Subconjunctival Delivery of Sorafenib-Tosylate-Loaded Cubosomes for Facilitated Diabetic Retinopathy Treatment: Formulation Development, Evaluation, Pharmacokinetic and Pharmacodynamic (PKPD) Studies
Abstract
:1. Introduction
2. Materials and Methods
2.1. Chemicals
2.2. Preparation, Characterization, and Storage Stability Studies of Cubosome Nanocarriers
2.2.1. Preparation of Cubosome Nanocarriers
2.2.2. Characterization of Cubosome Nanocarriers
Particle Size, Polydispersity Index (PDI), and Zeta Potential (ZP)
HR-TEM (High Resolution-Transmission Electron Microscopy)
Drug Encapsulation Efficiency
2.2.3. Storage Stability Studies of Cubosome Nanocarriers
2.3. In Vivo Studies
2.3.1. Animals and Husbandry Conditions
2.3.2. In Vivo Confocal Laser Scanning Microscopy (CLSM) Imaging Test
2.3.3. Single-Dose Pharmacokinetic and Biodistribution Studies
Preparation and Determination of Plasma Drug Concentration
Preparation and Determination of Vitreous Humor Concentration
Preparation and Evaluation of Retina Concentration
UPLC-MS Specification and Mobile Phase
Detection of Pharmacokinetic Parameters
2.3.4. In Vivo Safety Assessment
2.3.5. Pharmacodynamic Studies
Groupings and Treatment
Body Weight, Blood Glucose, and Glycosylated Hemoglobin (HbA1c) Determination
Assessment of Retinal Morphology by Hematoxylin and Eosin (H&E) Staining
Treatment Protocol in a Rat Model of Retinopathy
Immunohistochemistry (VEGF, Pro-Inflammatory Cytokines, and Adhesion Molecules)
2.4. Statistics
3. Results
3.1. Characterization and Storage Stability of Sorafenib-Tosylate-Loaded Cubosome Nanocarriers
3.2. In Vivo CLSM Imaging Study
3.3. UPLC-MS Linearity
Single-Dose Pharmacokinetic and Biodistribution Study
3.4. In Vivo Safety Assessment
3.5. Pharmacodynamic Study
3.5.1. Physiological State of Rats
3.5.2. Body Weight, Fasting Blood Glucose, and Glycosylated Hemoglobin (HbA1c) Determination in the Rats
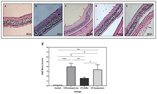
3.5.3. Retinal Morphology by H&E Staining
3.6. Treatment of Retinopathy
3.6.1. ST-CUBs Markedly Prevented Changes in the Retinal Morphology of STZ-Diabetic Rats
3.6.2. Immunohistochemistry (VEGF, Pro-Inflammatory Cytokines, and Adhesion Molecules)
4. Discussion
5. Conclusions
Author Contributions
Funding
Institutional Review Board Statement
Informed Consent Statement
Data Availability Statement
Acknowledgments
Conflicts of Interest
References
- Cheung, N.; Mitchell, P.; Wong, T.Y. Diabetic Retinopathy. Lancet 2010, 376, 124–136. [Google Scholar] [CrossRef] [PubMed]
- Kang, Q.; Yang, C. Oxidative Stress and Diabetic Retinopathy: Molecular Mechanisms, Pathogenetic Role and Therapeutic Implications. Redox Biol. 2020, 37, 101799. [Google Scholar] [CrossRef]
- Tarr, J.M.; Kaul, K.; Wolanska, K.; Kohner, E.M.; Chibber, R. Retinopathy in Diabetes. Diabetes 2013, 771, 88–106. [Google Scholar] [CrossRef]
- Gardner, T.W. An Integrated Approach to Diabetic Retinopathy Research. Arch. Ophthalmol. 2011, 129, 230. [Google Scholar] [CrossRef]
