Wound Healing Effects of New Cream Formulations with Herbal Ingredients
Abstract
1. Introduction
2. Materials and Methods
2.1. Materials
2.2. Preparation of the Cream Formulations
2.2.1. Pre-Formulation Studies
2.2.2. Preparation of the Creams
2.3. Characterization Studies of the Creams
Stability Tests
2.4. Determination of Wound Healing Potential of the Creams
2.4.1. Excisional Wound Model
2.4.2. Determination of Wound Contraction Rate
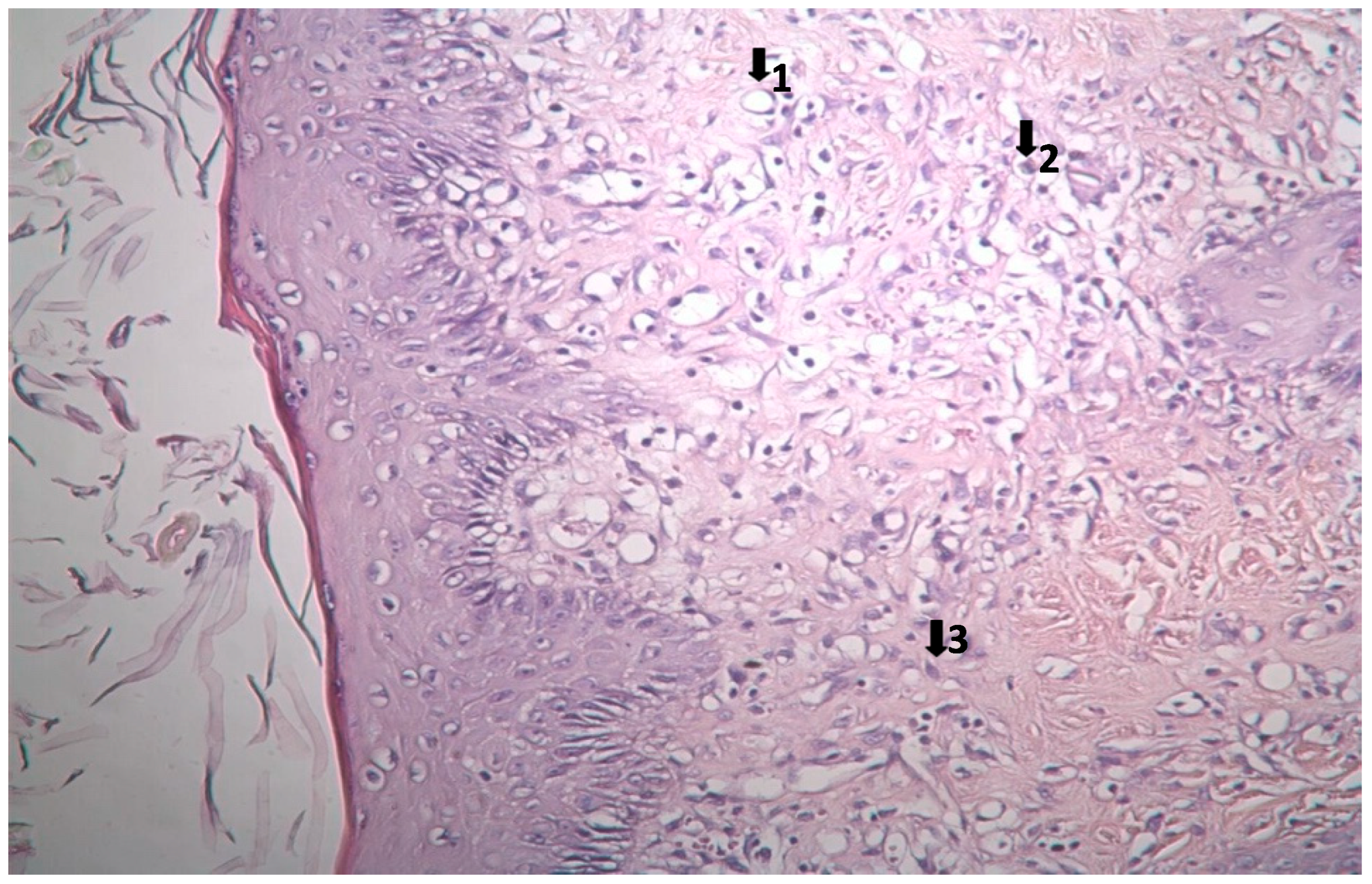
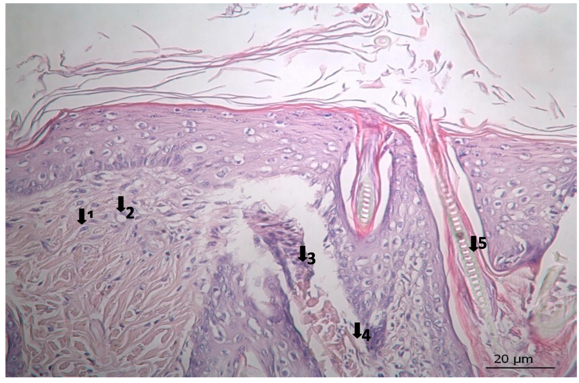
2.4.3. Histopathological Evaluations
2.4.4. Evaluation of Full Skin Thickness
2.4.5. Analysis of Data
3. Results
3.1. Development of the Formulations and Stability Results
3.2. Wound Healing Efficacy of the Creams
3.2.1. Wound Contraction Rate
3.2.2. Full Skin Thickness
3.3. Histopathological Results
4. Discussion
5. Conclusions
Author Contributions
Funding
Institutional Review Board Statement
Informed Consent Statement
Data Availability Statement
Conflicts of Interest
References
- Tottoli, E.M.; Dorati, R.; Genta, I.; Chiesa, E.; Pisani, S.; Conti, B. Skin Wound Healing Process and New Emerging Technologies for Skin Wound Care and B Regeneration. Pharmaceutics 2020, 12, 735. [Google Scholar] [CrossRef] [PubMed]
- Patenall, B.L.; Carter, K.A.; Ramsey, M.R. Kick-Starting Wound Healing: A Review of Pro-Healing Drugs. Int. J. Mol. Sci. 2024, 25, 1304. [Google Scholar] [CrossRef]
- Fernández-Guarino, M.; Hernández-Bule, M.L.; Bacci, S. Cellular and Molecular Processes in Wound Healing. Biomedicines 2023, 11, 2526. [Google Scholar] [CrossRef] [PubMed]
- Shelke, R.V.; Sarukh, V.S. Wound Healing Pathways and Treatment: A Comprehensive Review. Int. J. Sci. Res. Technol. 2024, 1, 13–18. [Google Scholar]
- Wallace, H.A.; Basehore, B.M.; Zito, P.M. Wound Healing Phases. In StatPearls; StatPearls: Petersburg, FL, USA, 2025. [Google Scholar]
- Landén, N.X.; Li, D.; Ståhle, M. Transition from inflammation to proliferation: A critical step during wound healing. Cell. Mol. Life Sci. 2016, 73, 3861–3885. [Google Scholar] [CrossRef] [PubMed]
- Physiopedia. Wound Healing. Available online: https://www.physio-pedia.com/index.php?title=Wound_Healing&oldid=365861 (accessed on 8 April 2025).
- Gurtner, G.C.; Werner, S.; Barrandon, Y.; Longaker, M.T. Wound Repair and Regeneration. Nature 2008, 453, 314–321. [Google Scholar] [CrossRef]
- Yazarlu, O.; Iranshahi, M.; Khayat Kashani, H.R.; Reshadat, S.; Habtemariam, S.; Iranshahy, M.; Hasanpour, M. Perspective on the Application of Medicinal Plants and Natural Products in Wound Healing: A Mechanistic Review. Pharmacol. Res. 2021, 174, 105841. [Google Scholar] [CrossRef]
- Xu, Z.; Dong, M.; Yin, S.; Dong, J.; Zhang, M.; Tian, R.; Qiao, H.; Chen, J. Why Traditional Herbal Medicine Promotes Wound Healing: Research From Immune Response, Wound Microbiome to Controlled Delivery. Adv. Drug Deliv. Rev. 2023, 195, 114764. [Google Scholar] [CrossRef]
