Turning a Targeting β-Catenin/Bcl9 Peptide Inhibitor into a GdOF@Au Core/Shell Nanoflower for Enhancing Immune Response to Cancer Therapy in Combination with Immune Checkpoint Inhibitors
Abstract
:1. Introduction
2. Experimental Materials and Methods
2.1. Reagents Information
2.2. Solid-Phase Chemical Synthesis of Anti-Tumor Peptide Bcl9
2.3. Preparation of GdOFBAu
2.4. Characterization of Physicochemical Properties of GdOFBAu
2.4.1. HRETEM of GdOFBAu
2.4.2. FESTEM of GdOFBAu
2.4.3. FT–IR of GdOFBAu
2.4.4. UV–Vis of GdOFBAu
2.4.5. Granularity and Zeta Potential of GdOFBAu
2.4.6. XPS of GdOFBAu
2.4.7. XRD of GdOFBAu
2.4.8. Raman of GdOFBAu
2.5. Cell Culture, Apoptosis, Cell Cycle, and Western Blot Analysis
2.5.1. Cell Culture
2.5.2. Cell Apoptosis
2.5.3. Cell Cycle
2.5.4. Western Blot
2.6. Subcutaneous Xenograft Experiment in C57 Mice
2.7. The Detection of Biochemical Indicators of Tumor-Bearing Mice Blood
2.8. Statistical Analysis
3. Result
3.1. Construction and Characterization of GdOFBAu
3.2. GdOFBAu Inhibited Tumor Proliferation In Vitro by Suppressing the Wnt/Beta-Catenin Pathway
3.3. GdOFBAu Effectively Suppressed the Growth of Tumor In Vivo
3.4. GdOFBAu Enhanced the Tumor Response to Anti-PD1 Antibody Therapy In Vivo
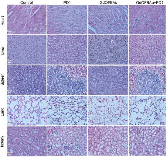
3.5. GdOFBAu Showed Good Biosafety during Treatment
4. Discussion
5. Conclusions
Supplementary Materials
Author Contributions
Funding
Institutional Review Board Statement
Informed Consent Statement
Data Availability Statement
Acknowledgments
Conflicts of Interest
References
- Hargadon, K.M.; Johnson, C.E.; Williams, C.J. Immune checkpoint blockade therapy for cancer: An overview of FDA-approved immune checkpoint inhibitors. Int. Immunopharmacol. 2018, 62, 29–39. [Google Scholar] [CrossRef] [PubMed]
- Hodi, F.S.; O’Day, S.J.; McDermott, D.F.; Weber, R.W.; Sosman, J.A.; Haanen, J.B.; Gonzalez, R.; Robert, C.; Schadendorf, D.; Hassel, J.C.; et al. Improved survival with ipilimumab in patients with metastatic melanoma. N. Engl. J. Med. 2010, 363, 711–723. [Google Scholar] [CrossRef] [PubMed]
- Schachter, J.; Ribas, A.; Long, G.V.; Arance, A.; Grob, J.J.; Mortier, L.; Daud, A.; Carlino, M.S.; McNeil, C.; Lotem, M.; et al. Pembrolizumab versus ipilimumab for advanced melanoma: Final overall survival results of a multicentre, randomised, open-label phase 3 study (KEYNOTE-006). Lancet 2017, 390, 1853–1862. [Google Scholar] [CrossRef]
- de Miguel, M.; Calvo, E. Clinical Challenges of Immune Checkpoint Inhibitors. Cancer Cell 2020, 38, 326–333. [Google Scholar] [CrossRef]
- Johnson, D.B.; Sullivan, R.J.; Menzies, A.M. Immune checkpoint inhibitors in challenging populations. Cancer 2017, 123, 1904–1911. [Google Scholar] [CrossRef] [Green Version]
- Bagchi, S.; Yuan, R.; Engleman, E.G. Immune Checkpoint Inhibitors for the Treatment of Cancer: Clinical Impact and Mechanisms of Response and Resistance. Annu. Rev. Pathol. 2021, 16, 223–249. [Google Scholar] [CrossRef]
- Jenkins, R.W.; Barbie, D.A.; Flaherty, K.T. Mechanisms of resistance to immune checkpoint inhibitors. Br. J. Cancer 2018, 118, 9–16. [Google Scholar] [CrossRef] [Green Version]
- Luke, J.J.; Bao, R.; Sweis, R.F.; Spranger, S.; Gajewski, T.F. WNT/beta-catenin Pathway Activation Correlates with Immune Exclusion across Human Cancers. Clin. Cancer. Res. 2019, 25, 3074–3083. [Google Scholar] [CrossRef] [Green Version]
