Targeted Antibacterial Endolysin to Treat Infected Wounds on 3D Full-Thickness Skin Model: XZ.700 Efficacy
Abstract
1. Introduction
2. Materials and Methods
2.1. Test System
2.2. Test Item
2.3. Skin Injury
2.4. Quantitative Real-Time PCR
2.5. Histology and Immunohistochemistry Analyses
2.6. Bacterial Strain and Inoculum
2.7. Bacterial Viable Count on Tissue Homogenates and XZ.700 Treatment
2.8. Scanning Electron Microscopy (SEM)
2.9. Statistics
3. Results
3.1. Wound Model (WM)
3.2. Re-Epithelization Model: Dynamic Wound Healing in 8 Days
3.2.1. Keratinocytes Migration in Response to Injury in WM After 1 and 3 Days
3.2.2. Keratinocytes Nuclei Orientation in WM
3.2.3. Gene Expression Results: KGF and TGF β-1 Expression in WM at Day 3
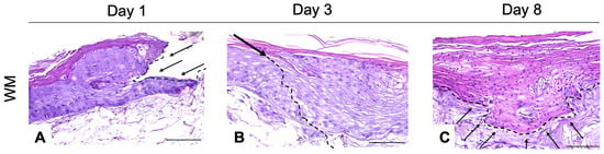
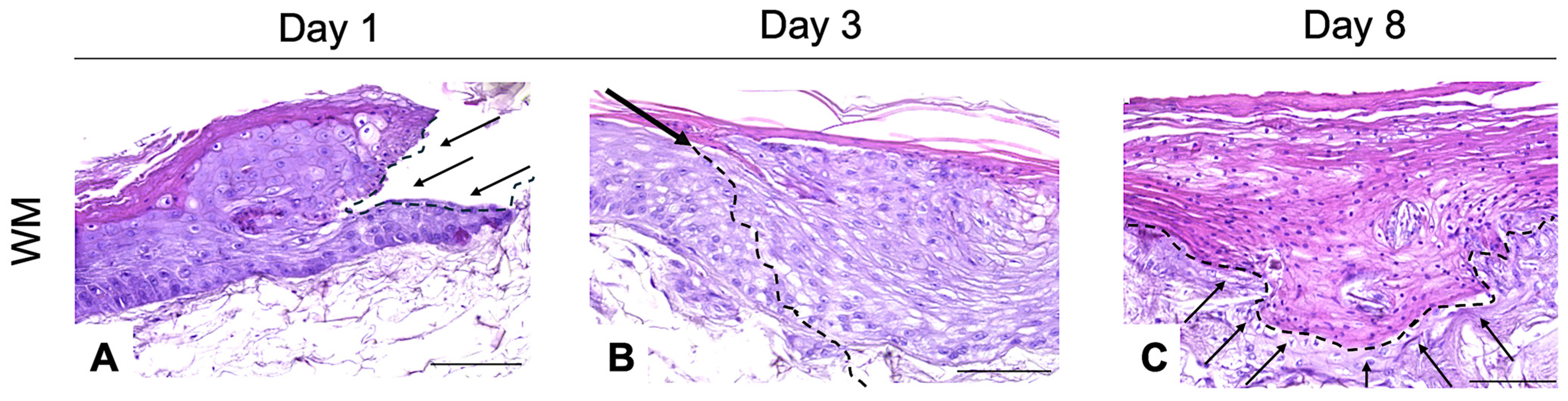
3.2.4. Histo-Morphological Evaluation of Wound Model at 1–3–8 Days
3.2.5. Keratinocytes Differentiation During Re-Epithelialization in WM: 1–3–8 Days
3.2.6. Fibroblasts Activation and New ECM Components in the Wound Bed: 3–8 Days
3.3. Results of Endolysin XZ-700 Efficacy
3.3.1. S. aureus Immunolabeling (Cross-Vertical Sections and Top-View Acquisitions)
3.3.2. Scanning Electron Microscopy Analysis
4. Discussion
5. Conclusions
Author Contributions
Funding
Institutional Review Board Statement
Informed Consent Statement
Data Availability Statement
Acknowledgments
Conflicts of Interest
References
- Groeber, F.; Holeiter, M.; Hampel, M.; Hinderer, S.; Schenke-Layland, K. Skin Tissue Engineering—In Vivo and in Vitro Applications. Adv. Drug Deliv. Rev. 2011, 63, 352–366. [Google Scholar] [CrossRef] [PubMed]
- Lavery, L.A.; Bhavan, K.; Wukich, D.K. Biofilm and Diabetic Foot Ulcer Healing: All Hat and No Cattle. Ann. Transl. Med. 2019, 7, 159. [Google Scholar] [CrossRef] [PubMed]
- Broughton, G.; Janis, J.E.; Attinger, C.E. The Basic Science of Wound Healing. Plast. Reconstr. Surg. 2006, 117, 12S–34S. [Google Scholar] [CrossRef] [PubMed]
- Barrientos, S.; Stojadinovic, O.; Golinko, M.S.; Brem, H.; Tomic-Canic, M. PERSPECTIVE ARTICLE: Growth Factors and Cytokines in Wound Healing. Wound Repair Regen. 2008, 16, 585–601. [Google Scholar] [CrossRef] [PubMed]
- Barros, J.F.; Waclawiak, I.; Pecli, C.; Borges, P.A.; Georgii, J.L.; Ramos-Junior, E.S.; Canetti, C.; Courau, T.; Klatzmann, D.; Kunkel, S.L.; et al. Role of Chemokine Receptor CCR4 and Regulatory T Cells in Wound Healing of Diabetic Mice. J. Investig. Dermatol. 2019, 139, 1161–1170. [Google Scholar] [CrossRef]