- Chistiakov, D.A. Diabetic Retinopathy: Pathogenic Mechanisms and Current Treatments. Diabetes Metab. Syndr. Clin. Res. Rev. 2011, 5, 165–172. [Google Scholar] [CrossRef]
- Behl, T.; Kotwani, A. Exploring the Various Aspects of the Pathological Role of Vascular Endothelial Growth Factor (VEGF) in Diabetic Retinopathy. Pharmacol. Res. 2015, 99, 137–148. [Google Scholar] [CrossRef] [PubMed]
- Gotink, K.J.; Verheul, H.M.W. Anti-Angiogenic Tyrosine Kinase Inhibitors: What Is Their Mechanism of Action? Angiogenesis 2010, 13, 1–14. [Google Scholar] [CrossRef] [PubMed]
- Thiele, S.; Liegl, R.; König, S.; Siedlecki, J.; Langer, J.; Eibl, K.; Haritoglou, C.; Kampik, A.; Kernt, M. Multikinase-Inhibitoren Als Therapeutischer Ansatz Bei Neovaskulärer AMD: In-Vitro-Evaluation Der Sicherheit von Axitinib, Pazopanib Und Sorafenib Zur Intraokularen Anwendung. Klin. Monatsblätter Augenheilkd. 2013, 230, 247–254. [Google Scholar] [CrossRef]
- Kernt, M.; Liegl, R.G.; Rueping, J.; Neubauer, A.S.; Haritoglou, C.; Lackerbauer, C.A.; Eibl, K.H.; Ulbig, M.W.; Kampik, A. Sorafenib Protects Human Optic Nerve Head Astrocytes from Light-Induced Overexpression of Vascular Endothelial Growth Factor, Platelet-Derived Growth Factor, and Placenta Growth Factor. Growth Factors 2010, 28, 211–220. [Google Scholar] [CrossRef]
- Park, Y.-H.; Roh, S.Y.; Lee, Y.-C. Effect of Sorafenib on Experimental Choroidal Neovascularization in the Rat. Clin. Exp. Ophthalmol. 2010, 38, 718–726. [Google Scholar] [CrossRef]
- Kernt, M.; Thiele, S.; Hirneiss, C.; Neubauer, A.S.; Lackerbauer, C.A.; Wolf, A.; Eibl, K.H.; Haritoglou, C.; Ulbig, M.W.; Kampik, A. Zytoprotektive Und AntiangiogeneWirkung Des Multikinase inhibitors Sorafenib ImRetinalenPigmentepithel. Ophthalmologe 2011, 108, 445–451. [Google Scholar] [CrossRef] [PubMed]
- Mauro, N.; di Prima, G.; Varvarà, P.; Licciardi, M.; Cavallaro, G.; Giammona, G. Core-Shell Arginine-Containing Chitosan Microparticles for Enhanced Transcorneal Permeation of Drugs. J. Pharm. Sci. 2019, 108, 960–969. [Google Scholar] [CrossRef] [PubMed]
- Santonocito, M.; Zappulla, C.; Viola, S.; la Rosa, L.R.; Solfato, E.; Abbate, I.; Tarallo, V.; Apicella, I.; Platania, C.B.M.; Maugeri, G.; et al. Assessment of a New Nanostructured Microemulsion System for Ocular Delivery of Sorafenib to Posterior Segment of the Eye. Int. J. Mol. Sci. 2021, 22, 4404. [Google Scholar] [CrossRef] [PubMed]
- Wang, J.; Xi, Y.; Liu, Y.; Wang, Z.; Zhang, Q. Combination of Targeted PDT and Anti-VEGF Therapy for Rat CNV by RGD-Modified Liposomal Photocyanine and Sorafenib. Investig. Opthalmology Vis. Sci. 2013, 54, 7983. [Google Scholar] [CrossRef]
- Dave, V.; Sharma, R.; Gupta, C.; Sur, S. Folic Acid Modified Gold Nanoparticle for Targeted Delivery of Sorafenib Tosylate towards the Treatment of Diabetic Retinopathy. Colloids Surf. B Biointerfaces 2020, 194, 111151. [Google Scholar] [CrossRef]
