A Review of Atypical Cutaneous Histological Manifestations of Herpes Zoster
Abstract
1. Introduction
2. Materials and Methods
3. Atypical VZV Presentations
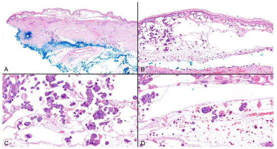
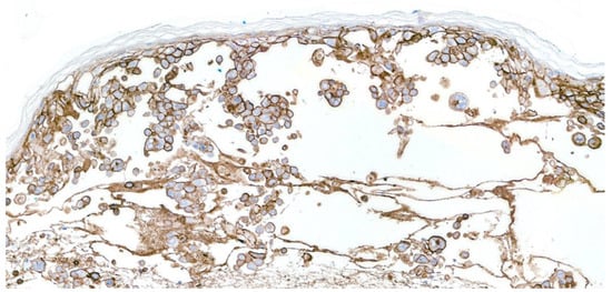
3.1. Varicella-Zoster Folliculitis
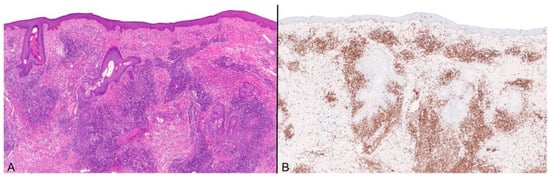
3.2. Pseudolymphoma Associated with Herpes Zoster
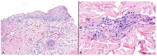
3.3. Herpetic Syringitis
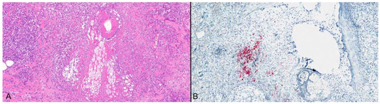
3.4. Varicella-Zoster Vasculitis
3.5. Verrucous Varicella-Zoster Infection
3.6. Isotopic Response, Koebner’s Phenomenon, and Renbök’s Phenomenon
4. Conclusions
Funding
Conflicts of Interest
References
- Crimi, S.; Fiorillo, L.; Bianchi, A.; D’amico, C.; Amoroso, G.; Gorassini, F.; Mastroieni, R.; Marino, S.; Scoglio, C.; Catalano, F.; et al. Herpes Virus, Oral Clinical Signs and QoL: Systematic Review of Recent Data. Viruses 2019, 11, 463. [Google Scholar] [CrossRef] [PubMed]
- Laing, K.J.; Ouwendijk, W.J.D.; Koelle, D.M.; Verjans, G.M.G.M. Immunobiology of Varicella-Zoster Virus Infection. J. Infect. Dis. 2018, 218 (Suppl. S2), S68–S74. [Google Scholar] [CrossRef] [PubMed]
- Babamahmoodi, F.; Alikhani, A.; Ahangarkani, F.; Delavarian, L.; Barani, H.; Babamahmoodi, A. Clinical Manifestations of Herpes Zoster, Its Comorbidities, and Its Complications in North of Iran from 2007 to 2013. Neurol. Res. Int. 2015, 2015, 896098. [Google Scholar] [CrossRef] [PubMed][Green Version]
- Requena, L.; Requena, C. Histopathology of the More Common Viral Skin Infections. Actas Dermo-Sifiliográficas 2010, 101, 201–216. [Google Scholar] [CrossRef] [PubMed]
- Resnik, K.S.; DiLeonardo, M. Herpes incognito. Am. J. Dermatopathol. 2000, 22, 144–150. [Google Scholar] [CrossRef] [PubMed]
- Böer, A.; Herder, N.; Winter, K.; Falk, T. Herpes folliculitis: Clinical, histopathological, and molecular pathologic observations. Br. J. Dermatol. 2006, 154, 743–746. [Google Scholar] [CrossRef] [PubMed]
- Brahmbhatt, S.; Wu, P.A.; Zimarowski, M.J.; Burgin, S. Follicularly-based papules on the thigh of a young woman. Dermatol. Online J. 2016, 22, 1. [Google Scholar] [CrossRef]
- Hoyt, B.; Bhawan, J. Histological Spectrum of Cutaneous Herpes Infections. Am. J. Dermatopathol. 2014, 36, 609–619. [Google Scholar] [CrossRef]
- Nazzaro, G.; Veraldi, S. Herpes zoster incognito: An immunohistochemical diagnosis. An. Bras. Dermatol. 2020, 95, 400–401. [Google Scholar] [CrossRef]
- Wauters, O.; Lebas, E.; Nikkels, A.F. Chronic mucocutaneous herpes simplex virus and varicella zoster virus infections. J. Am. Acad. Dermatol. 2012, 66, e217–e227. [Google Scholar] [CrossRef]
- Nikkels, A.F.; Debrus, S.; Sadzot-Delvaux, C.; Piette, J.; Rentier, B.; Piérard, G.E. Immunohistochemical identification of varicella-zoster virus gene 63-encoded protein (IE63) and late (gE) protein on smears and cutaneous biopsies: Implications for diagnostic use. J. Med Virol. 1995, 47, 342–347. [Google Scholar] [CrossRef] [PubMed]