- Deonarine, K.; Panelli, M.C.; Stashower, M.E.; Jin, P.; Smith, K.; Slade, H.B.; Norwood, C.; Wang, E.; Marincola, F.M.; Stroncek, D.F. Gene Expression Profiling of Cutaneous Wound Healing. J. Transl. Med. 2007, 5, 11. [Google Scholar] [CrossRef]
- Cañedo-Dorantes, L.; Cañedo-Ayala, M. Skin Acute Wound Healing: A Comprehensive Review. Int. J. Inflamm. 2019, 2019, 3706315. [Google Scholar] [CrossRef]
- Vouillarmet, J.; Maucort-Boulch, D.; Michon, P.; Thivolet, C. Advanced Glycation End Products Assessed by Skin Autofluorescence: A New Marker of Diabetic Foot Ulceration. Diabetes Technol. Ther. 2013, 15, 601–605. [Google Scholar] [CrossRef]
- Werner, S.; Krieg, T.; Smola, H. Keratinocyte–Fibroblast Interactions in Wound Healing. J. Investig. Dermatol. 2007, 127, 998–1008. [Google Scholar] [CrossRef]
- Brown, L.F.; Yeo, K.T.; Berse, B.; Yeo, T.K.; Senger, D.R.; Dvorak, H.F.; Van De Water, L. Expression of Vascular Permeability Factor (Vascular Endothelial Growth Factor) by Epidermal Keratinocytes during Wound Healing. J. Exp. Med. 1992, 176, 1375–1379. [Google Scholar] [CrossRef]
- desJardins-Park, H.E.; Foster, D.S.; Longaker, M.T. Fibroblasts and Wound Healing: An Update. Regen. Med. 2018, 13, 491–495. [Google Scholar] [CrossRef]
- Paladini, R.D.; Takahashi, K.; Bravo, N.S.; Coulombe, P.A. Onset of Re-Epithelialization after Skin Injury Correlates with a Reorganization of Keratin Filaments in Wound Edge Keratinocytes: Defining a Potential Role for Keratin 16. J. Cell Biol. 1996, 132, 381–397. [Google Scholar] [CrossRef] [PubMed]
- Schultz, G.S.; Wysocki, A. Interactions between Extracellular Matrix and Growth Factors in Wound Healing. Wound Repair Regen. 2009, 17, 153–162. [Google Scholar] [CrossRef] [PubMed]
- Martin, P. Wound Healing--Aiming for Perfect Skin Regeneration. Science 1997, 276, 75–81. [Google Scholar] [CrossRef] [PubMed]
- Usui, M.L.; Underwood, R.A.; Mansbridge, J.N.; Muffley, L.A.; Carter, W.G.; Olerud, J.E. Morphological Evidence for the Role of Suprabasal Keratinocytes in Wound Reepithelialization. Wound Repair Regen. 2005, 13, 468–479. [Google Scholar] [CrossRef] [PubMed]
- Gomes, A.; Teixeira, C.; Ferraz, R.; Prudêncio, C.; Gomes, P. Wound-Healing Peptides for Treatment of Chronic Diabetic Foot Ulcers and Other Infected Skin Injuries. Molecules 2017, 22, 1743. [Google Scholar] [CrossRef]
