Targeted Delivery of 5-Fluorouracil and Sonidegib via Surface-Modified ZIF-8 MOFs for Effective Basal Cell Carcinoma Therapy
Abstract
1. Introduction
2. Materials and Methods
2.1. Materials
2.2. Methods
2.2.1. Synthesis and Activation of ZIF-8 MOFs for Post Loading of the Drug
2.2.2. Formulation of SDG Complexation with 5-FU@ZIF-8 MOFs and Loading into the Gel
2.2.3. Characterization of the ZIF-8 MOFs
2.2.4. Entrapment Efficiency of 5-Fluorouracil and SDG
2.2.5. Preparation of 2% HPMC and 0.5% HA Combination Gel
2.2.6. Physicochemical Evaluation of the Gels
2.2.7. Ex Vivo Skin Permeation and Retention Studies
2.2.8. Depth of Penetration Profiles Using Confocal Laser Scanning Microscopy (CLSM)
2.2.9. Cytotoxicity Study
2.2.10. Cellular Uptake Studies
2.2.11. Primary Skin Irritation Studies
- Group 1:
- Control (No treatment);
- Group 2:
- Positive control (0.8% formaldehyde solution);
- Group 3:
- 5-FU and SDG dispersed 2% HPMC and 0.5% HA combination gel;
- Group 4:
- ZIF-8 MOFs dispersed in 2% HPMC and 0.5% HA combination gel;
- Group 5:
- 5-FU@ZIF-8-SDG complex dispersed 2% HPMC and 0.5% HA combination gel. The fur from the posterior portion (2 × 2 cm2) of the animals was removed by an electric trimmer, and the gels were applied on the shaved back portion of the rat skin (n = 3) (≈2 cm2) sequentially for 7 days [39]. Throughout the application period, the skin of the animals was examined daily for inflammation, irritation, or redness at the application site. Scoring was performed as per the Draize evaluation of dermal reactions for erythema and edema [40,41]. By utilizing the formula below, the primary irritation index was calculated:
2.2.12. In Vivo Pharmacodynamic Studies
- Group 1: Negative control (No disease-induced, No drug treatment);
- Group 2: Positive control (disease induced no treatment);
- Group 3: 5-FU dispersed 2% HPMC and 0.5% HA combination gel;
- Group 4: SDG dispersed 2% HPMC and 0.5% HA combination gel;
- Group 5: 5-FU and SDG dispersed 2% HPMC and 0.5% HA combination gel;
- Group 6: ZIF-8 MOFs dispersed in 2% HPMC and 0.5% HA combination gel;
- Group 7: 5-FU@ZIF-8 MOFs dispersed in 2% HPMC and 0.5% HA combination gel;
- Group 8: 5-FU@ZIF-8-SDG complex dispersed in 2% HPMC and 0.5% HA combination gel; Group 9: Marketed formulation (5% Efudex).
- Induction of cancer (BCC) in animal model: 7,12-Dimethyl-benzanthracene solution (1% w/v) was freshly prepared in acetone for the induction of BCC in male Wistar rats. Approximately 200 µL of this freshly prepared 1% DMBA solution was topically added to the shaved area of the rat skin and exposed to UV light at a wavelength of 311 nm for 1 min every other day for a period of 3 months. After 3 months of visualization of BCC induction, the skin was excised, and the processed portion of the skin was fixed in Bouin’s fixative and taken for histopathological examination. Hematoxylin and eosin were used for staining, and the pathological changes observed were viewed under a light microscope. Untreated skin was considered the negative control, and skin treated with 1% DMBA along with UV exposure was considered the positive control. The skin sections were observed for dermal masses composed of lobules and cords of tightly crowded cells that were sustained by a fluctuating fibrovascular stroma to confirm BCC induction. Tumor cells from surrounding nests with central necrosis confirm the solid type of BCC induction [42]. The efficacy of the formulations was assessed by visual observation of the BCC-induced area of the skin, histopathological studies of the skin, immunohistochemistry, and protein expression studies by Western blot analysis.
- Visual observation: Visual observation was carried out on the animals of Group 1, Group 2, Group 8 and Group 9. During the treatment period, the animals were visually observed weekly once up to the third week and on the last date of the treatment (30th day) for the reduction in BCC. The treated areas of the skin were photographed every 2 weeks until the completion of the treatment.
