Comparative Genome Sequencing Analysis of Some Novel Feline Infectious Peritonitis Viruses Isolated from Some Feral Cats in Long Island
Abstract
1. Introduction
2. Materials and Methods
2.1. Sample Collection from Some Suspected FIPV-Infected Feral Cats
2.2. Processing of the Collected Tissue Specimens for Histopathology and IHC Examination
2.3. Processing of the Collected Feline Specimens for Molecular Analysis
2.4. In Vitro Propagation and Isolation of the New FIPV Field Isolates Using Cell Lines
2.5. Isolation of the FIP-RNAs and the Confirmation of the Viral Identity by the Quantitative Reverse Transcriptase Polymerase Chain Reaction (qRT-PCR)
2.6. Detection of the FIPV Antigens by the Fluorescence Immunoassay
2.7. Detection of the FIPV Proteins Using the SDS-PAGFE and the Western Blot Assay
2.8. Decoding of the Full-Length Genomes of the Novel Field FIPV Isolates Using the Next Generation Sequencing (NGS)
2.9. Construction of the Phylogenetic Trees and FIPV Sequence Analysis
2.10. The Pairwise Analysis of FIPV Isolates from This Study with Reference Strains from the Alpha Coronavirus Group
2.11. Statistical Analysis
3. Results
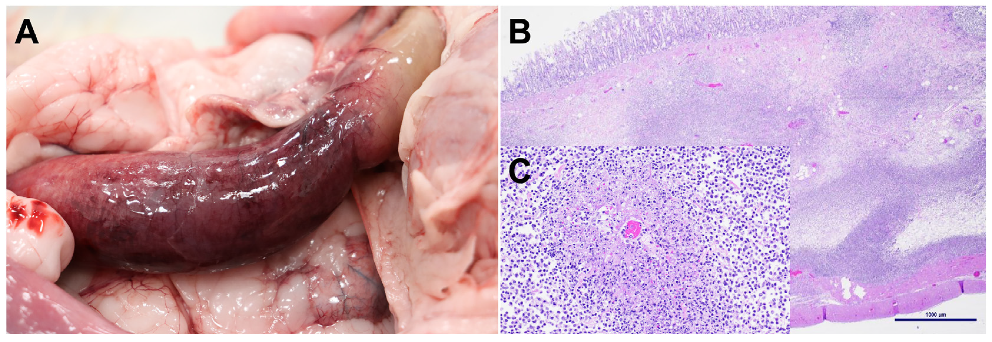
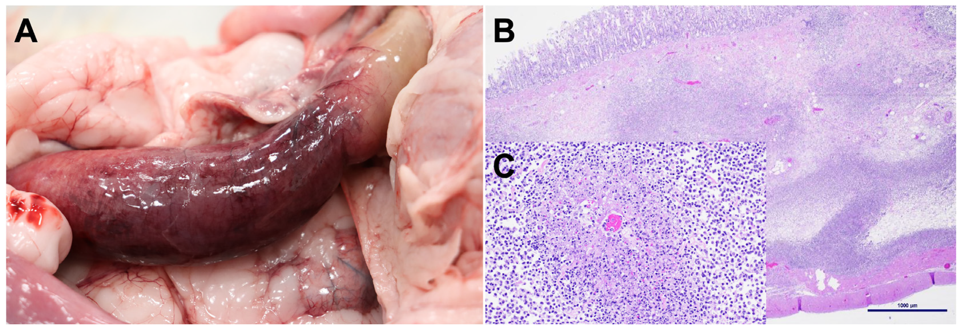
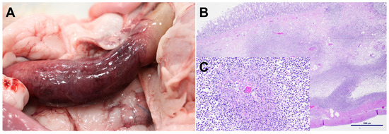
3.1. The Gross and Microscopic Necropsy Findings in the Two FIPV-Infected Cats
3.2. Conformation of FIPV Infection in (A15 and A37) Tissue Specimens by IFA
3.3. Molecular Confirmation of FIPV Infection in the Cat Tissue Specimens by qRT-PCR
3.4. Virus Isolation and Propagation of the FIPV Isolates Detected in Cats A15 and A37
3.5. Confirmation of the Replication and Propagation of the Field Isolates of FIPV (A15 and A37) by Immunofluorescence Assay (IFA)
3.6. Titration of the FIPV Genome Copy Numbers in Subsequent Passages of the A15 and A37 Field Isolates Through Various Cell Lines by qRT-PCR
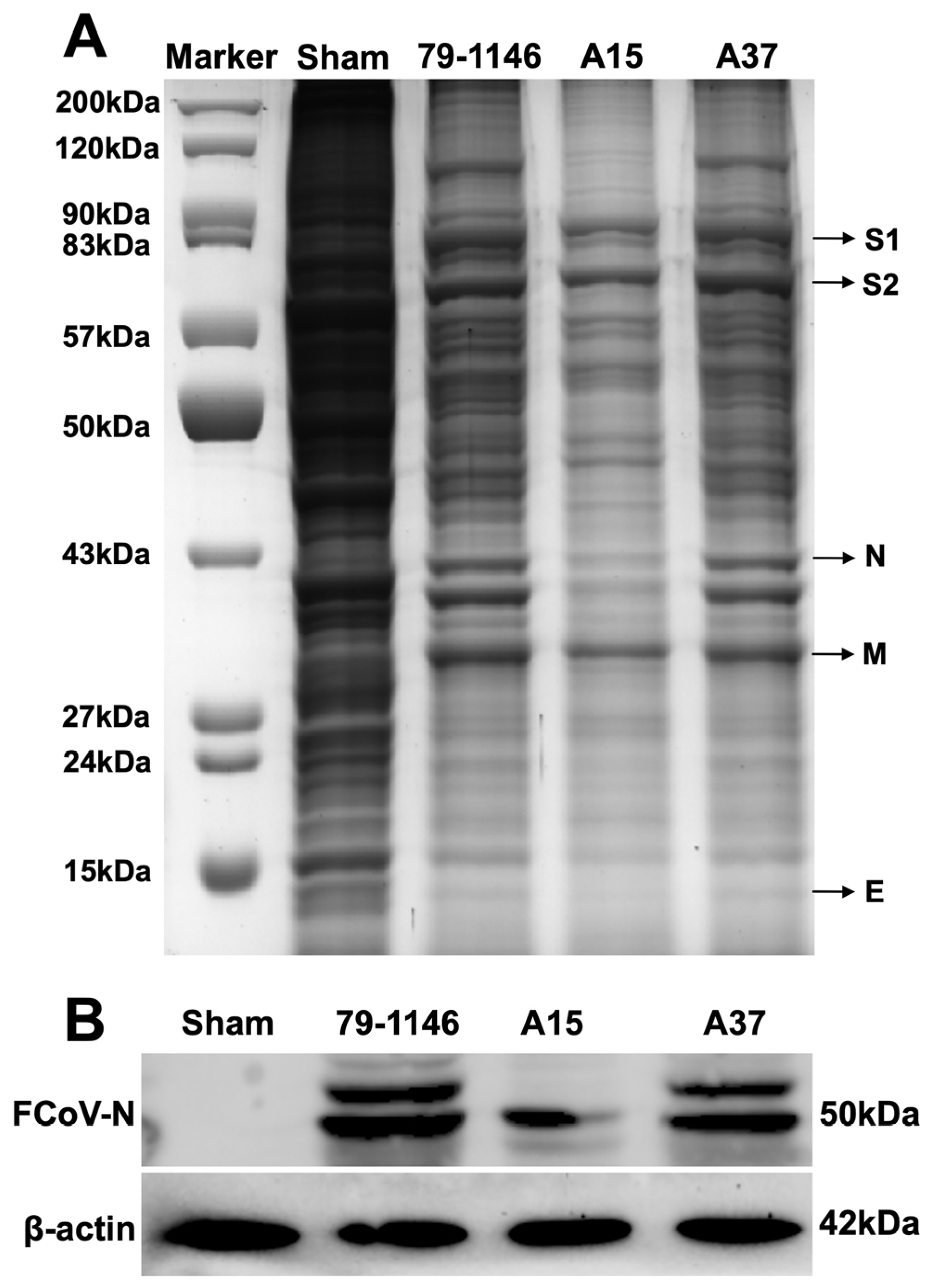
