Exploring an Aptamer-Based Approach to Assess Canine Parvovirus Integrity After Disinfection Treatment
Abstract
1. Introduction
2. Materials and Methods
2.1. Protein and Virus Preparation
2.2. SELEX
2.2.1. Protein Immobilization
2.2.2. ssDNA Library Preparation
2.2.3. Selection Procedure
2.3. Evaluation of Enrichment of Nucleic Acid Binders
2.4. Binding Evaluation of Aptamer Candidates to rVP2 Protein and Cultured Virus
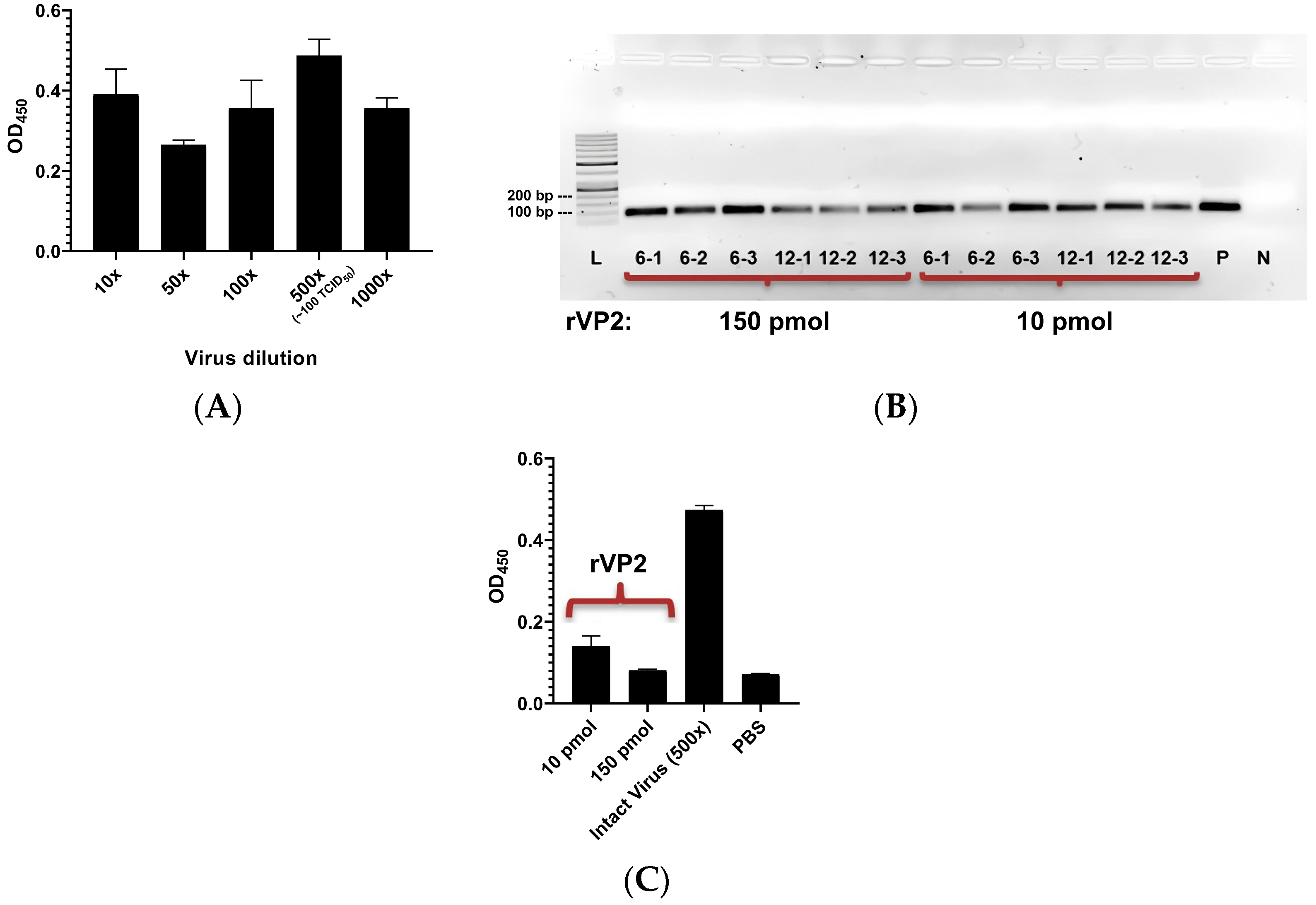
2.4.1. Obtaining Optimum Test rVP2 Concentration from CPV-Specific ELISA
2.4.2. Assessment of rVP2-ssDNA Binding
2.4.3. Assessment of Virus-ssDNA Binding
2.4.4. Assessment of CPV Neutralization by ssDNA
2.5. In Silico Binding Model and Data Analysis
3. Results
3.1. SELEX Procedure Results in Enriched ssDNA Sequences Against rVP2
3.2. rVP2 Binds to Individually Enriched ssDNA Sequences but Lacks Antibody Binding Sites
3.3. ssDNA Aptamer Candidates Binds to Denatured but Not to Intact CPV
3.4. ssDNA Binding to Virus Is Not Affected by Coating Efficiency Following Treatment
3.5. Variable Monomeric Interaction of VP2 Protein with ssDNA Aptamer Candidate
4. Discussion
5. Conclusions
Supplementary Materials
Author Contributions
Funding
Institutional Review Board Statement
Informed Consent Statement
Data Availability Statement
Acknowledgments
Conflicts of Interest
Abbreviations
| SELEX | Systematic Evolution of Ligands by Exponential Enrichment |
| CPV | Canine Parvovirus |
| PPV | Porcine Parvovirus |
| FPV | Feline Panleukopenia Virus |
| rVP2 | Recombinant VP2 |
| VLP | Virus-Like Particle |
| PAA | PerAcetic Acid |
| ssDNA | Single Stranded DeoxyriboNucleic Acid |
| TCID50 | 50% Tissue Culture Infectious Dose |
References
- Lurie, N.; Saville, M.; Hatchett, R.; Halton, J. Developing COVID-19 Vaccines at Pandemic Speed. N. Engl. J. Med. 2020, 382, 1969–1973. [Google Scholar]
- Tarka, P.; Nitsch-Osuch, A. Evaluating the Virucidal Activity of Disinfectants According to European Union Standards. Viruses 2021, 13, 534. [Google Scholar] [CrossRef] [PubMed]
- DVG Guideline for Virucidal Efficacy. DVG-Specific Test Guidelines for the Livestock Area, German Veterinary Medical Society. 2017. Available online: https://www.desinfektion-dvg.de/index.php?id=2219&L=0 (accessed on 31 January 2025).
- Eggers, M.; Schwebke, I.; Suchomel, M.; Fotheringham, V.; Gebel, J.; Meyer, B.; Morace, G.; Roedger, H.J.; Roques, C.; Visa, P.; et al. The European tiered approach for virucidal efficacy testing—Rationale for rapidly selecting disinfectants against emerging and re-emerging viral diseases. Eurosurveillance 2021, 26, 2000708. [Google Scholar] [CrossRef]
