Syndrome Sinistre: Left Brachiocephalic Vein Compression and its Neurological Manifestations
Abstract
1. Background
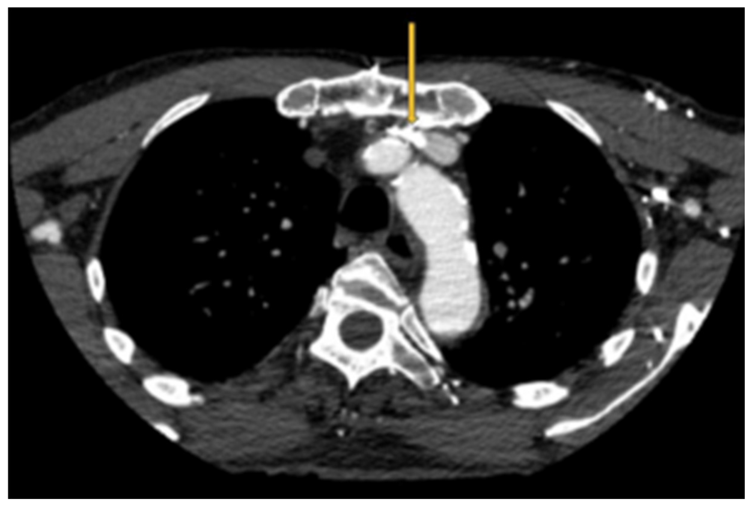
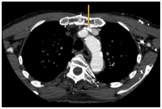
2. Embryology, Anatomy, Radiology and Clinical Features
3. Discussion
Author Contributions
Funding
Data Availability Statement
Conflicts of Interest
References
- Mozes, G.; Gloviczki, P. CHAPTER 2—Venous Embryology and Anatomy. In The Vein Book; Bergan, J.J., Ed.; Academic Press: Cambridge, MA, USA, 2007; pp. 15–25. [Google Scholar] [CrossRef]
- Standring, S. Gray’s Anatomy E-Book: The Anatomical Basis of Clinical Practice; Elsevier: Amsterdam, The Netherlands, 2015; Available online: http://ebookcentral.proquest.com/lib/nyulibrary-ebooks/detail.action?docID=4187461 (accessed on 2 April 2022).
- Hirokawa, N.; Tanaka, Y.; Okada, Y. Left–Right Determination: Involvement of Molecular Motor KIF3, Cilia, and Nodal Flow. Cold Spring Harb. Perspect. Biol. 2009, 1, a000802. [Google Scholar] [CrossRef]
- Ohyama, Y.; Redheuil, A.; Kachenoura, N.; Ambale Venkatesh, B.; Lima, J.A. Imaging Insights on the Aorta in Aging. Circ. Cardiovasc. Imaging 2018, 11, e005617. [Google Scholar] [CrossRef]
- Holcombe, S.A.; Wang, S.C.; Grotberg, J.B. Age-related changes in thoracic skeletal geometry of elderly females. Traffic Inj. Prev. 2017, 18 (Suppl. S1), S122–S128. [Google Scholar] [CrossRef]
- Marini, T.J.; Chughtai, K.; Nuffer, Z.; Hobbs, S.K.; Kaproth-Joslin, K. Blood finds a way: Pictorial review of thoracic collateral vessels. Insights Imaging 2019, 10, 63. [Google Scholar] [CrossRef]
- White, H.J.; Soos, M.P. Anatomy, Thorax, Superior Vena Cava. In StatPearls; StatPearls Publishing: Treasure Island, FL, USA, 2022. Available online: http://www.ncbi.nlm.nih.gov/books/NBK545255/ (accessed on 29 June 2022).
