Invasomes and Nanostructured Lipid Carriers for Targeted Delivery of Ceftazidime Combined with N-Acetylcysteine: A Novel Approach to Treat Pseudomonas aeruginosa-Induced Keratitis
Abstract
1. Introduction
2. Materials and Methods
2.1. Materials
2.2. Fourier Transform Infrared Spectroscopy (FTIR)
2.3. Design of Experiment
2.4. Preparation of CTZ-Loaded INVs
2.5. Evaluation of CTZ-Loaded INVs
2.5.1. Determination of Entrapment Efficiency
2.5.2. Determination of Particle Size, Polydispersity Index, and Zeta Potential
2.5.3. In Vitro Drug Release Study
2.6. Formulation and Optimization of CTZ-Loaded NLCs
2.6.1. Design of Experiment
2.6.2. Preparation of CTZ-Loaded NLCs
2.6.3. Evaluation of CTZ-Loaded NLCs
2.6.4. Selecting the Optimized Formulae
2.7. Characterization of Optimized Formulae
2.7.1. Morphology
2.7.2. Differential Scanning Calorimetry (DSC)
2.7.3. X-Ray Powder Diffraction (XRPD)
2.7.4. Impact of Storage on Optimized Formulae
2.8. Comparative Evaluation of Optimized CTZ-Loaded INV and Optimized CTZ-Loaded NLC Formulae
2.8.1. Ex Vivo Corneal Permeation Studies
2.8.2. Confocal Laser Scanning Microscopy Study (CLSM)
2.9. Microbiological Assessment of Optimized Formulae
2.9.1. Screening of Antimicrobial Activity of Optimized Formulae
2.9.2. In Vitro Antibacterial Activity of Optimized Formulae
Determination of MIC and MBC
Biofilm Inhibition Assay
Biofilm Detachment Assay
2.10. In Vivo Assessment of Selected Optimized Formula
2.10.1. Microbiological Assessment
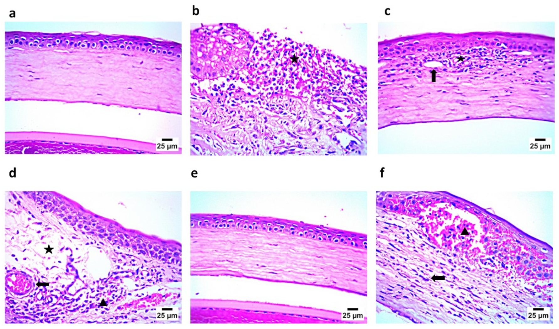
2.10.2. Histopathology Study
2.10.3. Immunohistochemistry Assay
2.11. Statistical Analysis of Data
3. Results and Discussion
3.1. Fourier Transform Infrared Spectroscopy
3.2. Factorial Design Optimization for INV Formulae
3.3. Evaluation of CTZ-Loaded INVs
3.3.1. Impacts of Formulation Variables on Entrapment Efficiency
3.3.2. Impacts of Formulation Variables on Particle Size
3.3.3. Impacts of Formulation Variables on Polydispersity Index
3.3.4. Impacts of Formulation Variables on Zeta Potential
3.3.5. Impacts of Formulation Variables on In Vitro Drug Release
3.4. Factorial Design Optimization for NLC Formulae
3.5. Evaluation of CTZ-Loaded NLCs
3.5.1. Impacts of Formulation Variables on Entrapment Efficiency
3.5.2. Impacts of Formulation Variables on Particle Size
3.5.3. Impacts of Formulation Variables on Polydispersity Index
3.5.4. Impacts of Formulation Variables on Zeta Potential
3.5.5. Impacts of Formulation Variables on In Vitro Drug Release
3.6. Selection of Optimized Formulae
3.7. Characterization of Optimized Formulae
3.7.1. Morphology
3.7.2. Differential Scanning Calorimetry
3.7.3. X-Ray Powder Diffraction (XRPD)
3.7.4. Impact of Storage on Optimized Formulae
3.8. Comparative Evaluation of Optimized CTZ-Loaded INV and Optimized CTZ-Loaded NLC Formulae
3.8.1. Ex Vivo Corneal Permeation Studies
3.8.2. Confocal Laser Scanning Microscopy Study
3.9. Microbiological Assessment of Optimized Formulae
3.9.1. Determination of MIC and MBC
3.9.2. Determination of Biofilm Inhibition Assay
3.9.3. Determination of Biofilm Detachment Activity
3.10. In Vivo Assessment of Selected Optimized INV Formula
3.10.1. Microbiological Assessment
3.10.2. Histopathology Study
3.10.3. Immunohistochemistry Assay
4. Conclusions
Supplementary Materials
Author Contributions
Funding
Institutional Review Board Statement
Data Availability Statement
Acknowledgments
Conflicts of Interest
References
- Shao, L.; Adebisi, Y.A.; Adeola, Q.A. Antibiotic Use and Misuse in Maritime Settings: Challenges and Implications for Global Antimicrobial Resistance Response. Curr. Infect. Dis. Rep. 2025, 27, 11. [Google Scholar] [CrossRef]
- Tahmasebi, H.; Arjmand, N.; Monemi, M.; Babaeizad, A.; Alibabaei, F.; Alibabaei, N.; Bahar, A.; Oksenych, V.; Eslami, M. From Cure to Crisis: Understanding the Evolution of Antibiotic-Resistant Bacteria in Human Microbiota. Biomolecules 2025, 15, 93. [Google Scholar] [CrossRef] [PubMed]
- Marino, A.; Maniaci, A.; Lentini, M.; Ronsivalle, S.; Nunnari, G.; Cocuzza, S.; Parisi, F.M.; Cacopardo, B.; Lavalle, S.; La Via, L. The Global Burden of Multidrug-Resistant Bacteria. Epidemiologia 2025, 6, 21. [Google Scholar] [CrossRef]
- Singh, A.; Vishwakarma, Y.K.; Mayank; Bhardwaj, N.; Singh, R.S. Antimicrobial Resistance: Introduction and Challenges. In Microbial Biocontrol Techniques: Importance in Ensuring Food Security; Kumar, A., Solanki, M.K., Eds.; Springer Nature: Singapore, 2024; pp. 293–309. [Google Scholar]