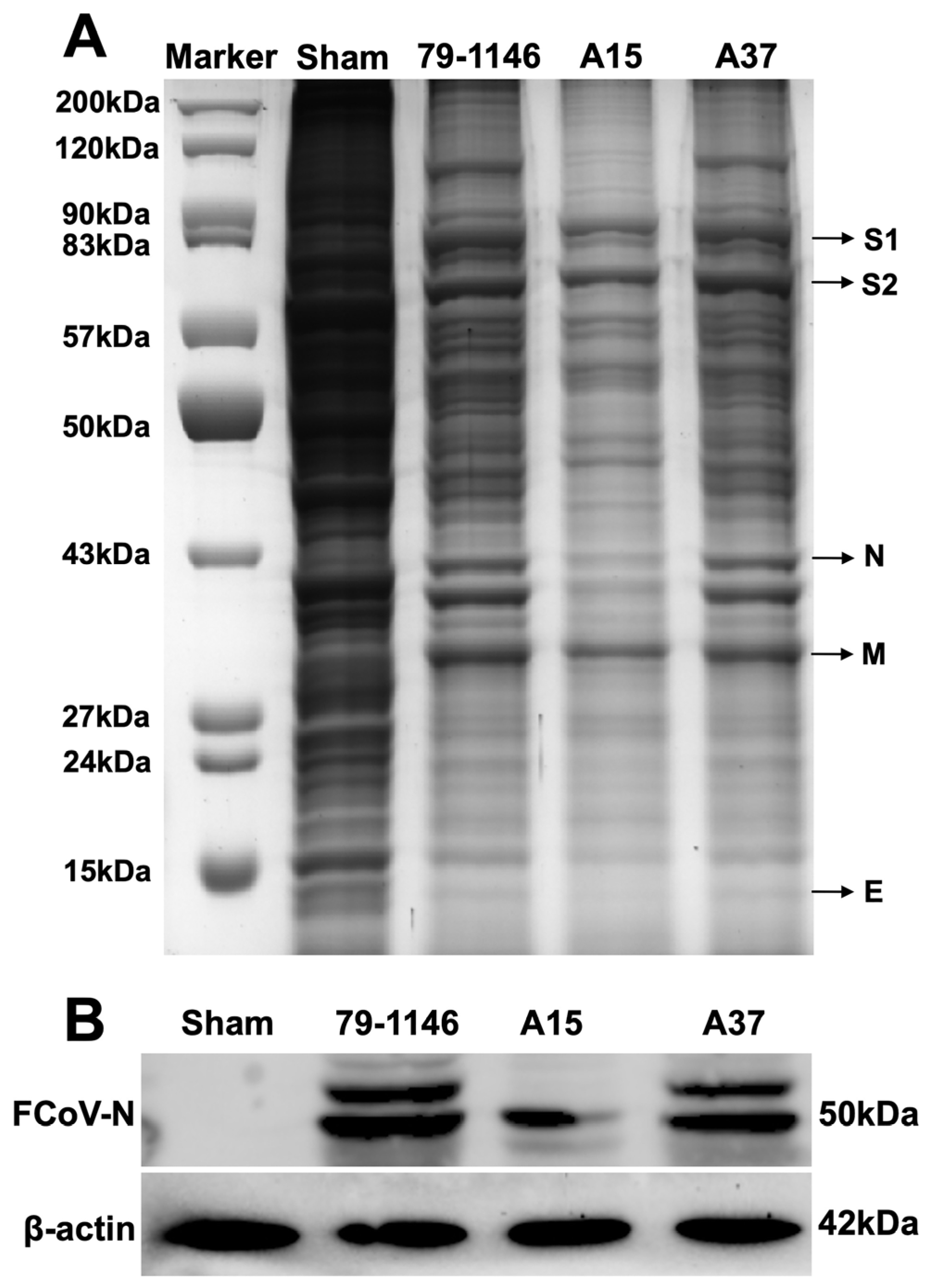
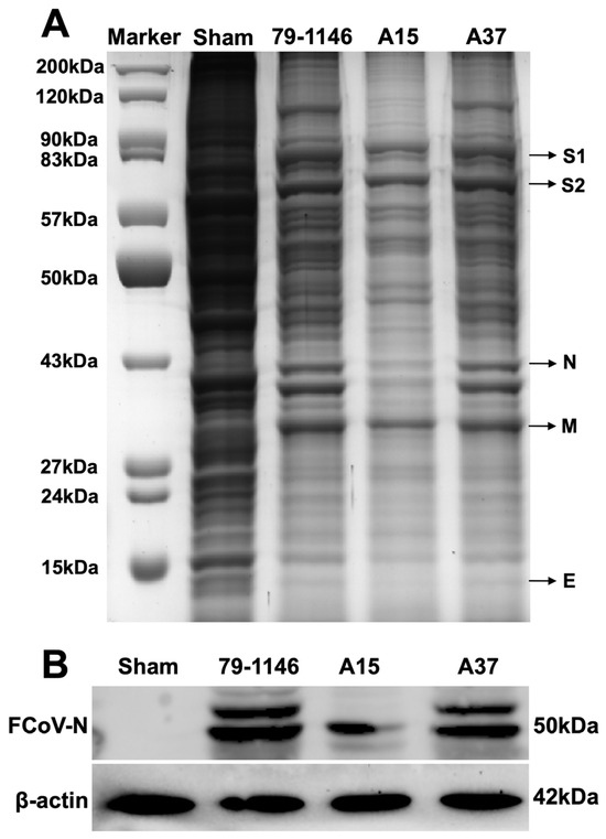
3.7. Identification of the Major Structural Proteins of the FIPV-A15 and FIPV-A37 Field Isolates Using the SDS-PAGE and Western Blot Assay
3.8. Establishing the Genome Structure and Organization of the New Field Isolates (FIPV-A15 and FIPV-A37)
3.9. Mapping the Single Nucleotide Polymorphisms (SNIPS) and the Variants Across the Complete Genome Sequences of the New FIPV Field Isolates (A15 and A37)
3.10. Phylogenetic Analysis of the FIPV Field Isolates (A15 and A37) Based on the Complete Genome Sequences
3.11. Phylogenetic Analysis of the FIPV Field Isolates (A15 and A37) Using the Sequences of the Spike Glycoprotein, Nucleocapsid, and NSP-7b
3.12. Results of the Pairwise Homology of Novel FIPV Isolates with Coronaviruses from the Alpha Group
3.13. Identification of Some Notable Deletions and Mutations in the FIPV-A37 and FIPV-A37 NSP-7b Protein Gene Sequences
4. Discussion
5. Conclusions
Supplementary Materials
Author Contributions
Funding
Institutional Review Board Statement
Informed Consent Statement
Data Availability Statement
Acknowledgments
Conflicts of Interest
References
- Woo, P.C.Y.; de Groot, R.J.; Haagmans, B.; Lau, S.K.P.; Neuman, B.W.; Perlman, S.; Sola, I.; van der Hoek, L.; Wong, A.C.P.; Yeh, S.H. ICTV Virus Taxonomy Profile: Coronaviridae 2023. J. Gen. Virol. 2023, 104, 001843. [Google Scholar] [CrossRef] [PubMed]
- Pedersen, N.C.; Black, J.W.; Boyle, J.F.; Evermann, J.F.; McKeirnan, A.J.; Ott, R.L. Pathogenic differences between various feline coronavirus isolates. Adv. Exp. Med. Biol. 1984, 173, 365–380. [Google Scholar] [CrossRef] [PubMed]
- Cornell Feline Health Center. Feline Infectious Peritonitis. Available online: https://www.vet.cornell.edu/departments-centers-and-institutes/cornell-feline-health-center/health-information/feline-health-topics/feline-infectious-peritonitis (accessed on 27 January 2025).
