Development of a Multiplex PCR Method for Efficient Differential Diagnosis of Clinical Cases and Vaccine Immunization of Marek’s Disease
Abstract
1. Introduction
2. Materials and Methods
2.1. Ethics Statement
2.2. Viruses and Cells
2.3. Primer Design and Synthesis
2.4. Primer Test and Positive Control Plasmids
2.5. Establishment of a Multiplex PCR Method
2.6. Determination of the Specificity and Sensitivity of mPCR
2.7. Application of mPCR for Diagnosis of Clinical MD Cases
3. Results
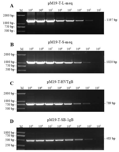
3.1. Specificity of PCR Primers Designed for Amplifying the Viral meq and gB Genes
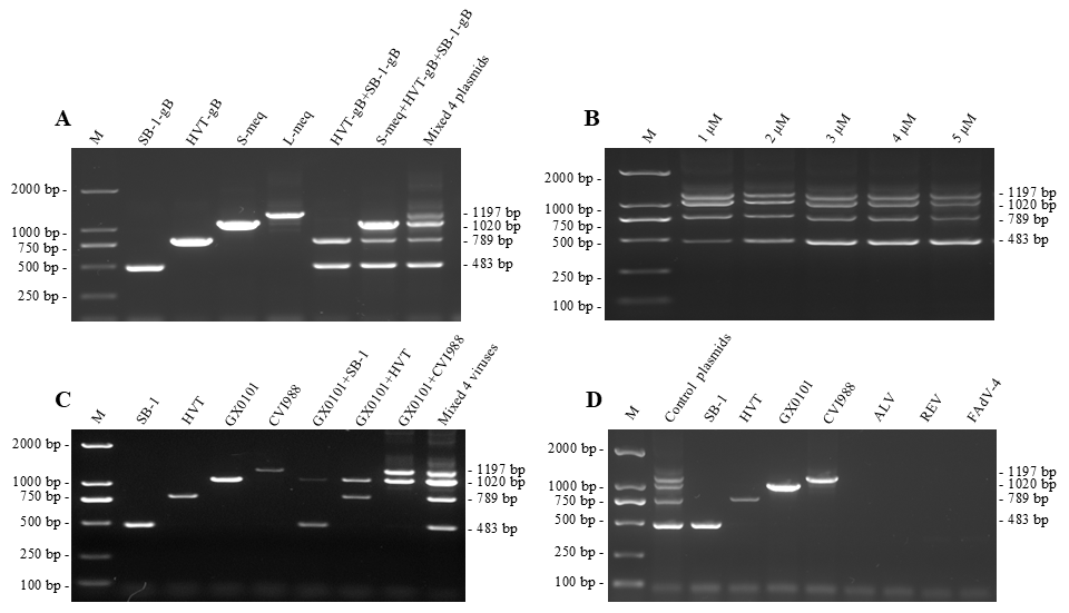
3.2. Optimal Primer Combination and Reaction Conditions for mPCR Amplification
3.3. Specificity and Sensitivity of Newly Developed mPCR Method for Detecting MDV
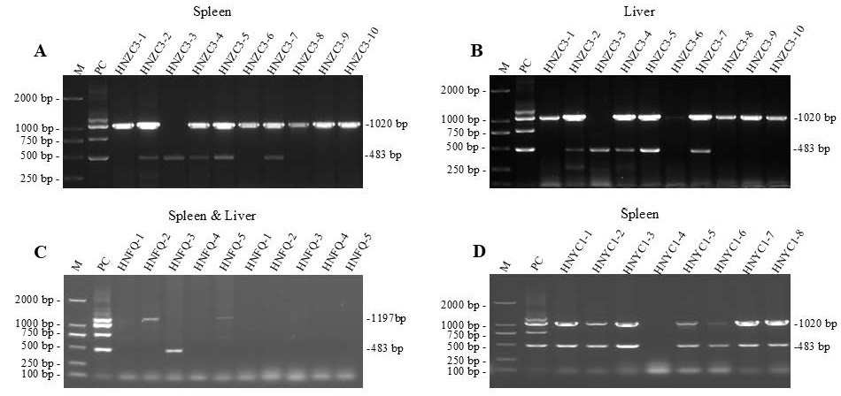
3.4. Clinical Application of mPCR for Diagnosis of MD Cases Differentiating Vaccination
4. Discussion
Supplementary Materials
Author Contributions
Funding
Institutional Review Board Statement
Informed Consent Statement
Data Availability Statement
Acknowledgments
Conflicts of Interest
References
- Nair, V.; Gimeno, I.; Dunn, J. Marek’s disease. In Disease of Poultry; Swayne, John Wiley & Sons: Hoboken, NJ, USA, 2020; pp. 550–586. [Google Scholar]
- Kennedy, D.A.; Cairns, C.; Jones, M.J.; Bell, A.S.; Salathé, R.M.; Baigent, S.J.; Nair, V.K.; Dunn, P.A.; Read, A.F. Industry-Wide Surveillance of Marek’s Disease Virus on Commercial Poultry Farms. Avian Dis. 2017, 61, 153–164. [Google Scholar] [CrossRef]
- Gatherer, D.; Depledge, D.P.; Hartley, C.A.; Szpara, M.L.; Vaz, P.K.; Benkő, M.; Brandt, C.R.; Bryant, N.A.; Dastjerdi, A.; Doszpoly, A.; et al. ICTV Virus Taxonomy Profile: Herpesviridae 2021. J. Gen. Virol. 2021, 102, 001673. [Google Scholar] [CrossRef]
- Schat, K.A. History of the First-Generation Marek’s Disease Vaccines: The Science and Little-Known Facts. Avian Dis. 2016, 60, 715–724. [Google Scholar] [CrossRef] [PubMed]
- Rispens, B.H.; van Vloten, H.; Mastenbroek, N.; Maas, J.L.; Schat, K.A. Control of Marek’s disease in the Netherlands. II. Field trials on vaccination with an avirulent strain (CVI 988) of Marek’s disease virus. Avian Dis. 1972, 16, 126–138. [Google Scholar] [CrossRef] [PubMed]
- Rispens, B.H.; van Vloten, H.; Mastenbroek, N.; Maas, H.J.; Schat, K.A. Control of Marek’s disease in the Netherlands. I. Isolation of an avirulent Marek’s disease virus (strain CVI 988) and its use in laboratory vaccination trials. Avian Dis. 1972, 16, 108–125. [Google Scholar] [CrossRef] [PubMed]