- Orok, E.; Ikpe, F.; Williams, T.; Ekada, I. Impact of educational intervention on knowledge of antimicrobial resistance and antibiotic use patterns among healthcare students: A pre- and post-intervention study. BMC Med. Educ. 2025, 25, 283. [Google Scholar] [CrossRef] [PubMed]
- Zay Ya, K.; Win, P.T.N.; Bielicki, J.; Lambiris, M.; Fink, G. Association Between Antimicrobial Stewardship Programs and Antibiotic Use Globally: A Systematic Review and Meta-Analysis. JAMA Netw. Open 2023, 6, e2253806. [Google Scholar] [CrossRef]
- Salma, U.; Nishimura, Y.; Tokumura, M.; Hossain, A.; Watanabe, K.; Noro, K.; Raknuzzaman, M.; Amagai, T.; Makino, M. Occurrence, seasonal variation, and environmental risk of multiclass antibiotics in the urban surface water of the Buriganga River, Bangladesh. Chemosphere 2025, 370, 143956. [Google Scholar] [CrossRef]
- Angeles Flores, G.; Cusumano, G.; Venanzoni, R.; Angelini, P. Advancements in Antibacterial Therapy: Feature Papers. Microorganisms 2025, 13, 557. [Google Scholar] [CrossRef]
- Okesanya, O.J.; Ahmed, M.M.; Ogaya, J.B.; Amisu, B.O.; Ukoaka, B.M.; Adigun, O.A.; Manirambona, E.; Adebusuyi, O.; Othman, Z.K.; Oluwakemi, O.G.; et al. Reinvigorating AMR resilience: Leveraging CRISPR–Cas technology potentials to combat the 2024 WHO bacterial priority pathogens for enhanced global health security—A systematic review. Trop. Med. Health 2025, 53, 43. [Google Scholar] [CrossRef]
- Sati, H.; Carrara, E.; Savoldi, A.; Hansen, P.; Garlasco, J.; Campagnaro, E.; Boccia, S.; Castillo-Polo, J.A.; Magrini, E.; Garcia-Vello, P.; et al. The WHO Bacterial Priority Pathogens List 2024: A prioritisation study to guide research, development, and public health strategies against antimicrobial resistance. Lancet Infect. Dis. 2025, 25, 1033–1043. [Google Scholar] [CrossRef]
- Santamarina-Fernández, R.; Fuentes-Valverde, V.; Silva-Rodríguez, A.; García, P.; Moscoso, M.; Bou, G. Pseudomonas aeruginosa Vaccine Development: Lessons, Challenges, and Future Innovations. Int. J. Mol. Sci. 2025, 26, 2012. [Google Scholar] [CrossRef]
- Geremia, N.; Marino, A.; De Vito, A.; Giovagnorio, F.; Stracquadanio, S.; Colpani, A.; Di Bella, S.; Madeddu, G.; Parisi, S.G.; Stefani, S.; et al. Rare or Unusual Non-Fermenting Gram-Negative Bacteria: Therapeutic Approach and Antibiotic Treatment Options. Antibiotics 2025, 14, 306. [Google Scholar] [CrossRef]
- Qu, S.; Zheng, S.; Muhammad, S.; Huang, L.; Guo, B. An exploration of the ocular mysteries linking nanoparticles to the patho-therapeutic effects against keratitis. J. Nanobiotechnol. 2025, 23, 184. [Google Scholar] [CrossRef]
- Kwiatkowski, M.; Babula, E.; Sikora, A.; Izdebska, J.; Skrzypecki, J.; Szaflik, J.P.; Przybek-Skrzypecka, J. Comparison of Recurrent and Naïve Keratitis in a Cohort of 1303 Patients. J. Clin. Med. 2025, 14, 3760. [Google Scholar] [CrossRef] [PubMed]
- Englisch, C.N.; Wadood, N.A.; Pätzold, L.; Gallagher, A.; Krasteva-Christ, G.; Becker, S.L.; Bischoff, M. Establishing an experimental Pseudomonas aeruginosa keratitis model in mice—Challenges and solutions. Ann. Anat. Anat. Anz. 2023, 249, 152099. [Google Scholar] [CrossRef]
- Shah, S.; Wozniak, R.A.F. Staphylococcus aureus and Pseudomonas aeruginosa infectious keratitis: Key bacterial mechanisms that mediate pathogenesis and emerging therapeutics. Front. Cell. Infect. Microbiol. 2023, 13, 1250257. [Google Scholar] [CrossRef]
- Shi, Q.; Mao, D.; Zhang, Z.; Qudsi, A.I.; Wei, M.; Cheng, Z.; Zhang, Y.; Wang, Z.; Chen, K.; Xu, X.; et al. Epidemiological and Antimicrobial Resistance Trends in Bacterial Keratitis: A Hospital-Based 10-Year Study (2014–2024). Microorganisms 2025, 13, 670. [Google Scholar] [CrossRef]
- Richards, D.M.; Brogden, R.N. Ceftazidime. Drugs 1985, 29, 105–161. [Google Scholar] [CrossRef] [PubMed]
- Ramsay, K.A.; Rehman, A.; Wardell, S.T.; Martin, L.W.; Bell, S.C.; Patrick, W.M.; Winstanley, C.; Lamont, I.L. Ceftazidime resistance in Pseudomonas aeruginosa is multigenic and complex. PLoS ONE 2023, 18, e0285856. [Google Scholar] [CrossRef] [PubMed]
- Shah, S.; Kline, E.G.; Haidar, G.; Squires, K.M.; Pogue, J.M.; McCreary, E.K.; Ludwig, J.; Clarke, L.G.; Stellfox, M.; Van Tyne, D.; et al. Rates of Resistance to Ceftazidime-Avibactam and Ceftolozane-Tazobactam Among Patients Treated for Multidrug-Resistant Pseudomonas aeruginosa Bacteremia or Pneumonia. Clin. Infect. Dis. 2025, 80, 24–28. [Google Scholar] [CrossRef] [PubMed]
- Juan, C.; Maciá, M.D.; Gutiérrez, O.; Vidal, C.; Pérez, J.L.; Oliver, A. Molecular mechanisms of beta-lactam resistance mediated by AmpC hyperproduction in Pseudomonas aeruginosa clinical strains. Antimicrob. Agents Chemother. 2005, 49, 4733–4738. [Google Scholar] [CrossRef]
