Host Jump of an Exotic Fish Rhabdovirus into a New Class of Animals Poses a Disease Threat to Amphibians
Abstract
1. Introduction
2. Materials and Methods
2.1. Native Amphibian Host Species
2.2. Virus Strains
2.3. Injection Challenge Experiment of Western Long-Toed Salamanders
2.4. Immersion Challenge Experiment of Pacific Tree Frog Tadpoles
2.5. Histopathology of Tadpoles from Immersion Challenge
2.6. Fish and Tadpole Cohabitation Challenge
2.7. Specimen Processing and Virus Detection
2.8. Data and Statistical Analyses
3. Results
3.1. Susceptibility of Larval Salamanders to SVCV after Injection
3.2. Susceptibility of Pacific Tree Frog Tadpoles after Exposure to SVCV by Immersion
3.2.1. Mortality/Survival of Tadpoles during the 28-Day Challenge
3.2.2. Virus Prevalence at Discrete Timepoints after Tadpole Exposure to SVCV via Immersion
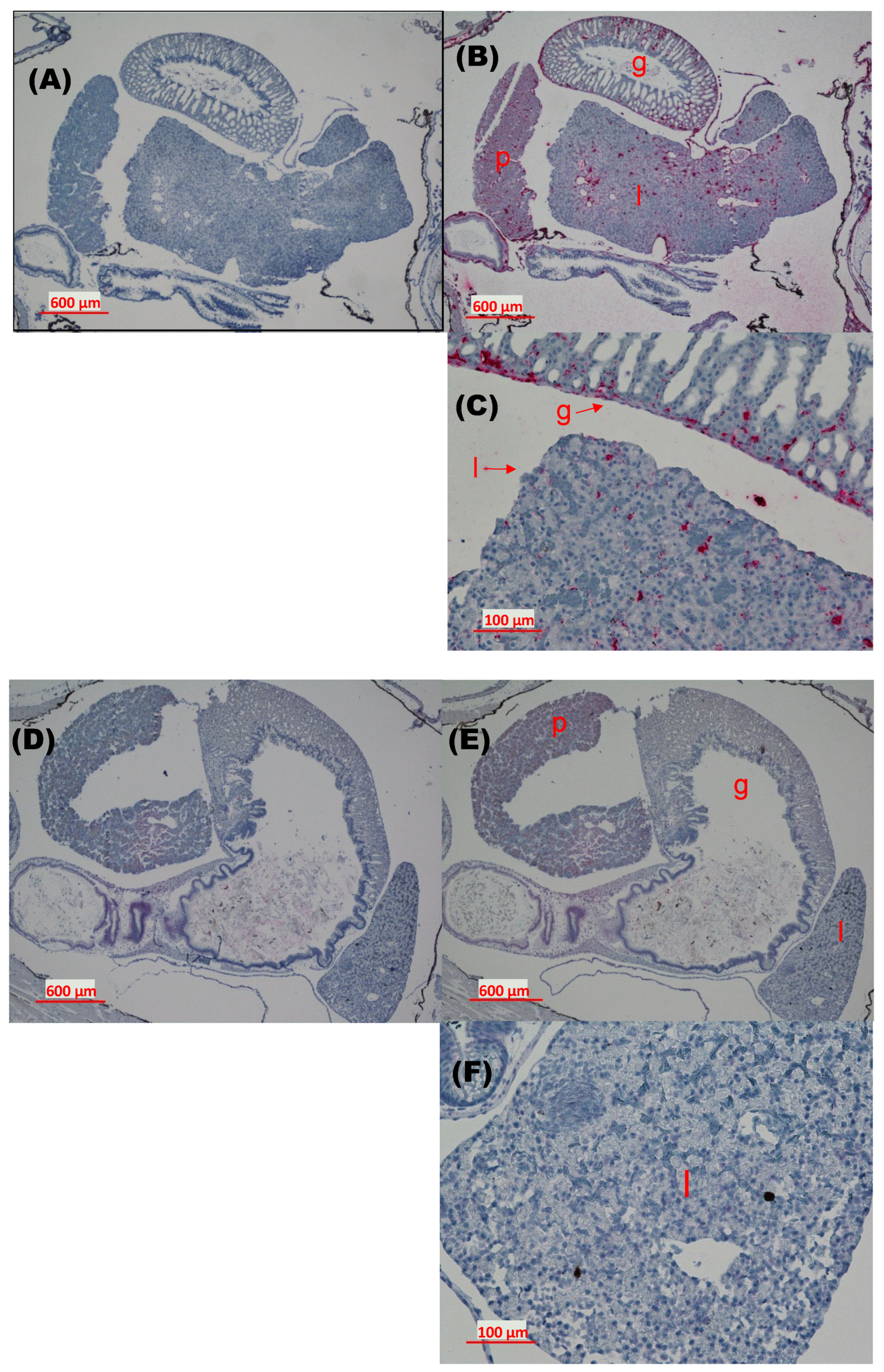
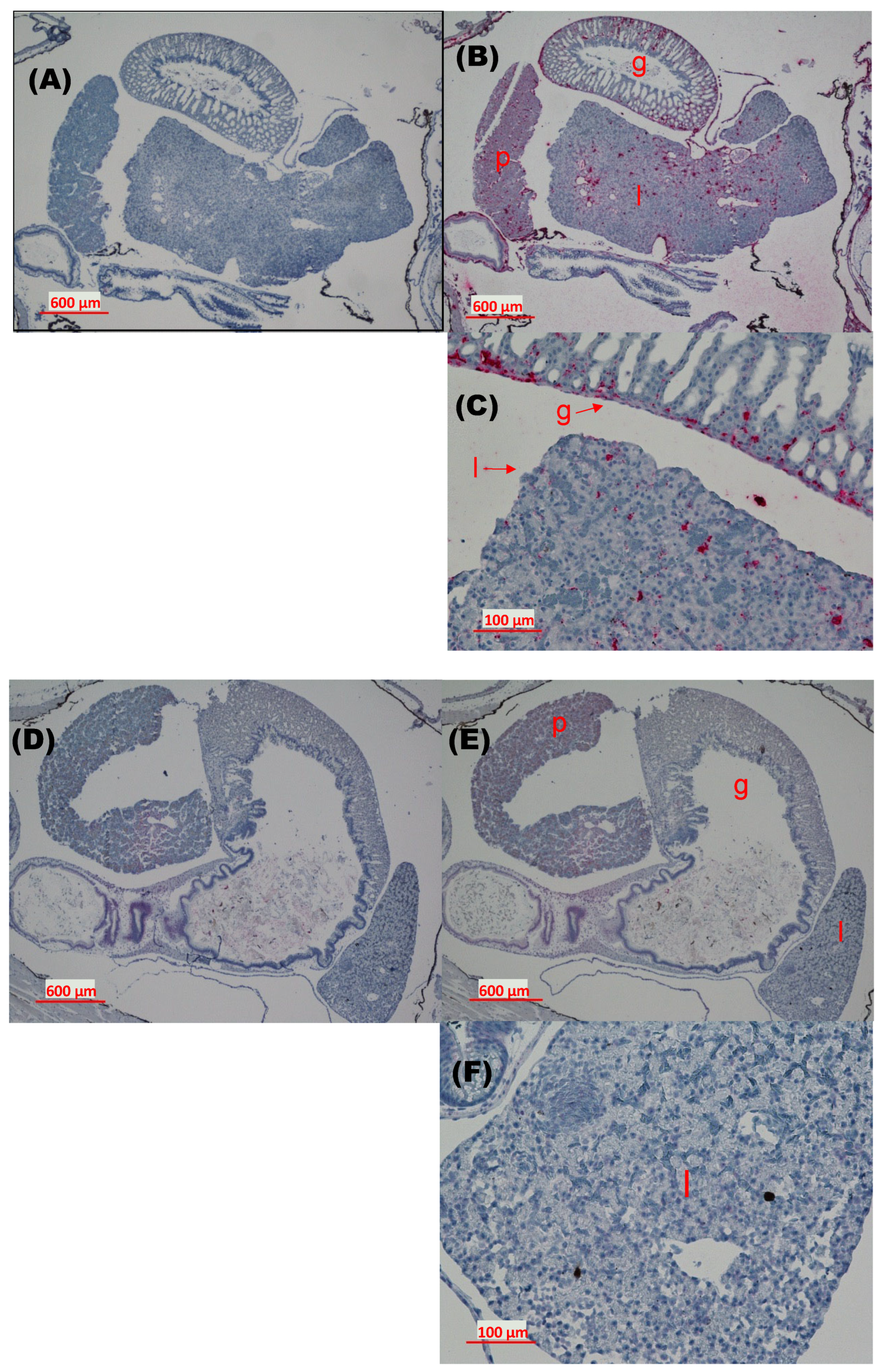
3.2.3. Histopathological Examination of Tadpoles Exposed to Virus via Immersion
3.3. Susceptibility of Naïve Tadpoles after Cohabitation with SVCV-Infected Koi
3.3.1. Mortality Levels of Koi Serving as the Virus Donors/Shedders
3.3.2. Survival of Naïve Tadpoles Cohabiting with SVCV-Infected Koi during the 28-Day Challenge
3.3.3. Virus Prevalence at Discrete Timepoints after Tadpole Exposure to SVCV via Cohabitation
4. Discussion
4.1. Parameters Modulating SVCV Transmission, Disease Development, and Virus Detection of Amphibians after Experimental Exposure
4.2. Factors Driving a Fish Rhabdovirus Cross-Species Transmission into an Amphibian Host
4.2.1. Aquatic Species That Are Propagated and/or Non-Native/Invasive Species Can Have Hitchhiker Pathogens That Facilitate Novel Host Jumps
4.2.2. Climate Change Aids Cross-Species Virus Transmission Events
4.2.3. SVCV Co-Infection: Is Pathology Induced by Opportunistic Secondary Microbial Infections?
5. Conclusions
Author Contributions
Funding
Institutional Review Board Statement
Data Availability Statement
Acknowledgments
Conflicts of Interest
References
- Geoghegan, J.L.; Duchêne, S.; Holmes, E.C. Comparative analysis estimates the relative frequencies of co-divergence and cross-species transmission within viral families. PLoS Pathog. 2017, 13, e1006215. [Google Scholar] [CrossRef] [PubMed]
- Walker, P.J.; Firth, C.; Widen, S.G.; Blasdell, K.R.; Guzman, H.; Wood, T.G.; Paradkar, P.N.; Holmes, E.C.; Tesh, R.B.; Vasilakis, N. Evolution of genome size and complexity in the Rhabdoviridae. PLoS Pathog. 2015, 11, e1004664. [Google Scholar] [CrossRef] [PubMed]
- Jones, J.E.; Le Sage, V.; Lakdawala, S.S. Viral and host heterogeneity and their effects on the viral life cycle. Nat. Rev. Microbiol. 2021, 19, 272–282. [Google Scholar] [CrossRef] [PubMed]
- Zhang, Y.Z.; Wu, W.C.; Shi, M.; Holmes, E.C. The diversity, evolution and origins of vertebrate RNA viruses. Curr. Opin. Virol. 2018, 31, 9–16. [Google Scholar] [CrossRef] [PubMed]
