The Human Lung Adenocarcinoma Cell Line EKVX Produces an Infectious Xenotropic Murine Leukemia Virus
Abstract
:1. Introduction
| Cell line name | Tumor type | Immuno-blotting for Env | PCR for enva | PCR for gaga | Passaged through miceb | Reference |
|---|---|---|---|---|---|---|
| BT-549 | Breast | - | - | - | Nc | |
| Hs-578T | Breast | - | - | - | N | [3] |
| MCF-7 | Breast | - | - | - | N | [4] |
| MDA-MB-231 | Breast | - | - | - | N | [5] |
| T-47D | Breast | - | - | - | N | [6] |
| MDA-MB-468 | Breast | - | - | - | N | [7] |
| SF-268 | CNS | - | - | - | N | [8] |
| SF-295 | CNS | - | - | - | N | [8] |
| SF-539 | CNS | - | - | - | N | [9] |
| SNB-19d | CNS | - | - | - | N | [10,11,12] |
| SNB-75 | CNS | - | - | - | N | [10,11] |
| U251d | CNS | - | - | - | N | [12,13] |
| COLO-205 | Colon | - | - | - | N | [14] |
| HCC-2998 | Colon | - | - | - | Ye | |
| HCT-116 | Colon | - | - | - | N | [15] |
| HCT-15 | Colon | - | - | - | N | [16] |
| HT29 | Colon | - | - | - | N | [17] |
| KM12f | Colon | - | - | - | N | [18] |
| SW-620 | Colon | - | - | - | N | [19] |
| CCRF-CEM | Leukemia | - | - | - | N | [20] |
| HL-60 | Leukemia | - | - | - | N | [21] |
| K562 | Leukemia | - | - | - | N | [22] |
| MOLT-4 | Leukemia | - | - | - | N | [23] |
| RPMI-8226 | Leukemia | - | - | - | N | [24] |
| SR | Leukemia | - | - | - | N | [25] |
| LOX IMVI | Melanoma | - | - | - | Y | [26,27] |
| M14g | Melanoma | - | - | - | N | [28,29] |
| MALME-3M | Melanoma | - | - | - | N | [17] |
| MDA-MB-435g | Melanoma | - | - | - | N | [7,29,30,31] |
| SK-MEL-2 | Melanoma | - | - | - | N | [17] |
| SK-MEL-28 | Melanoma | - | - | - | N | [32] |
| SK-MEL-5 | Melanoma | - | - | - | N | [32] |
| UACC-257 | Melanoma | - | - | - | Ne | |
| UACC-62 | Melanoma | - | - | - | Ne | |
| A549 ATCC | Non-Small Cell Lung | - | - | - | N | [33] |
| EKVX | Non-Small Cell Lung | + | + | + | Y | [26] |
| HOP-62 | Non-Small Cell Lung | - | - | - | Ye | [34,35] |
| HOP-92 | Non-Small Cell Lung | - | - | - | Ne | [34,35] |
| NCI-H226 | Non-Small Cell Lung | - | - | - | N | [36,37] |
| NCI-H23 | Non-Small Cell Lung | - | - | - | N | [36,37] |
| NCI-H322M | Non-Small Cell Lung | - | - | - | N | [37,38,39] |
| NCI-H460 | Non-Small Cell Lung | - | - | - | N | [36,37] |
| NCI-H522 | Non-Small Cell Lung | - | - | - | N | [36,37] |
| IGR-OV1 | Ovarian | - | - | - | N | [40] |
| NCI/ADR-RESh | Ovarian | - | - | - | N | [41,42,43] |
| OVCAR-3 | Ovarian | - | - | - | N | [44] |
| OVCAR-4 | Ovarian | - | - | - | N | [45] |
| OVCAR-5 | Ovarian | - | - | - | N | [45] |
| OVCAR-8 | Ovarian | - | - | - | N | [45,46] |
| SK-0V-3 | Ovarian | - | - | - | N | [17] |
| DU145 | Prostate | - | - | - | N | [47] |
| PC-3 | Prostate | - | - | - | N | [48] |
| A498 | Renal | - | - | - | N | [33] |
| ACHN | Renal | - | - | - | N | [49] |
| CAKI-1 | Renal | - | - | - | N | [17] |
| RXF-393 | Renal | - | - | - | Y | [50] |
| SN12C | Renal | - | - | - | N | [51] |
| TK-10 | Renal | - | - | - | N | [52] |
| UO-31 | Renal | - | - | - | Ui | |
| 786-0 | Renal | - | - | - | N | [53] |
2. Results and Discussion
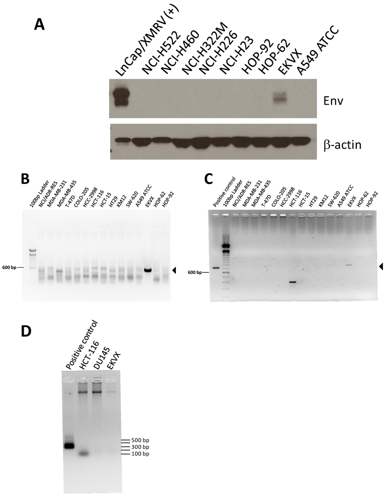