- Safferling, K.; Sütterlin, T.; Westphal, K.; Ernst, C.; Breuhahn, K.; James, M.; Jäger, D.; Halama, N.; Grabe, N. Wound Healing Revised: A Novel Reepithelialization Mechanism Revealed by in Vitro and in Silico Models. J. Cell Biol. 2013, 203, 691–709. [Google Scholar] [CrossRef]
- Darby, I.A.; Hewitson, T.D. Fibroblast Differentiation in Wound Healing and Fibrosis. In International Review of Cytology; Elsevier: Amsterdam, The Netherlands, 2007; Volume 257, pp. 143–179. ISBN 978-0-12-373701-4. [Google Scholar]
- Chen, W.Y.J.; Abatangelo, G. Functions of Hyaluronan in Wound Repair. Wound Repair Regen. 1999, 7, 79–89. [Google Scholar] [CrossRef]
- Anilkumar, T.V.; Muhamed, J.; Jose, A.; Jyothi, A.; Mohanan, P.V.; Krishnan, L.K. Advantages of Hyaluronic Acid as a Component of Fibrin Sheet for Care of Acute Wound. Biologicals 2011, 39, 81–88. [Google Scholar] [CrossRef]
- Micallef, L.; Vedrenne, N.; Billet, F.; Coulomb, B.; Darby, I.A.; Desmoulière, A. The Myofibroblast, Multiple Origins for Major Roles in Normal and Pathological Tissue Repair. Fibrogenesis Tissue Repair 2012, 5, S5. [Google Scholar] [CrossRef]
- Hofmann, E.; Fink, J.; Pignet, A.-L.; Schwarz, A.; Schellnegger, M.; Nischwitz, S.P.; Holzer-Geissler, J.C.J.; Kamolz, L.-P.; Kotzbeck, P. Human In Vitro Skin Models for Wound Healing and Wound Healing Disorders. Biomedicines 2023, 11, 1056. [Google Scholar] [CrossRef]
- Jonkman, J.E.N.; Cathcart, J.A.; Xu, F.; Bartolini, M.E.; Amon, J.E.; Stevens, K.M.; Colarusso, P. An Introduction to the Wound Healing Assay Using Live-Cell Microscopy. Cell Adhes. Migr. 2014, 8, 440–451. [Google Scholar] [CrossRef]
- Stamm, A.; Reimers, K.; Strauß, S.; Vogt, P.; Scheper, T.; Pepelanova, I. In Vitro Wound Healing Assays—State of the Art. BioNanoMaterials 2016, 17, 79–87. [Google Scholar] [CrossRef]
- Sun, T.; Jackson, S.; Haycock, J.W.; MacNeil, S. Culture of Skin Cells in 3D Rather than 2D Improves Their Ability to Survive Exposure to Cytotoxic Agents. J. Biotechnol. 2006, 122, 372–381. [Google Scholar] [CrossRef]
- Bhadriraju, K.; Chen, C.S. Engineering Cellular Microenvironments to Improve Cell-Based Drug Testing. Drug Discov. Today 2002, 7, 612–620. [Google Scholar] [CrossRef] [PubMed]
- Niehues, H.; Bouwstra, J.A.; El Ghalbzouri, A.; Brandner, J.M.; Zeeuwen, P.L.J.M.; Van Den Bogaard, E.H. 3D Skin Models for 3R Research: The Potential of 3D Reconstructed Skin Models to Study Skin Barrier Function. Exp. Dermatol. 2018, 27, 501–511. [Google Scholar] [CrossRef]
