Self-Emulsifying Drug Delivery System Enhances the Antidiabetic Activity of Passiflora ligularis Leaf Extract
Abstract
1. Introduction
2. Materials and Methods
2.1. Materials and Reagents
2.2. Preparation and Characterization of the Self-Emulsifying Drug Delivery System Loaded with P. ligularis Extract
2.3. Animals and Treatment
- 1.
- Vehicle: distilled water;
- 2.
- Self-emulsifying drug delivery system (SEDDS) vehicle: formulation without the P. ligularis extract;
- 3.
- Metformin: 250 mg/kg;
- 4.
- P. ligularis extract (PLE): 250 mg/kg;
- 5.
- P. ligularis extract loaded self-emulsifying drug delivery system (PLE-SEDDS): doses 250 mg/kg of P. ligularis extract.
2.4. Oral Glucose Tolerance Test (OGTT)
2.5. Insulin Resistance Index (HOMA-IR)
2.6. Histopathological Analysis
2.7. Oxidative Stress Markers and Lipid Profile
2.8. Statistical Analysis
3. Results
3.1. Self-Emulsifying Drug Delivery System Loaded with P. ligularis Extract
3.2. Effect of Treatments on Weight Gain and Blood Glucose Levels
3.3. Oral Glucose Tolerance Tests
3.4. Insulin Resistance Index (HOMA-IR)
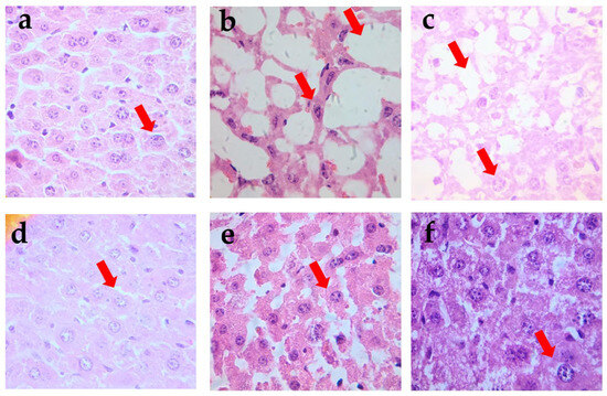
3.5. Histological Evaluation of Endocrine and Exocrine Pancreatic Tissue and Other Organs
3.6. Superoxide Dismutase (SOD) Activity
3.7. Catalase (CAT) Activity
3.8. Lipid Peroxidation (MDA Levels)
3.9. Serum Lipid Profile
4. Discussion
5. Conclusions
Author Contributions
Funding
Institutional Review Board Statement
Informed Consent Statement
Data Availability Statement
Acknowledgments
Conflicts of Interest
Abbreviations
| PLE-SEDDS | Self-emulsifying drug delivery system of Passiflora ligularis |
| SEDDS | Self-emulsifying drug delivery system |
| BGLs | Blood glucose levels |
| PLE | P. ligularis extract |
| OGTT | Oral glucose tolerance test |
| SOD | Superoxide dismutase |
| CAT | Catalase |
| MDA | Malondialdehyde |
| MAPKs | Mitogen-activated protein kinases |
| MEK/ERK | Mitogen-activated protein kinase/extracellular-signal-regulated kinase |
| GLUT-4 | Glucose transporter protein type-4 |
| T2DM | Type 2 diabetes mellitus |
| ELISA | Enzyme-linked immunosorbent assay |
| STZ | Streptozotocin |
| HOMA-IR | Homeostasis model assessment–insulin resistance index |
| TGs | Triglycerides |
| HDL-C | High-density lipoprotein cholesterol |
| LDL-C | Low-density lipoprotein cholesterol |
| SEM | Standard error of the mean |
| SD | Standard deviation |
| ANOVA | Analysis of variance |
| PDMSHEPMS | Poly[dimethylsiloxane-co-[3-(2-(2-hydroxyethoxy)ethoxy)propyl]methylsiloxane] |
| ER | Endoplasmic reticulum |
| GPx | Glutathione peroxidase |
| TXN | Thioredoxin |
References
- World Health Organization. Diabetes. Available online: https://www.who.int/health-topics/diabetes (accessed on 30 December 2024).
