Potential Vaccine or Antimicrobial Reagents: Simple Systems for Producing Lambda Display Particles (LDP) and Sheathed Lambda DNA Vaccine Particles (LDNAP)
Abstract
1. Introduction
1.1. Phages
1.2. Use of Phages as Therapeutic Agents
1.3. Phage Display (PD) Systems
1.4. λPD
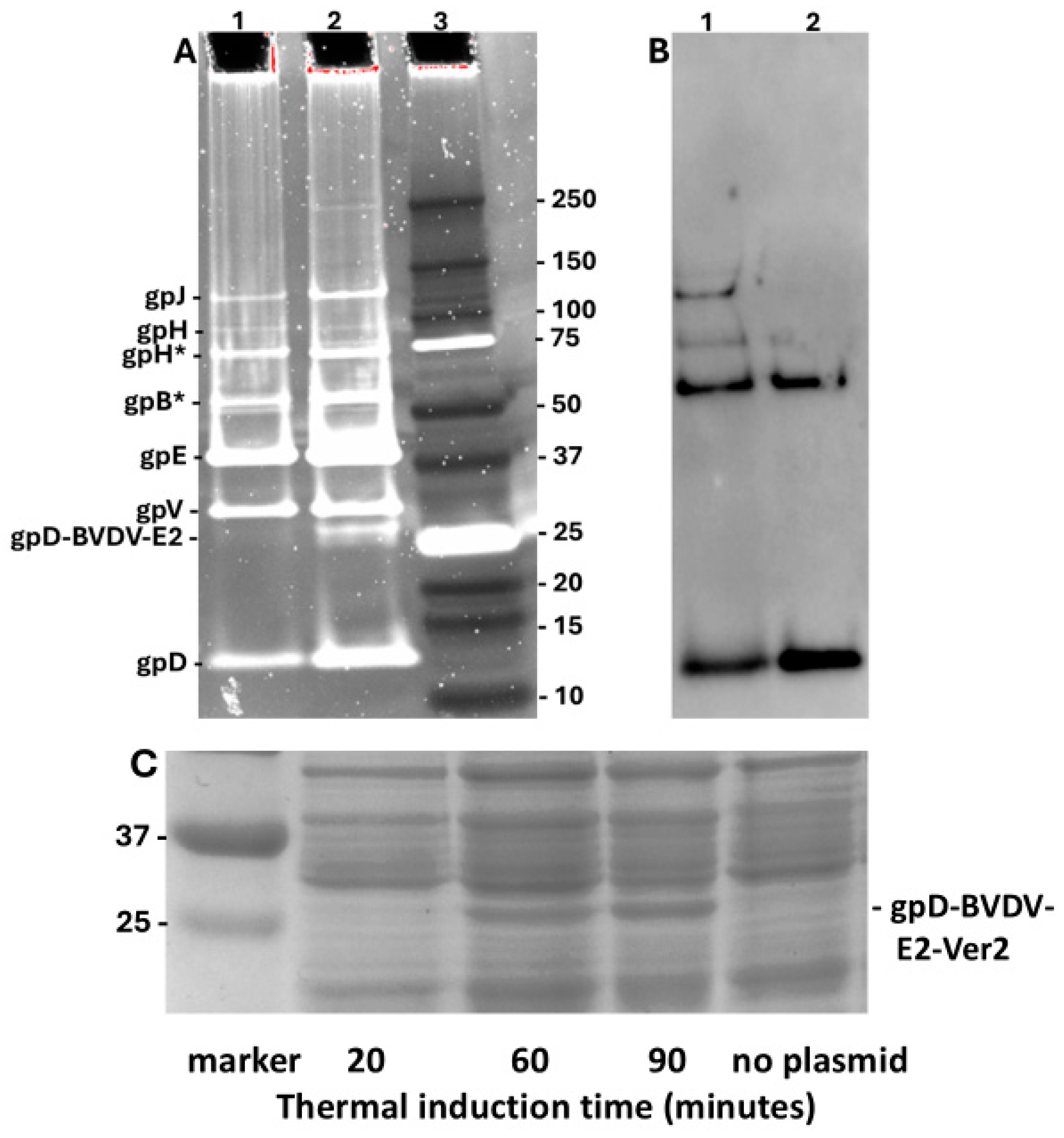
2. Materials and Methods
2.1. Microbiological Techniques
2.2. Phage Lysate Preparations Methodology for Preparing gpD< Display Phages
2.2.1. Single Phage Infections
2.2.2. Trivalent Infections
2.2.3. Single Burst Infections
2.3. Banding Phage in CsCl
2.4. Determining the Toxicity of the gpD-Fusion Constructs by Measuring EOP
2.5. Plaque and Colony PCR Techniques
2.6. Nonradioactive DNA Probe Labeling and Hybridization to Identify Recombinant Phage Plaques
2.7. E. coli Strains, Phages, and Plasmids Employed
2.8. Genetic Techniques
2.9. Protein Gels and Western Blots
2.10. Fluorescence Assays for Expressed gpD-GFPuv
3. Results and Discussion
3.1. In Vivo Complementation Assay for gp< Activity
3.2. Dual Display
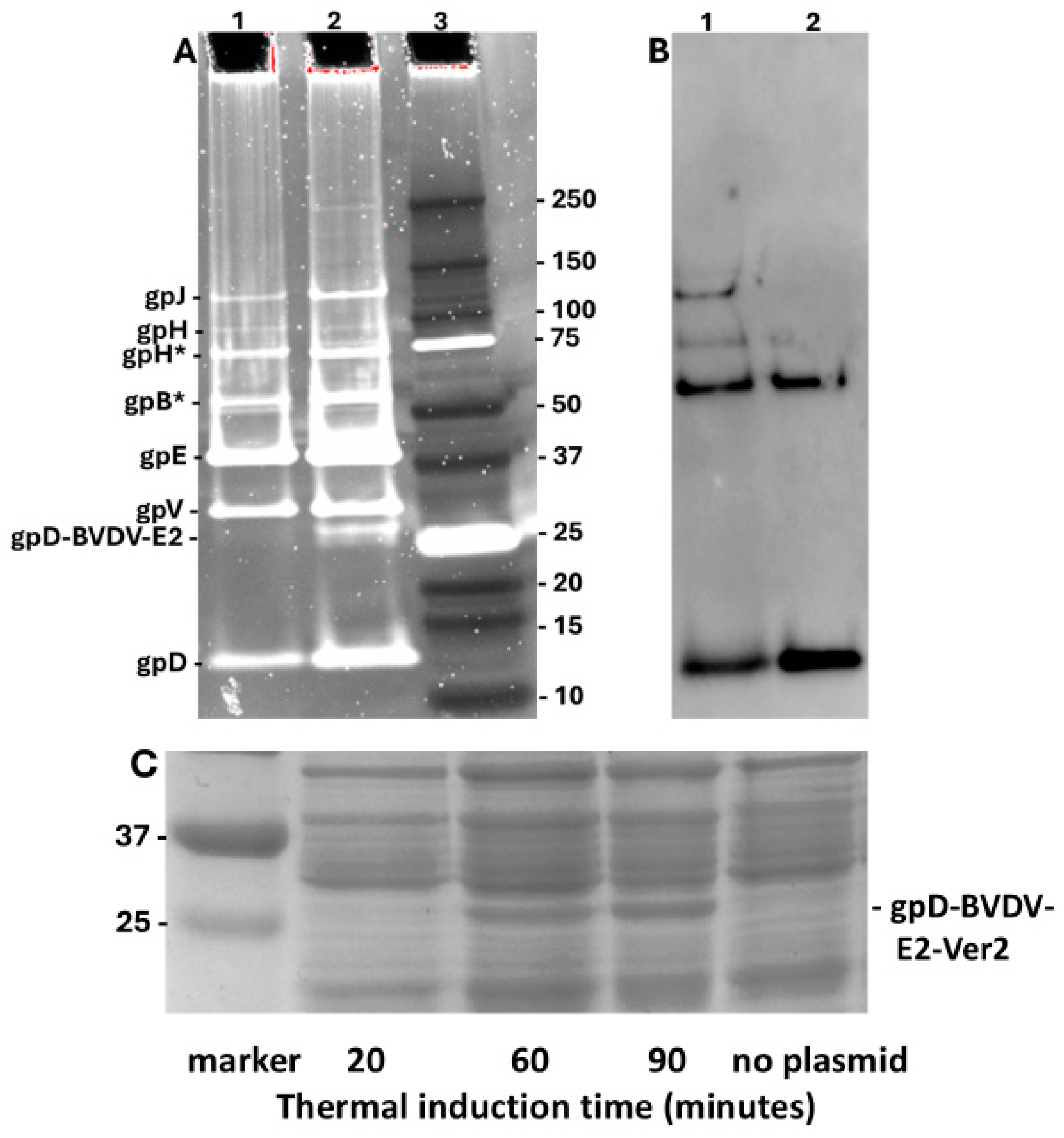
3.3. Potential Use of Lambda Display Particles (LDP) as Vaccine Reagents
3.4. Evaluating Biological Activity (Cellular Toxicity) of Antimicrobial Polypeptides Fused to gpD
3.5. DNA Vaccines Delivered in Phage Lambda Particles (LDNAP)
3.6. Progress and Remaining Work to Exploit LDNAP as Vaccine Agents
3.7. Use of LDP as Antimicrobials to Antimicrobial-Resistant Bacteria, or a Nontargeted Version of Phage Therapy?
4. Summary, Conclusions, and Other Considerations
4.1. Summary and Conclusions
4.2. Other Considerations
4.2.1. Tailless Phage Particles
4.2.2. gpD-gpD< Trimer Heterogeneity and the Importance of a Spacer
4.2.3. Phage Particles as Vaccines
4.2.4. LDNAP and L2DP
4.2.5. Improving on Genetic System for PD
Supplementary Materials
Funding
Data Availability Statement
Acknowledgments
Conflicts of Interest
References
- Brussow, H.; Hendrix, R.W. Phage genomics: Small is beautiful. Cell 2002, 108, 13–16. [Google Scholar] [CrossRef] [PubMed]
- Aghebati-Maleki, L.; Bakhshinejad, B.; Baradaran, B.; Motallebnezhad, M.; Aghebati-Maleki, A.; Nickho, H.; Yousefi, M.; Majidi, J. Phage display as a promising approach for vaccine development. J. Biomed. Sci. 2016, 23, 66. [Google Scholar] [CrossRef]
- Gonzalez-Mora, A.; Hernandez-Perez, J.; Iqbal, H.M.N.; Rito-Palomares, M.; Benavides, J. Bacteriophage-Based Vaccines: A Potent Approach for Antigen Delivery. Vaccines 2020, 8, 504. [Google Scholar] [CrossRef]
- Hodyra-Stefaniak, K.; Miernikiewicz, P.; Drapala, J.; Drab, M.; Jonczyk-Matysiak, E.; Lecion, D.; Kazmierczak, Z.; Beta, W.; Majewska, J.; Harhala, M.; et al. Mammalian Host-Versus-Phage immune response determines phage fate in vivo. Sci. Rep. 2015, 5, 14802. [Google Scholar] [CrossRef]
- Jafari, N.; Abediankenari, S. Phage particles as vaccine delivery vehicles: Concepts, applications and prospects. Asian Pac. J. Cancer Prev. 2015, 16, 8019–8029. [Google Scholar] [CrossRef] [PubMed]
- Popescu, M.; Van Belleghem, J.D.; Khosravi, A.; Bollyky, P.L. Bacteriophages and the Immune System. Annu. Rev. Virol. 2021, 8, 415–435. [Google Scholar] [CrossRef] [PubMed]
- Van Belleghem, J.D.; Dabrowska, K.; Vaneechoutte, M.; Barr, J.J.; Bollyky, P.L. Interactions between Bacteriophage, Bacteria, and the Mammalian Immune System. Viruses 2018, 11, 10. [Google Scholar] [CrossRef] [PubMed]
- Sweere, J.M.; Van Belleghem, J.D.; Ishak, H.; Bach, M.S.; Popescu, M.; Sunkari, V.; Kaber, G.; Manasherob, R.; Suh, G.A.; Cao, X.; et al. Bacteriophage trigger antiviral immunity and prevent clearance of bacterial infection. Science 2019, 363, eaat9691. [Google Scholar] [CrossRef] [PubMed]
- Schmitz, U.; Versmold, A.; Kaufmann, P.; Frank, H.G. Phage display: A molecular tool for the generation of antibodies--a review. Placenta 2000, 21 (Suppl. SA), S106–S112. [Google Scholar] [CrossRef]
- Barondess, J.J.; Beckwith, J. bor gene of phage lambda, involved in serum resistance, encodes a widely conserved outer membrane lipoprotein. J. Bacteriol. 1995, 177, 1247–1253. [Google Scholar] [CrossRef] [PubMed]
- Weber-Dabrowska, B.; Zimecki, M.; Mulczyk, M. Effective phage therapy is associated with normalization of cytokine production by blood cell cultures. Arch. Immunol. Ther. Exp. 2000, 48, 31–37. [Google Scholar]
- Zimecki, M.; Weber-Dabrowska, B.; Lusiak-Szelachowska, M.; Mulczyk, M.; Boratynski, J.; Pozniak, G.; Syper, D.; Gorski, A. Bacteriophages provide regulatory signals in mitogen-induced murine splenocyte proliferation. Cell Mol. Biol. Lett. 2003, 8, 699–711. [Google Scholar]
- Kleinschmidt, W.J.; Douthart, R.J.; Murphy, E.B. Interferon production by T4 coliphage. Nature 1970, 228, 27–30. [Google Scholar] [CrossRef]
- Apostolopoulos, V.; Thalhammer, T.; Tzakos, A.G.; Stojanovska, L. Targeting antigens to dendritic cell receptors for vaccine development. J. Drug Deliv. 2013, 2013, 869718. [Google Scholar] [CrossRef]
- Gallot, D.; Seifer, I.; Lemery, D.; Bignon, Y.J. Systemic diffusion including germ cells after plasmidic in utero gene transfer in the rat. Fetal Diagn. Ther. 2002, 17, 157–162. [Google Scholar] [CrossRef]
