Generation and Characterization of a CE1-Modified mCherry-Expressing Influenza A Virus for In Vivo Imaging and Antiviral Drug Evaluation
Abstract
1. Introduction
2. Materials and Methods
2.1. Cell Culture
2.2. Plasmid Construction
2.3. Rescue and Amplification of Recombinant Reporter Viruses
2.4. Virus Growth Kinetics and In Vitro Fluorescence Detection
2.5. TCID50 Assay
2.6. Genome Genetic Stability Analysis
2.7. RT-PCR
2.8. Determination of Median Lethal Dose (LD50)
2.9. Establishment of a Robust Live Imaging Animal Model for IAV
2.10. Correlation Analysis Between Fluorescence Intensity and Viral Load
2.11. qPCR
2.12. Oseltamivir Intervention
2.13. Statistical Analysis
3. Results
3.1. Generation of Recombinant IAV-Expressing mCherry
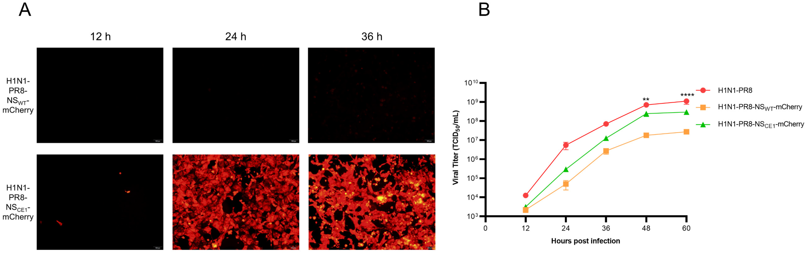
3.2. Characterization of H1N1-PR8-NSWT-mCherry and H1N1-PR8-NSCE1-mCherry
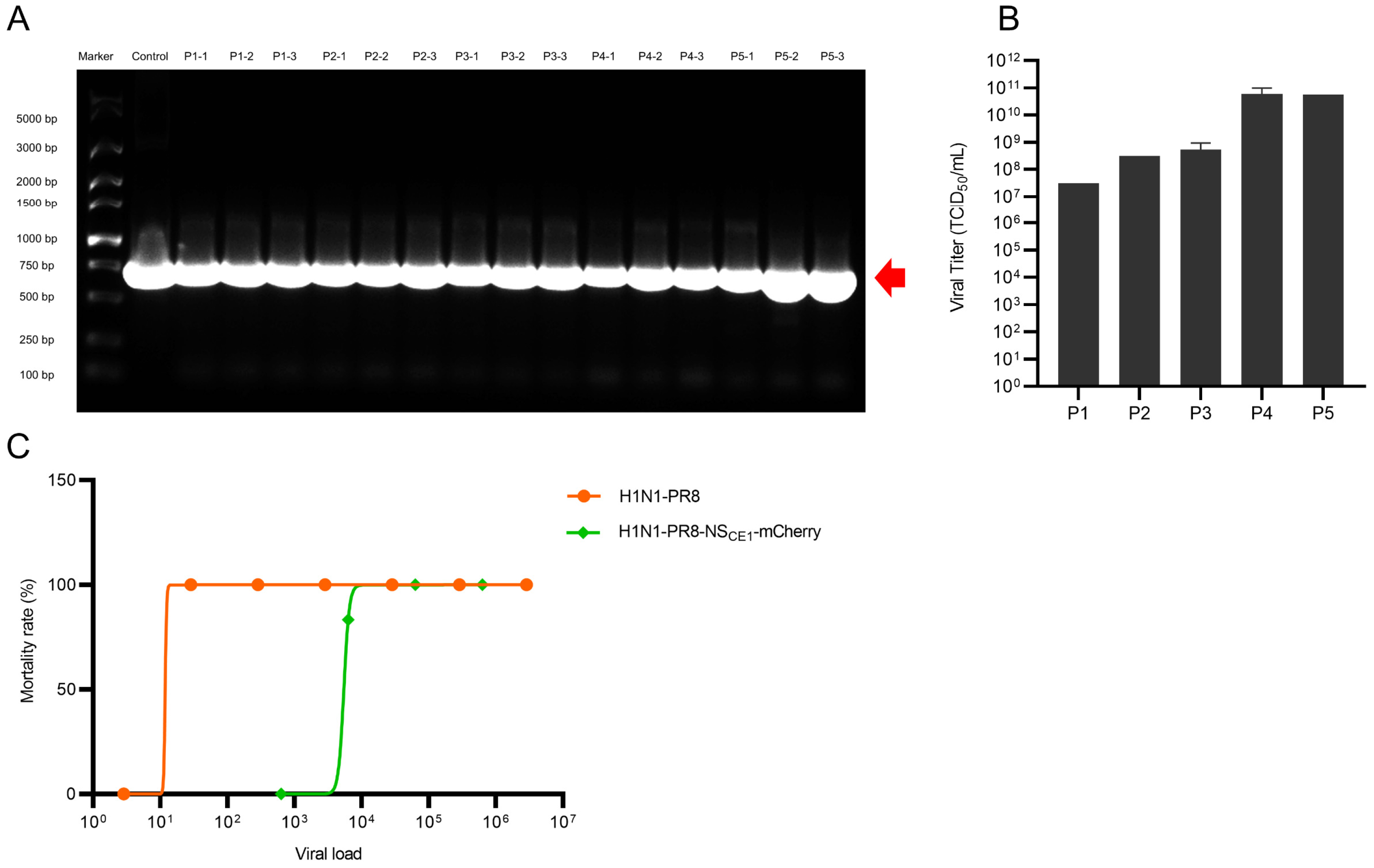
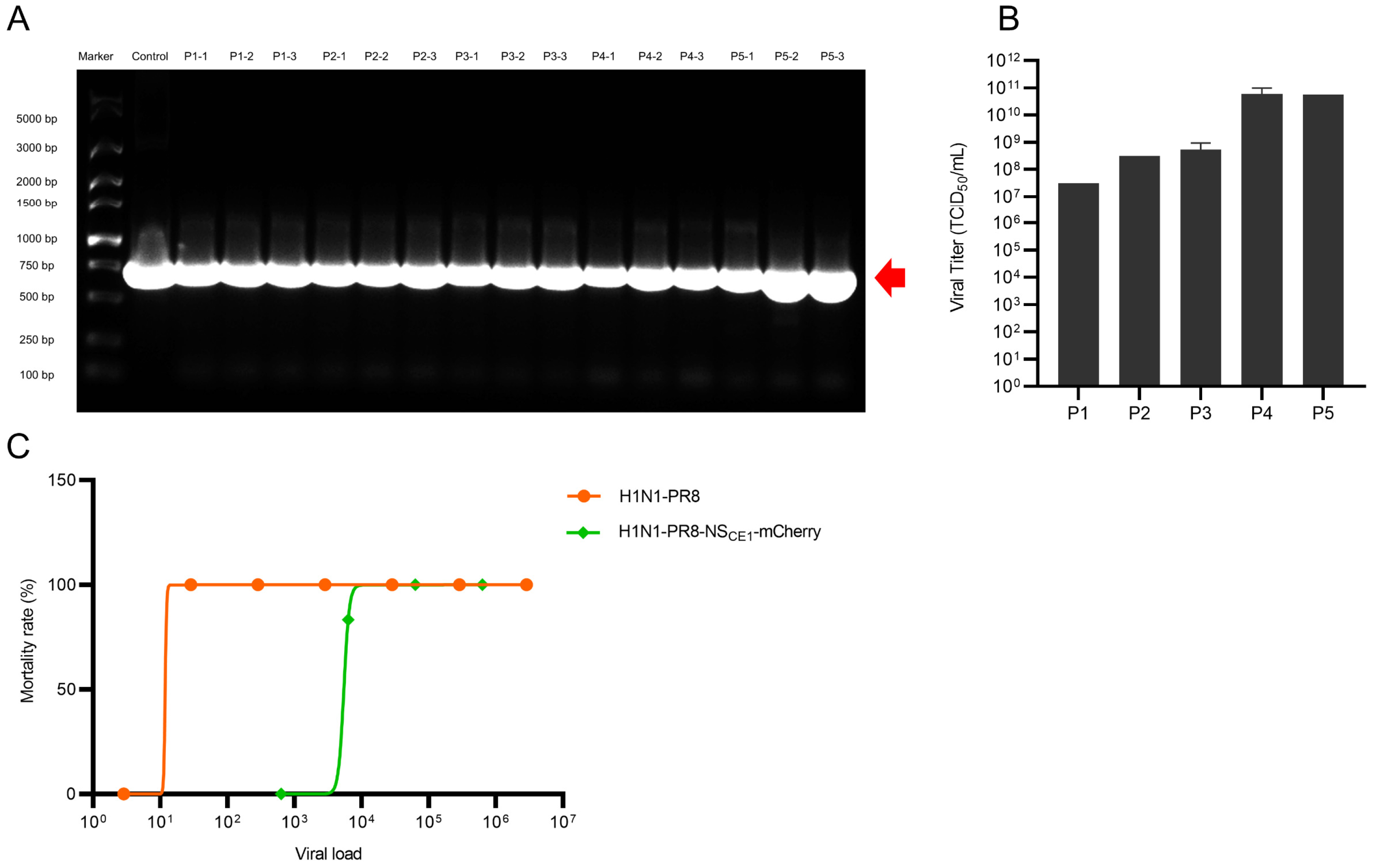
3.3. Genetic Stability and Pathogenicity of H1N1-PR8-NSCE1-mCherry
3.4. Establishment of a Robust Live Imaging Animal Model Using H1N1-PR8-NSCE1-mCherry
3.5. Application of H1N1-PR8-NSCE1-mCherry-Based Imaging Model for Antiviral Drug Screening
4. Discussion
5. Conclusions
Supplementary Materials
Author Contributions
Funding
Institutional Review Board Statement
Data Availability Statement
Conflicts of Interest
Abbreviations
| FBS | Fetal bovine serum |
| GFP | GFP Green fluorescent protein |
| GLuc | Gaussia luciferase |
| HA | Hemagglutinin |
| IVIS | In vivo imaging system |
| LD50 | Median lethal dose |
| M | Matrix protein |
| MOI | Multiplicity of infection |
| NA | Neuraminidase |
| NCR | Non-coding region |
| NEP | Nuclear export protein |
| NP | Nucleoprotein |
| NS | Nonstructural protein |
| NS1 | Nonstructural protein 1 |
| PA | Polymerase acidic protein |
| PB2 | Polymerase basic 2 protein |
| PBS | Phosphate-buffer saline |
| PCR | Polymerase chain Reaction |
| PTV | Porcine teschovirus |
| TCID50 | Median tissue culture infective dose |
References
- Hutchinson, E.C. Influenza Virus. Trends Microbiol. 2018, 26, 809–810. [Google Scholar] [CrossRef] [PubMed]