- Farasati Far, B.; Gouranmohit, G.; Naimi-Jamal, M.R.; Neysani, E.; El-Nashar, H.A.S.; El-Shazly, M.; Khoshnevisan, K. The Potential Role of Hypericum perforatum in Wound Healing: A Literature Review on the Phytochemicals, Pharmacological Approaches, and Mechanistic Perspectives. Phytother. Res. 2024, 38, 3271–3295. [Google Scholar] [CrossRef]
- Rezai, S.; Rahzani, K.; Hekmatpou, D.; Rostami, A. Effect of Oral Calendula Officinalis on Second-Degree Burn Wound Healing. Scars Burn. Heal. 2023, 9, 20595131221134053. [Google Scholar] [CrossRef]
- Schempp, C.M.; Winghofer, B.; Lüdtke, R.; Simon-Haarhaus, B.; Schöpf, E.; Simon, J.C. Topical Application of St. John’s Wort (Hypericum perforatum) Improves Wound Healing in Pigs. Dermatology 2003, 207, 326–332. [Google Scholar]
- Süntar, I.P.; Akkol, E.K.; Keleş, H.; Oktem, A.; Başer, K.H.C.; Yeşilada, E. A Novel Wound Healing Ointment: A Formulation of Hypericum perforatum Oil and Sage and Oregano Essential Oils Based on Traditional Turkish Knowledge. J. Ethnopharmacol. 2011, 134, 89–96. [Google Scholar] [CrossRef] [PubMed]
- Küçükkurt, I.; Ince, S.; Keleş, H.; Akkol, E.K.; Avci, G.; Yeşilada, E.; Bacak, E. Beneficial Effects of Aesculus Hippocastanum Seed Extract on Oxidative Status in Rats. J. Ethnopharmacol. 2010, 129, 18–22. [Google Scholar] [CrossRef] [PubMed]
- Hormozi, M.; Assaei, R.; Boroujeni, M.B. The Effect of Aloe Vera on the Expression of Wound Healing Factors (TGFβ1 and bFGF) in Mouse Embryonic Fibroblast Cell: In Vitro Study. Biomed. Pharmacother. 2017, 88, 610–617. [Google Scholar] [CrossRef] [PubMed]
- Savić, V.L.J.; Nikolić, V.D.; Arsić, I.A.; Stanojević, L.P.; Najman, S.J.; Stojanović, S.; Mladenović-Ranisavljević, I.I. Comparative Study of the Biological Activity of Allantoin and Aqueous Extract of the Comfrey Root. Phytother. Res. 2015, 29, 1117–1122. [Google Scholar] [CrossRef]
- Mârza, S.M.; Dăescu, A.M.; Purdoiu, R.C.; Dragomir, M.; Tătaru, M.; Melega, I.; Nagy, A.L.; Gal, A.; Tăbăran, F.; Bogdan, S.; et al. Healing of Skin Wounds in Rats Using Creams Based on Symphytum Officinale Extract. Int. J. Mol. Sci. 2024, 25, 3099. [Google Scholar] [CrossRef]
- Baytop, T. Therapy with Medicinal Plants in Turkey (Past and Present). Publ. Istanb. Univ. 1999, 312, 2–3. [Google Scholar]
- Efe, A. Liquidambar Orientalis Mill. (Sığla Ağacı)’in morfolojik ve palinolojik özellikleri üzerine araştırmalar. J. Fac. For. Istanb. Univ. 2014, 47, 58414. [Google Scholar]
- Sağdiç, O.; Ozkan, G.; Ozcan, M.; Ozçelik, S. A Study on Inhibitory Effects of Siğla Tree (Liquidambar orientalis Mill. Var. orientalis) Storax Against Several Bacteria. Phytother. Res. 2005, 19, 549–551. [Google Scholar] [CrossRef]
- Keyvan, E.; Tutun, H.; Kahraman, H.A.; Şen, E.; Demirtaş, A.; Dönmez, S.; Akyüz, A.Ö. Determination of Time Dependent Antibacterial Activities of Curcumin, Carvacrol and Styrax Liquidus on Salmonella Enteritidis. Ank. Univ. Vet. Fak. Derg. 2022, 69, 355–360. [Google Scholar] [CrossRef]
- Gurbuz, I.; Yesilada, E.; Demirci, B.; Sezik, E.; Demirci, F.; Baser, K.H.C. Characterization of Volatiles and Anti-Ulcerogenic Effect of Turkish Sweetgum Balsam (Styrax Liquidus). J. Ethnopharmacol. 2013, 143, 332–336. [Google Scholar] [CrossRef] [PubMed]
