Fennel Essential Oil as a Complementary Therapy in the Management of Diabetes
Abstract
:1. Introduction
2. Materials and Methods
2.1. Plant Material
2.2. Reagents
2.3. GC-MS Quantification of Volatile Compounds
2.4. Animals
2.5. Experimental Protocol
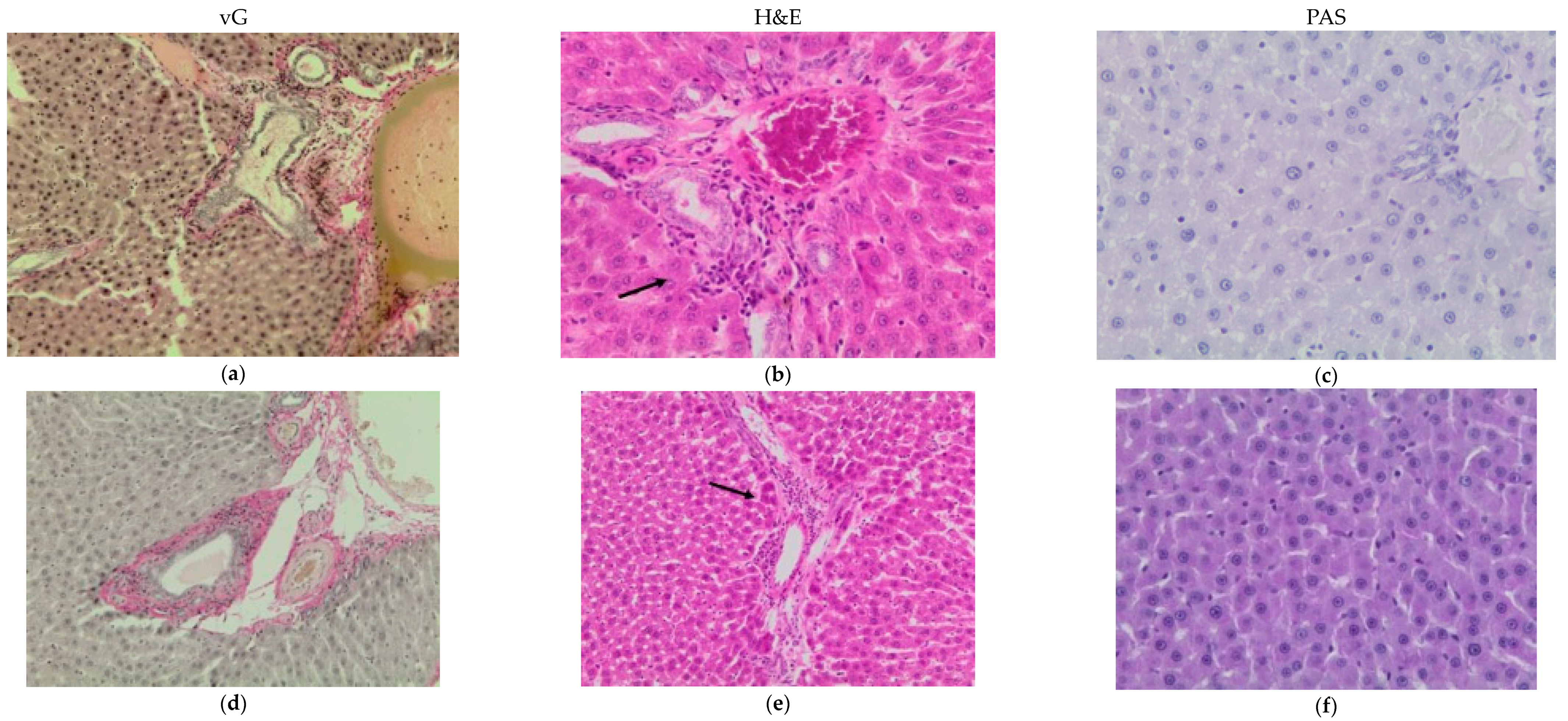
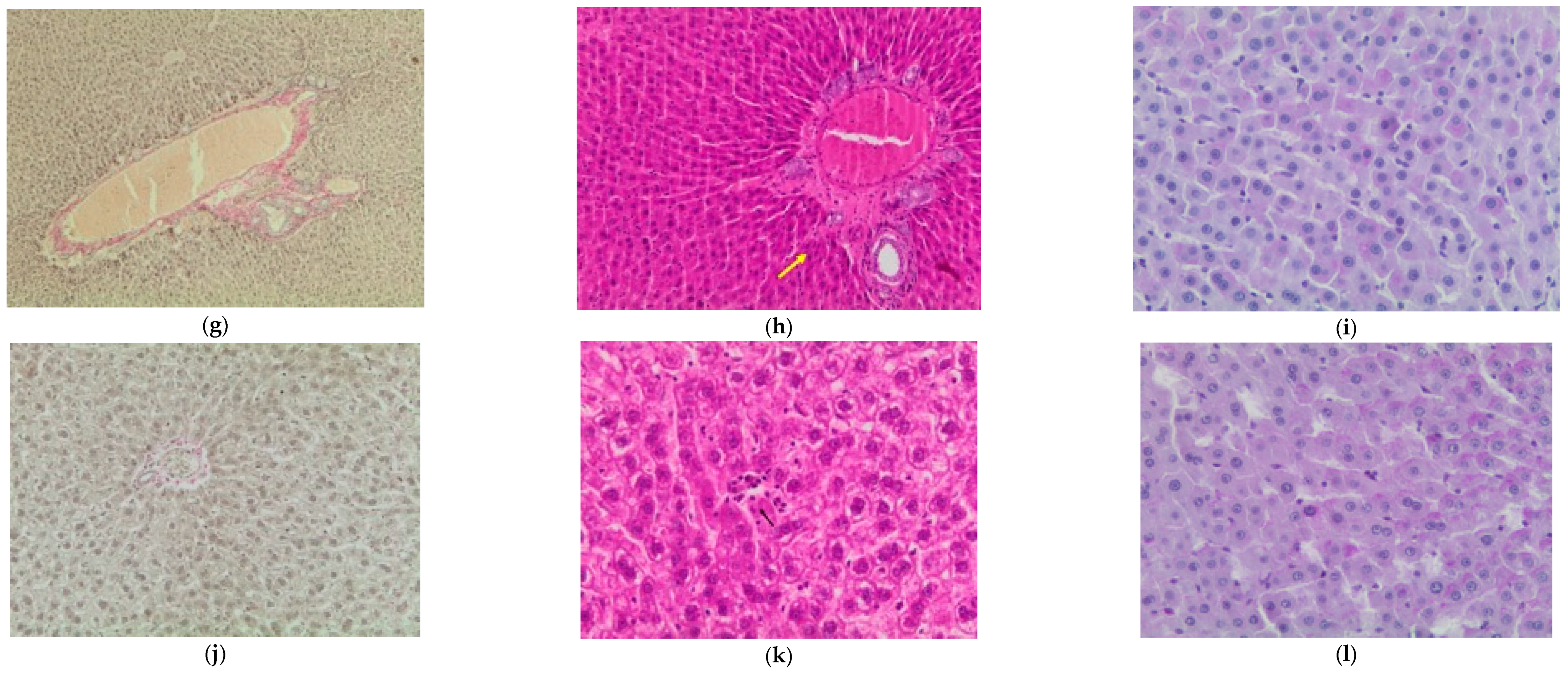
2.6. Histopathological Analysis
2.7. Ex Vivo Anticataractogenic Effect Evaluation
2.8. Statistical Analysis
3. Results
3.1. GC-MS Analysis of Fennel Essential Oil
3.2. In Vivo Study
3.2.1. Weight and Glucose Variations during the In Vivo Study
3.2.2. Oral Glucose Tolerance Test (OGTT)
3.2.3. Histopathological Analysis of the Liver
3.3. Ex Vivo Study
4. Discussion
5. Conclusions
Author Contributions
Funding
Institutional Review Board Statement
Informed Consent Statement
Data Availability Statement
Conflicts of Interest
References
- Misra, A.; Gopalan, H.; Jayawardena, R.; Hills, A.P.; Soares, M.; Reza-Albarrán, A.A.; Ramaiya, K.L. Diabetes in Developing Countries. J. Diabetes 2019, 11, 522–539. [Google Scholar] [CrossRef]
- America Diabetes Association, Diagnosis and Classification of Diabetes Mellitus. Diagnosis and Classification of Diabetes Mellitus. Diabetes Care 2010, 33, S62–S69. [Google Scholar] [CrossRef] [PubMed]
- Ștefănescu, R.; Farczadi, L.; Huțanu, A.; Ősz, B.E.; Mărușteri, M.; Negroiu, A.; Vari, C.E. Tribulus terrestris Efficacy and Safety Concerns in Diabetes and Erectile Dysfunction, Assessed in an Experimental Model. Plants 2021, 10, 744. [Google Scholar] [CrossRef] [PubMed]
