Designing Sandwich ELISA with Broadly Reactive Anti-Nucleocapsid Monoclonal Antibodies to Detect Bat-Borne Merbecoviruses
Abstract
1. Introduction
2. Methods
2.1. Cell Lines, Virus and Protein Accession Numbers
2.2. Recombinant N Proteins and mAbs
2.3. Transient Transfection
2.4. Western Blot (WB) and Primary Antibodies
2.5. Sandwich ELISA (sELISA) and Limit of Detection (LOD)
2.6. Nasal Swabs from COVID-19 Patients
2.7. Quantification of SARS-CoV-2 Viral Ribonucleic Acid (RNA) Level
2.8. Statistical Analysis
3. Results
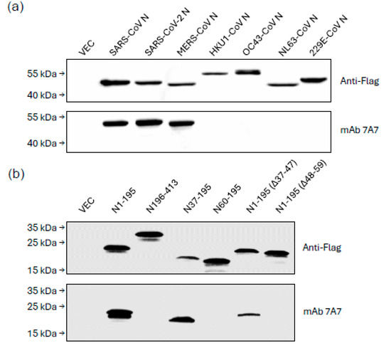
3.1. Identification of a Broadly Reactive mAb 7A7 Binding to Highly Pathogenic Human Betacoronaviruses
3.2. Binding of mAb 7A7 to Bat CoVs from the Sarbecovirus, Merbecovirus and Hibecovirus Subgenera
3.3. First sELISA for Detecting SARS-CoV-2 Virions and COVID-19 Patients
3.4. Second sELISA for Detecting MERS-CoV and Bat-Borne Merbecoviruses
4. Discussion
5. Conclusions
Supplementary Materials
Author Contributions
Funding
Institutional Review Board Statement
Informed Consent Statement
Data Availability Statement
Acknowledgments
Conflicts of Interest
References
- Nicola, M.; Alsafi, Z.; Sohrabi, C.; Kerwan, A.; Al-Jabir, A.; Iosifidis, C.; Agha, M.; Agha, R. The socio-economic implications of the coronavirus pandemic (COVID-19): A review. Int. J. Surg. 2020, 78, 185–193. [Google Scholar] [CrossRef] [PubMed]
- Memish, Z.A.; Mishra, N.; Olival, K.J.; Fagbo, S.F.; Kapoor, V.; Epstein, J.H.; Alhakeem, R.; Durosinloun, A.; Asmari, M.A.; Islam, A.; et al. Middle East respiratory syndrome coronavirus in bats, Saudi Arabia. Emerg. Infect. Dis. 2013, 19, 1819–1823. [Google Scholar] [CrossRef] [PubMed]
- Li, W.; Shi, Z.; Yu, M.; Ren, W.; Smith, C.; Epstein, J.H.; Wang, H.; Crameri, G.; Hu, Z.; Zhang, H.; et al. Bats Are Natural Reservoirs of SARS-Like Coronaviruses. Science 2005, 310, 676–679. [Google Scholar] [CrossRef]
- Cui, J.; Li, F.; Shi, Z.L. Origin and evolution of pathogenic coronaviruses. Nat. Rev. Microbiol. 2019, 17, 181–192. [Google Scholar] [CrossRef]
- Zhou, P.; Yang, X.-L.; Wang, X.-G.; Hu, B.; Zhang, L.; Zhang, W.; Si, H.-R.; Zhu, Y.; Li, B.; Huang, C.-L.; et al. A pneumonia outbreak associated with a new coronavirus of probable bat origin. Nature 2020, 579, 270–273. [Google Scholar] [CrossRef]
- Andersen, K.G.; Rambaut, A.; Lipkin, W.I.; Holmes, E.C.; Garry, R.F. The proximal origin of SARS-CoV-2. Nat. Med. 2020, 26, 450–452. [Google Scholar] [CrossRef] [PubMed]
- Llanes, A.; Restrepo, C.M.; Caballero, Z.; Rajeev, S.; Kennedy, M.A.; Lleonart, R. Betacoronavirus Genomes: How Genomic Information has been Used to Deal with Past Outbreaks and the COVID-19 Pandemic. Int. J. Mol. Sci. 2020, 21, 4546. [Google Scholar] [CrossRef]
