Next Article in Journal
A Patient with Erdheim-Chester Disease Limited to Central Nervous System
Next Article in Special Issue
The Forward and Lateral Tilt Angle of the Neck and Trunk Measured by Three-Dimensional Gait and Motion Analysis as a Candidate for a Severity Index in Patients with Parkinson’s Disease
Previous Article in Journal
Anatomical Variations of the Median Nerve: A Cadaveric Study
 
 
Font Type:
Arial Georgia Verdana
Font Size:
Aa Aa Aa
Line Spacing:
Column Width:
Background:
Interesting Images

Development of Parkinsonism in a Patient with Central Pontine Myelinolysis

1
Unit of Clinical Neurology, Department of Neuroscience and Rehabilitation, University of Ferrara, 44 121 Ferrara, Italy
2
Department of Clinical Neuroscience, Karolinska Institutet, 171 77 Stockholm, Sweden
*
Author to whom correspondence should be addressed.
Neurol. Int. 2022, 14(3), 673-677; https://doi.org/10.3390/neurolint14030055
Submission received: 29 July 2022 / Revised: 18 August 2022 / Accepted: 23 August 2022 / Published: 25 August 2022
(This article belongs to the Special Issue Advances in Parkinson’s Disease)

Abstract

:
Osmotic demyelination syndrome (ODS) is caused by damage to the pons myelin sheath and nerve cells. Although the pathophysiological mechanism responsible for the damage is not yet fully understood, it is currently believed that osmotic-type changes (especially if they are massive and too rapid) cause oedema that leads to compression and, subsequently, demyelination of white matter fibres. It generally manifests with acute paraparesis/tetraparesis, dysphagia, dysarthria, diplopia, and loss of consciousness, as well as hallucinations, spasms, and other neurological symptoms related to brainstem damage. In extreme cases, the locked-in syndrome may also appear. Of note, in some cases an association between osmotic demyelinating damage and the onset of movement disorders has been documented and, although the pathophysiology is still unknown, a correlation has been postulated between ODS and movement disorders. Here, we present a patient with ODS who developed parkinsonism, thus supporting the hypothesis of a correlation between these pathological events.