- Ștefanescu, R.; Fülöp, E.; Demian, L.; Vari, C.; Ősz, B.-E.; Groșan, A.; Laczko-Zöld, E.; Chibelean, B. Efficacy of Natural Polyphenolic Compounds From Bilberry and Blueberry on the Metabolic Alterations Induced by Streptozotocin in Rats. Farmacia 2022, 70, 658–664. [Google Scholar] [CrossRef]
- Soetikno, V.; Watanabe, K.; Sari, F.R.; Harima, M.; Thandavarayan, R.A.; Veeraveedu, P.T.; Arozal, W.; Sukumaran, V.; Lakshmanan, A.P.; Arumugam, S.; et al. Curcumin Attenuates Diabetic Nephropathy by Inhibiting PKC-α and PKC-Β1 Activity in Streptozotocin-Induced Type I Diabetic Rats. Mol. Nutr. Food Res. 2011, 55, 1655–1665. [Google Scholar] [CrossRef] [PubMed]
- Ali, B.; Al-Wabel, N.A.; Shams, S.; Ahamad, A.; Khan, S.A.; Anwar, F. Essential Oils Used in Aromatherapy: A Systemic Review. Asian Pac. J. Trop. Biomed. 2015, 5, 601–611. [Google Scholar] [CrossRef]
- Schneider, R.; Singer, N.; Singer, T. Medical Aromatherapy Revisited—Basic Mechanisms, Critique, and a New Development. Hum. Psychopharmacol. Clin. Exp. 2019, 34, e2683. [Google Scholar] [CrossRef]
- Rather, M.A.; Dar, B.A.; Sofi, S.N.; Bhat, B.A.; Qurishi, M.A. Foeniculum vulgare: A Comprehensive Review of Its Traditional Use, Phytochemistry, Pharmacology, and Safety. Arab. J. Chem. 2016, 9, S1574–S1583. [Google Scholar] [CrossRef]
- EMA Herbal Medicinal Products. Available online: https://www.ema.europa.eu/en/documents/herbal-monograph/final-community-herbal-monograph-foeniculum-vulgare-miller-subsp-vulgare-var-vulgare-fructus_en.pdf (accessed on 4 November 2023).
- Garg, C.; Khan, S.A.; Ansari, S.H.; Suman, A.; Garg, M. Chemical Composition, Therapeutic Potential and Perspectives of Foeniculum vulgare. Phcog. Rev. 2009, 3, 346–352. [Google Scholar]