- Honda, G.; Yeşilada, E.; Tabata, M.; Sezik, E.; Fujita, T.; Takeda, Y.; Takaishi, Y.; Tanaka, T. Traditional Medicine in Turkey VI. Folk Medicine in West Anatolia: Afyon, Kütahya, Denizli, Muğla, Aydin Provinces. J. Ethnopharmacol. 1996, 53, 75–87. [Google Scholar] [PubMed]
- Özcan Aykol, Ş.M.; Doğanay, D. Antibacterial Effect of Liquidambar orientalis Miller Resin on Nosocomial Infection Agents. Int. J. Basic Clin. Stud. 2022, 11, 58–66. [Google Scholar]
- Lingbeck, J.M.; O’Bryan, C.A.; Martin, E.M.; Adams, J.P.; Crandall, P.G. Sweetgum: An Ancient Source of Beneficial Compounds with Modern Benefits. Pharmacogn. Rev. 2015, 9, 1–11. [Google Scholar]
- Aşkun, T.; Kürkçüoğlu, M.; Güner, P. Anti-Mycobacterial Activity and Chemical Composition of Essential Oils and Phenolic Extracts of the Balsam of Liquidambar orientalis Mill. (Altingiaceae). Turk. J. Bot. 2021, 45, 800–808. [Google Scholar] [CrossRef]
- Büyükkılıç Altınbaşak, B.; Issa, G.; Zengin Kurt, B.; Demirci, B. Biological Activities and Chemical Composition of Turkish Sweetgum Balsam (Styrax Liquidus) Essential Oil. Bezmialem Sci. 2022, 10, 709–715. [Google Scholar] [CrossRef]
- Charehsaz, M.; Reis, R.; Helvacioglu, S.; Sipahi, H.; Guzelmeric, E.; Acar, E.T.; Cicek, G.; Yesilada, E.; Aydin, A. Safety Evaluation of Styrax Liquidus From the Viewpoint of Genotoxicity and Mutagenicity. J. Ethnopharmacol. 2016, 194, 506–512. [Google Scholar] [CrossRef]
- Duran, T.; Tuncer, Z. Investigation of Cytotoxic and Apoptotic Effects of Styrax Liquidus Obtained From Liquidambar orientalis Miller (Hamamelidaceae) on HEp-2 Cancer Cell with Caspase Pathway. Eurasian. J. Med. 2023, 55, 185–191. [Google Scholar]
- Atmaca, H.; Camli Pulat, C.; Cittan, M. Liquidambar orientalis Mill. Gum Extract Induces Autophagy via PI3K/Akt/mTOR Signaling Pathway in Prostate Cancer Cells. Int. J. Environ. Health Res. 2022, 32, 1011–1019. [Google Scholar] [CrossRef]
- Çetinkaya, S.; Çınar Ayan, İ.; Süntar, İ.; Dursun, H.G. The Phytochemical Profile and Biological Activity of Liquidambar orientalis Mill. Var. Orientalis via NF-κB and Apoptotic Pathways in Human Colorectal Cancer. Nutr. Cancer 2022, 74, 1457–1473. [Google Scholar] [CrossRef]
- Ferraz, M.P. Wound Dressing Materials: Bridging Material Science and Clinical Practice. Appl. Sci. 2025, 15, 1725. [Google Scholar] [CrossRef]
- Nuutila, K.; Eriksson, E. Moist Wound Healing with Commonly Available Dressings. Adv. Wound Care 2021, 10, 685–698. [Google Scholar] [CrossRef] [PubMed]
- Srivastava, G.K.; Martinez-Rodriguez, S.; Md Fadilah, N.I.; Looi Qi Hao, D.; Markey, G.; Shukla, P.; Fauzi, M.B.; Panetsos, F. Progress in Wound-Healing Products Based on Natural Compounds, Stem Cells, and MicroRNA-Based Biopolymers in the European, USA, and Asian Markets: Opportunities, Barriers, and Regulatory Issues. Polymers 2024, 16, 1280. [Google Scholar] [CrossRef] [PubMed]
- Wang, G.; Li, J.; Yan, X.; Meng, Y.; Zhang, Y.; Chang, X.; Cai, J.; Liu, S.; Ding, W. Stability and Bioaccessibility of Quercetin-Enriched Pickering Emulsion Gels Stabilized by Cellulose Nanocrystals Extracted from Rice Bran. Polymers 2024, 16, 868. [Google Scholar] [CrossRef]