- Gomis-Font, M.A.; Pitart, C.; Del Barrio-Tofiño, E.; Zboromyrska, Y.; Cortes-Lara, S.; Mulet, X.; Marco, F.; Vila, J.; López-Causapé, C.; Oliver, A. Emergence of Resistance to Novel Cephalosporin-β-Lactamase Inhibitor Combinations through the Modification of the Pseudomonas aeruginosa MexCD-OprJ Efflux Pump. Antimicrob. Agents Chemother. 2021, 65, e0008921. [Google Scholar] [CrossRef]
- Dave, A.; Samarth, A.; Karolia, R.; Sharma, S.; Karunakaran, E.; Partridge, L.; MacNeil, S.; Monk, P.N.; Garg, P.; Roy, S. Characterization of Ocular Clinical Isolates of Pseudomonas aeruginosa from Non-Contact Lens Related Keratitis Patients from South India. Microorganisms 2020, 8, 260. [Google Scholar] [CrossRef]
- Bassetti, M.; Vena, A.; Croxatto, A.; Righi, E.; Guery, B. How to manage Pseudomonas aeruginosa infections. Drugs Context 2018, 7, 212527. [Google Scholar] [CrossRef]
- Gil-Gil, T.; Laborda, P.; Martínez, J.L.; Hernando-Amado, S. Use of adjuvants to improve antibiotic efficacy and reduce the burden of antimicrobial resistance. Expert Rev. Anti-Infect. Ther. 2025, 23, 31–47. [Google Scholar] [CrossRef] [PubMed]
- Dhanda, G.; Singh, H.; Gupta, A.; Abdul Mohid, S.; Biswas, K.; Mukherjee, R.; Mukherjee, S.; Bhunia, A.; Nair, N.N.; Haldar, J. Dual-Functional Antibiotic Adjuvant Displays Potency against Complicated Gram-Negative Bacterial Infections and Exhibits Immunomodulatory Properties. ACS Cent. Sci. 2025, 11, 279–293. [Google Scholar] [CrossRef] [PubMed]
- Figueira-Gonçalves, J.M.; Callejas-González, F.J.; Golpe, R.; Máiz-Carro, L.; Marín-Oto, M.; de Miguel-Díez, J.; Loscertales-Vacas, G.S.; Tordera-Mora, J.M.; Hurtado-Fuentes, Á. Current Evidence on the Usefulness of Potential Therapies in the Prevention of COPD Exacerbations: Beyond the Use of Bronchodilator Therapy and Inhaled Corticosteroids. Open Respir. Arch. 2025, 7, 100438. [Google Scholar] [CrossRef] [PubMed]
- Huang, Z.; Han, Y.; Zhang, X.; Sun, Y.; Lin, Y.; Feng, L.; Zhou, T.; Wang, Z. Acetylcysteine increases sensitivity of ceftazidime-avibactam–resistant enterobacterales with different enzymatic resistance to ceftazidime-avibactam in vitro and in vivo. BMC Microbiol. 2023, 23, 321. [Google Scholar] [CrossRef]
- Aksoy, N.; Vatansever, C.; Zengin Ersoy, G.; Adakli Aksoy, B.; Fışgın, T. The effect of biofilm inhibitor N-acetylcysteine on the minimum inhibitory concentration of antibiotics used in Gram-negative bacteria in the biofilm developed on catheters. Int. J. Artif. Organs 2022, 45, 865–870. [Google Scholar] [CrossRef]
- Shen, Y.; Yao, Y.; Zhang, Y.; Shi, X.; Bai, L.; Zhong, Y.; Zhang, Y.; Zhang, K. Nanostructured drug delivery systems for posterior segment eye diseases: Strategies to defy ocular barriers. BMEMat 2025, e70016. [Google Scholar] [CrossRef]
- Ashique, S.; Kumar, P.; Taj, T.; Debnath, B.; Mukherjee, S.; Patel, A.; Sridhar, S.B.; Panigrahy, U.P.; Poonia, P.; Selim, S.; et al. Nanotechnology: A State of the Art for the Management of Ocular Disorders—A Roadmap. BioNanoScience 2025, 15, 285. [Google Scholar] [CrossRef]
- Onugwu, A.L.; Nwagwu, C.S.; Onugwu, O.S.; Echezona, A.C.; Agbo, C.P.; Ihim, S.A.; Emeh, P.; Nnamani, P.O.; Attama, A.A.; Khutoryanskiy, V.V. Nanotechnology based drug delivery systems for the treatment of anterior segment eye diseases. J. Control. Release 2023, 354, 465–488. [Google Scholar] [CrossRef]
- Baig, M.S.; Karade, S.K.; Ahmad, A.; Khan, M.A.; Haque, A.; Webster, T.J.; Faiyazuddin, M.; Al-Qahtani, N.H. Lipid-based nanoparticles: Innovations in ocular drug delivery. Front. Mol. Biosci. 2024, 11, 1421959. [Google Scholar] [CrossRef]
- Wang, T.; Wang, Y.; Li, S.; Wang, Y.; Lan, X. Nanomedicine in ophthalmology: Conquering anatomical barriers and enhancing therapeutic efficacy. Biomater. Sci. 2025. [Google Scholar] [CrossRef]
- Li, S.; Chen, L.; Fu, Y. Nanotechnology-based ocular drug delivery systems: Recent advances and future prospects. J. Nanobiotechnol. 2023, 21, 232. [Google Scholar] [CrossRef]
- Taghe, S.; Mirzaeei, S. Preservative-free electrospun nanofibrous inserts for sustained delivery of ceftazidime; design, characterization and pharmacokinetic investigation in rabbit’s eye. Int. J. Pharm. X 2024, 8, 100297. [Google Scholar] [CrossRef]
- Mohammadi, M.; Rahmani, S.; Ebrahimi, Z.; Nowroozi, G.; Mahmoudi, F.; Shahlaei, M.; Moradi, S. In Situ Forming Hydrogel Reinforced with Antibiotic-Loaded Mesoporous Silica Nanoparticles for the Treatment of Bacterial Keratitis. AAPS PharmSciTech 2024, 25, 254. [Google Scholar] [CrossRef] [PubMed]