- Abdellaoui, M.; Bouhlali, E.D.T.; Derouich, M.; El-Rhaffari, L. Essential Oil and Chemical Composition of Wild and Cultivated Fennel (Foeniculum vulgare Mill.): A Comparative Study. S. Afr. J. Bot. 2020, 135, 93–100. [Google Scholar] [CrossRef]
- Ghasemian, A.; Al-Marzoqi, A.-H.; Mostafavi, S.K.S.; Alghanimi, Y.K.; Teimouri, M. Chemical Composition and Antimicrobial and Cytotoxic Activities of Foeniculum vulgare Mill Essential Oils. J. Gastrointest. Cancer 2020, 51, 260–266. [Google Scholar] [CrossRef]
- Sayah, K.; El Omari, N.; Kharbach, M.; Bouyahya, A.; Kamal, R.; Marmouzi, I.; Cherrah, Y.; Faouzi, M.E.A. Comparative Study of Leaf and Rootstock Aqueous Extracts of Foeniculum vulgare on Chemical Profile and In Vitro Antioxidant and Antihyperglycemic Activities. Adv. Pharmacol. Pharm. Sci. 2020, 2020, e8852570. [Google Scholar] [CrossRef]
- El-Ouady, F.; Lahrach, N.; Ajebli, M.; Haidani, A.E.; Eddouks, M. Antihyperglycemic Effect of the Aqueous Extract of Foeniculum vulgare in Normal and Streptozotocin-Induced Diabetic Rats. Cardiovasc. Haematol. Disord.-Drug Targetsrug Targets-Cardiovasc. Hematol. Disord. 2020, 20, 54–63. [Google Scholar] [CrossRef]
- Mehra, N.; Tamta, G.; Nand, V. Foeniculum vulgare Mill.: Chemical Composition, in Vitro Anti-Diabetic and Anti-Inflammatory Assessment. Indian J. Nat. Prod. Resour. (IJNPR) 2023, 14, 372–383. [Google Scholar] [CrossRef]
- European Pharmacopoeia (Ph. Eur.), 10th ed.; Council of Europe: Strasbourg, France, 2019; Volume 1.
