Sanguinarine–Chelerythrine from Coptis chinensis Offers Analgesic and Anti-Inflammatory Effects Without Gastrotoxicity
Abstract
1. Introduction
2. Materials and Methods
2.1. Chemicals and Materials
2.2. Plant Compound Preparation
2.3. Animals
2.4. Drug Administration
2.5. Tail Flick Test
2.6. Formalin Test
2.7. Isolation of Right Hind Paw
2.8. Macro- and Microscopic Examination of Gastric Mucosa
2.9. Statistical Analysis
3. Results
3.1. Tail Flick Test
3.2. Formalin Test
3.3. MMP-9 and TNFα in Paw Homogenates
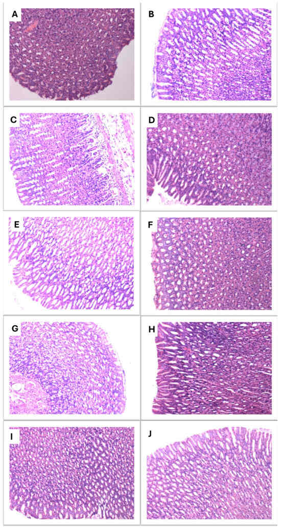
3.4. Histopathological Assessment of Gastric Mucosa
4. Discussion
5. Conclusions
Author Contributions
Funding
Institutional Review Board Statement
Informed Consent Statement
Data Availability Statement
Conflicts of Interest
References
- Henschke, N.; Kamper, S.J.; Maher, C.G. The Epidemiology and Economic Consequences of Pain. Mayo Clin. Proc. 2015, 90, 139–147. [Google Scholar] [CrossRef] [PubMed]
- Mills, S.E.E.; Nicolson, K.P.; Smith, B.H. Chronic Pain: A Review of Its Epidemiology and Associated Factors in Population-Based Studies. Br. J. Anaesth. 2019, 123, e273–e283. [Google Scholar] [CrossRef] [PubMed]
- Yong, R.J.; Mullins, P.M.; Bhattacharyya, N. Prevalence of Chronic Pain among Adults in the United States. Pain 2022, 163, E328–E332. [Google Scholar] [CrossRef] [PubMed]
- International Association for the Study of Pain Terminology Working Group. IASP Revises Its Definition for the First Time Since 1979; International Association for the Study of Pain: Washington, DC USA, 2020; Available online: https://www.iasp-pain.org/publications/iasp-news/iasp-announces-revised-definition-of-pain/ (accessed on 30 January 2025).
- Vos, T.; Abajobir, A.A.; Abate, K.H.; Abbafati, C.; Abbas, K.M.; Abd-Allah, F.; Abdulkader, R.S.; Abdulle, A.M.; Abebo, T.A.; Abera, S.F.; et al. Global, Regional, and National Incidence, Prevalence, and Years Lived with Disability for 328 Diseases and Injuries for 195 Countries, 1990–2016: A Systematic Analysis for the Global Burden of Disease Study 2016. Lancet 2017, 390, 1211–1259. [Google Scholar] [CrossRef]
- Meier, T.A.; Refahi, M.S.; Hearne, G.; Restifo, D.S.; Munoz-Acuna, R.; Rosen, G.L.; Woloszynek, S. The Role and Applications of Artificial Intelligence in the Treatment of Chronic Pain. Curr. Pain Headache Rep. 2024, 28, 769–784. [Google Scholar] [CrossRef]
- Tjong, Y.; Ip, S.; Lao, L.; Fong, H.H.S.; Sung, J.J.Y.; Berman, B.; Che, C. Analgesic Effect of Coptis chinensis Rhizomes (Coptidis Rhizoma) Extract on Rat Model of Irritable Bowel Syndrome. J. Ethnopharmacol. 2011, 135, 754–761. [Google Scholar] [CrossRef]
- Yang, C.-N.; Kok, S.-H.; Wang, H.-W.; Chang, J.Z.-C.; Lai, E.H.-H.; Shun, C.-T.; Yang, H.; Chen, M.-H.; Hong, C.-Y.; Lin, S.-K. Simvastatin Alleviates Bone Resorption in Apical Periodontitis Possibly by Inhibition of Mitophagy-related Osteoblast Apoptosis. Int. Endod. J. 2019, 52, 676–688. [Google Scholar] [CrossRef]