The term osmotic demyelination syndrome (ODS) encompasses disorders characterised by myelin disruption in various encephalic regions and, currently, it comprises central pontine myelinolysis (CPM) and extra-pontine myelinolysis (EPM) [1]; after the first report by Adams and Victor (1959) [2], who described patients with myelinolysis of pontine fibres, many other reports were published postulating that other regions of the brain could be involved with the possible development of movement disorders. Although it can arise asymptomatically, it often results in acute encephalopathy, flaccid or spastic tetraparesis, brainstem disorders, death, and movement disorders [3]. In fact, some cases of ODS associated with chorea, dystonia, ataxia, and catatonia have been observed, although the evidence is still limited [3]. These findings were summarised in a review [4,5]. Although its pathophysiology is not fully understood, among the best-known risk factors are chronic alcoholism, liver transplantation, rapid and massive correction of hyponatremia, malnutrition, and hypokalaemia [3]. Among the disorders associated with ODS, parkinsonism, i.e., a clinical picture characterised by rest tremor, rigidity, bradykinesia, and balance disturbances, can also occur in rare cases. This condition is clinically similar to Parkinson’s disease (PD), but is provoked by numerous and variable causes, whereas PD is a progressive neurodegenerative disease [5].
We aim to update the description of a patient monitored at the Neurology Department of Ferrara University that was published in 2010 [6]. He was a 69-year-old Caucasian male, with a long personal history of type II diabetes, hypertension, hypercholesterolemia, peripheral arterial obstruction, and depression (with a component of hypochondria) who worked in contact with glues and cement for about 40 years. The family history reported no neurological diseases. In 2007, the patient was referred to our centre complaining about severe headaches described as a “daily and increasingly strange sensation of pain in the head”, which was present every day and which had increased over time (started about 10 years earlier). The pharmacological medical history showed the use of clomipramine (for about 10 years), lorazepam, fluoxetine, delorazepam, oxazepam, and olanzapine (for about 1 year). Cognitive function, cranial nerve, and upper and lower limb functions were normal on neurological examination. Brain MRI disclosed a lesion in the pons compatible with myelinolysis. The actual reason why he presented this lesion was not clear, but in the case report, we discussed the possible role in the etiopathogenesis of his chronic use of anti-depressive drugs and the exposure to glue and chemical agents for 40 years [6]. Moreover, MRI showed signs of vascular encephalopathy, probably associated with his long history of hypertension and type II diabetes. After 4 years, at the age of 71, asymmetric signs of parkinsonism (rigidity and bradykinesia in the left hemibody) were found during clinical evaluation, so therapy with levodopa/carbidopa was started and the symptoms improved. A DaT-Scan SPECT revealed a moderate asymmetric reduction of pre-synaptic dopamine transporters in the right striatum (Figure 1).
