Optimized Icariin Cubosomes Exhibit Augmented Cytotoxicity against SKOV-3 Ovarian Cancer Cells
Abstract
1. Introduction
2. Materials and Methods
2.1. Materials
2.2. Preparation of Blanks and ICA-Cubs
2.3. Optimization of the ICA-Loaded Cubosomal Formulations
2.4. Characterization of ICA-Cubs
2.4.1. Determination of Particle Size and the Polydispersity Index and ThermodynamicStability
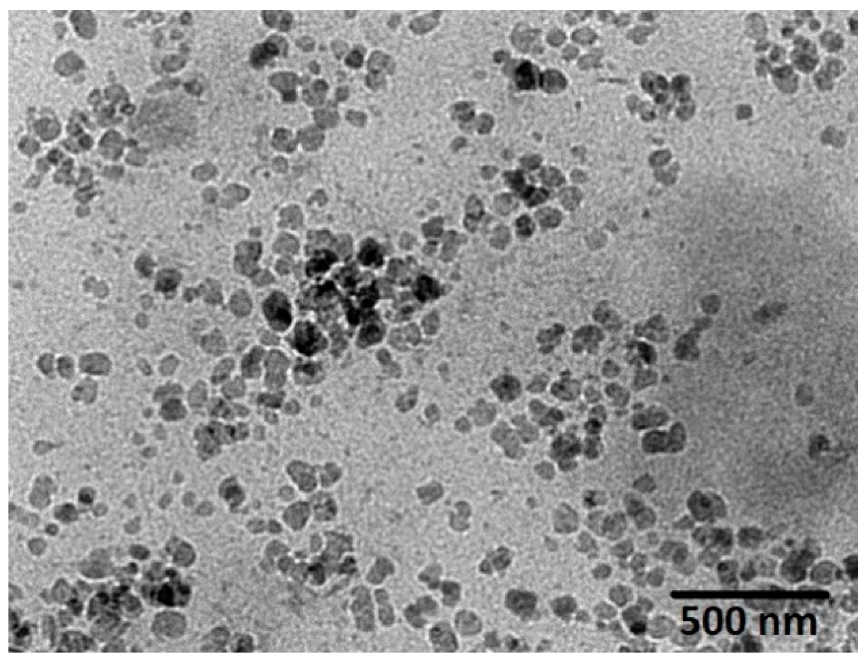
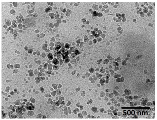
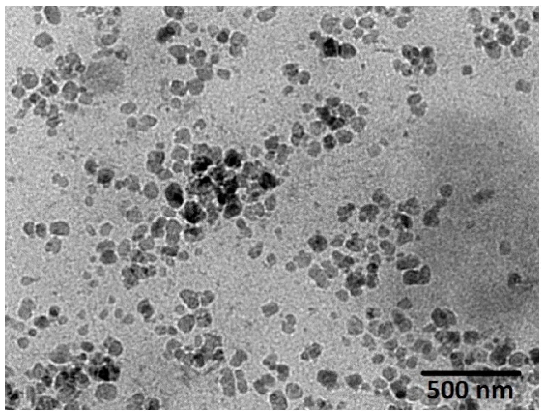
2.4.2. Transmission Electron Microscope Examination
2.4.3. Estimation of Entrapment Efficiency
2.4.4. Determination of Release Profile of ICA-Cubs
2.5. Evaluation of Cytotoxic Effects of Optimized ICA-Cubs on Ovarian Cancer Cells
2.5.1. Cell Culture and Maintenance
2.5.2. Cytotoxicity Study
2.5.3. Cell Cycle Analysis
2.5.4. Determination of Apoptotic Potential
2.5.5. Measurement of Reactive Oxygen Species Production
2.5.6. Measurement of Nitric Oxide Production
2.5.7. Determination of TNF-α
2.5.8. Analysis of Caspase-3
2.5.9. Enzyme-Linked Immunosorbent Assay for p53
2.6. Statistical Interpretations
3. Results
3.1. Optimization of the ICA-Cubs Using the Box‒Behnken Design
3.1.1. Particle Size of the ICA-Cubs
3.1.2. Entrapment Efficiency of ICA-Cubs
3.2. Characterization of the ICA-Loaded Cubosomal Formulations
3.2.1. Interpretation of the Transmission Electron Microscope Analysis
3.2.2. In Vitro Release Profile of ICA
3.3. Cell-Based Analysis Results of ICA-Cubs
3.3.1. Evaluation of In Vitro Cytotoxicity
3.3.2. Determination of Apoptotic Potential
3.3.3. Measurement of Reactive Oxygen Species Production
3.3.4. Measurement of TNF-α and Nitric Oxide Production
3.3.5. Caspase-3 and p53 Assay
4. Discussion
5. Conclusions
Author Contributions
Funding
Institutional Review Board Statement
Informed Consent Statement
Data Availability Statement
Conflicts of Interest
References
- Stewart, C.; Ralyea, C.; Lockwood, S. Ovarian Cancer: An Integrated Review. Semin. Oncol. Nurs. 2019, 35, 151–156. [Google Scholar] [CrossRef]
- Funston, G.; Hamilton, W.; Abel, G.; Crosbie, E.J.; Rous, B.; Walter, F.M. The diagnostic performance of CA125 for the detection of ovarian and non-ovarian cancer in primary care: A population-based cohort study. PLoS Med. 2020, 17, e1003295. [Google Scholar] [CrossRef] [PubMed]