- Alajlan, A.A.; Mukhtar, L.E.; Almussallam, A.S.; Alnuqaydan, A.M.; Albakiri, N.S.; Almutari, T.F.; Bin Shehail, K.M.; Aldawsari, F.S.; Alajel, S.M. Assessment of disinfectant efficacy in reducing microbial growth. PLoS ONE 2022, 17, e0269850. [Google Scholar]
- Wanguyun, A.P.; Oishi, W.; Sano, D. Sensitivity Evaluation of Enveloped and Non-enveloped Viruses to Ethanol Using Machine Learning: A Systematic Review. Food Environ. Virol. 2024, 16, 1–13. [Google Scholar] [CrossRef]
- Nims, R.W.; Zhou, S.S. Intra-family differences in efficacy of inactivation of small, non-enveloped viruses. Biologicals 2016, 44, 456–462. [Google Scholar] [PubMed]
- Du, P.; Liu, W.; Cao, H.; Zhao, H.; Huang, C.-H. Oxidation of amino acids by peracetic acid: Reaction kinetics, pathways and theoretical calculations. Water Res. X 2018, 1, 100002. [Google Scholar] [CrossRef] [PubMed]
- Dagher, F.; Jiang, J.; Tijssen, P.; Laliberté, J.F. Antiviral activity of a novel composition of peracetic acid disinfectant on parvoviruses. Can. J. Vet. Res. 2017, 81, 33–36. [Google Scholar]
- Eterpi, M.; McDonnell, G.; Thomas, V. Disinfection efficacy against parvoviruses compared with reference viruses. J. Hosp. Infect. 2009, 73, 64–70. [Google Scholar] [CrossRef]
- Peng, Q.; Yang, Z.; Wu, L.; Yu, P.; Li, Q.; Lan, J.; Luo, L.; Zhao, S.; Yan, Q. Evaluation of the Inactivation Efficacy of Four Disinfectants for Feline Parvovirus Derived from Giant Panda. Microorganisms 2023, 11, 1844. [Google Scholar] [CrossRef]
- Wong, C.H.; Ngan, C.Y.; Goldfeder, R.L.; Idol, J.; Kuhlberg, C.; Maurya, R.; Kelly, K.; Omerza, G.; Renzette, N.; De Abreu, F.; et al. Reduced subgenomic RNA expression is a molecular indicator of asymptomatic SARS-CoV-2 infection. Commun. Med. 2021, 1, 33. [Google Scholar] [CrossRef]
- Verma, R.; Kim, E.; Martínez-Colón, G.J.; Jagannathan, P.; Rustagi, A.; Parsonnet, J.; Bonilla, H.; Khosla, C.; Holubar, M.; Subramanian, A.; et al. SARS-CoV-2 Subgenomic RNA Kinetics in Longitudinal Clinical Samples. Open Forum Infect. Dis. 2021, 8, ofab310. [Google Scholar] [CrossRef]
- Nourinejhad Zarghani, S.; Ehlers, J.; Monavari, M.; von Bargen, S.; Hamacher, J.; Büttner, C.; Bandte, M. Applicability of Different Methods for Quantifying Virucidal Efficacy Using MENNO Florades and Tomato Brown Rugose Fruit Virus as an Example. Plants 2023, 12, 894. [Google Scholar] [CrossRef]
- Bullard, J.; Dust, K.; Funk, D.; Strong, J.E.; Alexander, D.; Garnett, L.; Boodman, C.; Bello, A.; Hedley, A.; Schiffman, Z.; et al. Predicting Infectious Severe Acute Respiratory Syndrome Coronavirus 2 From Diagnostic Samples. Clin. Infect. Dis. 2020, 71, 2663–2666. [Google Scholar] [CrossRef]