- Guo, W.; Zhang, J.; Feng, Y. Treatment of Neuropathic Pain by Traditional Chinese Medicine: An Updated Review on Their Effect and Putative Mechanisms of Action. Phytother. Res. 2024, 38, 2962–2992. [Google Scholar] [CrossRef]
- Lin, S.; Huang, J.; Zheng, L.; Liu, Y.; Liu, G.; Li, N.; Wang, K.; Zou, L.; Wu, T.; Qin, L.; et al. Glucocorticoid-Induced Osteoporosis in Growing Rats. Calcif. Tissue Int. 2014, 95, 362–373. [Google Scholar] [CrossRef]
- Park, S.M.; Min, B.G.; Jung, J.Y.; Jegal, K.H.; Lee, C.W.; Kim, K.Y.; Kim, Y.W.; Choi, Y.W.; Cho, I.J.; Ku, S.K.; et al. Combination of Pelargonium Sidoides and Coptis chinensis Root Inhibits Nuclear Factor Kappa B-Mediated Inflammatory Response in Vitro and in Vivo. BMC Complement. Altern. Med. 2018, 18, 20. [Google Scholar] [CrossRef]
- Yang, Z.; Grinchuk, V.; Ip, S.P.; Che, C.-T.; Fong, H.H.S.; Lao, L.; Wu, J.C.; Sung, J.J.; Berman, B.; Shea-Donohue, T.; et al. Anti-Inflammatory Activities of a Chinese Herbal Formula IBS-20 In Vitro and In Vivo. Evid.-Based Complement. Altern. Med. 2012, 2012, 491496. [Google Scholar] [CrossRef]
- Hashemzaei, M.; Rezaee, R. A Review on Pain-Relieving Activity of Berberine. Phytother. Res. 2021, 35, 2846–2853. [Google Scholar] [CrossRef] [PubMed]
- Meng, J.; Qiu, S.; Zhang, L.; You, M.; Xing, H.; Zhu, J. Berberine Alleviate Cisplatin-Induced Peripheral Neuropathy by Modulating Inflammation Signal via TRPV1. Front. Pharmacol. 2022, 12, 774795. [Google Scholar] [CrossRef]
- Laines-Hidalgo, J.I.; Muñoz-Sánchez, J.A.; Loza-Müller, L.; Vázquez-Flota, F. An Update of the Sanguinarine and Benzophenanthridine Alkaloids’ Biosynthesis and Their Applications. Molecules 2022, 27, 1378. [Google Scholar] [CrossRef]
- Valipour, M.; Zarghi, A.; Ebrahimzadeh, M.A.; Irannejad, H. Therapeutic Potential of Chelerythrine as a Multi-Purpose Adjuvant for the Treatment of COVID-19. Cell Cycle 2021, 20, 2321–2336. [Google Scholar] [CrossRef] [PubMed]
- Chi, H.; Zhang, X.; Chen, X.; Fang, S.; Ding, Q.; Gao, Z. Sanguinarine Is an Agonist of TRPA1 Channel. Biochem. Biophys. Res. Commun. 2021, 534, 226–232. [Google Scholar] [CrossRef] [PubMed]
- Li, P.; Wang, Y.X.; Yang, G.; Zheng, Z.C.; Yu, C. Sanguinarine Attenuates Neuropathic Pain in a Rat Model of Chronic Constriction Injury. BioMed Res. Int. 2021, 2021, 3689829. [Google Scholar] [CrossRef]
- Yu, C.; Li, P.; Wang, Y.X.; Zhang, K.G.; Zheng, Z.C.; Liang, L.S. Sanguinarine Attenuates Neuropathic Pain by Inhibiting P38 MAPK Activated Neuroinflammation in Rat Model. Drug Des. Dev. Ther. 2020, 14, 4725–4733. [Google Scholar] [CrossRef]
- Jursky, F.; Baliova, M. Differential Effect of the Benzophenanthridine Alkaloids Sanguinarine and Chelerythrine on Glycine Transporters. Neurochem. Int. 2011, 58, 641–647. [Google Scholar] [CrossRef]