- Glenting, J.; Wessels, S. Ensuring safety of DNA vaccines. Microb. Cell Fact. 2005, 4, 26. [Google Scholar] [CrossRef]
- Rosenthal, K.S.; Zimmerman, D.H. Vaccines: All things considered. Clin. Vaccine Immunol. 2006, 13, 821–829. [Google Scholar] [CrossRef]
- Brussow, H.; Canchaya, C.; Hardt, W.D. Phages and the evolution of bacterial pathogens: From genomic rearrangements to lysogenic conversion. Microbiol. Mol. Biol. Rev. 2004, 68, 560–602, table of contents. [Google Scholar] [CrossRef] [PubMed]
- Wagner, P.L.; Waldor, M.K. Bacteriophage control of bacterial virulence. Infect. Immun. 2002, 70, 3985–3993. [Google Scholar] [CrossRef] [PubMed]
- Broudy, T.B.; Fischetti, V.A. In vivo lysogenic conversion of Tox(-) Streptococcus pyogenes to Tox(+) with Lysogenic Streptococci or free phage. Infect. Immun. 2003, 71, 3782–3786. [Google Scholar] [CrossRef] [PubMed]
- Harhala, M.; Barylski, J.; Huminska-Lisowska, K.; Lecion, D.; Wojciechowicz, J.; Lahutta, K.; Kus, M.; Kropinski, A.M.; Nowak, S.; Nowicki, G.; et al. Two novel temperate bacteriophages infecting Streptococcus pyogenes: Their genomes, morphology and stability. PLoS ONE 2018, 13, e0205995. [Google Scholar] [CrossRef]
- McShan, W.M.; McCullor, K.A.; Nguyen, S.V. The Bacteriophages of Streptococcus pyogenes. Microbiol. Spectr. 2019, 7, 10–1128. [Google Scholar] [CrossRef] [PubMed]
- Nakagawa, I.; Kurokawa, K.; Yamashita, A.; Nakata, M.; Tomiyasu, Y.; Okahashi, N.; Kawabata, S.; Yamazaki, K.; Shiba, T.; Yasunaga, T.; et al. Genome sequence of an M3 strain of Streptococcus pyogenes reveals a large-scale genomic rearrangement in invasive strains and new insights into phage evolution. Genome Res. 2003, 13, 1042–1055. [Google Scholar] [CrossRef] [PubMed]
- Nguyen, S.V.; McShan, W.M. Chromosomal islands of Streptococcus pyogenes and related streptococci: Molecular switches for survival and virulence. Front. Cell Infect. Microbiol. 2014, 4, 109. [Google Scholar] [CrossRef] [PubMed]
- Alisky, J.; Iczkowski, K.; Rapoport, A.; Troitsky, N. Bacteriophages show promise as antimicrobial agents. J. Infect. 1998, 36, 5–15. [Google Scholar] [CrossRef]
- Biswas, B.; Adhya, S.; Washart, P.; Paul, B.; Trostel, A.N.; Powell, B.; Carlton, R.; Merril, C.R. Bacteriophage therapy rescues mice bacteremic from a clinical isolate of vancomycin-resistant Enterococcus faecium. Infect. Immun. 2002, 70, 204–210. [Google Scholar] [CrossRef]
- Carlton, R.M. Phage therapy: Past history and future prospects. Arch. Immunol. Ther. Exp. 1999, 47, 267–274. [Google Scholar]
- Stone, R. Bacteriophage therapy. Stalin’s Forgotten cure. Science 2002, 298, 728–731. [Google Scholar] [CrossRef]
- Sulakvelidze, A.; Alavidze, Z.; Morris, J.G., Jr. Bacteriophage therapy. Antimicrob. Agents Chemother. 2001, 45, 649–659. [Google Scholar] [CrossRef]
- Summers, W.C. (Ed.) Felix d’Herelle and the Orgins of Molecular Biology; Yale University Press: New Haven, CT, USA, 1999; pp. 47–59. [Google Scholar]
- Merril, C.R.; Scholl, D.; Adhya, S.L. The prospect for bacteriophage therapy in Western medicine. Nat. Rev. Drug Discov. 2003, 2, 489–497. [Google Scholar] [CrossRef]
- Dabrowska, K. Phage therapy: What factors shape phage pharmacokinetics and bioavailability? Systematic and critical review. Med. Res. Rev. 2019, 39, 2000–2025. [Google Scholar] [CrossRef] [PubMed]
- Dabrowska, K.; Switala-Jelen, K.; Opolski, A.; Weber-Dabrowska, B.; Gorski, A. Bacteriophage penetration in vertebrates. J. Appl. Microbiol. 2005, 98, 7–13. [Google Scholar] [CrossRef]
- Summers, W.C. Bacteriophage therapy. Annu. Rev. Microbiol. 2001, 55, 437–451. [Google Scholar] [CrossRef]
- Djebara, S.; Maussen, C.; De Vos, D.; Merabishvili, M.; Damanet, B.; Pang, K.W.; De Leenheer, P.; Strachinaru, I.; Soentjens, P.; Pirnay, J.P. Processing Phage Therapy Requests in a Brussels Military Hospital: Lessons Identified. Viruses 2019, 11, 265. [Google Scholar] [CrossRef]
- Regeimbal, J.M.; Jacobs, A.C.; Corey, B.W.; Henry, M.S.; Thompson, M.G.; Pavlicek, R.L.; Quinones, J.; Hannah, R.M.; Ghebremedhin, M.; Crane, N.J.; et al. Personalized Therapeutic Cocktail of Wild Environmental Phages Rescues Mice from Acinetobacter baumannii Wound Infections. Antimicrob. Agents Chemother. 2016, 60, 5806–5816. [Google Scholar] [CrossRef]
- Schooley, R.T.; Biswas, B.; Gill, J.J.; Hernandez-Morales, A.; Lancaster, J.; Lessor, L.; Barr, J.J.; Reed, S.L.; Rohwer, F.; Benler, S.; et al. Development and Use of Personalized Bacteriophage-Based Therapeutic Cocktails to Treat a Patient with a Disseminated Resistant Acinetobacter baumannii Infection. Antimicrob. Agents Chemother. 2017, 61, e00954-17. [Google Scholar] [CrossRef] [PubMed]
- Young, M.J.; Hall, L.M.L.; Merabishvilli, M.; Pirnay, J.P.; Clark, J.R.; Jones, J.D. Phage Therapy for Diabetic Foot Infection: A Case Series. Clin. Ther. 2023, 45, 797–801. [Google Scholar] [CrossRef]
- Benhar, I. Biotechnological applications of phage and cell display. Biotechnol. Adv. 2001, 19, 1–33. [Google Scholar] [CrossRef]