- Scridon, A.; Perian, M.; Marginean, A.; Fisca, C.; Vantu, A.; Ghertescu, D.; Chevalier, P.; Serban, R.C. Wistar Rats with Long-Term Streptozotocin-Induced Type 1 Diabetes Mellitus Replicate the Most Relevant Clinical, Biochemical, and Hematologic Features of Human Diabetes/Sobolanii Wistar Cu Diabet Zaharat Tip 1 Indus Cu Streptozotocina Reproduc Cele Mai Relevante Caracteristici Clinice, Biochimice Si Hematologice Ale Diabetului Uman. Rev. Romana Med. Lab. 2015, 23, 263–274. [Google Scholar] [CrossRef]
- Geraldine, P.; Brijit Sneha, B.; Elanchezhian, R.; Ramesh, E.; Kalavathy, C.M.; Kaliamurthy, J.; Thomas, P.A. Prevention of Selenite-Induced Cataractogenesis by Acetyl-l-Carnitine: An Experimental Study. Exp. Eye Res. 2006, 83, 1340–1349. [Google Scholar] [CrossRef]
- Ştefănescu (Braic), R.; Vari, C.; Imre, S.; Huţanu, A.; Fogarasi, E.; Todea, T.; Groşan, A.; Eşianu, S.; Laczkó-Zöld, E.; Dogaru, M. Vaccinium Extracts as Modulators in Experimental Type 1 Diabetes. J. Med. Food 2018, 21, 1106–1112. [Google Scholar] [CrossRef]
- EMA Herbal Medicinal Products. Available online: https://www.ema.europa.eu/en/documents/herbal-report/assessment-report-foeniculum-vulgare-miller_en.pdf (accessed on 12 June 2023).
- Aromatherapy for Health Professionals Revised Re-9780702084027|Elsevier Health. Available online: https://www.eu.elsevierhealth.com/aromatherapy-for-health-professionals-revised-reprint-9780702084027.html (accessed on 10 February 2023).
- Deeds, M.C.; Anderson, J.M.; Armstrong, A.S.; Gastineau, D.A.; Hiddinga, H.J.; Jahangir, A.; Eberhardt, N.L.; Kudva, Y.C. Single Dose Streptozotocin-Induced Diabetes: Considerations for Study Design in Islet Transplantation Models. Lab. Anim. 2011, 45, 131–140. [Google Scholar] [CrossRef]
- Dongare, V.; Kulkarni, C.; Kondawar, M.; Magdum, C.; Haldavnekar, V.; Arvindekar, A. Inhibition of Aldose Reductase and Anti-Cataract Action of Trans-Anethole Isolated from Foeniculum vulgare Mill. Fruits. Food Chem. 2012, 132, 385–390. [Google Scholar] [CrossRef]
- Vellapandian, C.; Ramachandram, D.S. Renoprotective Activity of Anethole- Rich Fraction from Aromatic Herbs on Junk Food Induced Diabetic Nephropathy in Rats. J. Diabetes Metab. Disord. 2022, 21, 1557–1567. [Google Scholar] [CrossRef] [PubMed]
- Samadi-Noshahr, Z.; Ebrahimzadeh-Bideskan, A.; Hadjzadeh, M.-A.-R.; Shafei, M.N.; Salmani, H.; Hosseinian, S.; Khajavi-Rad, A. Trans-Anethole Attenuated Renal Injury and Reduced Expressions of Angiotensin II Receptor (AT1R) and TGF-β in Streptozotocin-Induced Diabetic Rats. Biochimie 2021, 185, 117–127. [Google Scholar] [CrossRef]
- Mohamed, M.E.; Kandeel, M.; Abd El-Lateef, H.M.; El-Beltagi, H.S.; Younis, N.S. The Protective Effect of Anethole against Renal Ischemia/Reperfusion: The Role of the TLR2,4/MYD88/NFκB Pathway. Antioxidants 2022, 11, 535. [Google Scholar] [CrossRef]
- Chaudhary, S.K.; Maity, N.; Nema, N.K.; Bhadra, S.; Saha, B.P.; Mukherjee, P.K. Angiotensin Converting Enzyme Inhibition Activity of Fennel and Coriander Oils from India. Nat. Prod. Commun. 2013, 8, 1934578X1300800531. [Google Scholar] [CrossRef]