- Danielewski, M.; Zielińska, S.; Matuszewska, A.; Słupski, W.; Włodarczyk, M.; Jęśkowiak, I.; Wiatrak, B.; Kowalski, K.; Jezierska-Domaradzka, A.; Ziółkowski, P.; et al. Sanguinarine-Chelerythrine Fraction of Coptis chinensis Exerts Anti-Inflammatory Activity in Carrageenan Paw Oedema Test in Rats and Reveals Reduced Gastrotoxicity. Oxidative Med. Cell. Longev. 2022, 2022, 1504929. [Google Scholar] [CrossRef]
- Shi, Y.; Liu, Y.; Xie, K.; Zhang, J.; Wang, Y.; Hu, Y.; Zhong, L. Sanguinarine Improves Intestinal Health in Grass Carp Fed High-Fat Diets: Involvement of Antioxidant, Physical and Immune Barrier, and Intestinal Microbiota. Antioxidants 2023, 12, 1366. [Google Scholar] [CrossRef] [PubMed]
- Szandruk-Bender, M.; Wiatrak, B.; Szczukowski, Ł.; Świątek, P.; Rutkowska, M.; Dzimira, S.; Merwid-Ląd, A.; Danielewski, M.; Szeląg, A. Novel 1,3,4-Oxadiazole Derivatives of Pyrrolo[3,4-d]Pyridazinone Exert Antinociceptive Activity in the Tail-Flick and Formalin Test in Rodents and Reveal Reduced Gastrotoxicity. Int. J. Mol. Sci. 2020, 21, 9685. [Google Scholar] [CrossRef]
- Dehpour, A.R.; Mani, A.R.; Amanlou, M.; Nahavandi, A.; Amanpour, S.; Bahadori, M. Naloxone Is Protective against Indomethacin-Induced Gastric Damage in Cholestatic Rats. J. Gastroenterol. 1999, 34, 178–181. [Google Scholar] [CrossRef] [PubMed]
- Wen, Z.H.; Chang, Y.C.; Wong, C.S. Implications of Intrathecal Pertussis Toxin Animal Model on the Cellular Mechanism of Neuropathic Pain Syndrome. Acta Anaesthesiol. Sin. 2003, 41, 187–196. [Google Scholar] [PubMed]
- Wu, G.J.; Wen, Z.H.; Chang, Y.C.; Yang, S.N.; Tao, P.L.; Wong, C.S. Protein Kinase C Inhibitor Chelerythrine Attenuates the Morphine-Induced Excitatory Amino Acid Release and Reduction of the Antinociceptive Effect of Morphine in Rats Injected Intrathecally with Pertussis Toxin. Life Sci. 2006, 78, 1801–1807. [Google Scholar] [CrossRef]
- Matsushita, Y.; Ishikawa, M.; Abe, K.; Utsunomiya, I.; Chikuma, T.; Hojo, H.; Hoshi, K.; Quock, R.M.; Taguchi, K. Involvement of the Protein Kinase Cgamma Isoform in Development of Tolerance to Nitrous Oxide-Induced Antinociception in Mice. Neuroscience 2007, 148, 541–547. [Google Scholar] [CrossRef]
- Bohn, L.M.; Lefkowitz, R.J.; Caron, M.G. Differential Mechanisms of Morphine Antinociceptive Tolerance Revealed in ΒArrestin-2 Knock-Out Mice. J. Neurosci. 2002, 22, 10494–10500. [Google Scholar] [CrossRef]
- Hagel, J.M.; Beaudoin, G.A.W.; Fossati, E.; Ekins, A.; Martin, V.J.J.; Facchini, P.J. Characterization of a Flavoprotein Oxidase from Opium Poppy Catalyzing the Final Steps in Sanguinarine and Papaverine Biosynthesis. J. Biol. Chem. 2012, 287, 42972–42983. [Google Scholar] [CrossRef]
- Huang, F.C.; Kutchan, T.M. Distribution of Morphinan and Benzo[c]Phenanthridine Alkaloid Gene Transcript Accumulation in Papaver somniferum. Phytochemistry 2000, 53, 555–564. [Google Scholar] [CrossRef]