- Witter, R.L.; Lee, L.F.; Fadly, A.M. Characteristics of CVI988/Rispens and R2/23, two prototype vaccine strains of serotype 1 Marek’s disease virus. Avian Dis. 1995, 39, 269–284. [Google Scholar] [CrossRef]
- Tong, K.Z.; Lin, Y.H.; Xiu, Y.W. Study on the immunization of chickens against Marek’s diseasereport on a naturally avirulent vaccine strain of Marek’s disease herpesvirus. Acta Vet. Et Zootech. Sin. 1984, 15, 34–41. [Google Scholar]
- Schat, K.A.; Calnek, B.W. Characterization of an apparently nononcogenic Marek’s disease virus. J. Natl. Cancer Inst. 1978, 60, 1075–1082. [Google Scholar] [CrossRef]
- Witter, R.L.; Nazerian, K.; Purchase, H.G.; Burgoyne, G.H. Isolation from turkeys of a cell-associated herpesvirus antigenically related to Marek’s disease virus. Am. J. Vet. Res. 1970, 31, 525–538. [Google Scholar] [CrossRef]
- Okazaki, W.; Purchase, H.G.; Burmester, B.R. Protection against Marek’s disease by vaccination with a herpesvirus of turkeys. Avian Dis. 1970, 14, 413–429. [Google Scholar] [CrossRef]
- Witter, R.L. Increased virulence of Marek’s disease virus field isolates. Avian Dis. 1997, 41, 149–163. [Google Scholar] [CrossRef]
- Witter, R.L.; Calnek, B.W.; Buscaglia, C.; Gimeno, I.M.; Schat, K.A. Classification of Marek’s disease viruses according to pathotype: Philosophy and methodology. Avian Pathol. 2005, 34, 75–90. [Google Scholar] [CrossRef]
- Liu, J.L.; Teng, M.; Zheng, L.P.; Zhu, F.X.; Ma, S.X.; Li, L.Y.; Zhang, Z.H.; Chai, S.J.; Yao, Y.; Luo, J. Emerging Hypervirulent Marek’s Disease Virus Variants Significantly Overcome Protection Conferred by Commercial Vaccines. Viruses 2023, 15, 1434. [Google Scholar] [CrossRef] [PubMed]
- Teng, M.; Zheng, L.P.; Li, H.Z.; Ma, S.M.; Zhu, Z.J.; Chai, S.J.; Yao, Y.; Nair, V.; Zhang, G.P.; Luo, J. Pathogenicity and Pathotype Analysis of Henan Isolates of Marek’s Disease Virus Reveal Long-Term Circulation of Highly Virulent MDV Variant in China. Viruses 2022, 14, 1651. [Google Scholar] [CrossRef]
- Han, F.; Shi, B.; Zheng, L.P.; Teng, M.; Wang, S.G.; Zhang, W.K.; Peng, Z.F.; Luo, Q.; Li, G.X.; Zhao, Y.X.; et al. Co-Infection and Phylogenetic Evolution of CIAV in Marek’s Disease Tumour-Bearing Flocks in Central China. Viruses 2026, 18, 27. [Google Scholar] [CrossRef] [PubMed]
