Cerebellar Progressive Multifocal Leukoencephalopathy Mimicking Anti-Yo-Antibody-Associated Rapidly Progressive Cerebellar Syndrome
Abstract
1. Introduction
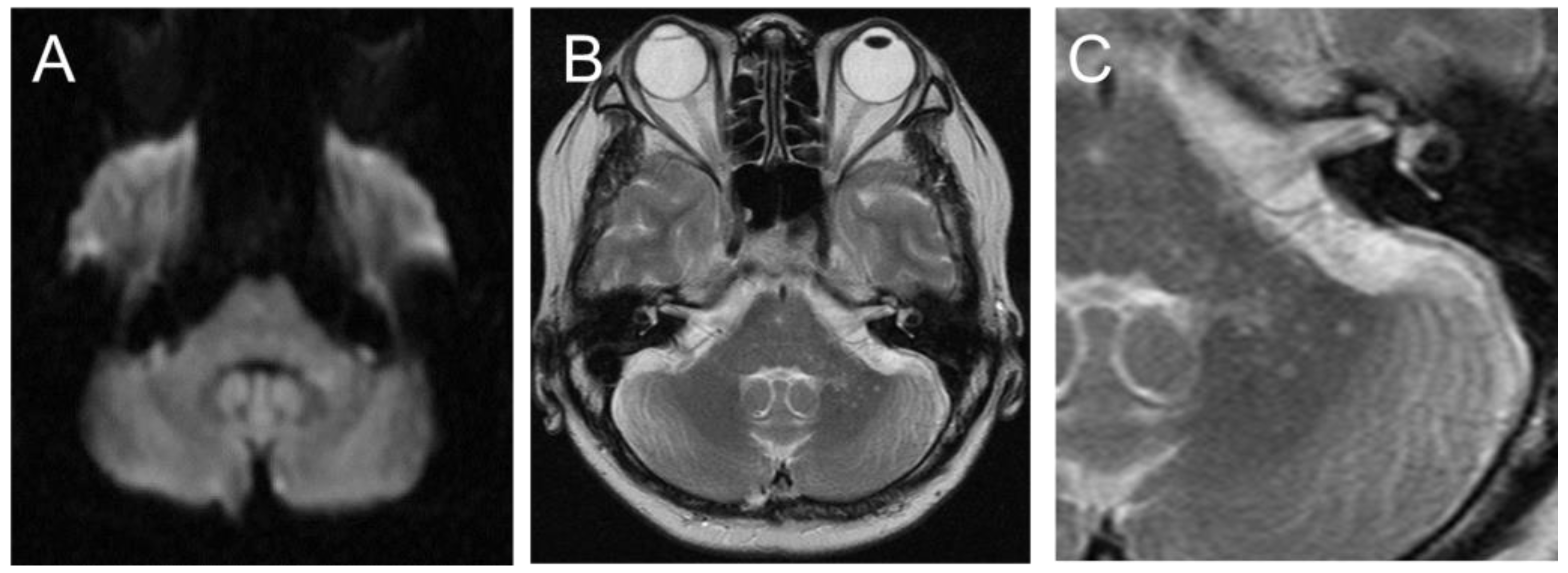
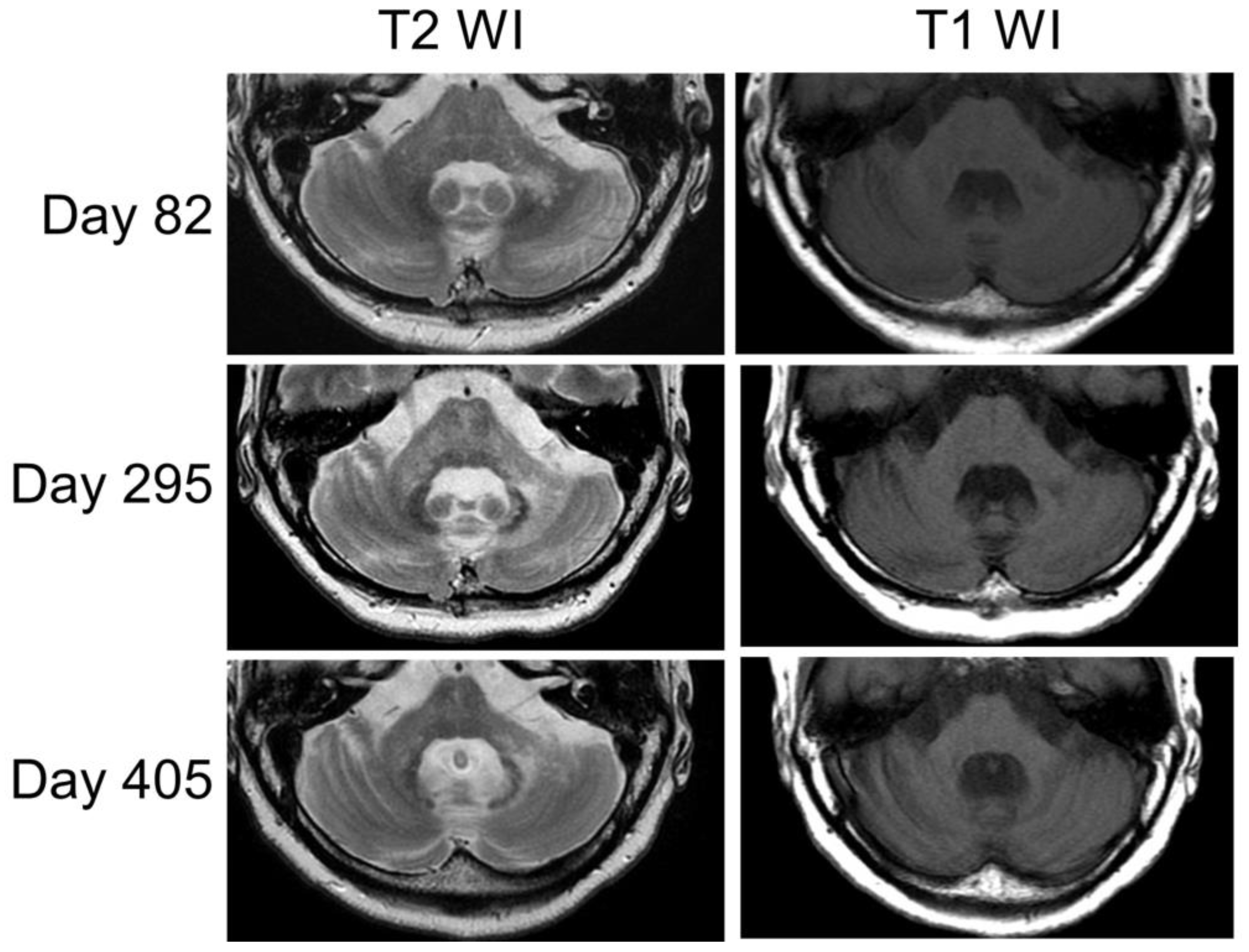
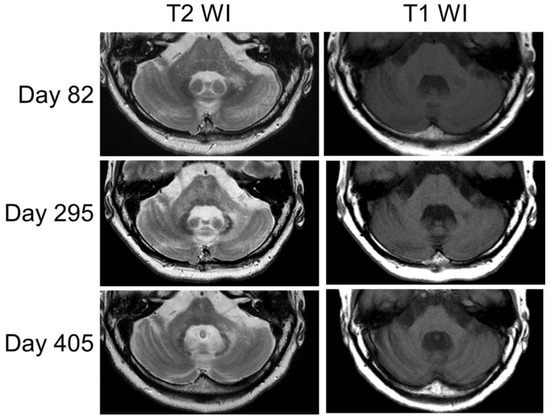
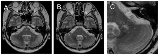
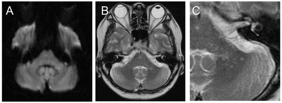
2. Case Presentation
3. Discussion
4. Conclusions
Supplementary Materials
Author Contributions
Funding
Institutional Review Board Statement
Informed Consent Statement
Data Availability Statement
Conflicts of Interest
References
- Barth, H.; Solis, M.; Lepiller, Q.; Sueur, C.; Soulier, E.; Caillard, S.; Stoll-Keller, F.; Fafi-Kremer, S. 45 years after the discovery of human polyomaviruses BK and JC: Time to speed up the understanding of associated diseases and treatment approaches. Crit. Rev. Microbiol. 2017, 43, 178–195. [Google Scholar] [CrossRef]
- White, M.K.; Khalili, K. Pathogenesis of progressive multifocal leukoencephalopathy—Revisited. J. Infect. Dis. 2011, 203, 578–586. [Google Scholar] [CrossRef]
- Berger, J.R.; Aksamit, A.J.; Clifford, D.B.; Davis, L.; Koralnik, I.J.; Sejvar, J.J.; Bartt, R.; Major, E.O.; Nath, A. PML diagnostic criteria: Consensus statement from the AAN Neuroinfectious Disease Section. Neurology 2013, 80, 1430–1438. [Google Scholar] [CrossRef]
- Alstadhaug, K.B.; Myhr, K.M.; Rinaldo, C.H. Progressive multifocal leukoencephalopathy. Tidsskr. Nor. Laegeforen. 2017, 137, 23–24. [Google Scholar] [CrossRef][Green Version]
- Du Pasquier, R.A.; Corey, S.; Margolin, D.H.; Williams, K.; Pfister, L.A.; De Girolami, U.; Mac Key, J.J.; Wüthrich, C.; Joseph, J.T.; Koralnik, I.J. Productive infection of cerebellar granule cell neurons by JC virus in an HIV+ individual. Neurology 2003, 61, 775–782. [Google Scholar] [CrossRef] [PubMed]
- Jelcic, I.; Jelcic, I.; Kempf, C.; Largey, F.; Planas, R.; Schippling, S.; Budka, H.; Sospedra, M.; Martin, R. Mechanisms of immune escape in central nervous system infection with neurotropic JC virus variant. Ann. Neurol. 2016, 79, 404–418. [Google Scholar] [CrossRef] [PubMed]