2.1. The Lung Cancer Cell Line EKVX Tested Positive by Both Immunoblotting for Viral Envelope Protein and by PCR for gag and env Viral Gene Sequences

2.2. EKVX Produces Virus Capable of Infecting Human Cells

2.3. The EKVX Virus Is a Xenotropic Murine Leukemia Virus

3. Experimental Section
3.1. Cell Line Materials and Cell Culture
3.2. Immunoblotting
3.3. PCR
3.4. Sequencing and Alignment
3.5. Cell-free Virus Transmission Assay
4. Conclusions
Acknowledgments
Conflict of Interest
References
- Shoemaker, R.H. The NCI60 human tumour cell line anticancer drug screen. Nat. Rev. Cancer 2006, 6, 813–823. [Google Scholar]
- Alley, M.C.; Scudiero, D.A.; Monks, A.; Hursey, M.L.; Czerwinski, M.J.; Fine, D.L.; Abbott, B.J.; Mayo, J.G.; Shoemaker, R.H.; Boyd, M.R. Feasibility of drug screening with panels of human tumor cell lines using a microculture tetrazolium assay. Cancer Res. 1988, 48, 589–601. [Google Scholar]
- Hackett, A.J.; Smith, H.S.; Springer, E.L.; Owens, R.B.; Nelson-Rees, W.A.; Riggs, J.L.; Gardner, M.B. Two syngeneic cell lines from human breast tissue: the aneuploid mammary epithelial (Hs578T) and the diploid myoepithelial (Hs578Bst) cell lines. J. Natl. Cancer Inst. 1977, 58, 1795–1806. [Google Scholar]
- Soule, H.D.; Vazguez, J.; Long, A.; Albert, S.; Brennan, M. A human cell line from a pleural effusion derived from a breast carcinoma. J. Natl. Cancer Inst. 1973, 51, 1409–1416. [Google Scholar]
- Cailleau, R.; Young, R.; Olive, M.; Reeves, W.J., Jr. Breast tumor cell lines from pleural effusions. J. Natl. Cancer Inst. 1974, 53, 661–674. [Google Scholar]
- Keydar, I.; Chen, L.; Karby, S.; Weiss, F.R.; Delarea, J.; Radu, M.; Chaitcik, S.; Brenner, H.J. Establishment and characterization of a cell line of human breast carcinoma origin. Eur. J. Cancer 1979, 15, 659–670. [Google Scholar]
- Cailleau, R.; Olive, M.; Cruciger, Q.V. Long-term human breast carcinoma cell lines of metastatic origin: preliminary characterization. In Vitro 1978, 14, 911–915. [Google Scholar]
- Rutka, J.T.; Giblin, J.R.; Dougherty, D.Y.; Liu, H.C.; McCulloch, J.R.; Bell, C.W.; Stern, R.S.; Wilson, C.B.; Rosenblum, M.L. Establishment and characterization of five cell lines derived from human malignant gliomas. Acta Neuropathol. 1987, 75, 92–103. [Google Scholar]
- Rutka, J.T.; Giblin, J.R.; Hoifodt, H.K.; Dougherty, D.V.; Bell, C.W.; McCulloch, J.R.; Davis, R.L.; Wilson, C.B.; Rosenblum, M.L. Establishment and characterization of a cell line from a human gliosarcoma. Cancer Res. 1986, 46, 5893–5902. [Google Scholar]
- Gross, J.L.; Behrens, D.L.; Mullins, D.E.; Kornblith, P.L.; Dexter, D.L. Plasminogen activator and inhibitor activity in human glioma cells and modulation by sodium butyrate. Cancer Res. 1988, 48, 291–296. [Google Scholar]
- Kornblith, P.L.; Smith, B.H.; Leonard, L.A. Response of cultured human brain tumors to nitrosoureas: correlation with clinical data. Cancer 1981, 47, 255–265. [Google Scholar]
- CNS cell lines SNB-19 and U251 are derived from the same individual. Available online: http://dtp.nci.nih.gov/docs/misc/common_files/U251_SNB-19.html.
