Efficient Co-Replication of Defective Novirhabdovirus
Abstract
:1. Introduction
2. Materials and Methods
2.1. Cells and Virus
2.2. Recovery of rVHSV-GFP
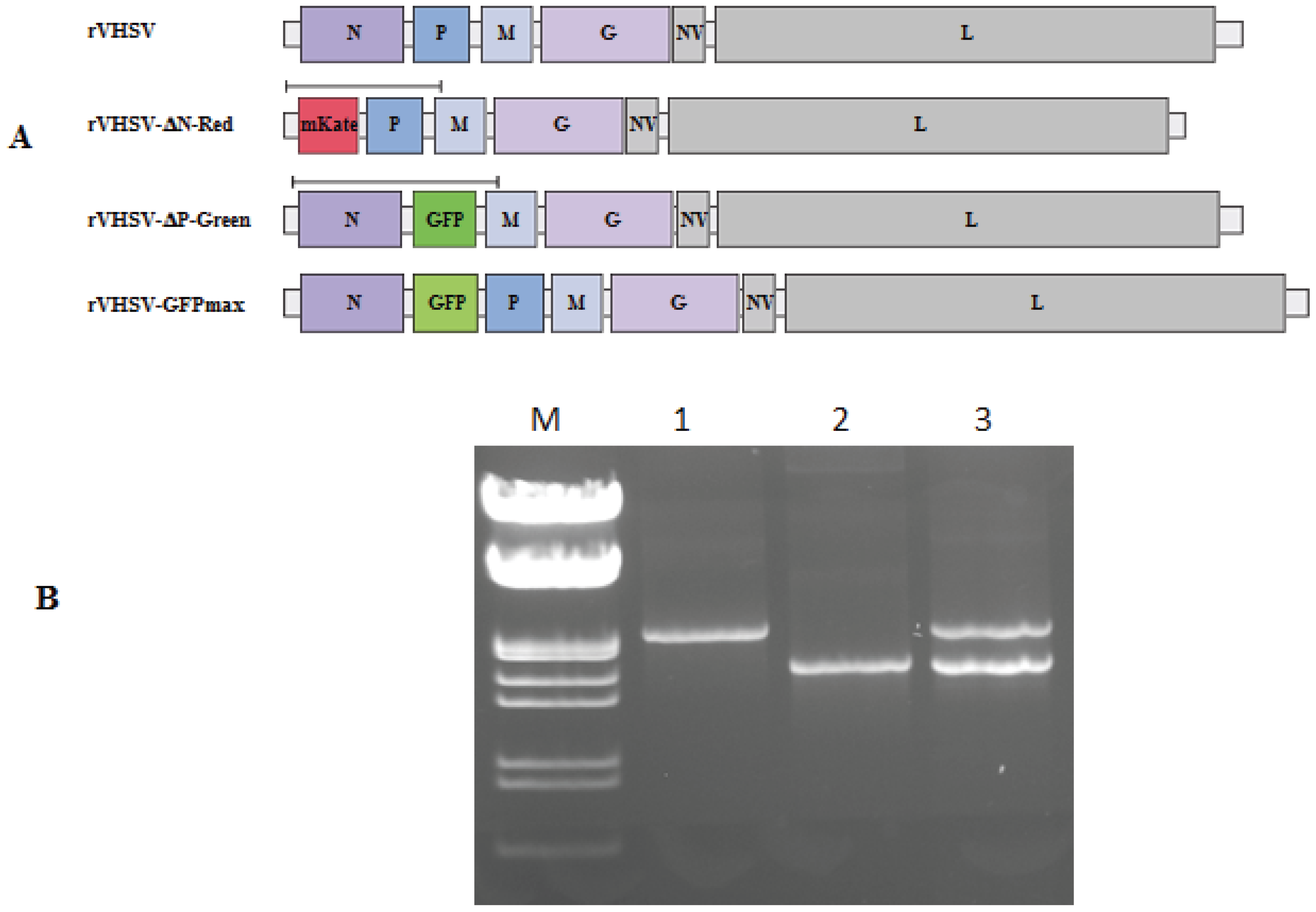
2.3. Plasmid Constructs Encoding Defective VHSV-Derived cDNA Genomes
2.4. Recovery of Defective rVHSV Expressing mKate and GFP Genes
2.5. Plaque Purification
2.6. RT-PCR on Plaque-Purified Viruses
2.7. Purification of rVHSV and rVHSV-ΔN-Red + rVHSV-ΔP-Green Particles on Sucrose Gradient
2.8. Virus Preparation and Electron Microscopy Observations
3. Results
3.1. Recovery of Defective Recombinant Viral Hemorrhagic Septicemia Virus
3.2. Genome Characterization of Virus from Red and Green Infected-Cells
3.3. Characterization of Red and Green Cell Foci
3.4. Viral Particles Content and Morphology
4. Discussion
5. Conclusions
Acknowledgments
Author Contributions
Conflicts of Interest
References
- Dimmock, N.J.; Easton, A.J. Cloned defective interfering influenza RNA and a possible pan-specific treatment of respiratory virus diseases. Viruses 2015, 7, 3768–3788. [Google Scholar] [CrossRef] [PubMed]
- Frensing, T. Defective interfering viruses and their impact on vaccines and viral vectors. Biotechnol. J. 2015, 10, 681–689. [Google Scholar] [CrossRef] [PubMed]
- Cole, C.N.; Smoler, D.; Wimmer, E.; Baltimore, D. Defective interfering particles of poliovirus. I. Isolation and physical properties. J. Virol. 1971, 7, 478–485. [Google Scholar] [PubMed]
- Drolet, B.S.; Chiou, P.P.; Heidel, J.; Leong, J.C. Detection of truncated virus particles in a persistent RNA virus infection in vivo. J. Virol. 1995, 69, 2140–2147. [Google Scholar] [PubMed]
- Kim, C.H.; Dummer, D.M.; Chiou, P.P.; Leong, J.A. Truncated particles produced in fish surviving infectious hematopoietic necrosis virus infection: Mediators of persistence? J. Virol. 1999, 73, 843–849. [Google Scholar] [PubMed]
- González-Candelas, F.; López-Labrador, F.X.; Bracho, M.A. Recombination in hepatitis C virus. Viruses 2011, 3, 2006–2024. [Google Scholar] [CrossRef] [PubMed]
- Casal, P.E.; Chouhy, D.; Bolatti, E.M.; Perez, G.R.; Stella, E.J.; Giri, A.A. Evidence for homologous recombination in Chikungunya Virus. Mol. Phylogenet. Evol. 2015, 85, 68–75. [Google Scholar] [CrossRef] [PubMed]