- Bonaccorso, A.; Pepe, V.; Zappulla, C.; Cimino, C.; Pricoco, A.; Puglisi, G.; Giuliano, F.; Pignatello, R.; Carbone, C. Sorafenib Repurposing for Ophthalmic Delivery by Lipid Nanoparticles: A Preliminary Study. Pharmaceutics 2021, 13, 1956. [Google Scholar] [CrossRef]
- Bu, H.-Z.; Gukasyan, H.; Goulet, L.; Lou, X.-J.; Xiang, C.; Koudriakova, T. Ocular Disposition, Pharmacokinetics, Efficacy and Safety of Nanoparticle-Formulated Ophthalmic Drugs. Curr. Drug Metab. 2007, 8, 91–107. [Google Scholar] [CrossRef]
- Yetisgin, A.A.; Cetinel, S.; Zuvin, M.; Kosar, A.; Kutlu, O. Therapeutic Nanoparticles and Their Targeted Delivery Applications. Molecules 2020, 25, 2193. [Google Scholar] [CrossRef]
- Waghule, T.; Dabholkar, N.; Gorantla, S.; Rapalli, V.K.; Saha, R.N.; Singhvi, G. Quality by Design (QbD) in the Formulation and Optimization of Liquid Crystalline Nanoparticles (LCNPs): A Risk Based Industrial Approach. Biomed. Pharmacother. 2021, 141, 111940. [Google Scholar] [CrossRef]
- Karami, Z.; Hamidi, M. Cubosomes: Remarkable Drug Delivery Potential. Drug Discov. Today 2016, 21, 789–801. [Google Scholar] [CrossRef]
- Said, M.; Aboelwafa, A.A.; Elshafeey, A.H.; Elsayed, I. Central Composite Optimization of Ocular Mucoadhesive Cubosomes for Enhanced Bioavailability and Controlled Delivery of Voriconazole. J. Drug Deliv. Sci. Technol. 2021, 61, 102075. [Google Scholar] [CrossRef]
- Elfaky, M.A.; Sirwi, A.; Tolba, H.H.; Shaik, R.A.; Selmi, N.M.; Alattas, A.H.; Albreki, R.S.; Alshreef, N.M.; Gad, H.A. Development, Optimization, and Antifungal Assessment of Ocular Gel Loaded With Ketoconazole Cubic Liquid Crystalline Nanoparticles. J. Pharm. Sci. 2021, 110, 2210–2220. [Google Scholar] [CrossRef] [PubMed]
- Alharbi, W.S.; Hosny, K.M. Development and Optimization of Ocular in Situ Gels Loaded with Ciprofloxacin Cubic Liquid Crystalline Nanoparticles. J. Drug Deliv. Sci. Technol. 2020, 57, 101710. [Google Scholar] [CrossRef]
- Gan, L.; Han, S.; Shen, J.; Zhu, J.; Zhu, C.; Zhang, X.; Gan, Y. Self-Assembled Liquid Crystalline Nanoparticles as a Novel Ophthalmic Delivery System for Dexamethasone: Improving Preocular Retention and Ocular Bioavailability. Int. J. Pharm. 2010, 396, 179–187. [Google Scholar] [CrossRef]
- Han, S.; Shen, J.; Gan, Y.; Geng, H.; Zhang, X.; Zhu, C.; Gan, L. Novel Vehicle Based on Cubosomes for Ophthalmic Delivery of Flurbiprofen with Low Irritancy and High Bioavailability. Acta Pharmacol. Sin. 2010, 31, 990–998. [Google Scholar] [CrossRef] [PubMed]
- Rathod, V.R.; Shah, D.A.; Dave, R.H. Systematic Implementation of Quality-by-Design (QbD) to Develop NSAID-Loaded Nanostructured Lipid Carriers for Ocular Application: Preformulation Screening Studies and Statistical Hybrid-Design for Optimization of Variables. Drug Dev. Ind. Pharm. 2020, 46, 443–455. [Google Scholar] [CrossRef]
- Eldeeb, A.E.; Salah, S.; Ghorab, M. Formulation and Evaluation of Cubosomes Drug Delivery System for Treatment of Glaucoma: Ex-Vivo Permeation and in-Vivo Pharmacodynamic Study. J. Drug Deliv. Sci. Technol. 2019, 52, 236–247. [Google Scholar] [CrossRef]