- Muraki, R.; Iwasaki, T.; Sata, T.; Sato, Y.; Kurata, T. Hair follicle involvement in herpes zoster: Pathway of viral spread from ganglia to skin. Virchows Arch. 1996, 428, 275–280. [Google Scholar] [CrossRef]
- Leinweber, B.; Kerl, H.; Cerroni, L. Histopathologic features of cutaneous herpes virus infections (herpes simplex, herpes varicella/zoster): A broad spectrum of presentations with common pseudolymphomatous aspects. Am. J. Surg. Pathol. 2006, 30, 50–58. [Google Scholar] [CrossRef] [PubMed]
- Nikkels, A.F.; Piérard, G.E. Necrotizing varicella zoster virus folliculitis. Eur. J Dermatol. 2003, 13, 587–589. [Google Scholar] [PubMed]
- Shaigany, S.; Dabela, E.; Husain, S.; Grossman, M.E. Herpetic zoster folliculitis in the immunocompromised host. JAAD Case Rep. 2015, 1, 38–40. [Google Scholar] [CrossRef][Green Version]
- Blair, J.; Kutzner, H.; McCalmont, T. Herpetic Folliculitis is Usually a Consequence of Varicella Zoster Virus Infection. J. Cutan. Pathol. 2005, 32, 76. [Google Scholar] [CrossRef]
- Walsh, N.; Boutilier, R.; Glasgow, D.; Shaffelburg, M. Exclusive Involvement of Folliculosebaceous Units by Herpes: A Reflection of Early Herpes Zoster. Am. J. Dermatopathol. 2005, 27, 189. [Google Scholar] [CrossRef]
- Tilley, D.H.; Satter, E.K.; Kakimoto, C.V.; Lederman, E.R. Disseminated Verrucous Varicella Zoster With Exclusive Follicular Involvement. Arch Dermatol. 2012, 148, 405–407. [Google Scholar] [CrossRef] [PubMed]
- Crowson, A.N.; Saab, J.; Magro, C.M. Folliculocentric Herpes: A Clinicopathological Study of 28 Patients. Am. J. Dermatopathol. 2017, 39, 89–94. [Google Scholar] [CrossRef]
- Werner, B.; Massone, C.; Kerl, H.; Cerroni, L. Large CD30-positive cells in benign, atypical lymphoid infiltrates of the skin. J. Cutan. Pathol. 2008, 35, 1100–1107. [Google Scholar] [CrossRef]
- Mitteldorf, C.; Kempf, W. Cutaneous pseudolymphoma—A review on the spectrum and a proposal for a new classification. J. Cutan. Pathol. 2020, 47, 76–97. [Google Scholar] [CrossRef] [PubMed]
- Shiohara, J.; Koga, H.; Uhara, H.; Takata, M.; Saida, T.; Uehara, T. Herpes zoster histopathologically mimicking CD30-positive anaplastic large cell lymphoma. J. Eur. Acad. Dermatol. Venereol. 2009, 23, 618–619. [Google Scholar] [CrossRef] [PubMed]
- Sangueza, O.P.; Gordon, M.D.; White, C.R., Jr. Subtle clues to the diagnosis of the herpesvirus by light microscopy. Herpetic syringitis. Am. J. Dermatopathol. 1995, 17, 163–168. [Google Scholar] [PubMed]
- Muñoz, E.; Valks, R.; Fernández-Herrera, J.; Fraga, J. Herpetic syringitis associated with eccrine squamous syringometaplasia in HIV-positive patients. J. Cutan. Pathol. 1997, 24, 425–428. [Google Scholar] [CrossRef] [PubMed]
- Rinder, H.M.; Murphy, G.F. Eccrine Duct Involvement by Herpes Zoster. Arch. Dermatol. 1984, 120, 261–262. [Google Scholar] [CrossRef]
- Alonso-Pérez, A.; Fraga, J.; Delgado, Y.; Aragüés, M.; Nam-Cha, S.; García-Díez, A. Nodular Herpes Zoster with Herpetic Syringitis and No Epidermal Involvement in a Patient with Burkitt Lymphoma. Am. J. Dermatopathol. 2006, 28, 194–196. [Google Scholar] [CrossRef] [PubMed]