- Colipa Guidelines on Microbial Quality Management (MQM). Available online: http://www.colipa.com (accessed on 8 April 2025).
- ICH. Q1A(R2) Guideline: Stability Testing of New Drug Substances and Products: CPMP/ICH/2736/99; ICH: London, UK, 2003; pp. 1–20. [Google Scholar]
- Ursica, L.; Tita, D.; Palici, I.; Tita, B.; Vlaia, V. Particle Size Analysis of Some Water/Oil/Water Multiple Emulsions. J. Pharm. Biomed. Anal. 2005, 37, 931–936. [Google Scholar] [CrossRef]
- European Medicines Agency. The European Agency for the Evaluation of Medicinal Products Evaluation of Medicines for Human Use: CPMP/QWP/122/02; European Medicines Agency: London, UK, 2003; pp. 4–18. [Google Scholar]
- World Health Organization. Regional Guideline for The WHO Eastern Mediterranean Region, Stability Testing of Active Substances and Pharmaceutical Products: QAS/06.179; World Health Organization: Geneva, Switzerland, 2006; pp. 1–33. [Google Scholar]
- Wang, S.; Yang, J.; Shao, G.; Qu, D.; Zhao, H.; Yang, L.; Zhu, L.; He, Y.; Liu, H.; Zhu, D. Soy Protein Isolated-Soy Hull Polysaccharides Stabilized O/W Emulsion: Effect of Polysaccharides Concentration on the Storage Stability and Interfacial Rheological Properties. Food Hydrocoll. 2020, 101, 105490. [Google Scholar] [CrossRef]
- Painuly, R.; Anand, W. Examining the Interplay of Hydrolysed Polyacrylamide and Sodium Dodecyl Sulfate on Emulsion Stability: Insights From Turbiscan and Electrocoalescence Studies. Langmuir ACS J. Surf. Colloids 2024, 40, 17710–17721. [Google Scholar] [CrossRef]
- Sarkar, A.; Dickinson, E. Sustainable Food-Grade Pickering Emulsions Stabilized by Plant-Based Particles. Curr. Opin. Colloid Interface Sci. 2020, 49, 69–81. [Google Scholar] [CrossRef]
- Bendjaballah, M.; Canselier, J.P.; Oumeddour, R. Optimization of Oil-in-Water Emulsion Stability: Experimental Design, Multiple Light Scattering, and Acoustic Attenuation Spectroscopy. J. Dispers. Sci. Technol. 2010, 31, 1260–1272. [Google Scholar] [CrossRef]
- Quazi, A.; Patwekar, M.; Patwekar, F.; Mezni, A.; Ahmad, I.; Islam, F. Evaluation of Wound Healing Activity (Excision Wound Model) of Ointment Prepared From Infusion Extract of Polyherbal Tea Bag Formulation in Diabetes-Induced Rats. Evid.-Based Complement. Altern. Med. 2022, 2022, 1372199. [Google Scholar] [CrossRef]
- Jongsomchai, K.; Pudgerd, A.; Sakaew, W.; Wongprasert, K.; Kovensky, J.; Rudtanatip, T. Sulfated Galactan Derivative from Gracilaria fisheri improves histopathology and alters wound healing-related proteins in the skin of excision rats. Front. Biosci. (Landmark Ed.) 2024, 29, 388. [Google Scholar] [CrossRef]
- Suarez-Arnedo, A.; Torres Figueroa, F.; Clavijo, C.; Arbeláez, P.; Cruz, J.C.; Muñoz-Camargo, C. An ImageJ Plugin for the High Throughput Image Analysis of In Vitro Scratch Wound Healing Assays. PLoS ONE 2020, 15, e023256. [Google Scholar] [CrossRef]
