The Activity of FDA-Approved Prodrug Isavuconazonium Sulfate and Its Major Metabolite Isavuconazole Against Naegleria fowleri
Abstract
1. Introduction
2. Materials and Methods
2.1. N. fowleri Cell Culture
2.2. Mammalian Epithelial Cell Culture
2.3. In Vitro Activity of Isavuconazonium Sulfate and Isavuconazole Against Different Genotypes of N. fowleri
2.4. Evaluation of Mammalian Cytotoxicity of Isavuconazonium and Isavuconazole
2.5. Effect of Isavuconazonium and Isavuconazole on Growth Inhibition at Different Time Points
2.6. Effect of Combination of Isavuconazonium or Isavuconazole and Amphotericin B on N. fowleri
2.7. Microscopic Evaluation of Combining Isavuconazonium or Isavuconazole with Amphotericin B
2.8. Viability Scoring of Trophozoites Treated with a Combination of Isavuconazonium or Isavuconazole and Amphotericin B at a Synergistic Ratio
2.9. Evaluation of Mammalian Cytotoxicity of Combination of Isavuconazonium or Isavuconazole with Amphotericin B
3. Results
3.1. In Vitro Activity of Isavuconazonium Sulfate and Isavuconazole Against Different Genotypes of N. fowleri and Two Mammalian Cells
3.2. Effect of Isavuconazonium and Isavuconazole on Growth Inhibition at Different Time Points
3.3. Effect of Combination of Isavuconazonium or Isavuconazole and Amphotericin B on N. fowleri
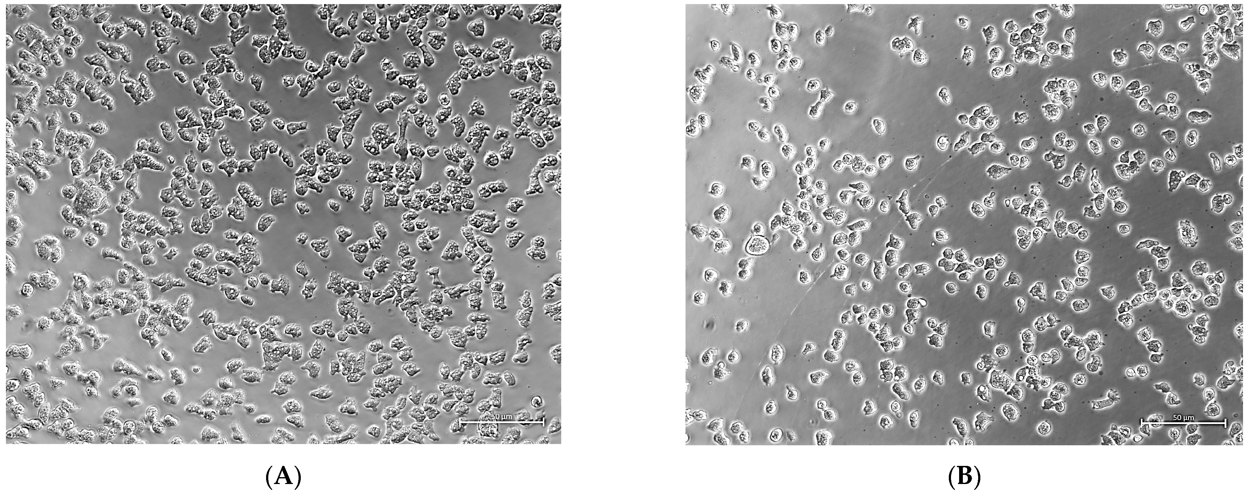
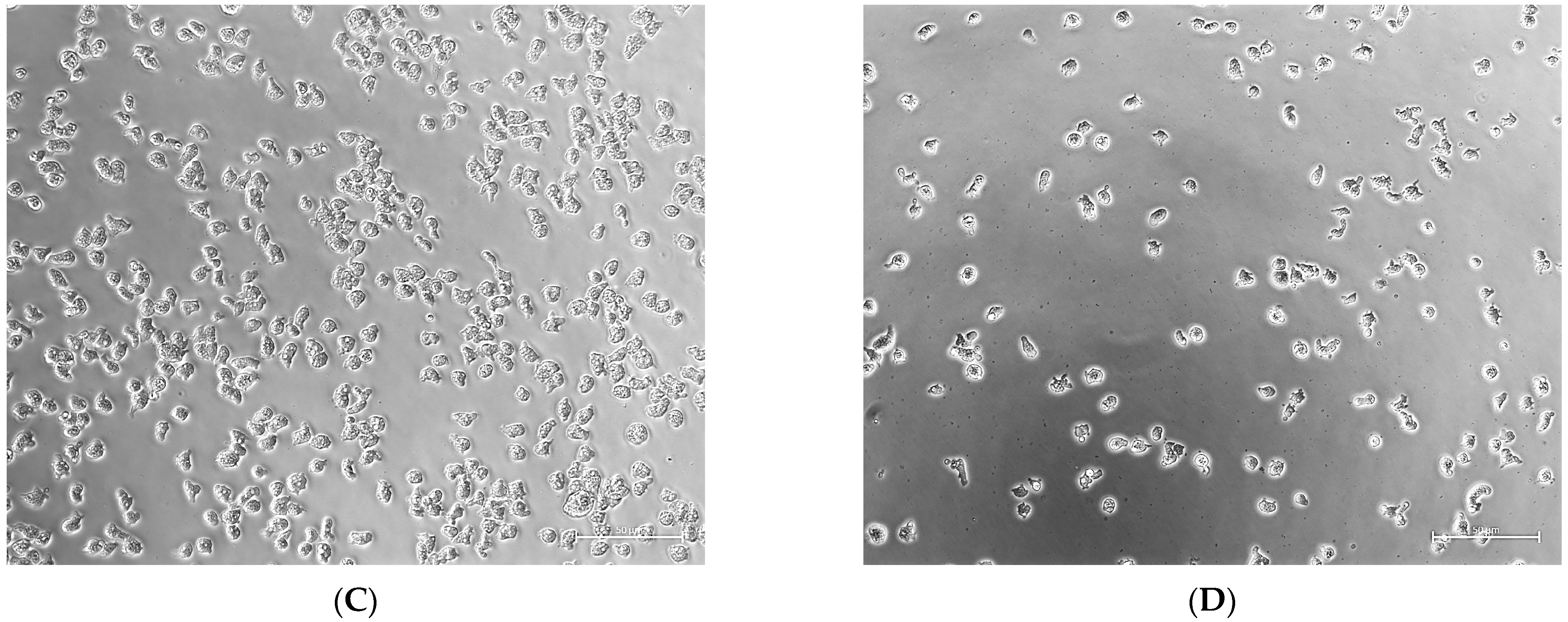
3.4. Microscopic Evaluation of Combining Isavuconazonium or Isavuconazole with Amphotericin B
3.5. Viability Scoring of Trophozoites Treated with a Combination of Isavuconazonium or Isavuconazole and Amphotericin B at a Synergistic Ratio
3.6. Evaluation of Mammalian Cytotoxicity of Combination of Isavuconazonium or Isavuconazole with Amphotericin B
4. Discussion
Supplementary Materials
Author Contributions
Funding
Institutional Review Board Statement
Informed Consent Statement
Data Availability Statement
Acknowledgments
Conflicts of Interest
Abbreviations
| EC50 | 50% Effective Concentration |
| CC50 | 50% Cytotoxic Concentration |
| HEK | Human Embryonic Kidney |
References
- Martinez, A.J. Free-Living Amebas: Naegleria, Acanthamoeba and Balamuthia. In Medical Microbiology, 4th ed.; Baron, S., Ed.; The University of Texas Medical Branch at Galveston: Galveston, TX, USA, 1996. [Google Scholar]
- Marciano-Cabral, F. Biology of Naegleria spp. Microbiol. Rev. 1988, 52, 114–133. [Google Scholar] [CrossRef]