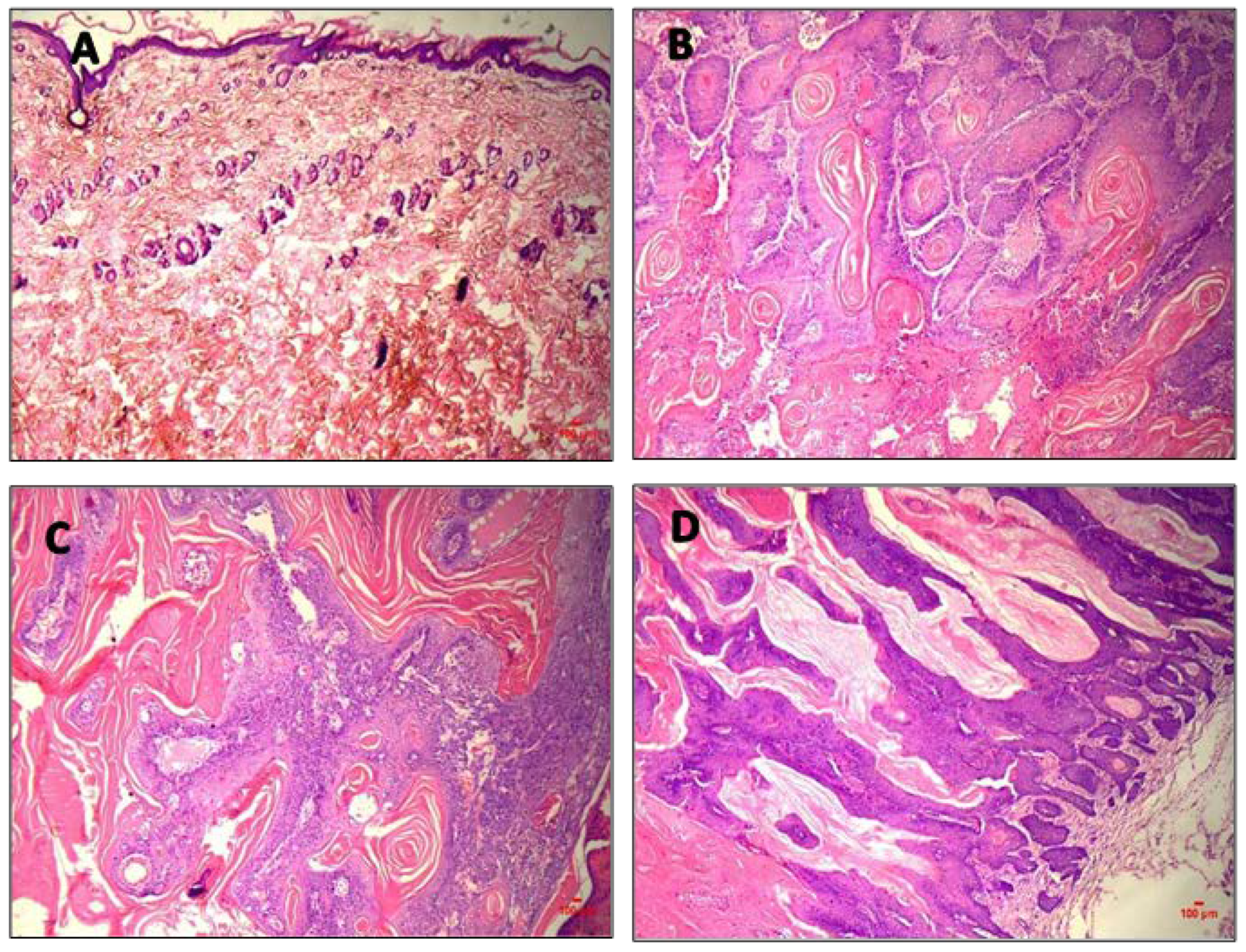
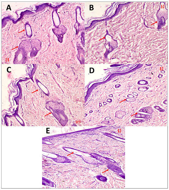
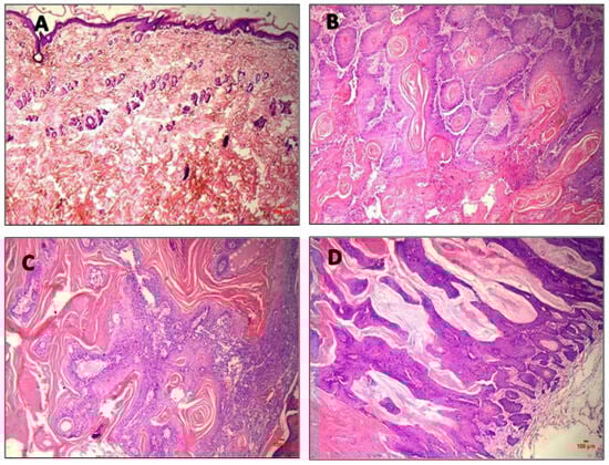
- Histopathological studies: The efficacy of the plain drugs and ZIF-8 MOF gel formulations in comparison with marketed products was investigated in rats using histopathological evaluation. On the 30th day of the treatment period, after visual observation, the animals were sacrificed using thiopentone and cervical dislocation. The treated skin area was excised carefully using surgical scissors, and the excised skin was collected and stored in 10% formalin for two days at room temperature. After 48 h, the tissue was transferred into fresh phosphate buffer for 2 h and then transferred into 50% ethanol solution for 24 h. The skin tissue from 50% ethanolic solution was then transferred into 70%, 90%, and 100% ethanol every 24 h and finally transferred into xylene solution until the tissue became transparent. The tissue was then transferred into xylol solution and embedded in parafilm wax for sectioning. Skin tissue sections were made by using a microtome, and 5 µm sections of tissue were collected on positively charged coated glass slides. The skin section was fixed in Bouin’s fixative and taken for histopathological examination. The slides were stained with hematoxylin and eosin and observed for pathological changes that occurred in the treated group compared to the positive control group under a light microscope.
- Immunohistochemistry: The tissues, which were collected for histopathological studies, were also used for immunohistochemistry to identify the suppression of Bcl-2 gene expression in the treated group by fluorescence microscopy. The detailed procedure is given in Supplementary Information S1.1.
- Protein expression study: Western blot analysis was performed in the collected skin tissue to quantify the amount of Bcl-2 protein expressed in different treatment groups. The steps involved in the protein expression study are shown in Supplementary Information S1.2.