- Abbasi, M.; Aghamollaei, H.; Vaez, A.; Amani, A.M.; Kamyab, H.; Chelliapan, S.; Jamalpour, S.; Zambrano-Dávila, R. Bringing ophthalmology into the scientific world: Novel nanoparticle-based strategies for ocular drug delivery. Ocul. Surf. 2025, 37, 140–172. [Google Scholar] [CrossRef] [PubMed]
- Lens, M. Phospholipid-Based Vesicular Systems as Carriers for the Delivery of Active Cosmeceutical Ingredients. Int. J. Mol. Sci. 2025, 26, 2484. [Google Scholar] [CrossRef]
- Kaspute, G.; Ivaskiene, T.; Ramanavicius, A.; Ramanavicius, S.; Prentice, U. Terpenes and Essential Oils in Pharmaceutics: Applications as Therapeutic Agents and Penetration Enhancers with Advanced Delivery Systems for Improved Stability and Bioavailability. Pharmaceutics 2025, 17, 793. [Google Scholar] [CrossRef] [PubMed]
- Vieira Nunes Cunha, I.; Machado Campos, A.; Passarella Gerola, A.; Caon, T. Effect of invasome composition on membrane fluidity, vesicle stability and skin interactions. Int. J. Pharm. 2023, 646, 123472. [Google Scholar] [CrossRef]
- Witika, B.A.; Bassey, K.E.; Demana, P.H.; Siwe-Noundou, X.; Poka, M.S. Current Advances in Specialised Niosomal Drug Delivery: Manufacture, Characterization and Drug Delivery Applications. Int. J. Mol. Sci. 2022, 23, 9668. [Google Scholar] [CrossRef] [PubMed]
- Sharma, S.; Ghosh, R.; Marianesan, A.B.; Hussain, S.; Pandey, J.D.; Kumar, M. Nanostructured lipid carriers in Rheumatoid Arthritis: Treatment, advancements and applications. Inflammopharmacology 2025, 33, 941–958. [Google Scholar] [CrossRef] [PubMed]
- Viegas, C.; Patrício, A.B.; Prata, J.M.; Nadhman, A.; Chintamaneni, P.K.; Fonte, P. Solid Lipid Nanoparticles vs. Nanostructured Lipid Carriers: A Comparative Review. Pharmaceutics 2023, 15, 1593. [Google Scholar] [CrossRef] [PubMed]
- Hassan, D.H.; Shohdy, J.N.; El-Nabarawi, M.A.; El-Setouhy, D.A.; Abdellatif, M.M. Nanostructured lipid carriers for transdermal drug delivery. Int. J. App. Pharm. 2022, 14, 88–93. [Google Scholar] [CrossRef]
- Bairagi, R.D.; Reon, R.R.; Hasan, M.M.; Sarker, S.; Debnath, D.; Rahman, M.T.; Rahman, S.; Islam, M.A.; Siddique, M.A.T.; Bokshi, B.; et al. Ocular drug delivery systems based on nanotechnology: A comprehensive review for the treatment of eye diseases. Discov. Nano 2025, 20, 75. [Google Scholar] [CrossRef]
- Rehman, M.; Tahir, N.; Sohail, M.F.; Qadri, M.U.; Duarte, S.O.D.; Brandão, P.; Esteves, T.; Javed, I.; Fonte, P. Lipid-Based Nanoformulations for Drug Delivery: An Ongoing Perspective. Pharmaceutics 2024, 16, 1376. [Google Scholar] [CrossRef]
- Abdelmonem, R.; Abdellatif, M.M.; Al-Samadi, I.E.I.; El-Nabarawi, M.A. Formulation and evaluation of baclofen-meloxicam orally disintegrating tablets (ODTs) using co-processed excipients and improvement of ODTs performance using six sigma method. Drug Des. Dev. Ther. 2021, 15, 4383–4402. [Google Scholar] [CrossRef]
- Puri, V.; Chaudhary, K.R.; Singh, A.; Singh, C. Inhalation potential of N-Acetylcysteine loaded PLGA nanoparticles for the management of tuberculosis: In vitro lung deposition and efficacy studies. Curr. Res. Pharmacol. Drug Discov. 2022, 3, 100084. [Google Scholar] [CrossRef]
- Mohamed, M.; Makky, A.; Abdellatif, M. Liposomal gels as carriers for safer topical delivery of tazarotene. J. Pharm. Res. Opin. 2013, 3, 82–90. [Google Scholar]
- Teaima, M.H.; Eltabeeb, M.A.; El-Nabarawi, M.A.; Abdellatif, M.M. Utilization of propranolol hydrochloride mucoadhesive invasomes as a locally acting contraceptive: In-vitro, ex-vivo, and in-vivo evaluation. Drug Deliv. 2022, 29, 2549–2560. [Google Scholar] [CrossRef]
- Gaballo, A.; Ragusa, A.; Nobile, C.; Gallo, N.; Salvatore, L.; Piccirillo, C.; Nito, A.; Caputo, A.; Guida, G.; Zito, A.; et al. Enhanced Delivery of 5-Aminolevulinic Acid by Lecithin Invasomes in 3D Melanoma Cancer Model. Mol. Pharm. 2023, 20, 5593–5606. [Google Scholar] [CrossRef]
- Abdellatif, M.M.; Josef, M.; El-Nabarawi, M.A.; Teaima, M. Sertaconazole-Nitrate-Loaded Leciplex for Treating Keratomycosis: Optimization Using D-Optimal Design and In Vitro, Ex Vivo, and In Vivo Studies. Pharmaceutics 2022, 14, 2215. [Google Scholar] [CrossRef]
- Hassan, D.H.; Shohdy, J.N.; El-Setouhy, D.A.; El-Nabarawi, M.; Naguib, M.J. Compritol-Based Nanostrucutured Lipid Carriers (NLCs) for Augmentation of Zolmitriptan Bioavailability via the Transdermal Route: In Vitro Optimization, Ex Vivo Permeation, In Vivo Pharmacokinetic Study. Pharmaceutics 2022, 14, 1484. [Google Scholar] [CrossRef] [PubMed]
