Unilateral and Reversible Hypoglossal Nerve Palsy in Infectious Mononucleosis Syndromes: Two Rare Cases from Our Clinic
Abstract
1. Introduction
2. Case Reports
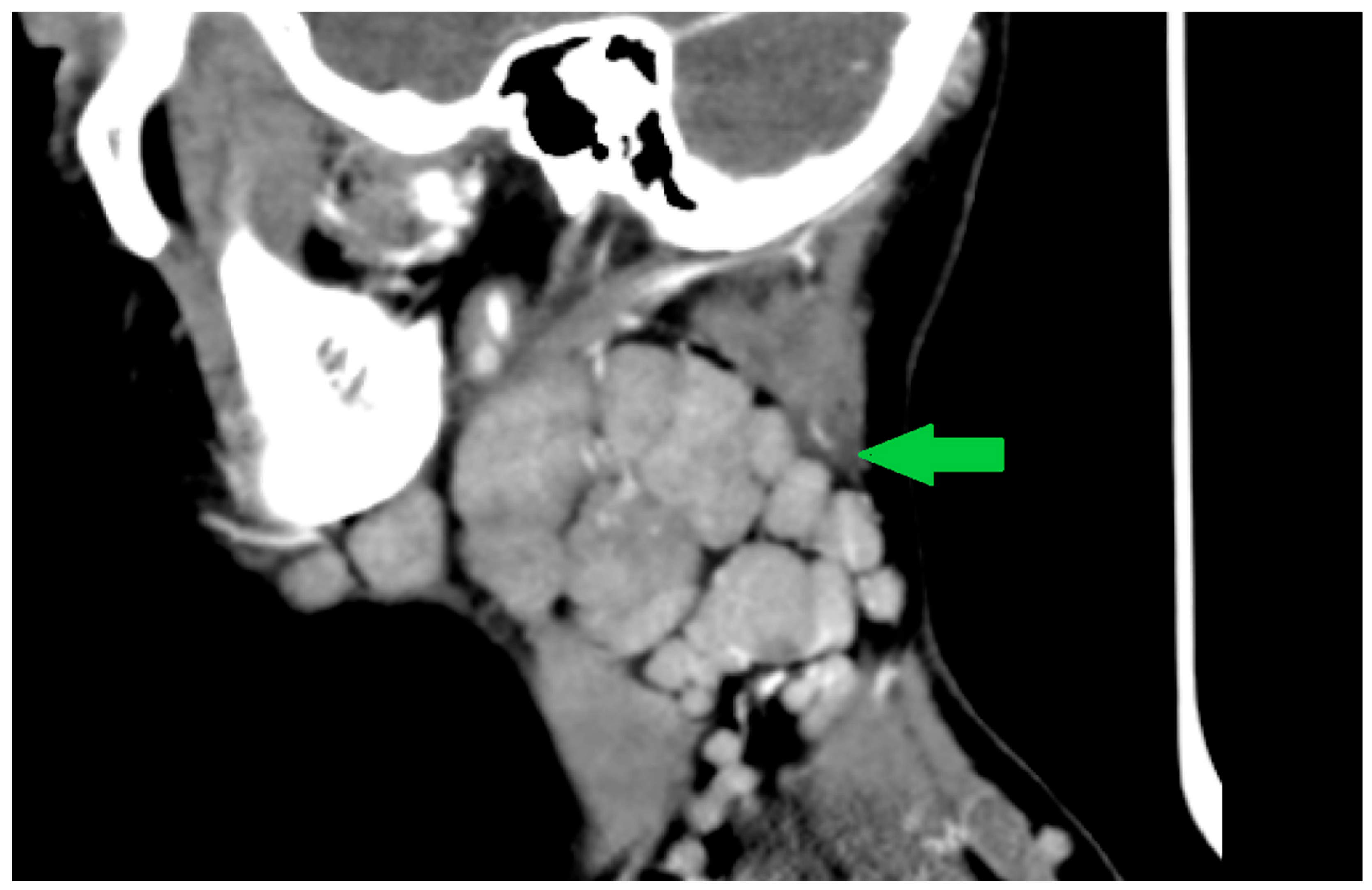
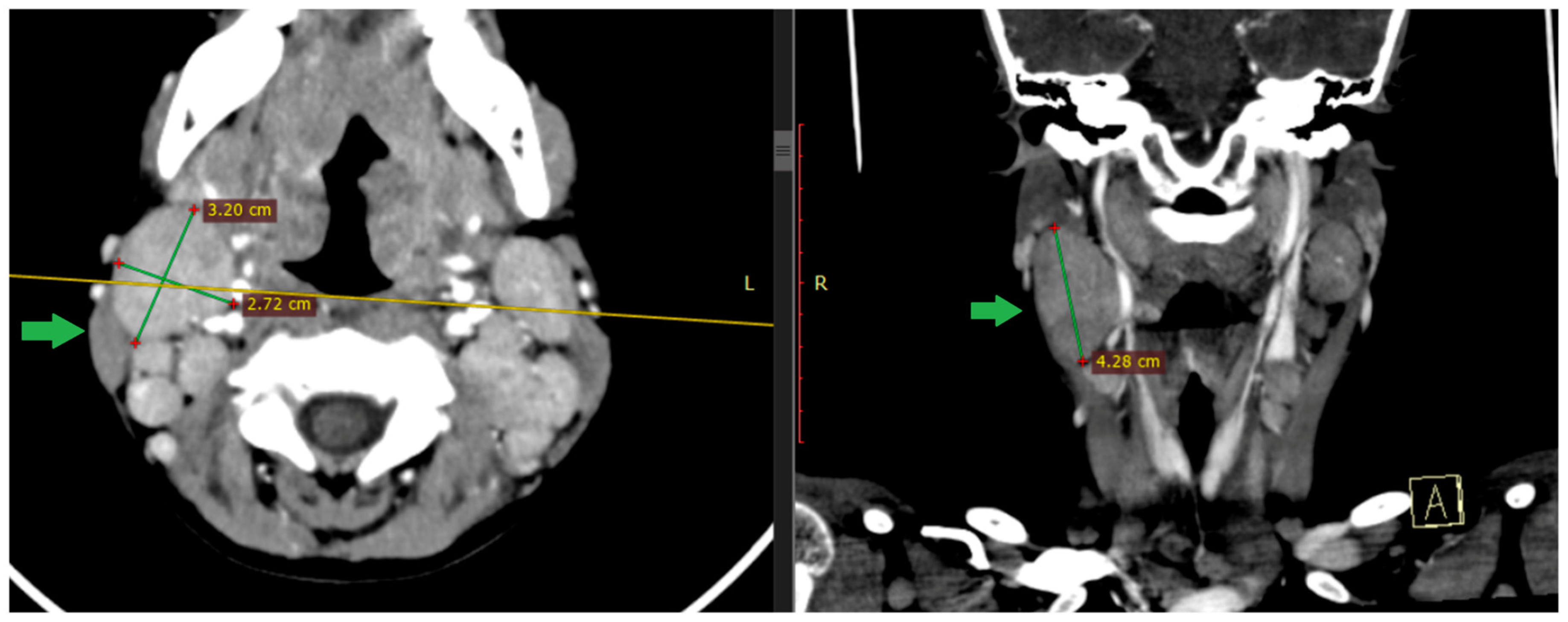
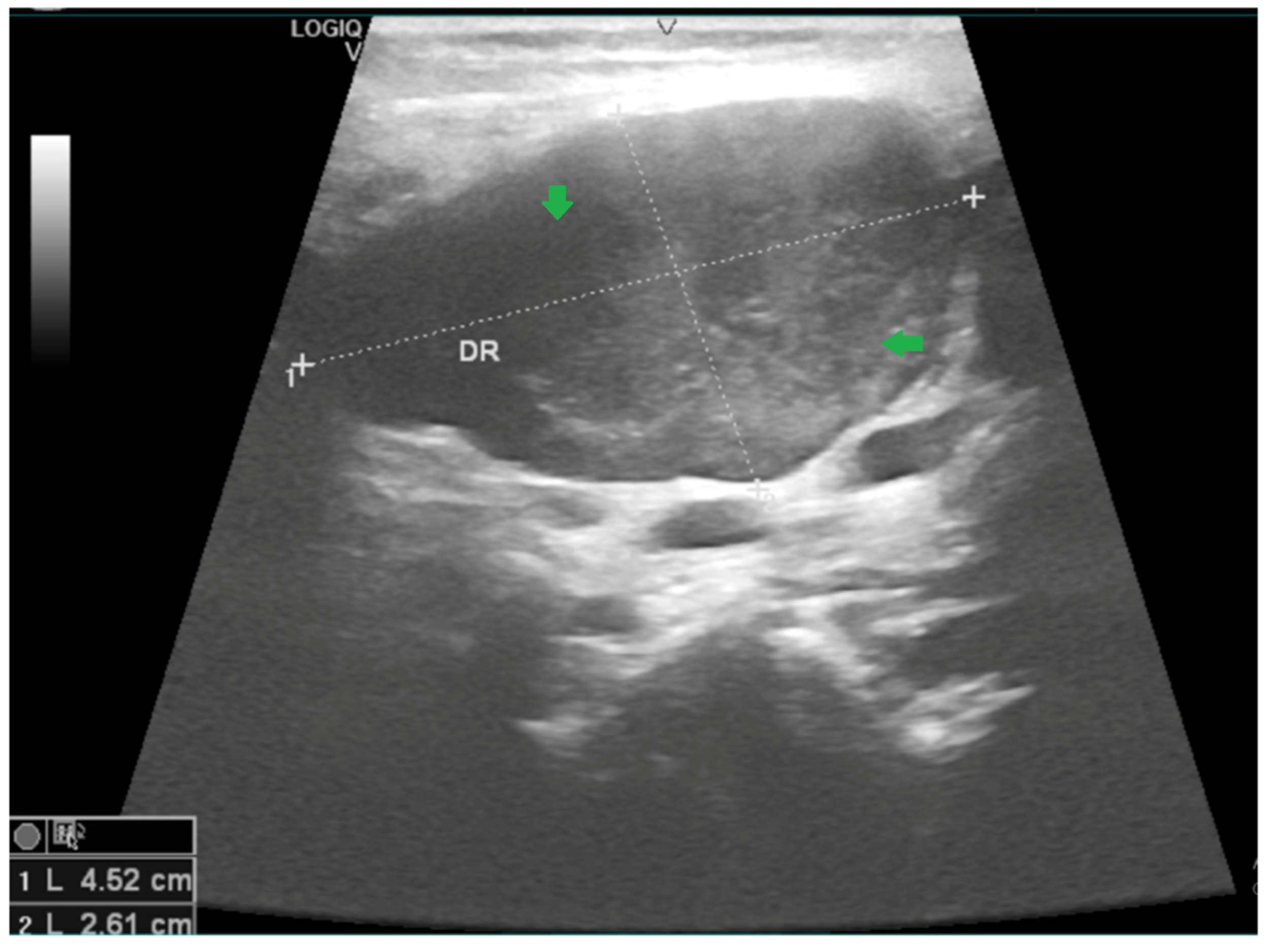
2.1. Case 1
2.2. Case 2
3. Discussion
4. Conclusions
Author Contributions
Funding
Institutional Review Board Statement
Informed Consent Statement
Data Availability Statement
Acknowledgments
Conflicts of Interest
References
- Luzuriaga, K.; Sullivan, J.L. Infectious mononucleosis. N. Engl. J. Med. 2010, 362, 1993–2000. [Google Scholar] [CrossRef] [PubMed]