- Gupta, A.; Oppenheim, A.B.; Chaudhary, V.K. Phage display: A molecular fashion show. In Phages. Their Role in bacterial Pathogenesis and Biotechnology; Walder, M.K., Friedman, D.I., Adhya, S.L., Eds.; ASM Press: Washington, DC, USA, 2005; pp. 415–429. [Google Scholar]
- Wang, L.F.; Yu, M. Epitope identification and discovery using phage display libraries: Applications in vaccine development and diagnostics. Curr. Drug Targets 2004, 5, 1–15. [Google Scholar] [CrossRef] [PubMed]
- Willats, W.G. Phage display: Practicalities and prospects. Plant Mol. Biol. 2002, 50, 837–854. [Google Scholar] [CrossRef] [PubMed]
- Ren, Z.J.; Tian, C.J.; Zhu, Q.S.; Zhao, M.Y.; Xin, A.G.; Nie, W.X.; Ling, S.R.; Zhu, M.W.; Wu, J.Y.; Lan, H.Y.; et al. Orally delivered foot-and-mouth disease virus capsid protomer vaccine displayed on T4 bacteriophage surface: 100% protection from potency challenge in mice. Vaccine 2008, 26, 1471–1481. [Google Scholar] [CrossRef]
- Lambkin, I.; Pinilla, C. Targeting approaches to oral drug delivery. Expert. Opin. Biol. Ther. 2002, 2, 67–73. [Google Scholar] [CrossRef] [PubMed]
- Ebrahimizadeh, W.; Rajabibazl, M. Bacteriophage vehicles for phage display: Biology, mechanism, and application. Curr. Microbiol. 2014, 69, 109–120. [Google Scholar] [CrossRef] [PubMed]
- Smith, G.P. Filamentous fusion phage: Novel expression vectors that display cloned antigens on the virion surface. Science 1985, 228, 1315–1317. [Google Scholar] [CrossRef]
- Li, Q.; Shivachandra, S.B.; Leppla, S.H.; Rao, V.B. Bacteriophage T4 capsid: A unique platform for efficient surface assembly of macromolecular complexes. J. Mol. Biol. 2006, 363, 577–588. [Google Scholar] [CrossRef] [PubMed]
- Ren, Z.J.; Lewis, G.K.; Wingfield, P.T.; Locke, E.G.; Steven, A.C.; Black, L.W. Phage display of intact domains at high copy number: A system based on SOC, the small outer capsid protein of bacteriophage T4. Protein Sci. 1996, 5, 1833–1843. [Google Scholar] [CrossRef]
- Shivachandra, S.B.; Rao, M.; Janosi, L.; Sathaliyawala, T.; Matyas, G.R.; Alving, C.R.; Leppla, S.H.; Rao, V.B. In vitro binding of anthrax protective antigen on bacteriophage T4 capsid surface through Hoc-capsid interactions: A strategy for efficient display of large full-length proteins. Virology 2006, 345, 190–198. [Google Scholar] [CrossRef]
- Wu, J.; Tu, C.; Yu, X.; Zhang, M.; Zhang, N.; Zhao, M.; Nie, W.; Ren, Z. Bacteriophage T4 nanoparticle capsid surface SOC and HOC bipartite display with enhanced classical swine fever virus immunogenicity: A powerful immunological approach. J. Virol. Methods 2007, 139, 50–60. [Google Scholar] [CrossRef]
- Deng, X.; Wang, L.; You, X.; Dai, P.; Zeng, Y. Advances in the T7 phage display system (Review). Mol. Med. Rep. 2018, 17, 714–720. [Google Scholar] [CrossRef]
- Malys, N.; Chang, D.Y.; Baumann, R.G.; Xie, D.; Black, L.W. A bipartite bacteriophage T4 SOC and HOC randomized peptide display library: Detection and analysis of phage T4 terminase (gp17) and late sigma factor (gp55) interaction. J. Mol. Biol. 2002, 319, 289–304. [Google Scholar] [CrossRef]
- Ren, Z.; Black, L.W. Phage T4 SOC and HOC display of biologically active, full-length proteins on the viral capsid. Gene 1998, 215, 439–444. [Google Scholar] [CrossRef]
- Feiss, M.; Becker, A. DNA packaging and cutting. In Lambda II; Hendrix, R.W., Roberts, J.W., Stahl, F.W., Weisberg, R.A., Eds.; Cold Spring Harbor Laboratory Press: Cold Spring Harbor, NY, USA, 1983; pp. 305–330. [Google Scholar]
- Georgopoulos, C.; Tilly, K.; Casjens, S. Lambdoid phage head assembly. In Lambda II; Hendrix, R.W., Roberts, J.W., Stahl, F.S., Weisberg, R.A., Eds.; Cold Spring Harbor Laboratory: Cold Spring Harbor, NY, USA, 1983; pp. 279–304. [Google Scholar]
- Katsura, I. Structure and function of the major tail protein of bacteriophage lambda. Mutants having small major tail protein molecules in their virion. J. Mol. Biol. 1981, 146, 493–512. [Google Scholar] [CrossRef] [PubMed]
- Lander, G.C.; Evilevitch, A.; Jeembaeva, M.; Potter, C.S.; Carragher, B.; Johnson, J.E. Bacteriophage lambda stabilization by auxiliary protein gpD: Timing, location, and mechanism of attachment determined by cryo-EM. Structure 2008, 16, 1399–1406. [Google Scholar] [CrossRef]
- Sternberg, N.; Weisberg, R. Packaging of coliphage lambda DNA. I. The role of the cohesive end site and the gene A protein. J. Mol. Biol. 1977, 117, 717–731. [Google Scholar] [CrossRef] [PubMed]
- Sternberg, N.; Weisberg, R. Packaging of coliphage lambda DNA. II. The role of the gene D protein. J. Mol. Biol. 1977, 117, 733–759. [Google Scholar] [CrossRef] [PubMed]
- Yang, F.; Forrer, P.; Dauter, Z.; Conway, J.F.; Cheng, N.; Cerritelli, M.E.; Steven, A.C.; Pluckthun, A.; Wlodawer, A. Novel fold and capsid-binding properties of the lambda-phage display platform protein gpD. Nat. Struct. Biol. 2000, 7, 230–237. [Google Scholar] [CrossRef]
- Dunn, I.S. Assembly of functional bacteriophage lambda virions incorporating C-terminal peptide or protein fusions with the major tail protein. J. Mol. Biol. 1995, 248, 497–506. [Google Scholar] [CrossRef]
- Pavoni, E.; Vaccaro, P.; D’Alessio, V.; De Santis, R.; Minenkova, O. Simultaneous display of two large proteins on the head and tail of bacteriophage lambda. BMC Biotechnol. 2013, 13, 79. [Google Scholar] [CrossRef]