- Bigner, D.D.; Bigner, S.H.; Ponten, J.; Westermark, B.; Mahaley, M.S.; Ruoslahti, E.; Herschman, H.; Eng, L.F.; Wikstrand, C.J. Heterogeneity of genotypic and phenotypic characteristics of fifteen permanent cell lines derived from human gliomas. J. Neuropathol. Exp. Neurol. 1981, 40, 201–229. [Google Scholar]
- Semple, T.U.; Quinn, L.A.; Woods, L.K.; Moore, G.E. Tumor and lymphoid cell lines from a patient with carcinoma of the colon for a cytotoxicity model. Cancer Res. 1978, 38, 1345–1355. [Google Scholar]
- Brattain, M.G.; Fine, W.D.; Khaled, F.M.; Thompson, J.; Brattain, D.E. Heterogeneity of malignant cells from a human colonic carcinoma. Cancer Res. 1981, 41, 1751–1756. [Google Scholar]
- Dexter, D.L.; Barbosa, J.A.; Calabresi, P. N,N-dimethylformamide-induced alteration of cell culture characteristics and loss of tumorigenicity in cultured human colon carcinoma cells. Cancer Res. 1979, 39, 1020–1025. [Google Scholar]
- Fogh, J.; Trempe, G. New human tumor cell lines. In Human Tumor Cells In Vitro; Fogh, J., Ed.; Plenum Press: New York, NY, USA, 1975; pp. 115–159. [Google Scholar]
- Morikawa, K.; Walker, S.M.; Jessup, J.M.; Fidler, I.J. In vivo selection of highly metastatic cells from surgical specimens of different primary human colon carcinomas implanted into nude mice. Cancer Res. 1988, 48, 1943–1948. [Google Scholar]
- Leibovitz, A.; Stinson, J.C.; McCombs, W.B., 3rd; McCoy, C.E.; Mazur, K.C.; Mabry, N.D. Classification of human colorectal adenocarcinoma cell lines. Cancer Res. 1976, 36, 4562–4569. [Google Scholar] [PubMed]
- Foley, G.E.; Lazarus, H.; Farber, S.; Uzman, B.G.; Boone, B.A.; McCarthy, R.E. Continuous culture of human lymphoblasts from peripheral blood of a child with acute leukemia. Cancer 1965, 18, 522–529. [Google Scholar]
- Collins, S.J.; Gallo, R.C.; Gallagher, R.E. Continuous growth and differentiation of human myeloid leukaemic cells in suspension culture. Nature 1977, 270, 347–349. [Google Scholar]
- Lozzio, C.B.; Lozzio, B.B. Human chronic myelogenous leukemia cell-line with positive Philadelphia chromosome. Blood 1975, 45, 321–334. [Google Scholar]
- Minowada, J.; Onuma, T.; Moore, G.E. Rosette-forming human lymphoid cell lines. I. Establishment and evidence for origin of thymus-derived lymphocytes. J. Natl. Cancer Inst. 1972, 49, 891–895. [Google Scholar] [PubMed]
- Matsuoka, Y.; Moore, G.E.; Yagi, Y.; Pressman, D. Production of free light chains of immunoglobulin by a hematopoietic cell line derived from a patient with multiple myeloma. Proc. Soc. Exp. Biol. Med. 1967, 125, 1246–1250. [Google Scholar]
- Beckwith, M.; Urba, W.J.; Longo, D.L. Growth inhibition of human lymphoma cell lines by the marine products, dolastatins 10 and 15. J. Natl. Cancer Inst. 1993, 85, 483–488. [Google Scholar]
- Aamdal, S.; Fodstad, O.; Kaalhus, O.; Pihl, A. Chemosensitivity profiles of human cancers assessed by the 6-day SRC assay on serially xenografted tumors. Int. J. Cancer 1986, 37, 579–587. [Google Scholar]
- Fodstad, O.; Aamdal, S.; McMenamin, M.; Nesland, J.M.; Pihl, A. A new experimental metastasis model in athymic nude mice, the human malignant melanoma LOX. Int. J. Cancer 1988, 41, 442–449. [Google Scholar]
- Sulit, H.L.; Golub, S.H.; Irie, R.F.; Gupta, R.K.; Grooms, G.A.; Morton, D.L. Human tumor cells grown in fetal calf serum and human serum: influences on the tests for lymphocyte cytotoxicity, serum blocking and serum arming effects. Int. J. Cancer 1976, 17, 461–468. [Google Scholar]
- MDA-MB-435 is a melanoma cell line, not a breast cancer cell line. Available online: http://dtp.nci.nih.gov/docs/misc/common_files/mda-mb-435-update.html.
