Plasmid DNA Delivery to Cancer Cells with Poly(L-lysine)-Based Copolymers Bearing Thermally Sensitive Segments: Balancing Polyplex Tightness, Transfection Efficiency, and Biocompatibility
Abstract
1. Introduction
2. Materials and Methods
2.1. Synthesis of Copolymers
2.2. Preparation of Polyplexes
2.3. Agarose Gel Retardation
2.4. Ethidium Bromide Exclusion Assay
2.5. Polyanionic Stress Resistance
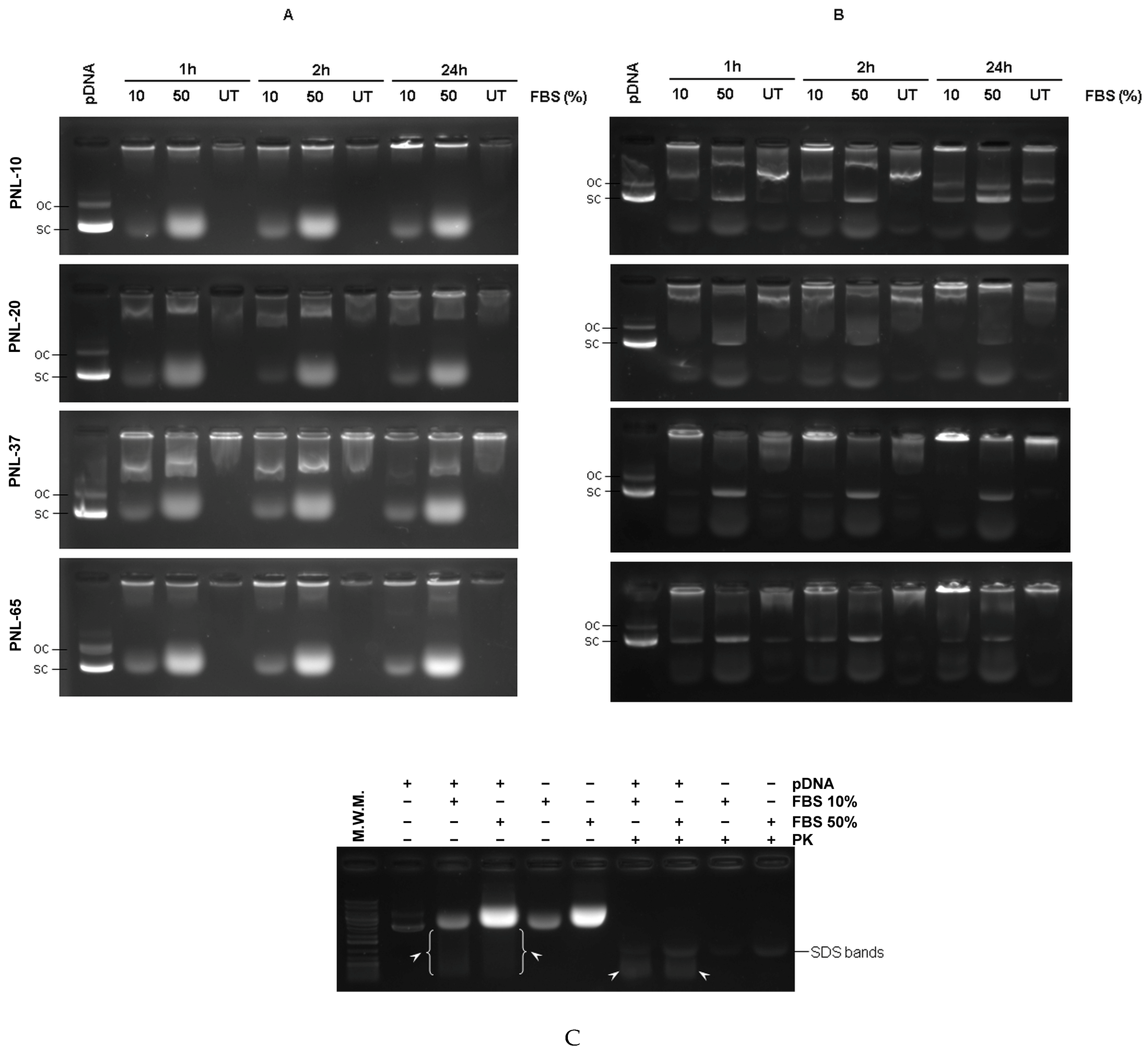
2.6. Serum Stability Test
2.7. Physicochemical Characterization of the Polyplexes
2.7.1. Electrophoretic Light Scattering (ELS)
2.7.2. Static and Dynamic Light Scattering (SLS and DLS)
2.7.3. Atomic Force Microscopy (AFM)
2.8. Cell Culture
2.9. Cytotoxicity Assay by Resazurin Cell Proliferation Test
2.10. In Vitro Transfection Efficiency and Cytotoxicity of the Copolymer–pDNA Complexes by Flow Cytometry
2.11. Lysosomal Membrane Destabilization Assay
2.12. Statistical Analysis
3. Results and Discussion
3.1. Cytotoxicity of the Copolymers
3.2. Complexation of (PNIPAm)77-Graft-(PEG)9-Block-(PLL)z Copolymers with pDNA
3.3. Physicochemical Characteristics of the Polyplexes
3.4. Polyanionic Stress Resistance of the Copolymer–pDNA Complexes
3.5. Serum Stability of the Copolymer–pDNA Complexes
3.6. In Vitro Transfection Efficiency and Cytotoxicity of the Copolymer–pDNA Complexes
4. Conclusions
Supplementary Materials
Author Contributions
Funding
Institutional Review Board Statement
Informed Consent Statement
Data Availability Statement
Acknowledgments
Conflicts of Interest
References
- Lin, Y.; Cheng, Q.; Wei, T. Prime editing: A revolutionary technology for precise treatment of genetic disorders. Cell Prolif. 2025, 58, e13808. [Google Scholar] [CrossRef] [PubMed]
- Durgham, R.A.; Badders, J.; Nguyen, S.A.; Olinde, L.; Pang, J.; Nathan, C.-A.O. The role of gene expression profiling in the management of cutaneous squamous cell cancer: A review. Cancers 2024, 16, 3925. [Google Scholar] [CrossRef] [PubMed]
- Pouyan, A.; Ghorbanlo, M.; Eslami, M.; Jahanshahi, M.; Ziaei, E.; Salami, A.; Mokhtari, K.; Shahpasand, K.; Farahani, N.; Meybodi, T.E.; et al. Glioblastoma multiforme: Insights into pathogenesis, key signaling pathways, and therapeutic strategies. Mol. Cancer 2025, 24, 58. [Google Scholar] [CrossRef] [PubMed]
- Bulaklak, K.; Gersbach, C.A. The once and future gene therapy. Nat. Commun. 2020, 11, 5820. [Google Scholar] [CrossRef]
- Kohn, D.B.; Chen, Y.Y.; Spencer, M.J. Successes and challenges in clinical gene therapy. Gene Ther. 2023, 30, 738–746. [Google Scholar] [CrossRef]
- Kulkarni, J.A.; Witzigmann, D.; Thomson, S.B.; Chen, S.; Leavitt, B.R.; Cullis, P.R.; van der Meel, R. The current landscape of nucleic acid therapeutics. Nat. Nanotechnol. 2021, 16, 630–643. [Google Scholar] [CrossRef]
- Zhang, H.; Vandesompele, J.; Braeckmans, K.; De Smedt, S.C.; Remaut, K. Nucleic acid degradation as barrier to gene delivery: A guide to understand and overcome nuclease activity. Chem. Soc. Rev. 2024, 53, 317–360. [Google Scholar] [CrossRef]
