Laboratory Replication of Ostreid Herpes Virus (OsHV-1) Using Pacific Oyster Tissue Explants
Abstract
1. Introduction
2. Materials and Methods
2.1. Preparation of OsHV-1 Stock
2.2. Animal Husbandry
2.3. Whole Animal Experimental Infections and Oyster Site Comparisons
2.4. Attenuation of Viral Infectivity in Seawater
2.5. Explant Infection
2.6. Tissue Fixation and OsHV-1 Quantification
2.7. Media OsHV-1 Quantification
2.8. Degradation of OsHV-1 DNA
2.9. Transmission Electron Microscopy
2.10. Statistical Analysis
3. Results
3.1. Attenuation of Viral Infectivity in Seawater
3.2. Degredation of Viral DNA in Water
3.3. Comparison of Mortality from Different Oyster Sources
3.4. OsHV-1 Replication in Tissue Explant Cultures
3.5. Quantification in Tissue VS Media
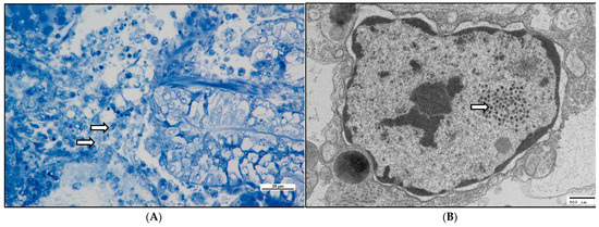
3.6. Electron Microscopy
4. Discussion
5. Conclusions
Author Contributions
Funding
Institutional Review Board Statement
Informed Consent Statement
Data Availability Statement
Acknowledgments
Conflicts of Interest
References
- King, W.L.; Jenkins, C.; Seymour, J.R.; Labbate, M. Oyster disease in a changing environment: Decrypting the link between pathogen, microbiome and environment. Mar. Environ. Res. 2019, 143, 124–140. [Google Scholar] [CrossRef] [PubMed]
- Pernet, F.; Lagarde, F.; le Gall, P.; Roque D’orbcastel, E. Associations between farming practices and disease mortality of Pacific oyster Crassostrea gigas in a Mediterranean lagoon. Aquac. Environ. Interact. 2014, 5, 99–106. [Google Scholar] [CrossRef]
- Degremont, L.; Guyader, T.; Tourbiez, D.; Pepin, J.F. Is horizontal transmission of the Ostreid herpesvirus OsHV-1 in Crassostrea gigas affected by unselected or selected survival status in adults to juveniles? Aquaculture 2013, 408, 51–57. [Google Scholar]
- Azéma, P.; Lamy, J.-B.; Boudry, P.; Renault, T.; Travers, M.-A.; Dégremont, L. Genetic parameters of resistance to Vibrio aestuarianus, and OsHV-1 infections in the Pacific oyster, Crassostrea gigas, at three different life stages. Genet. Sel. Evol. 2017, 49, 23. [Google Scholar] [CrossRef]
- Nell, J.A.; Holliday, J.E. Effects of salinity on the growth and survival of Sydney rock oyster (Saccostrea commercialis) and Pacific oyster (Crassostrea gigas) larvae and spat. Aquaculture 1988, 68, 39–44. [Google Scholar] [CrossRef]
- Malham, S.K.; Cotter, E.; O’keeffe, S.; Lynch, S.; Culloty, S.C.; King, J.W.; Latchford, J.W.; Beaumont, A.R. Summer mortality of the Pacific oyster, Crassostrea gigas, in the Irish Sea: The influence of temperature and nutrients on health and survival. Aquaculture 2009, 287, 128–138. [Google Scholar] [CrossRef]
- Hick, P.M.; Evans, O.; Rubio, A.; Dhand, N.K.; Whittington, R.J. Both age and size influence susceptibility of Pacific oysters (Crassostrea gigas) to disease caused by Ostreid herpesvirus-1 (OsHV-1) in replicated field and laboratory experimentsd. Aquaculture 2018, 489, 110–120. [Google Scholar] [CrossRef]
- Burge, C.A.; Reece, K.S.; Dhar, A.K.; Kirkland, P.; Morga, B.; Dégremont, L.; Faury, N.; Wippel, B.J.T.; Macintyre, A.; Friedman, C.S. First comparison of French and Australian OsHV-1 µvars by bath exposure. Dis. Aquat. Org. 2020, 138, 137–144. [Google Scholar] [CrossRef]
- Friedman, C.S.; Reece, K.S.; Wippel, B.J.T.; Agnew, M.V.; Dégremont, L.; Dhar, A.K.; Kirkland, P.; Macintyre, A.; Morga, B.; Robison, C.; et al. Unraveling concordant and varying responses of oyster species to Ostreid Herpesvirus 1 variants. Sci. Total Environ. 2020, 739, 139752. [Google Scholar] [CrossRef]