- Zhang, Y.; He, D.; Zhang, W.; Xing, Y.; Guo, Y.; Wang, F.; Jia, J.; Yan, T.; Liu, Y.; Lin, S. ACE Inhibitor Benefit to Kidney and Cardiovascular Outcomes for Patients with Non-Dialysis Chronic Kidney Disease Stages 3–5: A Network Meta-Analysis of Randomised Clinical Trials. Drugs 2020, 80, 797–811. [Google Scholar] [CrossRef] [PubMed]
- Ruiz-Ortega, M.; Rupérez, M.; Esteban, V.; Rodríguez-Vita, J.; Sánchez-López, E.; Carvajal, G.; Egido, J. Angiotensin II: A Key Factor in the Inflammatory and Fibrotic Response in Kidney Diseases. Nephrol. Dial. Transplant. 2006, 21, 16–20. [Google Scholar] [CrossRef] [PubMed]
- Sureshbabu, A.; Muhsin, S.A.; Choi, M.E. TGF-β Signaling in the Kidney: Profibrotic and Protective Effects. Am. J. Physiol. Renal. Physiol. 2016, 310, F596–F606. [Google Scholar] [CrossRef]
- Yoshiji, H.; Kuriyama, S.; Yoshii, J.; Ikenaka, Y.; Noguchi, R.; Nakatani, T.; Tsujinoue, H.; Fukui, H. Angiotensin-II Type 1 Receptor Interaction Is a Major Regulator for Liver Fibrosis Development in Rats. Hepatology 2001, 34, 745–750. [Google Scholar] [CrossRef] [PubMed]
- Sebai, H.; Selmi, S.; Rtibi, K.; Souli, A.; Gharbi, N.; Sakly, M. Lavender (Lavandula stoechas L.) Essential Oils Attenuate Hyperglycemia and Protect against Oxidative Stress in Alloxan-Induced Diabetic Rats. Lipids Health Dis. 2013, 12, 189. [Google Scholar] [CrossRef]
- Smoum, R.; Haj, C.; Hirsch, S.; Nemirovski, A.; Yekhtin, Z.; Bogoslavsky, B.; Bakshi, G.K.; Chourasia, M.; Gallily, R.; Tam, J.; et al. Fenchone Derivatives as a Novel Class of CB2 Selective Ligands: Design, Synthesis, X-Ray Structure and Therapeutic Potential. Molecules 2022, 27, 1382. [Google Scholar] [CrossRef]
- Hsieh, G.C.; Pai, M.; Chandran, P.; Hooker, B.A.; Zhu, C.Z.; Salyers, A.K.; Wensink, E.J.; Zhan, C.; Carroll, W.A.; Dart, M.J.; et al. Central and Peripheral Sites of Action for CB2 Receptor Mediated Analgesic Activity in Chronic Inflammatory and Neuropathic Pain Models in Rats. Br. J. Pharmacol. 2011, 162, 428–440. [Google Scholar] [CrossRef]
- Turcotte, C.; Blanchet, M.-R.; Laviolette, M.; Flamand, N. The CB2 Receptor and Its Role as a Regulator of Inflammation. Cell. Mol. Life Sci. 2016, 73, 4449–4470. [Google Scholar] [CrossRef] [PubMed]
- Matschinsky, F.M.; Zelent, B.; Doliba, N.; Li, C.; Vanderkooi, J.M.; Naji, A.; Sarabu, R.; Grimsby, J. Glucokinase Activators for Diabetes Therapy. Diabetes Care 2011, 34, S236–S243. [Google Scholar] [CrossRef] [PubMed]
- Abou, N.; Abou El-Soud, N.; El-Laithy, N.; El-Saeed, G.; Wahby, M.S.; Khalil, M.; Morsy, F.; Shaffie, N.; Abou, C.; Wahby, S. Antidiabetic Activities of Foeniculum vulgare Mill. Essential Oil in Streptozotocin-Induced Diabetic Rats. Jun Maced. J. Med. Sci. 2011, 150173, 139–146. [Google Scholar]
- Pollreisz, A.; Schmidt-Erfurth, U. Diabetic Cataract—Pathogenesis, Epidemiology and Treatment. J. Ophthalmol. 2010, 2010, 608751. [Google Scholar] [CrossRef]