2.2.13. Stability Studies
2.2.14. Statistical Analysis
3. Results
3.1. Formulation and Characterization of 5-FU@ZIF-8-SDG MOFs
3.2. Physicochemical Evaluation of the Gel
3.3. Ex Vivo Skin Permeation and Retention Studies
3.4. Depth of Penetration by Confocal Laser Scanning Microscopy (CLSM)
3.5. Cytotoxicity Study
3.6. Cellular Uptake Studies
3.7. Primary Skin Irritation Studies
3.8. In Vivo Pharmacodynamics Studies
- (a)
- Visual observation
- (b)
- Histopathological evaluation
- (c)
- Immunohistochemistry
- (d)
- Protein expression study
3.9. Stability Studies
4. Conclusions
Supplementary Materials
Author Contributions
Funding
Institutional Review Board Statement
Informed Consent Statement
Data Availability Statement
Acknowledgments
Conflicts of Interest
References
- Safwat, M.A.; Soliman, G.M.; Sayed, D.; Attia, M.A. Fluorouracil-Loaded Gold Nanoparticles for the Treatment of Skin Cancer: Development, In Vitro Characterization, and In Vivo Evaluation in a Mouse Skin Cancer Xenograft Model. Mol. Pharm. 2018, 15, 2194–2205. [Google Scholar] [CrossRef] [PubMed]
- Chandrashekar, N.S.; Prasanth, V.V. Clinical Evaluation of 5-Fluorouracil from Transdermal Patches on EAC and DLA Cell-Induced Tumors in Mice. Asian Pac. J. Cancer Prev. APJCP 2008, 9, 437–440. [Google Scholar] [PubMed]
- Prince, G.T.; Cameron, M.C.; Fathi, R.; Alkousakis, T. Topical 5-Fluorouracil in Dermatologic Disease. Int. J. Dermatol. 2018, 57, 1259–1264. [Google Scholar] [CrossRef] [PubMed]
- Arias, J.L. Novel Strategies to Improve the Anticancer Action of 5-Fluorouracil by Using Drug Delivery Systems. Molecules 2008, 13, 2340. [Google Scholar] [CrossRef]
- Alvi, I.A.; Madan, J.; Kaushik, D.; Sardana, S.; Pandey, R.S.; Ali, A. Comparative Study of Transfersomes, Liposomes, and Niosomes for Topical Delivery of 5-Fluorouracil to Skin Cancer Cells: Preparation, Characterization, in-Vitro Release, and Cytotoxicity Analysis. Anticancer. Drugs 2011, 22, 774–782. [Google Scholar] [CrossRef]
- Jain, S.K.; Kaur, M.; Kalyani, P.; Mehra, A.; Kaur, N.; Panchal, N. Microsponges Enriched Gel for Enhanced Topical Delivery of 5-Fluorouracil. J. Microencapsul. 2019, 36, 677–691. [Google Scholar] [CrossRef]
- Sabitha, M.; Sanoj Rejinold, N.; Nair, A.; Lakshmanan, V.-K.; Nair, S.V.; Jayakumar, R. Development and Evaluation of 5-Fluorouracil Loaded Chitin Nanogels for Treatment of Skin Cancer. Carbohydr. Polym. 2013, 91, 48–57. [Google Scholar] [CrossRef]
- Chen, L.; Aria, A.B.; Silapunt, S.; Lee, H.-H.; Migden, M.R. Treatment of Advanced Basal Cell Carcinoma with Sonidegib: Perspective from the 30-Month Update of the BOLT Trial. Future Oncol. 2018, 14, 515–525. [Google Scholar] [CrossRef]
- Furukawa, H.; Cordova, K.E.; O’Keeffe, M.; Yaghi, O.M. The Chemistry and Applications of Metal-Organic Frameworks. Science 2013, 341, 1230444. [Google Scholar] [CrossRef]
- Qin, L.; Liang, F.; Li, Y.; Wu, J.; Guan, S.; Wu, M.; Xie, S.; Luo, M.; Ma, D. A 2D Porous Zinc-Organic Framework Platform for Loading of 5-Fluorouracil. Inorganics 2022, 10, 202. [Google Scholar] [CrossRef]
- Ma, D.; Li, Z.; Zhu, J.; Zhou, Y.; Chen, L.; Mai, X.; Liufu, M.; Wu, Y.; Li, Y. Inverse and Highly Selective Separation of CO2/C2H2 on a Thulium–Organic Framework. J. Mater. Chem. A 2020, 8, 11933–11937. [Google Scholar] [CrossRef]
- Liu, Y.; Jiang, T.; Liu, Z. Metal-Organic Frameworks for Bioimaging: Strategies and Challenges. Nanotheranostics 2022, 6, 143–160. [Google Scholar] [CrossRef] [PubMed]
- Zhong, Y.; Peng, Z.; Peng, Y.; Li, B.; Pan, Y.; Ouyang, Q.; Sakiyama, H.; Muddassir, M.; Liu, J. Construction of Fe-Doped ZIF-8/DOX Nanocomposites for Ferroptosis Strategy in the Treatment of Breast Cancer. J. Mater. Chem. B 2023, 11, 6335–6345. [Google Scholar] [CrossRef] [PubMed]