- Pedersen, N.C.; Boyle, J.F.; Floyd, K.; Fudge, A.; Barker, J. An enteric coronavirus infection of cats and its relationship to feline infectious peritonitis. Am. J. Vet. Res. 1981, 42, 368–377. [Google Scholar] [PubMed]
- Weiss, R.C.; Scott, F.W. Pathogenesis of feline infetious peritonitis: Pathologic changes and immunofluorescence. Am. J. Vet. Res. 1981, 42, 2036–2048. [Google Scholar] [PubMed]
- Thayer, V.; Gogolski, S.; Felten, S.; Hartmann, K.; Kennedy, M.; Olah, G.A. 2022 AAFP/EveryCat Feline Infectious Peritonitis Diagnosis Guidelines. J. Feline Med. Surg. 2022, 24, 905–933. [Google Scholar] [CrossRef]
- Pesteanu-Somogyi, L.D.; Radzai, C.; Pressler, B.M. Prevalence of feline infectious peritonitis in specific cat breeds. J. Feline Med. Surg. 2006, 8, 1–5. [Google Scholar] [CrossRef] [PubMed]
- Olarte-Castillo, X.A.; Goodman, L.B.; Whittaker, G.R. Molecular detection using hybridization capture and next-generation sequencing reveals cross-species transmission of feline coronavirus type-1 between a domestic cat and a captive wild felid. Microbiol. Spectr. 2024, 12, e0006124. [Google Scholar] [CrossRef] [PubMed]
- Pedersen, N.C.; Allen, C.E.; Lyons, L.A. Pathogenesis of feline enteric coronavirus infection. J. Feline Med. Surg. 2008, 10, 529–541. [Google Scholar] [CrossRef] [PubMed]
- Pedersen, N.C.; Black, J.W. Attempted immunization of cats against feline infectious peritonitis, using avirulent live virus or sublethal amounts of virulent virus. Am. J. Vet. Res. 1983, 44, 229–234. [Google Scholar] [PubMed]
- Rottier, P.J.; Nakamura, K.; Schellen, P.; Volders, H.; Haijema, B.J. Acquisition of macrophage tropism during the pathogenesis of feline infectious peritonitis is determined by mutations in the feline coronavirus spike protein. J. Virol. 2005, 79, 14122–14130. [Google Scholar] [CrossRef]
- Kipar, A.; Meli, M.L. Feline infectious peritonitis: Still an enigma? Vet. Pathol. 2014, 51, 505–526. [Google Scholar] [CrossRef] [PubMed]
- Brown, M.A.; Troyer, J.L.; Pecon-Slattery, J.; Roelke, M.E.; O’Brien, S.J. Genetics and pathogenesis of feline infectious peritonitis virus. Emerg. Infect. Dis. 2009, 15, 1445–1452. [Google Scholar] [CrossRef]
- Phillips, J.E.; Hilt, D.A.; Jackwood, M.W. Comparative sequence analysis of full-length genome of FIPV at different tissue passage levels. Virus Genes 2013, 47, 490–497. [Google Scholar] [CrossRef] [PubMed]
- Kipar, A.; May, H.; Menger, S.; Weber, M.; Leukert, W.; Reinacher, M. Morphologic features and development of granulomatous vasculitis in feline infectious peritonitis. Vet. Pathol. 2005, 42, 321–330. [Google Scholar] [CrossRef]
- Cham, T.C.; Chang, Y.C.; Tsai, P.S.; Wu, C.H.; Chen, H.W.; Jeng, C.R.; Pang, V.F.; Chang, H.W. Determination of the cell tropism of serotype 1 feline infectious peritonitis virus using the spike affinity histochemistry in paraffin-embedded tissues. Microbiol. Immunol. 2017, 61, 318–327. [Google Scholar] [CrossRef] [PubMed]
- Dye, C.; Siddell, S.G. Genomic RNA sequence of Feline coronavirus strain FIPV WSU-79/1146. J. Gen. Virol. 2005, 86 Pt 8, 2249–2253. [Google Scholar] [CrossRef] [PubMed]
- Dye, C.; Helps, C.R.; Siddell, S.G. Evaluation of real-time RT-PCR for the quantification of FCoV shedding in the faeces of domestic cats. J. Feline Med. Surg. 2008, 10, 167–174. [Google Scholar] [CrossRef] [PubMed]
- Rozen, S.; Skaletsky, H. Primer3 on the WWW for general users and for biologist programmers. Methods Mol. Biol. 2000, 132, 365–386. [Google Scholar] [CrossRef] [PubMed]