- Laplante, A.F.; Germain, L.; Auger, F.A.; Moulin, V. Mechanisms of Wound Reepithelialization: Hints from a Tissue-engineered Reconstructed Skin to Long-standing Questions. FASEB J. 2001, 15, 2377–2389. [Google Scholar] [CrossRef][Green Version]
- El Ghalbzouri, A.; Hensbergen, P.; Gibbs, S.; Kempenaar, J.; Schors, R.V.D.; Ponec, M. Fibroblasts Facilitate Re-Epithelialization in Wounded Human Skin Equivalents. Lab. Investig. 2004, 84, 102–112. [Google Scholar] [CrossRef]
- Breetveld, M.; Richters, C.D.; Rustemeyer, T.; Scheper, R.J.; Gibbs, S. Comparison of Wound Closure after Burn and Cold Injury in Human Skin Equivalents. J. Investig. Dermatol. 2006, 126, 1918–1921. [Google Scholar] [CrossRef]
- Xie, Y.; Rizzi, S.C.; Dawson, R.; Lynam, E.; Richards, S.; Leavesley, D.I.; Upton, Z. Development of a Three-Dimensional Human Skin Equivalent Wound Model for Investigating Novel Wound Healing Therapies. Tissue Eng. Part C Methods 2010, 16, 1111–1123. [Google Scholar] [CrossRef]
- Egles, C.; Garlick, J.A.; Shamis, Y. Three-Dimensional Human Tissue Models of Wounded Skin. In Epidermal Cells; Turksen, K., Ed.; Methods in Molecular Biology; Humana Press: Totowa, NJ, USA, 2010; Volume 585, pp. 345–359. ISBN 978-1-60761-379-4. [Google Scholar]
- Blais, M.; Mottier, L.; Germain, M.-A.; Bellenfant, S.; Cadau, S.; Berthod, F. Sensory Neurons Accelerate Skin Reepithelialization via Substance P in an Innervated Tissue-Engineered Wound Healing Model. Tissue Eng. Part A 2014, 20, 2180–2188. [Google Scholar] [CrossRef]
- Langhans, S.A. Three-Dimensional in Vitro Cell Culture Models in Drug Discovery and Drug Repositioning. Front. Pharmacol. 2018, 9, 6. [Google Scholar] [CrossRef]
- Leyden, J.J.; McGinley, K.J.; Nordstrom, K.M.; Webster, G.F. Skin Microflora. J. Investig. Dermatol. 1987, 88, 65S–72S. [Google Scholar] [CrossRef]
- Lerebour, G.; Cupferman, S.; Bellon-Fontaine, M.N. Adhesion of Staphylococcus Aureus and Staphylococcus Epidermidis to the EpiskinR Reconstructed Epidermis Model and to an Inert 304 Stainless Steel Substrate. J. Appl. Microbiol. 2004, 97, 7–16. [Google Scholar] [CrossRef]
- Boulangé-Petermann, L.; Rault, J.; Bellon-Fontaine, M. Adhesion of Streptococcus thermophilus to Stainless Steel with Different Surface Topography and Roughness. Biofouling 1997, 11, 201–216. [Google Scholar] [CrossRef]
- Shepherd, J.; Douglas, I.; Rimmer, S.; Swanson, L.; MacNeil, S. Development of Three-Dimensional Tissue-Engineered Models of Bacterial Infected Human Skin Wounds. Tissue Eng. Part C Methods 2009, 15, 475–484. [Google Scholar] [CrossRef]