- Awzy, M.M.; El-Enany, G.; Abdelraouf, S.M.A.; Abdelkader, H.A. Recurrent papulonodular herpes zoster, with syringitis, folliculitis, and vasculitis as clues to the diagnosis. J. Cutan. Pathol. 2024, 51, 205–208. [Google Scholar]
- Nagel, M.A.; Bubak, A.N. Varicella Zoster Virus Vasculopathy. J. Infect. Dis. 2018, 218 (Suppl. S2), S107–S112. [Google Scholar] [CrossRef] [PubMed]
- Bakradze, E.; Kirchoff, K.F.; Antoniello, D.; Springer, M.V.; Mabie, P.C.; Esenwa, C.C.; Labovitz, D.L.; Liberman, A.L. Varicella Zoster Virus Vasculitis and Adult Cerebrovascular Disease. Neurohospitalist 2019, 9, 203–208. [Google Scholar] [CrossRef]
- Grahn, A.; Studahl, M. Varicella-zoster virus infections of the central nervous system—Prognosis, diagnostics and treatment. J. Infect. 2015, 71, 281–293. [Google Scholar] [CrossRef]
- Abendroth, A.; Slobedman, B. Varicella-Zoster Virus and Giant Cell Arteritis. J. Infect. Dis. 2021, 223, 4–6. [Google Scholar] [CrossRef] [PubMed]
- Cohen, C.; Trapuckd, S. Leukocytoclastic vasculitis associated with cutaneous infection by herpesvirus. Am. J. Dermatopathol. 1984, 6, 561–566. [Google Scholar] [CrossRef] [PubMed]
- Burgard, B.; Smola, S.; Vogt, T.; Müller, C.S.L. Small Vessel Vasculitis in Herpes Zoster—Discussion of Current Aspects of Varicella Zoster Virus Vasculopathy. Am. J. Dermatopathol. 2018, 40, 602–604. [Google Scholar] [CrossRef]
- Uhoda, I.; Piérard-Franchimont, C.; Piérard, G.E. Varicella-zoster virus vasculitis: A case of recurrent varicella without epidermal involvement. Dermatology 2000, 200, 173–175. [Google Scholar] [CrossRef]
- Erhard, H.; Rünger, T.M.; Kreienkamp, M.; Müller, J.; Müller-Hermelink, H.-K.; Bröcker, E.-B. Atypical varicella-zoster virus infection in an immunocompromised patient: Result of a virus-induced vasculitis. J. Am. Acad. Dermatol. 1995, 32, 908–911. [Google Scholar] [CrossRef]
- Clark, A.K.; Dhossche, J.; Korcheva, V.B.; Keller, J.J. Herpes zoster presenting as unilateral vasculitis. Dermatol. Online J. 2018, 24, 11. [Google Scholar] [CrossRef]
- Álvarez-Salafranca, M.; Garcés-Horna, V.; García-García, M.; Ara-Martín, M. Atypical vasculopathic varicella-zoster infection mimicking cutaneous small-vessel vasculitis. Int. J. Dermatol. 2020, 59, e214–e216. [Google Scholar] [CrossRef] [PubMed]
- Nelson, J.H.; Foo, C.; Hammock, L.; Lucero, O. Herpes Zoster Presenting As Cutaneous Vasculitis in the Upper Extremity. Cureus 2021, 13, e20391. [Google Scholar] [CrossRef]
- Furuoka, K.; Fukumoto, T.; Masuda, Y.; Tanigawa, A.; Kosaka, H.; Nagano, T. Segmental cutaneous leukocytoclastic vasculitis associated with herpes zoster: A case report and literature review. Dermatol. Rep. 2023, 15, 9709. [Google Scholar] [CrossRef]
- Nikkels, A.F.; Snoeck, R.; Rentier, B.; Pierard, G. Chronic verrucous varicella zoster virus skin lesions: Clinical, histological, molecular and therapeutic aspects. Clin. Exp. Dermatol. 1999, 24, 346–353. [Google Scholar] [CrossRef]