- Alanazi, A.; Younas, S.; Ejaz, H.; Alruwaili, M.; Alruwaili, Y.; Mazhari, B.B.Z.; Atif, M.; Junaid, K. Advancing the understanding of Naegleria fowleri: Global epidemiology, phylogenetic analysis, and strategies to combat a deadly pathogen. J. Infect. Public Health 2025, 18, 102690. [Google Scholar] [CrossRef]
- Yoder, J.S.; Eddy, B.A.; Visvesvara, G.S.; Capewell, L.; Beach, M.J. The epidemiology of primary amoebic meningoencephalitis in the USA, 1962–2008. Epidemiol. Infect. 2010, 138, 968–975. [Google Scholar] [CrossRef]
- Capewell, L.G.; Harris, A.M.; Yoder, J.S.; Cope, J.R.; Eddy, B.A.; Roy, S.L.; Visvesvara, G.S.; Fox, L.M.; Beach, M.J. Diagnosis, Clinical Course, and Treatment of Primary Amoebic Meningoencephalitis in the United States, 1937–2013. J. Pediatr. Infect. Dis. Soc. 2015, 4, e68–e75. [Google Scholar] [CrossRef]
- Hall, A.D.; Kumar, J.E.; Golba, C.E.; Luckett, K.M.; Bryant, W.K. Primary amebic meningoencephalitis: A review of Naegleria fowleri and analysis of successfully treated cases. Parasitol. Res. 2024, 123, 84. [Google Scholar] [CrossRef]
- Grace, E.; Asbill, S.; Virga, K. Naegleria fowleri: Pathogenesis, diagnosis, and treatment options. Antimicrob. Agents Chemother. 2015, 59, 6677–6681. [Google Scholar] [CrossRef] [PubMed]
- Siddiqui, R.; Ali, I.K.M.; Cope, J.R.; Khan, N.A. Biology and pathogenesis of Naegleria fowleri. Acta Trop. 2016, 164, 375–394. [Google Scholar] [CrossRef]
- Taravaud, A.; Fechtali-Moute, Z.; Loiseau, P.M.; Pomel, S. Drugs used for the treatment of cerebral and disseminated infections caused by free-living amoebae. Clin. Transl. Sci. 2021, 14, 791–805. [Google Scholar] [CrossRef] [PubMed]
- Deray, G. Amphotericin B nephrotoxicity. J. Antimicrob. Chemother. 2002, 49, 37–41. [Google Scholar] [CrossRef] [PubMed]
- Debnath, A.; Calvet, C.M.; Jennings, G.; Zhou, W.; Aksenov, A.; Luth, M.R.; Abagyan, R.; Nes, W.D.; McKerrow, J.H.; Podust, L.M. CYP51 is an essential drug target for the treatment of primary amoebic meningoencephalitis (PAM). PLoS Negl. Trop. Dis. 2017, 11, e0006104. [Google Scholar] [CrossRef]
- Murrell, D.; Bossaer, J.B.; Carico, R.; Harirforoosh, S.; Cluck, D. Isavuconazonium sulfate: A triazole prodrug for invasive fungal infections. Int. J. Pharm. Pract. 2017, 25, 18–30. [Google Scholar] [CrossRef]
- Debnath, A.; Nelson, A.T.; Silva-Olivares, A.; Shibayama, M.; Siegel, D.; McKerrow, J.H. In Vitro Efficacy of Ebselen and BAY 11-7082 Against Naegleria fowleri. Front. Microbiol. 2018, 9, 414. [Google Scholar] [CrossRef]