- Han, J.; Perez, J.; Schafer, A.; Cheng, H.; Peet, N.; Rong, L.; Manicassamy, B. Influenza Virus: Small Molecule Therapeutics and Mechanisms of Antiviral Resistance. Curr. Med. Chem. 2018, 25, 5115–5127. [Google Scholar] [CrossRef] [PubMed]
- Li, Y.-Y.; Liang, G.-D.; Chen, Z.-X.; Zhang, K.; Liang, J.-L.; Jiang, L.-R.; Yang, S.-Z.; Jiang, F.; Liu, S.-W.; Yang, J. A small molecule compound targeting hemagglutinin inhibits influenza A virus and exhibits broad-spectrum antiviral activity. Acta Pharmacol. Sin. 2024, 45, 2380–2393. [Google Scholar] [CrossRef]
- Zhang, J.; Hu, Y.; Musharrafieh, R.; Yin, H.; Wang, J. Focusing on the Influenza Virus Polymerase Complex: Recent Progress in Drug Discovery and Assay Development. Curr. Med. Chem. 2019, 26, 2243–2263. [Google Scholar] [CrossRef]
- Li, L.; Liu, Y.; Wu, P.; Peng, Z.; Wang, X.; Chen, T.; Wong, J.Y.T.; Yang, J.; Bond, H.S.; Wang, L.; et al. Influenza-associated excess respiratory mortality in China, 2010–2015: A population-based study. Lancet Public Health 2019, 4, e473–e481. [Google Scholar] [CrossRef]
- Hussain, M.; Galvin, H.D.; Haw, T.Y.; Nutsford, A.N.; Husain, M. Drug resistance in influenza A virus: The epidemiology and management. Infect. Drug Resist. 2017, 10, 121–134. [Google Scholar] [CrossRef]
- Lampejo, T. Influenza and antiviral resistance: An overview. Eur. J. Clin. Microbiol. Infect. Dis. 2020, 39, 1201–1208. [Google Scholar] [CrossRef]
- Shao, W.; Li, X.; Goraya, M.U.; Wang, S.; Chen, J.L. Evolution of Influenza A Virus by Mutation and Re-Assortment. Int. J. Mol. Sci. 2017, 18, 1650. [Google Scholar] [CrossRef]
- Ducatez, M.F.; Hause, B.; Stigger-Rosser, E.; Darnell, D.; Corzo, C.; Juleen, K.; Simonson, R.; Brockwell-Staats, C.; Rubrum, A.; Wang, D.; et al. Multiple Reassortment between Pandemic (H1N1) 2009 and Endemic Influenza Viruses in Pigs, United States. Emerg. Infect. Dis. 2011, 17, 1624–1629. [Google Scholar] [CrossRef]
- Zhao, X.; Lin, X.; Li, P.; Chen, Z.; Zhang, C.; Manicassamy, B.; Rong, L.; Cui, Q.; Du, R. Expanding the tolerance of segmented Influenza A Virus genome using a balance compensation strategy. PLoS Pathog. 2022, 18, e1010756. [Google Scholar] [CrossRef] [PubMed]