- Hao, Y.; Wang, L.; Zhang, B.; Zhao, H.; Niu, M.; Hu, Y.; Zheng, C.; Zhang, H.; Chang, J.; Zhang, Z.; et al. Multifunctional Nanosheets Based on Folic Acid Modified Manganese Oxide for Tumor-Targeting Theranostic Application. Nanotechnology 2016, 27, 025101. [Google Scholar] [CrossRef] [PubMed]
- Zhang, H.; Jiang, W.; Liu, R.; Zhang, J.; Zhang, D.; Li, Z.; Luan, Y. Rational Design of Metal Organic Framework Nanocarrier-Based Codelivery System of Doxorubicin Hydrochloride/Verapamil Hydrochloride for Overcoming Multidrug Resistance with Efficient Targeted Cancer Therapy. ACS Appl. Mater. Interfaces 2017, 9, 19687–19697. [Google Scholar] [CrossRef] [PubMed]
- Tan, L.-L.; Li, H.; Zhou, Y.; Zhang, Y.; Feng, X.; Wang, B.; Yang, Y.-W. Zn2+ -Triggered Drug Release from Biocompatible Zirconium MOFs Equipped with Supramolecular Gates. Small 2015, 11, 3807–3813. [Google Scholar] [CrossRef]
- Vasconcelos, I.B.; Wanderley, K.A.; Rodrigues, N.M.; da Costa, N.B.; Freire, R.O.; Junior, S.A. Host-Guest Interaction of ZnBDC-MOF + Doxorubicin: A Theoretical and Experimental Study. J. Mol. Struct. 2017, 1131, 36–42. [Google Scholar] [CrossRef]
- Ananthoji, R.; Eubank, J.F.; Nouar, F.; Mouttaki, H.; Eddaoudi, M.; Harmon, J.P. Symbiosis of Zeolite-like Metal–Organic Frameworks (Rho-ZMOF) and Hydrogels: Composites for Controlled Drug Release. J. Mater. Chem. 2011, 21, 9587. [Google Scholar] [CrossRef]
- Horcajada, P.; Gref, R.; Baati, T.; Allan, P.K.; Maurin, G.; Couvreur, P.; Férey, G.; Morris, R.E.; Serre, C. Metal–Organic Frameworks in Biomedicine. Chem. Rev. 2012, 112, 1232–1268. [Google Scholar] [CrossRef]
- Gao, X.; Hai, X.; Baigude, H.; Guan, W.; Liu, Z. Fabrication of Functional Hollow Microspheres Constructed from MOF Shells: Promising Drug Delivery Systems with High Loading Capacity and Targeted Transport. Sci. Rep. 2016, 6, 37705. [Google Scholar] [CrossRef]
- Lopez, K.M.; Ravula, S.; Pérez, R.L.; Ayala, C.E.; Losso, J.N.; Janes, M.E.; Warner, I.M. Hyaluronic Acid–Cellulose Composites as Patches for Minimizing Bacterial Infections. ACS Omega 2020, 5, 4125–4132. [Google Scholar] [CrossRef] [PubMed]
- Zhang, H.; Zhao, M.; Yang, Y.; Lin, Y.S. Hydrolysis and Condensation of ZIF-8 in Water. Microporous Mater. 2019, 288, 109568. [Google Scholar] [CrossRef]
- Provinciali, M.; Pierpaoli, E.; Bartozzi, B.; Bernardini, G. Zinc Induces Apoptosis of Human Melanoma Cells, Increasing Reactive Oxygen Species, P53 and FAS Ligand. Anticancer Res. 2015, 35, 5309–5316. [Google Scholar] [PubMed]
- Pandey, A.; Kulkarni, S.; Vincent, A.P.; Nannuri, S.H.; George, S.D.; Mutalik, S. Hyaluronic Acid-Drug Conjugate Modified Core-Shell MOFs as pH Responsive Nanoplatform for Multimodal Therapy of Glioblastoma. Int. J. Pharm. 2020, 588, 119735. [Google Scholar] [CrossRef] [PubMed]
- Park, K.S.; Ni, Z.; Cote, A.P.; Choi, J.Y.; Huang, R.; Uribe-Romo, F.J.; Chae, H.K.; O’Keeffe, M.; Yaghi, O.M. Exceptional Chemical and Thermal Stability of Zeolitic Imidazolate Frameworks. Proc. Natl. Acad. Sci. USA 2006, 103, 10186–10191. [Google Scholar] [CrossRef]
- Ho, P.H.; Salles, F.; Di Renzo, F.; Trens, P. One-Pot Synthesis of 5-FU@ZIF-8 and ibuprofen@ZIF-8 Nanoparticles. Inorganica Chim. Acta 2020, 500, 119229. [Google Scholar] [CrossRef]
- Gomar, M.; Yeganegi, S. Adsorption of 5-Fluorouracil, Hydroxyurea and Mercaptopurine Drugs on Zeolitic Imidazolate Frameworks (ZIF-7, ZIF-8 and ZIF-9). Microporous Mesoporous Mater. 2017, 252, 167–172. [Google Scholar] [CrossRef]
- Zhang, X.; Lu, Y.; Jia, D.; Qiu, W.; Ma, X.; Zhang, X.; Xu, Z.; Wen, F. Acidic Microenvironment Responsive Polymeric MOF-Based Nanoparticles Induce Immunogenic Cell Death for Combined Cancer Therapy. J. Nanobiotechnol. 2021, 19, 455. [Google Scholar] [CrossRef]
- Prabhu, S.; Goda, J.S.; Mutalik, S.; Mohanty, B.S.; Chaudhari, P.; Rai, S.; Udupa, N.; Rao, B.S.S. A Polymeric Temozolomide Nanocomposite against Orthotopic Glioblastoma Xenograft: Tumor-Specific Homing Directed by Nestin. Nanoscale 2017, 9, 10919–10932. [Google Scholar] [CrossRef]
