Role of HIKESHI on Hyperthermia for Castration-Resistant Prostate Cancer and Application of a Novel Magnetic Nanoparticle with Carbon Nanohorn for Magnetic Hyperthermia
Abstract
1. Introduction
2. Materials and Methods
2.1. Cell Line
2.2. Suppressing HIKESHI Using Small Interfering RNA (siRNA) Transfection
2.3. Reverse Transcription-Quantitative PCR (RT-qPCR) Assay
2.4. Western Blot Analysis
2.5. Cell Viability Assay
2.6. Tissue Microarray of Human Prostatectomy Specimens
2.7. Immunohistochemical Analysis
2.8. Preparation of CNH-APS-IONP
2.9. Morphological Features of CNH-APS-IONP
2.10. Animal Models and Therapy Protocol
2.11. AMF Generator
2.12. Temperature Measurements
2.13. Statistical Analysis
3. Results
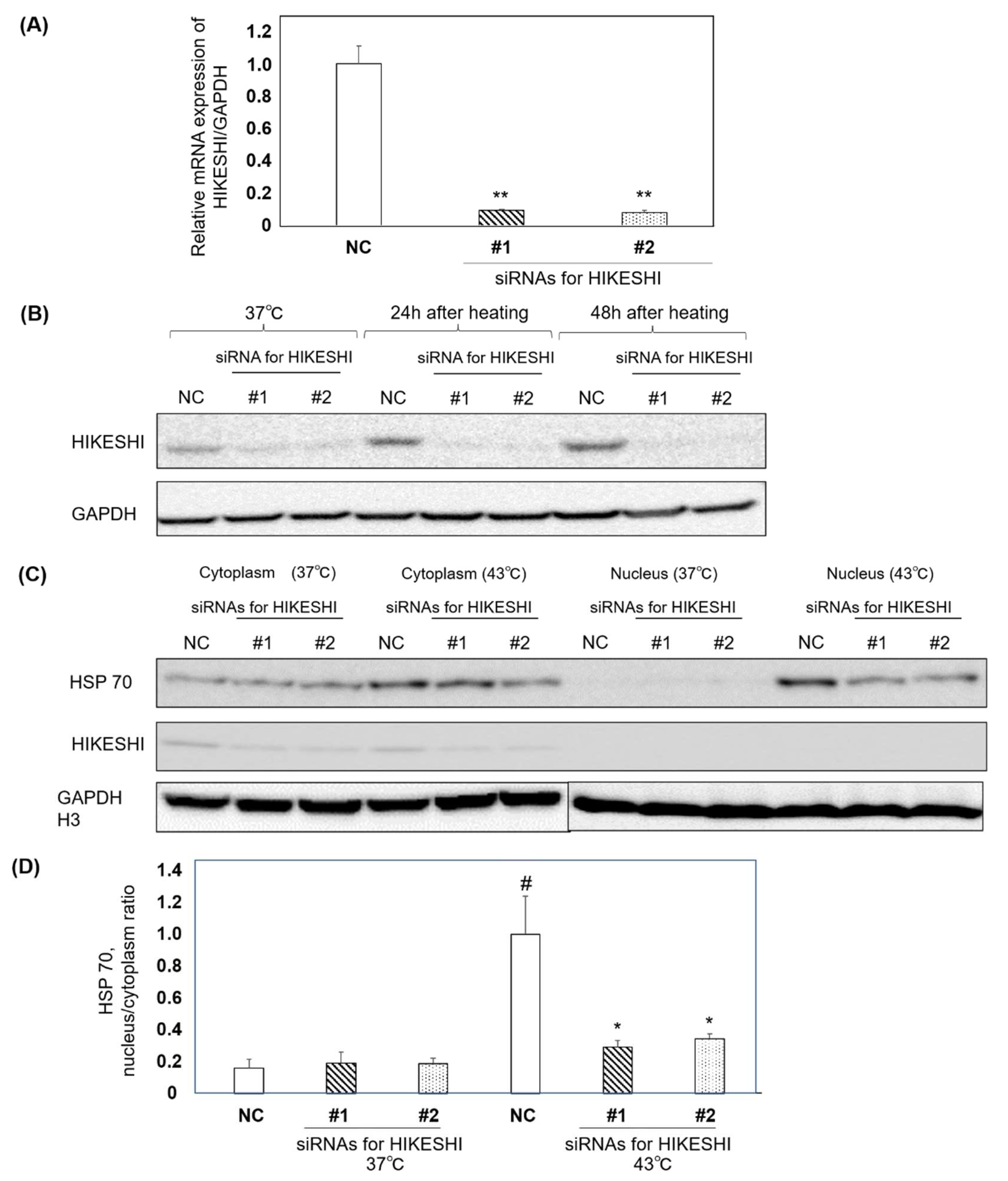
3.1. Functional Analysis of HIKESHI Knockdown in 22Rv1 Cells
3.2. Heat Shock Treatment on Cell Viability under HIKESHI Knockdown in 22Rv1 Cells
3.3. Human Prostate Tissue Microarray of HIKESHI
3.4. Morphological Features of CNH-APS-IONP
3.5. Magnetic Hyperthermia Using CNH-APS-IONP Suppressed Tumor Growth In Vivo
4. Discussion
5. Conclusions
Author Contributions
Funding
Institutional Review Board Statement
Informed Consent Statement
Data Availability Statement
Acknowledgments
Conflicts of Interest
References
- Sung, H.; Ferlay, J.; Siegel, R.L.; Laversanne, M.; Soerjomataram, I.; Jemal, A.; Bray, F. Global Cancer Statistics 2020: GLOBOCAN Estimates of Incidence and Mortality Worldwide for 36 Cancers in 185 Countries. CA Cancer J. Clin. 2021, 71, 209–249. [Google Scholar] [CrossRef] [PubMed]
- D’Amico, A.V.; Whittington, R.; Malkowicz, S.B.; Schultz, D.; Blank, K.; Broderick, G.A.; Tomaszewski, J.E.; Renshaw, A.A.; Kaplan, I.; Beard, C.J.; et al. Biochemical Outcome after Radical Prostatectomy, External Beam Radiation Therapy, or Interstitial Radiation Therapy for Clinically Localized Prostate Cancer. JAMA 1998, 280, 969–974. [Google Scholar] [CrossRef]
- Siegel, R.L.; Miller, K.D.; Wagle, N.S.; Jemal, A. Cancer Statistics, 2023. CA Cancer J. Clin. 2023, 73, 17–48. [Google Scholar] [CrossRef] [PubMed]
- Zhang, H.; Zhou, Y.; Xing, Z.; Sah, R.K.; Hu, J.; Hu, H. Androgen Metabolism and Response in Prostate Cancer Anti-androgen Therapy Resistance. Int. J. Mol. Sci. 2022, 23, 13521. [Google Scholar] [CrossRef] [PubMed]
- D’Aniello, C.; Cavaliere, C.; Foglia, C.; Facchini, S.; Uricchio, F.; Balsamo, R.; Franzese, E.; de Falco, S.; Izzo, M.; Laterza, M.; et al. Management of Systemic Prostate Cancer: Current Algorithm from Castration Sensitive to Castration Resistant Setting. Eur. Rev. Med. Pharmacol. Sci. 2022, 26, 8481–8501. [Google Scholar] [CrossRef] [PubMed]