- Liu, S.; Su, Y.; Lin, M.Z.; Ronald, J.A. Brightening up Biology: Advances in Luciferase Systems for in Vivo Imaging. ACS Chem. Biol. 2021, 16, 2707–2718. [Google Scholar] [CrossRef]
- Tran, V.; Moser, L.A.; Poole, D.S.; Mehle, A. Highly Sensitive Real-Time In Vivo Imaging of an Influenza Reporter Virus Reveals Dynamics of Replication and Spread. J. Virol. 2013, 87, 13321–13329. [Google Scholar] [CrossRef]
- Barre, R.S.; Escobedo, R.A.; Castro, E.M.; Gazi, M.; Castro, J.D.; Cupic, A.; Bayoumi, M.; Jackson, N.; Ye, C.; Nogales, A.; et al. A human H5N1 influenza virus expressing bioluminescence for evaluating viral infection and identifying therapeutic interventions. iScience 2025, 28, 113402. [Google Scholar] [CrossRef] [PubMed]
- Barre, R.S.; Mostafa, A.; Chiem, K.; Pearl, R.L.; Platt, R.N.; Cupic, A.; Anderson, T.J.C.; Knaus, U.G.; Albrecht, R.A.; García-Sastre, A.; et al. Bioluminescent reporter influenza A viruses to track viral infections. Microbiol. Spectr. 2025, 13, e0215025. [Google Scholar] [CrossRef]
- Shaner, N.C.; Lambert, G.G.; Chammas, A.; Ni, Y.; Cranfill, P.J.; Baird, M.A.; Sell, B.R.; Allen, J.R.; Day, R.N.; Israelsson, M.; et al. A bright monomeric green fluorescent protein derived from Branchiostoma lanceolatum. Nat. Methods 2013, 10, 407–409. [Google Scholar] [CrossRef]
- Nogales, A.; Schotsaert, M.; Rathnasinghe, R.; DeDiego, M.L.; García-Sastre, A.; Martinez-Sobrido, L. Replication-Competent ΔNS1 Influenza A Viruses Expressing Reporter Genes. Viruses 2021, 13, 698. [Google Scholar] [CrossRef]
- Cloin, B.M.C.; De Zitter, E.; Salas, D.; Gielen, V.; Folkers, G.E.; Mikhaylova, M.; Bergeler, M.; Krajnik, B.; Harvey, J.; Hoogenraad, C.C.; et al. Efficient switching of mCherry fluorescence using chemical caging. Proc. Natl. Acad. Sci. USA 2017, 114, 7013–7018. [Google Scholar] [CrossRef] [PubMed]
- Viotti, M.; Nowotschin, S.; Hadjantonakis, A.K. Afp::mCherry, a red fluorescent transgenic reporter of the mouse visceral endoderm. Genesis 2011, 49, 124–133. [Google Scholar] [CrossRef] [PubMed]
- Reuther, P.; Göpfert, K.; Dudek, A.H.; Heiner, M.; Herold, S.; Schwemmle, M. Generation of a variety of stable Influenza A reporter viruses by genetic engineering of the NS gene segment. Sci. Rep. 2015, 5, 11346. [Google Scholar] [CrossRef]