- Clifford, D.B.; De Luca, A.; Simpson, D.M.; Arendt, G.; Giovannoni, G.; Nath, A. Natalizumab-associated progressive multifocal leukoencephalopathy in patients with multiple sclerosis: Lessons from 28 cases. Lancet Neurol. 2010, 9, 438–446. [Google Scholar] [CrossRef]
- Yukitake, M. Drug-induced progressive multifocal leukoencephalopathy in multiple sclerosis: A comprehensive review. Clin. Exp. Neuroimmunol. 2018, 9, 37–47. [Google Scholar] [CrossRef]
- Berger, J.R.; Pall, L.; Lanska, D.; Whiteman, M. Progressive multifocal leukoencephalopathy in patients with HIV infection. J. Neurovirol. 1998, 4, 59–68. [Google Scholar] [CrossRef]
- Brooks, B.R.; Walker, D.L. Progressive multifocal leukoencephalopathy. Neurol. Clin. 1984, 2, 299–313. [Google Scholar] [CrossRef]
- Alleg, M.; Solis, M.; Baloglu, S.; Cotton, F.; Kerschen, P.; Bourre, B.; Ahle, G.; Pruvo, J.P.; Leclerc, X.; Vermersch, P.; et al. Progressive multifocal leukoencephalopathy: MRI findings in HIV-infected patients are closer to rituximab- than natalizumab-associated PML. Eur. Radiol. 2021, 31, 2944–2955. [Google Scholar] [CrossRef]
- Berntsson, S.G.; Katsarogiannis, E.; Lourenço, F.; Moraes-Fontes, M.F. Progressive Multifocal Leukoencephalopathy and Systemic Lupus Erythematosus: Focus on Etiology. Case Rep. Neurol. 2016, 8, 59–65. [Google Scholar] [CrossRef] [PubMed]
- Brandão, M.; Damásio, J.; Marinho, A.; da Silva, A.M.; Vasconcelos, J.; Neves, E.; Almeida, I.; Farinha, F.; Vasconcelos, C. Systemic lupus erythematosus, progressive multifocal leukoencephalopathy, and T-CD4+ lymphopenia. Clin. Rev. Allergy Immunol. 2012, 43, 302–307. [Google Scholar] [CrossRef] [PubMed]
- Cheng, C.F.; Su, J.J.; Chen, Y.F.; Lin, Y.C.; Huang, Y.M.; Li, K.J. Progressive multifocal leukoencephalopathy in a 27-year-old lady with systemic lupus erythematosus—Rheumatoid arthritis overlap syndrome. J. Formos. Med. Assoc. 2019, 118, 1560–1565. [Google Scholar] [CrossRef]
- Graff-Radford, J.; Robinson, M.T.; Warsame, R.M.; Matteson, E.L.; Eggers, S.D.; Keegan, B.M. Progressive multifocal leukoencephalopathy in a patient treated with etanercept. Neurologist 2012, 18, 85–87. [Google Scholar] [CrossRef]