- Ansuini, H.; Cicchini, C.; Nicosia, A.; Tripodi, M.; Cortese, R.; Luzzago, A. Biotin-tagged cDNA expression libraries displayed on lambda phage: A new tool for the selection of natural protein ligands. Nucleic Acids Res. 2002, 30, e78. [Google Scholar] [CrossRef]
- Cicchini, C.; Ansuini, H.; Amicone, L.; Alonzi, T.; Nicosia, A.; Cortese, R.; Tripodi, M.; Luzzago, A. Searching for DNA-protein interactions by lambda phage display. J. Mol. Biol. 2002, 322, 697–706. [Google Scholar] [CrossRef]
- Cortese, R.; Monaci, P.; Luzzago, A.; Santini, C.; Bartoli, F.; Cortese, I.; Fortugno, P.; Galfre, G.; Nicosia, A.; Felici, F. Selection of biologically active peptides by phage display of random peptide libraries. Curr. Opin. Biotechnol. 1996, 7, 616–621. [Google Scholar] [CrossRef]
- Niwa, M.; Maruyama, H.; Fujimoto, T.; Dohi, K.; Maruyama, I.N. Affinity selection of cDNA libraries by lambda phage surface display. Gene 2000, 256, 229–236. [Google Scholar] [CrossRef]
- Santi, E.; Capone, S.; Mennuni, C.; Lahm, A.; Tramontano, A.; Luzzago, A.; Nicosia, A. Bacteriophage lambda display of complex cDNA libraries: A new approach to functional genomics. J. Mol. Biol. 2000, 296, 497–508. [Google Scholar] [CrossRef]
- Santini, C.; Brennan, D.; Mennuni, C.; Hoess, R.H.; Nicosia, A.; Cortese, R.; Luzzago, A. Efficient display of an HCV cDNA expression library as C-terminal fusion to the capsid protein D of bacteriophage lambda. J. Mol. Biol. 1998, 282, 125–135. [Google Scholar] [CrossRef] [PubMed]
- Zucconi, A.; Dente, L.; Santonico, E.; Castagnoli, L.; Cesareni, G. Selection of ligands by panning of domain libraries displayed on phage lambda reveals new potential partners of synaptojanin 1. J. Mol. Biol. 2001, 307, 1329–1339. [Google Scholar] [CrossRef] [PubMed]
- Sternberg, N.; Hoess, R.H. Display of peptides and proteins on the surface of bacteriophage lambda. Proc. Natl. Acad. Sci. USA 1995, 92, 1609–1613. [Google Scholar] [CrossRef]
- Mikawa, Y.G.; Maruyama, I.N.; Brenner, S. Surface display of proteins on bacteriophage lambda heads. J. Mol. Biol. 1996, 262, 21–30. [Google Scholar] [CrossRef]
- Vilchez, S.; Jacoby, J.; Ellar, D.J. Display of biologically functional insecticidal toxin on the surface of lambda phage. Appl. Environ. Environ. Microbiol. 2004, 70, 6587–6594. [Google Scholar] [CrossRef]
- Kong, B.; Ma, W.J. Display of aggregation-prone ligand binding domain of human PPAR gamma on surface of bacteriophage lambda. Acta Pharmacol. Sin. 2006, 27, 91–99. [Google Scholar] [CrossRef]
- Beghetto, E.; Gargano, N. Lambda-display: A powerful tool for antigen discovery. Molecules 2011, 16, 3089–3105. [Google Scholar] [CrossRef] [PubMed]
- Gupta, A.; Onda, M.; Pastan, I.; Adhya, S.; Chaudhary, V.K. High-density functional display of proteins on bacteriophage lambda. J. Mol. Biol. 2003, 334, 241–254. [Google Scholar] [CrossRef]
- Chaudhary, V.K.; Gupta, A.; Adhya, S.; Pastan, I. Novel Lambda Phage Display System and the Process. WO2003096969A2. 2003. [Google Scholar]
- Enquist, L.; Sternberg, N. In vitro packaging of lambda Dam vectors and their use in cloning DNA fragments. Methods Enzym. Enzymol. 1979, 68, 281–298. [Google Scholar] [CrossRef]
- Hohn, B. DNA as substrate for packaging into bacteriophage lambda, in vitro. J. Mol. Biol. 1975, 98, 93–106. [Google Scholar] [CrossRef] [PubMed]
- Hohn, B.; Murray, K. Packaging recombinant DNA molecules into bacteriophage particles in vitro. Proc. Natl. Acad. Sci. USA 1977, 74, 3259–3263. [Google Scholar] [CrossRef]
- Sternberg, N.; Tiemeier, D.; Enquist, L. In vitro packaging of a lambda Dam vector containing EcoRI DNA fragments of Escherichia coli and phage P1. Gene 1977, 1, 255–280. [Google Scholar] [CrossRef]
- Benchimol, S.; Lucko, H.; Becker, A. Bacteriophage A DNA packaging in vitro; the involvement of the A Fl gene product, single-stranded DNA, and a novel X-directed protein in the packaging reaction. J. Biol. Chem. 1982, 257, 5201–5210. [Google Scholar] [CrossRef] [PubMed]
- Minenkova, O.; Pucci, A.; Pavoni, E.; De Tomassi, A.; Fortugno, P.; Gargano, N.; Cianfriglia, M.; Barca, S.; De Placido, S.; Martignetti, A.; et al. Identification of tumor-associated antigens by screening phage-displayed human cDNA libraries with sera from tumor patients. Int. J. Cancer 2003, 106, 534–544. [Google Scholar] [CrossRef]
- Pavoni, E.; Vaccaro, P.; Pucci, A.; Monteriu, G.; Beghetto, E.; Barca, S.; Dupuis, M.L.; De Pasquale Ceratti, A.; Lugini, A.; Cianfriglia, M.; et al. Identification of a panel of tumor-associated antigens from breast carcinoma cell lines, solid tumors and testis cDNA libraries displayed on lambda phage. BMC Cancer 2004, 4, 78. [Google Scholar] [CrossRef]
- Couvreur, B.; Letellier, C.; Olivier, F.; Dehan, P.; Elouahabi, A.; Vandenbranden, M.; Ruyschaert, J.M.; Hamers, C.; Pastoret, P.P.; Kerkhofs, P. Sequence-optimised E2 constructs from BVDV-1b and BVDV-2 for DNA immunisation in cattle. Vet. Res. 2007, 38, 819–834. [Google Scholar] [CrossRef]