- Shing, B.; Balen, M.; Fenical, W.; Debnath, A. Development of a Machine Learning-Based Cysticidal Assay and Identification of an Amebicidal and Cysticidal Marine Microbial Metabolite against Acanthamoeba. Microbiol. Spectr. 2022, 10, e0007722. [Google Scholar] [CrossRef]
- Plano, D.; Rudolph, N.; Saal, C.; Abrahamsson, B.; Cristofoletti, R.; Kambayashi, A.; Langguth, P.; Mehta, M.; Parr, A.; Polli, J.E.; et al. Biowaiver Monograph for Immediate-Release Solid Oral Dosage Forms: Isavuconazonium Sulfate. J. Pharm. Sci. 2024, 113, 386–395. [Google Scholar] [CrossRef]
- Ol’khovich, M.; Sharapova, A.; Blokhina, S.; Perlovich, G. Isavuconazole: Thermodynamic Evaluation of Processes Sublimation, Dissolution and Partition in Pharmaceutically Relevant Media. Molecules 2021, 26, 4759. [Google Scholar] [CrossRef]
- Debnath, A.; Tunac, J.B.; Galindo-Gomez, S.; Silva-Olivares, A.; Shibayama, M.; McKerrow, J.H. Corifungin, a new drug lead against Naegleria, identified from a high-throughput screen. Antimicrob. Agents Chemother. 2012, 56, 5450–5457. [Google Scholar] [CrossRef] [PubMed]
- Murakami, T. Absorption sites of orally administered drugs in the small intestine. Expert Opin. Drug Discov. 2017, 12, 1219–1232. [Google Scholar] [CrossRef] [PubMed]
- Miners, J.O.; Yang, X.; Knights, K.M.; Zhang, L. The Role of the Kidney in Drug Elimination: Transport, Metabolism, and the Impact of Kidney Disease on Drug Clearance. Clin. Pharmacol. Ther. 2017, 102, 436–449. [Google Scholar] [CrossRef] [PubMed]
- Zhou, W.; Debnath, A.; Jennings, G.; Hahn, H.J.; Vanderloop, B.H.; Chaudhuri, M.; Nes, W.D.; Podust, L.M. Enzymatic chokepoints and synergistic drug targets in the sterol biosynthesis pathway of Naegleria fowleri. PLoS Pathog. 2018, 14, e1007245. [Google Scholar] [CrossRef]
- Chou, T.C.; Talalay, P. Quantitative analysis of dose-effect relationships: The combined effects of multiple drugs or enzyme inhibitors. Adv. Enzyme Regul. 1984, 22, 27–55. [Google Scholar]
- Yuan, A.; Fong, H.; Nguyen, J.V.; Nguyen, S.; Norman, P.; Cullum, R.; Fenical, W.; Debnath, A. High-Throughput Screen of Microbial Metabolites Identifies F(1)F(O) ATP Synthase Inhibitors as New Leads for Naegleria fowleri Infection. ACS Infect. Dis. 2023, 9, 2622–2631. [Google Scholar] [CrossRef]
