The Specific Copper(II) Chelator TDMQ20 Is Efficient for the Treatment of Wilson’s Disease in Mice
Abstract
:1. Introduction
2. Materials and Methods
2.1. Chemicals and Methods
2.1.1. Copper Dosage
2.1.2. Quantification of Ceruloplasmin via Tandem Mass Tag (TMT) LC-MS/MS
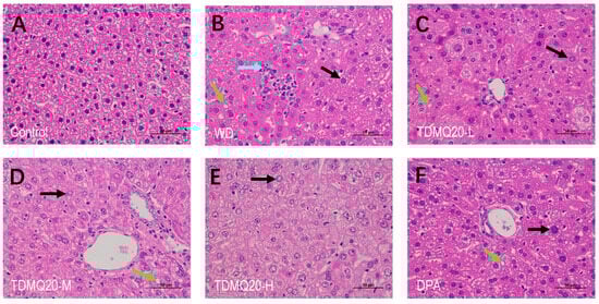
2.1.3. Liver Histology
2.1.4. Activity of Cu,Zn-SOD
2.1.5. Reaction of DPA with the Copper Sites of Cu,Zn-SOD
2.1.6. Reaction of DPA with Vitamin B12
2.1.7. Aerobic Oxidation of Ascorbate Using DPA/Cu2+, 1.1/1 or 2.2/1
2.2. Animals, Treatments
3. Results and Discussion
3.1. Pharmacological Activity of TDMQ20 on TX Mice
3.1.1. Copper Dosages in TX Mice
3.1.2. Liver Histology
3.1.3. Ceruloplasmin Dosage
3.2. Compared Behavior of TDMQ20 and DPA towards Cu,Zn-Superoxide Dismutase (Cu,Zn-SOD) and Vitamin-B12
3.2.1. DPA Inhibits Cu,Zn-SOD While TDMQ20 Does Not
3.2.2. DPA and TDMQ20 Do Not Demetallate Vitamin B12
3.3. The Copper Complex of DPA Triggers the Oxidation of Ascorbate and Production of Reactive Oxygen Species (ROS) While TDMQ20 Does Not
4. Conclusions
5. Patents
Supplementary Materials
Author Contributions
Funding
Institutional Review Board Statement
Informed Consent Statement
Data Availability Statement
Acknowledgments
Conflicts of Interest
References
- Lucena-Valera, A.; Perez-Palacios, D.; Muñoz-Hernandez, R.; Romero-Gómez, M.; Ampuero, J. Wilson’s disease: Revisiting an old friend. World J. Hepatol. 2021, 13, 634–649. [Google Scholar] [CrossRef] [PubMed]
- Forbes, J.R.; Hsi, G.; Cox, D.W. Role of the copper-binding domain in the copper transport function of ATP7B, the P-type ATPase defective in Wilson disease. J. Biol. Chem. 1999, 274, 12408–12413. [Google Scholar] [CrossRef] [PubMed]
- Hall, A.C.; Young, B.W.; Bremner, I. Intestinal metallothionein and the mutual antagonism between copper and zinc in the rat. J. Inorg. Biochem. 1979, 11, 57–66. [Google Scholar] [CrossRef] [PubMed]
- Walshe, J.M. Wilson’s disease. Lancet 2007, 369, 902. [Google Scholar] [CrossRef] [PubMed]
- Roberts, E.A.; Schilsky, M.L.; American Association for Study of Liver Diseases (AASLD). Diagnosis and treatment of Wilson disease: An update. Hepatology 2008, 47, 2089–2111. [Google Scholar] [CrossRef] [PubMed]
- Weiss, K.H.; Thurik, F.; Gotthardt, D.N.; Schäfer, M.; Teufel, U.; Wiegand, F.; Merle, U.; Ferenci-Foerster, D.; Maieron, A.; Stauber, R.; et al. Efficacy and safety of oral chelators in treatment of patients with Wilson disease. Clin. Gastroenterol. Hepatol. 2013, 11, 1028–1035. [Google Scholar] [CrossRef] [PubMed]
- Brewer, G.J. Neurologically presenting Wilson’s disease: Epidemiology, pathophysiology and treatment. CNS Drugs 2005, 19, 185–192. [Google Scholar] [CrossRef]
- Stability Constants of Metal-Ion Complexes, 2nd ed; Martell, A.E. (Ed.) Royal Society of Chemistry: London, UK, 1971. [Google Scholar]
- Stadtherr, L.G.; Martin, R.B. Iron(II) and iron(III) complexes of penicillamine. Inorg. Chem. 1972, 11, 92–94. [Google Scholar] [CrossRef]