- Abdellatif, M.M.; Shohdy, J.N.; Ahmed El-Setouhy, D.; Hamed, M.I.A.; Rofaeil, B.F.; Naguib, M.J.; El-Nabarawi, M.A. Chitosan decorated nanostructurated lipid carriers for augmented oral bioavailability of velpatasvir; D-optimal optimization, in silico, in vitro, ex vivo and in vivo studies. J. Drug Deliv. Sci. Technol. 2025, 106, 106703. [Google Scholar] [CrossRef]
- Al-Samadi, I.E.I.; Rashwan, K.O.; Abdelmonem, R.; Hamed, M.I.; Darwish, K.M.; William, M.M.; Abdellatif, M.M. Topical loratadine-loaded invasomal gel repurposed for vulvovaginal candidiasis; in vitro, in silico, ex vivo, and in vivo studies. Int. J. Pharm. 2025, 677, 125639. [Google Scholar] [CrossRef] [PubMed]
- Lin, X.; Li, X.; Zheng, L.; Yu, L.; Zhang, Q.; Liu, W. Preparation and characterization of monocaprate nanostructured lipid carriers. Colloids Surf. Physicochem. Eng. Asp. 2007, 311, 106–111. [Google Scholar] [CrossRef]
- Hassouna, M.; Mohamed, M. Stability Indicating Rp-HPLC method for simultaneous estimation of ceftazidime pentahydrate and its impurity product pyridine in powder used for making solution in vial for IM & Iv injections. Ann. Rev. Res. 2018, 1, 1–9. [Google Scholar]
- Vanden Berghe, D.; Vlietinck, A. Screening methods for antibacterial and antiviral agents from higher plants. In Methods in Plant Biochemistry; Hostettmann, K., Ed.; Academic Press: London, UK, 1991; Volume 6, pp. 47–69. [Google Scholar]
- Mouffok, A.; Bellouche, D.; Debbous, I.; Anane, A.; Khoualdia, Y.; Boublia, A.; Darwish, A.S.; Lemaoui, T.; Benguerba, Y. Synergy of garlic extract and deep eutectic solvents as promising natural Antibiotics: Experimental and COSMO-RS. J. Mol. Liq. 2023, 375, 121321. [Google Scholar] [CrossRef]
- Humphries, R.M.; Ambler, J.; Mitchell, S.L.; Castanheira, M.; Dingle, T.; Hindler, J.A.; Koeth, L.; Sei, K. CLSI Methods Development and Standardization Working Group Best Practices for Evaluation of Antimicrobial Susceptibility Tests. J. Clin. Microbiol. 2018, 56, 10-1128. [Google Scholar] [CrossRef]
- Li, H.; Oliver, A.; Shields, R.K.; Kamat, S.; Stone, G.; Estabrook, M. Molecular characterization of clinically isolated Pseudomonas aeruginosa with varying resistance to ceftazidime-avibactam and ceftolozane-tazobactam collected as a part of the ATLAS global surveillance program from 2020 to 2021. Antimicrob. Agents Chemother. 2024, 68, e00670-24. [Google Scholar] [CrossRef]
- Weinstein, M.; Patel, J.; Bobenchik, A.; Campeau, S.; Cullen, S.; Galas, M.; Gold, H.; Humphries, R.; Kirn, T.; Lewis Ii, J. M100 Performance Standards for Antimicrobial Susceptibility Testing A CLSI Supplement for Global Application; Clinical and Laboratory Standards Institute: Malvern, PA, USA, 2020. [Google Scholar]
- Al-Akayleh, F.; Khalid, R.M.; Hawash, D.; Al-Kaissi, E.; Al-Adham, I.S.I.; Al-Muhtaseb, N.; Jaber, N.; Al-Remawi, M.; Collier, P.J. Antimicrobial potential of natural deep eutectic solvents. Lett. Appl. Microbiol. 2022, 75, 607–615. [Google Scholar] [CrossRef]
- Haney, E.F.; Trimble, M.J.; Cheng, J.T.; Vallé, Q.; Hancock, R.E.W. Critical Assessment of Methods to Quantify Biofilm Growth and Evaluate Antibiofilm Activity of Host Defence Peptides. Biomolecules 2018, 8, 29. [Google Scholar] [CrossRef]
- Haney, E.F.; Mansour, S.C.; Hilchie, A.L.; de la Fuente-Núñez, C.; Hancock, R.E.W. High throughput screening methods for assessing antibiofilm and immunomodulatory activities of synthetic peptides. Peptides 2015, 71, 276–285. [Google Scholar] [CrossRef]
- Treter, J.; Bonatto, F.; Krug, C.; Soares, G.V.; Baumvol, I.J.R.; Macedo, A.J. Washing-resistant surfactant coated surface is able to inhibit pathogenic bacteria adhesion. Appl. Surf. Sci. 2014, 303, 147–154. [Google Scholar] [CrossRef]
- Utlu, B.; Öndaş, O.; Yıldırım, M.; Bayrakçeken, K.; Yıldırım, S. Pseudomonas aeruginosa Keratitis in rats: Study of the effect of topical 5% hesperidin practice on Healing. Eurasian J. Med. 2023, 55, 64. [Google Scholar] [CrossRef] [PubMed]
- Abbas, M.N.; Khan, S.A.; Sadozai, S.K.; Khalil, I.A.; Anter, A.; Fouly, M.E.; Osman, A.H.; Kazi, M. Nanoparticles Loaded Thermoresponsive In Situ Gel for Ocular Antibiotic Delivery against Bacterial Keratitis. Polymers 2022, 14, 1135. [Google Scholar] [CrossRef] [PubMed]
- Bancroft, J.D.; Gamble, M. Theory and Practice of Histological Techniques; Elsevier Health Sciences: Amsterdam, The Netherlands, 2008. [Google Scholar]
- Abounassif, M.A.; Mian, N.A.A.; Main, M.S. Analytical Profile Of Ceftazidime. In Analytical Profiles of Drug Substances; Florey, K., Ed.; Academic Press: Cambridge, MA, USA, 1990; Volume 19, pp. 95–121. [Google Scholar]
