Anionic Long-Circulating Quantum Dots for Long-Term Intravital Vascular Imaging
Abstract
1. Introduction
2. Materials and Methods
2.1. Chemicals and Cells
2.2. Animal Models
2.3. Quantification of the QD Concentration in Plasma
2.4. MPM-FLIM
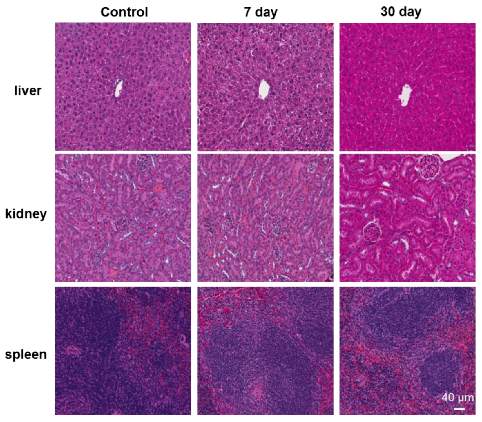
2.5. Histological Analysis
2.6. Data Analysis
3. Results
4. Discussion
Author Contributions
Funding
Conflicts of Interest
References
- Lewis, J.D.; Destito, G.; Zijlstra, A.; Gonzalez, M.J.; Quigley, J.P.; Manchester, M.; Stuhlmann, H. Viral nanoparticles as tools for intravital vascular imaging. Nat. Med. 2006, 12, 354–360. [Google Scholar] [CrossRef] [PubMed]
 - Hilderbrand, S.A.; Weissleder, R. Near-infrared fluorescence: Application to in vivo molecular imaging. Curr. Opin. Chem. Biol. 2010, 14, 71–79. [Google Scholar] [CrossRef] [PubMed]
 - Liang, X.; Grice, J.E.; Zhu, Y.; Liu, D.; Sanchez, W.Y.; Li, Z.; Crawford, D.H.; Le Couteur, D.G.; Cogger, V.C.; Liu, X.; et al. Intravital Multiphoton Imaging of the Selective Uptake of Water-Dispersible Quantum Dots into Sinusoidal Liver Cells. Small 2014. [Google Scholar] [CrossRef] [PubMed]
 - Liang, X.W.; Wang, H.L.; Grice, J.E.; Li, L.; Liu, X.; Xu, Z.P.; Roberts, M.S. Physiologically Based Pharmacokinetic Model for Long-Circulating Inorganic Nanoparticles. Nano Lett. 2016, 16, 939–945. [Google Scholar] [CrossRef] [PubMed]
 - Liang, X.W.; Wang, H.L.; Zhu, Y.; Zhang, R.; Cogger, V.C.; Liu, X.; Xu, Z.P.; Grice, J.E.; Roberts, M.S. Short- and Long-Term Tracking of Anionic Ultrasmall Nanoparticles in Kidney. Acs Nano 2016, 10, 387–395. [Google Scholar] [CrossRef] [PubMed]
 - Cai, W.B.; Shin, D.W.; Chen, K.; Gheysens, O.; Cao, Q.Z.; Wang, S.X.; Gambhir, S.S.; Chen, X.Y. Peptide-labeled near-infrared quantum dots for imaging tumor vasculature in living subjects. Nano Lett. 2006, 6, 669–676. [Google Scholar] [CrossRef] [PubMed]
 - Smith, B.R.; Cheng, Z.; De, A.; Koh, A.L.; Sinclair, R.; Gambhir, S.S. Real-time intravital imaging of RGD-quantum dot binding to luminal endothelium in mouse tumor neovasculature. Nano Lett. 2008, 8, 2599–2606. [Google Scholar] [CrossRef] [PubMed]
 - Wang, H.L.; Liang, X.W.; Mohammed, Y.H.; Thomas, J.A.; Bridle, K.R.; Thorling, C.A.; Grice, J.E.; Xu, Z.P.; Liu, X.; Crawford, D.H.G.; et al. Real-time histology in liver disease using multiphoton microscopy with fluorescence lifetime imaging. Biomed. Opt. Express 2015, 6, 780–792. [Google Scholar] [CrossRef] [PubMed]
 - Wang, H.; Thorling, C.A.; Xu, Z.P.; Crawford, D.H.G.; Liang, X.; Liu, X.; Roberts, M.S. Visualization and Modeling of the In Vivo Distribution of Mesenchymal Stem Cells. Curr. Protoc. Stem Cell Biol. 2017, 43, 2B.8.1–2B.8.17. [Google Scholar] [PubMed]
 - Thorling, C.A.; Liu, X.; Burczynski, F.J.; Fletcher, L.M.; Gobe, G.C.; Roberts, M.S. Multiphoton microscopy can visualize zonal damage and decreased cellular metabolic activity in hepatic ischemia-reperfusion injury in rats. J. Biomed. Opt. 2011, 16. [Google Scholar] [CrossRef] [PubMed]
 - Lakowicz, J.R.; Szmacinski, H.; Nowaczyk, K.; Berndt, K.W.; Johnson, M. Fluorescence Lifetime Imaging. Anal. Biochem. 1992, 202, 316–330. [Google Scholar] [CrossRef]