- Livak, K.J.; Schmittgen, T.D. Analysis of relative gene expression data using real-time quantitative PCR and the 2(-Delta Delta C(T)) Method. Methods 2001, 25, 402–408. [Google Scholar] [CrossRef] [PubMed]
- Shah, A.U.; Gauger, P.; Hemida, M.G. Isolation and molecular characterization of an enteric isolate of the genotype-Ia bovine coronavirus with notable mutations in the receptor binding domain of the spike glycoprotein. Virology 2025, 603, 110313. [Google Scholar] [CrossRef]
- Tamura, K.; Stecher, G.; Kumar, S. MEGA11: Molecular Evolutionary Genetics Analysis Version 11. Mol. Biol. Evol. 2021, 38, 3022–3027. [Google Scholar] [CrossRef] [PubMed]
- Tamura, K.; Nei, M. Estimation of the number of nucleotide substitutions in the control region of mitochondrial DNA in humans and chimpanzees. Mol. Biol. Evol. 1993, 10, 512–526. [Google Scholar] [CrossRef]
- Stecher, G.; Tamura, K.; Kumar, S. Molecular Evolutionary Genetics Analysis (MEGA) for macOS. Mol. Biol. Evol. 2020, 37, 1237–1239. [Google Scholar] [CrossRef]
- Letunic, I.; Bork, P. Interactive Tree of Life (iTOL) v6: Recent updates to the phylogenetic tree display and annotation tool. Nucleic Acids Res. 2024, 52, W78–W82. [Google Scholar] [CrossRef]
- Wang, Y.Y.; Lu, C.P. Analysis of putative recombination hot sites in the S gene of canine coronaviruses. Acta Virol. 2009, 53, 111–120. [Google Scholar] [CrossRef][Green Version]
- Drechsler, Y.; Alcaraz, A.; Bossong, F.J.; Collisson, E.W.; Diniz, P.P. Feline coronavirus in multicat environments. Vet. Clin. North Am. Small Anim. Pract. 2011, 41, 1133–1169. [Google Scholar] [CrossRef]
- Vennema, H.; Poland, A.; Foley, J.; Pedersen, N.C. Feline infectious peritonitis viruses arise by mutation from endemic feline enteric coronaviruses. Virology 1998, 243, 150–157. [Google Scholar] [CrossRef]
- Chang, H.W.; de Groot, R.J.; Egberink, H.F.; Rottier, P.J. Feline infectious peritonitis: Insights into feline coronavirus pathobiogenesis and epidemiology based on genetic analysis of the viral 3c gene. J. Gen. Virol. 2010, 91, 415–420. [Google Scholar] [CrossRef]
- Bank-Wolf, B.R.; Stallkamp, I.; Wiese, S.; Moritz, A.; Tekes, G.; Thiel, H.J. Mutations of 3c and spike protein genes correlate with the occurrence of feline infectious peritonitis. Vet. Microbiol. 2014, 173, 177–188. [Google Scholar] [CrossRef] [PubMed]
- Oostra, M.; te Lintelo, E.G.; Deijs, M.; Verheije, M.H.; Rottier, P.J.; de Haan, C.A. Localization and membrane topology of coronavirus nonstructural protein 4: Involvement of the early secretory pathway in replication. J. Virol. 2007, 81, 12323–12336. [Google Scholar] [CrossRef] [PubMed]
- Ortego, J.; Escors, D.; Laude, H.; Enjuanes, L. Generation of a replication-competent, propagation-deficient virus vector based on the transmissible gastroenteritis coronavirus genome. J. Virol. 2002, 76, 11518–11529. [Google Scholar] [CrossRef] [PubMed]
- Kennedy, M.A.; Abd-Eldaim, M.; Zika, S.E.; Mankin, J.M.; Kania, S.A. Evaluation of antibodies against feline coronavirus 7b protein for diagnosis of feline infectious peritonitis in cats. Am. J. Vet. Res. 2008, 69, 1179–1182. [Google Scholar] [CrossRef] [PubMed]
- Lin, C.N.; Su, B.L.; Huang, H.P.; Lee, J.J.; Hsieh, M.W.; Chueh, L.L. Field strain feline coronaviruses with small deletions in ORF7b associated with both enteric infection and feline infectious peritonitis. J. Feline Med. Surg. 2009, 11, 413–419. [Google Scholar] [CrossRef]
- Herrewegh, A.A.; Smeenk, I.; Horzinek, M.C.; Rottier, P.J.; de Groot, R.J. Feline coronavirus type II strains 79-1683 and 79-1146 originate from a double recombination between feline coronavirus type I and canine coronavirus. J. Virol. 1998, 72, 4508–4514. [Google Scholar] [CrossRef] [PubMed]