- Hatamie, S.; Ahadian, M.M.; Soufi Zomorod, M.; Torabi, S.; Babaie, A.; Hosseinzadeh, S.; Soleimani, M.; Hatami, N.; Wei, Z.-H. Antibacterial Properties of Nanoporous Graphene Oxide/Cobalt Metal Organic Framework. Mater. Sci. Eng. C Mater. Biol. Appl. 2019, 104, 109862. [Google Scholar] [CrossRef]
- Bumstead, A.M.; Thorne, M.F.; Bennett, T.D. Identifying the Liquid and Glassy States of Coordination Polymers and Metal-Organic Frameworks. Faraday Discuss. 2021, 225, 210–225. [Google Scholar] [CrossRef] [PubMed]
- Wagia, R.; Strashnov, I.; Anderson, M.W.; Attfield, M.P. Insight and Control of the Crystal Growth of Zeolitic Imidazolate Framework ZIF-67 by Atomic Force Microscopy and Mass Spectrometry. Cryst. Growth Des. 2018, 18, 695–700. [Google Scholar] [CrossRef]
- Padya, B.S.; Hegde, A.R.; Mutalik, S.P.; Biswas, S.; Mutalik, S. Analytical and Bioanalytical HPLC Method for Simultaneous Estimation of 5-Fluorouracil and Sonidegib. Bioanalysis 2022, 14, 29–45. [Google Scholar] [CrossRef] [PubMed]
- Akbar, M.H.; Harmita; Suryadi, H. Preparation and Characterization of Hydroxypropyl Methylcellulose Produced from α-Cellulose Betung Bamboo (Dendrocalamus Asper) and It’s Evaluation on Gel Formulation. Int. J. Pharm. Pharm. Sci. 2020, 12, 156–165. [Google Scholar] [CrossRef]
- Reddy, M.; Mutalik, S.; Rao, G. Preparation and Evaluation of Minoxidil Gels for Topical Application in Alopecia. Indian J. Pharm. Sci. 2006, 68, 432. [Google Scholar] [CrossRef]
- Hegde, A.R.; Rewatkar, P.V.; Manikkath, J.; Tupally, K.; Parekh, H.S.; Mutalik, S. Peptide Dendrimer-Conjugates of Ketoprofen: Synthesis and Ex Vivo and in Vivo Evaluations of Passive Diffusion, Sonophoresis and Iontophoresis for Skin Delivery. Eur. J. Pharm. Sci. Off. J. Eur. Fed. Pharm. Sci. 2017, 102, 237–249. [Google Scholar] [CrossRef]
- Mutalik, S.; Parekh, H.S.; Anissimov, Y.G.; Grice, J.E.; Roberts, M.S. Iontophoresis-Mediated Transdermal Permeation of Peptide Dendrimers across Human Epidermis. Skin Pharmacol. Physiol. 2013, 26, 127–138. [Google Scholar] [CrossRef]
- Chen, P.; He, M.; Chen, B.; Hu, B. Size- and Dose-Dependent Cytotoxicity of ZIF-8 Based on Single Cell Analysis. Ecotoxicol. Environ. Saf. 2020, 205, 111110. [Google Scholar] [CrossRef]
- Wang, L.; Shi, C.; Wright, F.A.; Guo, D.; Wang, X.; Wang, D.; Wojcikiewicz, R.J.H.; Luo, J. Multifunctional Telodendrimer Nanocarriers Restore Synergy of Bortezomib and Doxorubicin in Ovarian Cancer Treatment. Cancer Res. 2017, 77, 3293–3305. [Google Scholar] [CrossRef]
- Mutalik, S.; Shetty, P.K.; Kumar, A.; Kalra, R.; Parekh, H.S. Enhancement in Deposition and Permeation of 5-Fluorouracil through Human Epidermis Assisted by Peptide Dendrimers. Drug Deliv. 2014, 21, 44–54. [Google Scholar] [CrossRef]
- Saraf, S.; Kaur, C. Phytoconstituents as Photoprotective Novel Cosmetic Formulations. Pharmacogn. Rev. 2010, 4, 1. [Google Scholar] [CrossRef] [PubMed]
- Manikkath, J.; Shenoy, G.G.; Pandey, S.; Mutalik, S. Response Surface Methodology for Optimization of Ultrasound-Assisted Transdermal Delivery and Skin Retention of Asenapine Maleate. J. Pharm. Innov. 2019, 14, 391–399. [Google Scholar] [CrossRef]
- Manikkath, J.; Parekh, H.S.; Mutalik, S. Surface-Engineered Nanoliposomes with Lipidated and Non-Lipidated Peptide-Dendrimeric Scaffold for Efficient Transdermal Delivery of a Therapeutic Agent: Development, Characterization, Toxicological and Preclinical Performance Analyses. Eur. J. Pharm. Biopharm. Off. J. Arbeitsgemeinschaft Pharm. Verfahrenstechnik EV 2020, 156, 97–113. [Google Scholar] [CrossRef] [PubMed]
- Hoop, M.; Walde, C.F.; Riccò, R.; Mushtaq, F.; Terzopoulou, A.; Chen, X.-Z.; deMello, A.J.; Doonan, C.J.; Falcaro, P.; Nelson, B.J.; et al. Biocompatibility Characteristics of the Metal Organic Framework ZIF-8 for Therapeutical Applications. Appl. Mater. Today 2018, 11, 13–21. [Google Scholar] [CrossRef]