- Gharpure, R.; Bliton, J.; Goodman, A.; Ali, I.K.M.; Yoder, J.; Cope, J.R. Epidemiology and Clinical Characteristics of Primary Amebic Meningoencephalitis Caused by Naegleria fowleri: A Global Review. Clin. Infect. Dis. 2021, 73, e19–e27. [Google Scholar] [CrossRef]
- Sharma, V.; Shing, B.; Hernandez-Alvarez, L.; Debnath, A.; Podust, L.M. Domain-Swap Dimerization of Acanthamoeba castellanii CYP51 and a Unique Mechanism of Inactivation by Isavuconazole. Mol. Pharmacol. 2020, 98, 770–780. [Google Scholar] [CrossRef]
- Shi, D.; Chahal, K.K.; Oto, P.; Nothias, L.F.; Debnath, A.; McKerrow, J.H.; Podust, L.M.; Abagyan, R. Identification of Four Amoebicidal Nontoxic Compounds by a Molecular Docking Screen of Naegleria fowleri Sterol Delta8-Delta7-Isomerase and Phenotypic Assays. ACS Infect. Dis. 2019, 5, 2029–2038. [Google Scholar] [CrossRef] [PubMed]
- Shing, B.; Singh, S.; Podust, L.M.; McKerrow, J.H.; Debnath, A. The Antifungal Drug Isavuconazole Is both Amebicidal and Cysticidal against Acanthamoeba castellanii. Antimicrob. Agents Chemother. 2020, 64, e02223-19. [Google Scholar] [CrossRef] [PubMed]
- Lee, J.W.; Amantea, M.A.; Francis, P.A.; Navarro, E.E.; Bacher, J.; Pizzo, P.A.; Walsh, T.J. Pharmacokinetics and safety of a unilamellar liposomal formulation of amphotericin B (AmBisome) in rabbits. Antimicrob. Agents Chemother. 1994, 38, 713–718. [Google Scholar] [CrossRef]
- Groll, A.H.; Giri, N.; Petraitis, V.; Petraitiene, R.; Candelario, M.; Bacher, J.S.; Piscitelli, S.C.; Walsh, T.J. Comparative efficacy and distribution of lipid formulations of amphotericin B in experimental Candida albicans infection of the central nervous system. J. Infect. Dis. 2000, 182, 274–282. [Google Scholar] [CrossRef]
- Perfect, J.R.; Durack, D.T. Penetration of imidazoles and triazoles into cerebrospinal fluid of rabbits. J. Antimicrob. Chemother. 1985, 16, 81–86. [Google Scholar] [CrossRef] [PubMed]
- Mellinghoff, I.K.; Winston, D.J.; Mukwaya, G.; Schiller, G.J. Treatment of Scedosporium apiospermum brain abscesses with posaconazole. Clin. Infect. Dis. 2002, 34, 1648–1650. [Google Scholar] [CrossRef]
- Pitisuttithum, P.; Negroni, R.; Graybill, J.R.; Bustamante, B.; Pappas, P.; Chapman, S.; Hare, R.S.; Hardalo, C.J. Activity of posaconazole in the treatment of central nervous system fungal infections. J. Antimicrob. Chemother. 2005, 56, 745–755. [Google Scholar] [CrossRef]