- International Diabetes Federation. IDF Diabetes Atlas. 2021. Available online: https://diabetesatlas.org/resources/idf-diabetes-atlas-2025/ (accessed on 30 December 2024).
- Jugran, A.K.; Rawat, S.; Devkota, H.P.; Bhatt, I.D.; Rawal, R.S. Diabetes and Plant-derived Natural Products: From Ethnopharmacological Approaches to Their Potential for Modern Drug Discovery and Development. Phytother. Res. 2021, 35, 223–245. [Google Scholar] [CrossRef] [PubMed]
- Alam, F.; Islam, M.A.; Kamal, M.A.; Gan, S.H. Updates on Managing Type 2 Diabetes Mellitus with Natural Products: Towards Antidiabetic Drug Development. Curr. Med. Chem. 2018, 25, 5395–5431. [Google Scholar] [CrossRef] [PubMed]
- Stoleru, O.A.; Burlec, A.F.; Mircea, C.; Felea, M.G.; Macovei, I.; Hăncianu, M.; Corciovă, A. Multiple Nanotechnological Approaches Using Natural Compounds for Diabetes Management. J. Diabetes Metab. Disord. 2024, 23, 267–287. [Google Scholar] [CrossRef] [PubMed]
- Pouton, C.W. Lipid Formulations for Oral Administration of Drugs: Non-Emulsifying, Self-Emulsifying and ‘Self-Microemulsifying’ Drug Delivery Systems. Eur. J. Pharm. Sci. 2000, 11, S93–S98. [Google Scholar] [CrossRef]
- Buya, A.B.; Beloqui, A.; Memvanga, P.B.; Préat, V. Self-Nano-Emulsifying Drug-Delivery Systems: From the Development to the Current Applications and Challenges in Oral Drug Delivery. Pharmaceutics 2020, 12, 1194. [Google Scholar] [CrossRef]
- Rani, S.; Rana, R.; Saraogi, G.K.; Kumar, V.; Gupta, U. Self-Emulsifying Oral Lipid Drug Delivery Systems: Advances and Challenges. AAPS PharmSciTech 2019, 20, 129. [Google Scholar] [CrossRef]
- Rey, D.; Miranda Sulis, P.; Alves Fernandes, T.; Gonçalves, R.; Silva Frederico, M.J.; Costa, G.M.; Aragon, M.; Ospina, L.F.; Mena Barreto Silva, F.R. Astragalin Augments Basal Calcium Influx and Insulin Secretion in Rat Pancreatic Islets. Cell Calcium 2019, 80, 56–62. [Google Scholar] [CrossRef]
- Rey, D.; Fernandes, T.A.; Sulis, P.M.; Gonçalves, R.; Sepúlveda R, M.; Silva Frederico, M.J.; Aragon, M.; Ospina, L.F.; Costa, G.M.; Silva, F.R.M.B. Cellular Target of Isoquercetin from Passiflora ligularis Juss for Glucose Uptake in Rat Soleus Muscle. Chem. Biol. Interact. 2020, 330, 109198. [Google Scholar] [CrossRef]
- Monzón Daza, G.; Meneses Macías, C.; Forero, A.M.; Rodríguez, J.; Aragón, M.; Jiménez, C.; Ramos, F.A.; Castellanos, L. Identification of α-Amylase and α-Glucosidase Inhibitors and Ligularoside A, a New Triterpenoid Saponin from Passiflora ligularis Juss (Sweet Granadilla) Leaves, by a Nuclear Magnetic Resonance-Based Metabolomic Study. J. Agric. Food Chem. 2021, 69, 2919–2931. [Google Scholar] [CrossRef]
- Rey, D.P.; Echeverry, S.M.; Valderrama, I.H.; Rodriguez, I.A.; Ospina, L.F.; Mena Barreto Silva, F.R.; Aragón, M. Antidiabetic Effect of Passiflora ligularis Leaves in High Fat-Diet/Streptozotocin-Induced Diabetic Mice. Nutrients 2024, 16, 1669. [Google Scholar] [CrossRef]
