A Novel Multi-Gene Combined RT-PCR Assay for Rapid and Sensitive Detection of Maize Dwarf Mosaic Virus
Abstract
1. Introduction
2. Materials and Methods
2.1. Experimental Material
2.2. Conventional RT-PCR
2.3. Multi-Gene Combined RT-PCR
2.4. RT-qPCR Detection
2.5. Practical Application for Different Methods to Detect MDMV
3. Results
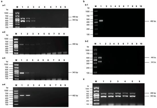
3.1. Conventional RT-PCR Detection
3.2. Multi-Gene Combined RT-PCR
3.3. RT-qPCR Detection of MDMV
3.4. Practical Application for Different Methods to Detect MDMV
4. Discussion
Supplementary Materials
Author Contributions
Funding
Institutional Review Board Statement
Informed Consent Statement
Data Availability Statement
Conflicts of Interest
References
- Kannan, M.; Ismail, I.; Bunawan, H. Maize Dwarf Mosaic Virus: From Genome to Disease Management. Viruses 2018, 10, 492. [Google Scholar] [CrossRef] [PubMed]
- Wijayasekara, D.; Ali, A. Evolutionary study of maize dwarf mosaic virus using nearly complete genome sequences acquired by next-generation sequencing. Sci. Rep. 2021, 11, 18786. [Google Scholar] [CrossRef]
- Stewart, L.R.; Teplier, R.; Todd, J.C.; Jones, M.W.; Cassone, B.J.; Wijeratne, S.; Wijeratne, A.; Redinbaugh, M.G. Viruses in maize and Johnsongrass in southern Ohio. Phytopathology 2014, 104, 1360–1369. [Google Scholar] [CrossRef] [PubMed]
- Viyan, J.H.; Zulaykha, A.A.; Nabeel, A.K. Maize dwarf mosaic virus: A new causal agent inducing disease in rice plants of the fields of Kurdistan Region of Iraq. Trop. Plant Pathol. 2022, 47, 718–726. [Google Scholar]
- Trzmiel, K.; Jezewska, M. Identification of Maize dwarf mosaic virus in maize in Poland. Plant Dis. 2008, 92, 981. [Google Scholar] [CrossRef] [PubMed]
- Ilbagi, H.; Masonbrink, R.; Miller, W.A. High-throughput sequencing of maize dwarf mosaic virus from common reed in a wetland. J. Phytopathol. 2023, 171, 604–608. [Google Scholar] [CrossRef]
- Mostafavi, F.S.; Sabbagh, S.K.; Yamchi, A.; Nasrollanejad, S.; Panjehkeh, N. Differential molecular response of maize and Johnson grass against maize dwarf mosaic virus and bermuda grass southern mosaic virus. Acta Virol. 2019, 63, 70–79. [Google Scholar] [CrossRef]
- Liu, J.Y.; Yu, C.; Huang, Y.M.; Tian, Y.M.; Qin, Y.J.; Zhu, Y.J.; Teng, K.; Cui, J.L.; Wang, Y.P.; Lin, S. Potential geographical distribution prediction of maize dwarf mosaic virus based on MaxEnt model. J. Plant Prot. 2022, 49, 1383–1391. [Google Scholar]
- Awata, L.A.O.; Ifie, B.E.; Tongoona, P.; Danquah, E.; Jumbo, M.B.; Gowda, M.; Marchelo-D’ragga, P.W.; Sitonik, C.; Suresh, L.M. Maize lethal necrosis and the molecular basis of variability in concentrations of the causal viruses in co-infected maize plant. J. Gen. Mol. Virol. 2019, 9, 1–19. [Google Scholar]
- Mazzone, H.M.; Wray, G.; Engler, W.F. The high voltage electron microscope in virology. Adv. Virus Res. 1985, 30, 43–82. [Google Scholar]
- Bruno, J.G.; Carrillo, M.P.; Richarte, A.M.; Phillips, T.; Andrews, C.; Lee, J.S. Development, screening, and analysis of DNA aptamer libraries potentially useful for diagnosis and passive immunity of arboviruses. BMC Res. Notes 2012, 5, 633. [Google Scholar] [CrossRef] [PubMed]
- Lei, R.; Kuang, R.; Peng, X.; Jiao, Z.; Zhao, Z.; Cong, H.; Fan, Z.; Zhang, Y. Portable rapid detection of maize chlorotic mottle virus using RT-RAA/CRISPR-Cas12a based lateral flow assay. Front. Plant Sci. 2023, 14, 1088544. [Google Scholar] [CrossRef]