- Zanghi, C.N.; Lankes, H.A.; Bradel-Tretheway, B.; Wegman, J.; Dewhurst, S. A simple method for displaying recalcitrant proteins on the surface of bacteriophage lambda. Nucleic Acids Res. 2005, 33, e160. [Google Scholar] [CrossRef]
- Zanghi, C.N.; Sapinoro, R.; Bradel-Tretheway, B.; Dewhurst, S. A tractable method for simultaneous modifications to the head and tail of bacteriophage lambda and its application to enhancing phage-mediated gene delivery. Nucleic Acids Res. 2007, 35, e59. [Google Scholar] [CrossRef]
- Qiu, X. Heat induced capsid disassembly and DNA release of bacteriophage lambda. PLoS ONE 2012, 7, e39793. [Google Scholar] [CrossRef]
- Hayes, S. Bacterial Virus Lambda Gpd-Fusions to Cathelicidins, alpha- and beta-Defensins, and Disease-Specific Epitopes Evaluated for Antimicrobial Toxicity and Ability to Support Phage Display. Viruses 2019, 11, 869. [Google Scholar] [CrossRef] [PubMed]
- Gonzalez-Cano, P.; Gamage, L.N.A.; Marciniuk, K.; Hayes, C.; Napper, S.; Hayes, S.; Griebel, P.J. Lambda display phage as a mucosal vaccine delivery vehicle for peptide antigens. Vaccine 2017, 35, 7256–7263. [Google Scholar] [CrossRef]
- Hayes, S.; Gamage, L.N.; Hayes, C. Dual expression system for assembling phage lambda display particle (LDP) vaccine to porcine Circovirus 2 (PCV2). Vaccine 2010, 28, 6789–6799. [Google Scholar] [CrossRef] [PubMed]
- Gamage, L.N.; Ellis, J.; Hayes, S. Immunogenicity of bacteriophage lambda particles displaying porcine Circovirus 2 (PCV2) capsid protein epitopes. Vaccine 2009, 27, 6595–6604. [Google Scholar] [CrossRef] [PubMed]
- Hayes, S.; Rajamanickam, K.; Hayes, C. Complementation Studies of Bacteriophage lambda O Amber Mutants by Allelic Forms of O Expressed from Plasmid, and O-P Interaction Phenotypes. Antibiotics 2018, 7, 31. [Google Scholar] [CrossRef]
- Hayes, S.; Horbay, M.A.; Hayes, C. A CI-Independent Form of Replicative Inhibition: Turn Off of Early Replication of Bacteriophage Lambda. PLoS ONE 2012, 7, e36498. [Google Scholar] [CrossRef]
- Zeghouf, M.; Li, J.; Butland, G.; Borkowska, A.; Canadien, V.; Richards, D.; Beattie, B.; Emili, A.; Greenblatt, J.F. Sequential Peptide Affinity (SPA) system for the identification of mammalian and bacterial protein complexes. J. Proteome Res. 2004, 3, 463–468. [Google Scholar] [CrossRef]
- Weigle, J. Assembly of phage lambda in vitro. Proc. Natl. Acad. Sci. USA 1966, 55, 1462–1466. [Google Scholar] [CrossRef]
- Bachmann, B.J. Derivations and genotypes of some mutant derivatives of Escherichia coli K-12. In Escherichia coli and Salmonella typhimurium: Cellular and Molecular Biology; Neidhardt, F.C., Ingraham, J.I., Low, K.B., Magasanik, B., Schaechter, M., Umbargr, H.E., Eds.; American Society for Microbiology: Washington, DC, USA, 1987; Volume 2, pp. 1192–1219. [Google Scholar]
- Parkinson, J.S. Genetics of the left arm of the chromosome of bacteriophage lambda. Genetics 1968, 59, 311–325. [Google Scholar] [CrossRef]
- Hayes, S.; Hayes, C.; Bull, H.J.; Pelcher, L.A.; Slavcev, R.A. Acquired mutations in phage lambda genes O or P that enable constitutive expression of a cryptic lambdaN+cI[Ts]cro- prophage in E. coli cells shifted from 30 degreesC to 42 degreesC, accompanied by loss of immlambda and Rex+ phenotypes and emergence of a non-immune exclusion-state. Gene 1998, 223, 115–128. [Google Scholar]
- Hayes, S.; Hayes, C. Spontaneous lambda OR mutations suppress inhibition of bacteriophage growth by nonimmune exclusion phenotype of defective lambda prophage. J. Virol. 1986, 58, 835–842. [Google Scholar] [CrossRef]
- Hayes, S.; Asai, K.; Chu, A.M.; Hayes, C. NinR- and red-mediated phage-prophage marker rescue recombination in Escherichia coli: Recovery of a nonhomologous immlambda DNA segment by infecting lambdaimm434 phages. Genetics 2005, 170, 1485–1499. [Google Scholar] [CrossRef] [PubMed]
- Hayes, S.; Erker, C.; Horbay, M.A.; Marciniuk, K.; Wang, W.; Hayes, C. Phage Lambda P Protein: Trans-Activation, Inhibition Phenotypes and their Suppression. Viruses 2013, 5, 619–653. [Google Scholar] [CrossRef]
- Rajamanickam, K.; Hayes, S. The Bacteriophage Lambda CII Phenotypes for Complementation, Cellular Toxicity and Replication Inhibition Are Suppressed in cII-oop Constructs Expressing the Small RNA OOP. Viruses 2018, 10, 115. [Google Scholar] [CrossRef] [PubMed]
- Wan, Y.; Shang, J.; Graham, R.; Baric, R.S.; Li, F. Receptor Recognition by the Novel Coronavirus from Wuhan: An Analysis Based on Decade-Long Structural Studies of SARS Coronavirus. J. Virol. 2020, 94, e00127-20. [Google Scholar] [CrossRef]
- Sonnenborn, U. Escherichia coli strain Nissle 1917-from bench to bedside and back: History of a special Escherichia coli strain with probiotic properties. FEMS Microbiol. Lett. 2016, 363, fnw212. [Google Scholar] [CrossRef] [PubMed]
- Hendrix, R.W.; Duda, R.L. Bacteriophage lambda PaPa: Not the mother of all lambda phages. Science 1992, 258, 1145–1148. [Google Scholar] [CrossRef]
- Branza-Nichita, N.; Durantel, D.; Carrouee-Durantel, S.; Dwek, R.A.; Zitzmann, N. Antiviral effect of N-butyldeoxynojirimycin against bovine viral diarrhea virus correlates with misfolding of E2 envelope proteins and impairment of their association into E1-E2 heterodimers. J. Virol. 2001, 75, 3527–3536. [Google Scholar] [CrossRef] [PubMed]