- Peng, X.; Zhou, Y.; Han, K.; Qin, L.; Dian, L.; Li, G.; Pan, X.; Wu, C. Characterization of Cubosomes as a Targeted and Sustained Transdermal Delivery System for Capsaicin. Drug Des. Dev. Ther. 2015, 9, 4209–4218. [Google Scholar] [CrossRef]
- Jain, V.; Swarnakar, N.K.; Mishra, P.R.; Verma, A.; Kaul, A.; Mishra, A.K.; Jain, N.K. Paclitaxel Loaded PEGylated Gleceryl Monooleate Based Nanoparticulate Carriers in Chemotherapy. Biomaterials 2012, 33, 7206–7220. [Google Scholar] [CrossRef]
- Pandit, J.; Sultana, Y.; Aqil, M. Chitosan Coated Nanoparticles for Efficient Delivery of Bevacizumab in the Posterior Ocular Tissues via Subconjunctival Administration. Carbohydr. Polym. 2021, 267, 118217. [Google Scholar] [CrossRef]
- Wen, Z.; Muratomi, N.; Huang, W.; Huang, L.; Ren, J.; Yang, J.; Persaud, Y.; Loloi, J.; Mallangada, N.; Kung, P.; et al. The Ocular Pharmacokinetics and Biodistribution of Phospho-Sulindac (OXT-328) Formulated in Nanoparticles: Enhanced and Targeted Tissue Drug Delivery. Int. J. Pharm. 2019, 557, 273–279. [Google Scholar] [CrossRef] [PubMed]
- Ahmad, I.; Pandit, J.; Sultana, Y.; Mishra, A.K.; Hazari, P.P.; Aqil, M. Optimization by Design of Etoposide Loaded Solid Lipid Nanoparticles for Ocular Delivery: Characterization, Pharmacokinetic and Deposition Study. Mater. Sci. Eng. C 2019, 100, 959–970. [Google Scholar] [CrossRef]
- Hou, Y.; Fan, S.; Zhang, H.; Gu, Y.; Yu, X.; Li, B. Pharmacokinetic Study of Mangiferin in Rat Plasma and Retina Using High-Performance Liquid Chromatography. Mol. Vis. 2010, 16, 1659–1668. [Google Scholar] [PubMed]
- Amrite, A.C.; Ayalasomayajula, S.P.; Cheruvu, N.P.S.; Kompella, U.B. Single Periocular Injection of Celecoxib-PLGA Microparticles Inhibits Diabetes-Induced Elevations in Retinal PGE2, VEGF, and Vascular Leakage. Investig. Opthalmology Vis. Sci. 2006, 47, 1149. [Google Scholar] [CrossRef] [PubMed]
- Ferreira de Melo, I.M.; Martins Ferreira, C.G.; Lima da Silva Souza, E.H.; Almeida, L.L.; Bezerra de Sá, F.; Cavalcanti Lapa Neto, C.J.; Paz de Castro, M.V.; Teixeira, V.W.; Coelho Teixeira, Á.A. Melatonin Regulates the Expression of Inflammatory Cytokines, VEGF and Apoptosis in Diabetic Retinopathy in Rats. Chem. Biol. Interact. 2020, 327, 109183. [Google Scholar] [CrossRef]
- Gupta, S.K. Drug Screening Methods; Jaypee Brothers: New Delhi, UK; Medical Publishers: New Delhi, India, 2005; pp. 614–623. [Google Scholar]
- Zhang, H.; Gao, Y.; Zhang, J.; Wang, K.; Jin, T.; Wang, H.; Ruan, K.; Wu, F.; Xu, Z. The Effect of Total Lignans from Fructus Arctii on Streptozotocin-Induced Diabetic Retinopathy in Wistar Rats. J. Ethnopharmacol. 2020, 255, 112773. [Google Scholar] [CrossRef] [PubMed]
- Nithya, R.; Jerold, P.; Siram, K. Cubosomes of Dapsone Enhanced Permeation across the Skin. J. Drug Deliv. Sci. Technol. 2018, 48, 75–81. [Google Scholar] [CrossRef]