- Aragón-Sánchez, J.; Quintana-Marrero, Y.; Aragón-Hernández, C.; Hernández-Herero, M.J. ImageJ: A Free, Easy, and Reliable Method to Measure Leg Ulcers Using Digital Pictures. Int. J. Low. Extrem. Wounds 2017, 16, 269–273. [Google Scholar] [CrossRef]
- Heo, S.C.; Jeon, E.S.; Lee, H.; Kim, H.S.; Kim, M.B.; Kim, J.H. Tumor Necrosis Factor-α-Activated Human Adipose Tissue–Derived Mesenchymal Stem Cells Accelerate Cutaneous Wound Healing Through Paracrine Mechanisms. J. Investig. Dermatol. 2011, 131, 1559–1567. [Google Scholar] [CrossRef]
- Pavlačková, J.; Kovacsová, K.; Radiměřský, P.; Egner, P.; Sedlaříková, J.; Mokrejš, P. Stability and in Vivo Efficiency of Natural Cosmetic Emulsion Systems with the Addition of Vegetable Oils 3. Braz. J. Pharm. Sci. 2018, 54, e17693. [Google Scholar]
- Stan, D.; Tanase, C.; Avram, M.; Apetrei, R.; Mincu, N.B.; Mateescu, A.L.; Stan, D. Wound Healing Applications of Creams and “Smart” Hydrogels. Exp. Dermatol. 2021, 30, 1218–1232. [Google Scholar] [CrossRef] [PubMed]
- Sim, P.; Strudwick, X.; Song, Y.; Cowin, A.; Garg, S. Influence of Acidic pH on Wound Healing In Vivo: A Novel Perspective for Wound Treatment. Int. J. Mol. Sci. 2022, 23, 13655. [Google Scholar] [CrossRef] [PubMed]
- Wroblewska, M.; Winnicka, K. Emollients with natural emulsifier Olivem 1000 as topical formulations for urea or sodium hyaluranate. Acta Pol. Pharm.-Drug Res. 2024, 79, 687–705. [Google Scholar]
- Ocsel, H.; Teke, Z.; Sacar, M.; Kabay, B.; Duzcan, S.E.; Kara, I.G. Effects of Oriental Sweet Gum Storax on Porcine Wound Healing. J. Investig. Surg. 2012, 25, 262–270. [Google Scholar] [CrossRef]
- Raja Asunama, A.S.; Nambi, N.; Radhakrishnan, L.; Prasad, M.K.; Ramkumar, K.M. Neutrophil Migration is a Crucial Factor in Wound Healing and the Pathogenesis of Diabetic Foot Ulcers: Insights Into Pharmacological Interventions. Curr. Vasc. Pharmacol. 2024, 23, 98–112. [Google Scholar] [CrossRef]
- Zhu, H.; Wei, X.; Bian, K.; Murad, F. Effects of Nitric Oxide on Skin Burn Wound Healing. J. Burn Care Res. 2008, 29, 804–814. [Google Scholar] [CrossRef] [PubMed]
- Roman, J. Fibroblasts-Warriors at the Intersection of Wound Healing and Disrepair. Biomolecules 2023, 13, 945. [Google Scholar] [CrossRef]
- Raziyeva, K.; Kim, Y.; Zharkinbekov, Z.; Kassymbek, K.; Jimi, S.; Saparov, A. Immunology of Acute and Chronic Wound Healing. Biomolecules 2021, 11, 700. [Google Scholar] [CrossRef] [PubMed]
- Cialdai, F.; Risaliti, C.; Monici, M. Role of Fibroblasts in Wound Healing and Tissue Remodeling. Front. Bioeng. Biotechnol. 2022, 10, 958381. [Google Scholar] [CrossRef]
- Han, X.; Ju, L.; Irudayaraj, J. Oxygenated Wound Dressings for Hypoxia Mitigation and Enhanced Wound Healing. Mol. Pharm. 2023, 20, 3338–3355. [Google Scholar] [CrossRef] [PubMed]
- Yang, Z.; Ren, K.; Chen, Y.; Quanji, X.; Cai, C.; Yin, J. Oxygen-Generating Hydrogels as Oxygenation Therapy for Accelerated Chronic Wound Healing. Adv. Healthc. Mater. 2023, 13, e2302391. [Google Scholar] [CrossRef]
- Brauer, E.; Lippens, E.; Klein, O.; Nebrich, G.; Schreivogel, S.; Korus, G.; Duda, G.; Petersen, A. Collagen Fibrils Mechanically Contribute to Tissue Contraction in an In Vitro Wound Healing Scenario. Adv. Sci. 2019, 6, 1801780. [Google Scholar] [CrossRef]