- Finer, M.; Glorioso, J. A Brief account of viral vectors and their promise for gene therapy. Gene Ther. 2017, 24, 1–2. [Google Scholar] [CrossRef]
- Bulcha, J.T.; Wang, Y.; Ma, H.; Tai, P.W.L.; Gao, G. Viral vector platforms within the gene therapy landscape. Signal Transduct. Target. Ther. 2021, 6, 53. [Google Scholar] [CrossRef]
- Pan, X.; Veroniaina, H.; Su, N.; Sha, K.; Jiang, F.; Wu, Z.; Qi, X. Applications and developments of gene therapy drug delivery systems for genetic diseases. Asian J. Pharm. Sci. 2021, 16, 687–703. [Google Scholar] [CrossRef]
- Mintzer, M.A.; Simanek, E.E. Nonviral vectors for gene delivery. Chem. Rev. 2009, 109, 259–302. [Google Scholar] [CrossRef] [PubMed]
- Qie, B.; Tuo, J.; Chen, F.; Ding, H.; Lyu, L. Gene therapy for genetic diseases: Challenges and future directions. MedComm 2025, 6, e70091. [Google Scholar] [CrossRef] [PubMed]
- Sharma, D.; Arora, S.; Singh, J.; Layek, B.A. Review of the tortuous path of nonviral gene delivery and recent progress. Int. J. Biol. Macromol. 2021, 183, 2055–2073. [Google Scholar] [CrossRef]
- De Smedt, S.C.; Demeester, J.; Hennink, W.E. Cationic polymer based gene delivery systems. Pharm. Res. 2000, 17, 113–126. [Google Scholar] [CrossRef]
- Cai, X.; Dou, R.; Guo, C.; Tang, J.; Li, X.; Chen, J.; Zhang, J. Cationic polymers as transfection reagents for nucleic acid delivery. Pharmaceutics 2023, 15, 1502. [Google Scholar] [CrossRef]
- Malloggi, C.; Pezzoli, D.; Magagnin, L.; De Nardo, L.; Mantovani, D.; Tallarita, E.; Candiani, G. Comparative evaluation and optimization of off-the-shelf cationic polymers for gene delivery purposes. Polym. Chem. 2015, 6, 6325–6339. [Google Scholar] [CrossRef]
- Degors, I.M.S.; Wang, C.; Rehman, Z.U.; Zuhorn, I.S. Carriers break barriers in drug delivery: Endocytosis and endosomal escape of gene delivery vectors. Acc. Chem. Res. 2019, 52, 1750–1760. [Google Scholar] [CrossRef]
- Casper, J.; Schenk, S.; Parhizkar, E.; Detampel, P.; Dehshahri, A.; Huwyler, J. Polyethylenimine (PEI) in gene therapy: Current status and clinical applications. J. Control. Release 2023, 362, 667–691. [Google Scholar] [CrossRef]
- Hall, A.; Lächelt, U.; Bartek, J.; Wagner, E.; Moghimi, S. Polyplex evolution: Understanding biology, optimizing performance. Mol. Ther. 2017, 25, 147–1490. [Google Scholar] [CrossRef]
- Lv, H.; Zhang, S.; Wang, B.; Cui, S.; Yan, J. Toxicity of cationic lipids and cationic polymers in gene delivery. J. Control. Release 2006, 114, 100–109. [Google Scholar] [CrossRef]
- Ikeda, Y.; Nagasaki, Y. Impacts of PEGylation on the gene and oligonucleotide delivery system. J. Appl. Polym. Sci. 2014, 131, 40293. [Google Scholar] [CrossRef]
- Venault, A.; Huang, Y.-C.; Lo, J.W.; Chou, C.-J.; Chinnathambi, A.; Higuchi, A.; Chen, W.-S.; Chen, W.-Y.; Chang, Y. Tunable PEGylation of branch-type PEI/DNA polyplexes with a compromise of low cytotoxicity and high transgene expression: In vitro and in vivo gene delivery. J. Mater. Chem. B 2017, 5, 4732–4744. [Google Scholar] [CrossRef]
