Development of Proniosome Gel Formulation for CHIKV Infection
Abstract
1. Introduction
2. Materials and Methods
2.1. Chemicals and Materials
2.2. Preparation of Berberine Proniosome Gel
2.3. Rheological Characterization
2.4. Preparation of Porcine Skin Tissues and Ex Vivo Skin Permeation Study
2.5. UHPLC Analysis to Quantify Berberine in Skin Permeation Studies
2.6. Cell Culture, Treatment, and Antioxidant Capacity Test Using HaCaT Cells
2.7. LPS-Stimulated RAW264.7 Macrophage Cell Culture
2.8. RNA Isolation and DNA Synthesis for Real-Time Quantitative PCR (rt-qPCR)
2.9. Ethics Approval
2.10. Virus Stock
2.11. CHIKV Infection
2.12. Plasma Berberine Quantification via LCMS
2.13. Statistical Analysis
3. Results
3.1. Optimization of Preparation of Berberine Proniosome Gel
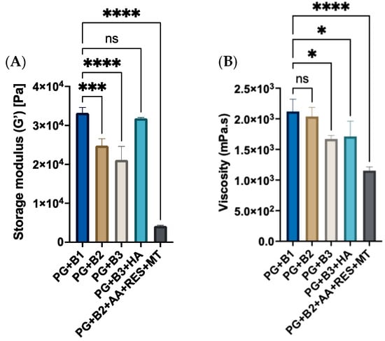
3.2. Rheological Characterization
3.3. Ex Vivo Skin Permeation Study
3.4. Total Antioxidant Capacity and Cell Viability Assay
3.5. LPS-Stimulated RAW264.7 Macrophage Cell Culture with RT-qPCR
3.6. CHIKV-Infected Pre-Clinical Model
3.7. Alanine Aminotransferase (ALT) and Creatinine Assay from Plasma Acquired from In Vivo Animal Study
3.8. Metabolism of Berberine Proniosome after Topical Gel Administration
4. Discussion
4.1. Biological Mechanism of Berberine
4.2. Limitations of Current Applications of Berberine in Transdermal Delivery
5. Conclusions
6. Patents
Supplementary Materials
Author Contributions
Funding
Institutional Review Board Statement
Informed Consent Statement
Data Availability Statement
Conflicts of Interest
References
- World Health Organization. Musculoskeletal Health Conditions. Available online: https://www.who.int/news-room/fact-sheets/detail/musculoskeletal-conditions (accessed on 3 June 2024).
- Mayo Foundation for Medical Education and Research. Osteoarthritis. Mayo Clinic. Available online: https://www.mayoclinic.org/diseases-conditions/osteoarthritis/symptoms-causes/syc-20351925 (accessed on 3 June 2024).
- Osteoarthritis in 2020 and beyond: A Lancet Commission. Available online: https://www.thelancet.com/journals/lancet/article/PIIS0140-6736(20)32230-3/fulltext (accessed on 3 June 2024).
- Centers for Disease Control and Prevention. Osteoarthritis (OA). 27 July 2020. Available online: https://www.cdc.gov/arthritis/docs/oaagenda2020.pdf (accessed on 3 June 2024).
- Pathak, H.; Mohan, M.C.; Ravindran, V. Chikungunya Arthritis. 2019. Available online: www.cdc.gov/chikungunya/ (accessed on 3 June 2024).