- De Haro Moreno, A.; Salgado, H. Development and validation of the quantitative analysis of ceftazidime in powder for injection by infrared spectroscopy. Phys. Chem. 2012, 2, 6–11. [Google Scholar] [CrossRef]
- Chaudhry, H.; Rangra, N.K. Development and validation of a stability indicating green analytical method for the simultaneous estimation of L-glutathione, N-acetyl L-cysteine and Vitamin C in marketed formulation using UV–visible spectroscopy. Future J. Pharm. Sci. 2023, 9, 74. [Google Scholar] [CrossRef]
- Abou-Taleb, B.A.; Abdelwahab, I.A. Comparative evaluation of nano ocular delivery systems loaded pH and thermosensitive in situ gels for Acanthamoeba keratitis treatment. Sci. Rep. 2025, 15, 19430. [Google Scholar] [CrossRef]
- Pekmezovic, M.; Aleksic, I.; Barac, A.; Arsic-Arsenijevic, V.; Vasiljevic, B.; Nikodinovic-Runic, J.; Senerovic, L. Prevention of polymicrobial biofilms composed of Pseudomonas aeruginosa and pathogenic fungi by essential oils from selected Citrus species. FEMS Pathog. Dis. 2016, 74, ftw102. [Google Scholar] [CrossRef]
- Qaralleh, H. Limonene as a multi-target antibiofilm and quorum sensing inhibitor against Pseudomonas aeruginosa. J. Basic Appl. Res. Biomed. 2025, 10, 80–88. [Google Scholar] [CrossRef]
- Albash, R.; Abdellatif, M.M.; Hassan, M.; Badawi, N.M. Tailoring Terpesomes and Leciplex for the Effective Ocular Conveyance of Moxifloxacin Hydrochloride (Comparative Assessment): In-Vitro, Ex-Vivo, and In-Vivo Evaluation. Int. J. Nanomed. 2021, 16, 5247–5263. [Google Scholar] [CrossRef]
- El-Naggar, M.M.; El-Nabarawi, M.A.; Teaima, M.H.; Hassan, M.; Hamed, M.I.A.; Elrashedy, A.A.; Albash, R. Integration of terpesomes loaded Levocetrizine dihydrochloride gel as a repurposed cure for Methicillin-Resistant Staphylococcus aureus (MRSA)-Induced skin infection; D-optimal optimization, ex-vivo, in-silico, and in-vivo studies. Int. J. Pharm. 2023, 633, 122621. [Google Scholar] [CrossRef]
- Janagam, D.R.; Wu, L.; Lowe, T.L. Nanoparticles for drug delivery to the anterior segment of the eye. Adv. Drug Deliv. Rev. 2017, 122, 31–64. [Google Scholar] [CrossRef]
- Diebold, Y.; Calonge, M. Applications of nanoparticles in ophthalmology. Prog. Retin. Eye Res. 2010, 29, 596–609. [Google Scholar] [CrossRef] [PubMed]
- Amrite, A.C.; Kompella, U.B. Size-dependent disposition of nanoparticles and microparticles following subconjunctival administration. J. Pharm. Pharmacol. 2005, 57, 1555–1563. [Google Scholar] [CrossRef] [PubMed]
- Au-Kaur, I.; Au-Ellis, L.-J.; Au-Romer, I.; Au-Tantra, R.; Au-Carriere, M.; Au-Allard, S.; Au-Mayne-L’Hermite, M.; Au-Minelli, C.; Au-Unger, W.; Au-Potthoff, A.; et al. Dispersion of nanomaterials in aqueous media: Towards protocol optimization. JoVE 2017, 130, 56074. [Google Scholar] [CrossRef]
- Ruiz, E.; Orozco, V.H.; Hoyos, L.M.; Giraldo, L.F. Study of sonication parameters on PLA nanoparticles preparation by simple emulsion-evaporation solvent technique. Eur. Polym. J. 2022, 173, 111307. [Google Scholar] [CrossRef]
- Ghadiri, M.; Fatemi, S.; Vatanara, A.; Doroud, D.; Najafabadi, A.R.; Darabi, M.; Rahimi, A.A. Loading hydrophilic drug in solid lipid media as nanoparticles: Statistical modeling of entrapment efficiency and particle size. Int. J. Pharm. 2012, 424, 128–137. [Google Scholar] [CrossRef]
- Wa Kasongo, K.; Shegokar, R.; Müller, R.H.; Walker, R.B. Formulation development and in vitro evaluation of didanosine-loaded nanostructured lipid carriers for the potential treatment of AIDS dementia complex. Drug Dev. Ind. Pharm. 2011, 37, 396–407. [Google Scholar] [CrossRef]
- Apostolou, M.; Assi, S.; Fatokun, A.A.; Khan, I. The Effects of Solid and Liquid Lipids on the Physicochemical Properties of Nanostructured Lipid Carriers. J. Pharm. Sci. 2021, 110, 2859–2872. [Google Scholar] [CrossRef] [PubMed]
- Gordillo-Galeano, A.; Mora-Huertas, C.E. Solid lipid nanoparticles and nanostructured lipid carriers: A review emphasizing on particle structure and drug release. Eur. J. Pharm. Biopharm. 2018, 133, 285–308. [Google Scholar] [CrossRef] [PubMed]
- Aburahma, M.H.; Badr-Eldin, S.M. Compritol 888 ATO: A multifunctional lipid excipient in drug delivery systems and nanopharmaceuticals. Expert Opin. Drug Deliv. 2014, 11, 1865–1883. [Google Scholar] [CrossRef] [PubMed]
- Shah, N.H.; Carvajal, M.T.; Patel, C.I.; Infeld, M.H.; Malick, A.W. Self-emulsifying drug delivery systems (SEDDS) with polyglycolyzed glycerides for improving in vitro dissolution and oral absorption of lipophilic drugs. Int. J. Pharm. 1994, 106, 15–23. [Google Scholar] [CrossRef]