- Deregt, D.; Bolin, S.R.; van den Hurk, J.; Ridpath, J.F.; Gilbert, S.A. Mapping of a type 1-specific and a type-common epitope on the E2 (gp53) protein of bovine viral diarrhea virus with neutralization escape mutants. Virus Res. 1998, 53, 81–90. [Google Scholar] [CrossRef] [PubMed]
- Deregt, D.; van Rijn, P.A.; Wiens, T.Y.; van den Hurk, J. Monoclonal antibodies to the E2 protein of a new genotype (type 2) of bovine viral diarrhea virus define three antigenic domains involved in neutralization. Virus Res. 1998, 57, 171–181. [Google Scholar] [CrossRef] [PubMed]
- Kohl, W.; Zimmer, G.; Greiser-Wilke, I.; Haas, L.; Moennig, V.; Herrler, G. The surface glycoprotein E2 of bovine viral diarrhoea virus contains an intracellular localization signal. J. Gen. Virol. 2004, 85, 1101–1111. [Google Scholar] [CrossRef]
- Paton, D.J.; Lowings, J.P.; Barrett, A.D. Epitope mapping of the gp53 envelope protein of bovine viral diarrhea virus. Virology 1992, 190, 763–772. [Google Scholar] [CrossRef]
- Van Gennip, H.G.P.; Miedema, G.K.W.; Moormann, R.J.M.; Van Rijn, P.A. Functionality of Chimeric E2 Glycoproteins of BVDV and CSFV in Virus Replication. Virol. Res. Treat. 2008, 1, VRT-S589. [Google Scholar] [CrossRef]
- Schroeder, B.O.; Wu, Z.; Nuding, S.; Groscurth, S.; Marcinowski, M.; Beisner, J.; Buchner, J.; Schaller, M.; Stange, E.F.; Wehkamp, J. Reduction of disulphide bonds unmasks potent antimicrobial activity of human beta-defensin 1. Nature 2011, 469, 419–423. [Google Scholar] [CrossRef]
- Khan, K.H. DNA vaccines: Roles against diseases. Germs 2013, 3, 26–35. [Google Scholar] [CrossRef]
- Li, B.; Ma, J.; Liu, Y.; Wen, L.; Yu, Z.; Ni, Y.; Zhang, X.; Zhou, J.; Guo, R.; Wang, X.; et al. Complete genome sequence of a highly prevalent porcine circovirus 2 isolated from piglet stool samples in China. J. Virol. 2012, 86, 4716. [Google Scholar] [CrossRef][Green Version]
- Donnelly, J.; Berry, K.; Ulmer, J.B. Technical and regulatory hurdles for DNA vaccines. Int. J. Parasitol. 2003, 33, 457–467. [Google Scholar] [CrossRef]
- Rajcani, J.; Mosko, T.; Rezuchova, I. Current developments in viral DNA vaccines: Shall they solve the unsolved? Rev. Med. Virol. 2005, 15, 303–325. [Google Scholar] [CrossRef]
- Fuller, D.H.; Simpson, L.; Cole, K.S.; Clements, J.E.; Panicali, D.L.; Montelaro, R.C.; Murphey-Corb, M.; Haynes, J.R. Gene gun-based nucleic acid immunization alone or in combination with recombinant vaccinia vectors suppresses virus burden in rhesus macaques challenged with a heterologous SIV. Immunol. Cell Biol. 1997, 75, 389–396. [Google Scholar] [CrossRef]
- Han, R.; Peng, X.; Reed, C.A.; Cladel, N.M.; Budgeon, L.R.; Pickel, M.D.; Christensen, N.D. Gene gun-mediated intracutaneous vaccination with papillomavirus E7 gene delays cancer development of papillomavirus-induced skin papillomas on rabbits. Cancer Detect. Prev. 2002, 26, 458–467. [Google Scholar] [CrossRef]
- Prayaga, S.K.; Ford, M.J.; Haynes, J.R. Manipulation of HIV-1 gp120-specific immune responses elicited via gene gun-based DNA immunization. Vaccine 1997, 15, 1349–1352. [Google Scholar] [CrossRef]
- Salman, H.; Zbaida, D.; Rabin, Y.; Chatenay, D.; Elbaum, M. Kinetics and mechanism of DNA uptake into the cell nucleus. Proc. Natl. Acad. Sci. USA 2001, 98, 7247–7252. [Google Scholar] [CrossRef]
- Clark, J.R.; March, J.B. Bacterial viruses as human vaccines? Expert. Rev. Vaccines 2004, 3, 463–476. [Google Scholar] [CrossRef]
- Clark, J.R.; March, J.B. Bacteriophages and biotechnology: Vaccines, gene therapy and antibacterials. Trends Biotechnol. 2006, 24, 212–218. [Google Scholar] [CrossRef]
- Jepson, C.D.; March, J.B. Bacteriophage lambda is a highly stable DNA vaccine delivery vehicle. Vaccine 2004, 22, 2413–2419. [Google Scholar] [CrossRef]
- Clark, J.R.; March, J.B. Bacteriophage-mediated nucleic acid immunisation. FEMS Immunol. Med. Microbiol. 2004, 40, 21–26. [Google Scholar] [CrossRef] [PubMed]
- March, J.B. Bacteriophage-Mediated Immunization. WO 02/076498. 2002. [Google Scholar]
- Casjens, S.R.; Hendrix, R.W. Locations and amounts of major structural proteins in bacteriophage lambda. J. Mol. Biol. 1974, 88, 535–545. [Google Scholar] [CrossRef] [PubMed]
- March, J.B.; Clark, J.R.; Jepson, C.D. Genetic immunisation against hepatitis B using whole bacteriophage lambda particles. Vaccine 2004, 22, 1666–1671. [Google Scholar] [CrossRef]
- March, J.B.; Jepson, C.D.; Clark, J.R.; Totsika, M.; Calcutt, M.J. Phage library screening for the rapid identification and in vivo testing of candidate genes for a DNA vaccine against Mycoplasma mycoides subsp. mycoides small colony biotype. Infect. Immun. 2006, 74, 167–174. [Google Scholar] [CrossRef] [PubMed]
- Rocchi, R.M.; Jepson, C.D.; Clark, J.R.; March, J.B.; McKeever, D.J. Efferent lymphatic cannulation of DNA vaccines. Immunology 2003, 110, 120. [Google Scholar]
- Vaca Pacheco, S.; Garcıća González, O.; Paniagua Contreras, G.L. The lom gene of bacteriophage λ is involved in Escherichia coli K12 adhesion to human buccal epithelial cells. FEMS Microbiol. Lett. 1997, 156, 129–132. [Google Scholar] [CrossRef]