- Bu, L.; Chen, B.; Xing, L.; Cai, X.; Liang, S.; Zhang, L.; Wang, X.; Song, W. Generation of a pdmH1N1 2018 Influenza A Reporter Virus Carrying a mCherry Fluorescent Protein in the PA Segment. Front. Cell Infect. Microbiol. 2022, 11, 827790. [Google Scholar] [CrossRef]
- Breen, M.; Nogales, A.; Baker, S.F.; Martínez-Sobrido, L. Replication-Competent Influenza A Viruses Expressing Reporter Genes. Viruses 2016, 8, 179. [Google Scholar] [CrossRef]
- Martinez-Sobrido, L.; Nogales, A. Recombinant Influenza A Viruses Expressing Reporter Genes from the Viral NS Segment. Int. J. Mol. Sci. 2024, 25, 10584. [Google Scholar] [CrossRef]
- Pflug, A.; Lukarska, M.; Resa-Infante, P.; Reich, S.; Cusack, S. Structural insights into RNA synthesis by the influenza virus transcription-replication machine. Virus Res. 2017, 234, 103–117. [Google Scholar] [CrossRef]
- Tagawa, T.; Serquiña, A.; Kook, I.; Ziegelbauer, J. Viral non-coding RNAs: Stealth strategies in the tug-of-war between humans and herpesviruses. Semin. Cell Dev. Biol. 2021, 111, 135–147. [Google Scholar] [CrossRef]
- Ye, L.; Ambi, U.B.; Olguin-Nava, M.; Gribling-Burrer, A.-S.; Ahmad, S.; Bohn, P.; Weber, M.M.; Smyth, R.P. RNA Structures and Their Role in Selective Genome Packaging. Viruses 2021, 13, 1788. [Google Scholar] [CrossRef]
- Girard, J.; Jakob, C.; Toews, L.K.; Fuchs, J.; Pohlmann, A.; Franzke, K.; Kolesnikova, L.; Jeney, C.; Beer, M.; Bron, P.; et al. Disruption of influenza virus packaging signals results in various misassembled genome complexes. J. Virol. 2023, 97, e0107623. [Google Scholar] [CrossRef] [PubMed]
- Li, X.; Gu, M.; Zheng, Q.; Gao, R.; Liu, X. Packaging signal of influenza A virus. Virol J. 2021, 18, 36. [Google Scholar] [CrossRef] [PubMed]
- Dumm, R.E.; Heaton, N.S. The Development and Use of Reporter Influenza B Viruses. Viruses 2019, 11, 736. [Google Scholar] [CrossRef]
- Ellis, D.; Lederhofer, J.; Acton, O.J.; Tsybovsky, Y.; Kephart, S.; Yap, C.; Gillespie, R.A.; Creanga, A.; Olshefsky, A.; Stephens, T.; et al. Structure-based design of stabilized recombinant influenza neuraminidase tetramers. Nat. Commun. 2022, 13, 1825. [Google Scholar] [CrossRef] [PubMed]