- Spann, K.M.; Collins, P.L.; Teng, M.N. Genetic recombination during coinfection of two mutants of human respiratory syncytial virus. J. Virol. 2003, 77, 11201–11211. [Google Scholar] [CrossRef] [PubMed]
- Chare, E.R.; Gould, E.A.; Holmes, E.C. Phylogenetic analysis reveals a low rate of homologous recombination in negative-sense RNA viruses. J. Gen. Virol. 2003, 84, 2691–2703. [Google Scholar] [CrossRef] [PubMed]
- Chong, Y.L.; Padhi, A.; Hudson, P.J.; Poss, M. The effect of vaccination on the evolution and population dynamics of avian paramyxovirus-1. PLoS Pathog. 2010, 6, e1000872. [Google Scholar] [CrossRef] [PubMed]
- Han, G.Z.; He, C.Q.; Ding, N.Z.; Ma, L.Y. Identification of a natural multirecombinant of Newcastle disease virus. Virology 2008, 371, 54–60. [Google Scholar] [CrossRef] [PubMed]
- Han, G.Z.; Worobey, M. Homologous recombination in negative sense RNA viruses. Viruses 2011, 3, 1358–1373. [Google Scholar] [CrossRef] [PubMed]
- Miller, P.J.; Kim, L.M.; Ip, H.S.; Afonso, C.L. Evolutionary dynamics of Newcastle disease virus. Virology 2009, 391, 64–72. [Google Scholar] [CrossRef] [PubMed]
- Qin, Z.; Sun, L.; Ma, B.; Cui, Z.; Zhu, Y.; Kitamura, Y.; Liu, W. F gene recombination between genotype II and VII Newcastle disease virus. Virus Res. 2008, 131, 299–303. [Google Scholar] [CrossRef] [PubMed]
- Yin, Y.; Cortey, M.; Zhang, Y.; Cui, S.; Dolz, R.; Wang, J.; Gong, Z. Molecular characterization of Newcastle disease viruses in Ostriches (Struthio camelus L.): Further evidences of recombination within avian paramyxovirus type 1. Vet. Microbiol. 2011, 149, 324–329. [Google Scholar] [CrossRef] [PubMed]
- Zhang, R.; Wang, X.; Su, J.; Zhao, J.; Zhang, G. Isolation and analysis of two naturally-occurring multi-recombination Newcastle disease viruses in China. Virus Res. 2010, 151, 45–53. [Google Scholar] [CrossRef] [PubMed]
- Song, Q.; Cao, Y.; Li, Q.; Gu, M.; Zhong, L.; Hu, S.; Wan, H.; Liu, X. Artificial recombination may influence the evolutionary analysis of Newcastle disease virus. J. Virol. 2011, 85, 10409–10414. [Google Scholar] [CrossRef] [PubMed]
- Rager, M.; Vongpunsawad, S.; Duprex, W.P.; Cattaneo, R. Polyploid measles virus with hexameric genome length. EMBO J. 2002, 21, 2364–2372. [Google Scholar] [CrossRef] [PubMed]
- Shirogane, Y.; Watanabe, S.; Yanagi, Y. Cooperation between different RNA virus genomes produces a new phenotype. Nat. Commun. 2012, 3. [Google Scholar] [CrossRef] [PubMed]