- Alcantara, J.; Bird, D.A.; Franceschi, V.R.; Facchini, P.J. Sanguinarine Biosynthesis Is Associated with the Endoplasmic Reticulum in Cultured Opium Poppy Cells after Elicitor Treatment. Plant Physiol. 2005, 138, 173–183. [Google Scholar] [CrossRef]
- Agarwal, P.; Pathak, S.; Lakhwani, D.; Gupta, P.; Asif, M.H.; Trivedi, P.K. Comparative Analysis of Transcription Factor Gene Families from Papaver somniferum: Identification of Regulatory Factors Involved in Benzylisoquinoline Alkaloid Biosynthesis. Protoplasma 2016, 253, 857–871. [Google Scholar] [CrossRef] [PubMed]
- Zulak, K.G.; Khan, M.F.; Alcantara, J.; Schriemer, D.C.; Facchini, P.J. Plant Defense Responses in Opium Poppy Cell Cultures Revealed by Liquid Chromatography-Tandem Mass Spectrometry Proteomics. Mol. Cell. Proteom. 2009, 8, 86–98. [Google Scholar] [CrossRef] [PubMed]
- Li, L.; Zhao, D.; Du, K.Z.; Li, J.; Fang, S.; He, J.; Tian, F.; Chang, Y. A Vortex-Enhanced Magnetic Solid Phase Extraction for the Selective Enrichment of Four Quaternary Ammonium Alkaloids from Zanthoxyli Radix. J. Chromatogr. B Anal. Technol. Biomed. Life Sci. 2023, 1217, 123617. [Google Scholar] [CrossRef]
- Lin, Q.; Pu, H.; Guan, H.; Ma, C.; Zhang, Y.; Ding, W.; Cheng, X.; Ji, L.; Wang, Z.; Wang, C. Rapid Identification and Pharmacokinetic Studies of Multiple Active Alkaloids in Rat Plasma through UPLC-Q-TOF-MS and UPLC-MS/MS after the Oral Administration of Zanthoxylum Nitidum Extract. J. Pharm. Biomed. Anal. 2020, 186, 113232. [Google Scholar] [CrossRef] [PubMed]
- Yang, S.C.; Hsu, C.Y.; Chou, W.L.; Fang, J.Y.; Chuang, S.Y. Bioactive Agent Discovery from the Natural Compounds for the Treatment of Type 2 Diabetes Rat Model. Molecules 2020, 25, 5713. [Google Scholar] [CrossRef]
- Sun, Q.; Li, W.; Li, H.; Wang, X.; Wang, Y.; Niu, X. Preparation, Characterization and Anti-Ulcer Efficacy of Sanguinarine Loaded Solid Lipid Nanoparticles. Pharmacology 2017, 100, 14–24. [Google Scholar] [CrossRef]
- Fan, L.; Fan, Y.; Liu, L.; Tao, W.; Shan, X.; Dong, Y.; Li, L.; Zhang, S.; Wang, H. Chelerythrine Attenuates the Inflammation of Lipopolysaccharide-Induced Acute Lung Inflammation Through NF-ΚB Signaling Pathway Mediated by Nrf2. Front. Pharmacol. 2018, 9, 1047. [Google Scholar] [CrossRef]
- Mikolajczak, P.L.; Kêdzia, B.; Marcin, O.; Kujawski, R.; Bogacz, A.; Bartkowiak-Wieczorek, J.; Bialas, W.; Gryszczyñska, A.; Buchwald, W.; Szulc, M.; et al. Evaluation of Anti-Inflammatory and Analgesic Activities of Extracts from Herb of Chelidonium majus L. Cent. Eur. J. Immunol. 2015, 40, 400–410. [Google Scholar] [CrossRef]
- Lan, Y.; Wang, H.; Wu, J.; Meng, X. Cytokine Storm-Calming Property of the Isoquinoline Alkaloids in Coptis chinensis Franch. Front. Pharmacol. 2022, 13, 973587. [Google Scholar] [CrossRef]