- Vassilopoulos, D.; Calabrese, L.H. Virally associated arthritis 2008: Clinical, epidemiologic, and pathophysiologic considerations. Arthritis Res. Ther. 2008, 10, 1–8. [Google Scholar] [CrossRef] [PubMed]
- Mathew, A.J.; Ganapati, A.; Kabeerdoss, J.; Nair, A.; Gupta, N.; Chebbi, P.; Mandal, S.K.; Danda, D. Chikungunya Infection: A Global Public Health Menace; Current Medicine Group LLC: Hoboken, NJ, USA, 2017. [Google Scholar] [CrossRef]
- Marks, M.; Marks, J.L. Viral arthritis. Clin. Med. 2016, 16, 129. [Google Scholar] [CrossRef] [PubMed]
- Goupil, B.A.; Mores, C.N. A review of chikungunya virus-induced arthralgia: Clinical manifestations, therapeutics, and pathogenesis. Open Rheumatol. J. 2016, 10, 129. [Google Scholar] [CrossRef] [PubMed]
- Loeser, R.F.; Goldring, S.R.; Scanzello, C.R.; Goldring, M.B. Osteoarthritis: A disease of the joint as an organ. Arthritis Rheumatol. 2012, 64, 1697. [Google Scholar] [CrossRef] [PubMed]
- Amponsah, S.K.; Tagoe, B.; Adams, I.; Bugyei, K.A. Efficacy and safety profile of corticosteroids and non-steroidal anti-inflammatory drugs in COVID-19 management: A narrative review. Front Pharmacol. 2022, 13, 1063246. [Google Scholar] [CrossRef]
- Li, L.; Liu, H.; Shi, W.; Liu, H.; Yang, J.; Xu, D.; Huang, H.; Wu, L. Insights into the Action Mechanisms of Traditional Chinese Medicine in Osteoarthritis; Hindawi Limited: London, UK, 2017. [Google Scholar] [CrossRef]
- Yuan, T.; Xiong, J.; Wang, X.; Yang, J.; Jiang, Y.; Zhou, X.; Liao, K.; Xu, L. The Effectiveness and Safety of Moxibustion for Treating Knee Osteoarthritis: A PRISMA Compliant Systematic Review and Meta-Analysis of Randomized Controlled Trials; Hindawi Limited: London, UK, 2019. [Google Scholar] [CrossRef]
- Bannuru, R.R.; Osani, M.C.; Vaysbrot, E.E.; Arden, N.K.; Bennell, K.; Bierma-Zeinstra, S.M.A.; Kraus, V.B.; Lohmander, L.S.; Abbott, J.H.; Bhandari, M.; et al. OARSI guidelines for the non-surgical management of knee, hip, and polyarticular osteoarthritis. Osteoarthr. Cartil. 2019, 27, 1578–1589. [Google Scholar] [CrossRef] [PubMed]
- Zhao, H.; Zhang, T.; Xia, C.; Shi, L.; Wang, S.; Zheng, X.; Hu, T.; Zhang, B. Berberine ameliorates cartilage degeneration in interleukin-1β-stimulated rat chondrocytes and in a rat model of osteoarthritis via Akt signalling. J. Cell. Mol. Med. 2014, 18, 283–292. [Google Scholar] [CrossRef] [PubMed]
- Varghese, F.S.; Kaukinen, P.; Gläsker, S.; Bespalov, M.; Hanski, L.; Wennerberg, K.; Kümmerer, B.M.; Ahola, T. Discovery of berberine, abamectin and ivermectin as antivirals against chikungunya and other alphaviruses. Antivir. Res 2016, 126, 117–124. [Google Scholar] [CrossRef] [PubMed]
- Benedini, L.; Messina, P. Proniosomes and niosomes for enhanced drug delivery. In Systems of Nanovesicular Drug Delivery; Elsevier: Amsterdam, The Netherlands, 2022; pp. 115–128. [Google Scholar]
- Chandu, V.P.; Arunachalam, A.; Jeganath, S.; Yamini, K.; Tharangini, K.; Chaitanya, G. Niosomes: A novel drug delivery system. Int. J. Nov. Trends Pharm. Sci. 2012, 2, 25–31. [Google Scholar]
- Lee, C.K.; Zhang, S.; Venkatesan, G.; Irsan; Chong, S.Y.; Wang, J.-W.; Goh, W.J.; Panczyk, T.; Tay, Y.Z.; Hu, J.; et al. Enhanced skin penetration of berberine from proniosome gel attenuates pain and inflammation in a mouse model of osteoarthritis. Biomater. Sci. 2022, 10, 1752–1764. [Google Scholar] [CrossRef]
- Mittal, S.; Chaudhary, A.; Chaudhary, A.; Kumar, A. Proniosomes: The effective and efficient drug-carrier system. Ther. Deliv. 2020, 11, 125–137. [Google Scholar] [CrossRef] [PubMed]
- Band, P.A. Intra-articular hyaluronic acid for treatment of osteoarthritis of the knee. JAMA 2004, 291, 1440. [Google Scholar] [PubMed]