- Hamaguchi, M.; Suzuki, K.; Fujita, H.; Uzuka, T.; Matsuda, H.; Shishido-Hara, Y.; Arai, S.; Nakamura, T.; Kikuchi, S.; Nakamichi, K.; et al. Successful treatment of non-HIV progressive multifocal leukoencephalopathy: Case report and literature review. J. Neurol. 2020, 267, 731–738. [Google Scholar] [CrossRef]
- Jones, H.R., Jr.; Hedley-Whyte, E.T.; Freidberg, S.R.; Kelleher, J.E., Jr.; Krolikowski, J. Primary cerebellopontine progressive multifocal leukoencephalopathy diagnosed premortem by cerebellar biopsy. Ann. Neurol. 1982, 11, 199–202. [Google Scholar] [CrossRef]
- Kinoshita, M.; Iwana, K.; Shinoura, H.; Aotsuka, S.; Sumiya, M. Progressive multifocal leukoencephalopathy resembling central nervous system systemic lupus erythematosus. Clin. Exp. Rheumatol. 1998, 16, 313–315. [Google Scholar]
- Sakuraba, M.; Watanabe, S.; Nishiyama, Y.; Takahashi, K.; Nakamichi, K.; Suzuki, M.; Nawata, T.; Komai, K.; Gono, T.; Takeno, M.; et al. Infratentorial onset of progressive multifocal leukoencephalopathy in a patient with systematic lupus erythematosus complicated with lymphoma: A case report. Mod. Rheumatol. Case Rep. 2021, 5, 272–277. [Google Scholar] [CrossRef] [PubMed]
- Salmaggi, A.; Maccagnano, E.; Castagna, A.; Zeni, S.; Fantini, F.; Cinque, P.; Savoiardo, M. Reversal of CSF positivity for JC virus genome by cidofovir in a patient with systemic lupus erythematosus and progressive multifocal leukoencephalopathy. Neurol. Sci. 2001, 22, 17–20. [Google Scholar] [CrossRef]
- de Silva, R.N.; Vallortigara, J.; Greenfield, J.; Hunt, B.; Giunti, P.; Hadjivassiliou, M. Diagnosis and management of progressive ataxia in adults. Pract. Neurol. 2019, 19, 196–207. [Google Scholar] [CrossRef]
- Graus, F.; Vogrig, A.; Muñiz-Castrillo, S.; Antoine, J.G.; Desestret, V.; Dubey, D.; Giometto, B.; Irani, S.R.; Joubert, B.; Leypoldt, F.; et al. Updated Diagnostic Criteria for Paraneoplastic Neurologic Syndromes. Neurol. R Neuroimmunol. Neuroinflammation 2021, 8, e1014. [Google Scholar] [CrossRef] [PubMed]