- Deng, S.Y.; Chang, W.; Liu, Q.K.; Zhao, Y.F.; Liu, J.; Wang, H. Development and application of multiplex PCR for the rapid identification of four Fusarium spp. associated with Fusarium Crown Rot Wheat. PeerJ 2024, 12, e17656. [Google Scholar] [CrossRef] [PubMed]
- Guadie, D.; Knierim, D.; Winter, S.; Tesfaye, K.; Abraham, A. Survey for the identification and geographical distribution of viruses and virus diseases of maize (Zea mays L.) in Ethiopia. Eur. J. Plant Pathol. 2019, 153, 429–493. [Google Scholar] [CrossRef]
- Fan, Q.X.; Zhao, Z.X.; Feng, L.X.; Li, X.F.; Zhou, T.; Zhang, Y.J. Establishment of droplet digital RT-PCR method for detecting maize dwarf mosaic virus. J. Plant Prot. 2022, 49, 1450–1456. [Google Scholar]
- Trzmiel, K.; Hasiów-Jaroszewska, B. Development of reverse transcription-loop-mediated isothermal amplification assay for the detection of genetically different isolates of maize dwarf mosaic virus. J. Plant Prot. Res. 2022, 62, 302–306. [Google Scholar]
- Jiang, X.J.; Li, G.X.; Zhou, X.P. Distribution and damage of maize viral diseases in China. Microbiol. China 2002, 5, 77–81. [Google Scholar]
- Bester, R.; Cook, G.; Breytenbach, J.H.J.; Steyn, C.; De Bruyn, R.; Maree, H.J. Towards the validation of high-throughput sequencing (HTS) for routine plant virus diagnostics: Measurement of variation linked to HTS detection of citrus viruses and viroids. Virol. J. 2021, 18, 61. [Google Scholar] [CrossRef]
- He, Z.; Chen, C.F.; Zhang, Z.X.; Li, S.F. Advances in molecular evolution of viruses in the family Potyviridae. Plant Prot. 2017, 43, 13–22. [Google Scholar]
- Wijayasekara, D.; Ali, A. Complete genome characterization and coat protein genealogy of isolates of maize dwarf mosaic virus from johnsongrass and maize in Oklahoma and Missouri. Plant Dis. 2020, 104, 1214–1223. [Google Scholar] [CrossRef]
- Yang, H.K.; Yang, J.W.; Shen, J.G.; Cai, W.; Gao, F.L. Multi-gene-based PCR detection and identification of chilli veinal mottle virus. Sci. Agric. Sin. 2020, 53, 3412–3420. [Google Scholar]
- Warren, A.K. OligoCalc: An online oligonucleotide properties calculator. Nucleic Acids Res. 2007, 35, W43–W46. [Google Scholar]
- Chen, H.Y.; Liao, R.F.; Chen, Q.; Ye, M.H.; Feng, L.X.; Yu, C.; Wang, X.F. Detection of three quarantine viruses in imported sorghum. Plant Quar. 2024, 38, 26–30. [Google Scholar]
- Moury, B.; Desbiez, C. Host range evolution of potyviruses: A global phylogenetic analysis. Viruses 2020, 12, 111. [Google Scholar] [CrossRef] [PubMed]
- Nigam, D.; LaTourrette, K.; Souza, P.F.N.; Garcia-Ruiz, H. Genome-wide variation in potyviruses. Front. Plant Sci. 2019, 12, 1439. [Google Scholar] [CrossRef] [PubMed]
- Leblanc, Z.; Gauthier, M.E.; Lelwala, R.; Elliott, C.; McMaster, C.; Eichner, R.; Davis, K.; Liefting, L.; Thompson, J.; Dinsdale, A.; et al. Complete genome sequence of a novel potyvirus infecting Miscanthus sinensis (silver grass). Arch. Virol. 2022, 167, 1701–1705. [Google Scholar] [CrossRef]
- Kong, P.; Steinbiss, H.H. Complete nucleotide sequence and analysis of the putative polyprotein of maize dwarf mosaic virus genomic RNA (Bulgarian isolate). Arch. Virol. 1998, 143, 1791–1799. [Google Scholar] [CrossRef]