- de Meester, P.; Hodgson, D.J. Model for the binding of D-penicillamine to metal ions in living systems: Synthesis and structure of L-histidinyl-D-penicillaminatocobalt(III) monohydrate, [Co(L-His)(D-Pen)]·H2O. J. Am. Chem. Soc. 1977, 99, 101–104. [Google Scholar] [CrossRef]
- Tewari, B.B. Studies on complexation in solution with a paper electrophoretic technique [The system copper(II)/cobalt(II)-methionine-penicillamine]. J. Chem. Eng. Data 2010, 55, 1779–1783. [Google Scholar] [CrossRef]
- Birker, P.J.M.W.L.; Freeman, H.C. Structure, properties, and function of a copper(I)-copper(II) complex of D-penicillamine: Pentathallium(I) μ8-chloro-dodeca(D-penicillaminato)-octocuprate(I)hexacuprate(II) n-hydrate. J. Am. Chem. Soc. 1977, 99, 6890–6899. [Google Scholar] [CrossRef]
- Liu, Y.; Liu, X.; Huang, D.; Huang, M.; Wang, D.; Nguyen, M.; Robert, A.; Meunier, M. New Tetradentate Ligands for Metal Regulation in Neurodegenerative Diseases. Chinese Patent GDUT-CNRS, No. 201610369550.X, 27 May 2016. Tetradentate Chelating Quinoline Derivative, Manufacturing Method Thereof, and Application of Same as Metal Ion Regulator for neuRodegenerative Disease, U.S. Patent 10,807,957 B2, 20 October 2020; Tetradentate Chelating Quinoline Derivative, Manufacturing Method Thereof, and Application of Same as Metal Ion Regulator for Neurodegenerative Disease, Canada 3,025,406, 1 June 2021; Tetradentate Chelating Quinoline Derivative, Manufacturing Method Thereof, and Application of Same as Metal Ion Regulator for Neurodegenerative Disease; Japan 6,889,825, 26 May 2021; Europe, patent application in final discussion. [Google Scholar]
- Zhang, W.; Huang, D.; Huang, M.; Huang, J.; Wang, D.; Liu, X.; Nguyen, M.; Vendier, L.; Mazères, S.; Robert, A.; et al. Preparation of tetradentate copper chelators as potential anti-Alzheimer agents. ChemMedChem 2018, 13, 684–704. [Google Scholar] [CrossRef] [PubMed]
- Zhang, W.; Liu, Y.; Hureau, C.; Robert, A.; Meunier, B. N4-Tetradentate chelators efficiently regulate copper homeostasis and prevent ROS production induced by copper-amyloid-β1-16, even in the presence of an excess of zinc. Chem. Eur. J. 2018, 24, 7825–7829. [Google Scholar] [CrossRef] [PubMed]
- Zhao, J.; Shi, Q.; Tian, H.; Li, Y.; Liu, Y.; Xu, Z.; Robert, A.; Liu, Q.; Meunier, B. TDMQ20, a specific copper chelator, reduces memory impairments in Alzheimer’s disease mouse models. ACS Chem. Neurosci. 2021, 12, 140–149. [Google Scholar] [CrossRef] [PubMed]
- Huang, L.; Zeng, Y.; Li, Y.; Zhu, Y.; He, Y.; Liu, Y.; Robert, A.; Meunier, B. Distribution in rat blood and brain of TDMQ20, a copper chelator designed as a drug-candidate for Alzheimer’s disease. Pharmaceutics 2022, 14, 2691. [Google Scholar] [CrossRef] [PubMed]
- Buettner, G.R.; Jurkiewicz, B.A. Ascorbate free radical as a marker of oxidative stress: An EPR study. Free Rad. Biol. Med. 1993, 14, 49–55. [Google Scholar] [CrossRef]