- Lin, S.; Chang, C.; Hsu, C.; Tsai, M.; Cheng, H.; Leong, M.K.; Sung, P.; Chen, J.; Weng, C.-F. Natural compounds as potential adjuvants to cancer therapy: Preclinical evidence. Br. J. Pharmacol. 2020, 177, 1409–1423. [Google Scholar] [CrossRef] [PubMed]
- Gong, M.; Chi, C.; Ye, J.; Liao, M.; Xie, W.; Wu, C.; Shi, R.; Zhang, L. Icariin-loaded electrospun PCL/gelatin nanofiber membrane as potential artificial periosteum. Colloids Surf. B 2018, 170, 201–209. [Google Scholar] [CrossRef] [PubMed]
- Fahmy, U.A.; Aldawsari, H.M.; Badr-Eldin, S.M.; Ahmed, O.A.A.; Alhakamy, N.A.; Alsulimani, H.H.; Caraci, F.; Caruso, G. The Encapsulation of Febuxostat into Emulsomes Strongly Enhances the Cytotoxic Potential of the Drug on HCT 116 Colon Cancer Cells. Pharmaceutics 2020, 12, 956. [Google Scholar] [CrossRef] [PubMed]
- Ahmad, A.; Mishra, R.K.; Vyawahare, A.; Kumar, A.; Rehman, M.U.; Qamar, W.; Khan, A.Q.; Khan, R. Thymoquinone (2-Isopropyl-5-methyl-1, 4-benzoquinone) as a chemopreventive/anticancer agent: Chemistry and biological effects. Saudi Pharm. J. 2019, 27, 1113–1126. [Google Scholar] [CrossRef]
- Alhakamy, N.A.; Fahmy, U.A.; Badr-Eldin, S.M.; Ahmed, O.A.A.; Asfour, H.Z.; Aldawsari, H.M.; Algandaby, M.M.; Eid, B.G.; Abdel-Naim, A.B.; Awan, Z.A.; et al. Optimized icariin phytosomes exhibit enhanced cytotoxicity and apoptosis-inducing activities in ovarian cancer cells. Pharmaceutics 2020, 12, 346. [Google Scholar] [CrossRef]
- Li, J.; Jiang, K.; Zhao, F. Icariin regulates the proliferation and apoptosis of human ovarian cancer cells through microRNA-21 by targeting PTEN, RECK and Bcl-2. Oncol. Rep. 2015, 33, 2829–2836. [Google Scholar] [CrossRef]
- Han, N.; Zhang, B.; Wei, X.; Yu, L. The inhibitory function of icariin in cell model of benign prostatic hyperplasia by upregulation of miR-7. BioFactors 2019, 1–11. [Google Scholar] [CrossRef]
- Tan, H.-L.; Chan, K.-G.; Pusparajah, P.; Saokaew, S.; Duangjai, A.; Lee, L.-H.; Goh, B.-H. Anti-Cancer Properties of the Naturally Occurring Aphrodisiacs: Icariin and Its Derivatives. Front. Pharmacol. 2016, 7, 191. [Google Scholar] [CrossRef]
- Cheng, X.; Tan, S.; Duan, F.; Yuan, Q.; Li, Q.; Deng, G. Icariin induces apoptosis by suppressing autophagy in tamoxifen-resistant breast cancer cell line MCF-7/TAM. Breast Cancer 2019, 26, 766–775. [Google Scholar] [CrossRef] [PubMed]
- Wang, Y.; Dong, H.; Zhu, M.; Ou, Y.; Zhang, J.; Luo, H.; Luo, R.; Wu, J.; Mao, M.; Liu, X.; et al. Icariin exterts negative effects on human gastric cancer cell invasion and migration by vasodilator-stimulated phosphoprotein via Rac1 pathway. Eur. J. Pharmacol. 2010, 635, 40–48. [Google Scholar] [CrossRef] [PubMed]