- Katrajkar, K.; Darji, L.; Kethavath, D.; Thakkar, S.; Kshirsagar, B.; Misra, M. Shedding light on interaction of so called inactive ingredients (excipients) with permeability-glycoprotein. J. Drug Deliv. Sci. Technol. 2019, 52, 531–552. [Google Scholar] [CrossRef]
- Ho, T.H.; Tong, H.D.; Trinh, T.T. Molecular insights into the interactions between PEG carriers and drug molecules from Celastrus hindsii: A multi-scale simulation study. Sci. Rep. 2024, 14, 16777. [Google Scholar] [CrossRef]
- Hong, E.-P.; Kim, J.-Y.; Kim, S.-H.; Hwang, K.-M.; Park, C.-W.; Lee, H.-J.; Kim, D.-W.; Weon, K.-Y.; Jeong, S.Y.; Park, E.-S. Formulation and evaluation of a self-microemulsifying drug delivery system containing bortezomib. Chem. Pharm. Bull. 2016, 64, 1108–1117. [Google Scholar] [CrossRef][Green Version]
- McCartney, F.; Caisse, P.; Dumont, C.; Brayden, D.J. LabrafacTM MC60 is an efficacious intestinal permeation enhancer for macromolecules: Comparisons with Labrasol® ALF in ex vivo and in vivo rat studies. Int. J. Pharm. 2024, 661, 124353. [Google Scholar] [CrossRef]
- Elhabal, S.F.; El-Nabarawi, M.; Elrefai, M.F.M.; Teaima, M.H.; Shoela, M.S.; Khamis, G.M.; Faheem, A.M.; Kholeif, N.A.; Sanad, M.T. Nano-spanlastics-loaded dissolving microneedle patches for ketotifen fumarate: Advanced strategies for allergic conjunctivitis treatment and molecular insights. Drug Deliv. Transl. Res. 2025, 15, 3161–3184. [Google Scholar] [CrossRef]
- Balguri, S.P.; Adelli, G.R.; Majumdar, S. Topical ophthalmic lipid nanoparticle formulations (SLN, NLC) of indomethacin for delivery to the posterior segment ocular tissues. Eur. J. Pharm. Biopharm. 2016, 109, 224–235. [Google Scholar] [CrossRef]
- Zafar, A.; Yasir, M.; Panda, D.S.; Singh, L. Bergenin nano-lipid carrier to improve the oral delivery: Development, optimization, in vitro and in vivo evaluation. J. Drug Deliv. Sci. Technol. 2024, 96, 105655. [Google Scholar] [CrossRef]
- Ayshah Rosli, N.; Hasham, R.; Abdul Aziz, A.; Ubaidah Noh, T.; Jemon, K. Nanostructured lipid carrier loaded with Zingiber officinale oil to enhance transdermal bioactive delivery for topical formulation. Microchem. J. 2024, 200, 110470. [Google Scholar] [CrossRef]
- De Souza, M.L.; Sales, V.d.A.W.; Sales, S.G.d.S.; Sales Júnior, P.A.; Pereira, V.R.A.; de França, E.J.; Rolim, L.d.A.; Rolim Neto, P.J. Nanostructured Lipid Carriers for oral treatment of leishmaniasis: Design and preclinical evaluation. Colloids Surf. A Physicochem. Eng. Asp. 2024, 694, 134140. [Google Scholar] [CrossRef]
- Elkhayat, D.; Abdelmalak, N.S.; Amer, R.; Awad, H.H. Ezetimibe-Loaded Nanostructured Lipid Carrier for Oral Delivery: Response Surface Methodology; In Vitro Characterization and Assessing the Antihyperlipidemic Effect in Rats. ACS Omega 2024, 9, 8103–8116. [Google Scholar] [CrossRef]
- Souto, E.B.; Baldim, I.; Oliveira, W.P.; Rao, R.; Yadav, N.; Gama, F.M.; Mahant, S. SLN and NLC for topical, dermal, and transdermal drug delivery. Expert Opin. Drug Deliv. 2020, 17, 357–377. [Google Scholar] [CrossRef]
- Padhi, S.; Mazumder, R.; Bisht, S. Preformulation screening of lipids using solubility parameter concept in conjunction with experimental research to develop ceftriaxone loaded nanostructured lipid carriers. Braz. J. Pharm. Sci. 2023, 59, e21308. [Google Scholar] [CrossRef]
- Abdelbari, M.A.; El-mancy, S.S.; Elshafeey, A.H.; Abdelbary, A.A. Implementing Spanlastics for Improving the Ocular Delivery of Clotrimazole: In vitro Characterization, Ex vivo Permeability, Microbiological Assessment and In vivo Safety Study. Int. J. Nanomed. 2021, 16, 6249–6261. [Google Scholar] [CrossRef]
- Elhassan, E.; Omolo, C.A.; Gafar, M.A.; Ismail, E.A.; Ibrahim, U.H.; Khan, R.; Lesouhaitier, M.; Kubes, P.; Govender, T. Multifunctional hyaluronic acid-based biomimetic/pH-responsive hybrid nanostructured lipid carriers for treating bacterial sepsis. J. Biomed. Sci. 2025, 32, 19. [Google Scholar] [CrossRef]
- Yu, H.; Sarkar, S.; Shaw, Z.L.; Dyett, B.; Cai, X.; Yap, S.L.; Conn, C.E.; Elbourne, A.; Drummond, C.J.; Zhai, J. Ionizable Lipid Containing Nanocarriers for Antimicrobial Agent Delivery. Small Sci. 2024, 4, 2400145. [Google Scholar] [CrossRef]
- Liew, S.M.; Rajasekaram, G.; Puthucheary, S.A.; Chua, K.H. Antimicrobial susceptibility and virulence genes of clinical and environmental isolates of Pseudomonas aeruginosa. PeerJ 2019, 7, e6217. [Google Scholar] [CrossRef]
- Eghtedari, Y.; Oh, L.J.; Girolamo, N.D.; Watson, S.L. The role of topical N-acetylcysteine in ocular therapeutics. Surv. Ophthalmol. 2022, 67, 608–622. [Google Scholar] [CrossRef]