- Frutos, R.; Serra-Cobo, J.; Pinault, L.; Roig, M.L.; Devaux, C.A. Emergence of Bat-Related Betacoronaviruses: Hazard and Risks. Front. Microbiol. 2021, 12, 591535. [Google Scholar] [CrossRef]
- Yang, Y.; Du, L.; Liu, C.; Wang, L.; Ma, C.; Tang, J.; Baric, R.S.; Jiang, S.; Li, F.; Yang, Y.; et al. Receptor usage and cell entry of bat coronavirus HKU4 provide insight into bat-to-human transmission of MERS coronavirus. Proc. Natl. Acad. Sci. USA 2014, 111, 12516–12521. [Google Scholar] [CrossRef]
- Ma, C.-B.; Liu, C.; Park, Y.-J.; Tang, J.; Chen, J.; Xiong, Q.; Lee, J.; Stewart, C.; Asarnow, D.; Brown, J.; et al. Multiple independent acquisitions of ACE2 usage in MERS-related coronaviruses. Cell 2025, 188, 1693–1710. [Google Scholar] [CrossRef]
- Park, Y.-J.; Liu, C.; Lee, J.; Brown, J.T.; Ma, C.-B.; Liu, P.; Gen, R.; Xiong, Q.; Zepeda, S.K.; Stewart, C.; et al. Molecular basis of convergent evolution of ACE2 receptor utilization among HKU5 coronaviruses. Cell 2025, 188, 1711–1728. [Google Scholar] [CrossRef]
- Chen, J.; Zhang, W.; Li, Y.; Liu, C.; Dong, T.; Chen, H.; Wu, C.; Su, J.; Li, B.; Zhang, W.; et al. Bat-infecting merbecovirus HKU5-CoV lineage 2 can use human ACE2 as a cell entry receptor. Cell 2025, 188, 1729–1742. [Google Scholar] [CrossRef]
- Newfound bat virus that uses notorious receptor poses ‘spillover’ risk. Nature 2025, 638, 863. [CrossRef]
- Diao, B.; Wen, K.; Zhang, J.; Chen, J.; Han, C.; Chen, Y.; Wang, S.; Deng, G.; Zhou, H.; Wu, Y. Accuracy of a nucleocapsid protein antigen rapid test in the diagnosis of SARS-CoV-2 infection. Clin. Microbiol. Infect. 2021, 27, e281–e289. [Google Scholar] [CrossRef] [PubMed]
- Cubuk, J.; Alston, J.J.; Incicco, J.J.; Singh, S.; Stuchell-Brereton, M.D.; Ward, M.D.; Zimmerman, M.I.; Vithani, N.; Griffith, D.; Wagoner, J.A.; et al. The SARS-CoV-2 nucleocapsid protein is dynamic, disordered, and phase separates with RNA. Nat. Commun. 2021, 12, 1936. [Google Scholar] [CrossRef] [PubMed]
- Bai, Z.; Cao, Y.; Liu, W.; Li, J. The SARS-CoV-2 Nucleocapsid Protein and Its Role in Viral Structure, Biological Functions, and a Potential Target for Drug or Vaccine Mitigation. Viruses 2021, 13, 1115. [Google Scholar] [CrossRef] [PubMed]
- Zhang, Y.; Ong, C.M.; Yun, C.; Mo, W.; Whitman, J.D.; Lynch, K.L.; Wu, A.H.B. Diagnostic Value of Nucleocapsid Protein in Blood for SARS-CoV-2 Infection. Clin. Chem. 2021, 68, 240–248. [Google Scholar] [CrossRef]
- Oh, H.-L.J.; Åkerström, S.; Shen, S.; Bereczky, S.; Karlberg, H.; Klingström, J.; Lal, S.K.; Mirazimi, A.; Tan, Y.-J. An Antibody against a Novel and Conserved Epitope in the Hemagglutinin 1 Subunit Neutralizes Numerous H5N1 Influenza Viruses. J. Virol. 2010, 84, 8275–8286. [Google Scholar] [CrossRef]