- Leifels, M.; Jurzik, L.; Wilhelm, M.; Hamza, I.A. Use of ethidium monoazide and propidium monoazide to determine viral infectivity upon inactivation by heat, UV- exposure and chlorine. Int. J. Hyg. Environ. Health 2015, 218, 686–693. [Google Scholar] [CrossRef]
- Randazzo, W.; Khezri, M.; Ollivier, J.; Le Guyader, F.S.; Rodríguez-Díaz, J.; Aznar, R.; Sánchez, G. Optimization of PMAxx pretreatment to distinguish between human norovirus with intact and altered capsids in shellfish and sewage samples. Int. J. Food Microbiol. 2018, 266, 1–7. [Google Scholar] [CrossRef] [PubMed]
- Sánchez-Báscones, E.; Parra, F.; Lobo-Castañón, M.J. Aptamers against viruses: Selection strategies and bioanalytical applications. TrAC Trends Anal. Chem. 2021, 143, 116349. [Google Scholar] [CrossRef]
- Kumar, P.K.R. Monitoring Intact Viruses Using Aptamers. Biosensors 2016, 6, 40. [Google Scholar] [CrossRef] [PubMed]
- Yang, L.F.; Ling, M.; Kacherovsky, N.; Pun, S.H. Aptamers 101: Aptamer discovery and in vitro applications in biosensors and separations. Chem. Sci. 2023, 14, 4961–4978. [Google Scholar] [CrossRef]
- Khan, M.A.A.; Schoene, K.; Cashman, J.; Abd El Wahed, A.; Truyen, U. Evaluation of a simple ultrafiltration method for concentration of infective canine parvovirus and feline coronavirus from cell culture supernatants. J. Virol. Methods 2022, 310, 114628. [Google Scholar] [CrossRef] [PubMed]
- Breuers, S.; Bryant, L.L.; Legen, T.; Mayer, G. Robotic assisted generation of 2′-deoxy-2′-fluoro-modifed RNA aptamers—High performance enabling strategies in aptamer selection. Methods 2019, 161, 3–9. [Google Scholar] [CrossRef]
- Schmitz, A.; Weber, A.; Bayin, M.; Breuers, S.; Fieberg, V.; Famulok, M.; Mayer, G. A SARS-CoV-2 Spike Binding DNA Aptamer that Inhibits Pseudovirus Infection by an RBD-Independent Mechanism. Angew. Chem. Int. Ed. 2021, 60, 10279–10285. [Google Scholar]
- Chen, S.; Zhou, Y.; Chen, Y.; Gu, J. fastp: An ultra-fast all-in-one FASTQ preprocessor. Bioinformatics 2018, 34, i884–i890. [Google Scholar] [CrossRef] [PubMed]
- Rimmelzwaan, G.F.; Juntti, N.; Klingeborn, B.; Groen, J.; UytdeHaag, F.G.C.M.; Osterhaus, A.D.M.E. Evaluation of enzyme-linked immunosorbent assays based on monoclonal antibodies for the serology and antigen detection in canine parvovirus infections. Vet. Q. 1990, 12, 14–20. [Google Scholar] [CrossRef]
- Parrish, C.; Leathers, C.; Pearson, R.; Gorham, J.R. Comparisons of feline panleukopenia virus, canine parvovirus, raccoon parvovirus, and mink enteritis virus and their pathogenicity for mink and ferrets. Am. J. Vet. Res. 1987, 48, 1429–1435. [Google Scholar]