- Song, B.; Zeb, J.; Hussain, S.; Aziz, M.U.; Circella, E.; Casalino, G.; Camarda, A.; Yang, G.; Buchon, N.; Sparagano, O. A Review on the Marek’s Disease Outbreak and Its Virulence-Related meq Genovariation in Asia between 2011 and 2021. Animals 2022, 12, 40. [Google Scholar] [CrossRef]
- Yu, Z.H.; Teng, M.; Luo, J.; Wang, X.W.; Ding, K.; Yu, L.L.; Su, J.W.; Chi, J.Q.; Zhao, P.; Hu, B.; et al. Molecular characteristics and evolutionary analysis of field Marek’s disease virus prevalent in vaccinated chicken flocks in recent years in China. Virus Genes 2013, 47, 282–291. [Google Scholar] [CrossRef] [PubMed]
- Zheng, L.P.; Teng, M.; Li, G.X.; Zhang, W.K.; Wang, W.D.; Liu, J.L.; Li, L.Y.; Yao, Y.; Nair, V.; Luo, J. Current Epidemiology and Co-Infections of Avian Immunosuppressive and Neoplastic Diseases in Chicken Flocks in Central China. Viruses 2022, 14, 599. [Google Scholar] [CrossRef]
- Baigent, S.J.; Nair, V.K.; Le Galludec, H. Real-time PCR for differential quantification of CVI988 vaccine virus and virulent strains of Marek’s disease virus. J. Virol. Methods 2016, 233, 23–36. [Google Scholar] [CrossRef]
- Gimeno, I.M.; Dunn, J.R.; Cortes, A.L.; El-Gohary Ael, G.; Silva, R.F. Detection and differentiation of CVI988 (Rispens vaccine) from other serotype 1 Marek’s disease viruses. Avian Dis. 2014, 58, 232–243. [Google Scholar] [CrossRef]
- Islam, A.; Harrison, B.; Cheetham, B.F.; Mahony, T.J.; Young, P.L.; Walkden-Brown, S.W. Differential amplification and quantitation of Marek’s disease viruses using real-time polymerase chain reaction. J. Virol. Methods 2004, 119, 103–113. [Google Scholar] [CrossRef] [PubMed]
- Renz, K.G.; Cheetham, B.F.; Walkden-Brown, S.W. Differentiation between pathogenic serotype 1 isolates of Marek’s disease virus and the Rispens CVI988 vaccine in Australia using real-time PCR and high resolution melt curve analysis. J. Virol. Methods 2013, 187, 144–152. [Google Scholar] [CrossRef] [PubMed]
- Walkden-Brown, S.W.; Islam, A.F.; Groves, P.J.; Rubite, A.; Sharpe, S.M.; Burgess, S.K. Development, application, and results of routine monitoring of Marek’s disease virus in broiler house dust using real-time quantitative PCR. Avian Dis. 2013, 57, 544–554. [Google Scholar] [CrossRef] [PubMed]
- Zelník, V. Use of nucleic acids amplification methods in Marek’s disease diagnosis and pathogenesis studies. Acta Virol. 2021, 65, 27–32. [Google Scholar] [CrossRef]