- Elgindy, N.A.; Mehanna, M.M.; Mohyeldin, S.M. Self-Assembled Nano-Architecture Liquid Crystalline Particles as a Promising Carrier for Progesterone Transdermal Delivery. Int. J. Pharm. 2016, 501, 167–179. [Google Scholar] [CrossRef]
- Zewail, M.E.; Gaafar, P.M.; Ali, M.M.; Abbas, H. Lipidic Cubic-Phase Leflunomide Nanoparticles (Cubosomes) as a Potential Tool for Breast Cancer Management. Drug Deliv. 2022, 29, 1663–1674. [Google Scholar] [CrossRef]
- Gaudana, R.; Ananthula, H.K.; Parenky, A.; Mitra, A.K. Ocular Drug Delivery. AAPS J. 2010, 12, 348–360. [Google Scholar] [CrossRef]
- Varela-Fernández, R.; Díaz-Tomé, V.; Luaces-Rodríguez, A.; Conde-Penedo, A.; García-Otero, X.; Luzardo-Álvarez, A.; Fernández-Ferreiro, A.; Otero-Espinar, F. Drug Delivery to the Posterior Segment of the Eye: Biopharmaceutic and Pharmacokinetic Considerations. Pharmaceutics 2020, 12, 269. [Google Scholar] [CrossRef] [PubMed]
- Robinson, R.; Barathi, V.A.; Chaurasia, S.S.; Wong, T.Y.; Kern, T.S. Update on Animal Models of Diabetic Retinopathy: From Molecular Approaches to Mice and Higher Mammals. Dis. Models Mech. 2012, 5, 444–456. [Google Scholar] [CrossRef]
- Zheng, L.; Kern, T.S. In Vivo Models of Diabetic Retinopathy. In Experimental Approaches to Diabetic Retinopathy; Karger Medical and Scientific Publishers: Basel, Switzerland, 2010; pp. 42–60. [Google Scholar] [CrossRef]













| Group | Substance | No. of Animals with Sample Points | Average Weight (g) (Mean ± SD) | Treatment |
|---|---|---|---|---|
| I | PBS (pH 7.4) | 18 in each group and 3 at the same point | 218.27 ± 9.96 | A single SCJ injection of PBS pH 7.4, 50 µL |
| II | ST-CUBs | 18 in each group and 3 at the same point | 214.16 ± 5.76 | A single SCJ injection of ST-loaded cubic nanocarriers, 50 µL |
| III | ST-Suspension | 18 in each group and 3 at the same point | 210.38 ± 4.11 | A single SCJ injection of ST-Suspension, 50 µL |
| PK Parameters | Type of Formulation Administered to Left Eye of Rat | |||||
|---|---|---|---|---|---|---|
| Plasma | Vitreous Humor | Retina/Choroid | ||||
| ST-Suspension | ST-CUBs | ST-Suspension | ST-CUBs | ST-Suspension | ST-CUBs | |
| Cmax (ng/mL) | 349.67 ± 48.63 | 101.65 ± 17.60 **** | 46.83 ± 8.43 | 216.48 ± 21.72**** | 246.94 ± 43.14 | 820.75 ± 37.41 **** |
| Tmax (h) | 2 | 4 | 4 | 4 | 2 | 4 |
| Kel (h−1) | 0.0399 ± 0.031 | 0.0275 ± 0.003 * | 0.0340 ± 0.0012 | 0.0336 ± 0.005 * | 0.0561 ± 0.06 | 0.0420 ± 0.004 * |
| T1/2 (h) | 17.339 ± 0.645 | 25.156 ± 0.612 **** | 20.356 ± 0.864 | 20.579 ± 0.673 * | 12.338 ± 0.283 | 16.4756 ± 0.215 **** |
| AUC(0–24) (ng·h/mL) | 2016.0 ± 68.71 | 739.49 ± 39.54 **** | 332.05 ± 26.42 | 1679.93 ± 38.66 **** | 1572.6 ± 46.51 | 7896.24 ± 101.31 **** |
| AUC(24–∞) (ng·h/mL) | 237.10 ± 56.46 | 239.12 ± 29.52 * | 116.8699 ± 80.1 | 1115.99 ± 43.42 **** | 110.93 ± 91.27 | 2560.7 ± 45.66 **** |
| AUC(0–∞) (ng·h/mL) | 2253.1 ± 65.74 | 978.61 ± 32.09 *** | 448.92 ± 101.32 | 2795.92 ± 85.31 **** | 1683.5 ± 89.72 | 10,457.0 ± 189.63 **** |
| AUMC(0–24) (ng·h2/mL) | 11,869.1 ± 42.12 | 5177.9 ± 74.89 **** | 2363.7 ± 61.54 | 14,746.66 ± 86.12 **** | 9082.3 ± 55.8 | 61,660.7 ± 92.11 **** |