- Tian, M.; Yang, S.; Yan, X. Icariin reduces human colon carcinoma cell growth and metastasis by enhancing p53 activities. Braz. J. Med. Biol. Res. 2018, 51, e7151. [Google Scholar] [CrossRef]
- Wang, Q.-S.; Wang, G.-F.; Zhou, J.; Gao, L.; Cui, Y.-L. Colon targeted oral drug delivery system based on alginate-chitosan microspheres loaded with icariin in the treatment of ulcerative colitis. Int. J. Pharm. 2016, 515, 176–185. [Google Scholar] [CrossRef] [PubMed]
- Cheng, T.; Sheng, T.; Yi, Y.; Zhang, T.; Han, H. Metabolism profiles of icariin in rats using ultra-high performance liquid chromatography coupled with quadrupole time-of-flight tandem mass spectrometry and in vitro enzymatic study. J. Chromatogr. B 2016, 1033–1034, 353–360. [Google Scholar] [CrossRef] [PubMed]
- Choudhury, H.; Pandey, M.; Yin, T.H.; Kaur, T.; Jia, G.W.; Tan, S.L.; Weijie, H.; Yang, E.K.S.; Keat, C.G.; Bhattamishra, S.K.; et al. Rising horizon in circumventing multidrug resistance in chemotherapy with nanotechnology. Mater. Sci. Eng. C 2019, 101, 596–613. [Google Scholar] [CrossRef]
- Gorain, B.; Choudhury, H.; Nair, A.B.; Dubey, S.K.; Kesharwani, P. Theranostic application of nanoemulsions in chemotherapy. Drug Discov. Today 2020, 25, 1174–1188. [Google Scholar] [CrossRef]
- Han, L.-Y.; Wu, Y.-L.; Zhu, C.-Y.; Wu, C.-S.; Yang, C.-R. Improved pharmacokinetics of icariin (ICA) within formulation of PEG-PLLA/PDLA-PNIPAM polymeric micelles. Pharmaceutics 2019, 11, 51. [Google Scholar] [CrossRef]
- Murgia, S.; Bonacchi, S.; Falchi, A.M.; Lampis, S.; Lippolis, V.; Meli, V.; Monduzzi, M.; Prodi, L.; Schmidt, J.; Talmon, Y.; et al. Drug-Loaded Fluorescent Cubosomes: Versatile Nanoparticles for Potential Theranostic Applications. Langmuir 2013, 29, 6673–6679. [Google Scholar] [CrossRef]
- Barriga, H.M.G.; Holme, M.N.; Stevens, M.M. Cubosomes: The Next Generation of Smart Lipid Nanoparticles? Angew. Chem. Int. Ed. 2019, 58, 2958–2978. [Google Scholar] [CrossRef]
- Goralchuk, A.; Grinchenko, O.; Riabets, O.; Kotlyar, O. Food dispersion systems process stabilization. A review. Ukr. Food J. 2019, 8, 699–732. [Google Scholar] [CrossRef]
- Kojarunchitt, T.; Hook, S.; Rizwan, S.; Rades, T.; Baldursdottir, S. Development and characterisation of modified poloxamer 407 thermoresponsive depot systems containing cubosomes. Int. J. Pharm. 2011, 408, 20–26. [Google Scholar] [CrossRef] [PubMed]