- Teng, M.; Liu, J.L.; Luo, Q.; Zheng, L.P.; Yao, Y.; Nair, V.; Zhang, G.P.; Luo, J. Efficient Cross-Screening and Characterization of Monoclonal Antibodies against Marek’s Disease Specific Meq Oncoprotein Using CRISPR/Cas9-Gene-Edited Viruses. Viruses 2023, 15, 817. [Google Scholar] [CrossRef]
- Teng, M.; Zhou, Z.Y.; Yao, Y.; Nair, V.; Zhang, G.P.; Luo, J. A New Strategy for Efficient Screening and Identification of Monoclonal Antibodies against Oncogenic Avian Herpesvirus Utilizing CRISPR/Cas9-Based Gene-Editing Technology. Viruses 2022, 14, 2045. [Google Scholar] [CrossRef]
- Piepenburg, O.; Williams, C.H.; Stemple, D.L.; Armes, N.A. DNA detection using recombination proteins. PLoS Biol. 2006, 4, e204. [Google Scholar] [CrossRef]
- Woźniakowski, G.; Samorek-Salamonowicz, E.; Kozdruń, W. Comparison of loop-mediated isothermal amplification and PCR for the detection and differentiation of Marek’s disease virus serotypes 1, 2, and 3. Avian Dis. 2013, 57, 539–543. [Google Scholar] [CrossRef]
- Zeng, F.; Wu, M.; Ma, L.; Han, Z.; Shi, Y.; Zhang, Y.; Liu, C.; Zhang, S.; Cong, F.; Liu, S. Rapid and sensitive real-time recombinase polymerase amplification for detection of Marek’s disease virus. Mol. Cell. Probes 2019, 48, 101468. [Google Scholar] [CrossRef]
- Kannaki, T.R.; Edigi, P.; Yalagandula, N.; Haunshi, S. Simultaneous detection and differentiation of three oncogenic viral diseases of chicken by use of multiplex PCR. Anim. Biotechnol. 2022, 33, 1760–1765. [Google Scholar] [CrossRef]
- Wang, L.C.; Huang, D.; Pu, C.E.; Wang, C.H. Avian oncogenic virus differential diagnosis in chickens using oligonucleotide microarray. J. Virol. Methods 2014, 210, 45–50. [Google Scholar] [CrossRef]
- Wu, S.; Ding, T.; Shao, H.; Qian, K.; Ye, J.; Qin, A. A quadruplex real-time PCR assay combined with a conventional PCR for the differential detection of Marek’s disease virus vaccines and field strains. Front. Vet. Sci. 2023, 10, 1161441. [Google Scholar] [CrossRef]
- Ortigas-Vasquez, A.; Bowen, C.D.; Renner, D.W.; Baigent, S.J.; Zhang, Y.; Yao, Y.; Nair, V.; Kennedy, D.A.; Szpara, M.L. High-fidelity long-read sequencing of an avian herpesvirus reveals extensive intrapopulation diversity in tandem repeat regions. PLoS Pathog. 2025, 21, e1013435. [Google Scholar] [CrossRef]




| Serotype | Target | Primer | Type | Sequence (5′-3′) | Length (nt) | Genomic Location | Amplicons (bp) |
|---|---|---|---|---|---|---|---|
| MDV-1 | S-meq/L-meq | meq-2F | 5′ | ATGTCTCAGGAGCCAGAGCCGGGCGCTAT | 29 | 133603–133631 a,b | 1020/1197 |