- Aboagye, J.O.; Yew, C.W.; Ng, O.W.; Monteil, V.M.; Mirazimi, A.; Tan, Y.J. Overexpression of the nucleocapsid protein of Middle East respiratory syndrome coronavirus up-regulates CXCL10. Biosci. Rep. 2018, 38, BSR20181059. [Google Scholar] [CrossRef]
- Kilic, T.; Weissleder, R.; Lee, H. Molecular and Immunological Diagnostic Tests of COVID-19: Current Status and Challenges. iScience 2020, 23, 101406. [Google Scholar] [CrossRef]
- Silvério, B.S.; Guilardi, M.D.; Martins, J.O.; Duro, R.L.S.; Sousa, L.L.F.D.; Cabral-Miranda, G.; Janini, L.M.R.; Poon, L.L.M.; Durães-Carvalho, R. Coronavirus Cryptic Landscape and Draft Genome of a Novel CoV Clade Related to MERS From Bats Circulating in Northeastern Brazil. J. Med. Virol. 2025, 97, e70173. [Google Scholar] [CrossRef]
- Lau, S.K.P.; Li, K.S.M.; Tsang, A.K.L.; Lam, C.S.F.; Ahmed, S.; Chen, H.; Chan, K.-H.; Woo, P.C.Y.; Yuen, K.-Y. Genetic Characterization of Betacoronavirus Lineage C Viruses in Bats Reveals Marked Sequence Divergence in the Spike Protein of Pipistrellus Bat Coronavirus HKU5 in Japanese Pipistrelle: Implications for the Origin of the Novel Middle East Respiratory Syndrome Coronavirus. J. Virol. 2013, 87, 8638–8650. [Google Scholar] [PubMed]
- Peeling, R.W.; Heymann, D.L.; Teo, Y.-Y.; Garcia, P.J. Diagnostics for COVID-19: Moving from pandemic response to control. Lancet 2022, 399, 757–768. [Google Scholar] [CrossRef] [PubMed]
- Stokanic, M.M.; Simovic, A.; Jovanovic, V.; Radomirovic, M.; Udovicki, B.; Ristivojevic, M.K.; Djukic, T.; Vasovic, T.; Acimovic, J.; Sabljic, L.; et al. Sandwich ELISA for the Quantification of Nucleocapsid Protein of SARS-CoV-2 Based on Polyclonal Antibodies from Two Different Species. Int. J. Mol. Sci. 2023, 25, 333. [Google Scholar] [CrossRef] [PubMed]
- Lv, H.; Shi, F.; Yin, H.; Jiao, Y.; Wei, P. Development of a double-antibody sandwich ELISA for detection of SARS-CoV-2 variants based on nucleocapsid protein-specific antibodies. Microbiol. Immunol. 2024, 68, 393–398. [Google Scholar] [CrossRef]
- Patriquin, G.; LeBlanc, J.J.; Williams, C.; Hatchette, T.F.; Ross, J.; Barrett, L.; Davidson, R. Comparison between Nasal and Nasopharyngeal Swabs for SARS-CoV-2 Rapid Antigen Detection in an Asymptomatic Population, and Direct Confirmation by RT-PCR from the Residual Buffer. Microbiol. Spectr. 2022, 10, e0245521. [Google Scholar] [CrossRef]
- Zhang, W.; Zheng, X.-S.; Agwanda, B.; Ommeh, S.; Zhao, K.; Lichoti, J.; Wang, N.; Chen, J.; Li, B.; Yang, X.-L.; et al. Serological evidence of MERS-CoV and HKU8-related CoV co-infection in Kenyan camels. Emerg. Microbes Infect. 2019, 8, 1528–1534. [Google Scholar] [CrossRef]