- Dewey, W.C.; Hopwood, L.E.; Sapareto, S.A.; Gerweck, L.E. Cellular Responses to Combinations of Hyperthermia and Radiation. Radiology 1977, 123, 463–474. [Google Scholar] [CrossRef]
- Nakahara, S.; Ohguri, T.; Kakinouchi, S.; Itamura, H.; Morisaki, T.; Tani, S.; Yahara, K.; Fujimoto, N. Intensity-Modulated Radiotherapy with Regional Hyperthermia for High-Risk Localized Prostate Carcinoma. Cancers 2022, 14, 400. [Google Scholar] [CrossRef] [PubMed]
- Yahara, K.; Ohguri, T.; Yamaguchi, S.; Imada, H.; Narisada, H.; Ota, S.; Tomura, K.; Sakagami, M.; Fujimoto, N.; Korogi, Y. Definitive Radiotherapy plus Regional Hyperthermia for High-Risk and Very High-Risk Prostate Carcinoma: Thermal Parameters Correlated with Biochemical Relapse-Free Survival. Int. J. Hyperthermia. 2015, 31, 600–608. [Google Scholar] [CrossRef] [PubMed]
- Kawai, N.; Nagai, T.; Naiki-Ito, A.; Iida, K.; Etani, T.; Naiki, T.; Hamamoto, S.; Okada, A.; Murai, T.; Yasui, T. Combination Therapy with Radiation and Hyperthermia-Induced Clinical Complete Response of Small Cell Carcinoma of Prostate. IJU Case Rep. 2022, 5, 113–116. [Google Scholar] [CrossRef]
- Schlesinger, M.J. Heat Shock Proteins. J. Biol. Chem. 1990, 265, 12111–12114. [Google Scholar] [CrossRef] [PubMed]
- Jolly, C.; Morimoto, R.I. Role of the Heat Shock Response and Molecular Chaperones in Oncogenesis and Cell Death. J. Natl Cancer Inst. 2000, 92, 1564–1572. [Google Scholar] [CrossRef] [PubMed]
- Kose, S.; Furuta, M.; Imamoto, N. Hikeshi, a Nuclear Import Carrier for Hsp70s, Protects Cells from Heat Shock-Induced Nuclear Damage. Cell 2012, 149, 578–589. [Google Scholar] [CrossRef] [PubMed]
- Kose, S.; Imamoto, N. Nucleocytoplasmic Transport under Stress Conditions and Its Role in HSP70 Chaperone Systems. Biochim. Biophys. Acta. 2014, 1840, 2953–2960. [Google Scholar] [CrossRef] [PubMed]
- Lu, Y.; Rivera-Rodriguez, A.; Tay, Z.W.; Hensley, D.; Fung, K.L.B.; Colson, C.; Saayujya, C.; Huynh, Q.; Kabuli, L.; Fellows, B.; et al. Combining Magnetic Particle Imaging and Magnetic Fluid Hyperthermia for Localized and Image-Guided Treatment. Int. J. Hyperthermia. 2020, 37, 141–154. [Google Scholar] [CrossRef] [PubMed]
- Kobayashi, T.; Kakimi, K.; Nakayama, E.; Jimbow, K. Antitumor Immunity by Magnetic Nanoparticle-Mediated Hyperthermia. Nanomedicine 2014, 9, 1715–1726. [Google Scholar] [CrossRef]
- Polo, E.; del Pino, P.; Pardo, A.; Taboada, P.; Pelaz, B. Magnetic Nanoparticles for Cancer Therapy and Bioimaging, Nanooncology; Gonçalves, G., Gerard Tobias, G., Eds.; Springer: Berlin, Germany, 2018; pp. 239–279. [Google Scholar]