| meq-2R | 5′ | TCAGGGTCTCCCGTCACCTGGAAACCACCA | 30 | 134593–134622 a,b | |||
| MDV-2 | SB-1 gB | SB-1-1F | 5′ | TGCCCCATACCGTTGAACAATTCCGCC | 27 | 59051–59077 c | 789 |
| SB-1-1R | 5′ | GCAGAATTCCATGAGGGTCGC | 21 | 59513–59533 c | |||
| MDV-3 | HVT gB | SB-1-1F | 5′ | TGCCCCATACCGTTGAACAATTCCGCC | 27 | 59051–59077 c | 483 |
| HVT-8R | 5′ | CGCCTCGTCCGGCAAGGCCATCTTGA | 26 | 53806–53831 d |
| No. | Poultry Farm | Breeds | Category | Positive Rates of Virus Infection | |||||||||||
|---|---|---|---|---|---|---|---|---|---|---|---|---|---|---|---|
| Spleen | Liver | Total | |||||||||||||
| S-meq | L-meq | HVT | SB-1 | S-meq | L-meq | HVT | SB-1 | S-meq | L-meq | HVT | SB-1 | ||||
| 1 | HNZMD | Liangfenghua | Broiler | 11/11 (100%) | 0/11 (0%) | 0/11 (0%) | 0/11 (0%) | 11/11 (100%) | 0/11 (0%) | 0/11 (0%) | 0/11 (0%) | 22/22 (100%) | 0/22 (0%) | 0/22 (0%) | 0/22 (0%) |
| 2 | HNXZ1 | Partridge chicken | Layer | 5/6 (83.3%) | 0/6 (0%) | 0/6 (0%) | 6/6 (100%) | 5/6 (83.3%) | 0/6 (0%) | 0/6 (0%) | 5/6 (83%) | 10/12 (83.3%) | 0/12 (0%) | 0/12 (0%) | 11/12 (91.6%) |
| 3 | HNZM | Partridge chicken | Broiler | 1/12 (8.3%) | 0/12 (0%) | 0/12 (0%) | 0/12 (0%) | 0/12 (0%) | 0/12 (0%) | 0/12 (0%) | 1/12 (8.3%) | 1/24 (4.2%) | 0/24 (0%) | 0/24 (0%) | 1/24 (4.2%) |
| 4 | HNXZ2 | Liangfenghua | Layer | 0/3 (0%) | 0/3 (0%) | 0/3 (0%) | 0/3 (0%) | 0/3 (0%) | 0/3 (0%) | 0/3 (0%) | 0/3 (0%) | 0/6 (0%) | 0/6 (0%) | 0/6 (0%) | 0/6 (0%) |
| 5 | HNYY1 | Jinghong | Layer | 15/15 (100%) | 0/15 (0%) | 0/15 (0%) | 14/15 (93.3%) | 13/15 (86.6%) | 0/15 (0%) | 0/15 (0%) | 12/15 (80%) | 28/30 (93.3%) | 0/30 (0%) | 0/30 (0%) | 26/30 (86.6%) |
| 6 | HNLK1 | Hyline Brown | Layer | 4/15 (26.6%) | 1/15 (6.6%) | 0/15 (0%) | 13/15 (86.6%) | 2/15 (13.3%) | 0/15 (0%) | 0/15 (0%) | 11/15 (73.3%) | 6/30 (20%) | 1/30 (3.3%) | 0/30 (0%) | 24/30 (80%) |
| 7 | HNLK2 | Jinghong | Layer | 3/9 (33.3%) | 1/9 (11.1%) | 0/9 (0%) | 7/9 (77.8%) | 0/9 (0%) | 0/9 (0%) | 1/9 (11.1%) | 8/9 (88.9%) | 3/18 (16.6%) | 1/18 (5.5%) | 1/18 (5.5%) | 15/18 (83.3%) |
| 8 | HNZC1 | Jinghong | Layer | 6/6 (100%) | 0/6 (0%) | 0/6 (0%) | 5/6 (83.3%) | 5/6 (83.3%) | 0/6 (0%) | 0/6 (0%) | 4/6 (66.7%) | 11/12 (91.6%) | 0/12 (0%) | 0/12 (0%) | 9/12 (75%) |
| 9 | HNSQ1 | Jinghong | Layer | 11/12 (91.6%) | 0/12 (0%) | 0/12 (0%) | 4/12 (33.3%) | 10/12 (83.3%) | 0/12 (0%) | 0/12 (0%) | 3/12 (25%) | 21/24 (87.5%) | 0/24 (0%) | 0/24 (0%) | 7/24 (29.1%) |