- Gruber, A.R.; Lorenz, R.; Bernhart, S.H.; Neuböck, R.; Hofacker, I.L. The Vienna RNA Websuite. Nucleic Acids Res. 2008, 36 (Suppl. 2), W70–W74. [Google Scholar] [CrossRef]
- Biesiada, M.; Purzycka, K.J.; Szachniuk, M.; Blazewicz, J.; Adamiak, R.W. Automated RNA 3D Structure Prediction with RNAComposer. In RNA Structure Determination: Methods and Protocols; Turner, D.H., Mathews, D.H., Eds.; Springer: New York, NY, USA, 2016; pp. 199–215. [Google Scholar]
- Greener, J.G.; Kandathil, S.M.; Jones, D.T. Deep learning extends de novo protein modelling coverage of genomes using iteratively predicted structural constraints. Nat. Commun. 2019, 10, 3977. [Google Scholar] [CrossRef]
- Krieger, E.; Joo, K.; Lee, J.; Lee, J.; Raman, S.; Thompson, J.; Tyka, M.; Baker, D.; Karplus, K. Improving physical realism, stereochemistry, and side-chain accuracy in homology modeling: Four approaches that performed well in CASP8. Proteins Struct. Funct. Bioinform. 2009, 77, 114–122. [Google Scholar] [CrossRef] [PubMed]
- Yan, Y.; Zhang, D.; Zhou, P.; Li, B.; Huang, S.-Y. HDOCK: A web server for protein–protein and protein–DNA/RNA docking based on a hybrid strategy. Nucleic Acids Res. 2017, 45, W365–W373. [Google Scholar] [PubMed]
- Kramer, S.T.; Gruenke, P.R.; Alam, K.K.; Xu, D.; Burke, D.H. FASTAptameR 2.0: A web tool for combinatorial sequence selections. Mol. Ther. Nucleic Acids 2022, 29, 862–870. [Google Scholar] [CrossRef]
- Sifang Steve, Z. Variability and Relative Order of Susceptibility of Non-Enveloped Viruses to Chemical Inactivation. In Disinfection of Viruses; Raymond, W.N., Ijaz, M.K., Eds.; IntechOpen: Rijeka, Croatia, 2022; Chapter 6. [Google Scholar]
- Yuan, W.; Parrish, C.R. Canine Parvovirus Capsid Assembly and Differences in Mammalian and Insect Cells. Virology 2001, 279, 546–557. [Google Scholar] [CrossRef] [PubMed]
- Xu, J.; Guo, H.-C.; Wei, Y.-Q.; Dong, H.; Han, S.-C.; Ao, D.; Sun, D.-H.; Wang, H.-M.; Cao, S.-Z.; Sun, S.-Q. Self-assembly of virus-like particles of canine parvovirus capsid protein expressed from Escherichia coli and application as virus-like particle vaccine. Appl. Microbiol. Biotechnol. 2014, 98, 3529–3538. [Google Scholar] [CrossRef] [PubMed]
- Schwarz, B.; Douglas, T. Development of virus-like particles for diagnostic and prophylactic biomedical applications. WIREs Nanomed. Nanobiotechnol. 2015, 7, 722–735. [Google Scholar] [CrossRef]
- Müller, D.; Bayer, K.; Mattanovich, D. Potentials and limitations of prokaryotic and eukaryotic expression systems for recombinant protein production—A comparative view. Microb. Cell Fact. 2006, 5, P61. [Google Scholar] [CrossRef]