- Mazloum-Ardakani, M.; Shaker-Ardakani, N.; Ebadi, A. Development of Metal–Organic Frameworks (ZIF-8) as Low-Cost Carriers for Sustained Release of Hydrophobic and Hydrophilic Drugs: In Vitro Evaluation of Anti-Breast Cancer and Anti-Infection Effect. J. Clust. Sci. 2022, 34, 1861–1876. [Google Scholar] [CrossRef]
- Fan, X.; Wang, W.; Li, W.; Zhou, J.; Wang, B.; Zheng, J.; Li, X. Highly Porous ZIF-8 Nanocrystals Prepared by a Surfactant Mediated Method in Aqueous Solution with Enhanced Adsorption Kinetics. ACS Appl. Mater. Interfaces 2014, 6, 14994–14999. [Google Scholar] [CrossRef]
- Kenyotha, K.; Chanapattharapol, K.; McCloskey, S.; Jantaharn, P. Water Based Synthesis of ZIF-8 Assisted by Hydrogen Bond Acceptors and Enhancement of CO2 Uptake by Solvent Assisted Ligand Exchange. Crystals 2020, 10, 599. [Google Scholar] [CrossRef]
- Olukman, M.; Şanlı, O.; Solak, E.K. Release of Anticancer Drug 5-Fluorouracil from Different Ionically Crosslinked Alginate Beads. J. Biomater. Nanobiotechnol. 2012, 3, 469–479. [Google Scholar] [CrossRef]
- Binaeian, E.; Maleki, S.; Motaghedi, N.; Arjmandi, M. Study on the Performance of Cd2+ Sorption Using Dimethylethylenediamine-Modified Zinc-Based MOF (ZIF-8-Mmen): Optimization of the Process by RSM Technique. Sep. Sci. Technol. 2020, 55, 2713–2728. [Google Scholar] [CrossRef]
- Khan, M.A.; Pandit, J.; Sultana, Y.; Sultana, S.; Ali, A.; Aqil, M.; Chauhan, M. Novel Carbopol-Based Transfersomal Gel of 5-Fluorouracil for Skin Cancer Treatment: In Vitro Characterization and In Vivo Study. Drug Deliv. 2015, 22, 795–802. [Google Scholar] [CrossRef]
- Formulation and Evaluation of Sonidegib Loaded Poly (Ethyl Methacrylate) Nanoparticles for Effective Treatment of Cancer|Reddy|Asian Journal of Pharmaceutics (AJP): Free Full Text Articles from Asian J Pharm. Available online: https://www.asiapharmaceutics.info/index.php/ajp/article/view/3622/1230 (accessed on 16 December 2020).
- Handali, S.; Moghimipour, E.; Rezaei, M.; Ramezani, Z.; Kouchak, M.; Amini, M.; Angali, K.A.; Saremy, S.; Dorkoosh, F.A. A Novel 5-Fluorouracil Targeted Delivery to Colon Cancer Using Folic Acid Conjugated Liposomes. Biomed. Pharmacother. 2018, 108, 1259–1273. [Google Scholar] [CrossRef]
- Li, P.; Yang, Z.; Wang, Y.; Peng, Z.; Li, S.; Kong, L.; Wang, Q. Microencapsulation of Coupled Folate and Chitosan Nanoparticles for Targeted Delivery of Combination Drugs to Colon. J. Microencapsul. 2015, 32, 40–45. [Google Scholar] [CrossRef] [PubMed]
- Nordin, N.A.H.M.; Ismail, A.F.; Misdan, N.; Nazri, N.A.M. Modified ZIF-8 Mixed Matrix Membrane for CO2/CH4 Separation; AIP Publishing: Kedah, Malaysia, 2017; p. 020091. [Google Scholar]
- Sánchez-Laínez, J.; Zornoza, B.; Friebe, S.; Caro, J.; Cao, S.; Sabetghadam, A.; Seoane, B.; Gascon, J.; Kapteijn, F.; Le Guillouzer, C.; et al. Influence of ZIF-8 Particle Size in the Performance of Polybenzimidazole Mixed Matrix Membranes for Pre-Combustion CO2 Capture and Its Validation through Interlaboratory Test. J. Membr. Sci. 2016, 515, 45–53. [Google Scholar] [CrossRef]
- Tran, U.P.N.; Le, K.K.A.; Phan, N.T.S. Expanding Applications of Metal−Organic Frameworks: Zeolite Imidazolate Framework ZIF-8 as an Efficient Heterogeneous Catalyst for the Knoevenagel Reaction. ACS Catal. 2011, 1, 120–127. [Google Scholar] [CrossRef]
- Farokh Payam, A. Application of Atomic Force Microscopy to Study Metal–Organic Frameworks Materials and Composites. In Futuristic Composites; Sidhu, S.S., Bains, P.S., Zitoune, R., Yazdani, M., Eds.; Materials Horizons: From Nature to Nanomaterials; Springer: Singapore, 2018; pp. 37–73. ISBN 9789811324161. [Google Scholar]