- Hodel, J.; Darchis, C.; Outteryck, O.; Verclytte, S.; Deramecourt, V.; Lacour, A.; Zins, M.; Pruvo, J.P.; Vermersch, P.; Leclerc, X. Punctate pattern: A promising imaging marker for the diagnosis of natalizumab-associated PML. Neurology 2016, 86, 1516–1523. [Google Scholar] [CrossRef]
- Ishii, J.; Shishido-Hara, Y.; Kawamoto, M.; Fujiwara, S.; Imai, Y.; Nakamichi, K.; Kohara, N. A Punctate Magnetic Resonance Imaging Pattern in a Patient with Systemic Lupus Erythematosus Is an Early Sign of Progressive Multifocal Leukoencephalopathy: A Clinicopathological Study. Intern. Med. 2018, 57, 2727–2734. [Google Scholar] [CrossRef] [PubMed]
- Nakahara, J.; Tomaske, L.; Kume, K.; Takata, T.; Kamada, M.; Deguchi, K.; Kufukihara, K.; Schneider, R.; Gold, R.; Ayzenberg, I. Three cases of non-carryover fingolimod-PML: Is the risk in Japan increased? Neurol. R Neuroimmunol. Neuroinflammation 2019, 6, e559. [Google Scholar] [CrossRef] [PubMed]
- Wattjes, M.P.; Verhoeff, L.; Zentjens, W.; Killestein, J.; van Munster, E.T.; Barkhof, F.; van Eijk, J.J. Punctate lesion pattern suggestive of perivascular inflammation in acute natalizumab-associated progressive multifocal leukoencephalopathy: Productive JC virus infection or preclinical PML-IRIS manifestation? J. Neurol. Neurosurg. Psychiatry 2013, 84, 1176–1177. [Google Scholar] [CrossRef]
- Nakamichi, K.; Kawamoto, M.; Ishii, J.; Saijo, M. Improving detection of JC virus by ultrafiltration of cerebrospinal fluid before polymerase chain reaction for the diagnosis of progressive multifocal leukoencephalopathy. BMC Neurol. 2019, 19, 252. [Google Scholar] [CrossRef]
- Ryschkewitsch, C.F.; Jensen, P.N.; Major, E.O. Multiplex qPCR assay for ultra sensitive detection of JCV DNA with simultaneous identification of genotypes that discriminates non-virulent from virulent variants. J. Clin. Virol. 2013, 57, 243–248. [Google Scholar] [CrossRef]
- Schmitz-Hübsch, T.; du Montcel, S.T.; Baliko, L.; Berciano, J.; Boesch, S.; Depondt, C.; Giunti, P.; Globas, C.; Infante, J.; Kang, J.S.; et al. Scale for the assessment and rating of ataxia: Development of a new clinical scale. Neurology 2006, 66, 1717–1720. [Google Scholar] [CrossRef]