- Huang, C.J.; Lin, H.; Yang, X. Industrial production of recombinant therapeutics in Escherichia coli and its recent advancements. J. Ind. Microbiol. Biotechnol. 2012, 39, 383–399. [Google Scholar] [CrossRef]
- Liu, Y.; Wang, N.; Chan, C.-W.; Lu, A.; Yu, Y.; Zhang, G.; Ren, K. The Application of Microfluidic Technologies in Aptamer Selection. Front. Cell Dev. Biol. 2021, 9, 730035. [Google Scholar] [CrossRef]
- Lin, H.; Zhang, W.; Jia, S.; Guan, Z.; Yang, C.J.; Zhu, Z. Microfluidic approaches to rapid and efficient aptamer selection. Biomicrofluidics 2014, 8, 041501. [Google Scholar] [CrossRef]
- Aljohani, M.M.; Cialla-May, D.; Popp, J.; Chinnappan, R.; Al-Kattan, K.; Zourob, M. Aptamers: Potential Diagnostic and Therapeutic Agents for Blood Diseases. Molecules 2022, 27, 383. [Google Scholar] [CrossRef] [PubMed]
- Singh, M.; Tripathi, P.; Singh, S.; Sachan, M.; Chander, V.; Sharma, G.K.; De, U.K.; Kota, S.; Putty, K.; Singh, R.K.; et al. Identification and characterization of DNA aptamers specific to VP2 protein of canine parvovirus. Appl. Microbiol. Biotechnol. 2021, 105, 8895–8906. [Google Scholar] [CrossRef]
- Gramajo, M.E.; Lake, R.J.; Lu, Y.; Peinetti, A.S. In Vitro Selection of Aptamers to Differentiate Infectious from Non-Infectious Viruses. JoVE 2022, 187, e64127. [Google Scholar] [CrossRef]
- Tariq, H.; Batool, S.; Asif, S.; Ali, M.; Abbasi, B.H. Virus-Like Particles: Revolutionary Platforms for Developing Vaccines Against Emerging Infectious Diseases. Front. Microbiol. 2022, 12, 790121. [Google Scholar] [CrossRef]
- Nooraei, S.; Bahrulolum, H.; Hoseini, Z.S.; Katalani, C.; Hajizade, A.; Easton, A.J.; Ahmadian, G. Virus-like particles: Preparation, immunogenicity and their roles as nanovaccines and drug nanocarriers. J. Nanobiotechnol. 2021, 19, 59. [Google Scholar] [CrossRef]
- Feng, H.; Hu, G.-Q.; Wang, H.-L.; Liang, M.; Liang, H.; Guo, H.; Zhao, P.; Yang, Y.-J.; Zheng, X.-X.; Zhang, Z.-F.; et al. Canine Parvovirus VP2 Protein Expressed in Silkworm Pupae Self-Assembles into Virus-Like Particles with High Immunogenicity. PLoS ONE 2014, 9, e79575. [Google Scholar] [CrossRef] [PubMed]
- Nan, L.; Liu, Y.; Ji, P.; Feng, H.; Chen, C.; Wang, J.; Liu, D.; Cui, Y.; Wang, Y.; Li, Y.; et al. Trigger factor assisted self-assembly of canine parvovirus VP2 protein into virus-like particles in Escherichia coli with high immunogenicity. Virol. J. 2018, 15, 103. [Google Scholar] [CrossRef] [PubMed]
- Kaufmann, B.; Simpson, A.A.; Rossmann, M.G. The structure of human parvovirus B19. Proc. Natl. Acad. Sci. USA 2004, 101, 11628–11633. [Google Scholar] [CrossRef]