- Crone, S.; Garde, C.; Bjarnsholt, T.; Alhede, M. A Novel in Vitro Wound Biofilm Model Used to Evaluate Low-Frequency Ultrasonic-Assisted Wound Debridement. J. Wound Care 2015, 24, 64–72. [Google Scholar] [CrossRef]
- Hall-Stoodley, L.; Stoodley, P. Biofilm Formation and Dispersal and the Transmission of Human Pathogens. Trends Microbiol. 2005, 13, 7–10. [Google Scholar] [CrossRef]
- Jamal, M.; Ahmad, W.; Andleeb, S.; Jalil, F.; Imran, M.; Nawaz, M.A.; Hussain, T.; Ali, M.; Rafiq, M.; Kamil, M.A. Bacterial Biofilm and Associated Infections. J. Chin. Med. Assoc. 2018, 81, 7–11. [Google Scholar] [CrossRef]
- D’Atanasio, N.; Capezzone de Joannon, A.; Mangano, G.; Meloni, M.; Giarratana, N.; Milanese, C.; Tongiani, S. A New Acid-Oxidizing Solution: Assessment of Its Role on Methicillin-Resistant Staphylococcus Aureus (MRSA) Biofilm Morphological Changes. Wounds Compend. Clin. Res. Pract. 2015, 27, 265–273. [Google Scholar]
- Gottrup, F.; Apelqvist, J.; Bjarnsholt, T.; Cooper, R.; Moore, Z.; Peters, E.J.G.; Probst, S. EWMA Document: Antimicrobials and Non-Healing Wounds: Evidence, Controversies and Suggestions. J. Wound Care 2013, 22, S1–S89. [Google Scholar] [CrossRef]
- Roy, S.; Santra, S.; Das, A.; Dixith, S.; Sinha, M.; Ghatak, S.; Ghosh, N.; Banerjee, P.; Khanna, S.; Mathew-Steiner, S.; et al. Staphylococcus Aureus Biofilm Infection Compromises Wound Healing by Causing Deficiencies in Granulation Tissue Collagen. Ann. Surg. 2020, 271, 1174–1185. [Google Scholar] [CrossRef]
- Thurlow, L.R.; Stephens, A.C.; Hurley, K.E.; Richardson, A.R. Lack of Nutritional Immunity in Diabetic Skin Infections Promotes Staphylococcus Aureus Virulence. Sci. Adv. 2020, 6, eabc5569. [Google Scholar] [CrossRef]
- Young, R. Bacteriophage Lysis: Mechanism and Regulation. Microbiol. Rev. 1992, 56, 430–481. [Google Scholar] [CrossRef]
- Nelson, D.; Schuch, R.; Chahales, P.; Zhu, S.; Fischetti, V.A. PlyC: A Multimeric Bacteriophage Lysin. Proc. Natl. Acad. Sci. USA 2006, 103, 10765–10770. [Google Scholar] [CrossRef]
- Schmelcher, M.; Loessner, M.J. Bacteriophage Endolysins—Extending Their Application to Tissues and the Bloodstream. Curr. Opin. Biotechnol. 2021, 68, 51–59. [Google Scholar] [CrossRef] [PubMed]
- Eichenseher, F.; Herpers, B.L.; Badoux, P.; Leyva-Castillo, J.M.; Geha, R.S.; Van Der Zwart, M.; McKellar, J.; Janssen, F.; De Rooij, B.; Selvakumar, L.; et al. Linker-Improved Chimeric Endolysin Selectively Kills Staphylococcus Aureus In Vitro, on Reconstituted Human Epidermis, and in a Murine Model of Skin Infection. Antimicrob. Agents Chemother. 2022, 66, e02273-21. [Google Scholar] [CrossRef]