- Benetti, A.; Tarbox, T.; Benetti, C. Current Insights into the Formulation and Delivery of Therapeutic and Cosmeceutical Agents for Aging Skin. Cosmetics 2023, 10, 54. [Google Scholar] [CrossRef]
- Rani, N.; Sabbioni, G.; Mazzotta, A.; Rocchi, M.; Stagni, C.; Filanti, M.; Dallari, D. Infiltrative therapy as conservative treatment in hip osteoarthritis: A literature review. Hip Int. 2016, 26 (Suppl. S1), S8–S13. [Google Scholar] [CrossRef] [PubMed]
- Marinho; Nunes, C.; Reis, S. Hyaluronic acid: A key ingredient in the therapy of inflammation. Biomolecules 2021, 11, 1518. [Google Scholar]
- Chang, Z.; Huo, L.; Li, P.; Wu, Y.; Zhang, P.E.I. Ascorbic acid provides protection for human chondrocytes against oxidative stress. Mol. Med. Rep. 2015, 12, 7086–7092. [Google Scholar] [CrossRef] [PubMed]
- Agarwal, R.; Agarwal, P. Targeting extracellular matrix remodeling in disease: Could resveratrol be a potential candidate? Exp. Biol. Med. 2017, 242, 374–383. [Google Scholar] [CrossRef] [PubMed]
- Wei, Y.; Jia, J.; Jin, X.; Tong, W.; Tian, H. Resveratrol ameliorates inflammatory damage and protects against osteoarthritis in a rat model of osteoarthritis. Mol. Med. Rep. 2018, 17, 1493–1498. [Google Scholar] [CrossRef]
- Wang, R.; Zhang, S.; Previn, R.; Chen, D.; Jin, Y.; Zhou, G. Role of Forkhead Box O transcription factors in oxidative stress-induced chondrocyte dysfunction: Possible therapeutic target for osteoarthritis? Int. J. Mol. Sci. 2018, 19, 3794. [Google Scholar] [CrossRef]
- Mahboubi, M. Mentha spicata as natural analgesia for treatment of pain in osteoarthritis patients. Complement. Ther. Clin. Pract. 2017, 26, 1–4. [Google Scholar] [CrossRef]
- Kamatou, G.P.P.; Vermaak, I.; Viljoen, A.M.; Lawrence, B.M. Menthol: A simple monoterpene with remarkable biological properties. Phytochemistry 2013, 96, 15–25. [Google Scholar] [CrossRef] [PubMed]
- Bhadra, K.; Kumar, G.S.; Das, S.; Islam, M.M.; Maiti, M. Protonated structures of naturally occurring deoxyribonucleic acids and their interaction with berberine. Bioorg. Med. Chem. 2005, 13, 4851–4863. [Google Scholar] [CrossRef] [PubMed]
- Total Antioxidant Capacity Assay Kit Protocol. Available online: https://www.abcam.com/en-sg/products/assay-kits/total-antioxidant-capacity-assay-kit-ab65329 (accessed on 3 June 2024).
- Li, C.-L.; Tan, L.-H.; Wang, Y.-F.; Luo, C.-D.; Chen, H.-B.; Lu, Q.; Li, Y.-C.; Yang, X.-B.; Chen, J.-N.; Liu, Y.-H.; et al. Comparison of anti-inflammatory effects of berberine, and its natural oxidative and reduced derivatives from Rhizoma Coptidis in vitro and in vivo. Phytomedicine 2019, 52, 272–283. [Google Scholar] [CrossRef] [PubMed]
- Zhang, F.; Xiao, L.; Li, Y.; Feng, R.; Zhou, M.; Tang, S.; Liebe, R.; Ebert, M.P.; Dooley, S.; Li, L.; et al. Rapid dexamethasone treatment inhibits LPS-induced cytokine storm in mice. bioRxiv 2023. [Google Scholar] [CrossRef]
- alamarBlue® Assay. U.S. Patent No 5501959, 2007. Available online: https://tools.thermofisher.com/content/sfs/manuals/PI-DAL1025-1100_TI%20alamarBlue%20Rev%201.1.pdf (accessed on 27 February 2024).
- Benetti, A.A.; Tan, E.Y.Z.; Chang, Z.W.; Bae, K.H.; Thwin, M.T.; Muthuramalingam, R.P.K.; Liao, K.-C.; Wan, Y.; Ng, L.F.P.; Renia, L.; et al. Design and Characterization of a New Formulation for the Delivery of COVID-19-mRNA Vaccine to the Nasal Mucosa. Vaccines 2024, 12, 409. [Google Scholar] [CrossRef] [PubMed]
- Tri Reagent® Protocol. Available online: https://www.sigmaaldrich.com/SG/en/technical-documents/protocol/protein-biology/protein-lysis-and-extraction/tri-reagent (accessed on 3 June 2024).