| 10 | HNLY1 | Jinghong | Layer | 4/4 (100%) | 0/4 (0%) | 0/4 (0%) | 1/4 (25%) | 4/4 (100%) | 0/4 (0%) | 0/4 (0%) | 1/4 (25%) | 8/8 (100%) | 0/8 (0%) | 0/8 (0%) | 2/8 (25%) |
| 11 | HNYC1 | Jinghong | Layer | 8/9 (88.9%) | 0/9 (0%) | 0/9 (0%) | 8/9 (88.9%) | 4/9 (44.4%) | 0/9 (0%) | 0/9 (0%) | 5/9 (55.5%) | 12/18 (66.7%) | 0/18 (0%) | 0/18 (0%) | 13/18 (72.2%) |
| 12 | SDCX1 | Jinghong | Layer | 9/9 (100%) | 0/9 (0%) | 0/9 (0%) | 8/9 (88.9%) | 9/9 (100%) | 0/9 (0%) | 0/9 (0%) | 8/9 (88.9%) | 18/18 (100%) | 0/18 (0%) | 0/18 (0%) | 16/18 (88.9%) |
| 13 | SDSX | Jinghong | Layer | 2/7 (28.5%) | 0/7 (0%) | 0/7 (0%) | 5/7 (71.4%) | 2/7 (28.5%) | 0/7 (0%) | 0/7 (0%) | 2/7 (28.5%) | 4/14 (28.5%) | 0/14 (0%) | 0/14 (0%) | 7/14 (50%) |
| 14 | SDCW | Hyline Brown | Layer | 9/11 (81.8%) | 0/11 (0%) | 0/11 (0%) | 3/11 (27.3%) | 9/11 (81.8%) | 0/11 (0%) | 0/11 (0%) | 3/11 (27%) | 18/22 (81.8%) | 0/22 (0%) | 0/22 (0%) | 6/22 (27.2%) |
| 15 | SDCX2 | Jinghong | Layer | 6/7 (85.7%) | 0/7 (0%) | 0/7 (0%) | 7/7 (100%) | 5/7 (71.4%) | 0/7 (0%) | 0/7 (0%) | 7/7 (100%) | 11/14 (78.5%) | 0/14 (0%) | 0/14 (0%) | 14/14 (100%) |
| 16 | HNSQ2 | Jinghong | Layer | 4/5 (80%) | 0/5 (0%) | 0/5 (0%) | 3/5 (60%) | 4/5 (80%) | 0/5 (0%) | 0/5 (0%) | 3/5 (60%) | 8/10 (80%) | 0/10 (0%) | 0/10 (0%) | 6/10 (60%) |
| 17 | HNSC | Hyline Brown | Layer | 13/14 (92.8%) | 0/14 (0%) | 0/14 (0%) | 10/14 (71.4%) | 13/14 (92.8%) | 0/14 (0%) | 0/14 (0%) | 9/14 (64.2%) | 26/28 (92.8%) | 0/28 (0%) | 0/28 (0%) | 19/28 (67.8%) |
| 18 | HNYC2 | Jinghong | Layer | 13/14 (92.8%) | 0/14 (0%) | 0/14 (0%) | 6/14 (42.8%) | 9/14 (64.2%) | 0/14 (0%) | 0/14 (0%) | 2/14 (14.2%) | 22/28 (78.5%) | 0/28 (0%) | 0/28 (0%) | 8/28 (28.5%) |
| 19 | HNZC2 | Jinghong | Layer | 11/12 (91.6%) | 0/12 (0%) | 0/12 (0%) | 7/12 (58.3%) | 11/12 (91.6%) | 0/12 (0%) | 0/12 (0%) | 7/12 (58.3%) | 22/24 (91.6%) | 0/24 (0%) | 0/24 (0%) | 14/24 (58.4%) |
| 20 | HNXZ3 | Partridge chicken | Breeder | 5/8 (62.5%) | 0/8 (0%) | 0/8 (0%) | 5/8 (62.5%) | 4/8 (50%) | 0/8 (0%) | 0/8 (0%) | 3/8 (37.5%) | 9/16 (56.2%) | 0/16 (0%) | 0/16 (0%) | 8/16 (50%) |
| 21 | HNQX | Jinghong | Layer | 9/9 (100%) | 0/9 (0%) | 0/9 (0%) | 3/9 (33.3%) | 9/9 (100%) | 0/9 (0%) | 0/9 (0%) | 2/9 (22.2%) | 18/18 (100%) | 0/18 (0%) | 0/18 (0%) | 5/18 (27.8%) |
| 22 | HNZC3 | Jinghong | Layer | 3/5 (60%) | 0/5 (0%) | 0/5 (0%) | 4/5 (80%) | 2/5 (40%) | 0/5 (0%) | 0/5 (0%) | 4/5 (80%) | 5/10 (50%) | 0/10 (0%) | 0/10 (0%) | 8/10 (80%) |