- Smith, K.J.; Skelton, H.; Frissman, D.M.; Angritt, P. Verrucous lesions secondary to DNA viruses in patients infected with the human immunodeficiency virus in association with increased factor XIIIa-positive dermal dendritic cells. The Military Medical Consortium of Applied Retroviral Research Washington, D.C. J. Am. Acad. Dermatol. 1992, 27, 943–950. [Google Scholar] [CrossRef] [PubMed]
- Jones, S.V.; McGIBBON, D.; Bradbeer, C. Chronic verrucous varicella-zoster infection in a patient with AIDS. Clin. Exp. Dermatol. 1994, 19, 327–329. [Google Scholar] [CrossRef] [PubMed]
- LeBoit, P.E.; Límová, M.; Yen, T.S.; Palefsky, J.M.; White, C.R., Jr.; Berger, T.G. Chronic verrucous varicella-zoster virus infection in patients with the acquired immunodeficiency syndrome (AIDS). Histologic and molecular biologic findings. Am. J. Dermatopathol. 1992, 14, 1–7. [Google Scholar] [CrossRef] [PubMed]
- Veraldi, S.; Gnecchi, L.; Zorzi, F. Verrucous-crusted herpes zoster in an immunocompetent patient. Acta Dermato-Venereologica 1998, 78, 236–237. [Google Scholar]
- Kroth, J.; Tischer, J.; Samtleben, W.; Weiss, C.; Ruzicka, T.; Wollenberg, A. Isotopic response, Köbner phenomenon and Renbök phenomenon following herpes zoster. J. Dermatol. 2011, 38, 1058–1061. [Google Scholar] [CrossRef] [PubMed]







Disclaimer/Publisher’s Note: The statements, opinions and data contained in all publications are solely those of the individual author(s) and contributor(s) and not of MDPI and/or the editor(s). MDPI and/or the editor(s) disclaim responsibility for any injury to people or property resulting from any ideas, methods, instructions or products referred to in the content. |
© 2024 by the authors. Licensee MDPI, Basel, Switzerland. This article is an open access article distributed under the terms and conditions of the Creative Commons Attribution (CC BY) license (https://creativecommons.org/licenses/by/4.0/).
Share and Cite
Daruish, M.; Cazzato, G.; Markiewicz, D.; Taibjee, S.; Fortarezza, F.; Calonje, E. A Review of Atypical Cutaneous Histological Manifestations of Herpes Zoster. Viruses 2024, 16, 1035. https://doi.org/10.3390/v16071035
Daruish M, Cazzato G, Markiewicz D, Taibjee S, Fortarezza F, Calonje E. A Review of Atypical Cutaneous Histological Manifestations of Herpes Zoster. Viruses. 2024; 16(7):1035. https://doi.org/10.3390/v16071035
Chicago/Turabian StyleDaruish, Maged, Gerardo Cazzato, Dorota Markiewicz, Saleem Taibjee, Francesco Fortarezza, and Eduardo Calonje. 2024. "A Review of Atypical Cutaneous Histological Manifestations of Herpes Zoster" Viruses 16, no. 7: 1035. https://doi.org/10.3390/v16071035
APA StyleDaruish, M., Cazzato, G., Markiewicz, D., Taibjee, S., Fortarezza, F., & Calonje, E. (2024). A Review of Atypical Cutaneous Histological Manifestations of Herpes Zoster. Viruses, 16(7), 1035. https://doi.org/10.3390/v16071035