- Sepúlveda, P.M.; Echeverry, S.; Costa, G.; Aragón, M. Passiflora ligularis Leaf Ultrasound-Assisted Extraction in the Optimization of Flavonoid Content and Enhancement of Hypoglycemic Activity. J. Appl. Pharm. Sci. 2020, 10, 086–094. [Google Scholar] [CrossRef]
- Echeverry, S.M.; Rey, D.; Valderrama, I.H.; Araujo, B.V.D.; Aragón, D.M. Development of a Self-Emulsifying Drug Delivery System (SEDDS) to Improve the Hypoglycemic Activity of Passiflora ligularis Leaves Extract. J. Drug Deliv. Sci. Technol. 2021, 64, 102604. [Google Scholar] [CrossRef]
- Echeverry, S.M.; Valderrama, I.H.; Costa, G.M.; Ospina, L.F.; Aragón, D.M. Development and Optimization of Microparticles Containing a Hypoglycemic Fraction of Calyces from Physalis Peruviana. J. Appl. Pharm. Sci. 2018, 8, 10–18. [Google Scholar] [CrossRef]
- Abdelhameed, R.F.A.; Ibrahim, A.K.; Elfaky, M.A.; Habib, E.S.; Mahamed, M.I.; Mehanna, E.T.; Darwish, K.M.; Khodeer, D.M.; Ahmed, S.A.; Elhady, S.S. Antioxidant and Anti-Inflammatory Activity of Cynanchum Acutum L. Isolated Flavonoids Using Experimentally Induced Type 2 Diabetes Mellitus: Biological and in Silico Investigation for NF-κB Pathway/miR-146a Expression Modulation. Antioxidants 2021, 10, 1713. [Google Scholar] [CrossRef]
- Small, L.; Ehrlich, A.; Iversen, J.; Ashcroft, S.P.; Trošt, K.; Moritz, T.; Hartmann, B.; Holst, J.J.; Treebak, J.T.; Zierath, J.R.; et al. Comparative Analysis of Oral and Intraperitoneal Glucose Tolerance Tests in Mice. Mol. Metab. 2022, 57, 101440. [Google Scholar] [CrossRef]
- King, A.J.F. (Ed.) Animal Models of Diabetes: Methods and Protocols; Methods in Molecular Biology; Springer: New York, NY, USA, 2020; Volume 2128. [Google Scholar] [CrossRef]
- Ajazuddin; Saraf, S. Applications of Novel Drug Delivery System for Herbal Formulations. Fitoterapia 2010, 81, 680–689. [Google Scholar] [CrossRef]
- Bahloul, B.; Castillo-Henríquez, L.; Jenhani, L.; Aroua, N.; Ftouh, M.; Kalboussi, N.; Vega-Baudrit, J.; Mignet, N. Nanomedicine-Based Potential Phyto-Drug Delivery Systems for Diabetes. J. Drug Deliv. Sci. Technol. 2023, 82, 104377. [Google Scholar] [CrossRef]
- Ruiz, P.S.L.; Serafini, M.R.; Alves, I.A.; Novoa, D.M.A. Recent Progress in Self-Emulsifying Drug Delivery Systems: A Systematic Patent Review (2011–2020). Crit. Rev. Ther. Drug Carr. Syst. 2022, 39, 1–77. [Google Scholar] [CrossRef]
- Rodríguez Martínez, I.A.; Londoño-Ruíz, P.S.; Serafini, M.R.; Alves, I.A.; Aragon Novoa, D.M. Trends in Oral Flavonoid Drug Delivery Systems Based on Current Pharmaceutical Strategies. A Systematic Patent Review (2011–2023). J. Herb. Med. 2024, 43, 100828. [Google Scholar] [CrossRef]