- Zhao, Z.; Li, X.; Chai, Y.; Liu, Z.; Wang, Q.; Gao, G.F. Molecular basis for receptor recognition and broad host tropism for merbecovirus MjHKU4r-CoV-1. EMBO Rep. 2024, 25, 3116–3136. [Google Scholar] [CrossRef]
- Zhao, J.; Wan, W.; Yu, K.; Lemey, P.; Pettersson, J.H.; Bi, Y.; Lu, M.; Li, X.; Chen, Z.; Zheng, M.; et al. Farmed fur animals harbour viruses with zoonotic spillover potential. Nature 2024, 634, 228–233. [Google Scholar] [CrossRef]





| mAbs (Isotype) | EC50 (µg/mL) | |||
|---|---|---|---|---|
| SARS-CoV-2 N | MERS-CoV N | HKU5-CoV N | ZJ-CoV N | |
| 6G10 (IgG1) * | 0.43 ± 0.04 | n.d. | n.d. | n.d. |
| 8E2 (IgG1) | 19 ± 1.1 | 0.53 ± 0.08 | 2.7 ± 0.6 | >20 |
| 7A7 (IgG1) | 0.025 ± 0.004 | 0.004 ± 0.0006 | 0.02 ± 0.006 | 0.23 ± 0.04 |
Disclaimer/Publisher’s Note: The statements, opinions and data contained in all publications are solely those of the individual author(s) and contributor(s) and not of MDPI and/or the editor(s). MDPI and/or the editor(s) disclaim responsibility for any injury to people or property resulting from any ideas, methods, instructions or products referred to in the content. |
© 2025 by the authors. Licensee MDPI, Basel, Switzerland. This article is an open access article distributed under the terms and conditions of the Creative Commons Attribution (CC BY) license (https://creativecommons.org/licenses/by/4.0/).
Share and Cite
Liew, K.Y.; Wang, Y.; Mullapudi, S.S.; Aziz, D.b.; Fan, W.; Luo, M.; Tambyah, P.A.; Tan, Y.-J. Designing Sandwich ELISA with Broadly Reactive Anti-Nucleocapsid Monoclonal Antibodies to Detect Bat-Borne Merbecoviruses. Viruses 2025, 17, 886. https://doi.org/10.3390/v17070886
Liew KY, Wang Y, Mullapudi SS, Aziz Db, Fan W, Luo M, Tambyah PA, Tan Y-J. Designing Sandwich ELISA with Broadly Reactive Anti-Nucleocapsid Monoclonal Antibodies to Detect Bat-Borne Merbecoviruses. Viruses. 2025; 17(7):886. https://doi.org/10.3390/v17070886
Chicago/Turabian StyleLiew, Kong Yen, Yaju Wang, Sneha Sree Mullapudi, Dinah binte Aziz, Wenjie Fan, Min Luo, Paul Anantharajah Tambyah, and Yee-Joo Tan. 2025. "Designing Sandwich ELISA with Broadly Reactive Anti-Nucleocapsid Monoclonal Antibodies to Detect Bat-Borne Merbecoviruses" Viruses 17, no. 7: 886. https://doi.org/10.3390/v17070886
APA StyleLiew, K. Y., Wang, Y., Mullapudi, S. S., Aziz, D. b., Fan, W., Luo, M., Tambyah, P. A., & Tan, Y.-J. (2025). Designing Sandwich ELISA with Broadly Reactive Anti-Nucleocapsid Monoclonal Antibodies to Detect Bat-Borne Merbecoviruses. Viruses, 17(7), 886. https://doi.org/10.3390/v17070886