- Ge, P.; Tsao, J.; Schein, S.; Green, T.J.; Luo, M.; Zhou, Z.H. Cryo-EM model of the bullet-shaped vesicular stomatitis virus. Science 2010, 327, 689–693. [Google Scholar] [CrossRef] [PubMed]
- Thoulouze, M.I.; Bouguyon, E.; Carpentier, C.; Brémont, M. Essential role of the NV protein of Novirhabdovirus for pathogenicity in rainbow trout. J. Virol. 2004, 78, 4098–5107. [Google Scholar] [CrossRef] [PubMed]
- Ammayappan, A.; Vakharia, V.N. Nonvirion protein of Novirhabdovirus suppresses apoptosis at the early stage of virus infection. J. Virol. 2011, 85, 8393–8402. [Google Scholar] [CrossRef] [PubMed]
- Schnell, M.J.; Mebatsion, T.; Conzelmann, K.K. Infectious rabies viruses from cloned cDNA. EMBO J. 1994, 13, 4195–4203. [Google Scholar] [PubMed]
- Chalfie, M.; Tu, Y.; Euskirchen, G.; Ward, W.W.; Prasher, D.C. Green fluorescent protein as a marker for gene expression. Science 1994, 263, 802–805. [Google Scholar] [CrossRef] [PubMed]
- Shcherbo, D.; Merzlyak, E.M.; Chepurnykh, T.V.; Fradkov, A.F.; Ermakova, G.V.; Solovieva, E.A.; Lukyanov, K.A.; Bogdanova, E.A.; Zaraisky, A.G.; Lukyanov, S.; et al. Bright far-red fluorescent protein for whole-body imaging. Nat. Methods 2007, 4, 741–746. [Google Scholar] [CrossRef] [PubMed]
- Biacchesi, S.; Lamoureux, A.; Mérour, E.; Bernard, J.; Brémont, M. Limited interference at the early stage of infection between two recombinant Novirhabdoviruses: Viral hemorrhagic septicemia virus and infectious hematopoietic necrosis virus. J. Virol. 2010, 84, 10038–10050. [Google Scholar] [CrossRef] [PubMed]
- Fijan, N.; Sulimanovic, M.; Bearzotti, M.; Muzinic, D.; Zwillenberg, L.O.; Chilmonczyk, S.; Vautherot, J.; de Kinkelin, P. Some properties of the Epithelioma papulosum cyprini (EPC) cell line from carp cyprinus carpio. Ann. Inst. Pasteur Virol. 1983, 134, 207–220. [Google Scholar] [CrossRef]
- Fuerst, T.R.; Niles, E.G.; Studier, F.W.; Moss, B. Eukaryotic transient-expression system based on recombinant vaccinia virus that synthesizes bacteriophage T7 RNA polymerase. Proc. Natl. Acad. Sci. USA 1986, 83, 8122–8126. [Google Scholar] [CrossRef] [PubMed]
- Schnell, M.J.; Buonocore, L.; Kretzschmar, E.; Johnson, E.; Rose, J.K. Foreign glycoproteins expressed from recombinant vesicular stomatitis viruses are incorporated efficiently into virus particles. Proc. Natl. Acad. Sci. USA 1996, 15, 11359–11365. [Google Scholar] [CrossRef]