- Sylvester, J.E.; Buchanan, B.K.; Silva, T.W. Infectious mononucleosis: Rapid evidence review. Am. Fam. Physician 2023, 107, 71–78. [Google Scholar] [PubMed]
- Ebell, M.H.; Call, M.; Shinholser, J.; Gardner, J. Does this patient have infectious mononucleosis? The Rational Clinical Examination systematic review. JAMA 2016, 315, 1502–1509. [Google Scholar] [CrossRef] [PubMed]
- Węgiel, A.; Zielińska, N.; Głowacka, M.; Olewnik, Ł. Hypoglossal nerve neuropathies—Analysis of causes and anatomical background. Biomedicines 2024, 12, 864. [Google Scholar] [CrossRef] [PubMed]
- Scannapiecoro, C.; Indolfi, G.; Temperino, V.; Trapani, S. Hypoglossal nerve palsy in infectious mononucleosis and Fusobacterium necrophorum tonsillitis: A case report and literature review. Ital. J. Pediatr. 2025, 51, 282. Available online: https://ijponline.biomedcentral.com/articles/10.1186/s13052-025-01905-z (accessed on 12 October 2025). [CrossRef] [PubMed]
- Merisescu, M.M.; Luminos, M.L.; Pavelescu, C.; Jugulete, G. Clinical features and outcomes of the association of co-infections in children with laboratory-confirmed influenza during the 2022–2023 season: A Romanian perspective. Viruses 2023, 15, 2035. [Google Scholar] [CrossRef] [PubMed]
- Jugulete, G.; Merisescu, M.M.; Bastian, A.E.; Zurac, S.; Stoicescu, S.M.; Luminos, M.L. Severe form of A1H1 influenza in a child—Case presentation. Rom. J. Leg. Med. 2018, 26, 387–391. Available online: https://www.rjlm.ro/system/revista/48/387-391.pdf (accessed on 12 October 2025).