- Kit, R.M. RNAeasy Handbook. 2023. Available online: https://www.qiagen.com/us/resources/resourcedetail?id=f646813a-efbb-4672-9ae3-e665b3045b2b&lang=en (accessed on 27 February 2024).
- Her, Z.; Malleret, B.; Chan, M.; Ong, E.K.S.; Wong, S.-C.; Kwek, D.J.C.; Tolou, H.; Lin, R.T.P.; Tambyah, P.A.; Rénia, L.; et al. Active Infection of Human Blood Monocytes by Chikungunya Virus Triggers an Innate Immune Response. J. Immunol. 2010, 184, 5903–5913. [Google Scholar] [CrossRef] [PubMed]
- Kam, Y.; Lum, F.; Teo, T.; Lee, W.W.L.; Simarmata, D.; Harjanto, S.; Chua, C.; Chan, Y.; Wee, J.; Chow, A.; et al. Early neutralizing IgG response to Chikungunya virus in infected patients targets a dominant linear epitope on the E2 glycoprotein. EMBO Mol. Med. 2012, 4, 330–343. [Google Scholar] [CrossRef] [PubMed]
- Carissimo, G.; Teo, T.-H.; Chan, Y.-H.; Lee, C.Y.-P.; Lee, B.; Torres-Ruesta, A.; Tan, J.J.; Chua, T.-K.; Fong, S.-W.; Lum, F.-M.; et al. Viperin controls chikungunya virus-specific pathogenic T cell IFNγ Th1 stimulation in mice. Life Sci. Alliance 2019, 2, e201900298. [Google Scholar] [CrossRef] [PubMed]
- Her, Z.; Teng, T.; Tan, J.J.; Teo, T.; Kam, Y.; Lum, F.; Lee, W.W.; Gabriel, C.; Melchiotti, R.; Andiappan, A.K.; et al. Loss of TLR3 aggravates CHIKV replication and pathology due to an altered virus-specific neutralizing antibody response. EMBO Mol. Med. 2015, 7, 24–41. [Google Scholar] [CrossRef]
- Lum, F.-M.; Chan, Y.-H.; Teo, T.-H.; Becht, E.; Amrun, S.N.; Teng, K.W.; Hartimath, S.V.; Yeo, N.K.; Yee, W.-X.; Ang, N.; et al. Crosstalk between CD64+MHCII+ macrophages and CD4+ T cells drives joint pathology during chikungunya. EMBO Mol. Med. 2024, 16, 641–663. [Google Scholar] [CrossRef]
- Teng, T.-S.; Foo, S.-S.; Simamarta, D.; Lum, F.-M.; Teo, T.-H.; Lulla, A.; Yeo, N.K.; Koh, E.G.; Chow, A.; Leo, Y.-S.; et al. Viperin restricts chikungunya virus replication and pathology. J. Clin. Investig. 2012, 122, 4447–4460. [Google Scholar] [CrossRef] [PubMed]
- Plaskon, N.E.; Adelman, Z.N.; Myles, K.M. Accurate strand-specific quantification of viral RNA. PLoS ONE 2009, 4, e7468. [Google Scholar] [CrossRef] [PubMed]
- Feng, X.; Wang, K.; Cao, S.; Ding, L.; Qiu, F. Pharmacokinetics and Excretion of Berberine and Its Nine Metabolites in Rats. Front. Pharmacol. 2021, 11, 594852. [Google Scholar] [CrossRef] [PubMed]
- Bianco, S.; Panja, S.; Adams, D.J. Using Rheology to Understand Transient and Dynamic Gels. Gels 2022, 8, 132. [Google Scholar] [CrossRef] [PubMed]
- Li, Z.; Liu, J.; Zhang, Z.; Gao, Y.; Liu, L.; Zhang, L.; Yuan, B. Molecular dynamics simulation of the viscoelasticity of polymer nanocomposites under oscillatory shear: Effect of interfacial chemical coupling. RSC Adv. 2018, 8, 8141–8151. [Google Scholar] [CrossRef] [PubMed]
- Cowman, M.K.; Schmidt, T.A.; Raghavan, P.; Stecco, A. Viscoelastic properties of hyaluronan in physiological conditions. F1000Res 2015, 4, 622. [Google Scholar] [CrossRef] [PubMed]
- Nafisi, S.; Maibach, H.I. Nanotechnology in cosmetics. In Cosmetic Science and Technology: Theoretical Principles and Applications; Elsevier: Amsterdam, The Netherlands, 2017; Volume 337. [Google Scholar]