| 23 | HNYY2 | Jinghong | Layer | 0/5 (0%) | 3/5 (60%) | 0/5 (0%) | 1/5 (20%) | 0/5 (0%) | 1/5 (20%) | 0/5 (0%) | 0/5 (0%) | 0/10 (0%) | 4/10 (40%) | 0/10 (0%) | 1/10 (10%) |
| 24 | HNPDS | Hyline Brown | Layer | 0/6 (0%) | 0/6 (0%) | 0/6 (0%) | 6/6 (100%) | 0/6 (0%) | 0/6 (0%) | 0/6 (0%) | 6/6 (100%) | 0/12 (0%) | 0/12 (0%) | 0/12 (0%) | 12/12 (100%) |
| 25 | HNLY2 | Jinghong | Layer | 0/6 (0%) | 0/6 (0%) | 0/6 (0%) | 4/6 (66.7%) | 0/6 (0%) | 0/6 (0%) | 0/6 (0%) | 2/6 (33.3%) | 0/12 (0%) | 0/12 (0%) | 0/12 (0%) | 6/12 (50%) |
| 26 | HNZC4 | Hyline Brown | Layer | 5/8 (62.5%) | 0/8 (0%) | 0/8 (0%) | 6/8 (75%) | 6/8 (75%) | 0/8 (0%) | 0/8 (0%) | 6/8 (75%) | 11/16 (68.7%) | 0/16 (0%) | 0/16 (0%) | 13/16 (81.25%) |
| 27 | HNSX | Jinghong | Layer | 5/5 (100%) | 0/5 (0%) | 0/5 (0%) | 0/5 (0%) | 5/5 (100%) | 0/5 (0%) | 0/5 (0%) | 0/5 (0%) | 10/10 (100%) | 0/10 (0%) | 0/10 (0%) | 0/10 (0%) |
| 28 | HNZC5 | Jinghong | Layer | 5/7 (71.4%) | 0/7 (0%) | 0/7 (0%) | 0/7 (0%) | 5/7 (71.4%) | 0/7 (0%) | 0/7 (0%) | 1/7 (14.2%) | 10/14 (71.4%) | 0/14 (0%) | 0/14 (0%) | 1/14 (7.1%) |
| 29 | HNFQ | Hyline Brown | Layer | 1/11 (9%) | 0/11 (0%) | 0/11 (0%) | 11/11 (100%) | 0/11 (0%) | 0/11 (0%) | 0/11 (0%) | 11/11 (100%) | 1/22 (4.5%) | 0/22 (0%) | 0/22 (0%) | 22/22 (100%) |
| 30 | HNWS | Muyuan Red | Layer | 1/20 (5%) | 7/20 (35%) | 0/20 (0%) | 18/20 (90%) | UA | UA | UA | UA | 1/20 (5%) | 7/20 (35%) | 0/20 (0%) | 18/20 (90%) |
| Total | NA | NA | 169/271 (62.4%) | 12/271 (4.4%) | 0/271 (0%) | 165/271 (60.9%) | 147/251 (58.6%) | 1/251 (0.4%) | 1/251 (0.4%) | 127/251 (50.6%) | 316/522 (60.5%) | 13/522 (2.5%) | 1/522 (0.2%) | 292/522 (55.9%) | |
| No. | Poultry Farm | Breeds | Category | Positive Rates | |||||
|---|---|---|---|---|---|---|---|---|---|
| mPCR | PCR | ||||||||
| meq Genes | meq Genes | ||||||||
| S-meq | L-meq | S-meq + L-meq | S-meq | L-meq | S-meq + L-meq | ||||
| 1 | HNSQ1 | Jinghong | Layer | 9/10 (90%) | 0/10 (0%) | 9/10 (90%) | 9/10 (90%) | 0/10 (0%) | 9/10 (90%) |
| 2 | SDCW | Hyline Brown | Layer | 7/10 (70%) | 0/10 (0%) | 7/10 (70%) | 8/10 (80%) | 0/10 (0%) | 8/10 (80%) |
| 3 | HNSC | Hyline Brown | Layer | 9/10 (90%) | 0/10 (0%) | 9/10 (90%) | 9/10 (90%) | 0/10 (0%) | 9/10 (90%) |
| 4 | HNZC2 | Jinghong | Layer | 9/10 (90%) | 0/10 (0%) | 9/10 (90%) | 9/10 (90%) | 0/10 (0%) | 9/10 (90%) |
| 5 | SDCX1 | Jinghong | Layer | 9/10 (90%) | 0/10 (0%) | 9/10 (90%) | 9/10 (90%) | 0/10 (0%) | 9/10 (90%) |
| 6 | HNQX | Jinghong | Layer | 10/10 (100%) | 0/10 (0%) | 10/10 (100%) | 10/10 (100%) | 0/10 (0%) | 10/10 (100%) |