- Holmes, E.C. The ecology of viral emergence. Annu. Rev. Virol. 2022, 9, 173–192. [Google Scholar] [CrossRef] [PubMed]
- Bourhy, H.; Cowley, J.A.; Larrous, F.; Holmes, E.C.; Walker, P.J. Phylogenetic relationships among rhabdoviruses inferred using the L polymerase gene. J. Gen. Virol. 2005, 86, 2849–2858. [Google Scholar] [CrossRef] [PubMed]
- Emelianchik, A.; Rodrigues, T.C.; Subramaniam, K.; Nielsen, O.; Burek-Huntington, K.A.; Rotstein, D.; Popov, V.L.; Stone, D.; Waltzek, T.B. Characterization of a novel rhabdovirus isolated from a stranded harbour porpoise (Phocoena phocoena). Virus Res. 2019, 273, 197742. [Google Scholar] [CrossRef] [PubMed]
- Zhang, Q.Y.; Ke, F.; Gui, L.; Zhao, Z. Recent insights into aquatic viruses: Emerging and reemerging pathogens, molecular features, biological effects, and novel investigative approaches. Water Biol. Secur. 2022, 1, 100062. [Google Scholar] [CrossRef]
- Walker, P.J.; Bigarré, L.; Kurath, G.; Dacheux, L.; Pallandre, L. Revised taxonomy of rhabdoviruses infecting fish and marine mammals. Animals 2022, 12, 1363. [Google Scholar] [CrossRef] [PubMed]
- Longdon, B.; Murray, G.G.; Palmer, W.J.; Day, J.P.; Parker, D.J.; Welch, J.J.; Obbard, D.J.; Jiggins, F.M. The evolution, diversity, and host associations of rhabdoviruses. Virus Evol. 2015, 1, ev014. [Google Scholar] [CrossRef]
- Dietzgen, R.G.; Kondo, H.; Goodin, M.M.; Kurath, G.; Vasilakis, N. The family Rhabdoviridae: Mono-and bipartite negative-sense RNA viruses with diverse genome organization and common evolutionary origins. Virus Res. 2017, 227, 158–170. [Google Scholar] [CrossRef]
- Kurath, G.; Stone, D.B. Fish rhabdoviruses (Rhabdoviridae). In Encyclopedia of Virology, 4th ed.; Bamford, D.H., Zuckerman, M., Eds.; Academic Press (Elsevier): Cambridge, MA, USA, 2021; pp. 324–331. [Google Scholar]
- Walker, P.J.; Blasdell, K.R.; Calisher, C.H.; Dietzgen, R.G.; Kondo, H.; Kurath, G.; Longdon, B.; Stone, D.M.; Tesh, R.B.; Tordo, N.; et al. ICTV virus taxonomy profile: Rhabdoviridae. J. Gen. Virol. 2018, 99, 447–448. [Google Scholar] [CrossRef]
- Walker, P.J.; Winton, J.R. Emerging viral diseases of fish and shrimp. Vet. Res. 2010, 41, 51. [Google Scholar] [CrossRef]
- Ahne, W.; Bjorklund, H.V.; Essbauer, S.; Fijan, N.; Kurath, G.; Winton, J.R. Spring Viremia of Carp (SVC). Dis. Aquat. Org. 2002, 52, 261–272. [Google Scholar] [CrossRef]
- Balon, E.K. The Common carp, Cyprinus carpio: Its Wild Origin, Domestication in Aquaculture, and Selection as Colored Nishikigoi. Guelph Ichthyol. Rev. 1995, 3, 1–55. [Google Scholar]
- Daniel, W.M.; Morningstar, C.R.; Procopio, J.; Cyprinus rubrofuscus Lacepède, 1803: U.S. Geological Survey, Nonindigenous Aquatic Species Database. 2019. Available online: https://nas.er.usgs.gov/queries/FactSheet.aspx?SpeciesID=3294 (accessed on 4 June 2024).
