Lipid-Based Formulation of Baricitinib for the Topical Treatment of Psoriasis
Abstract
1. Introduction
2. Materials and Methods
2.1. Chemicals and Reagents
2.2. Biological Material
2.3. Analytical Method for Drug Quantification
2.4. Design and Preparation of Lipid-Based Topical Solutions of BCT 5 mg/mL
2.5. Characterization of BCT-OS
2.5.1. pH
2.5.2. Drug Content
2.5.3. Rheological Properties
2.5.4. Extensibility
2.6. In Vitro Release Study
2.7. Ex Vivo Permeation Study Using Human Skin
2.8. Efficacy Study: Imiquimod-Induced Psoriasis Model
2.8.1. Animals and Study Protocol
2.8.2. Evaluation of Thickness and Biomechanical Skin Properties
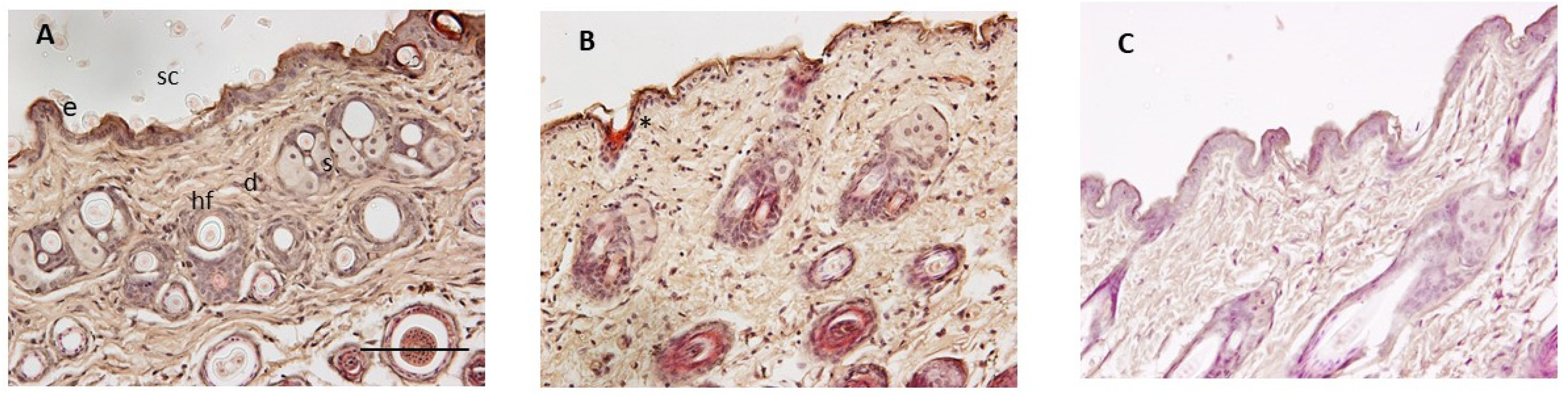
2.8.3. Histological Analysis
2.9. Evaluation of Biopharmaceutical Parameters in Healthy and Psoriatic Skin
2.10. Tolerance Study
2.10.1. Tolerance by Evaluation of Biomechanical Skin Properties
2.10.2. Tolerance Study in Mouse
3. Results
3.1. Design and Preparation of Lipid-Based Topical Solutions of BCT 5 mg/mL
3.2. Characterization of the Formulations
3.2.1. Rheological Properties
3.2.2. Extensibility Assay
3.3. In Vitro Release Study
3.4. Ex Vivo Permeation Study Using Human Skin
3.5. Efficacy Study: Imiquimod-Induced Psoriasis Model
3.5.1. Evaluation of Thickness and Biomechanical Skin Properties
3.5.2. Histological Analysis
3.6. Evaluation of Biopharmaceutical Parameters in Healthy and Psoriatic Skin
3.7. Tolerance Study
3.7.1. Tolerance Study by Evaluation of Biomechanical Skin Properties
3.7.2. Tolerance Study in Mouse
4. Discussion
5. Conclusions
Author Contributions
Funding
Institutional Review Board Statement
Informed Consent Statement
Data Availability Statement
Acknowledgments
Conflicts of Interest
References
- Armstrong, A.W.; Read, C. Pathophysiology, Clinical Presentation, and Treatment of Psoriasis: A Review. JAMA 2020, 323, 1945–1960. [Google Scholar] [CrossRef] [PubMed]
- Virtanen, A.T.; Haikarainen, T.; Raivola, J.; Silvennoinen, O. Selective JAKinibs: Prospects in Inflammatory and Autoimmune Diseases. BioDrugs 2019, 33, 15–32. [Google Scholar] [CrossRef]
- Kimball, A.B.; Jacobson, C.; Weiss, S.; Vreeland, M.G.; Wu, Y. The Psychosocial Burden of Psoriasis. Am. J. Clin. Dermatol. 2005, 6, 383–392. [Google Scholar] [CrossRef] [PubMed]
- Greb, J.E.; Goldminz, A.M.; Elder, J.T.; Lebwohl, M.G.; Gladman, D.D.; Wu, J.J.; Mehta, N.N.; Finlay, A.Y.; Gottlieb, A.B. Psoriasis. Nat. Rev. Dis. Primers 2016, 2, 16082. [Google Scholar] [CrossRef] [PubMed]
- Słuczanowska-Głąbowska, S.; Ziegler-Krawczyk, A.; Szumilas, K.; Pawlik, A. Role of Janus Kinase Inhibitors in Therapy of Psoriasis. J. Clin. Med. 2021, 10, 4307. [Google Scholar] [CrossRef] [PubMed]