- Palsamy, P.; Subramanian, S. Ameliorative Potential of Resveratrol on Proinflammatory Cytokines, Hyperglycemia Mediated Oxidative Stress, and Pancreatic Β-cell Dysfunction in Streptozotocin-nicotinamide-induced Diabetic Rats. J. Cell. Physiol. 2010, 224, 423–432. [Google Scholar] [CrossRef]
- Chatterjee, B.; Hamed Almurisi, S.; Ahmed Mahdi Dukhan, A.; Mandal, U.K.; Sengupta, P. Controversies with Self-Emulsifying Drug Delivery System from Pharmacokinetic Point of View. Drug Deliv. 2016, 23, 3639–3652. [Google Scholar] [CrossRef] [PubMed]
- Dünnhaupt, S.; Kammona, O.; Waldner, C.; Kiparissides, C.; Bernkop-Schnürch, A. Nano-Carrier Systems: Strategies to Overcome the Mucus Gel Barrier. Eur. J. Pharm. Biopharm. 2015, 96, 447–453. [Google Scholar] [CrossRef] [PubMed]
- Cardona, M.I.; Nguyen Le, N.-M.; Zaichik, S.; Aragón, D.M.; Bernkop-Schnürch, A. Development and in Vitro Characterization of an Oral Self-Emulsifying Delivery System (SEDDS) for Rutin Fatty Ester with High Mucus Permeating Properties. Int. J. Pharm. 2019, 562, 180–186. [Google Scholar] [CrossRef] [PubMed]
- Shono, Y.; Nishihara, H.; Matsuda, Y.; Furukawa, S.; Okada, N.; Fujita, T.; Yamamoto, A. Modulation of Intestinal P-Glycoprotein Function by Cremophor EL and Other Surfactants by an in vitro Diffusion Chamber Method Using the Isolated Rat Intestinal Membranes. J. Pharm. Sci. 2004, 93, 877–885. [Google Scholar] [CrossRef]
- Agarwal, V.K.; Amresh, G.; Chandra, P. Pharmacodynamic Evaluation of Self Micro-Emulsifying Formulation of Standardized Extract of Lagerstroemia Speciosa for Antidiabetic Activity. J. Ayurveda Integr. Med. 2018, 9, 38–44. [Google Scholar] [CrossRef]
- Crater, J.S.; Carrier, R.L. Barrier Properties of Gastrointestinal Mucus to Nanoparticle Transport. Macromol. Biosci. 2010, 10, 1473–1483. [Google Scholar] [CrossRef]
- Netsomboon, K.; Bernkop-Schnürch, A. Mucoadhesive vs. Mucopenetrating Particulate Drug Delivery. Eur. J. Pharm. Biopharm. 2016, 98, 76–89. [Google Scholar] [CrossRef]
- Baek, M.-K.; Lee, J.-H.; Cho, Y.-H.; Kim, H.-H.; Lee, G.-W. Self-Microemulsifying Drug-Delivery System for Improved Oral Bioavailability of Pranlukast Hemihydrate: Preparation and Evaluation. Int. J. Nanomed. 2013, 8, 167–176. [Google Scholar] [CrossRef][Green Version]
- Friedl, H.; Dünnhaupt, S.; Hintzen, F.; Waldner, C.; Parikh, S.; Pearson, J.P.; Wilcox, M.D.; Bernkop-Schnürch, A. Development and Evaluation of a Novel Mucus Diffusion Test System Approved by Self-Nanoemulsifying Drug Delivery Systems. J. Pharm. Sci. 2013, 102, 4406–4413. [Google Scholar] [CrossRef]
- Zhang, P.; Liu, Y.; Feng, N.; Xu, J. Preparation and Evaluation of Self-Microemulsifying Drug Delivery System of Oridonin. Int. J. Pharm. 2008, 355, 269–276. [Google Scholar] [CrossRef]
- Yang, R.; Huang, X.; Dou, J.; Zhai, G.; Su, L. Self-Microemulsifying Drug Delivery System for Improved Oral Bioavailability of Oleanolic Acid: Design and Evaluation. Int. J. Nanomed. 2013, 8, 2917–2926. [Google Scholar] [CrossRef]