- Emmenegger, E.J.; Bueren, E.K.; Jia, P.; Hendrix, N.; Liu, H. Comparative virulence of spring viremia of carp virus (SVCV) genotypes in two koi varieties. Dis. Aquat. Org. 2022, 148, 95–112. [Google Scholar] [CrossRef]
- WOAH (World Organization for Animal Health). Infection with Spring Viraemia of Carp Virus. In: WOAH Aquatic Manual. 2024 Chapter 2.3.9. Available online: https://www.woah.org/fileadmin/Home/fr/Health_standards/aahm/current/2.3.09_SVC.pdf (accessed on 4 June 2024).
- Soliman, M.K.; Aboeisa, M.M.; Mohamed, S.G.; Saleh, W.D. First record of isolation and identification of spring viraemia of carp virus from Oreochromis niloticus in Egypt. In Proceedings of the 8th International Symposium on Tilapia in Aquaculture, Cairo, Egypt, 12 October 2008. [Google Scholar]
- Vicenova, M.; Reschova, S.; Pokorova, D.; Hulova, J.; Vesely, T. First detection of pike fry-like rhabdovirus in barbel and spring viraemia of carp virus in sturgeon and pike in aquaculture in the Czech Republic. Dis. Aquat. Org. 2011, 95, 87–95. [Google Scholar] [CrossRef]
- Cipriano, R.C.; Bowser, P.R.; Dove, A.; Goodwin, A.; Puzach, C. Prominent emerging diseases within the United States. In Bridging America and Russia with Shared Perspectives on Aquatic Animal Health (Proceedings of the Third Bilateral Conference between Russia and the United States, Shepherdstown, West Virginia, USA. (12 July 2009); Cipriano, R.C., Bruckner, A.W., Shchelkunov, I.S., Eds.; Khaled bin Sultan Living Oceans Foundation: Landover, MD, USA, 2011; pp. 6–17. [Google Scholar]
- Gado, M.S.M.; Saad, T.T.; El-Dein, A.A. Primary Isolation and Characterization of Spring Viremia of Carp Virus (SVCV) from Cultured Fish in KAFR EL-SHIKH Governorate. Am. J. Life. Sci. Res. 2015, 3, 128–139. [Google Scholar]
- Dixon, P.; Stone, D. Spring viraemia of carp. In Fish Viruses and Bacteria: Pathobiology and Protection; Woo, P.T.K., Cipriano, R.C., Eds.; CABI: Wallingford, UK, 2017; pp. 79–90. [Google Scholar]
- Godahewa, G.I.; Lee, S.; Kim, J.; Perera, N.C.N.; Kim, M.J.; Kwon, M.G.; Jee, B.Y.; Hwang, S.D.; Lee, J. Analysis of complete genome and pathogenicity studies of the spring viremia of carp virus isolated from common carp (Cyprinus carpio carpio) and largemouth bass (Micropterus salmoides): An indication of SVC disease threat in Korea. Virus Res. 2018, 255, 105–116. [Google Scholar] [CrossRef]
- Saleh, M.; Sellyei, B.; Kovács, G.; Székely, C. Viruses Infecting the European Catfish (Silurus glanis). Viruses 2021, 13, 1865. [Google Scholar] [CrossRef]
- Katona, R.; Standish, I.; McCann, R.; Dziki, S.; Bailey, J.; Puzach, C.; Warg, J.; Leis, E.; Phillips, K. Isolations of the Spring Viremia of Carp Virus in the Upper Mississippi River (USA), Including a New Host, the Quillback. J. Aquat. Anim. Health 2022, 34, 92–97. [Google Scholar] [CrossRef]
- Lu, Y.; Cesar, E.; Nadala, B., Jr.; Brock, J.A.; Loh, P.C. A new virus isolate from infectious hypodermal and hematopoietic necrosis virus (IHHNV)-infected penaeid shrimps. J. Virol. Methods 1991, 31, 189–195. [Google Scholar] [CrossRef]
- Johnson, M.C.; Maxwell, J.M.; Loh, P.C.; Leong, J.S. Molecular characterization of the glycoproteins from two warm water rhabdoviruses: Snakehead rhabdovirus (SHRV) and rhabdovirus of penaeid shrimp (RPS)/spring viremia of carp virus (SVCV). Virus Res. 1999, 64, 95–106. [Google Scholar] [CrossRef]
- Veselý, T.; Pokorová, D.; Reschová, S.; Piačková, V. Experimental infection of common carp (Cyprinus carpio) with spring viremia of carp virus. In Proceedings of the Ninth International Symposium on Viruses of Lower Vertebrates, Malaga, Spain, 1 October 2014. [Google Scholar]
- Goodwin, A.E. Spring viremia of carp virus (SVCV): Global status of outbreaks, diagnosis, surveillance, and research. Isr. J. Aquacult-Bamid 2009, 61, 180–187. [Google Scholar]
- Wolf, K. Spring viremia of carp. In Fish Viruses and Fish Viral Diseases; Cornell University Press: Ithaca, NY, USA, 1988; pp. 191–216. [Google Scholar]
- Fijan, N.N.; Petrinec, Z.; Sulimanovic, D.; Zwillenberg, L.O. Isolation of viral causative agent from the acute form of infectious dropsy in carp. Vet. Arch. 1971, 41, 125–138. [Google Scholar]
- Fijan, N. Diseases of Cyprinids in Europe. Fish Path. 1976, 10, 129–134. [Google Scholar] [CrossRef]
- Alexandrino, A.C.; Ranzani-Paiva, M.J.T.; Romano, L.A. Identificación de Viremia Primaveral de la Carpa (VPC) Carassius auratus en San Pablo, Brasil. Rev. Ceres 1998, 45, 125–137. [Google Scholar]
- Goodwin, A.E. First report of spring viremia of carp virus (SVCV) in North America. J. Aquat. Anim. Health 2002, 14, 161–164. [Google Scholar] [CrossRef]
- Dikkeboom, A.L.; Radi, C.; Toohey-Kurth, K.; Marcquenski, S.; Engel, M.; Goodwin, A.E.; Way, K.; Stone, D.M.; Longshaw, C. First report of spring viremia of carp virus (SVCV) in wild common carp in North America. J. Aquat. Anim. Health 2004, 16, 169–178. [Google Scholar] [CrossRef]
- Garver, K.A.; Dwilow, A.G.; Richard, J.; Booth, T.F.; Beniac, D.R.; Souter, B.W. First detection and confirmation of spring viraemia of carp virus in common carp, Cyprinus carpio L., from Hamilton Harbour, Lake Ontario, Canada. J. Fish Dis. 2007, 30, 665–671. [Google Scholar] [CrossRef] [PubMed]
- Ortega, C.; Cañas-Lopez, L.; Irgang, R.; Fajardo, R.; Poblete-Morales, M.; Valladares-Carranza, B.; Tapia-Cammas, D.; Avendaño-Herrera, R. First detection of spring viraemia of carp virus in common carp (Cyprinus carpio L.) affected by a septicaemic disease in Mexico. J. Fish Dis. 2019, 42, 667–675. [Google Scholar] [CrossRef]