- Al-Abdely, H.M.; Alkhunaizi, A.M.; Al-Tawfiq, J.A.; Hassounah, M.; Rinaldi, M.G.; Sutton, D.A. Successful therapy of cerebral phaeohyphomycosis due to Ramichloridium mackenziei with the new triazole posaconazole. Med. Mycol. 2005, 43, 91–95. [Google Scholar] [CrossRef] [PubMed]
- Colon, B.L.; Rice, C.A.; Guy, R.K.; Kyle, D.E. Phenotypic screens reveal posaconazole as a rapidly acting amebicidal combination partner for treatment of primary amoebic meningoencephalitis. J. Infect. Dis. 2019, 219, 1095–1103. [Google Scholar] [CrossRef] [PubMed]
- Lee, A.; Prideaux, B.; Lee, M.H.; Zimmerman, M.; Dolgov, E.; Perlin, D.S.; Zhao, Y. Tissue Distribution and Penetration of Isavuconazole at the Site of Infection in Experimental Invasive Aspergillosis in Mice with Underlying Chronic Granulomatous Disease. Antimicrob. Agents Chemother. 2019, 63, e00524-19. [Google Scholar] [CrossRef]
- Woolley, D.W. Some New Aspects of the Relationship of Chemical Structure to Biological Activity. Science 1944, 100, 579–583. [Google Scholar] [CrossRef]
- Vargas-Zepeda, J.; Gomez-Alcala, A.V.; Vasquez-Morales, J.A.; Licea-Amaya, L.; De Jonckheere, J.F.; Lares-Villa, F. Successful treatment of Naegleria fowleri meningoencephalitis by using intravenous amphotericin B, fluconazole and rifampicin. Arch. Med. Res. 2005, 36, 83–86. [Google Scholar] [CrossRef]
- Redmond, A.; Dancer, C.; Woods, M.L. Fungal infections of the central nervous system: A review of fungal pathogens and treatment. Neurol. India 2007, 55, 251–259. [Google Scholar] [CrossRef] [PubMed]
- Kethireddy, S.; Andes, D. CNS pharmacokinetics of antifungal agents. Expert Opin. Drug Metab. Toxicol. 2007, 3, 573–581. [Google Scholar] [CrossRef]
- Bartroli, J.; Turmo, E.; Alguero, M.; Boncompte, E.; Vericat, M.L.; Garcia-Rafanell, J.; Forn, J. Synthesis and antifungal activity of new azole derivatives containing an N-acylmorpholine ring. J. Med. Chem. 1995, 38, 3918–3932. [Google Scholar] [CrossRef]
- Rotstein, D.M.; Kertesz, D.J.; Walker, K.A.; Swinney, D.C. Stereoisomers of ketoconazole: Preparation and biological activity. J. Med. Chem. 1992, 35, 2818–2825. [Google Scholar] [CrossRef]
- Tasaka, A.; Kitazaki, T.; Tsuchimori, N.; Matsushita, Y.; Hayashi, R.; Okonogi, K.; Itoh, K. Optically active antifungal azoles. VII. Synthesis and antifungal activity of stereoisomers of 2-[(1R,2R)-2-(2, 4-difluorophenyl)-2-hydroxy-1-methyl-3-(1H-1,2,4-triazol-1-yl) propyl]-4-[4-(2,2,3,3-tetrafluoropropoxy)phenyl]-3(2H,4H)-1,2,4-triazo lone (TAK-187). Chem. Pharm. Bull. 1997, 45, 321–326. [Google Scholar] [CrossRef][Green Version]