- Eguchi, N.; Vaziri, N.D.; Dafoe, D.C.; Ichii, H. The Role of Oxidative Stress in Pancreatic β Cell Dysfunction in Diabetes. Int. J. Mol. Sci. 2021, 22, 1509. [Google Scholar] [CrossRef] [PubMed]
- Davatgaran Taghipour, Y.; Hajialyani, M.; Naseri, R.; Hesari, M.; Mohammadi, P.; Stefanucci, A.; Mollica, A.; Farzaei, M.H.; Abdollahi, M. Nanoformulations of Natural Products for Management of Metabolic Syndrome. Int. J. Nanomed. 2019, 14, 5303–5321. [Google Scholar] [CrossRef] [PubMed]
- DeFronzo, R.A.; Ferrannini, E.; Groop, L.; Henry, R.R.; Herman, W.H.; Holst, J.J.; Hu, F.B.; Kahn, C.R.; Raz, I.; Shulman, G.I.; et al. Type 2 Diabetes Mellitus. Nat. Rev. Dis. Primers 2015, 1, 15019. [Google Scholar] [CrossRef]
- Huang, X.-L.; He, Y.; Ji, L.-L.; Wang, K.-Y.; Wang, Y.-L.; Chen, D.-F.; Geng, Y.; OuYang, P.; Lai, W.-M. Hepatoprotective Potential of Isoquercitrin against Type 2 Diabetes-Induced Hepatic Injury in Rats. Oncotarget 2017, 8, 101545–101559. [Google Scholar] [CrossRef]
- Jin, H.-L.; Feng, X.-Y.; Feng, S.-L.; Dai, L.; Zhu, W.-T.; Yuan, Z.-W. Isoquercitrin Attenuates the Progression of Non-Alcoholic Steatohepatitis in Mice by Modulating Galectin-3-Mediated Insulin Resistance and Lipid Metabolism. Phytomedicine 2024, 123, 155188. [Google Scholar] [CrossRef]
- Khlifi, R.; Dhaouefi, Z.; Toumia, I.B.; Lahmar, A.; Sioud, F.; Bouhajeb, R.; Bellalah, A.; Chekir-Ghedira, L. Erica Multiflora Extract Rich in Quercetin-3-O-Glucoside and Kaempferol-3-O-Glucoside Alleviates High Fat and Fructose Diet-Induced Fatty Liver Disease by Modulating Metabolic and Inflammatory Pathways in Wistar Rats. J. Nutr. Biochem. 2020, 86, 108490. [Google Scholar] [CrossRef]
- Tiwari, B.K.; Pandey, K.B.; Abidi, A.B.; Rizvi, S.I. Markers of Oxidative Stress during Diabetes Mellitus. J. Biomark. 2013, 2013, 378790. [Google Scholar] [CrossRef]
- Saddala, R.R.; Thopireddy, L.; Ganapathi, N.; Kesireddy, S.R. Regulation of Cardiac Oxidative Stress and Lipid Peroxidation in Streptozotocin-Induced Diabetic Rats Treated with Aqueous Extract of Pimpinella tirupatiensis Tuberous Root. Exp. Toxicol. Pathol. 2013, 65, 15–19. [Google Scholar] [CrossRef]
- Jayachandran, M.; Wu, Z.; Ganesan, K.; Khalid, S.; Chung, S.M.; Xu, B. Isoquercetin Upregulates Antioxidant Genes, Suppresses Inflammatory Cytokines and Regulates AMPK Pathway in Streptozotocin-Induced Diabetic Rats. Chem. Biol. Interact. 2019, 303, 62–69. [Google Scholar] [CrossRef]
- Campbell, J.E.; Newgard, C.B. Mechanisms Controlling Pancreatic Islet Cell Function in Insulin Secretion. Nat. Rev. Mol. Cell Biol. 2021, 22, 142–158. [Google Scholar] [CrossRef] [PubMed]
- Savage, D.B.; Petersen, K.F.; Shulman, G.I. Disordered Lipid Metabolism and the Pathogenesis of Insulin Resistance. Physiol. Rev. 2007, 87, 507–520. [Google Scholar] [CrossRef] [PubMed]