- Cruz, J.L.; Sola, I.; Becares, M.; Alberca, B.; Plana, J.; Enjuanes, L.; Zuniga, S. Coronavirus gene 7 counteracts host defenses and modulates virus virulence. PLoS Pathog. 2011, 7, e1002090. [Google Scholar] [CrossRef]
- Chang, H.W.; Egberink, H.F.; Halpin, R.; Spiro, D.J.; Rottier, P.J. Spike protein fusion peptide and feline coronavirus virulence. Emerg. Infect. Dis. 2012, 18, 1089–1095. [Google Scholar] [CrossRef]
- Porter, E.; Tasker, S.; Day, M.J.; Harley, R.; Kipar, A.; Siddell, S.G.; Helps, C.R. Amino acid changes in the spike protein of feline coronavirus correlate with systemic spread of virus from the intestine and not with feline infectious peritonitis. Vet. Res. 2014, 45, 49. [Google Scholar] [CrossRef]
- Jaimes, J.A.; Whittaker, G.R. Feline coronavirus: Insights into viral pathogenesis based on the spike protein structure and function. Virology 2018, 517, 108–121. [Google Scholar] [CrossRef]













| Gene | Position | FIPV 79-1146 | A15 | A37 | Gene | Position | FIPV 79-1146 | A15 | A37 |
|---|---|---|---|---|---|---|---|---|---|
| ORF1a | 796 | G | T | T | ORF1b | 17709 | G | A | A |
| 1918 | T | C | T | 18723 | A | G | A | ||
| 6406 | G | G | A | 20352 | C | T | C | ||
| 7449 | T | T | G | Spike gene | 22358 | G | G | T | |
| 7454 | G | G | 1bp deletion | 22970 | T | C | T | ||
| 8569 | C | T | C | 24433 | T | C | C | ||
| 9543 | A | A | C | NSP 3c | 25795 | C | T | T | |
| ORF1b | 13135 | G | G | T | E gene | 26200 | T | C | T |
| 13221 | T | A | A | NSP 7b | 28785 | AAUCAAUCUCAGAUUGGUUGGUGCUGUGCCAAAA | AAUCAAUCUCAGAUUGGUUGGUGCUGUGCCAAAA | 34 bp deletion | |
| 13676 | C | T | C | ||||||
| 15316 | A | G | G | 28818 | A | G | |||
| 16347 | T | C | C | 3′UTR | 29137 | C | T | C |
Disclaimer/Publisher’s Note: The statements, opinions and data contained in all publications are solely those of the individual author(s) and contributor(s) and not of MDPI and/or the editor(s). MDPI and/or the editor(s) disclaim responsibility for any injury to people or property resulting from any ideas, methods, instructions or products referred to in the content. |
© 2025 by the authors. Licensee MDPI, Basel, Switzerland. This article is an open access article distributed under the terms and conditions of the Creative Commons Attribution (CC BY) license (https://creativecommons.org/licenses/by/4.0/).
Share and Cite
Shah, A.U.; Esparza, B.; Illanes, O.; Hemida, M.G. Comparative Genome Sequencing Analysis of Some Novel Feline Infectious Peritonitis Viruses Isolated from Some Feral Cats in Long Island. Viruses 2025, 17, 209. https://doi.org/10.3390/v17020209
Shah AU, Esparza B, Illanes O, Hemida MG. Comparative Genome Sequencing Analysis of Some Novel Feline Infectious Peritonitis Viruses Isolated from Some Feral Cats in Long Island. Viruses. 2025; 17(2):209. https://doi.org/10.3390/v17020209
Chicago/Turabian StyleShah, Abid Ullah, Blanca Esparza, Oscar Illanes, and Maged Gomaa Hemida. 2025. "Comparative Genome Sequencing Analysis of Some Novel Feline Infectious Peritonitis Viruses Isolated from Some Feral Cats in Long Island" Viruses 17, no. 2: 209. https://doi.org/10.3390/v17020209
APA StyleShah, A. U., Esparza, B., Illanes, O., & Hemida, M. G. (2025). Comparative Genome Sequencing Analysis of Some Novel Feline Infectious Peritonitis Viruses Isolated from Some Feral Cats in Long Island. Viruses, 17(2), 209. https://doi.org/10.3390/v17020209