- Williams, A.L.; Al-Busaidi, A.; Sparrow, P.J.; Adams, J.E.; Whitehouse, R.W. Under-reporting of osteoporotic vertebral fractures on computed tomography. Eur. J. Radiol. 2009, 69, 179–183. [Google Scholar] [CrossRef]
- Seth, R.; Bhatia, V.; Jain, C.; Kumar, A. Intracranial Venous Sinus Reflux on CT Angiography: Benign or Malignant Entity? Indian J. Radiol. Imaging 2022, 31, 1075–1078. [Google Scholar] [CrossRef]
- Tseng, Y.C.; Hsu, H.L.; Lee, T.H.; Chen, C.J. Venous Reflux on Carotid Computed Tomography Angiography: Relationship With Left-Arm Injection. J. Comput. Assist. Tomogr. 2007, 31, 360–364. [Google Scholar] [CrossRef]
- Han, K.; Chao, A.-C.; Chang, F.-C.; Chung, C.-P.; Hsu, H.-Y.; Sheng, W.-Y.; Wu, J.; Hu, H.-H. Obstruction of Venous Drainage Linked to Transient Global Amnesia. PLoS ONE 2015, 10, e0132893. [Google Scholar] [CrossRef]
- Pacemaker Implantation—How It’s Performed. nhsuk. Published Online October 2017. Available online: https://www.nhs.uk/conditions/pacemaker-implantation/what-happens/ (accessed on 30 July 2022).
- Cheng, Y.; Haorah, J. How does the brain remove its waste metabolites from within? Int. J. Physiol. Pathophysiol. Pharmacol. 2019, 11, 238–249. Available online: https://www.ncbi.nlm.nih.gov/pmc/articles/PMC6971497/ (accessed on 28 July 2022).
- Hou, Y.; Dan, X.; Babbar, M.; Wei, Y.; Hasselbalch, S.G.; Croteau, D.L.; Bohr, V.A. Ageing as a risk factor for neurodegenerative disease. Nat. Rev. Neurol. 2019, 15, 565–581. [Google Scholar] [CrossRef]
- Gurney, S.P.; Ramalingam, S.; Thomas, A.; Sinclair, A.J.; Mollan, S.P. Exploring The Current Management Idiopathic Intracranial Hypertension, And Understanding The Role Of Dural Venous Sinus Stenting. Eye Brain 2020, 12, 1–13. [Google Scholar] [CrossRef]
- Griffith, A.N. Venous Obstruction of the Labyrinth: Some Experimental and Anatomical Studies. Proc. R. Soc. Med. 1961, 54, 917–922. [Google Scholar] [CrossRef]
- Satow, T.; Aso, T.; Nishida, S.; Komuro, T.; Ueno, T.; Oishi, N.; Nakagami, Y.; Odagiri, M.; Kikuchi, T.; Yoshida, K.; et al. Alteration of Venous Drainage Route in Idiopathic Normal Pressure Hydrocephalus and Normal Aging. Front. Aging Neurosci. 2017, 9, 387. [Google Scholar] [CrossRef]



Disclaimer/Publisher’s Note: The statements, opinions and data contained in all publications are solely those of the individual author(s) and contributor(s) and not of MDPI and/or the editor(s). MDPI and/or the editor(s) disclaim responsibility for any injury to people or property resulting from any ideas, methods, instructions or products referred to in the content. |
© 2024 by the authors. Licensee MDPI, Basel, Switzerland. This article is an open access article distributed under the terms and conditions of the Creative Commons Attribution (CC BY) license (https://creativecommons.org/licenses/by/4.0/).
Share and Cite
Arcot, K.M.; DeOrchis, V.S. Syndrome Sinistre: Left Brachiocephalic Vein Compression and its Neurological Manifestations. Neurol. Int. 2024, 16, 1158-1163. https://doi.org/10.3390/neurolint16050087
Arcot KM, DeOrchis VS. Syndrome Sinistre: Left Brachiocephalic Vein Compression and its Neurological Manifestations. Neurology International. 2024; 16(5):1158-1163. https://doi.org/10.3390/neurolint16050087
Chicago/Turabian StyleArcot, Karthikeyan M., and Vincent S. DeOrchis. 2024. "Syndrome Sinistre: Left Brachiocephalic Vein Compression and its Neurological Manifestations" Neurology International 16, no. 5: 1158-1163. https://doi.org/10.3390/neurolint16050087
APA StyleArcot, K. M., & DeOrchis, V. S. (2024). Syndrome Sinistre: Left Brachiocephalic Vein Compression and its Neurological Manifestations. Neurology International, 16(5), 1158-1163. https://doi.org/10.3390/neurolint16050087