- Reed, E.; Lutsenko, S.; Bandmann, O. Animal models of Wilson disease. J. Neurochem. 2018, 146, 356–373. [Google Scholar] [CrossRef]
- Theophilos, M.B.; Cox, D.W.; Mercer, J.F.B. The toxic milk mouse is a murine model of Wilson disease. Hum. Molec. Genet. 1996, 5, 1619–1624. [Google Scholar] [CrossRef]
- Voskoboinik, I.; Greenough, M.; La Fontaine, S.; Mercer, J.F.B.; Kanakaris, J. Functional studies on the Wilson copper P-type ATPase and toxic milk mouse mutant. Biochem. Biophys. Res. Commun. 2001, 281, 966–970. [Google Scholar] [CrossRef]
- Zhang, J.W.; Liu, J.X.; Hou, H.M.; Chen, D.B.; Feng, L.; Wu, C.; Wei, L.T.; Li, X.H. Effects of tetrathiomolybdate and penicillamine on brain hydroxyl radical and free copper levels: A microdialysis study in vivo. Biochem. Biophys. Res. Commun. 2015, 458, 82–85. [Google Scholar] [CrossRef]
- Schroeder, S.M.; Matsukuma, K.E.; Medici, V. Wilson disease and the differential diagnosis of its hepatic manifestations: A narrative review of clinical, laboratory, and liver histological features. Ann. Transl. Med. 2021, 9, 1394. [Google Scholar] [CrossRef] [PubMed]
- Guzman, G.; Chennuri, R.; Voros, A.; Boumendjel, R.; Locante, A.; Patel, R.; Valyi-Nagy, T. Nucleometric study of anisonucleosis, diabetes and oxidative damage in liver biopsies of orthotopic liver transplant recipients with chronic hepatitis C virus infection. Pathol. Oncol. Res. 2011, 17, 191–199. [Google Scholar] [CrossRef] [PubMed]
- Crow, J.P.; Sampson, J.B.; Zhuang, Y.; Thompson, J.A.; Beckman, J.S. Decreased zinc affinity of amyotrophic lateral sclerosis-associated superoxide dismutase mutants leads to enhanced catalysis of tyrosine nitration by peroxynitrite. J. Neurochem. 1997, 69, 1936–1944. [Google Scholar] [CrossRef] [PubMed]
- Kräutler, B. Vitamin B12: Chemistry and biochemistry. Biochem. Soc. Trans. 2005, 33, 806–810. [Google Scholar] [CrossRef] [PubMed]
- Hunt, A.; Harrington, D.; Robinson, S. Vitamin B12 deficiency. Br. Med. J. 2014, 349, g5226. [Google Scholar] [CrossRef]
- Weir, D.G.; Scott, J.M. Brain function in the elderly: Role of vitamin B12 and folate. Br. Med. Bull. 1999, 55, 669–682. [Google Scholar] [CrossRef]
- McCaddon, A.; Regland, B.; Hudson, P.; Davies, G. Functional vitamin B(12) deficiency and Alzheimer disease. Neurology 2002, 58, 1395–1399. [Google Scholar] [CrossRef]
- Huang, J.; Nguyen, M.; Liu, Y.; Robert, A.; Meunier, B. The TDMQ regulators of copper homeostasis do not disturb the activities of Cu,Zn-SOD, tyrosinase, or the CoIII cofactor vitamin B12. Eur. J. Inorg. Chem. 2019, 2019, 1384–1388. [Google Scholar] [CrossRef]
- McCord, J.M.; Fridovitch, I. Superoxide dismutase. An. enzymic function for erythrocuprein (hemocuprein). J. Biol. Chem. 1969, 244, 6049–6055. [Google Scholar] [CrossRef]
- Valentine, J.S.; de Freitas, D.M. Copper-zinc superoxide dismutase. A unique biological “ligand” for bioinorganic studies. J. Chem. Educ. 1985, 62, 990–997. [Google Scholar] [CrossRef]
- Boos, R.N.; Rosenblum, C.; Woodbury, D.T. The exchange stability of cobalt in vitamin B12. J. Am. Chem. Soc. 1951, 73, 5446–5447. [Google Scholar] [CrossRef]