- Griffiths, C.E.M.; Armstrong, A.W.; Gudjonsson, J.E.; Barker, J.N.W.N. Psoriasis. Lancet 2021, 397, 1301–1315. [Google Scholar] [CrossRef] [PubMed]
- Silva-Abreu, M.; Sosa, L.; Espinoza, L.C.; Fábrega, M.-J.; Rodríguez-Lagunas, M.J.; Mallandrich, M.; Calpena, A.C.; Garduño-Ramírez, M.L.; Rincón, M. Efficacy of Apremilast Gels in Mouse Model of Imiquimod-Induced Psoriasis Skin Inflammation. Pharmaceutics 2023, 15, 2403. [Google Scholar] [CrossRef]
- Papp, K.A.; Menter, A.; Strober, B.; Langley, R.G.; Buonanno, M.; Wolk, R.; Gupta, P.; Krishnaswami, S.; Tan, H.; Harness, J.A. Efficacy and Safety of Tofacitinib, an Oral Janus Kinase Inhibitor, in the Treatment of Psoriasis: A Phase 2b Randomized Placebo-Controlled Dose-Ranging Study. Br. J. Dermatol. 2012, 167, 668–677. [Google Scholar] [CrossRef]
- Schmieder, G.J.; Draelos, Z.D.; Pariser, D.M.; Banfield, C.; Cox, L.; Hodge, M.; Kieras, E.; Parsons-Rich, D.; Menon, S.; Salganik, M.; et al. Efficacy and Safety of the Janus Kinase 1 Inhibitor PF-04965842 in Patients with Moderate-to-Severe Psoriasis: Phase II, Randomized, Double-Blind, Placebo-Controlled Study. Br. J. Dermatol. 2018, 179, 54–62. [Google Scholar] [CrossRef]
- Papp, K.A.; Menter, M.A.; Raman, M.; Disch, D.; Schlichting, D.E.; Gaich, C.; Macias, W.; Zhang, X.; Janes, J.M. A Randomized Phase 2b Trial of Baricitinib, an Oral Janus Kinase (JAK) 1/JAK2 Inhibitor, in Patients with Moderate-to-severe Psoriasis. Br. J. Dermatol. 2016, 174, 1266–1276. [Google Scholar] [CrossRef]
- Mansilla-Polo, M.; Gimeno, E.; Morgado-Carrasco, D. Roflumilast Tópico y Oral En Dermatología. Una Revisión Narrativa. Actas Dermosifiliogr. 2024, 115, 265–279. [Google Scholar] [CrossRef]
- O’Shea, J.J.; Schwartz, D.M.; Villarino, A.V.; Gadina, M.; McInnes, I.B.; Laurence, A. The JAK-STAT Pathway: Impact on Human Disease and Therapeutic Intervention. Annu. Rev. Med. 2015, 66, 311–328. [Google Scholar] [CrossRef] [PubMed]
- Reich, K.; Kabashima, K.; Peris, K.; Silverberg, J.I.; Eichenfield, L.F.; Bieber, T.; Kaszuba, A.; Kolodsick, J.; Yang, F.E.; Gamalo, M.; et al. Efficacy and Safety of Baricitinib Combined with Topical Corticosteroids for Treatment of Moderate to Severe Atopic Dermatitis: A Randomized Clinical Trial. JAMA Dermatol. 2020, 156, 1333–1343. [Google Scholar] [CrossRef] [PubMed]
- Kalil, A.C.; Patterson, T.F.; Mehta, A.K.; Tomashek, K.M.; Wolfe, C.R.; Ghazaryan, V.; Marconi, V.C.; Ruiz-Palacios, G.M.; Hsieh, L.; Kline, S.; et al. Baricitinib plus Remdesivir for Hospitalized Adults with COVID-19. N. Engl. J. Med. 2021, 384, 795–807. [Google Scholar] [CrossRef] [PubMed]
- Eli Lilly and Company Olumiant (Baricitinib) Tablets 4 Mg, 2 Mg, 1 Mg. Available online: https://olumiant.lilly.com/ (accessed on 25 November 2023).