- Nasr, M.; Ghorab, M.K.; AbdElazem, A. In vitro and in vivo evaluation of cubosomes containing 5-fluorouracil for liver targeting. Acta Pharm. Sin. B 2015, 5, 79–88. [Google Scholar] [CrossRef] [PubMed]
- Nasr, M.; Younes, H.; Abdel-Rashid, R.S. Formulation and evaluation of cubosomes containing colchicine for transdermal delivery. Drug Deliv. Transl. Res. 2020, 10, 1302–1313. [Google Scholar] [CrossRef] [PubMed]
- Alhakamy, N.A.; Badr-Eldin, S.M.; Fahmy, U.A.; Alruwaili, N.K.; Awan, Z.A.; Caruso, G.; Alfaleh, M.A.; Alaofi, A.L.; Arif, F.O.; Ahmed, O.A.A.; et al. Thymoquinone-Loaded Soy-Phospholipid-Based Phytosomes Exhibit Anticancer Potential against Human Lung Cancer Cells. Pharmaceutics 2020, 12, 761. [Google Scholar] [CrossRef]
- Deng, G.; Wang, H.; Yao, T. Simultaneous determination of four saponins and icariin in “Qihuotongqiao” tablets by a high performance liquid chromatography—DAD method. Asian J. Pharm. Sci. 2009, 4, 115–120. [Google Scholar]
- Gorain, B.; Choudhury, H.; Kundu, A.; Sarkar, L.; Karmakar, S.; Jaisankar, P.; Pal, T.K. Nanoemulsion strategy for olmesartan medoxomil improves oral absorption and extended antihypertensive activity in hypertensive rats. Colloids Surf. B 2014, 115, 286–294. [Google Scholar] [CrossRef]
- Aldawsari, H.M.; Alhakamy, N.A.; Padder, R.; Husain, M.; Shadab, M. Preparation and Characterization of Chitosan Coated PLGA Nanoparticles of Resveratrol: Improved Stability, Antioxidant and Apoptotic Activities in H1299 Lung Cancer Cells. Coatings 2020, 10, 439. [Google Scholar] [CrossRef]
- Akrawi, S.H.; Gorain, B.; Nair, A.B.; Choudhury, H.; Pandey, M.; Shah, J.N.; Venugopala, K.N. Development and optimization of naringenin-loaded chitosan-coated nanoemulsion for topical therapy in wound healing. Pharmaceutics 2020, 12, 893. [Google Scholar] [CrossRef]
- Alfaifi, M.Y.; Elbehairi, S.I.; Shati, A.A.; Fahmy, U.A.; Alhakamy, N.A.; Md, S. Ellagic acid loaded TPGS micelles for enhanced anticancer activities in ovarian cancer. Int. J. Pharmacol. 2020, 16, 63–71. [Google Scholar] [CrossRef]
- Alhakamy, N.A.; Shadab, M. Repurposing itraconazole loaded PLGA nanoparticles for improved antitumor efficacy in non-small cell lung cancers. Pharmaceutics 2019, 11, 685. [Google Scholar] [CrossRef] [PubMed]