- Jin, Y.; Li, J.; Rong, L.; Lu, X.; Huang, Y.; Xu, S. Pharmacokinetics and Tissue Distribution of 5-Fluorouracil Encapsulated by Galactosylceramide Liposomes in Mice1. Acta Pharmacol. Sin. 2005, 26, 250–256. [Google Scholar] [CrossRef] [PubMed][Green Version]
- Brancaccio, G.; Pea, F.; Moscarella, E.; Argenziano, G. Sonidegib for the Treatment of Advanced Basal Cell Carcinoma. Front. Oncol. 2020, 10, 582866. [Google Scholar] [CrossRef]
- Mutalik, S.; Udupa, N. Effect of Some Penetration Enhancers on the Permeation of Glibenclamide and Glipizide through Mouse Skin. Pharmazie 2003, 58, 891–894. [Google Scholar]
- Ahmad, N.; Ahmad, R.; Mohammed Buheazaha, T.; Salman AlHomoud, H.; Al-Nasif, H.A.; Sarafroz, M. A Comparative Ex Vivo Permeation Evaluation of a Novel 5-Fluorocuracil Nanoemulsion-Gel by Topically Applied in the Different Excised Rat, Goat, and Cow Skin. Saudi J. Biol. Sci. 2020, 27, 1024–1040. [Google Scholar] [CrossRef]
- Yan, J.; Liu, C.; Wu, Q.; Zhou, J.; Xu, X.; Zhang, L.; Wang, D.; Yang, F.; Zhang, H. Mineralization of pH-Sensitive Doxorubicin Prodrug in ZIF-8 to Enable Targeted Delivery to Solid Tumors. Anal. Chem. 2020, 92, 11453–11461. [Google Scholar] [CrossRef] [PubMed]
- Zeb, A.; Arif, S.T.; Malik, M.; Shah, F.A.; Din, F.U.; Qureshi, O.S.; Lee, E.-S.; Lee, G.-Y.; Kim, J.-K. Potential of Nanoparticulate Carriers for Improved Drug Delivery via Skin. J. Pharm. Investig. 2019, 49, 485–517. [Google Scholar] [CrossRef]
- Jain, S.K.; Verma, A.; Jain, A.; Hurkat, P. Transfollicular Drug Delivery: Current Perspectives. Res. Rep. Transdermal Drug Deliv. 2016, 5, 1–17. [Google Scholar] [CrossRef]
- Bartoš, V.; Kullová, M. Expression of Anti-Apoptotic Protein bcl-2 in Cutaneous Basal Cell Carcinoma. J. Cancer Allied Spec. 2018, 4, 3. [Google Scholar] [CrossRef]










| Sl. No. | Ingredients | Plain Gel | Plain 5-FU Gel | Plain 5-FU& SDG Gel | ZIF-8 MOFs Gel | 5-FU@ ZIF-8-SDG Gel |
|---|---|---|---|---|---|---|
| 1 | HPMC | 200 mg | 200 mg | 200 mg | 200 mg | 200 mg |
| 2 | Hyaluronic acid | 50 mg | 50 mg | 50 mg | 50 mg | 50 mg |
| 3 | Propylene glycol | 200 µL | 200 µL | 200 µL | 200 µL | 200 µL |
| 4 | Methyl paraben | 2 mg | 2 mg | 2 mg | 2 mg | 2 mg |
| 5 | Propyl paraben | 1 mg | 1 mg | 1 mg | 1 mg | 1 mg |
| 6 | Triethanolamine | To adjust pH to 7 | To adjust pH to 7 | To adjust pH to 7 | To adjust pH to 7 | To adjust pH to 7 |
| 7 | Water q.s. | 10 mL | 10 mL | 10 mL | 10 mL | 10 mL |
| 8 | 5-FU | --- | 500 mg | 500 mg | --- | 500 mg |
| 9 | SDG | --- | --- | 80 mg | --- | 80 mg |
| 10 | ZIF-8 MOFs | --- | --- | --- | 800 mg | 800 |
| Parameters | Plain 5-FU | Plain SDG | Plain 5-FU and SDG | ZIF-8 MOFs | 5-FU@ZIF-8 MOFs | 5-FU@ZIF-8-SDG |
|---|---|---|---|---|---|---|
| Appearance | Smooth | Smooth | Smooth | Smooth | Smooth | Smooth |
| Homogeneity | +++ | +++ | +++ | +++ | +++ | +++ |
| Color | Off-white | Off-white | Off-white | Off-white | Off-white | Off-white |
| Drug content (%) | 98.15 ± 0.5 | 96.25 ± 0.15 | 97.12 ± 0.25 and 95.25 ± 0.15 | NA | 95.53 ± 0.25 | 95.12 ± 0.16 and 95.05 ± 0.18 |
| pH | 6.48 ± 0.02 | 6.43 ± 0.05 | 6.41 ± 0.08 | 6.45 ± 0.05 | 6.44 ± 0.04 | 6.4 ± 0.06 |
| Spreadability (mm) | 21.65 ± 0.21 | 22.62 ± 0.23 | 22.64 ± 0.11 | 22.59 ± 0.25 | 22.60 ± 0.18 | 22.63 ± 0.27 |
| Viscosity (cp) at 50 rpm | 33.6 ± 2.15 | 33.4 ± 1.45 | 34.5 ± 3.12 | 34.3 ± 3.05 | 33.2 ± 2.65 | 33.4 ± 3.52 |
| Skin Permeation Studies | Q24 Values (µg/cm2) | Drug Content in Skin (µg/cm2) | Permeability Coefficient (cm/h) |
|---|---|---|---|
| Gel containing plain 5-FU and SDG | 1569.22 ± 105.24 and 813.14 ± 294.85 | 998.16 ± 140.18 and 109.13 ± 10.12 | 0.0129 and 0.0118 |
| 5-FU@ZIF-8-SDG complex gel | 2896.32 ± 187.50 and 1356.24 ± 90.72 | 3898.16 ± 120.18 and 615.26 ± 49.12 | 0.0186 and 0.0134 |
| Formulation Treatment Groups | Reaction Grade | PII | |
|---|---|---|---|
| Erythema | Edema | ||
| Control | 0.00 ± 0.00 * | 0.00 ± 0.00 * | 0.00 ± 0.00 * |