- Hu, S.; Wang, J.; Liu, E.; Zhang, X.; Xiang, J.; Li, W.; Wei, P.; Zeng, J.; Zhang, Y.; Ma, X. Protective Effect of Berberine in Diabetic Nephropathy: A Systematic Review and Meta-Analysis Revealing the Mechanism of Action. Pharmacol. Res. 2022, 185, 106481. [Google Scholar] [CrossRef]
- Tong, Y.; Wang, R.; Liu, X.; Tian, M.; Wang, Y.; Cui, Y.; Zou, W.; Zhao, Y. Zuojin Pill Ameliorates Chronic Atrophic Gastritis Induced by MNNG through TGF-Β1/PI3K/Akt Axis. J. Ethnopharmacol. 2021, 271, 113893. [Google Scholar] [CrossRef] [PubMed]
- Zhu, L.; Li, X.J.; Gu, C.; Gao, Y.; Zhang, C.S.; Wang, L.Y.; Chen, N.H.; Li, G. Mongolian Medicine Wenguanmu Ointment Treats Eczema by Inhibiting the CKLF-1/NF-ΚB Pathway. J. Ethnopharmacol. 2023, 313, 116549. [Google Scholar] [CrossRef] [PubMed]
- Al-Romaima, A.; Guan, X.; Qin, X.; Liao, Y.; Qin, G.; Tang, S.; Feng, J. Topical Application of Chinese Formula Yeliangen Promotes Wound Healing in Streptozotocin-Induced Diabetic Rats. J. Diabetes Res. 2022, 2022, 1193392. [Google Scholar] [CrossRef]
- Wang, Y.; Che, M.; Xin, J.; Zheng, Z.; Li, J.; Zhang, S. The Role of IL-1β and TNF-α in Intervertebral Disc Degeneration. Biomed. Pharmacother. 2020, 131, 110660. [Google Scholar] [CrossRef] [PubMed]
- Sethi, J.K.; Hotamisligil, G.S. Metabolic Messengers: Tumour Necrosis Factor. Nat. Metab. 2021, 3, 1302–1312. [Google Scholar] [CrossRef]
- Pan, H.; Li, H.; Guo, S.; Wang, C.; Long, L.; Wang, X.; Shi, H.; Zhang, K.; Chen, H.; Li, S. The Mechanisms and Functions of TNF-α in Intervertebral Disc Degeneration. Exp. Gerontol. 2023, 174, 112119. [Google Scholar] [CrossRef]
- Duan, Y.; Li, Q.; Zhou, Y.; Chen, S.; Li, Y.; Zang, Y. Activation of the TNF-α-Necroptosis Pathway in Parvalbumin-Expressing Interneurons of the Anterior Cingulate Cortex Contributes to Neuropathic Pain. Int. J. Mol. Sci. 2023, 24, 15454. [Google Scholar] [CrossRef]
- Duan, Y.W.; Chen, S.X.; Li, Q.Y.; Zang, Y. Neuroimmune Mechanisms Underlying Neuropathic Pain: The Potential Role of TNF-α-Necroptosis Pathway. Int. J. Mol. Sci. 2022, 23, 7191. [Google Scholar] [CrossRef]
- Shibata, S.; Tagashira, H.; Nemoto, T.; Kita, S.; Kita, T.; Shinoda, Y.; Akiyoshi, K.; Yamaura, K.; Iwamoto, T. Perineural Treatment with Anti-TNF-α Antibody Ameliorates Persistent Allodynia and Edema in Novel Mouse Models with Complex Regional Pain Syndrome. J. Pharmacol. Sci. 2023, 153, 1–11. [Google Scholar] [CrossRef]
- Son, J.Y.; Ju, J.S.; Kim, Y.M.; Ahn, D.K. TNF-α-Mediated RIPK1 Pathway Participates in the Development of Trigeminal Neuropathic Pain in Rats. Int. J. Mol. Sci. 2022, 23, 506. [Google Scholar] [CrossRef]
- Escolano-Lozano, F.; Gries, E.; Schlereth, T.; Dimova, V.; Baka, P.; Vlckova, E.; König, S.; Birklein, F. Local and Systemic Expression Pattern of MMP-2 and MMP-9 in Complex Regional Pain Syndrome. J. Pain 2021, 22, 1294–1302. [Google Scholar] [CrossRef]