- Ackermann, K.; Lombardi Borgia, S.; Korting, H.C.; Mewes, K.R.; Schäfer-Korting, M. The Phenion® Full-Thickness Skin Model for Percutaneous Absorption Testing. Skin Pharmacol. Physiol. 2010, 23, 105–112. [Google Scholar] [CrossRef]
- Mewes, K.R.; Raus, M.; Bernd, A.; Zöller, N.N.; Sättler, A.; Graf, R. Elastin Expression in a Newly Developed Full-Thickness Skin Equivalent. Skin Pharmacol. Physiol. 2007, 20, 85–95. [Google Scholar] [CrossRef]
- Zöller, N.N.; Kippenberger, S.; Thaçi, D.; Mewes, K.; Spiegel, M.; Sättler, A.; Schultz, M.; Bereiter-Hahn, J.; Kaufmann, R.; Bernd, A. Evaluation of Beneficial and Adverse Effects of Glucocorticoids on a Newly Developed Full-Thickness Skin Model. Toxicol. In Vitro 2008, 22, 747–759. [Google Scholar] [CrossRef]
- Reisinger, K.; Blatz, V.; Brinkmann, J.; Downs, T.R.; Fischer, A.; Henkler, F.; Hoffmann, S.; Krul, C.; Liebsch, M.; Luch, A.; et al. Validation of the 3D Skin Comet Assay Using Full Thickness Skin Models: Transferability and Reproducibility. Mutat. Res. Toxicol. Environ. Mutagen. 2018, 827, 27–41. [Google Scholar] [CrossRef]
- Pastar, I.; Stojadinovic, O.; Yin, N.C.; Ramirez, H.; Nusbaum, A.G.; Sawaya, A.; Patel, S.B.; Khalid, L.; Isseroff, R.R.; Tomic-Canic, M. Epithelialization in Wound Healing: A Comprehensive Review. Adv. Wound Care 2014, 3, 445–464. [Google Scholar] [CrossRef]
- Beer, H.-D.; Gassmann, M.G.; Munz, B.; Steiling, H.; Engelhardt, F.; Bleuel, K.; Werner, S. Expression and Function of Keratinocyte Growth Factor and Activin in Skin Morphogenesis and Cutaneous Wound Repair. J. Investig. Dermatol. Symp. Proc. 2000, 5, 34–39. [Google Scholar] [CrossRef]
- Grose, R.; Hutter, C.; Bloch, W.; Thorey, I.; Watt, F.M.; Fässler, R.; Brakebusch, C.; Werner, S. A Crucial Role of Β1 Integrins for Keratinocyte Migration in Vitro and during Cutaneous Wound Repair. Development 2002, 129, 2303–2315. [Google Scholar] [CrossRef]
- Haapasalmi, K.; Zhang, K.; Tonnesen, M.; Olerud, J.; Sheppard, D.; Salo, T.; Kramer, R.; Clark, R.A.F.; Uitto, V.-J.; Larjava, H. Keratinocytes in Human Wounds Express Avβ6 Integrin. J. Investig. Dermatol. 1996, 106, 42–48. [Google Scholar] [CrossRef]
- Meloni, M.; Lombardi, B.; Carriero, F.; Ceriotti, L. Wound Healing and Skin Regeneration on FT-Skin, Poster ID 450, In Proceedings of the 32th IFSCC Congress, London, 19–22 September 2022.