- Tsao, J.; Chapman, M.S.; Agbandje, M.; Keller, W.; Smith, K.; Wu, H.; Luo, M.; Smith, T.J.; Rossmann, M.G.; Compans, R.W.; et al. The Three-Dimensional Structure of Canine Parvovirus and Its Functional Implications. Science 1991, 251, 1456–1464. [Google Scholar] [CrossRef] [PubMed]




| SELEX Round | Rank | Sequence | Freq. C6 (%) | Freq. C12 (%) |
|---|---|---|---|---|
| C6 | 1 | 5′ D2Fw-AGGGAGGGGATCGGGTGGGGGGACTGCATCCATCTCTATT-D2Rv 3′ | 3236 (2.14) | 6588 (1.84) |
| 2 | 5′ D2Fw-TGGGTGGGAGGGGCTCTCGGGGGGTCTTCCTAGGTTTGGT-D2Rv 3′ | 2664 (1.76) | 9718 (2.72) | |
| 3 | 5′ D2Fw-TGGGCGGGAGGGGATTCGGGGGGCACCGTTTTTTTACGGT-D2Rv 3′ | 2173 (1.44) | 9307 (2.6) | |
| C12 | 1 | 5′ D2Fw-TGTGGAGGCGGGCTGGGGAGGCGGGGGAGCTACTTCATCG-D2Rv 3′ | 579 (0.38) | 38,597 (8.65) |
| 2 | 5′ D2Fw-GAGTGGCGGAGGGTGGGGAGGTGGGGGCCTGACTGGGCCT-D2Rv 3′ | 1056 (0.7) | 33,527 (7.06) | |
| 3 | 5′ D2Fw-GGTGGGCGGTGGGGGGGTCGCCGGTGGGCCCTCTTACGAT-D2Rv 3′ | 1939 (1.28) | 30,560 (6.85) |
Disclaimer/Publisher’s Note: The statements, opinions and data contained in all publications are solely those of the individual author(s) and contributor(s) and not of MDPI and/or the editor(s). MDPI and/or the editor(s) disclaim responsibility for any injury to people or property resulting from any ideas, methods, instructions or products referred to in the content. |
© 2025 by the authors. Licensee MDPI, Basel, Switzerland. This article is an open access article distributed under the terms and conditions of the Creative Commons Attribution (CC BY) license (https://creativecommons.org/licenses/by/4.0/).
Share and Cite
Khan, M.A.A.; Abd El Wahed, A.; Breuers, S.; Krohn, K.; Mayer, G.; Schöneberg, T.; Truyen, U. Exploring an Aptamer-Based Approach to Assess Canine Parvovirus Integrity After Disinfection Treatment. Viruses 2025, 17, 1309. https://doi.org/10.3390/v17101309
Khan MAA, Abd El Wahed A, Breuers S, Krohn K, Mayer G, Schöneberg T, Truyen U. Exploring an Aptamer-Based Approach to Assess Canine Parvovirus Integrity After Disinfection Treatment. Viruses. 2025; 17(10):1309. https://doi.org/10.3390/v17101309
Chicago/Turabian StyleKhan, Md Anik Ashfaq, Ahmed Abd El Wahed, Stefan Breuers, Knut Krohn, Günter Mayer, Torsten Schöneberg, and Uwe Truyen. 2025. "Exploring an Aptamer-Based Approach to Assess Canine Parvovirus Integrity After Disinfection Treatment" Viruses 17, no. 10: 1309. https://doi.org/10.3390/v17101309
APA StyleKhan, M. A. A., Abd El Wahed, A., Breuers, S., Krohn, K., Mayer, G., Schöneberg, T., & Truyen, U. (2025). Exploring an Aptamer-Based Approach to Assess Canine Parvovirus Integrity After Disinfection Treatment. Viruses, 17(10), 1309. https://doi.org/10.3390/v17101309