- Shadab, M.; Alhakamy, N.A.; Aldawsari, H.M.; Husain, M.; Kotta, S.; Abdullah, S.T.; Fahmy, U.A.; AlFaleh, M.A.; Asfour, H.Z. Formulation Design, Statistical Optimization, and In Vitro Evaluation of a Naringenin Nanoemulsion to Enhance Apoptotic Activity in A549 Lung Cancer Cells. Pharmaceuticals 2020, 13, 152. [Google Scholar]
- Mi, B.; Wang, J.; Liu, Y.; Liu, J.; Hu, L.; Panayi, A.C.; Liu, G.; Zhou, W. Icariin activates autophagy via down-regulation of the NF-κB signaling-mediated apoptosis in chondrocytes. Front. Pharmacol. 2018, 9, 605. [Google Scholar] [CrossRef] [PubMed]
- Kong, L.; Liu, J.; Wang, J.; Luo, Q.; Zhang, H.; Liu, B.; Xu, F.; Pang, Q.; Liu, Y.; Dong, J. Icariin inhibits TNF-α/IFN-γ induced inflammatory response via inhibition of the substance P and p38-MAPK signaling pathway in human keratinocytes. Int. Immunopharmacol. 2015, 29, 401–407. [Google Scholar] [CrossRef] [PubMed]
- Lv, Y.; He, H.; Qi, J.; Lu, Y.; Zhao, W.; Dong, X.; Wu, W. Visual validation of the measurement of entrapment efficiency of drug nanocarriers. Int. J. Pharm. 2018, 547, 395–403. [Google Scholar] [CrossRef]
- Caneba, C.A.; Yang, L.; Baddour, J.; Curtis, R.; Win, J.; Hartig, S.; Marini, J.; Nagrath, D. Nitric oxide is a positive regulator of the Warburg effect in ovarian cancer cells. Cell Death Dis. 2014, 5, e1302. [Google Scholar] [CrossRef]
- Anwar, M.M.; Abd El-Karim, S.S.; Mahmoud, A.H.; Amr, A.E.-G.E.; Al-Omar, M.A. A Comparative Study of the Anticancer Activity and PARP-1 Inhibiting Effect of Benzofuran-Pyrazole Scaffold and Its Nano-Sized Particles in Human Breast Cancer Cells. Molecules 2019, 24, 2413. [Google Scholar] [CrossRef]
- Shadab, M.; Alhakamy, N.A.; Aldawsari, H.M.; Asfour, H.Z. Neuroprotective and Antioxidant Effect of Naringenin-Loaded Nanoparticles for Nose-to-Brain Delivery. Brain Sci. 2019, 9, 275. [Google Scholar]
- Choudhury, H.; Gorain, B.; Chatterjee, B.; Mandal, U.K.; Sengupta, P.; Tekade, R.K. Pharmacokinetic and pharmacodynamic features of nanoemulsion following oral, intravenous, topical and nasal route. Curr. Pharm. Des. 2017, 23, 2504–2531. [Google Scholar] [CrossRef]
- Xu, L.; Xu, D.; Li, Z.; Gao, Y.; Chen, H. Synthesis and potent cytotoxic activity of a novel diosgenin derivative and its phytosomes against lung cancer cells. Beilstein J. Nanotechnol. 2019, 10, 1933–1942. [Google Scholar] [CrossRef]
- Zhang, G.; Gurtu, V.; Kain, S.R.; Yan, G. Early detection of apoptosis using a fluorescent conjugate of annexin V. Biotechniques 1997, 23, 525–531. [Google Scholar] [CrossRef] [PubMed]