 - Zhu, Y.; Li, Z.; Chen, M.; Cooper, H.M.; Lu, G.Q.; Xu, Z.P. One-pot preparation of highly fluorescent cadmium telluride/cadmium sulfide quantum dots under neutral-pH condition for biological applications. J. Colloid Interf. Sci. 2013, 390, 3–10. [Google Scholar] [CrossRef] [PubMed]
 - Zipfel, W.R.; Williams, R.M.; Webb, W.W. Nonlinear magic: multiphoton microscopy in the biosciences. Nat. Biotechnol. 2003, 21, 1368–1376. [Google Scholar] [CrossRef] [PubMed]
 - Wang, B.G.; Konig, K.; Halbhuber, K.J. Two-photon microscopy of deep intravital tissues and its merits in clinical research. J. Microsc-Oxford 2010, 238, 1–20. [Google Scholar] [CrossRef] [PubMed]
 - Kairdolf, B.A.; Smith, A.M.; Stokes, T.H.; Wang, M.D.; Young, A.N.; Nie, S. Semiconductor quantum dots for bioimaging and biodiagnostic applications. Annu. Rev. Anal. Chem. (Palo Alto Calif.) 2013, 6, 143–162. [Google Scholar] [CrossRef] [PubMed]
 - Bergers, G.; Benjamin, L.E. Tumorigenesis and the angiogenic switch. Nat. Rev. Cancer 2003, 3, 401–410. [Google Scholar] [CrossRef] [PubMed]
 - Liu, Z.A.; Peng, R. Inorganic nanomaterials for tumor angiogenesis imaging. Eur. J. Nucl. Med. Mol. I 2010, 37, S147–S163. [Google Scholar] [CrossRef] [PubMed]
 - Cai, W.B.; Chen, X.Y. Multimodality molecular imaging of tumor angiogenesis. J. Nucl. Med. 2008, 49, 113s–128s. [Google Scholar] [CrossRef] [PubMed]
 - Jain, R.K.; Munn, L.L.; Fukumura, D. Dissecting tumour pathophysiology using intravital microscopy. Nat. Rev. Cancer 2002, 2, 266–276. [Google Scholar] [CrossRef] [PubMed]
 





| Parameter (Unit) | Value | Parameter (Unit) | Value | 
|---|---|---|---|
| CL (mL/h) | 0.006 | k12 (h−1) | 0.075 | 
| Vc (mL) | 3.11 | k21 (h−1) | 0.014 | 
| CLd (mL/h) | 0.23 | t1/2α (h) | 7.67 | 
| Vss (mL) | 20.38 | t1/2β (h) | 2363.19 | 
© 2018 by the authors. Licensee MDPI, Basel, Switzerland. This article is an open access article distributed under the terms and conditions of the Creative Commons Attribution (CC BY) license (http://creativecommons.org/licenses/by/4.0/).
Share and Cite
Wang, H.; Yang, H.; Xu, Z.P.; Liu, X.; Roberts, M.S.; Liang, X. Anionic Long-Circulating Quantum Dots for Long-Term Intravital Vascular Imaging. Pharmaceutics 2018, 10, 244. https://doi.org/10.3390/pharmaceutics10040244
Wang H, Yang H, Xu ZP, Liu X, Roberts MS, Liang X. Anionic Long-Circulating Quantum Dots for Long-Term Intravital Vascular Imaging. Pharmaceutics. 2018; 10(4):244. https://doi.org/10.3390/pharmaceutics10040244
Chicago/Turabian StyleWang, Haolu, Haotian Yang, Zhi Ping Xu, Xin Liu, Michael S. Roberts, and Xiaowen Liang. 2018. "Anionic Long-Circulating Quantum Dots for Long-Term Intravital Vascular Imaging" Pharmaceutics 10, no. 4: 244. https://doi.org/10.3390/pharmaceutics10040244
APA StyleWang, H., Yang, H., Xu, Z. P., Liu, X., Roberts, M. S., & Liang, X. (2018). Anionic Long-Circulating Quantum Dots for Long-Term Intravital Vascular Imaging. Pharmaceutics, 10(4), 244. https://doi.org/10.3390/pharmaceutics10040244
        