| E. coli Strains | Relevant Genotype | Lab #, Source |
| 594 | Sup° cells; F− lac-3350 gal 2 galT22 rpsl-179 IN(rrnD-rrnE)1 | B10 [78]; Bachman [79] |
| W3350 (W3350A) | Sup° F− lac-3350 galK2 galT22 IN(rrnD-rrnE)1 | B12 [76,80] |
| TC600 | thr1 leuB6 fhuA21 lacY1 glnV44 el4− glpR200 thi1 supE | B8 [79] |
| C3026H | See Methods 2.1 | B413 |
| W3350 recD recF | recD1903::Tn10 recF400::Tn5 | B337, made Hayes lab |
| Phages | ||
| λimm434cI#5 | imm434 cI | 5, 957; [81] |
| λimm434cI[Ts]sus+ | imm434 cI[Ts] | 7, B. Goldstein/W. Dove |
| imm434cI b2 | imm434 with large b2 deletion | 286, W. Szybalski |
| λimm434cIDS | imm434 cI | 425 [82] |
| λimm434cI | imm434 cI | 524 W. Szybalski |
| λimm434(18,12)P22 | recombinant [81] with λcI857(18,12)P22 [82] | 684 |
| λWTnin5 | recombinant prepared [83] | 699 |
| φ80imm434 | recombinant, Hayes lab | 74 |
| λcI857 Dam123 | from MMS168, L. Thomason, NCI | 1026 |
| λimm434 Dam123 | from MMS179, L. Thomason, NCI | 1027 |
| λimm434cI#5 Dam123 | recombinant (λcI857 Dam123x λimm434cI#5) | isolates A2a,b;G1a,b |
| Plasmid Construct | Construct Description | Construction #; Internal Reference a |
| pMZS3F | 594 transformant of Mammalian expression vector, (6309 bp) [77] received from J.F. Greenblatt, University of Toronto (which contains several parts derived from pCI-neo, Promega) | p452 |
| pC1-neo | 594 transformant of Promega, mammalian expression vector | p457 T:4 |
| XL-1 Blue[pGFPuv] | 594 transformant of Clontech, GenBank Acc. #U62636 with “green fluorescence” gene (GFP herein) | p461 |
| pGL14.11(LUC 2P)] | 594 transformant of Promega, promoter-defective vector | p487 T:4 |
| pEGFP-c1 | 594 transformant GenBank #U55763; modified 5bp ∆ in MCS Xho1-Hind 111, Hind111 site retained | p490 T:4 |
| pCI-neo(LUC2P) | 594 transformant, 1696bp LUC2P PCR frag. Cloned between XhoI/NotI in pC1-neo, 7104 bp | p497 T:4 |
| pCI-neo-EGFP | 594 transformant, PCR EGPF from pEGFP-c1, and cloned between XhoI/NotI in pcI-neo, 6152 bp | p499 |
| pcIpR-timm | =pcIpR[GOI]-timm, backbone described, sequence in [73], constructs covered by Canadian and USA patents | p456 |
| pcIpR-Dcoe-timm b,c | =pcIpR-BamHI-D-BsiWI-ClaI-timm; plasmid was modified from plasmid with same name described in [73] by addition of BsiWI cloning site between timm and ClaI site to avoid having to prepare plasmid DNA in dam-defective E. coli strains, 4930 bp | p613 F:1,2,4,T3 |
| pGFPuv Vector | pUC backbone, GenBank #U62636 | |
| pcIpR-D-GFP-timm | 6627 bp[73] | p470 T:2 |
| pcIpR-M-T-GFP-timm | has the NH2-terminal amino acids M and T from D sequence, followed by AGT-AAA-GGA sequence from 739 bp GFP gene in Clonetech pUC vector pGFPuv. See reference [73], 5310 bp | p471 |
| p-cIpR-His-Dcoe-timm | =pcIpR-BamHI-His-D-BsiWI-ClaI-timm, sequence His tag with first two amino acids of Dcoe = Atgcatcatcaccatcaccacggcagtggtcagatgact, 4963 bp | p614 F:1,5 |
| pcIpR-Dcoe-YML-timm | =Dcoe-GGSGAP(spacer)-GYMLGSAMSRP, 4981 bp | p674 F:1,2,4,5 |
| pcIpR-YML-Dcoe-timm | MGYMLGSAMSRP-GSGQ(spacer)-Dcoe, 4978 bp | p676 F:2 |
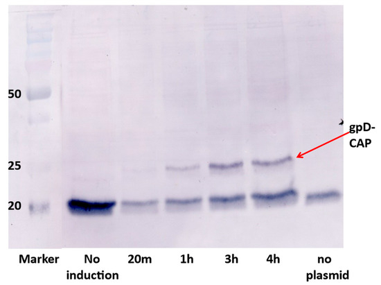
| pcIpR-Dcoe-CAP-timm d,e | Dcoe-GGSGA(spacer)-[CAP:65-87(PSWAVDMMRFNINDFLPPGGGSN)]-AAY-[CAP:113-146(QGDRGVGSSAVILDDNFVTKATALTYDPYVNYSS)]-AAY-[CAP: 158-183 (SRYFTPKPVLDSTIDYFQPNNKRNQL)]-AAY-[CAP:194-207: (DHVGLGTAFENSIY)], 5256 bp; CAP = capsid protein of Porcine Circovirus 2 | p458 F:3 |
| pcIpR-D-5E-Ver2-timm e | =pcIpR-Dcoe-BVDV2-E2-Ver2 [84] 1-110 gpDcoe-GGSGAP(spacer)-[E2:47-56(EGKDLKILKT)] [E2:61-88(KRYLVAVHERALSTSAEFMQIS DGTIAP)]-AAY(spacer)-[E2:111-121(KGKFNASLLNG)]-AAY(spacer)- [E2:309-372(RDRYFQQYMLKGEWQYWFDLDSVDHHKDYF SEFIIIAVVALLGGKYVLLLLITYTILFG)]; BVDV2 E2 = capsid protein of Bovine Viral Diarrhea Virus 2; BDVD2 codons optimized for E. coli. | p521 F:5,7 |
| pcIpR-D-5E-Ver3-timm e | gpD-BVDV2-E2-Ver3 [84] = 1-110 gpD-GGSGAP(spacer)-[E2:47-56(EGKDL KILKT)][E2:61-78(KRYLVAVHERALSTSAEF)]-AAY(spacer)-[E2:111-121 (KGKFNASLLNG)]-AAY(spacer)-[E2:146-160(LDTTVVRTYRRTTPF] -AAY(spacer)-[E2:309-372(RDRYFQQYMLKGEWQYWFDLDSVDH HKDYFSEFIIIAVVALLGGKYVLLLLITYTILFG)]; BDVD2 codons optimized for E. coli | p522 F:5,7 |
| pcIpR-Dcoe-RBM496-506-timm e | gpD-RBD#3 = Dcoe-GGSGAP(spacer)-GFQPTNGVGYQ; RBM = epitope within receptor-binding domain of SARS-CoV-2 capsid spike protein with Cov2 codons optimized for E. coli | p768 F:5 |
| pcIpR-Dcoe-RBM482-494-timm e | gpD-RBD#2 = Dcoe-GGSGAP(spacer)-GVEGFNCYFPLQS; RBM = epitope within receptor-binding domain of SARS-CoV-2 capsid spike protein with Cov2 codons optimized for E. coli | p771 F:5 |
| pcIpR-Dcoe-RBM443-456-timm e | gpD-RBD#1 = Dcoe-GGSGAP(spacer)-SKVGGNYNYLYRLF; RBM = epitope within receptor-binding domain of SARS-CoV-2 capsid spike protein with Cov2 codons optimized for E. coli | p770 F:5 |
| pcIpR-Dcoe-HβD3-timm e | Dcoe-GGSGAP(spacer)-IINTLQKYYCRVRGGRCAVLSCLPKEEQIGKC STRGRKCCRRKK | p616 T:3 |
| pcIpR-Dcoe-DEFβ126[Δ32]-timm e | Dcoe-GGSGAP(spacer)-KSLLFTLAVFMLLAQLVSGNWYVKK CLNDVGICKKKCKPEEMHVKNGWAMCGKQRDCCVPADRRANY PVFCVQTKTTR | p618 T:3 |