| 7 | HNYC2 | Jinghong | Layer | 10/10 (100%) | 0/10 (0%) | 10/10 (100%) | 10/10 (100%) | 0/10 (0%) | 10/10 (100%) |
| 8 | HNWS | Muyuan Red | Layer | 1/10 (10%) | 5/10 (50%) | 6/10 (60%) | 1/10 (60%) | 5/10 (0%) | 6/10 (60%) |
| 9 | HNZMD | Liangfenghua | Broiler | 10/10 (100%) | 0/10 (0%) | 10/10 (100%) | 10/10 (100%) | 0/10 (0%) | 10/10 (100%) |
| 10 | HNFQ | Hyline Brown | Layer | 1/10 (10%) | 0/10 (0%) | 1/10 (10%) | 1/10 (10%) | 0/10 (0%) | 1/10 (10%) |
| Total | 75/100 (75%) | 5/100 (5%) | 80/100 (80%) | 76/100 (76%) | 5/100 (5%) | 81/100 (81%) | |||
Disclaimer/Publisher’s Note: The statements, opinions and data contained in all publications are solely those of the individual author(s) and contributor(s) and not of MDPI and/or the editor(s). MDPI and/or the editor(s) disclaim responsibility for any injury to people or property resulting from any ideas, methods, instructions or products referred to in the content. |
© 2026 by the authors. Licensee MDPI, Basel, Switzerland. This article is an open access article distributed under the terms and conditions of the Creative Commons Attribution (CC BY) license.
Share and Cite
Zhang, W.-K.; Teng, M.; Zheng, L.-P.; Shi, B.; Wang, W.-D.; Li, G.-X.; Zhao, Y.-X.; Yang, Z.; Yu, Z.-H.; Luo, J. Development of a Multiplex PCR Method for Efficient Differential Diagnosis of Clinical Cases and Vaccine Immunization of Marek’s Disease. Viruses 2026, 18, 471. https://doi.org/10.3390/v18040471
Zhang W-K, Teng M, Zheng L-P, Shi B, Wang W-D, Li G-X, Zhao Y-X, Yang Z, Yu Z-H, Luo J. Development of a Multiplex PCR Method for Efficient Differential Diagnosis of Clinical Cases and Vaccine Immunization of Marek’s Disease. Viruses. 2026; 18(4):471. https://doi.org/10.3390/v18040471
Chicago/Turabian StyleZhang, Wen-Kai, Man Teng, Lu-Ping Zheng, Bin Shi, Wei-Dong Wang, Gui-Xi Li, Yong-Xu Zhao, Zhen Yang, Zu-Hua Yu, and Jun Luo. 2026. "Development of a Multiplex PCR Method for Efficient Differential Diagnosis of Clinical Cases and Vaccine Immunization of Marek’s Disease" Viruses 18, no. 4: 471. https://doi.org/10.3390/v18040471
APA StyleZhang, W.-K., Teng, M., Zheng, L.-P., Shi, B., Wang, W.-D., Li, G.-X., Zhao, Y.-X., Yang, Z., Yu, Z.-H., & Luo, J. (2026). Development of a Multiplex PCR Method for Efficient Differential Diagnosis of Clinical Cases and Vaccine Immunization of Marek’s Disease. Viruses, 18(4), 471. https://doi.org/10.3390/v18040471