- Okan, D.; Woo, K.; Ayello, E.A.; Sibbald, G. The Role of Moisture Balance in Wound Healing. Adv. Skin Wound Care 2007, 20, 39–53. [Google Scholar] [CrossRef]
- Jiménez, F.; Poblet, E.; Izeta, A. Reflections on How Wound Healing-Promoting Effects of the Hair Follicle Can Be Translated Into Clinical Practice. Exp. Dermatol. 2015, 24, 91–94. [Google Scholar] [CrossRef]
- Gong, L.; Xiao, J.; Li, X.; Li, Y.; Gao, X.; Xu, X. IL-36α Promoted Wound Induced Hair Follicle Neogenesis via Hair Follicle Stem/Progenitor Cell Proliferation. Front. Cell Dev. Biol. 2020, 8, 627. [Google Scholar] [CrossRef]








| Trade Name | Manufacturer |
|---|---|
| Cetiol® SB 45 | BASF SE (67056 Ludwigshafen, Rhein, Germany) |
| Fitoderm® | BASF SE (67056 Ludwigshafen, Rhein, Germany) |
| Olivem® 1000 Crystal Skin | Hallstar Darien Manufacturing (Darien, IL 60561, USA) |
| Lanette® O | BASF SE (67056 Ludwigshafen, Rhein, Germany) |
| Myritol®318 | BASF SE (67056 Ludwigshafen, Rhein, Germany) |
| Vaseline® | Sigma Aldrich (St Louis, MO 63103, USA,) |
| Pricerine™ 9091 | Croda International PLC (East Yorkshire DN149AA, UK) |
| EDTA | Merck KGaA, (Darmstad, Germany) |
| Horse Chestnut Ext. 90% | Sami-Sabinsa Group Ltd. (Bengalore 560058, India) |
| Calendula Oil | Provital S.A. (Barcelona, Spain) |
| Aloe vera Powder 100X | Terry Laboratories LLC (Melbourne, FL 32904, USA) |
| Allantoin | Sigma-Aldrich (St Louis, MO 63103, USA) |
| Phytami® St. John’s Wort | Alban Muller by Croda International PLC (East Yorkshire, DN149AA, UK) |
| Uniphen P 23 | Induchem Components Ltd. (Cork P43D959, Ireland) |
| Animal Group Name | Number of Animals | Feeding Method | Wound Care Plan |
|---|---|---|---|
| Control group (C) | 6 | Standard pellet diet and water ad libitum | Untreated |
| PC group | 6 | Standard pellet diet and water ad libitum | PC applied topically once a day |
| M group | 6 | Standard pellet diet and water ad libitum | M applied topically once daily |
| CC group | 6 | Standard pellet diet and water ad libitum | CC applied topically once a day |
| LSC group | 6 | Standard pellet diet and water ad libitum | Levant storax cream applied once daily |
| Ingredients (INCI Names) | Trade Names | PC (w/w) | CC (w/w) | LSC (w/w) |
|---|---|---|---|---|
| Shea butter | Cetiol® SB 45 | 2.80 | 2.80 | 2.80 |
| Squalene | Fitoderm® | 2.80 | 2.80 | 2.80 |
| Cetearyl olivate and sorbitan olivate | Olivem® 1000 Crystal Skin | 6.00 | 6.00 | 6.00 |
| Cetostearyl alcohol | LANETTE® O | 2.00 | 2.00 | 2.00 |
| Caprylic/capric triglyceride | MYRITOL®318 | 7.00 | 7.00 | 7.00 |
| Petroleum jelly | VASELINE® | 7.00 | 7.00 | 7.00 |
| Glycerine | PRICERINE™ | 14.00 | 14.00 | 14.00 |
| Ethylenediaminetetraacetic acid | EDTA | 0.10 | 0.10 | 0.10 |
| Escin 90% | Horsechestnut | ---- | xxx | -------- |
| Calendula Oil | Calendula Oil | ---- | xxx | -------- |
| Aloe Barbadensis leaf juice and maltodextrin | Terry-Spray Aloe vera Powder 100X | -------- | xxx | -------- |
| Allantoin | Allantoin | ---- | xxxxx | -------- |