| pcIpR-LL37-His-TAGZ-Dcoe-TEV-LL37 e | MHHHHHHGSGQ(ΔM)-Dcoe-GGSGAP(spacer)-AGSENLYFQA FALLGDFFRKSKEKIGKEFKRIVQRIKDFLRNLVPRTES | p619 T:3 |
| pcIpR-Dcoe-PR39-timm e | Dcoe-G G S G A P(spacer)-RRRPRPPYLPRPRPPPFFPPRLPPRIPPGFPPRF PPRFPGKR | p625 T:3 |
| pcIpR-Dcoe-LL37-timm e | Dcoe-GGSGAP(spacer)-FALLGDFFRKSKEKIGKEFKRIVQRIKD FLRNLVPRTES | p627 T:3 |
| pcIpR-Dcoe-HD5 e | Dcoe- GGSGAP(spacer)-AGSENLYFQARATCYCRTGRCATRESLSGV CEISGRLYRLCCR | p628 T3 |
| pSJH-D’[EGFP] | 726 bp EGFP removed by PCR from pEGFP-c1 and inserted between AscI-NotI into pSJH-D’, 4950 bp | p500 T:3 |
| pSJH-D’-LUC2P | 1696 bp PCR frag. LUC2P cloned Asc1-Not1 into pSJH-D’, 5954 bp | p498 T:3 |
| pSJH-D’-EGFP] ΔROP | 1696 bp PCR frag. LUC2P cloned Asc1-Not1 into pSJH-D’ Derived from p500 = 594[pSJH-D’-EGFP] ΔROP with [23937-24310λ, insert- Avr11/EcoR1][pR-MT-GFP-timm][EGFP-1] [18958-19328λ insert Pci1/BsiW1,](5556bp) | p578 F:9A |
| pSJH-D’-EGFP] ΔROP | Derived from p500 with [18968-19325λ insert- EcR1/Avr1][pR-MT-GFP-timm] [LUC2P][23937-24310λ insert BsiW1/Pci1, ΔROP], 6492bp | p579 F:9A |
| p593 f | [23937-24310λ insert- Avr11/EcoR1][pR-MT-GFP-timm] [EGFP-1][18958-19328λ insert Pci1/BsiW1, ΔROP], 5556 bp. pR-MT-GFP transcription from inserted cassette is in same orientation as lambda phage transcription; plasmid made from p500 | p593 F:9A |
| p594 f | [18968-19325]λ insert-EcR1/Avr11][pR-MT-GFP-timm] [EGFP-1][23937-24310λ insert BsiW1/Pci1, ΔROP]. pR-MT-GFP transcription from inserted cassette is in opposite direction as lambda phage transcription; plasmid made from p500 | p594 F:9A |
| p595 f | [23937-24310λ insert- Avr11/EcoR1][pR-MT-GFP-timm][EGFP-2][18958-19328λ insert Pci1/BsiW1, ΔROP]. pR-MT-GFP transcription from inserted cassette is in same orientation as lambda phage transcription; plasmid made from P490 as modified | p595 F:9A |
| p596 f | [18968-19325λ insert-EcR1/Avr11][pR-MT-GFP-timm][EGFP-2][23937-24310λ insert BsiW1/Pci1, ΔROP]. pR-MT-GFP transcription from cassette is in opposite direction as lambda phage transcription; plasmid made from p490 as modified] | p596 F:9A |
| Induction Time (min) | Culture Up-Shift from 30 °C a | ||
|---|---|---|---|
| 37 °C | 39 °C | 42 °C | |
| 0 | 0 | 0 | 3.2 |
| 60 | 0.8 | 23.2 | 518.5 |
| 120 | 7.3 | 30.0 | 721.2 |
| 180 | 23.9 | 136.9 | 1039.5 |
| Host Strain a | Expression Plasmid | Polypeptide Fused to 6 Residue Spacer to COOH End of gpDcoe | Efficiency of Cell Plating | ||
|---|---|---|---|---|---|
| 30 °C | 37 °C | 41–42 °C | |||
| 594 | p613 | None | 1.0 | 1.0 | 1.0 |
| 594 | p616 b | -HβD3 | 1.0 | 0.97 | <0.00001 |
| C3026H | 44 residue β-defensin β-defensin | 1.0 | 0.91 | 0.87 | |
| 594 | p618 b | -DEFβ126[Δ 32 residues at COOH] | 1.0 | 0.77 | <0.00001 |
| C3026H | 79 residues β-defensin | 1.0 | 0.96 | <0.00001 | |
| 594 | p628 b | -HD5 | 1.0 | 1.0 | 0.0034 |
| C3026H | 43 residue α-defensin | 1.0 | 0.78 | 0.55 | |
| 594 | p625 b | -PR39 | 1.0 | 1.0 | <0.0001 |
| C3026H | 42 residue pig cathelicidin | 1.0 | 0.55 | <0.0001 | |
| 594 | p627 | -LL37 | 1.0 | 0.95 | <0.0001 |
| C3026H | 39 residue human cathelicidin | 1.0 | 0.56 | <0.0001 | |
| 594 | p619 | -LL37 [NH2-His-tag 11 residue; | 1.0 | 0.77 | <0.0001 |
| C3026H | 55 residue:COOH-LL37 cathelicidin | 1.0 | 0.88 | 0.65 | |
| Plasmid (Each 1 µg) | Assay 1 | Assay 2 | Control |
|---|---|---|---|
| pEGFP-C1 | 45,486 | 53,486 | 17,758 |
| pSJH-D’[EGFP] | 139,833 | 138,174 | 16,867 |
| pGl14.11-Luc2P | 810 | 830 | 90 |
| pSJH-D’-[Luc2P] | 6,530,850 | 6,556,440 | 60 |
| pCI-neo[Luc2P] | 7,107,550 | 7,258,200 | 80 |
Disclaimer/Publisher’s Note: The statements, opinions and data contained in all publications are solely those of the individual author(s) and contributor(s) and not of MDPI and/or the editor(s). MDPI and/or the editor(s) disclaim responsibility for any injury to people or property resulting from any ideas, methods, instructions or products referred to in the content. |
© 2025 by the author. Licensee MDPI, Basel, Switzerland. This article is an open access article distributed under the terms and conditions of the Creative Commons Attribution (CC BY) license (https://creativecommons.org/licenses/by/4.0/).
Share and Cite
Hayes, S. Potential Vaccine or Antimicrobial Reagents: Simple Systems for Producing Lambda Display Particles (LDP) and Sheathed Lambda DNA Vaccine Particles (LDNAP). Viruses 2025, 17, 1406. https://doi.org/10.3390/v17111406
Hayes S. Potential Vaccine or Antimicrobial Reagents: Simple Systems for Producing Lambda Display Particles (LDP) and Sheathed Lambda DNA Vaccine Particles (LDNAP). Viruses. 2025; 17(11):1406. https://doi.org/10.3390/v17111406
Chicago/Turabian StyleHayes, Sidney. 2025. "Potential Vaccine or Antimicrobial Reagents: Simple Systems for Producing Lambda Display Particles (LDP) and Sheathed Lambda DNA Vaccine Particles (LDNAP)" Viruses 17, no. 11: 1406. https://doi.org/10.3390/v17111406
APA StyleHayes, S. (2025). Potential Vaccine or Antimicrobial Reagents: Simple Systems for Producing Lambda Display Particles (LDP) and Sheathed Lambda DNA Vaccine Particles (LDNAP). Viruses, 17(11), 1406. https://doi.org/10.3390/v17111406