- Panegyres, P.K.; Graves, A. Anti-Yo and anti-glutamic acid decarboxylase antibodies presenting in carcinoma of the uterus with paraneoplastic cerebellar degeneration: A case report. J. Med. Case Rep. 2012, 6, 155. [Google Scholar] [CrossRef]
- Shargian-Alon, L.; Raanani, P.; Rozovski, U.; Siegal, T.; Yust-Katz, S.; Yeshurun, M. Immune Mediated Cerebellar Ataxia: An Unknown Manifestation of Graft-versus-Host Disease. Acta Haematol. 2019, 141, 19–22. [Google Scholar] [CrossRef] [PubMed]
- Casciato, S.; Mascia, A.; Quarato, P.P.; D’Aniello, A.; Scoppetta, C.; Di Gennaro, G. Subacute cerebellar ataxia as presenting symptom of systemic lupus erythematosus. Eur. Rev. Med. Pharmacol. Sci. 2018, 22, 7401–7403. [Google Scholar] [CrossRef] [PubMed]
- Sy, M.C.C.; Reyes, N.G.D.; Zamora, G.T.; Fernandez, M.L.L. Cerebellar ataxia as a primary manifestation of neuropsychiatric systemic lupus erythematosus. BMJ Case Rep. 2021, 14, e236825. [Google Scholar] [CrossRef] [PubMed]
- Ruiz-García, R.; Martínez-Hernández, E.; Saiz, A.; Dalmau, J.; Graus, F. The Diagnostic Value of Onconeural Antibodies Depends on How They Are Tested. Front. Immunol. 2020, 11, 1482. [Google Scholar] [CrossRef]
- Dalmau, J.; Dalakas, M.C.; Kolson, D.L.; Paul, F.; Sánchez-Valle, R.; Zamvil, S.S. N2 Year in Review. Neurol. R Neuroimmunol. Neuroinflammation 2023, 10, e200076. [Google Scholar] [CrossRef] [PubMed]
- Henegar, C.E.; Eudy, A.M.; Kharat, V.; Hill, D.D.; Bennett, D.; Haight, B. Progressive multifocal leukoencephalopathy in patients with systemic lupus erythematosus: A systematic literature review. Lupus 2016, 25, 617–626. [Google Scholar] [CrossRef]
- Svensson, P.A.; Larsson, E.M. Infratentorial progressive multifocal leucoencephalopathy (PML) in a patient with SLE (2008: 4b). Eur. Radiol. 2008, 18, 1526–1528. [Google Scholar] [CrossRef]
- Zhong, M.; Kempster, P.A.; Phan, T.G. John Cunningham virus granule cell neuronopathy in a mildly immunosuppressed patient with systemic lupus erythematosus. Intern. Med. J. 2019, 49, 804–805. [Google Scholar] [CrossRef]