- Liu, H.; Gao, L.; Shi, X.; Gu, T.; Jiang, Y.; Chen, H. Isolation of spring viraemia of carp virus (SVCV) from cultured koi (Cyprinus carpio koi) and common carp (C. carpio carpio) in PR China. Bull. Eur. Ass. Fish Pathol. 2004, 24, 194–202. [Google Scholar]
- Haghighi Khiabanian Asl, A.; Bandehpour, M.; Sharifnia, Z.; Kazemi, B. The first report of spring viraemia of carp in some rainbow trout propagation and breeding by pathology and molecular techniques in Iran. Asian J. Anim. Vet. Adv. 2008, 3, 263–268. [Google Scholar]
- Haghighi Khiabanian Asl, A.; Azizzadeh, M.; Bandehpour, M.; Sharifnia, Z.; Kazemi, B. The first report of SVC from Indian carp species by PCR and histopathologic methods in Iran. Pak. J. Biol. Sci. 2008, 11, 2675–2678. [Google Scholar]
- Stone, D.M.; Ahne, W.; Denham, K.L.; Dixon, P.F.; Liu, C.Y.; Sheppard, A.M.; Taylor, G.R.; Way, K. Nucleotide sequence analysis of the glycoprotein gene of putative spring viraemia of carp virus and pike fry rhabdovirus isolates reveals four genogroups. Dis. Aquat. Org. 2003, 53, 203–210. [Google Scholar] [CrossRef]
- Miller, O.; Fuller, F.J.; Gebreyes, W.A.; Lewbart, G.A.; Shchelkunov, I.S.; Shivappa, R.B.; Joiner, C.; Woolford, G.; Stone, D.M.; Dixon, P.F.; et al. Phylogenetic analysis of spring virema of carp virus reveals distinct subgroups with common origins for recent isolates in North America and the UK. Dis. Aquat. Organ. 2007, 76, 193–204. [Google Scholar] [CrossRef] [PubMed]
- Warg, J.V.; Dikkeboom, A.L.; Goodwin, A.E.; Snekvik, K.; Whitney, J. Comparison of multiple genes of spring viremia of carp viruses isolated in the United States. Virus Genes 2007, 35, 87–95. [Google Scholar] [CrossRef]
- Phelps, N.B.; Armién, A.G.; Mor, S.K.; Goyal, S.M.; Warg, J.V.; Bhagyam, R.; Monahan, T. Spring viremia of carp virus in Minnehaha Creek, Minnesota. J. Aquat. Anim. Health 2012, 24, 232–237. [Google Scholar] [CrossRef] [PubMed]
- USDA-APHIS (United States Department of Agriculture—Animal and Plant Health Inspection Service). National List of Reportable Animal Diseases. Available online: https://www.aphis.usda.gov/aphis/ourfocus/animalhealth/monitoring-and-surveillance/nlrad/ct_national_list_reportable_animal_diseases (accessed on 4 June 2024).
- Padhi, A.; Verghese, B. Molecular evolutionary and epidemiological dynamics of a highly pathogenic fish rhabdovirus, the spring viremia of carp virus (SVCV). Vet. Microbiol. 2012, 156, 54–63. [Google Scholar] [CrossRef]
- Fèvre, E.M.; Bronsvoort, B.M.D.C.; Hamilton, K.A.; Cleaveland, S. Animal movements and the spread of infectious diseases. Trends Microbiol. 2006, 14, 125–131. [Google Scholar] [CrossRef]
- Travis, D.A.; Watson, R.P.; Tauer, A. The spread of pathogens through trade in wildlife. Rev. Sci. Tech.-Off. Int. Épizoot 2011, 30, 219. [Google Scholar] [CrossRef]
- Wasik, B.R.; de Wit, E.; Munster, V.; Lloyd-Smith, J.O.; Martinez-Sobrido, L.; Parrish, C.R. Onward transmission of viruses: How do viruses emerge to cause epidemics after spillover? Phil. Trans. R. Soc. B 2019, 374, 20190017. [Google Scholar] [CrossRef] [PubMed]
- Delahay, R.J.; de la Fuente, J.; Smith, G.C.; Sharun, K.; Snary, E.L.; Flores Giron, L.; Nziza, J.; Fooks, A.R.; Brookes, S.M.; Lean, F.Z.; et al. Assessing the risks of SARS-CoV-2 in wildlife. One Health Outlook 2021, 3, 7. [Google Scholar] [CrossRef]
- Peeler, E.J.; Oidtmann, B.C.; Midtlyng, P.J.; Miossec, L.; Gozlan, R.E. Non-native aquatic animals introductions have driven disease emergence in Europe. Biol. Invasions 2011, 13, 1291–1303. [Google Scholar] [CrossRef]
- Rodgers, C.J.; Mohan, C.V.; Peeler, E.J. The spread of pathogens through trade in aquatic animals and their products. Rev. Sci. Tech.-Off. Int. Épizoot 2011, 30, 241–256. [Google Scholar] [CrossRef] [PubMed]
- Mrugała, A.; Kozubíková-Balcarová, E.; Chucholl, C.; Cabanillas Resino, S.; Viljamaa-Dirks, S.; Vukić, J.; Petrusek, A. Trade of ornamental crayfish in Europe as a possible introduction pathway for important crustacean diseases: Crayfish plague and white spot syndrome. Biol. Invasions 2015, 17, 1313–1326. [Google Scholar] [CrossRef]
- Kolby, J.E.; Daszak, P. The emerging amphibian fungal disease, chytridiomycosis: A key example of the global phenomenon of wildlife emerging infectious diseases. Emerg. Infect. 2016, 10, 385–407. [Google Scholar] [CrossRef] [PubMed]
- Feist, S.W.; Thrush, M.A.; Dunn, P.; Bateman, K.; Peeler, E.J. The aquatic animal pandemic crisis. Rev. Sci. Tech. 2019, 38, 437–457. [Google Scholar] [CrossRef] [PubMed]
- Bienentreu, J.F.; Lesbarrères, D. Amphibian disease ecology: Are we just scratching the surface? Herpetologica 2020, 76, 153–166. [Google Scholar] [CrossRef]
- Harding, E.F.; Russo, A.G.; Yan, G.J.; Mercer, L.K.; White, P.A. Revealing the uncharacterised diversity of amphibian and reptile viruses. ISME Commun. 2022, 2, 95. [Google Scholar] [CrossRef]
- Auliya, M.; Altherr, S.; Nithart, C.; Hughes, A.; Bickford, D. Numerous Uncertainties in the Multifaceted Global Trade in Frogs’ Legs with the EU as the Major Consumer. Nat. Conserv. 2023, 51, 71–135. [Google Scholar] [CrossRef]
- Herrel, A.; van der Meijden, A. An analysis of the live reptile and amphibian trade in the USA compared to the global trade in endangered species. J. Herpeto. 2014, 24, 103–110. [Google Scholar]
- Fuller, P. Cynops orientalis (David, 1873): U.S. Geological Survey, Nonindigenous Aquatic Species Database, Gainesville, FL. Available online: https://nas.er.usgs.gov/queries/factsheet.aspx?SpeciesID=2861 (accessed on 7 May 2024).