- Fink, R.M.; Lengfelder, E. Hyaluronic acid degradation by ascorbic acid and influence of iron. Free Radic. Res. Commun. 1987, 3, 85–92. [Google Scholar] [CrossRef]
- Tian, Z.; Yan, T.; Jiang, D.E.; Dai, S. Anion-functionalized task-specific ionic liquids: Molecular origin of change in viscosity upon CO2 capture. J. Phys. Chem. B 2014, 118, 14880–14887. [Google Scholar] [CrossRef]
- Irani, M.; Razavi, S.M.A.; Abdel-Aal, E.S.M.; Hucl, P.; Patterson, C.A. Viscoelastic and textural properties of canary seed starch gels in comparison with wheat starch gel. Int. J. Biol. Macromol. 2019, 124, 270–281. [Google Scholar] [CrossRef] [PubMed]
- Öhrlund, Å. Evaluation of Rheometry Amplitude Sweep Cross-Over Point as an Index of Flexibility for HA Fillers. J. Cosmet. Dermatol. Sci. Appl. 2018, 8, 47–54. [Google Scholar] [CrossRef]
- Mitchell, J.R. The rheology of gels. J. Texture Stud. 1980, 11, 315–337. [Google Scholar] [CrossRef]
- Haider, M.S.; Ahmad, T.; Yang, M.; Hu, C.; Hahn, L.; Stahlhut, P.; Groll, J.; Luxenhofer, R. Tuning the thermogelation and rheology of poly(2-oxazoline)/poly(2-oxazine)s based thermosensitive hydrogels for 3d bioprinting. Gels 2021, 7, 78. [Google Scholar] [CrossRef] [PubMed]
- ICH Topic Q 1 A (R2) Stability Testing of New Drug Substances and Products Step 5 Note for Guidance on Stability Testing: Stability Testing of New Drug Substances and Products. 2003. Available online: https://www.ema.europa.eu/en/documents/scientific-guideline/ich-q-1-r2-stability-testing-new-drug-substances-and-products-step-5_en.pdf (accessed on 3 June 2024).
- Ye, M.; Fu, S.; Pi, R.; He, F. Neuropharmacological and pharmacokinetic properties of berberine: A review of recent research. J. Pharm. Pharmacol. 2009, 61, 831–837. [Google Scholar] [CrossRef] [PubMed]
- Water, J.J.; Schack, M.M.; Velazquez-Campoy, A.; Maltesen, M.J.; van de Weert, M.; Jorgensen, L. Complex coacervates of hyaluronic acid and lysozyme: Effect on protein structure and physical stability. Eur. J. Pharm. Biopharm. 2014, 88, 325–331. [Google Scholar] [CrossRef] [PubMed]
- Olejnik; Goscianska, J.; Zielinska, A.; Nowak, I. Stability determination of the formulations containing hyaluronic acid. Int. J. Cosmet. Sci. 2015, 37, 401–407. [Google Scholar] [CrossRef] [PubMed]
- Keong, L.E.E.C. Dermal Delivery of Berberine for Suppression of Pain and Inflammation in Knee Osteoarthritis. Ph.D. Thesis, National University of Singapore, Singapore, 2020. [Google Scholar]
- Ayhan, E.; Kesmezacar, H.; Akgun, I. Intraarticular injections (corticosteroid, hyaluronic acid, platelet rich plasma) for the knee osteoarthritis. World J. Orthop. 2014, 5, 351. [Google Scholar] [CrossRef]
- Guo, X.; Xiong, X.; Zhao, L.; Zhong, G.; Zhu, X. Chapter 14—The anti-aging mechanism of Berberine associated with metabolic control. In Anti-Aging Pharmacology; Koltover, V.K., Ed.; Academic Press: Cambridge, MA, USA, 2023; pp. 305–327. [Google Scholar] [CrossRef]
- Sher, Y.-P.; Hung, M.-C. Blood AST, ALT and UREA/BUN Level Analysis. 2013. Available online: http://www.bio-protocol.org/e931 (accessed on 3 June 2024).