- Soh, T.K.; Whelan, S.P. Tracking the fate of genetically distinct vesicular stomatitis virus matrix proteins highlights the role for late domains in assembly. J. Virol. 2015, 89, 11750–11760. [Google Scholar] [CrossRef] [PubMed]






| Primer Name | Primer Sequence (5’to 3’) |
|---|---|
| VHSCDNA | GTATCATAAAAGATGATGAGTTATGTTACAAGGG |
| VHSPCRF | GTTGAACACAGAGTCATATCTCATAATCG |
| VHSPCRR | GGTGGAGACACGGTCCTCATCATTGGACGTGAGG |
| PJETFOR | CGACTCACTATAGGGAGAGCGGC |
| PJETREV | AAGAACATCGATTTTCCATGGCAG |
| VHSNF | GATGACGACTACCCCGAGGACTCTGAC |
| SACPSIF | CTCCACCGCGGTAATACGACTCACTATAGG |
| SACPSIR | GCTTTGATCAAAGAGAAATTCTTATAATCGTGCCG |
| PSIMFEF | CGGCACGATTATAAGAATTTCTCTTTG |
| PSIMFER | GGCCTGCCACAATTGCCTTGACCACC |
| SPEMUTN | CGTTGAACAAAAGAACTCAGTACTAGTATGGAAGGAGGAATTCGTGCAGCG |
| SNABIMUTN | CGACTACCCCGAGGACTCTGACTAATACGTACTCCCGTCTCATAACCAACATAG |
| SPEMUTP | GACAAACACTGAGATACTAGTATGGCTGATATTGAGATGAGCGAGTCC |
| SNABIMUTP | CGATCAAGGCGGAGCTGGACAAGCTAGAGTAGTACGTACACAACGCATCACAC |
| Red Plaque-Purified Virus | rVHSV-ΔP-Green Clone | F60L/Y211H (GFP) |
| rVHSV-ΔN-Red Clone | - | |
| Green Plaque-Purified Virus | rVHSV-ΔP-Green Clone | - |
| rVHSV-ΔN-Red Clone | L116P/V120A/F127L/L175S/Y179H/Y195H/Y231H (mKate) |
© 2016 by the authors; licensee MDPI, Basel, Switzerland. This article is an open access article distributed under the terms and conditions of the Creative Commons by Attribution (CC-BY) license (http://creativecommons.org/licenses/by/4.0/).
Share and Cite
Rouxel, R.N.; Mérour, E.; Biacchesi, S.; Brémont, M. Efficient Co-Replication of Defective Novirhabdovirus. Viruses 2016, 8, 69. https://doi.org/10.3390/v8030069
Rouxel RN, Mérour E, Biacchesi S, Brémont M. Efficient Co-Replication of Defective Novirhabdovirus. Viruses. 2016; 8(3):69. https://doi.org/10.3390/v8030069
Chicago/Turabian StyleRouxel, Ronan N., Emilie Mérour, Stéphane Biacchesi, and Michel Brémont. 2016. "Efficient Co-Replication of Defective Novirhabdovirus" Viruses 8, no. 3: 69. https://doi.org/10.3390/v8030069
APA StyleRouxel, R. N., Mérour, E., Biacchesi, S., & Brémont, M. (2016). Efficient Co-Replication of Defective Novirhabdovirus. Viruses, 8(3), 69. https://doi.org/10.3390/v8030069