- Bossolasco, S.; Calori, G.; Moretti, F.; Boschini, A.; Bertelli, D.; Mena, M.; Gerevini, S.; Bestetti, A.; Pedale, R.; Sala, S.; et al. Prognostic significance of JC virus DNA levels in cerebrospinal fluid of patients with HIV-associated progressive multifocal leukoencephalopathy. Clin. Infect. Dis. 2005, 40, 738–744. [Google Scholar] [CrossRef]
- Dong-Si, T.; Richman, S.; Wattjes, M.P.; Wenten, M.; Gheuens, S.; Philip, J.; Datta, S.; McIninch, J.; Bozic, C.; Bloomgren, G.; et al. Outcome and survival of asymptomatic PML in natalizumab-treated MS patients. Ann. Clin. Transl. Neurol. 2014, 1, 755–764. [Google Scholar] [CrossRef]
- Clifford, D.B.; Nath, A.; Cinque, P.; Brew, B.J.; Zivadinov, R.; Gorelik, L.; Zhao, Z.; Duda, P. A study of mefloquine treatment for progressive multifocal leukoencephalopathy: Results and exploration of predictors of PML outcomes. J. Neurovirol. 2013, 19, 351–358. [Google Scholar] [CrossRef] [PubMed]



| Age/Sex | Past History Other than SLE | Steroid (mg/day) | Immunosuppressant | Specimen/JCV Copy Number (Copies/mL) | Treatment | JCV-DNA Copy Number Trends | Follow-up Period/Prognosis | References | ||
|---|---|---|---|---|---|---|---|---|---|---|
| Meflo- quine | Mirtaz- apine | Other | ||||||||
| 50/F | Lymphoma | PSL/5 | MMF, RIT, Bendamustine | CSF, brain biopsy | + | + | None | N.A. | 5 m/dead | Sakuraba [19] | 
| 68/M | None | N.A. | TAC, MTX | CSF | + | + | None | Neg/6 m | 9 m/alive | Hamaguchi [16] | 
| 60/F | None | PSL/12 | MTX | CSF/67,000 | − | − | N.A. | N.A. | 3 m/dead | Zhong [38] | 
| 27/F | RA | PSL/10–20 | ETN, TOC, RIT, MTX | CSF | + | − | DFPP, Paroxetine | Neg/4 m | 12 m/alive | Cheng [14] | 
| 34/F | None | Deflazacort/6 | AZA | CSF/700 | + | + | CDV, Ara-C | Increased/6 m | 12 m /dead | Berntsson [12] | 
| 32/F | HPS | N.A. | CPA, AZA, MTX, RIT, Thalidomide | CSF | − | − | CDV | N.A. | N.A. | Brandão [13] | 
| 23/F | RA | PSL/10–20 | Hydroxychloroquine, ETN | CSF/28,600 | − | − | Ara-C, PE | N.A. | N.A./dead | Graff-Radford [15] | 
| 51/M | N.A. | N.A. | N.A. | Biopsy | N.A. | N.A. | N.A. | N.A. | 36 m/alive | Svensson [37] | 
| 36/F | None | PSL N.A. | CYA | CSF | − | − | CDV | Neg/74 days | 7 m/dead | Salmaggi [20] | 