| AUMC(24–∞) (ng·h2/mL) | 11,623.2 ± 62.31 | 14,419.2 ± 94.3 **** | 6237.92 ± 55.8 | 59,924.4 ± 43.9 **** | 4637.4 ± 39.08 | 122,339.7 ± 60.1 **** |
| AUMC(0–∞) (ng·h2/mL) | 23,492.4 ± 90.98 | 19,597.2 ± 76.51 **** | 8601.6 ± 68.9 | 74,671.13 ± 62.3 **** | 13,719.8 ± 88.5 | 184,000.5 ± 81.69 **** |
| MRT(0–∞) (h) | 10.4262 ± 47.8 | 20.025 ± 39.4 ** | 19.1607 ± 45.3 | 26.707 ± 53.08 ** | 8.1494 ± 54.3 | 17.595 ± 52.96 ** |
| RB (Retina) (%) | 502.11 ± 10.24 | |||||
Disclaimer/Publisher’s Note: The statements, opinions and data contained in all publications are solely those of the individual author(s) and contributor(s) and not of MDPI and/or the editor(s). MDPI and/or the editor(s) disclaim responsibility for any injury to people or property resulting from any ideas, methods, instructions or products referred to in the content. |
© 2023 by the authors. Licensee MDPI, Basel, Switzerland. This article is an open access article distributed under the terms and conditions of the Creative Commons Attribution (CC BY) license (https://creativecommons.org/licenses/by/4.0/).
Share and Cite
Madhusudhan, S.; Gupta, N.V.; Rahamathulla, M.; Chidambaram, S.B.; Osmani, R.A.M.; Ghazwani, M.; Ahmed, M.M.; Farhana, S.A.; Sarhan, M.Y.; Tousif, A.H. Subconjunctival Delivery of Sorafenib-Tosylate-Loaded Cubosomes for Facilitated Diabetic Retinopathy Treatment: Formulation Development, Evaluation, Pharmacokinetic and Pharmacodynamic (PKPD) Studies. Pharmaceutics 2023, 15, 2419. https://doi.org/10.3390/pharmaceutics15102419
Madhusudhan S, Gupta NV, Rahamathulla M, Chidambaram SB, Osmani RAM, Ghazwani M, Ahmed MM, Farhana SA, Sarhan MY, Tousif AH. Subconjunctival Delivery of Sorafenib-Tosylate-Loaded Cubosomes for Facilitated Diabetic Retinopathy Treatment: Formulation Development, Evaluation, Pharmacokinetic and Pharmacodynamic (PKPD) Studies. Pharmaceutics. 2023; 15(10):2419. https://doi.org/10.3390/pharmaceutics15102419
Chicago/Turabian StyleMadhusudhan, Sharadha, Naresh Vishal Gupta, Mohamed Rahamathulla, Saravana Babu Chidambaram, Riyaz Ali M. Osmani, Mohammed Ghazwani, Mohammed Muqtader Ahmed, Syeda Ayesha Farhana, Mohammed Y. Sarhan, and Ahmed Hediyal Tousif. 2023. "Subconjunctival Delivery of Sorafenib-Tosylate-Loaded Cubosomes for Facilitated Diabetic Retinopathy Treatment: Formulation Development, Evaluation, Pharmacokinetic and Pharmacodynamic (PKPD) Studies" Pharmaceutics 15, no. 10: 2419. https://doi.org/10.3390/pharmaceutics15102419
APA StyleMadhusudhan, S., Gupta, N. V., Rahamathulla, M., Chidambaram, S. B., Osmani, R. A. M., Ghazwani, M., Ahmed, M. M., Farhana, S. A., Sarhan, M. Y., & Tousif, A. H. (2023). Subconjunctival Delivery of Sorafenib-Tosylate-Loaded Cubosomes for Facilitated Diabetic Retinopathy Treatment: Formulation Development, Evaluation, Pharmacokinetic and Pharmacodynamic (PKPD) Studies. Pharmaceutics, 15(10), 2419. https://doi.org/10.3390/pharmaceutics15102419