- An, J.; Yang, H.; Zhang, Q.; Liu, C.; Zhao, J.; Zhang, L.; Chen, B. Natural Products for Treatment of Osteoporosis: The Effects and Mechanisms on Promoting Osteoblast-Mediated Bone Formation. Life Sci. 2016, 147, 46–58. [Google Scholar] [CrossRef] [PubMed]
- Tseng, K.Y.; Wang, H.C.; Cheng, K.F.; Wang, Y.H.; Chang, L.L.; Cheng, K.I. Sciatic Nerve Intrafascicular Injection Induces Neuropathy by Activating the Matrix Modulators MMP-9 and TIMP-1. Front. Pharmacol. 2022, 13, 859982. [Google Scholar] [CrossRef] [PubMed]
- Shih, Y.C.; Chen, P.Y.; Ko, T.M.; Huang, P.H.; Ma, H.; Tarng, D.C. Mmp-9 Deletion Attenuates Arteriovenous Fistula Neointima through Reduced Perioperative Vascular Inflammation. Int. J. Mol. Sci. 2021, 22, 5448. [Google Scholar] [CrossRef]
- Kelppe, J.; Thorén, H.; Haglund, C.; Sorsa, T.; Hagström, J. MMP-7, -8, -9, E-Cadherin, and Beta-Catenin Expression in 34 Ameloblastoma Cases. Clin. Exp. Dent. Res. 2021, 7, 63–69. [Google Scholar] [CrossRef] [PubMed]
- Zhou, R.; Huang, Y.; Tian, C.; Yang, Y.; Zhang, Z.; He, K. Coptis chinensis and Berberine Ameliorate Chronic Ulcerative Colitis: An Integrated Microbiome-Metabolomics Study. Am. J. Chin. Med. 2023, 51, 2195–2220. [Google Scholar] [CrossRef]
- Zan, Y.; Kuai, C.X.; Qiu, Z.X.; Huang, F. Berberine Ameliorates Diabetic Neuropathy: TRPV1 Modulation by PKC Pathway. Am. J. Chin. Med. 2017, 45, 1709–1723. [Google Scholar] [CrossRef]
- Zhang, S.; Xu, P.; Zhu, Z.; Zhou, L.; Li, J.; Zhou, R.; Kan, Y.; Li, Y.; Yu, X.; Zhao, J.; et al. Acetylation of P65Lys310 by P300 in Macrophages Mediates Anti-Inflammatory Property of Berberine. Redox Biol. 2023, 62, 102704. [Google Scholar] [CrossRef]
- Li, Z.; Geng, Y.N.; Jiang, J.D.; Kong, W.J. Antioxidant and Anti-Inflammatory Activities of Berberine in the Treatment of Diabetes Mellitus. Evid.-Based Complement. Altern. Med. 2014, 2014, 289264. [Google Scholar] [CrossRef]
- Prieto, J.M.; Schinella, G.R. Anti-Inflammatory and Antioxidant Chinese Herbal Medicines: Links between Traditional Characters and the Skin Lipoperoxidation “Western” Model. Antioxidants 2022, 11, 611. [Google Scholar] [CrossRef]








| CON | FOR | MORF | IND | SAN1 | SAN2 | CHEL4 | CHEL8 | SC5 | SC10 | |
|---|---|---|---|---|---|---|---|---|---|---|
| MMP-9 [pg/mL] | 536.3 ± 84.8 ** | 805.9 ± 160.3 ^^ | 676.0 ± 131.2 | 551.9 ± 117.7 ** | 552.2 ± 136.4 **, NS | 528.6 ± 83.7 **, NS | 572.8 ± 125.2 *, NS | 526.4 ± 74.3 **, NS | 537.9 ± 172.6 **, NS | 592.3 ± 58.6 *, NS |
| TNFα [pg/mL] | 29.72 ± 12.39 * | 43.09 ± 9.91 ^ | 34.11 ± 12.86 | 11.75 ± 2.81 *** | 24.07 ± 7.04 ** | 19.93 ± 3.42 ***, NS | 30.44 ± 8.58 * | 24.37 ± 4.91 **, NS | 23.30 ± 3.89 ** | 19.04 ± 2.70 ***, NS |
| Group | Macroscopic Evaluation | Microscopic Evaluation (H&E Staining) | ||
|---|---|---|---|---|