- Obaidat, I.M.; Issa, B.; Haik, Y. Magnetic Properties of Magnetic Nanoparticles for Efficient Hyperthermia. Nanomaterials 2015, 5, 63. [Google Scholar] [CrossRef] [PubMed]
- Kobayashi, D.; Kawai, N.; Sato, S.; Naiki, T.; Yamada, K.; Yasui, T.; Tozawa, K.; Kobayashi, T.; Takahashi, S.; Kohri, K. Thermotherapy Using Magnetic Cationic Liposomes Powerfully Suppresses Prostate Cancer Bone Metastasis in a Novel Rat Model. Prostate 2013, 73, 913–922. [Google Scholar] [CrossRef] [PubMed]
- Kawai, N.; Futakuchi, M.; Yoshida, T.; Ito, A.; Sato, S.; Naiki, T.; Honda, H.; Shirai, T.; Kohri, K. Effect of Heat Therapy Using Magnetic Nanoparticles Conjugated with Cationic Liposomes on Prostate Tumor in Bone. Prostate 2008, 68, 784–792. [Google Scholar] [CrossRef]
- Kawai, N.; Ito, A.; Nakahara, Y.; Honda, H.; Kobayashi, T.; Futakuchi, M.; Shirai, T.; Tozawa, K.; Kohri, K. Complete Regression of Experimental Prostate Cancer in Nude Mice by Repeated Hyperthermia Using Magnetite Cationic Liposomes and a Newly Developed Solenoid Containing a Ferrite Core. Prostate 2006, 66, 718–727. [Google Scholar] [CrossRef] [PubMed]
- Iijima, S.; Yudasaka, M.; Yamada, R.; Bandow, S.; Suenaga, K.; Kokai, F.; Takahashi, K. Nano-aggregates of Single-Walled Graphitic Carbon Nano-Horns. Chem. Phys. Lett. 1999, 309, 165–170. [Google Scholar] [CrossRef]
- Moreno-Lanceta, A.; Medrano-Bosch, M.; Melgar-Lesmes, P. Single-Walled Carbon Nanohorns as Promising Nanotube-Derived Delivery Systems to Treat Cancer. Pharmaceutics. 2020, 12, 850. [Google Scholar] [CrossRef]
- Su, C.H.; Soendoro, A.; Okayama, S.; Rahmania, F.J.; Nagai, T.; Imae, T.; Tsutsumiuchi, K.; Kawai, N. Drug Release Stimulated by Magnetic Field and Light on Magnetite- and Carbon Dot-Loaded Carbon Nanohorn. Bull. Chem. Soc. Jpn. 2022, 95, 582–594. [Google Scholar] [CrossRef]
- Schneider, C.A.; Rasband, W.S.; Eliceiri, K.W. NIH Image to ImageJ: 25 Years of Image Analysis. Nat. Methods. 2012, 9, 671–675. [Google Scholar] [CrossRef]
- Kawai, S.; Takagi, Y.; Kaneko, S.; Kurosawa, T. Effect of Three Types of Mixed Anesthetic Agents Alternate to Ketamine in Mice. Exp. Anim. 2011, 60, 481–487. [Google Scholar] [CrossRef]
- Yamaguchi, S.; Iwata, Y.; Tsutsumiuchi, K.; Ikai, Y.; Sueo, T.; Kawai, N.; Mori, T. A Small Hyperthermia Device of Magnetic Nanoparticle and Its Extension to Human-Body-Size Device (in Japanese). IEEJ Trans. EIS. 2022, 142, 506–512. [Google Scholar] [CrossRef]
- Kanda, Y. Investigation of the Freely Available Easy-to-Use Software ‘EZR’ for Medical Statistics. Bone Marrow Transplant. 2013, 48, 452–458. [Google Scholar] [CrossRef] [PubMed]