- de Lorgeril, J.; Lucasson, A.; Petton, B.; Toulza, E.; Montagnani, C.; Clerissi, C.; Vidal-Dupiol, J.; Chaparro, C.; Galinier, R.; Escoubas, J.-M.; et al. Immune-suppression by OsHV-1 viral infection causes fatal bacteraemia in Pacific oysters. Nat. Commun. 2018, 9, 4215. [Google Scholar] [CrossRef]
- Fallet, M.; Montagnani, C.; Petton, B.; Dantan, L.; de Lorgeril, J.; Comarmond, S.; Chaparro, C.; Toulza, E.; Boitard, S.; Escoubas, J.-M.; et al. Early life microbial exposures shape the Crassostrea gigas immune system for lifelong and intergenerational disease protection. Microbiome 2022, 10, 85. [Google Scholar] [CrossRef] [PubMed]
- Hartmann, E.M.; Durighello, E.; Pible, O.; Nogales, B.; Beltrametti, F.; Bosch, R.; Christie-Oleza, J.A.; Armengaud, J. Proteomics meets blue biotechnology: A wealth of novelties and opportunities. Mar. Genom. 2014, 17, 35–42. [Google Scholar] [CrossRef] [PubMed]
- Morga, B.; Faury, N.; Guesdon, S.; Chollet, B.; Renault, T. Haemocytes from Crassostrea gigas and OsHV-1: A promising in vitro system to study host/virus interactions. J. Invertebr. Pathol. 2017, 150, 45–53. [Google Scholar] [CrossRef] [PubMed]
- Li, J.; Zhang, Y.; Zhang, Y.; Liu, Y.; Xiang, Z.; Qu, F.; Yu, Z. Cloning and characterization of three suppressors of cytokine signaling (SOCS) genes from the Pacific oyster, Crassostrea gigas. Fish Shellfish Immunol. 2015, 44, 525–532. [Google Scholar] [CrossRef] [PubMed]
- Ji, A.; Li, X.; Fang, S.; Qin, Z.; Bai, C.; Wang, C.; Zhang, Z. Primary culture of Zhikong scallop Chlamys farreri hemocytes as an in vitro model for studying host-pathogen interactions. Dis. Aquat. Org. 2017, 125, 217–226. [Google Scholar] [CrossRef]
- Renault, T.; Davison, A.; Xhonneux, F.; Dorange, G.; Culloty, S.; Novoa, B.; Dixon, P. Diagnosis of Oyster Herpes-Like Virus: Development and Validation of Molecular, Immunological and Cellular Tools “VINO”. Third Periodic Progress Report 4th January 2001 to 3rd January 2002. Available online: https://archimer.ifremer.fr/doc/00044/15524/ (accessed on 20 August 2024).
- Potts, R.W.A.; Gutierrez, A.P.; Cortés-Araya, Y.; Houston, R.D.; Bean, T.P. Developments in marine invertebrate primary culture reveal novel cell morphologies in the model bivalve Crassostrea gigas. PeerJ 2020, 8, e9180. [Google Scholar] [CrossRef]
- Douillet, P.; Langdon, C.J. Effects of Marine Bacteria on the Culture of Axenic Oyster Crassostrea gigas (Thunberg) Larvae. Biol. Bull. 1993, 184, 36–51. [Google Scholar] [CrossRef]
- Potts, R.W.A.; Gutierrez, A.P.; Penaloza, C.S.; Regan, T.; Bean, T.P.; Houston, R.D. Potential of genomic technologies to improve disease resistance in molluscan aquaculture. Philos. Trans. R. Soc. Lond. B Biol. Sci. 2021, 376, 20200168. [Google Scholar] [CrossRef]
- Morga, B.; Jacquot, M.; Pelletier, C.; Chevignon, G.; Dégremont, L.; Biétry, A.; Pepin, J.-F.; Heurtebise, S.; Escoubas, J.-M.; Bean, T.P.; et al. Genomic Diversity of the Ostreid Herpesvirus Type 1 Across Time and Location and Among Host Species. Front. Microbiol. 2021, 12, 711377. [Google Scholar] [CrossRef]
- Suquet, M.; de Kermoysan, G.; Araya, R.G.; Queau, I.; Lebrun, L.; le Souchu, P.; Mingant, C. Anesthesia in Pacific oyster, Crassostrea gigas. Aquat. Living Resour. 2009, 22, 29–34. [Google Scholar] [CrossRef]
- Martenot, C.; Oden, E.; Travaille, E.; Malas, J.P.; Houssin, M. Comparison of two real-time PCR methods for detection of ostreid herpesvirus 1 in the Pacific oyster Crassostrea gigas. J. Virol. Methods 2010, 170, 86–89. [Google Scholar] [CrossRef] [PubMed]