In the years to follow, the symptoms slowly worsened, and at the last evaluation in 2019, during an ON state, the neurological assessment showed a hypomimic patient with stuttering and mild–moderate bilateral bradykinesia and rigidity, both more prominent in the left hemibody. No rest tremor was detected. The only way he was able to stand up from a chair was with the help of his arms; he had a moderate stooped posture without postural reflex impairment and his gait was asymmetric (his left foot did not clear the floor while walking). The patient was still independent in activities of daily living (ADLs, score 6/6) and almost independent in instrumental activities of daily living (IADLs, score 7/8). The Mini Mental State Examination (MMSE) score was 24.7. He also complained about urinary urgency. Of note, the patient had no sensory disturbances, either subjective or objective. Anosmia, carefully investigated by means of the Sniffin’ Sticks test (Burghardt®, Pinneberg, Germany), was absent. Moreover, a polysomnographic investigation performed to check for REM sleep behavioural disorder (RBD) or other sleep disturbances ruled out such problems, and the patient did not complain of daytime sleepiness. Finally, myocardial scintigraphy (123I-MIBG) was normal, documenting the absence of cardiac adrenergic denervation. We managed to obtain satisfactory motor symptom control with a maximum dose of levodopa/carbidopa of 150 mg tid.
Movement disorders as a consequence of ODS have not been described in many case reports; in several of the patients examined, MRI could detect a lesion compatible with myelinolysis in various sites of the basal ganglia, such as the striatum and even in substantia nigra [5]. In other patients, however, cerebral lesions compatible with myelinolysis were only evident in the pons, and they still had movement disorders, with parkinsonism as the most common manifestation. Symptoms usually manifest acutely, but also late presentations with a chronic and progressive course have been described, both for dystonia and parkinsonism [5,7]. We were not able to precisely date the myelinolysis of the pons in our patient, as the only symptom he manifested was an intense daily headache for many years before he underwent a first MRI, but we can affirm that the onset of parkinsonism was surely delayed with respect to the pontine lesion compatible with myelinolysis.
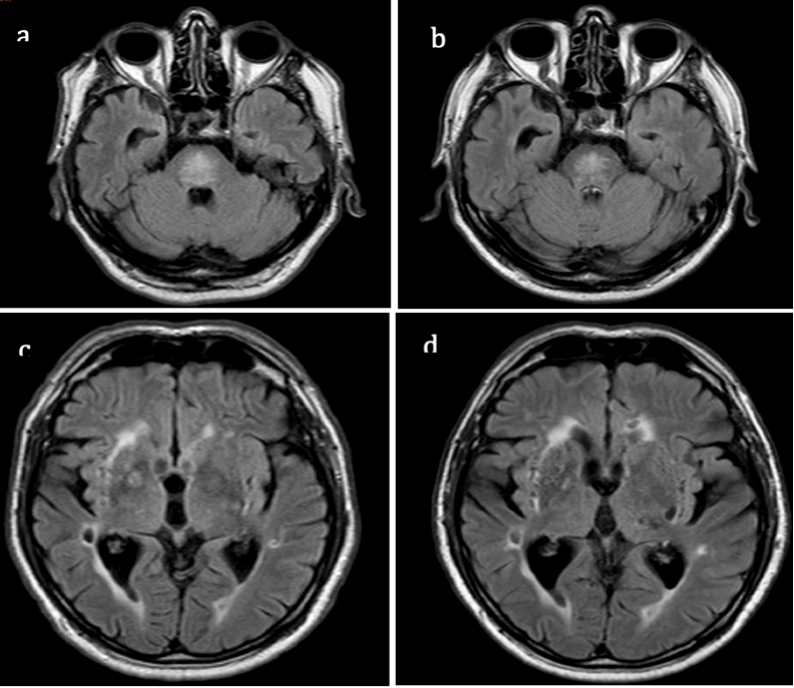
We cannot entirely exclude a neurodegenerative origin of the parkinsonian features observed or vascular parkinsonism. The latter is not consistent with our findings because of the slow progression of the same syndrome which is asymmetric parkinsonism without additional signs. Moreover, the lesions in deep nuclei remained stable over time (Figure 2). ODS and idiopathic Parkinson’s disease (PD) could be independently present in our patient, but it has been postulated that pontine myelinolysis may act as a trigger of a neurodegenerative process [7]; this may be the case for our patient. Of note, the patient had no other non-motor symptoms typical of PD, i.e., sleep disturbances and sensory disturbances, such as reduced olfactory perception, a typical and early symptom of this disease [8,9]. Furthermore, the 123I-MIBG documented findings are more likely compatible with parkinsonism than PD [10]. These data seem to make the hypothesis of a clinical case of parkinsonism, as opposed to one of PD, more plausible. Moreover, the late and progressive evolution could be linked to abnormal neuronal and synaptic network rearrangements associated with retrograde degeneration [5].
We have no knowledge of other cases of parkinsonism associated with an otherwise asymptomatic ODS reported in the literature so far. We believe that our findings are intriguing, and confirm that the connection between ODS and late-onset movement disorders is far from being comprehensively understood. However, this case report could represent further possible evidence to support the correlation (already hypothesised in the literature) between ODS and late-onset movement disorders.