- Uchida, S.; Lau, C.Y.J.; Oba, M.; Miyata, K. Polyplex designs for improving the stability and safety of RNA therapeutics. Adv. Drug Deliv. Rev. 2023, 199, 114972. [Google Scholar] [CrossRef] [PubMed]
- Knop, K.; Hoogenboom, R.; Fischer, D.; Schubert, U. Poly(ethylene glycol) in drug delivery: Pros and cons as well as potential alternatives. Angew. Chem. Int. Ed. 2010, 49, 6288–6308. [Google Scholar] [CrossRef] [PubMed]
- Zalba, S.; ten Hagen, T.; Burgui, C.; Garrido, M. Stealth nanoparticles in oncology: Facing the PEG dilemma. J. Control. Release 2022, 351, 22–36. [Google Scholar] [CrossRef] [PubMed]
- Porello, I.; Bono, N.; Candiani, G.; Cellesi, F. Advancing nucleic acid delivery through cationic polymer design: Non-cationic building blocks from the toolbox. Polym. Chem. 2024, 15, 2800–2826. [Google Scholar] [CrossRef]
- Khan, M. Polymers as efficient non-viral gene delivery vectors: The role of the chemical and physical architecture of macromolecules. Polymers 2024, 16, 2629. [Google Scholar] [CrossRef]
- Muhammad, K.; Zhao, J.; Ullah, I.; Guo, J.; Ren, X.; Feng, Y. Ligand targeting and peptide functionalized polymers as non-viral carriers for gene therapy. Biomater. Sci. 2020, 8, 64–83. [Google Scholar] [CrossRef]
- Zhang, J.; Yang, X.; Chang, Z.; Zhu, W.; Ma, Y.; He, H. Polymeric nanocarriers for therapeutic gene delivery. Asian J. Pharm. Sci. 2025, 20, 101015. [Google Scholar] [CrossRef]
- Luís, M.A.; Goes, M.A.D.; Santos, F.M.; Mesquita, J.; Tavares-Ratado, P.; Tomaz, C.T. Plasmid Gene Therapy for Monogenic Disorders: Challenges and Perspectives. Pharmaceutics 2025, 17, 104. [Google Scholar] [CrossRef]
- Maze, D.; Girardin, C.; Benz, N.; Montier, T.; Pichon, C.; Midoux, P. CFTR and Dystrophin Encoding Plasmids Carrying Both Luciferase Reporter Gene, Nuclear Import Specific Sequences and Triple Helix Sites. Plasmid 2023, 127, 102686. [Google Scholar] [CrossRef]
- Martínez-Puente, D.H.; Pérez-Trujillo, J.J.; Zavala-Flores, L.M.; García-García, A.; Villanueva-Olivo, A.; Rodríguez-Rocha, H.; Valdés, J.; Saucedo-Cárdenas, O.; Montes de Oca-Luna, R.; Loera-Arias, M. de J. Plasmid DNA for Therapeutic Applications in Cancer. Pharmaceutics 2022, 14, 1861. [Google Scholar] [CrossRef] [PubMed]
- Shahriar, S.M.S.; An, J.M.; Hasan, M.N.; Surwase, S.S.; Kim, Y.-C.; Lee, D.Y.; Cho, S.; Lee, Y. Plasmid DNA Nanoparticles for Nonviral Oral Gene Therapy. Nano Lett. 2021, 21, 4666–4675. [Google Scholar] [CrossRef] [PubMed]
- Nolan, N.D.; Cui, X.; Robbings, B.M.; Demirkol, A.; Pandey, K.; Wu, W.-H.; Hu, H.F.; Jenny, L.A.; Lin, C.-S.; Hass, D.T.; et al. CRISPR editing of anti-anemia drug target rescues independent preclinical models of retinitis pigmentosa. Cell Rep. Med. 2024, 5, 101459. [Google Scholar] [CrossRef] [PubMed]
- Li, T.; Yang, Y.; Qi, H.; Cui, W.; Zhang, L.; Fu, X.; He, X.; Liu, M.; Li, P.; Yu, T. CRISPR/Cas9 therapeutics: Progress and prospects. Sig. Transduct. Target. Ther. 2023, 8, 36. [Google Scholar] [CrossRef]
- Lan, T.; Chen, H.; Tang, C.; Wei, Y.; Liu, Y.; Zhou, J.; Zhuang, Z.; Zhang, Q.; Chen, M.; Zhou, X.; et al. Mini-PE, a prime editor with Compact Cas9 and truncated reverse transcriptase. Mol. Ther. Nucleic Acids 2023, 33, 890–897. [Google Scholar] [CrossRef]