- Phan, S.H. Biology of Fibroblasts and Myofibroblasts. Proc. Am. Thorac. Soc. 2008, 5, 334–337. [Google Scholar] [CrossRef]
- Tomasek, J.J.; Gabbiani, G.; Hinz, B.; Chaponnier, C.; Brown, R.A. Myofibroblasts and Mechano-Regulation of Connective Tissue Remodelling. Nat. Rev. Mol. Cell Biol. 2002, 3, 349–363. [Google Scholar] [CrossRef]
- Hinz, B.; Celetta, G.; Tomasek, J.J.; Gabbiani, G.; Chaponnier, C. Alpha-Smooth Muscle Actin Expression Upregulates Fibroblast Contractile Activity. Mol. Biol. Cell 2001, 12, 2730–2741. [Google Scholar] [CrossRef] [PubMed]
- Eldardiri, M.; Martin, Y.; Roxburgh, J.; Lawrence-Watt, D.J.; Sharpe, J.R. Wound Contraction Is Significantly Reduced by the Use of Microcarriers to Deliver Keratinocytes and Fibroblasts in an In Vivo Pig Model of Wound Repair and Regeneration. Tissue Eng. Part A 2012, 18, 587–597. [Google Scholar] [CrossRef] [PubMed]
- Ryan, G.B.; Cliff, W.J.; Gabbiani, G.; Irle, C.; Montandon, D.; Statkov, P.R.; Majno, G. Myofibroblasts in Human Granulation Tissue. Hum. Pathol. 1974, 5, 55–67. [Google Scholar] [CrossRef] [PubMed]
- Amadeu, T.P.; Coulomb, B.; Desmouliere, A.; Costa, A.M.A. Cutaneous Wound Healing: Myofibroblastic Differentiation and in Vitro Models. Int. J. Low. Extrem. Wounds 2003, 2, 60–68. [Google Scholar] [CrossRef] [PubMed]
- Ferguson, M.W.J.; O’Kane, S. Scar–Free Healing: From Embryonic Mechanisms to Adult Therapeutic Intervention. Philos. Trans. R. Soc. Lond. B Biol. Sci. 2004, 359, 839–850. [Google Scholar] [CrossRef]
- Seo, B.F.; Lee, J.Y.; Jung, S.-N. Models of Abnormal Scarring. BioMed Res. Int. 2013, 2013, 423147. [Google Scholar] [CrossRef]
- Lombardi, B.; Casale, C.; Imparato, G.; Urciuolo, F.; Netti, P.A. Spatiotemporal Evolution of the Wound Repairing Process in a 3D Human Dermis Equivalent. Adv. Healthc. Mater. 2017, 6, 1601422. [Google Scholar] [CrossRef] [PubMed]











| SERIES | KGF | TGF-β1 |
|---|---|---|
| D3_WM | 23.95 | 2.40 1 |
Disclaimer/Publisher’s Note: The statements, opinions and data contained in all publications are solely those of the individual author(s) and contributor(s) and not of MDPI and/or the editor(s). MDPI and/or the editor(s) disclaim responsibility for any injury to people or property resulting from any ideas, methods, instructions or products referred to in the content. |
© 2024 by the authors. Licensee MDPI, Basel, Switzerland. This article is an open access article distributed under the terms and conditions of the Creative Commons Attribution (CC BY) license (https://creativecommons.org/licenses/by/4.0/).
Share and Cite
Meloni, M.; de Rooij, B.; Janssen, F.W.; Rescigno, F.; Lombardi, B. Targeted Antibacterial Endolysin to Treat Infected Wounds on 3D Full-Thickness Skin Model: XZ.700 Efficacy. Pharmaceutics 2024, 16, 1539. https://doi.org/10.3390/pharmaceutics16121539
Meloni M, de Rooij B, Janssen FW, Rescigno F, Lombardi B. Targeted Antibacterial Endolysin to Treat Infected Wounds on 3D Full-Thickness Skin Model: XZ.700 Efficacy. Pharmaceutics. 2024; 16(12):1539. https://doi.org/10.3390/pharmaceutics16121539
Chicago/Turabian StyleMeloni, Marisa, Bob de Rooij, Ferdinand W. Janssen, Francesca Rescigno, and Bernadette Lombardi. 2024. "Targeted Antibacterial Endolysin to Treat Infected Wounds on 3D Full-Thickness Skin Model: XZ.700 Efficacy" Pharmaceutics 16, no. 12: 1539. https://doi.org/10.3390/pharmaceutics16121539
APA StyleMeloni, M., de Rooij, B., Janssen, F. W., Rescigno, F., & Lombardi, B. (2024). Targeted Antibacterial Endolysin to Treat Infected Wounds on 3D Full-Thickness Skin Model: XZ.700 Efficacy. Pharmaceutics, 16(12), 1539. https://doi.org/10.3390/pharmaceutics16121539