- Ip, H.S.; Lorch, J.M.; Blehert, D.S. Detection of spring viraemia of carp virus in imported amphibians reveals an unanticipated foreign animal disease threat. Emerg. Microbes Infect. 2016, 5, 1–7. [Google Scholar] [CrossRef] [PubMed]
- Yuan, Z.; Martel, A.; Wu, J.; Van Praet, S.; Canessa, S.; Pasmans, F. Widespread occurrence of an emerging fungal pathogen in heavily traded Chinese urodelan species. Conserv. Lett. 2018, 11, e12436. [Google Scholar] [CrossRef]
- National Research Council (NRC). Guide for the Care and Use of Laboratory Animals, 8th ed.; National Academies Press: Washington, DC, USA, 2011; ISBN 978-0-309-15400-0. [Google Scholar]
- Underwood, W.; Anthony, R. AVMA Guidelines for the Euthanasia of Animals: 2020 Edition, 30th ed.; American Veterinary Medical Association: Schaumburg, IL, USA, 2020; p. 121. [Google Scholar]
- Fijan, N.; Sulimanović, D.; Bearzotti, M.; Muzinić, D.; Zwillenberg, L.O.; Chilmonczyk, S.; Vautherot, J.F.; De Kinkelin, P. Some properties of the Epithelioma papulosum cyprini (EPC) cell line from carp Cyprinus carpio. Ann. Inst. Pasteur Virol. 1983, 134, 207–220. [Google Scholar] [CrossRef]
- Emmenegger, E.J.; Kurath, G. DNA vaccine protects ornamental koi (Cyprinus carpio koi) against North American spring viremia of carp virus. Vaccine 2008, 26, 6415–6421. [Google Scholar] [CrossRef] [PubMed]
- Winton, J.; Batts, W.; DeKinkelin, P.; LeBerre, M.; Bremont, M.; Fijan, N. Current lineages of the epithelioma papulosum cyprini (EPC) cell line are contaminated with fathead minnow, Pimephales promelas, cells. J. Fish Dis. 2010, 33, 701–704. [Google Scholar] [CrossRef] [PubMed]
- Batts, W.N.; Winton, J.R. Enhanced detection of infectious hematopoietic necrosis virus and other fish viruses by pretreatment of cell monolayers with polyethylene glycol. J. Aquat. Anim. Health 1989, 1, 284–290. [Google Scholar] [CrossRef]
- Faisst, S. Propagation of Viruses: Animal. In Encyclopedia of Virology; Granoff, A., Webster, R.G., Eds.; Academic Press (Elsevier): Cambridge, MA, USA, 1999; pp. 1408–1413. [Google Scholar]
- Liu, Z.; Teng, Y.; Xie, X.; Li, H.; Lv, J.; Gao, L.; Tian, F.; Jiang, Y.; Chu, Z.; Xie, C.; et al. Development and evaluation of a one-step loop-mediated isothermal amplification for detection of spring viraemia of carp virus. J. Appl. Microbiol. 2008, 105, 1220–1226. [Google Scholar] [CrossRef]
- Ahne, W. The Influence of Environmental Temperature and Infection Route on the Immune Response of Carp (Cyprinus carpio) to Spring Viremia of Carp Virus (SVCV). Vet. Immunol. Immunopathol. 1986, 12, 383–386. [Google Scholar] [CrossRef]
- Sanders, G.E.; Batts, W.H.; Winton, J.R. The Susceptibility of Zebrafish (Danio rerio) to a Model Pathogen, Spring Viremia of Carp Virus. Comp. Med. 2003, 53, 502–509. [Google Scholar]
- Bancroft, J.D.; Gamble, M. (Eds.) Theory and Practice of Histological Techniques, 6th ed.; Elsevier Limited: Philadelphia, PA, USA, 2008; pp. 53–105. [Google Scholar]
- Garver, K.A.; Conway, C.M.; Elliott, D.G.; Kurath, G. Analysis of DNA-vaccinated fish reveals viral antigen in muscle, kidney and thymus, and transient histopathologic changes. Mar. Biotechnol. 2005, 7, 540–553. [Google Scholar] [CrossRef] [PubMed]
- Emmenegger, E.J.; Sanders, G.E.; Conway, C.M.; Binkowski, F.P.; Winton, J.R.; Kurath, G. Experimental infection of six North American fish species with the North Carolina strain of spring viremia of carp virus. Aquaculture 2016, 450, 273–282. [Google Scholar] [CrossRef]
- Misk, E.; Garver, K.; Nagy, E.; Isaac, S.; Tubbs, L.; Huber, P.; Al-Hussinee, L.; Lumsden, J.S. Pathogenesis of spring viremia of carp virus in emerald shiner Notropis atherinoides Rafinesque, fathead minnow Pimephales promelas Rafinesque and white sucker Catostomus commersonii (Lacepede). J. Fish Dis. 2016, 39, 729–739. [Google Scholar] [CrossRef] [PubMed]
- Di Cicco, E.; Ferguson, H.W.; Kaukinen, K.H.; Schulze, A.D.; Li, S.; Tabata, A.; Günther, O.P.; Mordecai, G.; Suttle, C.A.; Miller, K.M. The same strain of Piscine orthoreovirus (PRV-1) is involved in the development of different, but related, diseases in Atlantic and Pacific Salmon in British Columbia. Facets 2018, 3, 599–641. [Google Scholar] [CrossRef]
- Yusuff, S.; Kurath, G.; Kim, M.S.; Tesfaye, T.M.; Li, J.; McKenney, D.G.; Vakharia, V.N. The glycoprotein, non-virion protein, and polymerase of viral hemorrhagic septicemia virus are not determinants of host-specific virulence in rainbow trout. Virology 2019, 16, 31. [Google Scholar] [CrossRef] [PubMed]
- Clouthier, S.C.; Schroeder, T.; Bueren, E.K.; Anderson, E.D.; Emmenegger, E. Analytical validation of two RT-qPCR tests and detection of spring viremia of carp virus (SVCV) in persistently infected koi Cyprinus carpio. Dis. Aquat. Organ. 2021, 143, 169–188. [Google Scholar] [CrossRef] [PubMed]
- Luedtke, J.A.; Chanson, J.; Neam, K.; Hobin, L.; Maciel, A.O.; Catenazzi, A.; Borzée, A.; Hamidy, A.; Aowphol, A.; Jean, A.; et al. Ongoing declines for the world’s amphibians in the face of emerging threats. Nature 2023, 622, 308–314. [Google Scholar] [CrossRef] [PubMed]
- Ahne, W. Uptake and multiplication of spring viraemia of carp virus in carp, Cyprinus carpio L. J. Fis. Dis. 1978, 1, 265–268. [Google Scholar] [CrossRef]
- Miller, D.; Gray, M.; Storfer, A. Ecopathology of ranaviruses infecting amphibians. Viruses 2011, 3, 2351–2373. [Google Scholar] [CrossRef]
- Blaustein, A.R.; Urbina, J.; Snyder, P.W.; Reynolds, E.; Dang, T.; Hoverman, J.T.; Han, B.; Olson, D.H.; Searle, C.; Hambalek, N.M. Effects of emerging infectious diseases on amphibians: A review of experimental studies. Diversity 2018, 10, 81. [Google Scholar] [CrossRef]
- Parrish, C.R.; Holmes, E.C.; Morens, D.M.; Park, E.C.; Burke, D.S.; Calisher, C.H.; Laughlin, C.A.; Saif, L.J.; Daszak, P. Cross-species virus transmission and the emergence of new epidemic diseases. Microbiol. Mol. Biol. Rev. 2008, 72, 457–470. [Google Scholar] [CrossRef] [PubMed]
- Engering, A.; Hogerwerf, L.; Slingenbergh, J. Pathogen–host–environment interplay and disease emergence. Emerg. Microbes Infect. 2013, 2, e5. [Google Scholar] [CrossRef] [PubMed]
- Bae, H.G.; Nitsche, A.; Teichmann, A.; Biel, S.S.; Niedrig, M. Detection of Yellow Fever Virus: A Comparison of Quantitative Real-Time PCR and Plaque Assay. J. Virol. Methods 2003, 110, 185–191. [Google Scholar] [CrossRef] [PubMed]