- Zhang, B.-C.; Luo, B.-Y.; Zou, J.-J.; Wu, P.-Y.; Jiang, J.-L.; Le, J.-Q.; Zhao, R.-R.; Chen, L.; Shao, J.-W. Co-delivery of Sorafenib and CRISPR/Cas9 based on targeted core–shell hollow mesoporous organosilica nanoparticles for synergistic HCC therapy. ACS Appl. Mater. Interfaces 2020, 12, 57362–57372. [Google Scholar] [CrossRef]
- Izco, M.; Blesa, J.; Schleef, M.; Schmeer, M.; Porcari, R.; Al-Shawi, R.; Ellmerich, S.; de Toro, M.; Gardiner, C.; Seow, Y.; et al. Systemic exosomal delivery of ShRNA minicircles prevents Parkinsonian pathology. Mol. Ther. 2019, 27, 2111–2122. [Google Scholar] [CrossRef]
- Tsai, Y.; Teng, I.; Jiang, S.; Lee, Y.; Chiou, Y.; Cheng, F. Safe nanocomposite-mediated efficient delivery of microRNA plasmids for autosomal dominant polycystic kidney disease (ADPKD) therapy. Adv. Healthc. Mater. 2019, 8, 1801358. [Google Scholar] [CrossRef]
- Gül, A.; Erkunt Alak, S.; Can, H.; Karakavuk, M.; Korukluoğlu, G.; Altaş, A.B.; Gül, C.; Karakavuk, T.; Köseoğlu, A.E.; Ülbeği Polat, H.; et al. Immunogenicity and protection efficacy of a COVID-19 DNA vaccine encoding spike protein with D614G mutation and optimization of large-scale DNA vaccine production. Sci. Rep. 2024, 14, 13865. [Google Scholar] [CrossRef]
- Shariati, A.; Khezrpour, A.; Shariati, F.; Afkhami, H.; Yarahmadi, A.; Alavimanesh, S.; Kamrani, S.; Modarressi, M.H.; Khani, P. DNA vaccines as promising immuno-therapeutics against cancer: A new insight. Front. Immunol. 2025, 15, 1498431. [Google Scholar] [CrossRef] [PubMed]
- Chakraborty, A.; Ravi, S.P.; Shamiya, Y.; Cui, C.; Paul, A. Harnessing the physicochemical properties of DNA as a multifunctional biomaterial for biomedical and other applications. Chem. Soc. Rev. 2021, 50, 7779–7819. [Google Scholar] [CrossRef] [PubMed]
- Møller Sønderskov, S.; Hyldgaard Klausen, L.; Amland Skaanvik, S.; Han, X.; Dong, M. In situ surface charge density visualization of self-assembled DNA nanostructures after ion exchange. ChemPhysChem 2020, 21, 1474–1482. [Google Scholar] [CrossRef] [PubMed]
- Liu, F.; Shollenberger, L.M.; Conwell, C.C.; Yuan, X.; Huang, L. Mechanism of naked DNA clearance after intravenous injection. J. Gene Med. 2007, 9, 613–619. [Google Scholar] [CrossRef]
- Rattan, R.; Bielinska, A.U.; Banaszak Holl, M.M. Quantification of cytosolic plasmid DNA degradation using high-throughput sequencing: Implications for gene delivery. J. Gene Med. 2014, 16, 75–83. [Google Scholar] [CrossRef][Green Version]
- Hameed, H.; Sarwar, H.S.; Younas, K.; Zaman, M.; Jamshaid, M.; Irfan, A.; Khalid, M.; Sohail, M.F. Exploring the potential of nanomedicine for gene therapy across the physicochemical and cellular barriers. Funct. Integr. Genom. 2024, 24, 177. [Google Scholar] [CrossRef]
- Li, Y.; Tian, R.; Xu, J.; Zou, Y.; Wang, T.; Liu, J. Recent developments of polymeric delivery systems in gene therapeutics. Polym. Chem. 2024, 15, 1908–1931. [Google Scholar] [CrossRef]