- Holtz, R.W. In vtro methods to screen materials for anti-aging effects. In Skin Aging Handbook; Elsevier Inc.: Amsterdam, The Netherlands, 2009; pp. 329–362. ISBN 9780815515845. [Google Scholar]
- Jiang, Y.; Yu, X.; Su, C.; Zhao, L.; Shi, Y. Chitosan nanoparticles induced the antitumor effect in hepatocellular carcinoma cells by regulating ROS-mediated mitochondrial damage and endoplasmic reticulum stress. Artif. Cells Nanomed. Biotechnol. 2019, 47, 747–756. [Google Scholar]
- Wang, X.; Lin, Y. Tumor necrosis factor and cancer, buddies or foes? Acta Pharmacol. Sin. 2008, 29, 1275–1288. [Google Scholar] [CrossRef] [PubMed]
- Deng, X.; Wu, W.; Liang, H.; Huang, D.; Jing, D.; Zheng, D.; Shao, Z. Icariin Prevents IL-1 β-Induced Apoptosis in Human Nucleus Pulposus via the PI3K/AKT Pathway. Evid. Based Complement. Altern. Med. 2017, 2017, 1–12. [Google Scholar] [CrossRef] [PubMed]
- Ma, P.; Zhang, S.; Su, X.; Qiu, G.; Wu, Z. Protective effects of icariin on cisplatin-induced acute renal injury in mice. Am. J. Transl. Res. 2015, 7, 2105–2114. [Google Scholar]














| Run | Values of Independent Variables | Dependent Variable (Y) | |||||
|---|---|---|---|---|---|---|---|
| ICA Concentration (mg/g) | GMO Concentration (g/g) | P407 Concentration (mg/g) | Particle Size (nm) | Entrapment Efficiency (%) | |||
| Actual | Predicted | Actual | Predicted | ||||
| 1 | 100 | 0.80 | 78.00 | 103.2 ± 1.21 | 104.67 | 91.8 ± 1.50 | 91.93 |
| 2 | 100 | 0.60 | 78.00 | 99.5 ± 3.15 | 94.25 | 78.3 ± 2.11 | 78.00 |
| 3 | 150 | 0.80 | 78.00 | 112.2 ± 4.86 | 112.00 | 97.9 ± 5.32 | 98.71 |
| 4 | 50 | 0.60 | 78.00 | 141.6 ± 3.71 | 139.75 | 88.9 ± 2.25 | 90.34 |
| 5 | 150 | 0.80 | 78.00 | 117.7 ± 4.38 | 112.00 | 97.3 ± 3.22 | 98.71 |
| 6 | 100 | 0.80 | 31.00 | 105.1 ± 4.12 | 104.67 | 91.9 ± 3.31 | 91.93 |
| 7 | 50 | 0.80 | 78.00 | 108.3 ± 4.41 | 113.00 | 80.8 ± 1.11 | 79.39 |
| 8 | 100 | 1.00 | 78.00 | 183.6 ± 6.37 | 179.25 | 83.1 ± 4.42 | 83.08 |
| 9 | 150 | 0.80 | 31.00 | 179.2 ± 2.12 | 179.25 | 96.9 ± 2.25 | 95.19 |
| 10 | 50 | 0.80 | 125.00 | 97.3 ± 4.25 | 93.50 | 96.1 ± 2.81 | 94.36 |
| 11 | 100 | 0.80 | 78.00 | 106.5 ± 3.21 | 104.67 | 92.1 ± 3.34 | 91.93 |
| 12 | 150 | 1.00 | 31.00 | 88.2 ± 2.22 | 89.25 | 90.3 ± 0.62 | 88.86 |
| 13 | 100 | 1.00 | 78.00 | 73.1 ± 2.15 | 76.75 | 94.3 ± 0.87 | 94.33 |
| 14 | 100 | 0.80 | 125.00 | 139.5 ± 3.24 | 143.75 | 98.5 ± 1.10 | 98.80 |
| 15 | 50 | 0.60 | 31.00 | 78.0 | 77.75 | 85.4 | 87.11 |
| 16 | 100 | 1.00 | 125.00 | 103.0 | 104.67 | 91.8 | 91.93 |