- McCausland, M.M.; Crotty, S. Quantitative PCR technique for detecting lymphocytic choriomeningitis virus in vivo. J. Virol. Methods 2008, 147, 167–176. [Google Scholar] [CrossRef] [PubMed]
- Shi, M.; Lin, X.D.; Chen, X.; Tian, J.H.; Chen, L.J.; Li, K.; Wang, W.; Eden, J.S.; Shen, J.J.; Liu, L.; et al. The evolutionary history of vertebrate RNA viruses. Nature 2018, 556, 197–202. [Google Scholar] [CrossRef] [PubMed]
- Bandín, I.; Dopazo, C.P. Host range, host specificity and hypothesized host shift events among viruses of lower vertebrates. Vet. Res. 2011, 42, 67. [Google Scholar] [CrossRef]
- Hierweger, M.M.; Koch, M.C.; Rupp, M.; Maes, P.; Di Paola, N.; Bruggmann, R.; Kuhn, J.H.; Schmidt-Posthaus, H.; Seuberlich, T. Novel filoviruses, hantavirus, and rhabdovirus in freshwater fish, Switzerland, 2017. Emerg. Infect. Dis. 2021, 27, 3082–3091. [Google Scholar] [CrossRef] [PubMed]
- Bonneaud, C.; Longdon, B. Emerging pathogen evolution: Using evolutionary theory to understand the fate of novel infectious pathogens. EMBO Rep. 2020, 21, e51374. [Google Scholar] [CrossRef]
- Baker, R.E.; Mahmud, A.S.; Miller, I.F.; Rajeev, M.; Rasambainarivo, F.; Rice, B.L.; Takahashi, S.; Tatem, A.J.; Wagner, C.E.; Wang, L.F.; et al. Infectious Disease in an Era of Global Change. Nat. Rev. Microbiol. 2022, 20, 193–205. [Google Scholar] [CrossRef]
- Zhang, Q.Y.; Gui, J.F. Virus genomes and virus-host interactions in aquaculture animals. Sci. China Life Sci. 2015, 58, 156–169. [Google Scholar] [CrossRef]
- Bouwmeester, M.M.; Goedknegt, M.A.; Poulin, R.; Thieltges, D.W. Collateral diseases: Aquaculture impacts on wildlife infections. J. Appl. Ecol. 2021, 58, 453–464. [Google Scholar] [CrossRef]
- Henderson, E.E.; Snyman, H. Special section on aquatic animal health and disease. J. Vet. Diagn. Investig. 2024, 36, 297–298. [Google Scholar] [CrossRef]
- Pratt, E.N.; Lockwood, J.L.; King, E.G.; Pienaar, E.F. Identifying inconsistencies in exotic pet regulations that perpetuate trade in risky species. Conserv. Biol. 2024, 38, e14189. [Google Scholar] [CrossRef]
- Bright, C. Invasive species: Pathogens of globalization. Foreign Policy 1999, 116, 50–64. [Google Scholar] [CrossRef]
- Poulin, R.; Paterson, R.A.; Townsend, C.R.; Tompkins, D.M.; Kelly, D.W. Biological invasions and the dynamics of endemic diseases in freshwater ecosystems. Freshw. Biol. 2011, 56, 676–688. [Google Scholar] [CrossRef]
- Foster, R.; Peeler, E.; Bojko, J.; Clark, P.F.; Morritt, D.; Roy, H.E.; Stebbing, P.; Tidbury, H.J.; Wood, L.E.; Bass, D. Pathogens co-transported with invasive non-native aquatic species: Implications for risk analysis and legislation. NeoBiota 2021, 69, 79–102. [Google Scholar] [CrossRef]
- Najberek, K.; Olszańska, A.; Tokarska-Guzik, B.; Mazurska, K.; Dajdok, Z.; Solarz, W. Invasive alien species as reservoirs for pathogens. Ecol. Indic. 2022, 139, 108879. [Google Scholar] [CrossRef]
- Dong, X.; Li, C.; Wang, Y.; Hu, T.; Zhang, F.; Meng, F.; Gao, M.; Han, X.; Wang, G.; Qin, J.; et al. Diversity and connectedness of brine shrimp viruses in global hypersaline ecosystems. Sci. China Life Sci. 2024, 67, 188–203. [Google Scholar] [CrossRef]
- Ye, R.Z.; Li, Y.Y.; Xu, D.L.; Wang, B.H.; Wang, X.Y.; Zhang, M.Z.; Wang, N.; Gao, W.Y.; Li, C.; Han, X.Y.; et al. Virome diversity shaped by genetic evolution and ecological landscape of Haemaphysalis longicornis. Microbiome 2024, 12, 35. [Google Scholar] [CrossRef]
- Walker, P.J.; Mohan, C.V. Viral disease emergence in shrimp aquaculture: Origins, impact and the effectiveness of health management strategies. Rev. Aquac. 2009, 1, 125–154. [Google Scholar] [CrossRef]
- Newton, R.; Zhang, W.; Xian, Z.; McAdam, B.; Little, D.C. Intensification, regulation and diversification: The changing face of inland aquaculture in China. AMBIO 2021, 50, 1739–1756. [Google Scholar] [CrossRef]
- Sarturi, C.; Heluy, G.M.; Sarmiento, P.C.; Figueiredo, P.G.; Jorge, T.B.; Mello, S.C.R.; Ramos, L.R.; Pereira, M.M. Polyculture of bullfrog tadpoles and Nile tilapia fry. An. Acad. Bras. Ciênc. 2021, 93, e20210270. [Google Scholar] [CrossRef]
- Guilder, J.; Copp, G.H.; Thrush, M.A.; Stinton, N.; Murphy, D.; Murray, J.; Tidbury, H.J. Threats to UK freshwaters under climate change: Commonly traded aquatic ornamental species and their potential pathogens and parasites. NeoBiota 2022, 76, 73–108. [Google Scholar] [CrossRef]
- Le, N.T.T.; Armstrong, C.W.; Brækkan, E.H.; Eide, A. Climatic events and disease occurrence in intensive Litopenaeus vannamei shrimp farming in the Mekong area of Vietnam. Aquaculture 2024, 587, 740867. [Google Scholar] [CrossRef]
- Stanivuk, J.; Berzi-Nagy, L.; Gyalog, G.; Ardó, L.; Vitál, Z.; Plavša, N.; Krstović, S.; Fazekas, G.L.; Horváth, Á.; Ljubobratović, U. The rank of intensification factors strength in intensive pond production of common carp (Cyprinus carpio L.). Aquaculture 2024, 583, 740584. [Google Scholar] [CrossRef]
- Bates, A.E.; McKelvie, C.M.; Sorte, C.J.; Morley, S.A.; Jones, N.A.; Mondon, J.A.; Bird, T.J.; Quinn, G. Geographical range, heat tolerance and invasion success in aquatic species. Proc. R. Soc. B Biol. Sci. 2013, 280, 20131958. [Google Scholar] [CrossRef]
- Kruger, N.; Secondi, J.; Du Preez, L.; Herrel, A.; Measey, J. Phenotypic variation in Xenopus laevis tadpoles from contrasting climatic regimes is the result of adaptation and plasticity. Oecologia 2022, 200, 37–50. [Google Scholar] [CrossRef]
- Padilla, P.; Herrel, A.; Denoël, M. May future climate change promote the invasion of the marsh frog? An integrative thermo-physiological study. Oecologia 2023, 202, 227–238. [Google Scholar] [CrossRef]
- Woolway, R.I.; Sharma, S.; Weyhenmeyer, G.A.; Debolskiy, A.; Golub, M.; Mercado-Bettín, D.; Perroud, M.; Stepanenko, V.; Tan, Z.; Grant, L.; et al. Phenological shifts in lake stratification under climate change. Nat. Commun. 2021, 12, 2318. [Google Scholar] [CrossRef]
- Priya, A.K.; Muruganandam, M.; Rajamanickam, S.; Sivarethinamohan, S.; Reddy, M.K.; Velusamy, P.; Gomathi, R.; Ravindiran, G.; Gurugubelli, T.R.; Munisamy, S.K. Impact of climate change and anthropogenic activities on aquatic ecosystem–A review. Environ. Res. 2023, 238, 117233. [Google Scholar]