- Butt, M.; Zaman, M.; Ahmad, A.; Khan, R.; Mallhi, T.; Hasan, M.; Khan, Y.; Hafeez, S.; Massoud, E.; Rahman, M.; et al. Appraisal for the potential of viral and nonviral vectors in gene therapy: A review. Genes 2022, 13, 1370. [Google Scholar] [CrossRef]
- Veleva-Kostadinova, E.; Dimitrov, I.; Toncheva-Moncheva, N.; Novakov, C.; Momekova, D.; Rangelov, S. Nanoparticulate polyelectrolyte complexes of thermally sensitive poly(L-lysine)-based copolymers and DNA. Eur. Polym. J. 2018, 102, 219–230. [Google Scholar] [CrossRef]
- Morys, S.; Levacic, A.K.; Urnauer, S.; Kempter, S.; Kern, S.; Rädler, J.O.; Spitzweg, C.; Lächelt, U.; Wagner, E. Influence of defined hydrophilic blocks within oligoaminoamide copolymers: Compaction versus shielding of PDNA nanoparticles. Polymers 2017, 9, 142. [Google Scholar] [CrossRef]
- Wang, Y.; Ye, M.; Xie, R.; Gong, S. Enhancing the in vitro and in vivo stabilities of polymeric nucleic acid delivery nanosystems. Bioconjugate Chem. 2019, 30, 325–337. [Google Scholar] [CrossRef]
- Provencher, S.W. Inverse problems in polymer characterization: Direct analysis of polydispersity with photon correlation spectroscopy. Makromol. Chem. 1979, 180, 201–209. [Google Scholar] [CrossRef]
- Petiti, J.; Revel, L.; Divieto, C. Standard operating procedure to optimize resazurin-based viability assays. Biosensors 2024, 14, 156. [Google Scholar] [CrossRef]
- Eriksson, I.; Vainikka, L.; Persson, H.L.; Öllinger, K. Real-time monitoring of lysosomal membrane permeabilization using acridine orange. Methods Protoc. 2023, 6, 72. [Google Scholar] [CrossRef]
- Patrakova, E.; Biryukov, M.; Troitskaya, O.; Gugin, P.; Milakhina, E.; Semenov, D.; Poletaeva, J.; Ryabchikova, E.; Novak, D.; Kryachkova, N.; et al. Chloroquine enhances death in lung adenocarcinoma A549 cells exposed to cold atmospheric plasma jet. Cells 2023, 12, 290. [Google Scholar] [CrossRef] [PubMed]
- Maury, B.; Gonçalves, C.; Tresset, G.; Zeghal, M.; Cheradame, H.; Guégan, P.; Pichon, C.; Midoux, P. Influence of PDNA availability on transfection efficiency of polyplexes in non-proliferative cells. Biomaterials 2014, 35, 5977–5985. [Google Scholar] [CrossRef] [PubMed]
- Haladjova, E.; Panseri, S.; Montesi, M.; Rossi, A.; Skandalis, A.; Pispas, S.; Rangelov, S. Influence of DNA type on the physicochemical and biological properties of polyplexes based on star polymers bearing different amino functionalities. Polymers 2023, 15, 894. [Google Scholar] [CrossRef] [PubMed]
- Jiang, Y.; Reineke, T.M.; Lodge, T.P. Complexation of DNA with cationic copolymer micelles: Effects of DNA length and topology. Macromolecules 2018, 51, 1150–1160. [Google Scholar] [CrossRef]
- Thünemann, A.F.; Müller, M.; Dautzenberg, H.; Joanny, J.-F.; Löwen, H. Polyelectrolyte complexes. In Polyelectrolytes with Defined Molecular Architecture II; Schmidt, M., Ed.; Springer: Berlin, Germany, 2004; pp. 113–171. [Google Scholar] [CrossRef]