- Cui, M.; Wiraja, C.; Chew, S.W.T.; Xu, C. Nanodelivery Systems for Topical Management of Skin Disorders. Mol. Pharm. 2021, 18, 491–505. [Google Scholar] [CrossRef]
- Kathe, K.; Kathpalia, H. Film Forming Systems for Topical and Transdermal Drug Delivery. Asian J. Pharm. Sci. 2017, 12, 487–497. [Google Scholar] [CrossRef]
- Boehncke, W.-H.; Schön, M.P. Psoriasis. Lancet 2015, 386, 983–994. [Google Scholar] [CrossRef]
- Assalem, N.; Abd-allah, H.; Ragaie, M.H.; Ahmed, S.S.; Elmowafy, E. Therapeutic Potential of Limonene-Based Syringic Acid Nanoemulsion: Enhanced Ex-Vivo Cutaneous Deposition and Clinical Anti-Psoriatic Efficacy. Int. J. Pharm. 2024, 660, 124376. [Google Scholar] [CrossRef]
- Kurebayashi, A.K.; Phan, K.; Abdoh, A.; Andreo-Filho, N.; Lopes, P.S.; Mohammed, Y.; Leite-Silva, V.R. Strategic Approaches in Formulation Development for Atopic Dermatitis. Cosmetics 2024, 11, 113. [Google Scholar] [CrossRef]
- Alía Fernández-Montes, E. Fórmulas dermatológicas. In Farmacia Profesional: Economía y Gestión; Elsevier: Amsterdam, The Netherlands, 2003; Volume 17, pp. 70–75. [Google Scholar]
- Mohammadi-Meyabadi, R.; Beirampour, N.; Garrós, N.; Alvarado, H.L.; Limón, D.; Silva-Abreu, M.; Calpena, A.C.; Mallandrich, M. Assessing the Solubility of Baricitinib and Drug Uptake in Different Tissues Using Absorption and Fluorescence Spectroscopies. Pharmaceutics 2022, 14, 2714. [Google Scholar] [CrossRef]
- Folle, C.; Sánchez-López, E.; Mallandrich, M.; Díaz-Garrido, N.; Suñer-Carbó, J.; Halbaut, L.; Carvajal-Vidal, P.; Marqués, A.M.; Espina, M.; Badia, J.; et al. Semi-Solid Functionalized Nanostructured Lipid Carriers Loading Thymol for Skin Disorders. Int. J. Pharm. 2024, 651, 123732. [Google Scholar] [CrossRef] [PubMed]
- Abrego, G.; Alvarado, H.; Souto, E.B.; Guevara, B.; Bellowa, L.H.; Parra, A.; Calpena, A.; Garcia, M.L. Biopharmaceutical Profile of Pranoprofen-Loaded PLGA Nanoparticles Containing Hydrogels for Ocular Administration. Eur. J. Pharm. Biopharm. 2015, 95, 261–270. [Google Scholar] [CrossRef] [PubMed]
- Shi, J.G.; Chen, X.; Lee, F.; Emm, T.; Scherle, P.A.; Lo, Y.; Punwani, N.; Williams, W.V.; Yeleswaram, S. The Pharmacokinetics, Pharmacodynamics, and Safety of Baricitinib, an Oral JAK 1/2 Inhibitor, in Healthy Volunteers. J. Clin. Pharmacol. 2014, 54, 1354–1361. [Google Scholar] [CrossRef] [PubMed]
- Sullivan, D.W.; Gad, S.C.; Julien, M. A Review of the Nonclinical Safety of Transcutol®, a Highly Purified Form of Diethylene Glycol Monoethyl Ether (DEGEE) Used as a Pharmaceutical Excipient. Food Chem. Toxicol. 2014, 72, 40–50. [Google Scholar] [CrossRef]