- Miyamoto, Y.; Saiwaki, T.; Yamashita, J.; Yasuda, Y.; Kotera, I.; Shibata, S.; Shigeta, M.; Hiraoka, Y.; Haraguchi, T.; Yoneda, Y. Cellular Stresses Induce the Nuclear Accumulation of Importin α and Cause a Conventional Nuclear Import Block. J. Cell Biol. 2004, 165, 617–623. [Google Scholar] [CrossRef]
- Yanoma, T.; Ogata, K.; Yokobori, T.; Ide, M.; Mochiki, E.; Toyomasu, Y.; Yanai, M.; Kogure, N.; Kimura, A.; Suzuki, M.; et al. Heat Shock-Induced HIKESHI Protects Cell Viability via Nuclear Translocation of Heat Shock Protein 70. Oncol. Rep. 2017, 38, 1500–1506. [Google Scholar] [CrossRef]
- Tabuchi, Y.; Maekawa, K.; Torigoe, M.; Furusawa, Y.; Hirano, T.; Minagawa, S.; Yunoki, T.; Hayashi, A. HIKESHI Silencing Can Enhance Mild Hyperthermia Sensitivity in Human Oral Squamous Cell Carcinoma HSC-3 Cells. Int. J. Mol. Med. 2020, 46, 58–66. [Google Scholar] [CrossRef]
- Ferraldeschi, R.; Welti, J.; Powers, M.V.; Yuan, W.; Smyth, T.; Seed, G.; Riisnaes, R.; Hedayat, S.; Wang, H.; Crespo, M.; et al. Second-Generation HSP90 Inhibitor Onalespib Blocks MRNA Splicing of Androgen Receptor Variant 7 in Prostate Cancer Cells. Cancer Res. 2016, 76, 2731–2742. [Google Scholar] [CrossRef] [PubMed]
- Kita, K.; Shiota, M.; Tanaka, M.; Otsuka, A.; Matsumoto, M.; Kato, M.; Tamada, S.; Iwao, H.; Miura, K.; Nakatani, T.; et al. Heat Shock Protein 70 Inhibitors Suppress Androgen Receptor Expression in LNCaP95 Prostate Cancer Cells. Cancer Sci. 2017, 108, 1820–1827. [Google Scholar] [CrossRef] [PubMed]
- Bhalla, S.; Chaudhary, K.; Kumar, R.; Sehgal, M.; Kaur, H.; Sharma, S.; Raghava, G.P.S. Gene Expression-Based Biomarkers for Discriminating Early and Late Stage of Clear Cell Renal Cancer. Sci. Rep. 2017, 7, 44997. [Google Scholar] [CrossRef]
- Zhao, J.; Zhang, C.; Wang, W.; Li, C.; Mu, X.; Hu, K. Current Progress of Nanomedicine for Prostate Cancer Diagnosis and Treatment. Biomed. Pharmacother. 2022, 155, 113714. [Google Scholar] [CrossRef]
- Pérez-Martínez, F.C.; Carrión, B.; Lucío, M.I.; Rubio, N.; Herrero, M.A.; Vázquez, E.; Ceña, V. Enhanced Docetaxel-Mediated Cytotoxicity in Human Prostate Cancer Cells through Knockdown of Cofilin-1 by Carbon Nanohorn Delivered SiRNA. Biomaterials 2012, 33, 8152–8159. [Google Scholar] [CrossRef] [PubMed]
- Lucío, M.I.; Opri, R.; Pinto, M.; Scarsi, A.; Fierro, J.L.G.; Meneghetti, M.; Fracasso, G.; Prato, M.; Vázquez, E.; Herrero, M.A. Targeted Killing of Prostate Cancer Cells Using Antibody-Drug Conjugated Carbon Nanohorns. J. Mater. Chem. B. 2017, 5, 8821–8832. [Google Scholar] [CrossRef] [PubMed]









| Sample | Particle Size, nm |
|---|---|
| CNHox | 213 ± 24 |