- Brinkley, B.R.; Beall, P.T.; Wible, L.J.; Mace, M.L.; Turner, D.S.; Cailleau, R.M. Variations in cell form and cytoskeleton in human breast carcinoma cells in vitro. Cancer Res. 1980, 40, 3118–3129. [Google Scholar]
- Rae, J.M.; Creighton, C.J.; Meck, J.M.; Haddad, B.R.; Johnson, M.D. MDA-MB-435 cells are derived from M14 melanoma cells--a loss for breast cancer, but a boon for melanoma research. Breast Cancer Res. Treat. 2007, 104, 13–19. [Google Scholar]
- Carey, T.E.; Takahashi, T.; Resnick, L.A.; Oettgen, H.F.; Old, L.J. Cell surface antigens of human malignant melanoma: mixed hemadsorption assays for humoral immunity to cultured autologous melanoma cells. Proc. Natl. Acad. Sci. U.S.A. 1976, 73, 3278–3282. [Google Scholar]
- Giard, D.J.; Aaronson, S.A.; Todaro, G.J.; Arnstein, P.; Kersey, J.H.; Dosik, H.; Parks, W.P. In vitro cultivation of human tumors: establishment of cell lines derived from a series of solid tumors. J. Natl. Cancer Inst. 1973, 51, 1417–1423. [Google Scholar]
- McLemore, T.L.; Adelberg, S.; Czerwinski, M.; Hubbard, W.C.; Yu, S.J.; Storeng, R.; Wood, T.G.; Hines, R.N.; Boyd, M.R. Altered regulation of the cytochrome P4501A1 gene: novel inducer-independent gene expression in pulmonary carcinoma cell lines. J. Natl. Cancer Inst. 1989, 81, 1787–1794. [Google Scholar]
- McLemore, T.; Alley, M.; Liu, W.; Hubbard, W.; Adelberg, S.; Czerwinski, M.; Yu, S.; Stinson, S.; Storeng, R.; Eggleston, J.; Boyd, M. Histopathologic, biochemical and molecular genetic characterization of four newly established human pulmonary carcinoma cell lines. In Proceedings of the American Association for Cancer Research, San Francisco, CA, USA, May 1989; p. 225.
- Carney, D.N.; Gazdar, A.F.; Bepler, G.; Guccion, J.G.; Marangos, P.J.; Moody, T.W.; Zweig, M.H.; Minna, J.D. Establishment and identification of small cell lung cancer cell lines having classic and variant features. Cancer Res. 1985, 45, 2913–2923. [Google Scholar]
- Gazdar, A.F.; Minna, J.D. NCI series of cell lines: an historical perspective. J. Cell. Biochem. Suppl. 1996, 24, 1–11. [Google Scholar]
- Falzon, M.; McMahon, J.B.; Gazdar, A.F.; Schuller, H.M. Preferential metabolism of N-nitrosodiethylamine by two cell lines derived from human pulmonary adenocarcinomas. Carcinogenesis 1986, 7, 17–22. [Google Scholar]
- Gazdar, A.F.; Linnoila, R.I.; Kurita, Y.; Oie, H.K.; Mulshine, J.L.; Clark, J.C.; Whitsett, J.A. Peripheral airway cell differentiation in human lung cancer cell lines. Cancer Res. 1990, 50, 5481–5487. [Google Scholar]
- Benard, J.; Da Silva, J.; De Blois, M.C.; Boyer, P.; Duvillard, P.; Chiric, E.; Riou, G. Characterization of a human ovarian adenocarcinoma line, IGROV1, in tissue culture and in nude mice. Cancer Res. 1985, 45, 4970–4979. [Google Scholar] [PubMed]
- Cell Line NCI/ADR-RES is an ovarian tumor cell line, not a breast line. Available online: http://dtp.nci.nih.gov/docs/misc/common_files/NCI-ADRres.html.