- Fernández-Campos, F.; Clares Naveros, B.; López Serrano, O.; Alonso Merino, C.; Calpena Campmany, A.C. Evaluation of Novel Nystatin Nanoemulsion for Skin Candidosis Infections. Mycoses 2013, 56, 70–81. [Google Scholar] [CrossRef]
- Sosa, L.; Calpena, A.; Silva-Abreu, M.; Espinoza, L.; Rincón, M.; Bozal, N.; Domenech, O.; Rodríguez-Lagunas, M.; Clares, B. Thermoreversible Gel-Loaded Amphotericin B for the Treatment of Dermal and Vaginal Candidiasis. Pharmaceutics 2019, 11, 312. [Google Scholar] [CrossRef]
- Ahmadi, N.; Rincón, M.; Silva-Abreu, M.; Sosa, L.; Pesantez-Narvaez, J.; Calpena, A.C.; Rodríguez-Lagunas, M.J.; Mallandrich, M. Semi-Solid Dosage Forms Containing Pranoprofen-Loaded NLC as Topical Therapy for Local Inflammation: In Vitro, Ex Vivo and In Vivo Evaluation. Gels 2023, 9, 448. [Google Scholar] [CrossRef]
- Latif, M.S.; Nawaz, A.; Asmari, M.; Uddin, J.; Ullah, H.; Ahmad, S. Formulation Development and In Vitro/In Vivo Characterization of Methotrexate-Loaded Nanoemulsion Gel Formulations for Enhanced Topical Delivery. Gels 2022, 9, 3. [Google Scholar] [CrossRef]
- Vlad, R.-A.; Dudici, T.-C.; Syed, M.A.; Antonoaea, P.; Rédai, E.M.; Todoran, N.; Cotoi, C.-T.; Bîrsan, M.; Ciurba, A. Impact of the Preparation Method on the Formulation Properties of Allantoin Hydrogels: Evaluation Using Semi-Solid Control Diagram (SSCD) Principles. Gels 2024, 10, 58. [Google Scholar] [CrossRef]
- Khan, B.A.; Ahmad, N.; Alqahtani, A.; Baloch, R.; Rehman, A.U.; Khan, M.K. Formulation Development of Pharmaceutical Nanoemulgel for Transdermal Delivery of Feboxostat: Physical Characterization and in Vivo Evaluation. Eur. J. Pharm. Sci. 2024, 195, 106665. [Google Scholar] [CrossRef]
- Inoue, Y.; Suzuki, K.; Maeda, R.; Shimura, A.; Murata, I.; Kanamoto, I. Evaluation of Formulation Properties and Skin Penetration in the Same Additive-Containing Formulation. Results Pharma Sci. 2014, 4, 42–49. [Google Scholar] [CrossRef] [PubMed]
- Welin-Berger, K.; Neelissen, J.; Bergenståhl, B. In Vitro Permeation Profile of a Local Anaesthetic Compound from Topical Formulations with Different Rheological Behaviour—Verified by in Vivo Efficacy Data. Eur. J. Pharm. Sci. 2001, 14, 229–236. [Google Scholar] [CrossRef] [PubMed]
- Hagen, M.; Baker, M. Skin Penetration and Tissue Permeation after Topical Administration of Diclofenac. Curr. Med. Res. Opin. 2017, 33, 1623–1634. [Google Scholar] [CrossRef] [PubMed]
- Marwah, H.; Garg, T.; Goyal, A.K.; Rath, G. Permeation Enhancer Strategies in Transdermal Drug Delivery. Drug Deliv. 2016, 23, 564–578. [Google Scholar] [CrossRef]
- Zhao, X.; Sheng, X.Y.; Payne, C.D.; Zhang, X.; Wang, F.; Cui, Y.M. Pharmacokinetics, Safety, and Tolerability of Single- and Multiple-Dose Once-Daily Baricitinib in Healthy Chinese Subjects: A Randomized Placebo-Controlled Study. Clin. Pharmacol. Drug Dev. 2020, 9, 952–960. [Google Scholar] [CrossRef]