- Perevyazko, I.Y.; Bauer, M.; Pavlov, G.M.; Hoeppener, S.; Schubert, S.; Fischer, D.; Schubert, U.S. Polyelectrolyte complexes of DNA and linear PEI: Formation, composition and properties. Langmuir 2012, 28, 16167–16176. [Google Scholar] [CrossRef]
- Lawson, J.L.; Sekar, R.P.; Wright, A.R.E.; Wheeler, G.; Yanes, J.; Estridge, J.; Johansen, C.G.; Farnsworth, N.L.; Kumar, P.; Tay, J.W.; et al. The spatial distribution of lipophilic cations in gradient copolymers regulates polymer–pDNA complexation, polyplex aggregation, and intracellular pDNA delivery. Biomacromolecules 2024, 25, 6855–6870. [Google Scholar] [CrossRef]
- Afratis, N.; Gialeli, C.; Nikitovic, D.; Tsegenidis, T.; Karousou, E.; Theocharis, A.D.; Pavão, M.S.; Tzanakakis, G.N.; Karamanos, N.K. Glycosaminoglycans: Key players in cancer cell biology and treatment. FEBS J. 2012, 279, 1177–1197. [Google Scholar] [CrossRef]
- Gwak, S.-J.; Macks, C.; Bae, S.; Cecil, N.; Lee, J.S. Physicochemical stability and transfection efficiency of cationic amphiphilic copolymer/pDNA polyplexes for spinal cord injury repair. Sci. Rep. 2017, 7, 11247. [Google Scholar] [CrossRef]
- Sousa, F.; Prazeres, D.M.F.; Queiroz, J.A. Improvement of transfection efficiency by using supercoiled plasmid DNA purified with arginine affinity chromatography. J. Gene Med. 2009, 11, 79–88. [Google Scholar] [CrossRef]
- Dhanoya, A.; Chain, B.M.; Keshavarz-Moore, E. The impact of DNA topology on polyplex uptake and transfection efficiency in mammalian cells. J. Biotechnol. 2011, 155, 377–386. [Google Scholar] [CrossRef]
- Remaut, K.; Sanders, N.N.; Fayazpour, F.; Demeester, J.; De Smedt, S.C. Influence of plasmid DNA topology on the transfection properties of DOTAP/DOPE lipoplexes. J. Control. Release 2006, 115, 335–343. [Google Scholar] [CrossRef] [PubMed]
- Nguyen, D.N.; Ko, P.; Roper, B.; Console, G.; Gao, Y.; Shaw, D.; Yu, C.; Yehl, P.; Zhang, K.; Goyon, A. Analytical and functional characterization of plasmid DNA topological forms and multimers. Anal. Chem. 2024, 96, 12801–12808. [Google Scholar] [CrossRef] [PubMed]
- Kim, K.; Ryu, K.; Cho, H.; Shim, M.S.; Cho, Y.-Y.; Lee, J.Y.; Lee, H.S.; Kang, H.C. Effects of decomplexation rates on ternary gene complex transfection with α-poly(L-lysine) or ε-poly(L-lysine) as a decomplexation controller in an easy-to-transfect cell or a hard-to-transfect cell. Pharmaceutics 2020, 12, 490. [Google Scholar] [CrossRef] [PubMed]
- Landi, A.; Babiuk, L.A.; van Drunen Littel-van den Hurk, S. High transfection efficiency, gene expression, and viability of monocyte-derived human dendritic cells after nonviral gene transfer. J. Leukoc. Biol. 2007, 82, 849–860. [Google Scholar] [CrossRef]
- Muñoz-Úbeda, M.; Misra, S.K.; Barrán-Berdón, A.L.; Datta, S.; Aicart-Ramos, C.; Castro-Hartmann, P.; Kondaiah, P.; Junquera, E.; Bhattacharya, S.; Aicart, E. How does the spacer length of cationic gemini lipids influence the lipoplex formation with plasmid DNA? Physicochemical and biochemical characterizations and their relevance in gene therapy. Biomacromolecules 2012, 13, 3926–3937. [Google Scholar] [CrossRef]