- Castagnoli, L.; Cancila, V.; Cordoba-Romero, S.L.; Faraci, S.; Talarico, G.; Belmonte, B.; Iorio, M.V.; Milani, M.; Volpari, T.; Chiodoni, C.; et al. WNT signaling modulates PD-L1 expression in the stem cell compartment of triple-negative breast cancer. Oncogene 2019, 38, 4047–4060. [Google Scholar] [CrossRef] [Green Version]
- Merikhian, P.; Eisavand, M.R.; Farahmand, L. Triple-negative breast cancer: Understanding Wnt signaling in drug resistance. Cancer Cell Int. 2021, 21, 419. [Google Scholar] [CrossRef]
- Xue, J.; Yu, X.; Xue, L.; Ge, X.; Zhao, W.; Peng, W. Intrinsic beta-catenin signaling suppresses CD8+ T-cell infiltration in colorectal cancer. Biomed. Pharm. 2019, 115, 108921. [Google Scholar] [CrossRef] [PubMed]
- Spranger, S.; Dai, D.; Horton, B.; Gajewski, T.F. Tumor-Residing Batf3 Dendritic Cells Are Required for Effector T Cell Trafficking and Adoptive T Cell Therapy. Cancer Cell 2017, 31, 711–723.E4. [Google Scholar] [CrossRef] [PubMed] [Green Version]
- Spranger, S.; Bao, R.; Gajewski, T.F. Melanoma-intrinsic beta-catenin signalling prevents anti-tumour immunity. Nature 2015, 523, 231–235. [Google Scholar] [CrossRef] [PubMed]
- Li, L.; He, W.; You, W.; Yan, J.; Liu, W. Turing miRNA into infinite coordination supermolecule: A general and enabling nanoengineering strategy for resurrecting nuclear acid therapeutics. J. Nanobiotechnology 2022, 20, 10. [Google Scholar] [CrossRef] [PubMed]
- Liu, T.; Yan, J.; He, C.; You, W.; Ma, F.; Chang, Z.; Li, Y.; Han, S.; He, W.; Liu, W. A Tumor-Targeting Metal-Organic Nanoparticle Constructed by Dynamic Combinatorial Chemistry toward Accurately Redressing Carcinogenic Wnt Cascade. Small 2022, 18, e2104849. [Google Scholar] [CrossRef] [PubMed]
- He, W.; Zhang, Z.; Yang, W.; Zheng, X.; You, W.; Yao, Y.; Yan, J.; Liu, W. Turing milk into pro-apoptotic oral nanotherapeutic: De novo bionic chiral-peptide supramolecule for cancer targeted and immunological therapy. Theranostics 2022, 12, 2322–2334. [Google Scholar] [CrossRef]
- Liu, J.; Yan, J.; Yan, S.; Wang, Y.; Zhang, R.; Hou, P.; He, W.; Ji, M. Biomimetic and Self-Assembled Nanoclusters Targeting beta-Catenin for Potent Anticancer Therapy and Enhanced Immunotherapy. Nano Lett. 2019, 19, 8708–8715. [Google Scholar] [CrossRef]
- Cui, C.; Zhou, X.; Zhang, W.; Qu, Y.; Ke, X. Is beta-Catenin a Druggable Target for Cancer Therapy? Trends Biochem. Sci. 2018, 43, 623–634. [Google Scholar] [CrossRef]
- Lu, D.; Choi, M.Y.; Yu, J.; Castro, J.E.; Kipps, T.J.; Carson, D.A. Salinomycin inhibits Wnt signaling and selectively induces apoptosis in chronic lymphocytic leukemia cells. Proc. Natl. Acad. Sci. USA 2011, 108, 13253–13257. [Google Scholar] [CrossRef] [Green Version]
- Fujii, N.; You, L.; Xu, Z.; Uematsu, K.; Shan, J.; He, B.; Mikami, I.; Edmondson, L.R.; Neale, G.; Zheng, J.; et al. An antagonist of dishevelled protein-protein interaction suppresses beta-catenin-dependent tumor cell growth. Cancer Res. 2007, 67, 573–579. [Google Scholar] [CrossRef] [Green Version]
- de la Roche, M.; Worm, J.; Bienz, M. The function of BCL9 in Wnt/beta-catenin signaling and colorectal cancer cells. BMC Cancer 2008, 8, 199. [Google Scholar] [CrossRef] [PubMed] [Green Version]