- Furusawa, Y.; Yamada, S.; da Silva Lopes, T.J.; Dutta, J.; Khan, Z.; Kriti, D.; van Bakel, H.; Kawaoka, Y. Influenza Virus Polymerase Mutation Stabilizes a Foreign Gene Inserted into the Virus Genome by Enhancing the Transcription/Replication Efficiency of the Modified Segment. mBio 2019, 10, e01794-19. [Google Scholar] [CrossRef]
- Georgakopoulos-Soares, I.; Parada, G.E.; Hemberg, M. Secondary structures in RNA synthesis, splicing and translation. Comput. Struct. Biotechnol. J. 2022, 20, 2871–2884. [Google Scholar] [CrossRef] [PubMed]
- Madzak, C.; Poiret, S.; Salomé Desnoulez, S.; Foligné, B.; Lafont, F.; Daniel, C. Study of the persistence and dynamics of recombinant mCherry-producing Yarrowia lipolytica strains in the mouse intestine using fluorescence imaging. Microb. Biotechnol. 2022, 16, 618–631. [Google Scholar] [CrossRef]
- Deng, H.; Cao, H.; Wang, Y.; Li, J.; Dai, J.; Li, L.-F.; Qiu, H.-J.; Li, S. Viral replication organelles: The highly complex and programmed replication machinery. Front. Microbiol. 2024, 15, 1450060. [Google Scholar] [CrossRef]
- Kleinehr, J.; Bojarzyn, C.R.; Schöfbänker, M.; Daniel, K.; Ludwig, S.; Hrincius, E.R. Metabolic interference impairs influenza A virus replication by dampening vRNA synthesis. npj Viruses 2025, 3, 22. [Google Scholar] [CrossRef]
- Kombe Kombe, A.J.; Fotoohabadi, L.; Gerasimova, Y.; Nanduri, R.; Lama Tamang, P.; Kandala, M.; Kelesidis, T. The Role of Inflammation in the Pathogenesis of Viral Respiratory Infections. Microorganisms 2024, 12, 2526. [Google Scholar] [CrossRef] [PubMed]
- Doherty, G.P.; Bailey, K.; Lewis, P.J. Stage-specific fluorescence intensity of GFP and mCherry during sporulation In Bacillus Subtilis. BMC Res. Notes 2010, 3, 303. [Google Scholar] [CrossRef] [PubMed]
- Oliinyk, O.S.; Ma, C.; Pletnev, S.; Baloban, M.; Taboada, C.; Sheng, H.; Yao, J.; Verkhusha, V.V. Deep-tissue SWIR imaging using rationally designed small red-shifted near-infrared fluorescent protein. Nat. Methods 2023, 20, 70–74. [Google Scholar] [CrossRef] [PubMed]