- Jaiswal, S.; Shinde, P.; Tale, V. Recent Nanotechnological Trends in the Management of Microbial Keratitis. J. Ophthalmic Vis. Res. 2024, 19, 476–487. [Google Scholar] [CrossRef]
















| Factor | Level | |
|---|---|---|
| Low | High | |
| X1: Limonene concentration (%) | 0.1 | 0.3 |
| X2: Lipid amount (mg) | 50 | 150 |
| X3: Sonication time (min) | 10 | 20 |
| Responses | Constraints | |
| Y1: EE (%) | Maximize | |
| Y2: PS (nm) | Minimize | |
| Y3: PDI | Minimize | |
| Y4: ZP (mV) | Maximize | |
| Y5: Q8 (%) | Maximize | |
| Factor | Level | |
|---|---|---|
| Low | High | |
| X1: Lipid concentration (%) | 2 | 3 |
| X2: Percentage of solid lipids (%) | 60 | 90 |
| X3: Oil type | Labrasol | Labrafac |
| Responses | Constraints | |
| Y1: EE (%) | Maximize | |
| Y2: PS (nm) | Minimize | |
| Y3: PDI | Minimize | |
| Y4: ZP (mV) | Maximize | |
| Y5: Q8 (%) | Maximize | |
| Source | EE (%) | PS (nm) | PDI | ZP (mV) | Q8 (%) |
|---|---|---|---|---|---|
| p-value | <0.0001 | <0.0001 | 0.7771 | <0.0001 | 0.0001 |
| X1 = A = Limonene concentration | 0.0005 | <0.0001 | 0.4036 | 0.6572 | 0.1705 |
| X2 = B = Lipid amount | <0.0001 | <0.0001 | 0.7231 | <0.0001 | 0.0009 |
| X3 = C = Sonication time | 0.0047 | <0.0001 | 0.6690 | 0.2342 | <0.0001 |
| Adequate precision R2 | 20.8153 0.928 | 82.1787 0.9984 | 2.0730 0.1218 | 24.4246 0.9756 | 17.13 0.9116 |
| Adjusted R2 | 0.901 | 0.9964 | −0.2076 | 0.9552 | 0.8784 |
| Predicted R2 | 0.7781 | 0.9438 | −1.7956 | 0.7596 | 0.7421 |
| Significant factors | X1, X2, X3 | X1, X2, X3 | – | X2 | X2, X3 |
| Predicted value of selected formula | 87.34 | 123.36 | 0.493 | 33.40 | 64.93 |
| Observed value of selected formula | 87.08 | 114.50 | 0.493 | 33.38 | 65.66 |
| Source | EE (%) | PS (nm) | PDI | ZP (mV) | Q8 (%) |
|---|---|---|---|---|---|
| p-value | <0.0001 | 0.0007 | 0.0086 | <0.0001 | 0.001 |
| X1 = A = Lipid concentration | 0.0056 | 0.0015 | 0.0954 | 0.1054 | 0.4816 |
| X2 = B = Solid lipid percentage | 0.0006 | 0.0006 | 0.4430 | 0.0001 | 0.0001 |
| X3 = C = Oil type | <0.0001 | 0.1456 | 0.0017 | 0.3446 | 0.0008 |
| Adequate precision R2 | 23.4792 0.987 | 24.9572 0.9755 | 11.0940 0.9320 | 57.4204 0.9971 | 16.8556 0.9722 |
| Adjusted R2 | 0.9715 | 0.946 | 0.8504 | 0.9937 | 0.9389 |
| Predicted R2 | 0.7942 | 0.812 | −0.4163 | 0.9789 | 0.7402 |
| Significant factors | X1, X2, X3 | X1, X2 | − | X2 | X2, X3 |
Disclaimer/Publisher’s Note: The statements, opinions and data contained in all publications are solely those of the individual author(s) and contributor(s) and not of MDPI and/or the editor(s). MDPI and/or the editor(s) disclaim responsibility for any injury to people or property resulting from any ideas, methods, instructions or products referred to in the content. |
© 2025 by the authors. Licensee MDPI, Basel, Switzerland. This article is an open access article distributed under the terms and conditions of the Creative Commons Attribution (CC BY) license (https://creativecommons.org/licenses/by/4.0/).
Share and Cite
Josef, M.; Abdellatif, M.M.; Abdelmonem, R.; El-Nabarawi, M.A.; Teaima, M.; Bedair, H.M.; Attia, A. Invasomes and Nanostructured Lipid Carriers for Targeted Delivery of Ceftazidime Combined with N-Acetylcysteine: A Novel Approach to Treat Pseudomonas aeruginosa-Induced Keratitis. Pharmaceutics 2025, 17, 1184. https://doi.org/10.3390/pharmaceutics17091184
Josef M, Abdellatif MM, Abdelmonem R, El-Nabarawi MA, Teaima M, Bedair HM, Attia A. Invasomes and Nanostructured Lipid Carriers for Targeted Delivery of Ceftazidime Combined with N-Acetylcysteine: A Novel Approach to Treat Pseudomonas aeruginosa-Induced Keratitis. Pharmaceutics. 2025; 17(9):1184. https://doi.org/10.3390/pharmaceutics17091184
Chicago/Turabian StyleJosef, Mina, Menna M. Abdellatif, Rehab Abdelmonem, Mohamed A. El-Nabarawi, Mahmoud Teaima, Hadeer M. Bedair, and Alshaimaa Attia. 2025. "Invasomes and Nanostructured Lipid Carriers for Targeted Delivery of Ceftazidime Combined with N-Acetylcysteine: A Novel Approach to Treat Pseudomonas aeruginosa-Induced Keratitis" Pharmaceutics 17, no. 9: 1184. https://doi.org/10.3390/pharmaceutics17091184
APA StyleJosef, M., Abdellatif, M. M., Abdelmonem, R., El-Nabarawi, M. A., Teaima, M., Bedair, H. M., & Attia, A. (2025). Invasomes and Nanostructured Lipid Carriers for Targeted Delivery of Ceftazidime Combined with N-Acetylcysteine: A Novel Approach to Treat Pseudomonas aeruginosa-Induced Keratitis. Pharmaceutics, 17(9), 1184. https://doi.org/10.3390/pharmaceutics17091184