- Nekrasova, O.; Pupins, M.; Tytar, V.; Fedorenko, L.; Potrokhov, O.; Škute, A.; Čeirāns, A.; Theissinger, K.; Georges, J.Y. Assessing Prospects of Integrating Asian Carp Polyculture in Europe: A Nature-Based Solution under Climate Change? Fishes 2024, 9, 148. [Google Scholar] [CrossRef]
- Bisht, K.; Te Velthuis, A.J. Decoding the role of temperature in RNA virus infections. mBio 2022, 13, e02021-22. [Google Scholar] [CrossRef]
- Carlson, C.J.; Albery, G.F.; Merow, C.; Trisos, C.H.; Zipfel, C.M.; Eskew, E.A.; Olival, K.J.; Ross, N.; Bansal, S. Climate change increases cross-species viral transmission risk. Nature 2022, 607, 555–562. [Google Scholar] [CrossRef]
- Jacquot, M.; Wallace, M.A.; Streicker, D.G.; Biek, R. Geographic range overlap rather than phylogenetic distance explains rabies virus transmission among closely related bat species. Viruses 2022, 14, 2399. [Google Scholar] [CrossRef]
- Eaton, J.G.; Scheller, R.M. Effects of climate warming on fish thermal habitat in streams of the United States. Limnol. Oceanogr. 1996, 41, 1109–1115. [Google Scholar] [CrossRef]
- Price, S.J.; Leung, W.T.; Owen, C.J.; Puschendorf, R.; Sergeant, C.; Cunningham, A.A.; Balloux, F.; Garner, T.W.; Nichols, R.A. Effects of historic and projected climate change on the range and impacts of an emerging wildlife disease. Glob. Chang. Biol. 2019, 25, 2648–2660. [Google Scholar] [CrossRef]
- Shao, L.; Zhao, J. Isolation of a highly pathogenic spring viraemia of carp virus strain from grass carp (Ctenopharyngodon idella) in late summer, China, 2016. Virus Res. 2017, 238, 183–192. [Google Scholar] [CrossRef]
- Li, J.; Bates, K.A.; Hoang, K.L.; Hector, T.E.; Knowles, S.C.; King, K.C. Experimental temperatures shape host microbiome diversity and composition. Glob. Chang. Biol. 2023, 29, 41–56. [Google Scholar] [CrossRef]
- Bass, D.; Stentiford, G.D.; Wang, H.C.; Koskella, B.; Tyler, C.R. The pathobiome in animal and plant diseases. Trends Ecol. Evol. 2019, 34, 996–1008. [Google Scholar] [CrossRef]
- Gorgoglione, B.; Whipps, C.M.; Stinton, N.; Ito, T.; Dover, C.M.; Baron, S.; Yuasa, K.; Adamek, M.; Verner-Jeffreys, D.; Haenen, O.L.M. Workshop Report: Diseases of Ornamental and Laboratory Fishes. Bull. Eur. Assoc. Fish Pathol. 2022, 41, 192–210. [Google Scholar] [CrossRef]
- McMurtrie, J.; Alathari, S.; Chaput, D.L.; Bass, D.; Ghambi, C.; Nagoli, J.; Delamare-Deboutteville, J.; Mohan, C.V.; Cable, J.; Temperton, B.; et al. Relationships between pond water and tilapia skin microbiomes in aquaculture ponds in Malawi. Aquaculture 2022, 558, 738367. [Google Scholar] [CrossRef]
- Lorgen-Ritchie, M.; Uren Webster, T.; McMurtrie, J.; Bass, D.; Tyler, C.R.; Rowley, A.; Martin, S.A. Microbiomes in the context of developing sustainable intensified aquaculture. Front. Microbiol. 2023, 14, 1200997. [Google Scholar] [CrossRef]
- Ngan, B.N.M.; Heyse, J.; Delamare-Deboutteville, J.; Props, R.; Shelley, C.C. A review of microbiomes in carp polyculture systems. WorldFish Cent. Tech. Rep. 2023, 6, 1–97. [Google Scholar]
- Bell, A.G.; McMurtrie, J.; Bolaños, L.M.; Cable, J.; Temperton, B.; Tyler, C.R. Influence of host phylogeny and water physicochemistry on microbial assemblages of the fish skin microbiome. FEMS Microbiol. Ecol. 2024, 100, fiae021. [Google Scholar] [CrossRef]
- Jin, Y.; Bergmann, S.M.; Mai, Q.; Yang, Y.; Liu, W.; Sun, D.; Chen, Y.; Yu, Y.; Liu, Y.; Cai, W.; et al. Simultaneous isolation and identification of largemouth bass virus and rhabdovirus from moribund largemouth bass (Micropterus salmoides). Viruses 2022, 14, 1643. [Google Scholar] [CrossRef]
- Tao, J.J.; Gui, J.F.; Zhang, Q.Y. Isolation and characterization of a rhabdovirus from co-infection of two viruses in mandarin fish. Aquaculture 2007, 262, 1–9. [Google Scholar] [CrossRef]
- Liu, X.; Zhang, X.; Xu, Z.; Huang, Z.; Zhong, J.; Zhu, Y.; Wei, Y. Isolation, genomic and biological characterizations of a rhabdovirus from mandarin fish (Siniperca chuatsi). Aquaculture 2023, 563, 738894. [Google Scholar] [CrossRef]
- Meng, K.F.; Ding, L.G.; Wu, S.; Wu, Z.B.; Cheng, G.F.; Zhai, X.; Sun, R.H.; Xu, Z. Interactions between commensal microbiota and mucosal immunity in teleost fish during viral infection with SVCV. Front. Immunol. 2021, 12, 654758. [Google Scholar] [CrossRef]
- Wu, Z.B.; Meng, K.F.; Ding, L.G.; Wu, S.; Han, G.K.; Zhai, X.; Sun, R.H.; Yu, Y.Y.; Ji, W.; Xu, Z. Dynamic interaction between mucosal immunity and microbiota drives nose and pharynx homeostasis of common carp (Cyprinus carpio) after SVCV infection. Front. Immunol. 2021, 12, 769775. [Google Scholar] [CrossRef]
- Luo, F.; Song, K.; Chen, W.; Qi, X.; Zhang, Y.; Wang, G.; Ling, F. Longitudinal analysis of changes in the gut microbiota of zebrafish following acute spring viremia of carp virus infection. Aquaculture 2023, 572, 739499. [Google Scholar] [CrossRef]
- Rud, Y.; Zaloilo, O.; Buchatsky, L.; Matras, M.; Steinhagen, D.; Adamek, M. Carp edema virus in Ukraine–The evidence for the furthest east presence of CEV genogroup I in Europe. Aquac. Res. 2023, 29, 101500. [Google Scholar] [CrossRef]
- Pessier, A.P. Hopping over red leg: The metamorphosis of amphibian pathology. Vet. Path. 2017, 54, 355–357. [Google Scholar] [CrossRef] [PubMed]
- Ayres, C.; Acevedo, I.; Monsalve-Carcaño, C.; Thumsová, B.; Bosch, J. Triple Dermocystid-Chytrid Fungus-Ranavirus Co-infection in a Lissotriton helveticus. Eur. J. Wildl. Res. 2020, 66, 41. [Google Scholar] [CrossRef]
- Thumsová, B.; Bosch, J.; Rosa, G.M. Amphibian crisis and the impact of emerging pathogens. In Evolutionary Ecology of Amphibians, 1st ed.; Moreno-Rueda, G., Comas, M., Eds.; CRC Press: Boca Raton, FL, USA, 2023; pp. 54–102. [Google Scholar]
- Ash, L.V.; Campião, K.M.; Teixeira, C.P.; Gotelli, N.J. Ranavirus and Helminth Parasite Co-Infection in Invasive American Bullfrogs in the Atlantic Forest, Brazil. Int. J. Parasitol. Parasites Wildl. 2024, 23, 100924. [Google Scholar] [CrossRef] [PubMed]
- NIH 2024. National Institute of Health (NIH) Guidelines for Research Involving Recombinant or Synthetic Nucleic Acid Molecules. Bethesda, MD. Available online: https://osp.od.nih.gov/wp-content/uploads/NIH_Guidelines.pdf (accessed on 4 June 2024).