| 17 | 100 | 0.60 | 125.00 | 99.0 | 94.25 | 78.3 | 78.00 |
| Independent variable | Levels | ||||||
| Low (−1) | Medium (0) | High (1) | |||||
| ICA concentration (mg/g) | 50 | 100 | 150 | ||||
| GMO concentration (g/g) | 0.6 | 0.8 | 1.0 | ||||
| P407 concentration (mg/g) | 31 | 78 | 125 | ||||
| Source | Sum of Squares | F-Ratio | p-Value |
|---|---|---|---|
| A:ICA | 1300.5 | 41.77 | 0.0013 |
| B:GMO | 11,552.0 | 371.05 | 0.0000 |
| C:P407 | 1404.5 | 45.11 | 0.0011 |
| AA | 80.4103 | 2.58 | 0.1689 |
| AB | 196.0 | 6.30 | 0.0539 |
| AC | 49.0 | 1.57 | 0.2651 |
| BB | 546.564 | 17.56 | 0.0086 |
| BC | 81.0 | 2.60 | 0.1677 |
| CC | 164.103 | 5.27 | 0.0701 |
| Total error | 155.667 | ||
| Total (corr.) | 15,448.4 |
| Source | Sum of Squares | F-Ratio | p-Value |
|---|---|---|---|
| A:ICA | 21.78 | 5.38 | 0.0682 |
| B:GMO | 45.6013 | 11.26 | 0.0202 |
| C:P407 | 513.601 | 126.79 | 0.0001 |
| AA | 2.3141 | 0.57 | 0.4838 |
| AB | 2.4025 | 0.59 | 0.4760 |
| AC | 1.1025 | 0.27 | 0.6242 |
| BB | 2.17026 | 0.54 | 0.4970 |
| BC | 0.09 | 0.02 | 0.8873 |
| CC | 25.281 | 6.24 | 0.0546 |
| Total error | 20.2542 | ||
| Total (corr.) | 632.429 |
Publisher’s Note: MDPI stays neutral with regard to jurisdictional claims in published maps and institutional affiliations. |
© 2020 by the authors. Licensee MDPI, Basel, Switzerland. This article is an open access article distributed under the terms and conditions of the Creative Commons Attribution (CC BY) license (http://creativecommons.org/licenses/by/4.0/).
Share and Cite
Fahmy, U.A.; Fahmy, O.; Alhakamy, N.A. Optimized Icariin Cubosomes Exhibit Augmented Cytotoxicity against SKOV-3 Ovarian Cancer Cells. Pharmaceutics 2021, 13, 20. https://doi.org/10.3390/pharmaceutics13010020
Fahmy UA, Fahmy O, Alhakamy NA. Optimized Icariin Cubosomes Exhibit Augmented Cytotoxicity against SKOV-3 Ovarian Cancer Cells. Pharmaceutics. 2021; 13(1):20. https://doi.org/10.3390/pharmaceutics13010020
Chicago/Turabian StyleFahmy, Usama A., Omar Fahmy, and Nabil A. Alhakamy. 2021. "Optimized Icariin Cubosomes Exhibit Augmented Cytotoxicity against SKOV-3 Ovarian Cancer Cells" Pharmaceutics 13, no. 1: 20. https://doi.org/10.3390/pharmaceutics13010020
APA StyleFahmy, U. A., Fahmy, O., & Alhakamy, N. A. (2021). Optimized Icariin Cubosomes Exhibit Augmented Cytotoxicity against SKOV-3 Ovarian Cancer Cells. Pharmaceutics, 13(1), 20. https://doi.org/10.3390/pharmaceutics13010020