| Glycerine, Water, Hypericum perforatum extract | Phytami® St. John’s wort | ----- | xxx | -------- |
| Balsam of oriental sweet gum | Oriental sweet gum | ----- | ---- | xxxxxx |
| Methylparaben, Ethyl paraben, Propylparaben, Butylparaben, Isobutyl paraben, Phenoxyethanol | UNIPHEN P23 | 0.80 | 0.80 | 0.80 |
| Deionized Water qs | 100 | 100 | 100 | |
| Name of Cream Formulation | pH | Conductivity (μs/cm) | Viscosity (kcps) | Zeta Potential (mV) |
|---|---|---|---|---|
| PC | 4.85 ± 0.16 | 52.10 ± 3.54 | 33.94 ± 0.27 | 41.65 ± 1.63 |
| CC | 4.18 ± 0.05 | 111.00 ± 1.41 | 39.23 ±2.27 | 36.10 ± 1.13 |
| LSC | 4.47 ± 0.42 | 70.88 ± 4.07 | 71.45 ± 0.93 | 37.70 ± 0.60 |
| T0 | 1th Week | 4th Week | 8th Week | ||||||||||||||
|---|---|---|---|---|---|---|---|---|---|---|---|---|---|---|---|---|---|
| A | C | O | PS | A | C | O | PS | A | C | O | PS | A | C | O | PS | ||
| +4–8 °C | PC | √ | √ | √ | √ | √ | √ | √ | √ | √ | √ | √ | √ | √ | √ | √ | √ |
| CC | √ | √ | √ | √ | √ | √ | √ | √ | √ | √ | √ | √ | √ | √ | √ | √ | |
| LSC | √ | √ | √ | √ | √ | √ | √ | √ | √ | √ | √ | √ | √ | √ | √ | √ | |
| 25 °C ± 2 °C 6O ± 5%RH | PC | √ | √ | √ | √ | √ | √ | √ | √ | √ | √ | √ | √ | √ | √ | √ | √ |
| CC | √ | √ | √ | √ | √ | √ | √ | √ | √ | √ | √ | √ | √ | √ | √ | √ | |
| LSC | √ | √ | √ | √ | √ | √ | √ | √ | √ | √ | √ | √ | √ | √ | √ | √ | |
| Room Temperature | PC | √ | √ | √ | √ | ~ | ~ | ~ | ~ | ~ | ~ | ~ | ~ | √ | √ | √ | √ |
| CC | √ | √ | √ | √ | ~ | ~ | ~ | ~ | ~ | ~ | ~ | ~ | √ | √ | √ | √ | |
| LSC | √ | √ | √ | √ | ~ | ~ | ~ | ~ | ~ | ~ | ~ | ~ | √ | √ | √ | √ | |
| Sampling Time (Weeks) | +4–8 °C | +25 °C ± 2 °C 65% RH | Room Temperature | ||||||
|---|---|---|---|---|---|---|---|---|---|
| PCB1 | PCB2 | PCB3 | PCB1 | PCB2 | PCB3 | PCB1 | PCB2 | PCB3 | |
| Arithmetic Mean Diameter (μm) | |||||||||
| 0 | 0.04 | 0.02 | 0.03 | 0.04 | 0.02 | 0.03 | 0.04 | 0.03 | 0.03 |
| 4 | 0.10 | 0.10 | 0.11 | 0.13 | 0.11 | 0.15 | 0.17 | 0.15 | 0.13 |
| 8 | 0.21 | 0.10 | 0.14 | 0.16 | 0.20 | 0.21 | 0.16 | 0.17 | 0.13 |
| Sampling Time (Weeks) | +4–8 °C | +25 °C ± 2 °C 65% RH | Room Temperature | ||||||
|---|---|---|---|---|---|---|---|---|---|
| CCB1 | CCB2 | CCB3 | CCB1 | CCCB2 | CCB3 | CCB1 | CCB2 | CCB3 | |
| Arithmetic Mean Diameter (μm) | |||||||||
| 0 | 0.19 | 0.06 | 0.22 | 0.19 | 0.06 | 0.22 | 0.19 | 0.06 | 0.22 |
| 4 | 0.18 | 0.17 | 0.18 | 0.17 | 0.15 | 0.17 | 0.17 | 0.15 | 0.17 |
| 8 | 0.17 | 0.14 | 0.24 | 0.16 | 0.11 | 0.18 | 0.18 | 0.16 | 0.18 |
| Sampling Time (Weeks) | +4–8 °C | +25 °C ± 2 °C 65% RH | Room Temperature | ||||||
|---|---|---|---|---|---|---|---|---|---|
| LSCB1 | LSCB2 | LSCB3 | LSCB1 | LSCB2 | LSCB3 | LSCB1 | LSCB2 | LSCB3 | |
| Arithmetic Mean Diameter (μm) | |||||||||
| 0 | 0.12 | 0.17 | 0.24 | 0.12 | 0.17 | 0.24 | 0.19 | 0.12 | 0.17 |
| 4 | 0.15 | 0.16 | 0.19 | 0.21 | 0.21 | 0.30 | |||
| 8 | 0.25 | 0.24 | 0.24 | 0.20 | 0.17 | 0.22 | 0.18 | 0.20 | 0.17 |
| Day | C Group | PC Group | M Group | CC Group | LSC Group |
|---|---|---|---|---|---|
| WOUND AREA (mm2) | |||||