- Lau, C.Y.J.; Kinoh, H.; Liu, X.; Feng, J.; Aulia, F.; Taniwaki, K.; Qiao, N.; Ogura, S.; Naito, M.; Miyata, K. Structurally dynamic polyplexes enhance sentinel lymph node delivery of antisense oligonucleotides to inhibit breast cancer recurrence and metastasis. J. Am. Chem. Soc. 2025, in press. [Google Scholar] [CrossRef]
- Kim, K.; Hwang, H.S.; Shim, M.S.; Cho, Y.-Y.; Lee, J.Y.; Lee, H.S.; Kang, H.C. Controlling complexation/decomplexation and sizes of polymer-based electrostatic pDNA polyplexes is one of the key factors in effective transfection. Colloids Surf. B Biointerfaces 2019, 184, 110497. [Google Scholar] [CrossRef]
- Lai, E.; van Zanten, J.H. Monitoring DNA/poly-L-lysine polyplex formation with time-resolved multiangle laser light scattering. Biophys. J. 2001, 80, 864–873. [Google Scholar] [CrossRef][Green Version]
- van de Wetering, P.; Cherng, J.-Y.; Talsma, H.; Hennink, W.E. Relation between transfection efficiency and cytotoxicity of poly(2-(dimethylamino)ethyl methacrylate)/plasmid complexes. J. Control. Release 1997, 49, 59–69. [Google Scholar] [CrossRef]
- Toy, R.; Pradhan, P.; Ramesh, V.; Di Paolo, N.C.; Lash, B.; Liu, J.; Blanchard, E.L.; Pinelli, C.J.; Santangelo, P.J.; Shayakhmetov, D.M.; et al. Modification of primary amines to higher order amines reduces in vivo hematological and immunotoxicity of cationic nanocarriers through TLR4 and complement pathways. Biomaterials 2019, 225, 119512. [Google Scholar] [CrossRef] [PubMed]
- Tay, A.; Melosh, N. Transfection with nanostructure electro-injection is minimally perturbative. Adv. Ther. 2019, 2, 1900133. [Google Scholar] [CrossRef] [PubMed]
- Fornaciari, B.; Juvenal, M.S.; Martins, W.K.; Junqueira, H.C.; Baptista, M.S. Photodynamic activity of acridine orange in keratinocytes under blue light irradiation. Photochem 2023, 3, 209–226. [Google Scholar] [CrossRef]
- Mattia, C.A.; Mazzarella, L.; Vitagliano, V.; Puliti, R. Stacking interactions in the acridine dyes: Spectrophotometric data and crystal structure of acridine orange hydroiodide and acridine orange hydrochloride monohydrate. J. Cryst. Spectrosc. 1984, 14, 71–87. [Google Scholar] [CrossRef]








| Sample Code | Copolymer Composition | Mn a (g/mol) | Mn b (g/mol) | Đ b | DP of PLL Block a |
|---|---|---|---|---|---|
| PNL-10 | (PNIPAm)77-graft-(PEG)9-block-(PLL)10 | 15,200 | 6300 | 1.23 | 10 |
| PNL-20 | (PNIPAm)77-graft-(PEG)9-block-(PLL)20 | 17,300 | 6800 | 1.23 | 20 |
| PNL-37 | (PNIPAm)77-graft-(PEG)9-block-(PLL)37 | 20,800 | 5200 | 1.18 | 37 |
| PNL-65 | (PNIPAm)77-graft-(PEG)9-block-(PLL)65 | 26,700 | 5800 | 1.19 | 65 |
| Copolymer | IC50 on the Corresponding Cell Line (µg/mL) | |||||||||
|---|---|---|---|---|---|---|---|---|---|---|
| PC3 | H1299 | HCC827 | SK-MEL-30 | HaCaT | ||||||
| 48 h | 72 h | 48 h | 72 h | 48 h | 72 h | 48 h | 72 h | 48 h | 72 h | |
| PNL-10 | 173.4 | 195.6 | 132.8 | 142.6 | 193.0 | 199.0 | 89.02 | 94.03 | 161.2 | 149.1 |
| PNL-20 | 97.87 | 105.5 | 90.08 | 87.29 | 77.20 | 85.03 | 55.19 | 50.00 | 120.1 | 120.4 |
| PNL-37 | 68.22 | 81.49 | 57.09 | 51.05 | 66.41 | 61.95 | 30.25 | 25.40 | 57.51 | 51.03 |