| Gastric Index | Inflammation Score (0–3) | Gastric Mucosa Damage Score (0–3) | Cumulative Microscopic Gastric Index (0–6) | |
| CON | 0.0 ± 0.0 | 0.500 ± 0.548 ** | 0.0 ± 0.0 | 0.500 ± 0.548 ** |
| FOR | 0.0 ± 0.0 | 0.500 ± 0.535 ** | 0.0 ± 0.0 | 0.500 ± 0.535 ** |
| IND | 0.0 ± 0.0 | 1.500 ± 0.577 ^^ | 0.0 ± 0.0 | 1.500 ± 0.577 ^^ |
| MORF | 0.0 ± 0.0 | 1.000 ± 0.000 | 0.0 ± 0.0 | 1.000 ± 0.000 |
| SAN1 | 0.0 ± 0.0 | 0.833 ± 0.408 * | 0.0 ± 0.0 | 0.833 ± 0.408 * |
| SAN2 | 0.0 ± 0.0 | 0.833 ± 0.408 * | 0.0 ± 0.0 | 0.833 ± 0.408 * |
| CHEL4 | 0.0 ± 0.0 | 0.333 ± 0.516 *** | 0.0 ± 0.0 | 0.333 ± 0.516 *** |
| CHEL8 | 0.0 ± 0.0 | 0.833 ± 0.408 * | 0.0 ± 0.0 | 0.833 ± 0.408 * |
| SC5 | 0.0 ± 0.0 | 0.500 ± 0.548 ** | 0.0 ± 0.0 | 0.500 ± 0.548 ** |
| SC10 | 0.0 ± 0.0 | 1.000 ± 0.632 | 0.0 ± 0.0 | 1.000 ± 0.632 |
Disclaimer/Publisher’s Note: The statements, opinions and data contained in all publications are solely those of the individual author(s) and contributor(s) and not of MDPI and/or the editor(s). MDPI and/or the editor(s) disclaim responsibility for any injury to people or property resulting from any ideas, methods, instructions or products referred to in the content. |
© 2025 by the authors. Licensee MDPI, Basel, Switzerland. This article is an open access article distributed under the terms and conditions of the Creative Commons Attribution (CC BY) license (https://creativecommons.org/licenses/by/4.0/).
Share and Cite
Danielewski, M.; Zielińska, S.; Merwid-Ląd, A.; Szandruk-Bender, M.; Słupski, W.; Włodarczyk, M.; Sozański, T.; Ziółkowski, P.; Szeląg, A.; Nowak, B. Sanguinarine–Chelerythrine from Coptis chinensis Offers Analgesic and Anti-Inflammatory Effects Without Gastrotoxicity. Pharmaceutics 2025, 17, 323. https://doi.org/10.3390/pharmaceutics17030323
Danielewski M, Zielińska S, Merwid-Ląd A, Szandruk-Bender M, Słupski W, Włodarczyk M, Sozański T, Ziółkowski P, Szeląg A, Nowak B. Sanguinarine–Chelerythrine from Coptis chinensis Offers Analgesic and Anti-Inflammatory Effects Without Gastrotoxicity. Pharmaceutics. 2025; 17(3):323. https://doi.org/10.3390/pharmaceutics17030323
Chicago/Turabian StyleDanielewski, Maciej, Sylwia Zielińska, Anna Merwid-Ląd, Marta Szandruk-Bender, Wojciech Słupski, Maciej Włodarczyk, Tomasz Sozański, Piotr Ziółkowski, Adam Szeląg, and Beata Nowak. 2025. "Sanguinarine–Chelerythrine from Coptis chinensis Offers Analgesic and Anti-Inflammatory Effects Without Gastrotoxicity" Pharmaceutics 17, no. 3: 323. https://doi.org/10.3390/pharmaceutics17030323
APA StyleDanielewski, M., Zielińska, S., Merwid-Ląd, A., Szandruk-Bender, M., Słupski, W., Włodarczyk, M., Sozański, T., Ziółkowski, P., Szeląg, A., & Nowak, B. (2025). Sanguinarine–Chelerythrine from Coptis chinensis Offers Analgesic and Anti-Inflammatory Effects Without Gastrotoxicity. Pharmaceutics, 17(3), 323. https://doi.org/10.3390/pharmaceutics17030323