- Nie, M.-S.; Li, X.-H.; Zhang, S.; Zeng, D.-D.; Cai, Y.-R.; Peng, D.-X.; Jiang, T.; Shi, J.-P.; Li, J. Screening for anti-influenza virus compounds from traditional Mongolian medicine by GFP-based reporter virus. Front. Cell Infect. Microbiol. 2024, 14, 1431979. [Google Scholar] [CrossRef]






Disclaimer/Publisher’s Note: The statements, opinions and data contained in all publications are solely those of the individual author(s) and contributor(s) and not of MDPI and/or the editor(s). MDPI and/or the editor(s) disclaim responsibility for any injury to people or property resulting from any ideas, methods, instructions or products referred to in the content. |
© 2025 by the authors. Licensee MDPI, Basel, Switzerland. This article is an open access article distributed under the terms and conditions of the Creative Commons Attribution (CC BY) license (https://creativecommons.org/licenses/by/4.0/).
Share and Cite
Li, Z.; Liu, M.; Yang, J.; Sun, Q.; Ye, D.; Zhou, W.; Du, R.; Cheng, S.; Rong, R.; Yang, Y.; et al. Generation and Characterization of a CE1-Modified mCherry-Expressing Influenza A Virus for In Vivo Imaging and Antiviral Drug Evaluation. Viruses 2025, 17, 1537. https://doi.org/10.3390/v17121537
Li Z, Liu M, Yang J, Sun Q, Ye D, Zhou W, Du R, Cheng S, Rong R, Yang Y, et al. Generation and Characterization of a CE1-Modified mCherry-Expressing Influenza A Virus for In Vivo Imaging and Antiviral Drug Evaluation. Viruses. 2025; 17(12):1537. https://doi.org/10.3390/v17121537
Chicago/Turabian StyleLi, Zhenghao, Meiyi Liu, Jia Yang, Qihui Sun, Dongxue Ye, Wanhui Zhou, Ruikun Du, Shijuan Cheng, Rong Rong, Yong Yang, and et al. 2025. "Generation and Characterization of a CE1-Modified mCherry-Expressing Influenza A Virus for In Vivo Imaging and Antiviral Drug Evaluation" Viruses 17, no. 12: 1537. https://doi.org/10.3390/v17121537
APA StyleLi, Z., Liu, M., Yang, J., Sun, Q., Ye, D., Zhou, W., Du, R., Cheng, S., Rong, R., Yang, Y., & Liu, X. (2025). Generation and Characterization of a CE1-Modified mCherry-Expressing Influenza A Virus for In Vivo Imaging and Antiviral Drug Evaluation. Viruses, 17(12), 1537. https://doi.org/10.3390/v17121537