- Vafaizadeh, V.; Buechel, D.; Rubinstein, N.; Kalathur, R.K.R.; Bazzani, L.; Saxena, M.; Valenta, T.; Hausmann, G.; Cantu, C.; Basler, K.; et al. The interactions of Bcl9/Bcl9L with beta-catenin and Pygopus promote breast cancer growth, invasion, and metastasis. Oncogene 2021, 40, 6195–6209. [Google Scholar] [CrossRef] [PubMed]
- Huge, N.; Sandbothe, M.; Schroder, A.K.; Stalke, A.; Eilers, M.; Schaffer, V.; Schlegelberger, B.; Illig, T.; Vajen, B.; Skawran, B. Wnt status-dependent oncogenic role of BCL9 and BCL9L in hepatocellular carcinoma. Hepatol. Int. 2020, 14, 373–384. [Google Scholar] [CrossRef] [PubMed] [Green Version]
- Gay, D.M.; Ridgway, R.A.; Muller, M.; Hodder, M.C.; Hedley, A.; Clark, W.; Leach, J.D.; Jackstadt, R.; Nixon, C.; Huels, D.J.; et al. Loss of BCL9/9l suppresses Wnt driven tumourigenesis in models that recapitulate human cancer. Nat. Commun. 2019, 10, 723. [Google Scholar] [CrossRef] [PubMed] [Green Version]
- Brown, T.C.; Nicolson, N.G.; Korah, R.; Carling, T. BCL9 Upregulation in Adrenocortical Carcinoma: A Novel Wnt/beta-Catenin Activating Event Driving Adrenocortical Malignancy. J. Am. Coll. Surg. 2018, 226, 988–995. [Google Scholar] [CrossRef]
- Elsarraj, H.S.; Hong, Y.; Valdez, K.E.; Michaels, W.; Hook, M.; Smith, W.P.; Chien, J.; Herschkowitz, J.I.; Troester, M.A.; Beck, M.; et al. Expression profiling of in vivo ductal carcinoma in situ progression models identified B cell lymphoma-9 as a molecular driver of breast cancer invasion. Breast Cancer Res. 2015, 17, 128. [Google Scholar] [CrossRef] [PubMed] [Green Version]
- Sampietro, J.; Dahlberg, C.L.; Cho, U.S.; Hinds, T.R.; Kimelman, D.; Xu, W. Crystal structure of a beta-catenin/BCL9/Tcf4 complex. Mol. Cell 2006, 24, 293–300. [Google Scholar] [CrossRef]
- Takada, K.; Zhu, D.; Bird, G.H.; Sukhdeo, K.; Zhao, J.J.; Mani, M.; Lemieux, M.; Carrasco, D.E.; Ryan, J.; Horst, D.; et al. Targeted disruption of the BCL9/beta-catenin complex inhibits oncogenic Wnt signaling. Sci. Transl. Med. 2012, 4, 148ra117. [Google Scholar] [CrossRef] [Green Version]
- Sang, P.; Zhang, M.; Shi, Y.; Li, C.; Abdulkadir, S.; Li, Q.; Ji, H.; Cai, J. Inhibition of beta-catenin/B cell lymphoma 9 protein-protein interaction using alpha-helix-mimicking sulfono-gamma-AApeptide inhibitors. Proc. Natl. Acad. Sci. USA 2019, 116, 10757–10762. [Google Scholar] [CrossRef] [Green Version]
- Yang, G.; Zhang, J.; You, W.; Zhao, X.; Hou, P.; He, W.; Yan, J.; Guo, H. Targeted disruption of the BCL9/beta-catenin interaction by endosomal-escapable nanoparticles functionalized with an E-cadherin-derived peptide. Nanotechnology 2020, 31, 115102. [Google Scholar] [CrossRef]
- Morris, M.C.; Depollier, J.; Mery, J.; Heitz, F.; Divita, G. A peptide carrier for the delivery of biologically active proteins into mammalian cells. Nat. Biotechnol. 2001, 19, 1173–1176. [Google Scholar] [CrossRef] [PubMed]
- Fosgerau, K.; Hoffmann, T. Peptide therapeutics: Current status and future directions. Drug Discov. Today 2015, 20, 122–128. [Google Scholar] [CrossRef] [PubMed] [Green Version]
- Raza, F.; Zafar, H.; You, X.; Khan, A.; Wu, J.; Ge, L. Cancer nanomedicine: Focus on recent developments and self-assembled peptide nanocarriers. J. Mater. Chem. B 2019, 7, 7639–7655. [Google Scholar] [CrossRef] [PubMed]