- Batist, G.; Tulpule, A.; Sinha, B.K.; Katki, A.G.; Myers, C.E.; Cowan, K.H. Overexpression of a novel anionic glutathione transferase in multidrug-resistant human breast cancer cells. J. Biol. Chem. 1986, 261, 15544–15549. [Google Scholar]
- Roschke, A.V.; Tonon, G.; Gehlhaus, K.S.; McTyre, N.; Bussey, K.J.; Lababidi, S.; Scudiero, D.A.; Weinstein, J.N.; Kirsch, I.R. Karyotypic complexity of the NCI-60 drug-screening panel. Cancer Res. 2003, 63, 8634–8647. [Google Scholar]
- Hamilton, T.C.; Young, R.C.; McKoy, W.M.; Grotzinger, K.R.; Green, J.A.; Chu, E.W.; Whang-Peng, J.; Rogan, A.M.; Green, W.R.; Ozols, R.F. Characterization of a human ovarian carcinoma cell line (NIH:OVCAR-3) with androgen and estrogen receptors. Cancer Res. 1983, 43, 5379–5389. [Google Scholar]
- Hamilton, T.C.; Young, R.C.; Ozols, R.F. Experimental model systems of ovarian cancer: applications to the design and evaluation of new treatment approaches. Semin. Oncol. 1984, 11, 285–298. [Google Scholar]
- Schilder, R.J.; Hall, L.; Monks, A.; Handel, L.M.; Fornace, A.J., Jr.; Ozols, R.F.; Fojo, A.T.; Hamilton, T.C. Metallothionein gene expression and resistance to cisplatin in human ovarian cancer. Int. J. Cancer 1990, 45, 416–422. [Google Scholar]
- Stone, K.R.; Mickey, D.D.; Wunderli, H.; Mickey, G.H.; Paulson, D.F. Isolation of a human prostate carcinoma cell line (DU 145). Int. J. Cancer 1978, 21, 274–281. [Google Scholar]
- Kaighn, M.E.; Narayan, K.S.; Ohnuki, Y.; Lechner, J.F.; Jones, L.W. Establishment and characterization of a human prostatic carcinoma cell line (PC-3). Invest. Urol. 1979, 17, 16–23. [Google Scholar]
- Borden, E.C.; Hogan, T.F.; Voelkel, J.G. Comparative antiproliferative activity in vitro of natural interferons alpha and beta for diploid and transformed human cells. Cancer Res. 1982, 42, 4948–4953. [Google Scholar]
- Berger, D.P.; Winterhalter, B.R.; Fiebig, H.H. Establishment and characterization of human tumor xenografts in thymus-aplastic nude mice. In Immunodeficient Mice in Oncology; Fiebig, H.H., Berger, D.P., Eds.; Karger: Basel, Switzerland, 1992; Volume 42, pp. 23–46. [Google Scholar]
- Naito, S.; von Eschenbach, A.C.; Giavazzi, R.; Fidler, I.J. Growth and metastasis of tumor cells isolated from a human renal cell carcinoma implanted into different organs of nude mice. Cancer Res. 1986, 46, 4109–4115. [Google Scholar]
- Bear, A.; Clayman, R.V.; Elbers, J.; Limas, C.; Wang, N.; Stone, K.; Gebhard, R.; Prigge, W.; Palmer, J. Characterization of two human cell lines (TK-10, TK-164) of renal cell cancer. Cancer Res. 1987, 47, 3856–3862. [Google Scholar]
- Williams, R.D.; Elliott, A.Y.; Stein, N.; Fraley, E.E. In vitro cultivation of human renal cell cancer. I. Establishment of cells in culture. In Vitro 1976, 12, 623–627. [Google Scholar] [CrossRef] [PubMed]
- Lasfargues, E.Y.; Coutinho, W.G.; Redfield, E.S. Isolation of two human tumor epithelial cell lines from solid breast carcinomas. J. Natl. Cancer Inst. 1978, 61, 967–978. [Google Scholar]
- Urisman, A.; Molinaro, R.J.; Fischer, N.; Plummer, S.J.; Casey, G.; Klein, E.A.; Malathi, K.; Magi-Galluzzi, C.; Tubbs, R.R.; Ganem, D.; et al. Identification of a novel Gammaretrovirus in prostate tumors of patients homozygous for R462Q RNASEL variant. PLoS Pathog. 2006, 2, e25. [Google Scholar] [CrossRef] [PubMed]
- Paprotka, T.; Delviks-Frankenberry, K.A.; Cingoz, O.; Martinez, A.; Kung, H.J.; Tepper, C.G.; Hu, W.S.; Fivash, M.J., Jr.; Coffin, J.M.; Pathak, V.K. Recombinant origin of the retrovirus XMRV. Science 2011, 333, 97–101. [Google Scholar]