- Hu, P.; Chen, W.; Tang, J.; Bao, J.; Wu, L. Protective effects of berberine in an experimental rat osteoarthritis model. Phytother. Res. 2011, 25, 878–885. [Google Scholar] [CrossRef] [PubMed]
- Wu, D.; Wen, W.; Qi, C.-L.; Zhao, R.-X.; Lü, J.-H.; Zhong, C.-Y.; Chen, Y.-Y. Ameliorative effect of berberine on renal damage in rats with diabetes induced by high-fat diet and streptozotocin. Phytomedicine 2012, 19, 712–718. [Google Scholar] [CrossRef]
- Mombeini, M.A.; Kalantar, H.; Sadeghi, E.; Goudarzi, M.; Khalili, H.; Kalantar, M. Protective effects of berberine as a natural antioxidant and anti-inflammatory agent against nephrotoxicity induced by cyclophosphamide in mice. Naunyn. Schmiedebergs Arch. Pharmacol. 2022, 395, 187–194. [Google Scholar] [CrossRef]
- Feng, X.; Wang, K.; Cao, S.; Ding, L.; Qiu, F. Pharmacokinetics of Five Alkaloids and their Metabolites in Normal and Diabetic Rats after Oral Administration of Rhizoma coptidis. Planta Med. 2022, 88, 921–932. [Google Scholar] [CrossRef] [PubMed]
- Li, J.; Wang, Y.; Chen, D.; Liu-Bryan, R. Oral administration of berberine limits post-traumatic osteoarthritis development and associated pain via AMP-activated protein kinase (AMPK) in mice. Osteoarthr. Cartil. 2022, 30, 160–171. [Google Scholar] [CrossRef]
- Zhang, H.; Shan, Y.; Wu, Y.; Xu, C.; Yu, X.; Zhao, J.; Yan, J.; Shang, W. Berberine suppresses LPS-induced inflammation through modulating Sirt1/NF-κB signaling pathway in RAW264. 7 cells. Int. Immunopharmacol. 2017, 52, 93–100. [Google Scholar] [CrossRef]
- Zhang, F.; Li, Z.-L.; Xu, X.-M.; Hu, Y.; Yao, J.-H.; Xu, W.; Jing, H.-R.; Wang, S.; Ning, S.-L.; Tian, X.-F. Protective effects of icariin-mediated SIRT1/FOXO3 signaling pathway on intestinal ischemia/reperfusion-induced acute lung injury. Mol. Med. Rep. 2015, 11, 269–276. [Google Scholar] [CrossRef]
- Varghese, F.S.; Thaa, B.; Amrun, S.N.; Simarmata, D.; Rausalu, K.; Nyman, T.A.; Merits, A.; McInerney, G.M.; Ng, L.F.P.; Ahola, T. The Antiviral Alkaloid Berberine Reduces Chikungunya Virus-Induced Mitogen-Activated Protein Kinase Signaling. J. Virol. 2016, 90, 9743–9757. [Google Scholar] [CrossRef]
- Liu, Y.-T.; Hao, H.-P.; Xie, H.-G.; Lai, L.; Wang, Q.; Liu, C.-X.; Wang, G.-J. Extensive intestinal first-pass elimination and predominant hepatic distribution of berberine explain its low plasma levels in rats. Drug Metab. Dispos. 2010, 38, 1779–1784. [Google Scholar] [CrossRef]
- Zhao, L.; Sun, L.N.; Nie, H.B.; Wang, X.L.; Guan, G.J. Berberine Improves Kidney Function in Diabetic Mice via AMPK Activation. PLoS ONE 2014, 9, e113398. [Google Scholar] [CrossRef]
- Hu, S.; Wang, J.; Liu, E.; Zhang, X.; Xiang, J.; Li, W.; Wei, P.; Zeng, J.; Zhang, Y.; Ma, X. Protective Effect of Berberine in Diabetic Nephropathy: A Systematic Review and Meta-Analysis Revealing the Mechanism of Action; Academic Press: Cambridge, MA, USA, 2022. [Google Scholar] [CrossRef]
- Tillhon, M.; Ortiz, L.M.G.; Lombardi, P.; Scovassi, A.I. Berberine: New perspectives for old remedies. Biochem. Pharmacol. 2012, 84, 1260–1267. [Google Scholar] [CrossRef]