- Ma, B.; Niu, F.; Qu, X.; He, W.; Feng, C.; Wang, S.; Ouyang, Z.; Yan, J.; Wen, Y.; Xu, D.; et al. A tetrameric protein scaffold as a nano-carrier of antitumor peptides for cancer therapy. Biomaterials 2019, 204, 1–12. [Google Scholar] [CrossRef]
- Yang, R.; Gao, Y.; Ouyang, Z.; Shi, X.; Shen, M. Gold nanostar-based complexes applied for cancer theranostics. View 2022, 3, 20200171. [Google Scholar] [CrossRef]
- Sonali; Viswanadh, M.K.; Singh, R.P.; Agrawal, P.; Mehata, A.K.; Pawde, D.M.; Narendra; Sonkar, R.; Muthu, M.S. Nanotheranostics: Emerging Strategies for Early Diagnosis and Therapy of Brain Cancer. Nanotheranostics 2018, 2, 70–86. [Google Scholar] [CrossRef]
- Kowall, T.; Foglia, F.; Helm, L.; Merbach, A. Molecular dynamics simulation study of lanthanide ions Ln3+ in aqueous solution including water polarization. Change in coordination number from 9 to 8 along the series. J. Am. Chem. Soc. 1995, 117, 3790–3799. [Google Scholar] [CrossRef]
- Choppin, G.R.; Peterman, D.R. Applications of lanthanide luminescence spectroscopy to solution studies of coordination chemistry. Coord. Chem. Rev. 1998, 174, 283–299. [Google Scholar] [CrossRef]
- Yadav, B.D.; Kumar, V. Gd@ Au15: A magic magnetic gold cluster for cancer therapy and bioimaging. J. Appl. Phys. Lett. 2010, 97, 133701. [Google Scholar] [CrossRef] [Green Version]
- Zhang, H.-X.; Hu, C.-H.; Wang, D.-H.; Zhong, Y.; Zhou, H.-Y.; Rao, G.-H. Structural evolutions and electronic properties of AunGd (n = 6–15) small clusters: A first principles study. J. Chin. Phys. B 2018, 27, 083601. [Google Scholar] [CrossRef]
- Tang, S.; Zuo, C.; Huang, D.L.; Cai, X.Y.; Zhang, L.H.; Tian, C.L.; Zheng, J.S.; Liu, L. Chemical synthesis of membrane proteins by the removable backbone modification method. Nat. Protoc. 2017, 12, 2554–2569. [Google Scholar] [CrossRef] [PubMed]
- Zhang, J.; Yan, J.; Yang, Q.; Yan, Y.; Li, S.; Wang, L.; Li, C.; Lei, B.; Yang, G.; He, W. Arginine-modified dual emission photoluminescent nanocrystals for bioimaging at subcellular resolution. J. Biomater. Appl. 2017, 32, 533–542. [Google Scholar] [CrossRef] [PubMed]
- Yan, J.; He, W.; Li, N.; Yu, M.; Du, Y.; Lei, B.; Ma, P.X. Simultaneously targeted imaging cytoplasm and nucleus in living cell by biomolecules capped ultra-small GdOF nanocrystals. Biomaterials 2015, 59, 21–29. [Google Scholar] [CrossRef] [PubMed]
- Yan, J.; Yan, S.; Hou, P.; Lu, W.; Ma, P.X.; He, W.; Lei, B. A Hierarchical Peptide-Lanthanide Framework to Accurately Redress Intracellular Carcinogenic Protein-Protein Interaction. Nano Lett. 2019, 19, 7918–7926. [Google Scholar] [CrossRef]
- Yan, J.; Yao, Y.; Yan, S.; Gao, R.; Lu, W.; He, W. Chiral Protein Supraparticles for Tumor Suppression and Synergistic Immunotherapy: An Enabling Strategy for Bioactive Supramolecular Chirality Construction. Nano Lett. 2020, 20, 5844–5852. [Google Scholar] [CrossRef]
- Maeda, H.; Wu, J.; Sawa, T.; Matsumura, Y.; Hori, K. Tumor vascular permeability and the EPR effect in macromolecular therapeutics: A review. J. Control. Release 2000, 65, 271–284. [Google Scholar] [CrossRef]
- Du, Y.P.; Zhang, Y.W.; Sun, L.D.; Yan, C.H. Luminescent monodisperse nanocrystals of lanthanide oxyfluorides synthesized from trifluoroacetate precursors in high-boiling solvents. J. Phys. Chem. C 2008, 112, 405–415. [Google Scholar] [CrossRef]