- van der Kuyl, A.C.; Berkhout, B. XMRV: not a mousy virus. J. Formos. Med. Assoc. 2011, 110, 273–274. [Google Scholar]
- Knouf, E.C.; Metzger, M.J.; Mitchell, P.S.; Arroyo, J.D.; Chevillet, J.R.; Tewari, M.; Miller, A.D. Multiple integrated copies and high-level production of the human retrovirus XMRV (xenotropic murine leukemia virus-related virus) from 22Rv1 prostate carcinoma cells. J. Virol. 2009, 83, 7353–7356. [Google Scholar]
- Dong, B.; Kim, S.; Hong, S.; Das Gupta, J.; Malathi, K.; Klein, E.A.; Ganem, D.; Derisi, J.L.; Chow, S.A.; Silverman, R.H. An infectious retrovirus susceptible to an IFN antiviral pathway from human prostate tumors. Proc. Natl. Acad. Sci. U.S.A. 2007, 104, 1655–1660. [Google Scholar]
- Hue, S.; Gray, E.R.; Gall, A.; Katzourakis, A.; Tan, C.P.; Houldcroft, C.J.; McLaren, S.; Pillay, D.; Futreal, A.; Garson, J.A.; et al. Disease-associated XMRV sequences are consistent with laboratory contamination. Retrovirology 2010, 7, 111. [Google Scholar] [CrossRef] [PubMed]
- Wolff, L.; Koller, R.; Ruscetti, S. Monoclonal antibody to spleen focus-forming virus-encoded gp52 provides a probe for the amino-terminal region of retroviral envelope proteins that confers dual tropism and xenotropism. J. Virol. 1982, 43, 472–481. [Google Scholar]
- Ono, K.; Satoh, M.; Yoshida, T.; Ozawa, Y.; Kohara, A.; Takeuchi, M.; Mizusawa, H.; Sawada, H. Species identification of animal cells by nested PCR targeted to mitochondrial DNA. In Vitro Cell. Dev. Biol. 2007, 43, 168–175. [Google Scholar]
- Oakes, B.; Tai, A.K.; Cingoz, O.; Henefield, M.H.; Levine, S.; Coffin, J.M.; Huber, B.T. Contamination of human DNA samples with mouse DNA can lead to false detection of XMRV-like sequences. Retrovirology 2010, 7, 109. [Google Scholar]
- Barrett, T.; Troup, D.B.; Wilhite, S.E.; Ledoux, P.; Evangelista, C.; Kim, I.F.; Tomashevsky, M.; Marshall, K.A.; Phillippy, K.H.; Sherman, P.M.; et al. NCBI GEO: archive for functional genomics data sets--10 years on. Nucleic Acids Res. 2011, 39, D1005–D1010. [Google Scholar] [PubMed]
- Kozak, C.A. The mouse "xenotropic" gammaretroviruses and their XPR1 receptor. Retrovirology 2010, 7, 101. [Google Scholar]
- Fischer, N.; Schulz, C.; Stieler, K.; Hohn, O.; Lange, C.; Drosten, C.; Aepfelbacher, M. Xenotropic murine leukemia virus-related gammaretrovirus in respiratory tract. Emerg. Infect. Dis. 2010, 16, 1000–1002. [Google Scholar]
- Coffin, J.M. Retroviridae: The viruses and their replication. In Fundamental Virology, 3rd; Fields, B.N., Knipe, D.M., Howley, P.M., Eds.; Lippincott-Raven Publishers: Philadelphia, PA, USA, 1996; pp. 763–843. [Google Scholar]
- Jühling, F.; Mörl, M.; Hartmann, R.K.; Sprinzl, M.; Stadler, P.F.; Pütz, J. tRNAdb 2009: compilation of tRNA sequences and tRNA genes. Nucleic Acids Res. 2009, 37, D159–D162. [Google Scholar]
- Jern, P.; Stoye, J.P.; Coffin, J.M. Role of APOBEC3 in genetic diversity among endogenous murine leukemia viruses. PLoS Genet. 2007, 3, 2014–2022. [Google Scholar]
- Nikbakht, K.N.; Ou, C.Y.; Boone, L.R.; Glover, P.L.; Yang, W.K. Nucleotide sequence analysis of endogenous murine leukemia virus-related proviral clones reveals primer-binding sites for glutamine tRNA. J. Virol. 1985, 54, 889–893. [Google Scholar]
- Ou, C.Y.; Boone, L.R.; Yang, W.K. A novel sequence segment and other nucleotide structural features in the long terminal repeat of a BALB/c mouse genomic leukemia virus-related DNA clone. Nucleic Acids Res. 1983, 11, 5603–5620. [Google Scholar]