- Reynolds, E.S. The use of lead citrate at high pH as an electron-opaque stain in electron microscopy. J. Cell Biol. 1963, 17, 208–212. [Google Scholar] [CrossRef] [PubMed]
- Allam, B.; Raftos, D. Immune responses to infectious diseases in bivalves. J. Invertebr. Pathol. 2015, 131, 121–136. [Google Scholar] [CrossRef] [PubMed]
- Tracy, A.N.; Yadavalli, R.; Reed, K.S.; Parnaik, R.; Poulton, N.J.; Bishop-Bailey, D.; Fernández Robledo, J.A. Genome to phenome tools: In vivo and in vitro transfection of Crassostrea virginica hemocytes. Fish Shellfish Immunol. 2020, 103, 438–441. [Google Scholar] [CrossRef]
- Steiner, I.; Kennedy, P.G.E. Herpes simplex virus latent infection in the nervous system. J. Neurovirol. 1995, 1, 19–29. [Google Scholar] [CrossRef]
- Réalis-Doyelle, E.; Schwartz, J.; Cabau, C.; le Franc, L.; Bernay, B.; Rivière, G.; Klopp, C.; Favrel, P. Transcriptome Profiling of the Pacific Oyster Crassostrea gigas Visceral Ganglia over a Reproduction Cycle Identifies Novel Regulatory Peptides. Mar. Drugs 2021, 19, 452. [Google Scholar] [CrossRef]
- Green, T.J.; Speck, P. Antiviral Defense and Innate Immune Memory in the Oyster. Viruses 2018, 10, 133. [Google Scholar] [CrossRef]
- Lafont, M.; Petton, B.; Vergnes, A.; Pauletto, M.; Segarra, A.; Gourbal, B.; Montagnani, C. Long-lasting antiviral innate immune priming in the Lophotrochozoan Pacific oyster, Crassostrea gigas. Sci. Rep. 2017, 7, 13143. [Google Scholar] [CrossRef]
- Melillo, D.; Marino, R.; Italiani, P.; Boraschi, D. Innate Immune Memory in Invertebrate Metazoans: A Critical Appraisal. Front. Immunol. 2018, 9, 1915. [Google Scholar] [CrossRef]
- Whittington, R.J.; Paul-Pont, I.; Evans, O.; Hick, P.; Dhand, N.K. Counting the dead to determine the source and transmission of the marine herpesvirus OsHV-1 in Crassostrea gigas. Vet. Res. 2018, 49, 34. [Google Scholar] [CrossRef]







Disclaimer/Publisher’s Note: The statements, opinions and data contained in all publications are solely those of the individual author(s) and contributor(s) and not of MDPI and/or the editor(s). MDPI and/or the editor(s) disclaim responsibility for any injury to people or property resulting from any ideas, methods, instructions or products referred to in the content. |
© 2024 by the authors. Licensee MDPI, Basel, Switzerland. This article is an open access article distributed under the terms and conditions of the Creative Commons Attribution (CC BY) license (https://creativecommons.org/licenses/by/4.0/).
Share and Cite
Potts, R.W.A.; Regan, T.; Ross, S.; Bateman, K.; Hooper, C.; Paley, R.; Houston, R.D.; Bean, T.P. Laboratory Replication of Ostreid Herpes Virus (OsHV-1) Using Pacific Oyster Tissue Explants. Viruses 2024, 16, 1343. https://doi.org/10.3390/v16081343
Potts RWA, Regan T, Ross S, Bateman K, Hooper C, Paley R, Houston RD, Bean TP. Laboratory Replication of Ostreid Herpes Virus (OsHV-1) Using Pacific Oyster Tissue Explants. Viruses. 2024; 16(8):1343. https://doi.org/10.3390/v16081343
Chicago/Turabian StylePotts, Robert W. A., Tim Regan, Stuart Ross, Kelly Bateman, Chantelle Hooper, Richard Paley, Ross D. Houston, and Tim P. Bean. 2024. "Laboratory Replication of Ostreid Herpes Virus (OsHV-1) Using Pacific Oyster Tissue Explants" Viruses 16, no. 8: 1343. https://doi.org/10.3390/v16081343
APA StylePotts, R. W. A., Regan, T., Ross, S., Bateman, K., Hooper, C., Paley, R., Houston, R. D., & Bean, T. P. (2024). Laboratory Replication of Ostreid Herpes Virus (OsHV-1) Using Pacific Oyster Tissue Explants. Viruses, 16(8), 1343. https://doi.org/10.3390/v16081343