- DeSimone, P.A.; Snyder, D. Hypoglossal nerve palsy in infectious mononucleosis. Neurology 1978, 28, 844–847. [Google Scholar] [CrossRef] [PubMed]
- Lazar, M.; Moroti, R.; Barbu, E.C.; Chitu-Tisu, C.E.; Tiliscan, C.; Erculescu, T.M.; Rosca, R.R.; Frasila, S.; Schmilevschi, E.T.; Simion, V.; et al. The Impact of HIV on Early Brain Aging—A Pathophysiological (Re)View. J. Clin. Med. 2024, 13, 7031. [Google Scholar] [CrossRef] [PubMed]
- Parano, E.; Giuffrida, S.; Restivo, D.; Saponara, R.; Greco, F.; Trifiletti, R.R. Reversible palsy of the hypoglossal nerve complicating infectious mononucleosis in a young child. Neuropediatrics 1998, 29, 46–47. [Google Scholar] [CrossRef] [PubMed]
- Johns, M.M.; Hogikyan, N.D. Simultaneous vocal fold and tongue paresis secondary to Epstein–Barr virus infection. Arch. Otolaryngol. Head Neck Surg. 2000, 126, 1491–1494. [Google Scholar] [CrossRef] [PubMed]
- Pérez-Pérez, J. Isolated palsy of the hypoglossal nerve complicating infectious mononucleosis. Infection 2011, 39, 275–277. [Google Scholar] [PubMed]
- Jugulete, G.; Merisescu, M.; Bastian, A.E.; Luminos, M. Clinical Aspects and Medico-Legal Implications of Purpura Fulminans in Children. Rom. J. Leg. Med. 2017, 25, 364–368. [Google Scholar] [CrossRef]








| Hospital Day | 1 | 5 | 28 (Follow-Up) | Normal Values |
|---|---|---|---|---|
| WBC (mm3) | 16,380 | 16,770 | 5990 | 4500–13,500 |
| Neutrophils (mm3) | 9480 | 9070 | 2430 | 1800–8000 |
| Lymphocytes (mm3) | 4570 | 5360 | 3110 | 3000–9500 |
| Monocytes (mm3) | 1980 | 1900 | 240 | 0.0–0.7 |
| ALT (U/L) | 501 | 194 | 33 | 24–45 |
| AST (U/L) | 322 | 84 | 20 | 22–49 |
| GGT(U/L) | 167 | 109 | 14 | 12–43 |
| CRP (mg/L) | 40 | 22 | 3 | 0–3 |
| D-Dimers (mg/L) | 0.55 | 0.3 | − | <0.25 |
| IgM Epstein–Barr ELISA | positive | positive |
| Hospital day | 1 | 4 | 28 (Follow-Up) | Normal Values |
|---|---|---|---|---|
| WBC (mm3) | 9020 | 12,060 | 8090 | 4500–13,500 |
| Neutrophils (mm3) | 5840 | 6490 | 4960 | 1800–8000 |
| Lymphocytes (mm3) | 2000 | 4200 | 2210 | 3000–9500 |
| Monocytes (mm3) | 0.47 | 1230 | 660 | 0.0–0.7 |
| ALT (U/L) | 50 | − | 45 | 24–45 |
| AST (U/L) | 45 | − | 35 | 22–49 |
| GGT(U/L) | 28 | − | 14 | 12–43 |
| CRP (mg/L) | 6.14 | 10 | 2 | 0–3 |
| D-Dimers (mg/L) | 0.5 | 0.2 | − | <0.25 |
| IgM Cytomegalovirus ELISA | − | positive | positive | |
| IgG Cytomegalovirus ELISA | − | negative | borderline positive |
| Pathogen Considered | Diagnostic Approach | Specimen Type | Timing of Testing | Case 1 | Case 2 | Relevant Anamnesis |
|---|---|---|---|---|---|---|
| B. henselae/B. quintana | Serology | Blood | Day 1 | Negative | Negative | C1, C2: No cat/dog contact |
| Herpesviruses | Serology | Blood | Day 1 | Negative | Negative | |
| (HSV-1/2, VZV, HHV-6/7) | ||||||