- Qiao, T.M.; Zhang, J.; Ma, W.J.; Zhu, T.H. The double gene-jointed PCR technique for detection of Cylindrocladium scoparium on rice. J. Nanjing Agric. Univ. 2015, 38, 273–278. [Google Scholar]
- Schaad, N.W.; Frederick, R.D. Real-time PCR and its application for rapid plant disease diagnostics. Can. J. Plant Pathol. 2002, 24, 250–258. [Google Scholar] [CrossRef]


| Gene | Primer Sequence (5′–3′) | Length (nt) | Tm (°C) | Expected Size (bp) |
|---|---|---|---|---|
| CP | MDMV482-F [23]: YGCATCTCCAACTTTCAGACA | 23 | 56.7 | 482 |
| MDMV482-R [23]: CCTCACTCACTTGCVGACA | 23 | 57.1 | ||
| MDMV-CP-343-F: CCGAACATCAATGGTGTCTGG | 21 | 56.4 | 343 | |
| MDMV-CP-343-R: CGACATTCCCATCAAGACCAAAC | 23 | 53.9 | ||
| MDMV-CP-322-F: GAGCAACCAGGGCTGAATTTG | 21 | 57.1 | 322 | |
| MDMV-CP-322-R: CATAACGTGCAAGGCTAAAGTCG | 23 | 56.4 | ||
| MDMV-CP-F: GCCACAACAACAAGACTTATCGAA | 24 | 62.5 | 75 | |
| MDMV-CP-R: TTCTGCACTGCTTCATACCATCTAT | 25 | 61.3 | ||
| MDMV-CP-P:(FAM)ACCCGAGCAACCAGGGCTGAATTC(TAMRA) | 24 | 72.1 | / | |
| CI | MDMV-CI-490-F: CCAATGGTGGTCAAATCAACTTGAG | 25 | 56.3 | 490 |
| MDMV-CI-490-R: CTTCCCATTAAACGCATATTCTTTGAG | 27 | 56.3 | ||
| MDMV-CI-640-F: GCCAGGACTATGATGCAATTTGAGC | 25 | 58.7 | 640 | |
| MDMV-CI-640-R: CCAAATTCAAGCAAGTCCTCTGG | 23 | 56.4 |
| RNA Concentration | Ct Value | Mean Ct Value | Standard Deviation | Coefficient of Variation |
|---|---|---|---|---|
| 53.7 ng/μL × 10−1 | 13.49 | 13.26 | 0.3658 | 2.76% |
| 12.98 | ||||
| 13.31 | ||||
| 53.7 ng/μL × 10−2 | 17.19 | 16.71 | 0.5921 | 3.54% |
| 16.52 | ||||
| 16.42 | ||||
| 53.7 ng/μL × 10−3 | 17.19 | 19.44 | 0.8125 | 4.18% |
| 16.52 | ||||
| 16.42 | ||||
| 53.7 ng/μL × 10−4 | 23.46 | 23.04 | 0.5267 | 2.29% |
| 22.91 | ||||
| 22.75 | ||||
| 53.7 ng/μL × 10−5 | 26.59 | 26.79 | 0.5396 | 2.01% |
| 27.23 | ||||
| 26.55 |
Disclaimer/Publisher’s Note: The statements, opinions and data contained in all publications are solely those of the individual author(s) and contributor(s) and not of MDPI and/or the editor(s). MDPI and/or the editor(s) disclaim responsibility for any injury to people or property resulting from any ideas, methods, instructions or products referred to in the content. |
© 2025 by the authors. Licensee MDPI, Basel, Switzerland. This article is an open access article distributed under the terms and conditions of the Creative Commons Attribution (CC BY) license (https://creativecommons.org/licenses/by/4.0/).
Share and Cite
Jin, Y.; Chen, X.; Li, M.; Zhang, X.; Cai, W.; Shen, J.; Zhang, Y.; Gao, F. A Novel Multi-Gene Combined RT-PCR Assay for Rapid and Sensitive Detection of Maize Dwarf Mosaic Virus. Viruses 2025, 17, 370. https://doi.org/10.3390/v17030370
Jin Y, Chen X, Li M, Zhang X, Cai W, Shen J, Zhang Y, Gao F. A Novel Multi-Gene Combined RT-PCR Assay for Rapid and Sensitive Detection of Maize Dwarf Mosaic Virus. Viruses. 2025; 17(3):370. https://doi.org/10.3390/v17030370
Chicago/Turabian StyleJin, Yujie, Xihong Chen, Min Li, Xiaoqi Zhang, Wei Cai, Jianguo Shen, Yongjiang Zhang, and Fangluan Gao. 2025. "A Novel Multi-Gene Combined RT-PCR Assay for Rapid and Sensitive Detection of Maize Dwarf Mosaic Virus" Viruses 17, no. 3: 370. https://doi.org/10.3390/v17030370
APA StyleJin, Y., Chen, X., Li, M., Zhang, X., Cai, W., Shen, J., Zhang, Y., & Gao, F. (2025). A Novel Multi-Gene Combined RT-PCR Assay for Rapid and Sensitive Detection of Maize Dwarf Mosaic Virus. Viruses, 17(3), 370. https://doi.org/10.3390/v17030370