- Shi, C.; Zhu, N.; Cao, Y.; Wu, P. Biosynthesis of gold nanoparticles assisted by the intracellular protein extract of Pycnoporus sanguineus and its catalysis in degradation of 4-nitroaniline. Nanoscale Res. Lett. 2015, 10, 147. [Google Scholar] [CrossRef] [Green Version]
- Bienz, M.; Clevers, H. Linking colorectal cancer to Wnt signaling. Cell 2000, 103, 311–320. [Google Scholar] [CrossRef] [Green Version]
- Xie, Y.; Xie, F.; Zhang, L.; Zhou, X.; Huang, J.; Wang, F.; Jin, J.; Zhang, L.; Zeng, L.; Zhou, F. Targeted Anti-Tumor Immunotherapy Using Tumor Infiltrating Cells. Adv. Sci. 2021, 8, 2101672. [Google Scholar] [CrossRef]
- Li, J.; Cai, H.; Dong, S.; Zhang, T.; Peng, C.; Shi, X.; Shen, M. A facile synthesis of size-and shape-controlled Gd(OH)3 nanoparticles and Gd (OH) 3@ Au core/shell nanostars. New J. Chem. 2017, 41, 15136–15143. [Google Scholar] [CrossRef]
- Jeon, I.S.; Yoo, J.D.; Gurung, S.; Kim, M.; Lee, C.; Park, E.J.; Park, R.W.; Lee, B.; Kim, S. Anticancer nanocage platforms for combined immunotherapy designed to harness immune checkpoints and deliver anticancer drugs. Biomaterials 2021, 270, 120685. [Google Scholar] [CrossRef] [PubMed]
- Feng, M.; Jin, J.Q.; Xia, L.; Xiao, T.; Mei, S.; Wang, X.; Huang, X.; Chen, J.; Liu, M.; Chen, C.; et al. Pharmacological inhibition of beta-catenin/BCL9 interaction overcomes resistance to immune checkpoint blockades by modulating Treg cells. Sci. Adv. 2019, 5, eaau5240. [Google Scholar] [CrossRef] [PubMed] [Green Version]
- Feng, M.; Wu, Z.; Zhou, Y.; Wei, Z.; Tian, E.; Mei, S.; Zhu, Y.; Liu, C.; He, F.; Li, H.; et al. BCL9 regulates CD226 and CD96 checkpoints in CD8(+) T cells to improve PD-1 response in cancer. Signal Transduct. Target. Ther. 2021, 6, 313. [Google Scholar] [CrossRef]







Publisher’s Note: MDPI stays neutral with regard to jurisdictional claims in published maps and institutional affiliations. |
© 2022 by the authors. Licensee MDPI, Basel, Switzerland. This article is an open access article distributed under the terms and conditions of the Creative Commons Attribution (CC BY) license (https://creativecommons.org/licenses/by/4.0/).
Share and Cite
You, W.; Ma, F.; Zhang, Z.; Yan, J. Turning a Targeting β-Catenin/Bcl9 Peptide Inhibitor into a GdOF@Au Core/Shell Nanoflower for Enhancing Immune Response to Cancer Therapy in Combination with Immune Checkpoint Inhibitors. Pharmaceutics 2022, 14, 1306. https://doi.org/10.3390/pharmaceutics14061306
You W, Ma F, Zhang Z, Yan J. Turning a Targeting β-Catenin/Bcl9 Peptide Inhibitor into a GdOF@Au Core/Shell Nanoflower for Enhancing Immune Response to Cancer Therapy in Combination with Immune Checkpoint Inhibitors. Pharmaceutics. 2022; 14(6):1306. https://doi.org/10.3390/pharmaceutics14061306
Chicago/Turabian StyleYou, Weiming, Fang Ma, Zhang Zhang, and Jin Yan. 2022. "Turning a Targeting β-Catenin/Bcl9 Peptide Inhibitor into a GdOF@Au Core/Shell Nanoflower for Enhancing Immune Response to Cancer Therapy in Combination with Immune Checkpoint Inhibitors" Pharmaceutics 14, no. 6: 1306. https://doi.org/10.3390/pharmaceutics14061306
APA StyleYou, W., Ma, F., Zhang, Z., & Yan, J. (2022). Turning a Targeting β-Catenin/Bcl9 Peptide Inhibitor into a GdOF@Au Core/Shell Nanoflower for Enhancing Immune Response to Cancer Therapy in Combination with Immune Checkpoint Inhibitors. Pharmaceutics, 14(6), 1306. https://doi.org/10.3390/pharmaceutics14061306