| Enterovirus | Serology | Blood | Day 1 | Negative | Negative | |
| Adenovirus | PCR | Respiratory sample | Day 1 | Negative | Negative | |
| SARS-CoV-2 | PCR | Respiratory sample | Day 1 | Negative | Negative | |
| Influenza viruses | PCR | Respiratory sample | Day 1 | Negative | Negative | |
| M. pneumoniae | PCR | Respiratory sample | Day 1 | Negative | Negative | |
| Parvovirus B19 | Serology | Blood | Day 1 | Negative | Negative | |
| Borrelia spp. | PCR | Blood | Day 1 | Negative | Negative | C1, C2: No tick contact/exposure or prior tick bite was documented in either case |
| T. gondii | Serology | Blood | Day 1 | Negative | Negative | |
| M. tuberculosis | IGRA | Blood | Day 1 | Negative | Negative | C1, C2: No TB contact; C1, C2: BCG-vaccinated |
| HIV | Serology | Blood | Day 1 | Negative | Negative | |
| Hepatitis viruses (HAV, HBV, HCV, HEV) | Serology | Blood | Day 1 | Negative | Negative | |
| T. pallidum | Serology | Blood | Day 1 | Negative | Negative | |
| Pyogenic tonsillitis pathogens | Culture | Throat swab | Day 1 | Negative | Negative |
Disclaimer/Publisher’s Note: The statements, opinions and data contained in all publications are solely those of the individual author(s) and contributor(s) and not of MDPI and/or the editor(s). MDPI and/or the editor(s) disclaim responsibility for any injury to people or property resulting from any ideas, methods, instructions or products referred to in the content. |
© 2026 by the authors. Licensee MDPI, Basel, Switzerland. This article is an open access article distributed under the terms and conditions of the Creative Commons Attribution (CC BY) license.
Share and Cite
Jugulete, G.; Merișescu, M.M.; Totoianu, A.; Oros, M.; Olariu, M.C.; Borcos, B. Unilateral and Reversible Hypoglossal Nerve Palsy in Infectious Mononucleosis Syndromes: Two Rare Cases from Our Clinic. Viruses 2026, 18, 200. https://doi.org/10.3390/v18020200
Jugulete G, Merișescu MM, Totoianu A, Oros M, Olariu MC, Borcos B. Unilateral and Reversible Hypoglossal Nerve Palsy in Infectious Mononucleosis Syndromes: Two Rare Cases from Our Clinic. Viruses. 2026; 18(2):200. https://doi.org/10.3390/v18020200
Chicago/Turabian StyleJugulete, Gheorghiță, Mădălina Maria Merișescu, Alexandra Totoianu, Mihaela Oros, Mihaela Cristina Olariu, and Bianca Borcos. 2026. "Unilateral and Reversible Hypoglossal Nerve Palsy in Infectious Mononucleosis Syndromes: Two Rare Cases from Our Clinic" Viruses 18, no. 2: 200. https://doi.org/10.3390/v18020200
APA StyleJugulete, G., Merișescu, M. M., Totoianu, A., Oros, M., Olariu, M. C., & Borcos, B. (2026). Unilateral and Reversible Hypoglossal Nerve Palsy in Infectious Mononucleosis Syndromes: Two Rare Cases from Our Clinic. Viruses, 18(2), 200. https://doi.org/10.3390/v18020200