Author Contributions

E.G. coordinated clinical investigations, critically reviewed the manuscript, implemented some changes to the argument, and approved the final manuscript as submitted. A.A. drafted the initial manuscript and approved the final drafting. V.R., P.F., V.G. and N.G.A. followed the clinical pathway of the patient and collected the patient’s data. All authors have read and agreed to the published version of the manuscript.

Funding

This work was fully supported by the Department of Neuroscience and Rehabilitation, University of Ferrara.

Institutional Review Board Statement

Ethical review and approval were waived for this study, due to it being a retrospective case report, which did not impact the management of the patient.

Informed Consent Statement

Written informed consent has been obtained from the patient to publish this paper.

Data Availability Statement

Not applicable.

Acknowledgments

The authors are grateful to the patient for participating in this report. The authors thank Eva Sjolin for her help in revising the translation of the manuscript.

Conflicts of Interest

The authors declare no conflict of interest.

References

  1. Kallakatta, R.N.; Radhakrishnan, A.; Fayaz, R.K.; Unnikrishnan, J.P.; Kesavadas, C.; Sarma, S.P. Clinical and functional outcome and factors predicting prognosis in osmotic demyelination syndrome (central pontine and/or extrapontine myelinolysis) in 25 patients. J. Neurol. Neurosurg. Psychiatry 2011, 82, 326–331. [Google Scholar] [CrossRef] [PubMed]
  2. Adams, R.D.; Victor, M.; Mancall, E.L. Central pontine myelinolysis. Arch. Neurol. Psychiatry 1959, 81, 154–172. [Google Scholar] [CrossRef]
  3. Bose, P. Central pontine myelinolysis and the osmotic demyelination syndromes: An open and shut case? Acta Neurol. Belg. 2021, 121, 849–858. [Google Scholar] [CrossRef] [PubMed]
  4. Lambeck, J.; Hieber, M.; Dreßing, A.; Niesen, W.D. Central Pontine Myelinosis and Osmotic Demyelination Syndrome. Dtsch Arztebl. Int. 2019, 116, 600–606. [Google Scholar] [CrossRef] [PubMed]
  5. De Souza, A. Movement disorders and the osmotic demyelination syndrome. Parkinsonism Relat. Disord. 2013, 19, 709–713. [Google Scholar] [CrossRef] [PubMed]
  6. Lupato, A.; Fazio, P.; Fainardi, E.; Cesnik, E.; Casetta, I.; Granieri, E. A case of asymptomatic pontine myelinolysis. Neurol. Sci. 2010, 31, 361–364. [Google Scholar] [CrossRef] [PubMed]
  7. Shamin, A.; Siddiqui, B.K.; Josephs, K.A. The corticobasal syndrome triggered by central pontine myelinolysis. Eur. J. Neurol. 2006, 13, 82–84. [Google Scholar] [CrossRef] [PubMed]
  8. Zesiewicz, T.A. Parkinson Disease. Continuum 2019, 25, 896–918. [Google Scholar] [CrossRef] [PubMed]
  9. Fang, T.C.; Chang, M.H.; Yang, C.P.; Chen, Y.H.; Lin, C.H. The Association of Olfactory Dysfunction With Depression, Cognition, and Disease Severity in Parkinson’s Disease. Front. Neurol. 2021, 12, 779712. [Google Scholar] [CrossRef] [PubMed]
  10. Golan, H.; Volkov, O.; Shalom, E. Nuclear imaging in Parkinson’s disease: The past, the present, and the future. J. Neurol. Sci. 2022, 436, 120220. [Google Scholar] [CrossRef] [PubMed]
Figure 1. DaT-Scan SPECT showing asymmetric reduction of dopamine transporters in right striatum.
Figure 1. DaT-Scan SPECT showing asymmetric reduction of dopamine transporters in right striatum.
Neurolint 14 00055 g001
Figure 2. MRI fluid-attenuated inversion recovery (FLAIR) in 2007 (a,c) and in 2014 (b,d). During these years, there was a reduction in the volume of pontine myelinolysis (a,b); the hyperintensities in deep white matter and in deep nuclei are similar (c,d).
Figure 2. MRI fluid-attenuated inversion recovery (FLAIR) in 2007 (a,c) and in 2014 (b,d). During these years, there was a reduction in the volume of pontine myelinolysis (a,b); the hyperintensities in deep white matter and in deep nuclei are similar (c,d).
Neurolint 14 00055 g002
Publisher’s Note: MDPI stays neutral with regard to jurisdictional claims in published maps and institutional affiliations.

Share and Cite

MDPI and ACS Style

Antonioni, A.; Rispoli, V.; Fazio, P.; Golfrè Andreasi, N.; Govoni, V.; Granieri, E. Development of Parkinsonism in a Patient with Central Pontine Myelinolysis. Neurol. Int. 2022, 14, 673-677. https://doi.org/10.3390/neurolint14030055

AMA Style

Antonioni A, Rispoli V, Fazio P, Golfrè Andreasi N, Govoni V, Granieri E. Development of Parkinsonism in a Patient with Central Pontine Myelinolysis. Neurology International. 2022; 14(3):673-677. https://doi.org/10.3390/neurolint14030055

Chicago/Turabian Style

Antonioni, Annibale, Vittorio Rispoli, Patrik Fazio, Nico Golfrè Andreasi, Vittorio Govoni, and Enrico Granieri. 2022. "Development of Parkinsonism in a Patient with Central Pontine Myelinolysis" Neurology International 14, no. 3: 673-677. https://doi.org/10.3390/neurolint14030055

APA Style

Antonioni, A., Rispoli, V., Fazio, P., Golfrè Andreasi, N., Govoni, V., & Granieri, E. (2022). Development of Parkinsonism in a Patient with Central Pontine Myelinolysis. Neurology International, 14(3), 673-677. https://doi.org/10.3390/neurolint14030055

Article Metrics

Back to TopTop