- Buchler, J.W. Static coordination chemistry of metalloporphyrins. In Porphyrins and Metalloporphyrins; Smith, K.M., Ed.; Elsevier: Amsterdam, The Netherlands, 1975; pp. 157–231. [Google Scholar]








| Mouse Group | Mouse Type | Drug (Daily Dose, mg/kg/d) |
|---|---|---|
| Control | C57BL/6 | NaCl, 0.9 wt% |
| WD | TX | NaCl, 0.9 wt% |
| TDMQ20-L | TX | TDMQ20 (12.5) in NaCl, 0.9 wt% |
| TDMQ20-M | TX | TDMQ20 (25.0) in NaCl, 0.9 wt% |
| TDMQ20-H | TX | TDMQ20 (50) in NaCl, 0.9 wt% |
| DPA | TX | DPA (200) in NaCl, 0.9 wt% |
| Cu Content as Mean Value of Six Mice ± SEM Value 1 | ||||||
|---|---|---|---|---|---|---|
| Control | WD | TDMQ20-L | TDMQ20-M | TDMQ20-H | DPA | |
| Liver (mg/kg) | 4.3 ± 0.4 | 328 ± 6 | 290 ± 4 | 256 ± 8 | 201 ± 14 | 265 ± 9 |
| Feces (mg/kg) | 82 ± 4 | 79 ± 3 | 88 ± 3 | 129 ± 4 | 142 ± 10 | 96 ± 7 |
| Serum (mg/L) | 0.54 ± 0.02 | 0.46 ± 0.03 | 0.63 ± 0.04 | 0.83 ± 0.12 | 3.5 ± 0.6 | 0.39 ± 0.03 |
| Kidney (mg/kg) | 3.5 ± 0.1 | 6.7 ± 0.4 | 5.5 ± 0.3 | 5.0 ± 0.4 | 11.0 ± 1.7 | 5.4 ± 0.3 |
| Urine (mg/L) | 0.10 ± 0.01 | 0.56 ± 0.02 | 0.76 ± 0.13 | 0.67 ± 0.10 | 0.98 ± 0.05 | 2.8 ± 0.2 |
| Brain (mg/kg) | 3.2 ± 0.1 | 3.3 ± 0.1 | 3.2 ± 0.2 | 3.3 ± 0.2 | 3.5 ± 0.1 | 3.7 ± 0.3 |
Disclaimer/Publisher’s Note: The statements, opinions and data contained in all publications are solely those of the individual author(s) and contributor(s) and not of MDPI and/or the editor(s). MDPI and/or the editor(s) disclaim responsibility for any injury to people or property resulting from any ideas, methods, instructions or products referred to in the content. |
© 2023 by the authors. Licensee MDPI, Basel, Switzerland. This article is an open access article distributed under the terms and conditions of the Creative Commons Attribution (CC BY) license (https://creativecommons.org/licenses/by/4.0/).
Share and Cite
Zhu, Y.; Tang, Y.; Huang, L.; Nguyen, M.; Liu, Y.; Robert, A.; Meunier, B. The Specific Copper(II) Chelator TDMQ20 Is Efficient for the Treatment of Wilson’s Disease in Mice. Pharmaceutics 2023, 15, 2719. https://doi.org/10.3390/pharmaceutics15122719
Zhu Y, Tang Y, Huang L, Nguyen M, Liu Y, Robert A, Meunier B. The Specific Copper(II) Chelator TDMQ20 Is Efficient for the Treatment of Wilson’s Disease in Mice. Pharmaceutics. 2023; 15(12):2719. https://doi.org/10.3390/pharmaceutics15122719
Chicago/Turabian StyleZhu, Yingshan, Ying Tang, Lan Huang, Michel Nguyen, Yan Liu, Anne Robert, and Bernard Meunier. 2023. "The Specific Copper(II) Chelator TDMQ20 Is Efficient for the Treatment of Wilson’s Disease in Mice" Pharmaceutics 15, no. 12: 2719. https://doi.org/10.3390/pharmaceutics15122719
APA StyleZhu, Y., Tang, Y., Huang, L., Nguyen, M., Liu, Y., Robert, A., & Meunier, B. (2023). The Specific Copper(II) Chelator TDMQ20 Is Efficient for the Treatment of Wilson’s Disease in Mice. Pharmaceutics, 15(12), 2719. https://doi.org/10.3390/pharmaceutics15122719