| PNL-65 | 47.30 | 54.18 | 37.46 | 41.68 | 50.99 | 57.25 | 28.72 | 27.85 | 45.51 | 45.75 |
| Copolymer/ Method | N/P | Rg (nm) | Rg/Rh | 104 × A2 (mL·mol/g2) | 10−6 × Mw (g/mol) | pDNA per Complex | ρ (g/mL) |
|---|---|---|---|---|---|---|---|
| PNL-20/H | 3 | 48.7 | 1.30 | −0.75 | 16.1 | 4 | 0.121 |
| 6 | 46.0 | 1.30 | 0.48 | 10.7 | 3 | 0.096 | |
| 12 | 61.4 | 1.73 | 1.54 | 5.3 | 1 | 0.033 | |
| 18 | 62.7 | 1.79 | 0.15 | 5.2 | 1 | 0.048 | |
| PNL-37/RT | 3 | 42.9 | 1.26 | 0.40 | 23.5 | 7 | 0.237 |
| 6 | 45.0 | 1.38 | 4.97 | 11.5 | 3 | 0.132 | |
| 12 | 48.2 | 1.72 | −0.10 | 6.6 | 2 | 0.119 | |
| 18 | 39.0 | 1.32 | 2.60 | 4.1 | 1 | 0.063 | |
| PNL-65/H-C | 3 | 41.4 | 1.24 | 0.70 | 23.7 | 7 | 0.253 |
| 6 | 42.7 | 1.24 | 3.70 | 12.1 | 3 | 0.117 | |
| 12 | 46.0 | 1.39 | 3.80 | 6.2 | 1 | 0.068 | |
| 18 | 45.0 | 1.34 | 3.80 | 4.6 | 1 | 0.048 |
Disclaimer/Publisher’s Note: The statements, opinions and data contained in all publications are solely those of the individual author(s) and contributor(s) and not of MDPI and/or the editor(s). MDPI and/or the editor(s) disclaim responsibility for any injury to people or property resulting from any ideas, methods, instructions or products referred to in the content. |
© 2025 by the authors. Licensee MDPI, Basel, Switzerland. This article is an open access article distributed under the terms and conditions of the Creative Commons Attribution (CC BY) license (https://creativecommons.org/licenses/by/4.0/).
Share and Cite
Kotmakci, M.; Toncheva-Moncheva, N.; Tarkavannezhad, S.; Debelec Butuner, B.; Dimitrov, I.; Rangelov, S. Plasmid DNA Delivery to Cancer Cells with Poly(L-lysine)-Based Copolymers Bearing Thermally Sensitive Segments: Balancing Polyplex Tightness, Transfection Efficiency, and Biocompatibility. Pharmaceutics 2025, 17, 1012. https://doi.org/10.3390/pharmaceutics17081012
Kotmakci M, Toncheva-Moncheva N, Tarkavannezhad S, Debelec Butuner B, Dimitrov I, Rangelov S. Plasmid DNA Delivery to Cancer Cells with Poly(L-lysine)-Based Copolymers Bearing Thermally Sensitive Segments: Balancing Polyplex Tightness, Transfection Efficiency, and Biocompatibility. Pharmaceutics. 2025; 17(8):1012. https://doi.org/10.3390/pharmaceutics17081012
Chicago/Turabian StyleKotmakci, Mustafa, Natalia Toncheva-Moncheva, Sahar Tarkavannezhad, Bilge Debelec Butuner, Ivaylo Dimitrov, and Stanislav Rangelov. 2025. "Plasmid DNA Delivery to Cancer Cells with Poly(L-lysine)-Based Copolymers Bearing Thermally Sensitive Segments: Balancing Polyplex Tightness, Transfection Efficiency, and Biocompatibility" Pharmaceutics 17, no. 8: 1012. https://doi.org/10.3390/pharmaceutics17081012
APA StyleKotmakci, M., Toncheva-Moncheva, N., Tarkavannezhad, S., Debelec Butuner, B., Dimitrov, I., & Rangelov, S. (2025). Plasmid DNA Delivery to Cancer Cells with Poly(L-lysine)-Based Copolymers Bearing Thermally Sensitive Segments: Balancing Polyplex Tightness, Transfection Efficiency, and Biocompatibility. Pharmaceutics, 17(8), 1012. https://doi.org/10.3390/pharmaceutics17081012