- Raz, I.; Eldor, R.; Cernea, S.; Shafrir, E. Diabetes: Insulin Resistance and Derangements in Lipid Metabolism. Cure through Intervention in Fat Transport and Storage. Diabetes Metab. Res. Rev. 2005, 21, 3–14. [Google Scholar] [CrossRef] [PubMed]




| Treatment | Triglycerides mg/dL | Cholesterol mg/dL | LDL-C mg/dL | HDL-C mg/dL |
|---|---|---|---|---|
| Normoglycemic | 96.87 ± 2.23 **** | 140.28 ± 15.35 **** | 88.82 ± 25.78 **** | 37.843 ± 1.93 *** |
| Vehicle | 225.51 ± 13.35 | 252.07 ± 5.48 | 174.66 ± 17.53 | 28.923 ±0.08 |
| SEDDS vehicle | 231.59 ± 4.36 | 245.39 ± 12.52 | 179.09 ± 18.89 | 28.433 ± 0.37 |
| Metformin 250 mg/kg | 169.61 ± 3.62 **** | 159.76 ± 4.81 **** | 98.44 ± 13.63 *** | 36.727 ± 4.82 ** |
| P. ligularis extract 250 mg/kg | 83.88 ± 8.47 **** | 181.93 ± 16.33 **** | 116.97 ± 6.26 ** | 33.860 ± 1.33 * |
| PLE-SEDDS | 78.20 ± 11.67 ++++ | 159.73 ± 13.96 ++++ | 109.35 ± 9.00 +++ | 35.913 ± 0.38 ++ |
Disclaimer/Publisher’s Note: The statements, opinions and data contained in all publications are solely those of the individual author(s) and contributor(s) and not of MDPI and/or the editor(s). MDPI and/or the editor(s) disclaim responsibility for any injury to people or property resulting from any ideas, methods, instructions or products referred to in the content. |
© 2025 by the authors. Licensee MDPI, Basel, Switzerland. This article is an open access article distributed under the terms and conditions of the Creative Commons Attribution (CC BY) license (https://creativecommons.org/licenses/by/4.0/).
Share and Cite
Echeverry, S.M.; Rey, D.P.; Valderrama, I.H.; Rodriguez, I.A.; Sepúlveda, P.M.; Araujo, B.V.d.; Silva, F.R.M.B.; Aragón, D.M. Self-Emulsifying Drug Delivery System Enhances the Antidiabetic Activity of Passiflora ligularis Leaf Extract. Pharmaceutics 2025, 17, 730. https://doi.org/10.3390/pharmaceutics17060730
Echeverry SM, Rey DP, Valderrama IH, Rodriguez IA, Sepúlveda PM, Araujo BVd, Silva FRMB, Aragón DM. Self-Emulsifying Drug Delivery System Enhances the Antidiabetic Activity of Passiflora ligularis Leaf Extract. Pharmaceutics. 2025; 17(6):730. https://doi.org/10.3390/pharmaceutics17060730
Chicago/Turabian StyleEcheverry, Sandra M., Diana P. Rey, Ivonne H. Valderrama, Ingrid A. Rodriguez, Paula M. Sepúlveda, Bibiana Verlindo de Araujo, Fátima Regina Mena Barreto Silva, and Diana Marcela Aragón. 2025. "Self-Emulsifying Drug Delivery System Enhances the Antidiabetic Activity of Passiflora ligularis Leaf Extract" Pharmaceutics 17, no. 6: 730. https://doi.org/10.3390/pharmaceutics17060730
APA StyleEcheverry, S. M., Rey, D. P., Valderrama, I. H., Rodriguez, I. A., Sepúlveda, P. M., Araujo, B. V. d., Silva, F. R. M. B., & Aragón, D. M. (2025). Self-Emulsifying Drug Delivery System Enhances the Antidiabetic Activity of Passiflora ligularis Leaf Extract. Pharmaceutics, 17(6), 730. https://doi.org/10.3390/pharmaceutics17060730