| Positive control | 2.33 ± 0.33 | 2.17 ± 0.31 | 2.25 ± 0.25 |
| ZIF-8 MOFs gel | 0.79 ± 0.05 * | 0.64 ± 0.07 * | 0.62 ± 0.06 * |
| Plain 5-FU and SDG gel | 0.98 ± 0.05 * | 0.67 ± 0.04 * | 0.76 ± 0.05 * |
| 5-FU@ZIF-8-SDG gel | 0.84 ± 0.08 * | 0.72 ± 0.02 * | 0.74 ± 0.04 * |
| Groups | Deg | Nec | Con | Inf | Ede |
|---|---|---|---|---|---|
| Control | --- | --- | --- | --- | --- |
| Positive control | + | + | + | +++ | +++ |
| ZIF-8 MOFs gel | + | + | + | + | --- |
| Plain 5-FU and SDG gel | + | + | + | + | + |
| 5-FU@ZIF-8-SDG gel | + | + | + | + | --- |
| Treatment Group | Negative Bcl-2 Expression | Low Bcl-2 Expression | High Bcl-2 Expression |
|---|---|---|---|
| Group 1: Negative Control group (No disease indued) | 0 (0%) | 0 (0%) | 0 (0%) |
| Group2: Control group (No treatment) | 0 (0%) | 15.5% | 84.5% |
| Group8: 5-FU@ZIF-8-SDG MOF gel | 5.4% | 22.6% | 72.3% |
| Parameters | Initial | 1 Month | 3 Months | 6 Months |
|---|---|---|---|---|
| Appearance | Smooth, Homogeneous | Smooth, Homogeneous | Smooth, Homogeneous | Smooth, Homogeneous |
| Color | Off-white | Off-white | Off-white | Off-white |
| Drug content (%) | 99.15 ± 0.16 and 99.24 ± 0.13 | 98.10 ± 0.10 and 98.93 ± 0.11 | 96.31 ± 0.18 and 97.86 ± 0.15 | 95.12 ± 0.16 and 96.05 ± 0.18 |
| pH | 6.48 ± 0.02 | 6.43 ± 0.05 | 6.41 ± 0.08 | 6.45 ± 0.05 |
| Spreadability (mm) | 22.62 ± 0.23 | 22.64 ± 0.11 | 22.59 ± 0.25 | 22.60 ± 0.18 |
| Viscosity (cp) | 34.5 ± 3.12 | 34.3 ± 3.05 | 33.6 ± 2.15 | 33.4 ± 1.45 |
| Parameters | Initial | 1 Month | 3 Months | 6 Months |
|---|---|---|---|---|
| Appearance | Crystalline | Crystalline | Crystalline | Crystalline |
| Color | Off-white | Off-white | Off-white | Off-white |
| Drug content (%) | 99.15 ± 0.16 and 99.24 ± 0.13 | 99.10 ± 0.10 and 98.93 ± 0.11 | 98.31 ± 0.18 and 98.46 ± 0.15 | 98.12 ± 0.16 and 98.05 ± 0.18 |
Disclaimer/Publisher’s Note: The statements, opinions and data contained in all publications are solely those of the individual author(s) and contributor(s) and not of MDPI and/or the editor(s). MDPI and/or the editor(s) disclaim responsibility for any injury to people or property resulting from any ideas, methods, instructions or products referred to in the content. |
© 2023 by the authors. Licensee MDPI, Basel, Switzerland. This article is an open access article distributed under the terms and conditions of the Creative Commons Attribution (CC BY) license (https://creativecommons.org/licenses/by/4.0/).
Share and Cite
Padya, B.S.; Fernandes, G.; Hegde, S.; Kulkarni, S.; Pandey, A.; Deshpande, P.B.; Ahmad, S.F.; Upadhya, D.; Mutalik, S. Targeted Delivery of 5-Fluorouracil and Sonidegib via Surface-Modified ZIF-8 MOFs for Effective Basal Cell Carcinoma Therapy. Pharmaceutics 2023, 15, 2594. https://doi.org/10.3390/pharmaceutics15112594
Padya BS, Fernandes G, Hegde S, Kulkarni S, Pandey A, Deshpande PB, Ahmad SF, Upadhya D, Mutalik S. Targeted Delivery of 5-Fluorouracil and Sonidegib via Surface-Modified ZIF-8 MOFs for Effective Basal Cell Carcinoma Therapy. Pharmaceutics. 2023; 15(11):2594. https://doi.org/10.3390/pharmaceutics15112594
Chicago/Turabian StylePadya, Bharath Singh, Gasper Fernandes, Sumukha Hegde, Sanjay Kulkarni, Abhijeet Pandey, Praful Balavant Deshpande, Sheikh F. Ahmad, Dinesh Upadhya, and Srinivas Mutalik. 2023. "Targeted Delivery of 5-Fluorouracil and Sonidegib via Surface-Modified ZIF-8 MOFs for Effective Basal Cell Carcinoma Therapy" Pharmaceutics 15, no. 11: 2594. https://doi.org/10.3390/pharmaceutics15112594
APA StylePadya, B. S., Fernandes, G., Hegde, S., Kulkarni, S., Pandey, A., Deshpande, P. B., Ahmad, S. F., Upadhya, D., & Mutalik, S. (2023). Targeted Delivery of 5-Fluorouracil and Sonidegib via Surface-Modified ZIF-8 MOFs for Effective Basal Cell Carcinoma Therapy. Pharmaceutics, 15(11), 2594. https://doi.org/10.3390/pharmaceutics15112594