- Rybak, J.M.; Marx, K.R.; Nishimoto, A.T.; Rogers, P.D. Isavuconazole: Pharmacology, Pharmacodynamics, and Current Clinical Experience with a New Triazole Antifungal Agent. Pharmacotherapy 2015, 35, 1037–1051. [Google Scholar] [CrossRef] [PubMed]
- Dafferner, A.J.; Lushchekina, S.; Masson, P.; Xiao, G.; Schopfer, L.M.; Lockridge, O. Characterization of butyrylcholinesterase in bovine serum. Chem. Biol. Interact. 2017, 266, 17–27. [Google Scholar] [CrossRef]
- Cornely, O.A.; Bohme, A.; Schmitt-Hoffmann, A.; Ullmann, A.J. Safety and pharmacokinetics of isavuconazole as antifungal prophylaxis in acute myeloid leukemia patients with neutropenia: Results of a phase 2, dose escalation study. Antimicrob. Agents Chemother. 2015, 59, 2078–2085. [Google Scholar] [CrossRef]
- Schmitt-Hoffmann, A.; Roos, B.; Heep, M.; Schleimer, M.; Weidekamm, E.; Brown, T.; Roehrle, M.; Beglinger, C. Single-ascending-dose pharmacokinetics and safety of the novel broad-spectrum antifungal triazole BAL4815 after intravenous infusions (50, 100, and 200 milligrams) and oral administrations (100, 200, and 400 milligrams) of its prodrug, BAL8557, in healthy volunteers. Antimicrob. Agents Chemother. 2006, 50, 279–285. [Google Scholar] [CrossRef] [PubMed]
- Davis, M.R.; Chang, S.; Gaynor, P.; McCreary, E.K.; Allyn, P. Isavuconazole for treatment of refractory coccidioidal meningitis with concomitant cerebrospinal fluid and plasma therapeutic drug monitoring. Med. Mycol. 2021, 59, 939–942. [Google Scholar] [CrossRef] [PubMed]









| Inhibitor | Strain | Mean EC50 (µM) | 95% Lower CL (µM) a | 95% Upper CL (µM) |
|---|---|---|---|---|
| Isavuconazonium sulfate | KUL | 0.1 | 0.1 | 0.1 |
| Davis | 1.9 | 1.5 | 2.5 | |
| CAMP | 3.8 | 3.1 | 4.7 | |
| CDC:V1005 | 4.7 | 3.5 | 6.3 | |
| Isavuconazole | KUL | 0.1 | 0.1 | 0.1 |
| Davis | 0.5 | 0.4 | 0.6 | |
| CAMP | 0.6 | 0.5 | 0.7 | |
| CDC:V1005 | 0.6 | 0.5 | 0.8 | |
| Standards of care | ||||
| Amphotericin B [22] | KUL | 0.2 | 0.2 | 0.2 |
| Davis | 0.3 | 0.2 | 0.3 | |
| CAMP | 0.3 | 0.3 | 0.4 | |
| CDC:V1005 | 0.5 | 0.4 | 0.6 | |
| Miltefosine [22] | KUL | 54.5 | 51.4 | 57.8 |
| Davis | 58.9 | 41.3 | 83.9 | |
| CAMP | 21.8 | 19.9 | 23.8 | |
| CDC:V1005 | 15.9 | 10.3 | 24.7 |
| Inhibitor | Cells | Mean CC50 (µM) | 95% Lower CL (µM) | 95% Upper CL (µM) |
|---|---|---|---|---|