- Swanstrom, R.; Wills, J.W. Synthesis, Assembly, and Processing of Viral Proteins. In Retroviruses; Coffin J.M.;, Hughes, S.H.; Varmus, H.E., Eds.; Cold Spring Harbor Laboratory Press: Cold Spring Harbor, NY, USA, 1997; pp. 263–341. [Google Scholar]
- Frankel, W.N.; Stoye, J.P.; Taylor, B.A.; Coffin, J.M. Genetic analysis of endogenous xenotropic murine leukemia viruses: association with two common mouse mutations and the viral restriction locus Fv-1. J. Virol. 1989, 63, 1763–1774. [Google Scholar]
- Hoggan, M.D.; Buckler, C.E.; Sears, J.F.; Rowe, W.P.; Martin, M.A. Organization and stability of endogenous xenotropic murine leukemia virus proviral DNA in mouse genomes. J. Virol. 1983, 45, 473–477. [Google Scholar]
- Kozak, C.A.; O'Neill, R.R. Diverse wild mouse origins of xenotropic, mink cell focus-forming, and two types of ecotropic proviral genes. J. Virol. 1987, 61, 3082–3088. [Google Scholar] [PubMed]
- O'Neill, R.R.; Khan, A.S.; Hoggan, M.D.; Hartley, J.W.; Martin, M.A.; Repaske, R. Specific hybridization probes demonstrate fewer xenotropic than mink cell focus-forming murine leukemia virus env-related sequences in DNAs from inbred laboratory mice. J. Virol. 1986, 58, 359–366. [Google Scholar]
- Tomonaga, K.; Coffin, J.M. Structure and distribution of endogenous nonecotropic murine leukemia viruses in wild mice. J. Virol. 1998, 72, 8289–8300. [Google Scholar]
- Aaronson, S.A.; Todaro, G.J.; Scolnick, E.M. Induction of murine C-type viruses from clonal lines of virus-free BALB-3T3 cells. Science 1971, 174, 157–159. [Google Scholar]
- Haran-Ghera, N. Leukemogenic activity of centrifugates from irradiated mouse thymus and bone marrow. Int. J. Cancer 1966, 1, 81–87. [Google Scholar]
- Hirsch, M.S.; Black, P.H.; Tracy, G.S.; Leibowitz, S.; Schwartz, R.S. Leukemia virus activation in chronic allogeneic disease. Proc. Natl. Acad. Sci. U.S.A. 1970, 67, 1914–1917. [Google Scholar]
- Igel, H.J.; Huebner, R.J.; Turner, H.C.; Kotin, P.; Falk, H.L. Mouse leukemia virus activation by chemical carcinogens. Science 1969, 166, 1624–1626. [Google Scholar]
- Lieberman, M.; Kaplan, H.S. Leukemogenic activity of filtrates from radiation-induced lymphoid tumors of mice. Science 1959, 130, 387–388. [Google Scholar]
- Achong, B.G.; Trumper, P.A.; Giovanella, B.C. C-type virus particles in human tumours transplanted into nude mice. Br. J. Cancer 1976, 34, 203–206. [Google Scholar]
- Gautsch, J.W.; Knowles, A.F.; Jensen, F.C.; Kaplan, N.O. Highly efficient induction of type C retroviruses by a human tumor in athymic mice. Proc. Natl. Acad. Sci. U.S.A. 1980, 77, 2247–2250. [Google Scholar]
- Lusso, P.; di Marzo Veronese, F.; Ensoli, B.; Franchini, G.; Jemma, C.; DeRocco, S.E.; Kalyanaraman, V.S.; Gallo, R.C. Expanded HIV-1 cellular tropism by phenotypic mixing with murine endogenous retroviruses. Science 1990, 247, 848–852. [Google Scholar]
- Suzuki, T.; Yanagihara, K.; Yoshida, K.; Seido, T.; Kuga, N. Infectious murine type-C viruses released from human cancer cells transplated into nude mice. Gann 1977, 68, 99–106. [Google Scholar]
- Todaro, G.J.; Arnstein, P.; Parks, W.P.; Lennette, E.H.; Huebner, R.J. A type-C virus in human rhabdomyosarcoma cells after inoculation into NIH Swiss mice treated with antithymocyte serum. Proc. Natl. Acad. Sci. U.S.A. 1973, 70, 859–862. [Google Scholar]
- Tralka, T.S.; Yee, C.L.; Rabson, A.B.; Wivel, N.A.; Stromberg, K.J.; Rabson, A.S.; Costa, J.C. Murine type C retroviruses and intracisternal A-particles in human tumors serially passaged in nude mice. J. Natl. Cancer Inst. 1983, 71, 591–599. [Google Scholar]