- Chen, B.; Zhan, H.; Marszalek, J.; Chung, M.; Lin, X.; Zhang, M.; Pang, J.; Wang, C. Traditional Chinese Medications for Knee Osteoarthritis Pain: A Meta-Analysis of Randomized Controlled Trials. Am. J. Chin. Med. 2016, 44, 677–703. [Google Scholar] [CrossRef]
- Zhou, Q.; Liu, J.; Xin, L.; Fang, Y.; Hu, Y.; Qi, Y.; He, M.; Fang, D.; Chen, X.; Cong, C. Association between traditional Chinese Medicine and osteoarthritis outcome: A 5-year matched cohort study. Heliyon 2024, 10, e26289. [Google Scholar] [CrossRef]
- Peng, Y.; Yang, Z.; Li, J.; Liu, S. Research Progress on Nanotechnology of Traditional Chinese Medicine to Enhance the Therapeutic Effect of Osteoarthritis; Springer: Berlin/Heidelberg, Germany, 2024. [Google Scholar] [CrossRef]
- Benetti, C.; Benetti, A.A. Quality by Design in Formulation Development. In Introduction to Quality by Design (QbD): From Theory to Practice; Jain, N.K., Bajwa, N., Eds.; Springer Nature: Singapore, 2024; pp. 139–159. [Google Scholar] [CrossRef]











| Excipient | Pathogenesis-Targeted Mechanism | Pharmacological Effect | References |
|---|---|---|---|
| Hyaluronic acid | Anticatabolic and anti-inflammatory |
| [21,22,23,24] |
| Ascorbic acid | Antioxidative |
| [22,25] |
| Resveratrol | Anti-inflammatory and antioxidative |
| [22,26,27,28] |
| Menthol | Pain |
| [29,30] |
| Berberine Proniosome Gel (PG) Formulation | Amount of Berberine (% (w/w)) | Additional Excipients |
|---|---|---|
| PG+B1 | 0.5% | - |
| PG+B2 | 1% | - |
| PG+B3 | 1.75% | - |
| PG+B3+HA | 1.75% | Hyaluronic acid (HA) (1.75%) |
| PG+B2+AA+RES+MT | 1% | Ascorbic acid (AA) (1%) Resveratrol (RES) (1%) Menthol (MT) (2%) |
Disclaimer/Publisher’s Note: The statements, opinions and data contained in all publications are solely those of the individual author(s) and contributor(s) and not of MDPI and/or the editor(s). MDPI and/or the editor(s) disclaim responsibility for any injury to people or property resulting from any ideas, methods, instructions or products referred to in the content. |
© 2024 by the authors. Licensee MDPI, Basel, Switzerland. This article is an open access article distributed under the terms and conditions of the Creative Commons Attribution (CC BY) license (https://creativecommons.org/licenses/by/4.0/).
Share and Cite
Altay Benetti, A.; Thwin, M.T.; Suhaimi, A.; Liang, R.S.T.; Ng, L.F.-P.; Lum, F.-M.; Benetti, C. Development of Proniosome Gel Formulation for CHIKV Infection. Pharmaceutics 2024, 16, 994. https://doi.org/10.3390/pharmaceutics16080994
Altay Benetti A, Thwin MT, Suhaimi A, Liang RST, Ng LF-P, Lum F-M, Benetti C. Development of Proniosome Gel Formulation for CHIKV Infection. Pharmaceutics. 2024; 16(8):994. https://doi.org/10.3390/pharmaceutics16080994
Chicago/Turabian StyleAltay Benetti, Ayça, Ma Thinzar Thwin, Ahmad Suhaimi, Ryan Sia Tze Liang, Lisa Fong-Poh Ng, Fok-Moon Lum, and Camillo Benetti. 2024. "Development of Proniosome Gel Formulation for CHIKV Infection" Pharmaceutics 16, no. 8: 994. https://doi.org/10.3390/pharmaceutics16080994
APA StyleAltay Benetti, A., Thwin, M. T., Suhaimi, A., Liang, R. S. T., Ng, L. F.-P., Lum, F.-M., & Benetti, C. (2024). Development of Proniosome Gel Formulation for CHIKV Infection. Pharmaceutics, 16(8), 994. https://doi.org/10.3390/pharmaceutics16080994