| Isavuconazonium sulfate | HEK293 | 15.9 | 13.4 | 18.7 |
| HT-29 | 39.7 | 35.7 | 44.2 | |
| Isavuconazole | HEK293 | 21.4 | 18.1 | 25.2 |
| HT-29 | 32 | 29.2 | 35.1 | |
| Amphotericin B | HEK293 | 17.4 | 15.4 | 19.7 |
| HT-29 | 6.2 | 5.1 | 7.6 |
| Isavuconazonium/Amphotericin B Ratio | % Growth Inhibition | Combination Index (CI) | Dose Reduction Index (DRI) | |
|---|---|---|---|---|
| Isavuconazonium | Amphotericin B | |||
| 2:1 | 97 | 0.4 ± 0.1 | 18.8 ± 11.8 | 3.2 ± 0.8 |
| 4:1 | 97 | 0.4 ± 0.1 | 13 ± 9.5 | 4.4 ± 1.6 |
| 8:1 | 97 | 0.4 ± 0.2 | 7 ± 4.9 | 4.7 ± 1.6 |
| Isavuconazole/ Amphotericin B Ratio | % Growth Inhibition | Combination Index (CI) | Dose Reduction Index (DRI) | |
|---|---|---|---|---|
| Isavuconazole | Amphotericin B | |||
| 2:1 | 97 | 0.3 ± 0.2 | 373.7 ± 185.1 | 4.9 ± 3 |
| 4:1 | 97 | 0.2 ± 0.1 | 252.7 ± 141.3 | 6.6 ± 4.5 |
| 8:1 | 97 | 0.2 ± 0.1 | 170.5 ± 101.2 | 8.9 ± 6.4 |
Disclaimer/Publisher’s Note: The statements, opinions and data contained in all publications are solely those of the individual author(s) and contributor(s) and not of MDPI and/or the editor(s). MDPI and/or the editor(s) disclaim responsibility for any injury to people or property resulting from any ideas, methods, instructions or products referred to in the content. |
© 2026 by the authors. Licensee MDPI, Basel, Switzerland. This article is an open access article distributed under the terms and conditions of the Creative Commons Attribution (CC BY) license.
Share and Cite
Fong, H.; Debnath, A. The Activity of FDA-Approved Prodrug Isavuconazonium Sulfate and Its Major Metabolite Isavuconazole Against Naegleria fowleri. Pharmaceutics 2026, 18, 103. https://doi.org/10.3390/pharmaceutics18010103
Fong H, Debnath A. The Activity of FDA-Approved Prodrug Isavuconazonium Sulfate and Its Major Metabolite Isavuconazole Against Naegleria fowleri. Pharmaceutics. 2026; 18(1):103. https://doi.org/10.3390/pharmaceutics18010103
Chicago/Turabian StyleFong, Hayley, and Anjan Debnath. 2026. "The Activity of FDA-Approved Prodrug Isavuconazonium Sulfate and Its Major Metabolite Isavuconazole Against Naegleria fowleri" Pharmaceutics 18, no. 1: 103. https://doi.org/10.3390/pharmaceutics18010103
APA StyleFong, H., & Debnath, A. (2026). The Activity of FDA-Approved Prodrug Isavuconazonium Sulfate and Its Major Metabolite Isavuconazole Against Naegleria fowleri. Pharmaceutics, 18(1), 103. https://doi.org/10.3390/pharmaceutics18010103