| Genotype | Isolate/Strain Identifier | Host Origin (Country Detected in) | Collection Year | Isolate Host (Fish Species) | Reference [Citation] |
|---|---|---|---|---|---|
| Ia | 20070165 | Asia (China) | 2007 | Grass Carp (Ctenopharyngodon idella) | [18] |
| Ia | 20040741 | Asia (China) | 2003 | Common Carp (Cyprinus carpio) | [72] |
| Ia | NC2002 | Asia (USA) | 2002 | Koi (Cyprinus rubrofuscus) | [36] |
| Ib | RHV | Europe (Ukraine) | 1989 | Rainbow trout (Oncorhynchus mykiss) | [43] |
| Ic | P4-7 (or P4) | Europe (Russia) | 1983 | Common Carp | [43] |
| Id | Fijan (or S30) | Europe (Yugoslavia) | 1971 | Common Carp | [33] |
| Virus Challenge Exposure Method | Amphibian Species (Life Stage) | Treatment Group SVCV Genotype (Origin) | SVCV Isolate | Cumulative Mortality a | Standard Deviation | Mortality in Replicate Tanks (#Deaths/# Animals Tested) |
|---|---|---|---|---|---|---|
| Injection | Long-toed salamander (larval to metamorph) | Mock | Neg Control | 0% | ±0% | (0/1, 0/1, 0/1, 0/1) |
| Ia (Asia) | 20070165 | 100% | ±0% | (1/1, 1/1, 1/1, 1/1) | ||
| Ia (Asia) | 20040741 | 100% | ±0% | (1/1, 1/1, 1/1, 1/1) | ||
| Immersion | Pacific tree frog (tadpoles) | Mock | Neg Control | 2% | ±4% | (1/16, 0/17, 0/18) |
| Ia (Asia) | 20040741 | 100% | ±0% | (20/20, 21/21, 20/20) | ||
| Ia (Asia) | NC2002 | 100% | ±0% | (20/20, 23/23, 18/18) | ||
| lb (Europe) | RHV | 100% | ±0% | (20/20, 20/20, 18/18) | ||
| Ic (Europe) | P4-7 | 100% | ±0% | (18/18, 22/22, 20/20) | ||
| ld (Europe) | Fijan | 98% | ±3% | (21/22, 19/19, 21/21) | ||
| Cohabitation (with koi virus-donors) | Pacific tree frog (tadpoles) | Mock | Neg Control | 0% | ±0% | (0/9, 0/10, 0/8) |
| Ia (Asia) | 20040741 | 3% | ±6% | (0/10, 1/9, 0/8) | ||
| Ia (Asia) | NC2002 | 97% | ±6% | (9/10, 10/10, 10/10) | ||
| lb (Europe) | RHV | 33% | ±58% | (0/11, 0/10, 10/10) | ||
| Ic (Europe) | P4-7 | 33% | ±58% | (0/10, 0/11, 10/10) | ||
| ld (Europe) | Fijan | 0% | ±0% | (0/8, 0/10, 0/8) | ||
Disclaimer/Publisher’s Note: The statements, opinions and data contained in all publications are solely those of the individual author(s) and contributor(s) and not of MDPI and/or the editor(s). MDPI and/or the editor(s) disclaim responsibility for any injury to people or property resulting from any ideas, methods, instructions or products referred to in the content. |
© 2024 by the authors. Licensee MDPI, Basel, Switzerland. This article is an open access article distributed under the terms and conditions of the Creative Commons Attribution (CC BY) license (https://creativecommons.org/licenses/by/4.0/).
Share and Cite
Emmenegger, E.J.; Bueren, E.K.; Conway, C.M.; Sanders, G.E.; Hendrix, A.N.; Schroeder, T.; Di Cicco, E.; Pham, P.H.; Lumsden, J.S.; Clouthier, S.C. Host Jump of an Exotic Fish Rhabdovirus into a New Class of Animals Poses a Disease Threat to Amphibians. Viruses 2024, 16, 1193. https://doi.org/10.3390/v16081193
Emmenegger EJ, Bueren EK, Conway CM, Sanders GE, Hendrix AN, Schroeder T, Di Cicco E, Pham PH, Lumsden JS, Clouthier SC. Host Jump of an Exotic Fish Rhabdovirus into a New Class of Animals Poses a Disease Threat to Amphibians. Viruses. 2024; 16(8):1193. https://doi.org/10.3390/v16081193
Chicago/Turabian StyleEmmenegger, Eveline J., Emma K. Bueren, Carla M. Conway, George E. Sanders, A. Noble Hendrix, Tamara Schroeder, Emiliano Di Cicco, Phuc H. Pham, John S. Lumsden, and Sharon C. Clouthier. 2024. "Host Jump of an Exotic Fish Rhabdovirus into a New Class of Animals Poses a Disease Threat to Amphibians" Viruses 16, no. 8: 1193. https://doi.org/10.3390/v16081193
APA StyleEmmenegger, E. J., Bueren, E. K., Conway, C. M., Sanders, G. E., Hendrix, A. N., Schroeder, T., Di Cicco, E., Pham, P. H., Lumsden, J. S., & Clouthier, S. C. (2024). Host Jump of an Exotic Fish Rhabdovirus into a New Class of Animals Poses a Disease Threat to Amphibians. Viruses, 16(8), 1193. https://doi.org/10.3390/v16081193