- Zhang, Y.A.; Maitra, A.; Hsieh, J.T.; Rudin, C.M.; Peacock, C.; Karikari, C.; Brekken, R.A.; Stastny, V.; Gao, B.; Girard, L.; et al. Frequent detection of infectious xenotropic murine leukemia virus (XMLV) in human cultures established from mouse xenografts. Cancer Biol. Ther. 2011, 12. [Google Scholar]
- Antoine, M.; Wegmann, B.; Kiefer, P. Envelope and long terminal repeat sequences of an infectious murine leukemia virus from a human SCLC cell line: implications for gene transfer. Virus Genes 1998, 17, 157–168. [Google Scholar]
- Raisch, K.P.; Pizzato, M.; Sun, H.Y.; Takeuchi, Y.; Cashdollar, L.W.; Grossberg, S.E. Molecular cloning, complete sequence, and biological characterization of a xenotropic murine leukemia virus constitutively released from the human B-lymphoblastoid cell line DG-75. Virology 2003, 308, 83–91. [Google Scholar] [CrossRef] [PubMed]
- Sfanos, K.S.; Aloia, A.L.; Hicks, J.L.; Esopi, D.M.; Steranka, J.P.; Shao, W.; Sanchez-Martinez, S.; Yegnasubramanian, S.; Burns, K.H.; Rein, A.; et al. Identification of replication competent murine gammaretroviruses in commonly used prostate cancer cell lines. PLoS One 2011, 6, e20874. [Google Scholar] [PubMed]
- Jelacic, T.M.; Thompson, D.; Hanson, C.; Cmarik, J.L.; Nishigaki, K.; Ruscetti, S. The tyrosine kinase sf-Stk and its downstream signals are required for maintenance of friend spleen focus-forming virus-induced fibroblast transformation. J. Virol. 2008, 82, 419–427. [Google Scholar]
- Lombardi, V.C.; Ruscetti, F.W.; Das Gupta, J.; Pfost, M.A.; Hagen, K.S.; Peterson, D.L.; Ruscetti, S.K.; Bagni, R.K.; Petrow-Sadowski, C.; Gold, B.; et al. Detection of an infectious retrovirus, XMRV, in blood cells of patients with chronic fatigue syndrome. Science 2009, 326, 585–589. [Google Scholar] [PubMed]
- Drummond, A.J.; Ashton, B.; Buxton, S.; Cheung, M.; Cooper, A.; Heled, J.; Kearse, M.; Moir, R.; Stones-Havas, S.; Sturrock, S.; et al. Geneious v5.1. 2010. Available online: http://www.geneious.com.
- Goujon, M.; McWilliam, H.; Li, W.; Valentin, F.; Squizzato, S.; Paern, J.; Lopez, R. A new bioinformatics analysis tools framework at EMBL-EBI. Nucleic Acids Res. 2010, 38, W695–W699. [Google Scholar]
- Larkin, M.A.; Blackshields, G.; Brown, N.P.; Chenna, R.; McGettigan, P.A.; McWilliam, H.; Valentin, F.; Wallace, I.M.; Wilm, A.; Lopez, R.; et al. Clustal W and Clustal X version 2.0. Bioinformatics 2007, 23, 2947–2948. [Google Scholar] [PubMed]
© 2011 by the authors; licensee MDPI, Basel, Switzerland. This article is an open-access article distributed under the terms and conditions of the Creative Commons Attribution license (http://creativecommons.org/licenses/by/3.0/).
Share and Cite
Cmarik, J.L.; Troxler, J.A.; Hanson, C.A.; Zhang, X.; Ruscetti, S.K. The Human Lung Adenocarcinoma Cell Line EKVX Produces an Infectious Xenotropic Murine Leukemia Virus. Viruses 2011, 3, 2442-2461. https://doi.org/10.3390/v3122442
Cmarik JL, Troxler JA, Hanson CA, Zhang X, Ruscetti SK. The Human Lung Adenocarcinoma Cell Line EKVX Produces an Infectious Xenotropic Murine Leukemia Virus. Viruses. 2011; 3(12):2442-2461. https://doi.org/10.3390/v3122442
Chicago/Turabian StyleCmarik, Joan L., Jami A. Troxler, Charlotte A. Hanson, Xiang Zhang, and Sandra K. Ruscetti. 2011. "The Human Lung Adenocarcinoma Cell Line EKVX Produces an Infectious Xenotropic Murine Leukemia Virus" Viruses 3, no. 12: 2442-2461. https://doi.org/10.3390/v3122442
APA StyleCmarik, J. L., Troxler, J. A., Hanson, C. A., Zhang, X., & Ruscetti, S. K. (2011). The Human Lung Adenocarcinoma Cell Line EKVX Produces an Infectious Xenotropic Murine Leukemia Virus. Viruses, 3(12), 2442-2461. https://doi.org/10.3390/v3122442
