the sides. |
| Ipsilateral type (31%) | The SSS drains toward one side, and the straight sinus drains toward the opposite side. | |
| Common pool type (9%) | The SSS and straight sinuses merge, draining into both TSs. | |
| Unilateral type (4%) | Both the SSS and straight sinuses drain into the same TS, with the contralateral TS absent. | |
| Occipital type | A large single sinus or paired occipital sinuses persist with a large marginal sinus. | |
| Browning [59] | Type I (36%) | The SSS and straight sinuses merge into a confluence, from which both TSs arise. |
| Type II (24%) | Both the SSS and straight sinuses bifurcate and their right and left branches unite to form the corresponding TSs. | |
| Type III (24%) | The SSS deviates to the right of the left TS, while the straight sinus bifurcates into two branches: one joining the SSS and the other becoming the opposite TS. | |
| Type IV (16%) | This pattern is similar to Type III, but the drainage of the straight and sagittal sinuses is reversed. | |
| Bisaria [48,53] | Type 1 (24.5%) | The SSS drains into one TS, and the straight sinus drains into the other. |
| Type 2 (9.1%) | Both the SSS and straight sinuses bifurcate, draining into the respective TSs. | |
| Type 3 (57.3%) | The torcular Herophili is present, with varying degrees of partitioning. | |
| Fukusumi [60] | Type I (20%) | The SSS drains into the torcular Herophili, which bifurcates into two TSs. |
| Type II (26.7%) | The SSS splits into right and left limbs, draining into the same side of the TS. | |
| Type III (44.2%) | The SSS drains completely into the right TS. | |
| Type IV (9.2%) | The SSS drains completely into the left TS. | |
| Singh [61] | Confluence type (35%) | The SSS drains into a common venous pool. |
| Bifurcation type (14%) | The SSS divides into bilateral TSs. | |
| Right-dominant type (41%) | The SSS drains only into the right TS. | |
| Left-dominant type (10%) | The SSS drains only into the left TS. | |
| Kobayashi [62] | Type I (32.7%) | The superior sagittal, straight, and TSs merge. |
| Type II | The SSS bifurcates into: a. Right TS (31.5%) b. Left TS (6.2%) | |
| Type III | The SSS and straight sinus branch into bilateral TSs (18.9%). | |
| Type IV | The straight sinus branches into the left and right TSs: a. Right TS (3.1%) b. Left TS (4.4%) | |
| Type V | a. The straight sinus drains into the occipital sinus (0.5%). b. The straight sinus drains into other veins (0.4%). | |
| Type VI | Aplasty of the TSs: a. Left TS (0.4%) b. Right TS (0.9%) | |
| Type VII | The straight sinus branches into bilateral TSs, and the SSS drains into the straight and left TSs (0.2%). | |
| Type VIII | The SSS branches into bilateral TSs, while the straight sinus branches into the SSS and left TS (0.4%). | |
| Type IX | The SSS branches into the right TS and occipital sinus. The straight sinus drains into the left TS and occipital sinus, with an anastomosis between the straight and SSS (0.4%). | |
| Issue | Features |
|---|---|
| Asymmetry and dominance | Asymmetry is a common feature, with the right TS typically larger and more dominant than the left. Right dominance: 59–62% of cases Left dominance: 25–30% of cases Codominance: 10–16% Hypoplasia or aplasia: Left hypoplasia: 39% of cases Left aplasia: 20% of individuals Right hypoplasia or aplasia: much rarer, affecting only 4–6% of cases. |
| Fibrous septa, bands, and doubling | Septa or fibrous bands can be present within the sinus, occasionally narrowing the lumen. Doubling of the TS has been observed, more commonly on the left. These structures may create flow gaps, often being mistaken for pathologies like venous thrombosis. |
| Connections and communications | The TS may have multiple openings connecting to the torcular Herophili. Rarely, an oblique sinus can connect the left and right TSs. Hypoplasia or aplasia of one TS often leads to compensatory enlargement of the contralateral sinus. In cases where the TS is absent, drainage is rerouted via the occipital sinus, marginal sinus, or superior petrosal sinus. |
| Developmental variations | Age-related changes: hypoplasia or aplasia may appear more frequently in older individuals due to changes in cranial venous flow. Overlapping lambdoidal sutures: in infants, these sutures may cause septation of the transverse sinus. Enlargement of structures: some individuals exhibit dilation of the distal TS, sigmoid sinus, or superior jugular bulb. |
| Rare and aberrant drainage patterns | Mastoid foramen drainage: Some cases show blood exiting the skull via the mastoid foramen rather than the jugular foramen. These cases may have an absent or hypoplastic sigmoid sinus. Alternative venous routes: The TS may connect with the cavernous sinus or ophthalmic veins via aberrant veins. |
Disclaimer/Publisher’s Note: The statements, opinions and data contained in all publications are solely those of the individual author(s) and contributor(s) and not of MDPI and/or the editor(s). MDPI and/or the editor(s) disclaim responsibility for any injury to people or property resulting from any ideas, methods, instructions or products referred to in the content. |
© 2025 by the authors. Licensee MDPI, Basel, Switzerland. This article is an open access article distributed under the terms and conditions of the Creative Commons Attribution (CC BY) license (https://creativecommons.org/licenses/by/4.0/).
Share and Cite
Zedde, M.; Pascarella, R. Non-Thrombotic Filling Defects in Cerebral Veins and Sinuses: When Normal Structures Mimic a Disease. Neurol. Int. 2025, 17, 9. https://doi.org/10.3390/neurolint17010009
Zedde M, Pascarella R. Non-Thrombotic Filling Defects in Cerebral Veins and Sinuses: When Normal Structures Mimic a Disease. Neurology International. 2025; 17(1):9. https://doi.org/10.3390/neurolint17010009
Chicago/Turabian StyleZedde, Marialuisa, and Rosario Pascarella. 2025. "Non-Thrombotic Filling Defects in Cerebral Veins and Sinuses: When Normal Structures Mimic a Disease" Neurology International 17, no. 1: 9. https://doi.org/10.3390/neurolint17010009
APA StyleZedde, M., & Pascarella, R. (2025). Non-Thrombotic Filling Defects in Cerebral Veins and Sinuses: When Normal Structures Mimic a Disease. Neurology International, 17(1), 9. https://doi.org/10.3390/neurolint17010009