- Hiraganahalli Bhaskarmurthy, D.; Evan Prince, S. Effect of Baricitinib on TPA-Induced Psoriasis like Skin Inflammation. Life Sci. 2021, 279, 119655. [Google Scholar] [CrossRef]
- Balak, D.; Hajdarbegovic, E. Drug-Induced Psoriasis: Clinical Perspectives. Psoriasis Targets Ther. 2017, 7, 87–94. [Google Scholar] [CrossRef]
- Lodén, M. Effect of Moisturizers on Epidermal Barrier Function. Clin. Dermatol. 2012, 30, 286–296. [Google Scholar] [CrossRef]
- Purnamawati, S.; Indrastuti, N.; Danarti, R.; Saefudin, T. The Role of Moisturizers in Addressing Various Kinds of Dermatitis: A Review. Clin. Med. Res. 2017, 15, 75–87. [Google Scholar] [CrossRef]
- Pober, J.S.; Sessa, W.C. Inflammation and the Blood Microvascular System. Cold Spring Harb. Perspect. Biol. 2015, 7, a016345. [Google Scholar] [CrossRef]
- Filipov, N.M. Chapter Six–Overview of Peripheral and Central Inflammatory Responses and Their Contribution to Neurotoxicity. In Advances in Neurotoxicology; Aschner, M., Costa, L.G., Eds.; Academic Press: Cambridge, MA, USA, 2019; Volume 3, pp. 169–193. ISBN 2468-7480. [Google Scholar]
- Ubago-Rodríguez, A.; Quiñones-Vico, M.I.; Sánchez-Díaz, M.; Sanabria-de la Torre, R.; Sierra-Sánchez, Á.; Montero-Vílchez, T.; Fernández-González, A.; Arias-Santiago, S. Challenges in Psoriasis Research: A Systematic Review of Preclinical Models. Dermatology 2024, 240, 620–652. [Google Scholar] [CrossRef] [PubMed]
- Espinoza, L.C.; Silva-Abreu, M.; Calpena, A.C.; Rodríguez-Lagunas, M.J.; Fábrega, M.-J.; Garduño-Ramírez, M.L.; Clares, B. Nanoemulsion Strategy of Pioglitazone for the Treatment of Skin Inflammatory Diseases. Nanomedicine 2019, 19, 115–125. [Google Scholar] [CrossRef] [PubMed]












| Formulations | Baricitinib (%) | Transcutol® P (%) | Labrafac®-Lipophile WL 1349 (%) | Lauroglycol® 90/Surfadone® LP 100 (5:2) (%) |
|---|---|---|---|---|
| T1 | 0.5 | 20 | 20 | 59.5 |
| T2 | 0.5 | 20 | 40 | 39.5 |
| T3 | 0.5 | 20 | 60 | 19.5 |
| T4 | 0.5 | 40 | 20 | 39.5 |
| T5 | 0.5 | 40 | 40 | 19.5 |
| T6 | 0.5 | 60 | 20 | 19.5 |
| Formulations | One Day | Thirty Days | ||
|---|---|---|---|---|
| pH | Drug Content (%) | pH | Drug Content (%) | |
| T4 | 5.60 ± 0.12 | 99.02 ± 0.10 | 5.47 ± 0.09 | 98.95 ± 0.12 |
| T5 | 5.57 ± 0.10 | 98.97 ± 0.18 | 5.06 ± 0.13 | 98.01 ± 0.13 |
| T6 | 5.45 ± 0.15 | 99.08 ± 0.09 | 4.73 ± 0.07 | 98.16 ± 0.15 |
| Formulations | One Day | Thirty Days | ||
|---|---|---|---|---|
| pH | Drug Content (%) | pH | Drug Content (%) | |
| T4 | 5.60 ± 0.12 | 99.02 ± 0.10 | 5.38 ± 0.07 | 98.87 ± 0.10 |