| IONP | 79 ± 38 |
| CNH-APS-IONP | 238 ± 67 |
| Time a, Day | Body Weight, g | p-Value | ||
|---|---|---|---|---|
| Control Group | Non-Treatment Group | Treatment Group | ||
| 0 | 20.9 ± 0.9 | 20.5 ± 0.7 | 20.9 ± 0.8 | ns |
| 7 | 21.5 ± 0.3 | 22.0 ± 0.5 | 21.4 ± 0.5 | ns |
| 14 | 21.8 ± 0.4 | 22.5 ± 0.4 | 22.2 ± 0.4 | ns |
| 21 | 22.8 ± 0.4 | 22.4 ± 0.7 | 22.5 ± 0.6 | ns |
Disclaimer/Publisher’s Note: The statements, opinions and data contained in all publications are solely those of the individual author(s) and contributor(s) and not of MDPI and/or the editor(s). MDPI and/or the editor(s) disclaim responsibility for any injury to people or property resulting from any ideas, methods, instructions or products referred to in the content. |
© 2023 by the authors. Licensee MDPI, Basel, Switzerland. This article is an open access article distributed under the terms and conditions of the Creative Commons Attribution (CC BY) license (https://creativecommons.org/licenses/by/4.0/).
Share and Cite
Nagai, T.; Kawai, N.; Gonda, M.; Iida, K.; Etani, T.; Kobayashi, D.; Naiki, T.; Naiki-Ito, A.; Ando, R.; Yamaguchi, S.; et al. Role of HIKESHI on Hyperthermia for Castration-Resistant Prostate Cancer and Application of a Novel Magnetic Nanoparticle with Carbon Nanohorn for Magnetic Hyperthermia. Pharmaceutics 2023, 15, 626. https://doi.org/10.3390/pharmaceutics15020626
Nagai T, Kawai N, Gonda M, Iida K, Etani T, Kobayashi D, Naiki T, Naiki-Ito A, Ando R, Yamaguchi S, et al. Role of HIKESHI on Hyperthermia for Castration-Resistant Prostate Cancer and Application of a Novel Magnetic Nanoparticle with Carbon Nanohorn for Magnetic Hyperthermia. Pharmaceutics. 2023; 15(2):626. https://doi.org/10.3390/pharmaceutics15020626
Chicago/Turabian StyleNagai, Takashi, Noriyasu Kawai, Masakazu Gonda, Keitaro Iida, Toshiki Etani, Daichi Kobayashi, Taku Naiki, Aya Naiki-Ito, Ryosuke Ando, Sataro Yamaguchi, and et al. 2023. "Role of HIKESHI on Hyperthermia for Castration-Resistant Prostate Cancer and Application of a Novel Magnetic Nanoparticle with Carbon Nanohorn for Magnetic Hyperthermia" Pharmaceutics 15, no. 2: 626. https://doi.org/10.3390/pharmaceutics15020626
APA StyleNagai, T., Kawai, N., Gonda, M., Iida, K., Etani, T., Kobayashi, D., Naiki, T., Naiki-Ito, A., Ando, R., Yamaguchi, S., Sugahara, Y., Ueno, S., Tsutsumiuchi, K., Imae, T., & Yasui, T. (2023). Role of HIKESHI on Hyperthermia for Castration-Resistant Prostate Cancer and Application of a Novel Magnetic Nanoparticle with Carbon Nanohorn for Magnetic Hyperthermia. Pharmaceutics, 15(2), 626. https://doi.org/10.3390/pharmaceutics15020626