| 0 | 14.08 ± 2.02 | 13.95 ±1.39 | 14.44 ± 2.00 | 14.54 ± 1.69 | 14.48 ± 1.59 |
| 2 | 12.30 ± 1.65 | 11.77 ± 1.96 | 12.25 ± 2.15 | 12.43 ± 2.65 | 11.80 ± 2.10 |
| 4 | 10.83 ± 1.86 | 10.01 ± 1.94 | 10.49 ± 2.04 | 10.65 ± 2.45 | 10.01 ± 2.26 |
| 6 | 7.38 ± 2.49 | 7.16 ± 1.86 | 6.27 ± 3.12 | 6.63 ± 2.19 | 5.98 ± 2.79 |
| 9 | 2.93 ± 1.51 | 2.55 ± 2.84 | 2.00 ± 1.61 | 1.81 ± 1.67 | 1.50 ± 1.51 |
| Day | C Group | PC Group | M Group | CC Group | LSC Group |
|---|---|---|---|---|---|
| WOUND AREA (mm2) | |||||
| 0 | 13.05 ± 2.29 | 14.74 ± 1.88 | 15.62 ± 2.44 | 14.72 ± 2.71 | 16.00 ± 2.35 |
| 9 | 3.13 ± 1.61 | 2.85 ± 1.99 | 2 ± 1.81 | 2.40 ± 1.37 | 1.22 ± 1.10 |
| C | PC | M | CC | LSC |
|---|---|---|---|---|
| Thickness of wounds | ||||
| 75.26 ± 9.64 | 63.41 ± 11.03 | 76.18 ± 10.98 | 80.55 ± 5.64 | 93.52 ± 15.52 |
| Group Name | Active Inflammation | Chronic Inflammation | Fibroblastic Activity | Neovascularization | Fibrosis | Hair Follicle Formation | Healing Phase |
|---|---|---|---|---|---|---|---|
| Control | 1.00 ± 0.47 | 1.28 ± 0.38 | 1.83 ± 0.54 | 1.78 ± 0.61 | 0.56 ± 0.46 | 0.47 ± 0.27 | 2.44 ± 0.46 |
| Placebo | 0.60 ± 0.38 | 1.33 ± 0.31 | 1.77 ± 0.56 | 1.60 ± 0.38 | 0.13 ± 0.18 | 0.53 ± 0.18 | 2.07 ± 0.54 |
| Reference | 0.39 ± 0.49 | 0.78 ± 0.49 | 1.19 ± 0.87 | 1.11 ± 0.85 | 0.67 ± 0.29 | 0.33 ± 0.30 | 2.67 ± 0.42 * |
| Complex | 0.22 ± 0.40 | 0.52 ± 0.37 &* | 0.77 ± 0.20 | 0.52 ± 0.40 &&&** | 0.42 ± 0.36 | 0.56 ± 0.17 | 3.00 ± 0.00 &*** |
| Levant Storax | 0.11 ± 0.27 | 0.36 ± 0.12 &&&*** | 0.13 ± 0.19 &&&*** %%# | 0.22 ± 0.13 &&&*** | 0.27± 0.13 % | 0.94 ± 0.13 &%%% | 3.00 ± 0.00 &*** |
Disclaimer/Publisher’s Note: The statements, opinions and data contained in all publications are solely those of the individual author(s) and contributor(s) and not of MDPI and/or the editor(s). MDPI and/or the editor(s) disclaim responsibility for any injury to people or property resulting from any ideas, methods, instructions or products referred to in the content. |
© 2025 by the authors. Licensee MDPI, Basel, Switzerland. This article is an open access article distributed under the terms and conditions of the Creative Commons Attribution (CC BY) license (https://creativecommons.org/licenses/by/4.0/).
Share and Cite
Algül, D.; Kılıç, E.; Özkan, F.; Yağan Uzuner, Y. Wound Healing Effects of New Cream Formulations with Herbal Ingredients. Pharmaceutics 2025, 17, 941. https://doi.org/10.3390/pharmaceutics17070941
Algül D, Kılıç E, Özkan F, Yağan Uzuner Y. Wound Healing Effects of New Cream Formulations with Herbal Ingredients. Pharmaceutics. 2025; 17(7):941. https://doi.org/10.3390/pharmaceutics17070941
Chicago/Turabian StyleAlgül, Derya, Ertuğrul Kılıç, Ferda Özkan, and Yasemin Yağan Uzuner. 2025. "Wound Healing Effects of New Cream Formulations with Herbal Ingredients" Pharmaceutics 17, no. 7: 941. https://doi.org/10.3390/pharmaceutics17070941
APA StyleAlgül, D., Kılıç, E., Özkan, F., & Yağan Uzuner, Y. (2025). Wound Healing Effects of New Cream Formulations with Herbal Ingredients. Pharmaceutics, 17(7), 941. https://doi.org/10.3390/pharmaceutics17070941