| T5 | 5.57 ± 0.10 | 98.97 ± 0.18 | 4.92 ± 0.12 | 97.92 ± 0.16 |
| T6 | 5.45 ± 0.15 | 99.08 ± 0.09 | 4.35 ± 0.15 | 97.89 ± 0.12 |
| Parameters | Mean ± SD |
|---|---|
| Jss (µg/(h/cm2)) | 0.10 ± 0.02 |
| Kp (×10−4 cm/h) | 0.19 ± 0.03 |
| Tl (h) | 8.42 ± 0.78 |
| P2 (h−1) | 1.40 ± 0.13 |
| P1 (×10−4 cm) | 0.14 ± 0.02 |
| Css (ng/mL) | 0.06 ± 0.01 |
| Qret (µg/g skin/cm2) | 277.62 ± 52.75 |
| Parameters | Healthy Skin | Psoriasis Skin | Statistical Significance |
|---|---|---|---|
| Jss (µg/h) | 1.310 ± 0.138 | 3.100 ± 0.093 | *** |
| Tl (h) | 7.89 ± 0.680 | 11.68 ± 1.250 | *** |
| Qret (µg/mg skin) | 0.5320 ± 0.064 | 0.4880 ± 0.570 | ns |
Disclaimer/Publisher’s Note: The statements, opinions and data contained in all publications are solely those of the individual author(s) and contributor(s) and not of MDPI and/or the editor(s). MDPI and/or the editor(s) disclaim responsibility for any injury to people or property resulting from any ideas, methods, instructions or products referred to in the content. |
© 2024 by the authors. Licensee MDPI, Basel, Switzerland. This article is an open access article distributed under the terms and conditions of the Creative Commons Attribution (CC BY) license (https://creativecommons.org/licenses/by/4.0/).
Share and Cite
Mohammadi-Meyabadi, R.; Mallandrich, M.; Beirampour, N.; Garrós, N.; Espinoza, L.C.; Sosa, L.; Suñer-Carbó, J.; Rodríguez-Lagunas, M.J.; Garduño-Ramírez, M.L.; Calpena-Campmany, A.C. Lipid-Based Formulation of Baricitinib for the Topical Treatment of Psoriasis. Pharmaceutics 2024, 16, 1287. https://doi.org/10.3390/pharmaceutics16101287
Mohammadi-Meyabadi R, Mallandrich M, Beirampour N, Garrós N, Espinoza LC, Sosa L, Suñer-Carbó J, Rodríguez-Lagunas MJ, Garduño-Ramírez ML, Calpena-Campmany AC. Lipid-Based Formulation of Baricitinib for the Topical Treatment of Psoriasis. Pharmaceutics. 2024; 16(10):1287. https://doi.org/10.3390/pharmaceutics16101287
Chicago/Turabian StyleMohammadi-Meyabadi, Roya, Mireia Mallandrich, Negar Beirampour, Núria Garrós, Lupe Carolina Espinoza, Lilian Sosa, Joaquim Suñer-Carbó, María José Rodríguez-Lagunas, María Luisa Garduño-Ramírez, and Ana C. Calpena-Campmany. 2024. "Lipid-Based Formulation of Baricitinib for the Topical Treatment of Psoriasis" Pharmaceutics 16, no. 10: 1287. https://doi.org/10.3390/pharmaceutics16101287
APA StyleMohammadi-Meyabadi, R., Mallandrich, M., Beirampour, N., Garrós, N., Espinoza, L. C., Sosa, L., Suñer-Carbó, J., Rodríguez-Lagunas, M. J., Garduño-Ramírez, M. L., & Calpena-Campmany, A. C. (2024). Lipid-Based Formulation of Baricitinib for the Topical Treatment of Psoriasis. Pharmaceutics, 16(10), 1287. https://doi.org/10.3390/pharmaceutics16101287