| 21/F | None | PSL/30 | None | Autopsy | − | − | Interferon | N.A. | 23 m/dead | Kinoshita [18] | 
| 55/F | None | PSL/15 | None | Biopsy | − | − | None | N.A. | 3 m/dead | Jones [17] | 
| 57/F | None | PSL/5 | MMF | CSF/15,8700 | + | + | None | Neg/26 m | 27 m/alive | Our case | 
| Disclaimer/Publisher’s Note: The statements, opinions and data contained in all publications are solely those of the individual author(s) and contributor(s) and not of MDPI and/or the editor(s). MDPI and/or the editor(s) disclaim responsibility for any injury to people or property resulting from any ideas, methods, instructions or products referred to in the content. | 
© 2023 by the authors. Licensee MDPI, Basel, Switzerland. This article is an open access article distributed under the terms and conditions of the Creative Commons Attribution (CC BY) license (https://creativecommons.org/licenses/by/4.0/).
Share and Cite
Akimoto, T.; Hara, M.; Hirose, S.; Nakamichi, K.; Nakajima, H. Cerebellar Progressive Multifocal Leukoencephalopathy Mimicking Anti-Yo-Antibody-Associated Rapidly Progressive Cerebellar Syndrome. Neurol. Int. 2023, 15, 917-925. https://doi.org/10.3390/neurolint15030059
Akimoto T, Hara M, Hirose S, Nakamichi K, Nakajima H. Cerebellar Progressive Multifocal Leukoencephalopathy Mimicking Anti-Yo-Antibody-Associated Rapidly Progressive Cerebellar Syndrome. Neurology International. 2023; 15(3):917-925. https://doi.org/10.3390/neurolint15030059
Chicago/Turabian StyleAkimoto, Takayoshi, Makoto Hara, Satoshi Hirose, Kazuo Nakamichi, and Hideto Nakajima. 2023. "Cerebellar Progressive Multifocal Leukoencephalopathy Mimicking Anti-Yo-Antibody-Associated Rapidly Progressive Cerebellar Syndrome" Neurology International 15, no. 3: 917-925. https://doi.org/10.3390/neurolint15030059
APA StyleAkimoto, T., Hara, M., Hirose, S., Nakamichi, K., & Nakajima, H. (2023). Cerebellar Progressive Multifocal Leukoencephalopathy Mimicking Anti-Yo-Antibody-Associated Rapidly Progressive Cerebellar Syndrome. Neurology International, 15(3), 917-925. https://doi.org/10.3390/neurolint15030059
 
        


 
       