- Mittal, M.; Siddiqui, M.R.; Tran, K.; Reddy, S.P.; Malik, A.B. Reactive Oxygen Species in Inflammation and Tissue Injury. Antioxid. Redox Signal. 2014, 20, 1126–1167. [Google Scholar] [CrossRef]
- Ősz, B.-E.; Jîtcă, G.; Ștefănescu, R.-E.; Pușcaș, A.; Tero-Vescan, A.; Vari, C.-E. Caffeine and Its Antioxidant Properties—It Is All about Dose and Source. Int. J. Mol. Sci. 2022, 23, 13074. [Google Scholar] [CrossRef]






| Compound | Rt | Area% |
|---|---|---|
| Monoterpenes | ||
| α-Pinene | 4.315 | 2.25 |
| Camphene | 4.568 | 0.08 |
| Sabinene | 4.858 | 0.13 |
| β-Myrcene | 4.988 | 0.62 |
| α-Phellandrene | 5.233 | 0.15 |
| D-Limonene | 5.572 | 2.27 |
| γ-Terpinene | 5.994 | 0.20 |
| Oxygenated monoterpenes | ||
| Fenchone | 6.587 | 24.51 |
| (+)-2-Bornanone | 7.308 | 0.63 |
| 1-Menthone | 7.391 | 0.08 |
| dl-Menthol | 7.627 | 0.07 |
| Terpinen-4-ol | 7.732 | 0.13 |
| Terpineol | 7.895 | 0.07 |
| Phenylpropanoids | ||
| Estragole | 8.044 | 2.77 |
| Anethole | 8.759 | 0.13 |
| trans-Anethole | 9.279 | 64.63 |
| Other oxygenated compounds | ||
| 2-Propanone | 10.582 | 0.11 |
| 4-Methoxy Benzaldehyde | 8.844 | 0.98 |
Disclaimer/Publisher’s Note: The statements, opinions and data contained in all publications are solely those of the individual author(s) and contributor(s) and not of MDPI and/or the editor(s). MDPI and/or the editor(s) disclaim responsibility for any injury to people or property resulting from any ideas, methods, instructions or products referred to in the content. |
© 2023 by the authors. Licensee MDPI, Basel, Switzerland. This article is an open access article distributed under the terms and conditions of the Creative Commons Attribution (CC BY) license (https://creativecommons.org/licenses/by/4.0/).
Share and Cite
Ștefănescu, R.; Ősz, B.-E.; Pintea, A.; Laczkó-Zöld, E.; Tero-Vescan, A.; Vari, C.-E.; Fulop, E.; Blaș, I.; Vancea, S. Fennel Essential Oil as a Complementary Therapy in the Management of Diabetes. Pharmaceutics 2023, 15, 2657. https://doi.org/10.3390/pharmaceutics15122657
Ștefănescu R, Ősz B-E, Pintea A, Laczkó-Zöld E, Tero-Vescan A, Vari C-E, Fulop E, Blaș I, Vancea S. Fennel Essential Oil as a Complementary Therapy in the Management of Diabetes. Pharmaceutics. 2023; 15(12):2657. https://doi.org/10.3390/pharmaceutics15122657
Chicago/Turabian StyleȘtefănescu, Ruxandra, Bianca-Eugenia Ősz, Andrada Pintea, Eszter Laczkó-Zöld, Amelia Tero-Vescan, Camil-Eugen Vari, Emoke Fulop, Iuliana Blaș, and Szende Vancea. 2023. "Fennel Essential Oil as a Complementary Therapy in the Management of Diabetes" Pharmaceutics 15, no. 12: 2657. https://doi.org/10.3390/pharmaceutics15122657
APA StyleȘtefănescu, R., Ősz, B.-E., Pintea, A., Laczkó-Zöld, E., Tero-Vescan, A., Vari, C.-E., Fulop, E., Blaș, I., & Vancea, S. (2023). Fennel Essential Oil as a Complementary Therapy in the Management of Diabetes. Pharmaceutics, 15(12), 2657. https://doi.org/10.3390/pharmaceutics15122657

