Identification of Three Novel Linear B-Cell Epitopes in Non-Structural Protein 3 of Porcine Epidemic Diarrhea Virus Using Monoclonal Antibodies
Abstract
1. Introduction
2. Materials and Methods
2.1. Virus, Cells, and Animals
2.2. Gene Cloning, Expression and Purification of Recombinant Nsp3 Protein
2.3. Experiment of Animals
2.4. Indirect ELISA Assay
2.5. Preparation of mAbs
2.6. IFA
2.7. Western Blotting
2.8. Isotype Determination of MAbs
2.9. Overlapping ELISA
2.10. Antigen Epitope Analysis
2.11. Biological Information Analysis
3. Results
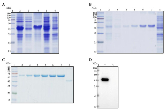
3.1. Expression and Purification of the Recombinant Nsp3 Proteins
3.2. Preparation of Nsp3 mAbs and Establishment of Genetic Mapping of MAbs
3.3. Identification of Nsp3 mAbs
3.4. Overlapping ELISA for Mapping of the Epitopes
3.5. Identification of the Epitopes of PEDV Nsp3 Protein
3.6. Homology Analysis of Epitope of Different PEDV Genotypic Strains
3.7. Prediction of the Spatial Structures and Analysis of Epitopes
4. Discussion
Supplementary Materials
Author Contributions
Funding
Institutional Review Board Statement
Informed Consent Statement
Data Availability Statement
Conflicts of Interest
References
- Kong, N.; Shan, T.; Wang, H.; Jiao, Y.; Zuo, Y.; Li, L.; Tong, W.; Yu, L.; Jiang, Y.; Zhou, Y.; et al. BST2 suppresses porcine epidemic diarrhea virus replication by targeting and degrading virus nucleocapsid protein with selective autophagy. Autophagy 2020, 16, 1737–1752. [Google Scholar] [CrossRef] [PubMed]
- Jang, G.; Lee, D.; Shin, S.; Lim, J.; Won, H.; Eo, Y.; Kim, C.-H.; Lee, C. Porcine epidemic diarrhea virus: An update overview of virus epidemiology, vaccines, and control strategies in South Korea. J. Vet. Sci. 2023, 24, e58. [Google Scholar] [CrossRef] [PubMed]
- Qin, B.; Li, Z.; Tang, K.; Wang, T.; Xie, Y.; Aumonier, S.; Wang, M.; Yuan, S.; Cui, S. Identification of the SARS-unique domain of SARS-CoV-2 as an antiviral target. Nat. Commun. 2023, 14, 3999. [Google Scholar] [CrossRef]
- Wolff, G.; Limpens, R.W.A.L.; Zevenhoven-Dobbe, J.C.; Laugks, U.; Zheng, S.; de Jong, A.W.M.; Koning, R.I.; Agard, D.A.; Grunewald, K.; Koster, A.J.; et al. A molecular pore spans the double membrane of the coronavirus replication organelle. Science 2020, 369, 1395–1398. [Google Scholar] [CrossRef]
- Hurst, K.R.; Ye, R.; Goebel, S.J.; Jayaraman, P.; Masters, P.S. An Interaction between the Nucleocapsid Protein and a Component of the Replicase-Transcriptase Complex Is Crucial for the Infectivity of Coronavirus Genomic RNA. J. Virol. 2010, 84, 10276–10288. [Google Scholar] [CrossRef]
- Si, F.; Song, S.; Yu, R.; Li, Z.; Wei, W.; Wu, C. Coronavirus accessory protein ORF3 biology and its contribution to viral behavior and pathogenesis. Iscience 2023, 26, 106280. [Google Scholar] [CrossRef]
- Li, M.; Pan, Y.; Xi, Y.; Wang, M.; Zeng, Q. Insights and progress on epidemic characteristics, genotyping, and preventive measures of PEDV in China: A review. Microb. Pathog. 2023, 181, 106185. [Google Scholar] [CrossRef]
- Stevenson, G.W.; Hoang, H.; Schwartz, K.J.; Burrough, E.R.; Sun, D.; Madson, D.; Cooper, V.L.; Pillatzki, A.; Gauger, P.; Schmitt, B. Emergence of Porcine epidemic diarrhea virus in the United States: Clinical signs, lesions, and viral genomic sequences. J. Vet. Diagn. Investig. 2013, 25, 649–654. [Google Scholar] [CrossRef] [PubMed]
- Su, M.; Li, C.; Qi, S.; Yang, D.; Jiang, N.; Yin, B.; Guo, D.; Kong, F.; Yuan, D.; Feng, L.; et al. A molecular epidemiological investigation of PEDV in China: Characterization of co-infection and genetic diversity of S1-based genes. Transbound. Emerg. Dis. 2020, 67, 1129–1140. [Google Scholar] [CrossRef]
- Wang, Q.; Vlasova, A.N.; Kenney, S.P.; Saif, L.J. Emerging and re-emerging coronaviruses in pigs. Curr. Opin. Virol. 2019, 34, 39–49. [Google Scholar] [CrossRef] [PubMed]
- Hanack, K.; Messerschmidt, K.; Listek, M. Antibodies and Selection of Monoclonal Antibodies. In Protein Targeting Compounds: Prediction, Selection and Activity of Specific Inhibitors; Boldicke, T., Ed.; Springer: Berlin/Heidelberg, Germany, 2016; Volume 917, pp. 11–22. [Google Scholar]
- Liu, J.; Shi, H.; Chen, J.; Zhang, X.; Shi, D.; Ji, Z.; Jing, Z.; Feng, L. A New Neutralization Epitope in the Spike Protein of Porcine Epidemic Diarrhea Virus. Int. J. Mol. Sci. 2022, 23, 9674. [Google Scholar] [CrossRef]
- Kong, N.; Meng, Q.; Jiao, Y.; Wu, Y.; Zuo, Y.; Wang, H.; Sun, D.; Dong, S.; Zhai, H.; Tong, W.; et al. Identification of a novel B-cell epitope in the spike protein of porcine epidemic diarrhea virus. Virol. J. 2020, 17, 1–9. [Google Scholar] [CrossRef] [PubMed]
- Yang, W.; Chen, W.; Huang, J.; Jin, L.; Zhou, Y.; Chen, J.; Zhang, N.; Wu, D.; Sun, E.; Liu, G. Generation, identification, and functional analysis of monoclonal antibodies against porcine epidemic diarrhea virus nucleocapsid. Appl. Microbiol. Biotechnol. 2019, 103, 3705–3714. [Google Scholar] [CrossRef] [PubMed]
- Wang, K.; Xie, C.; Zhang, J.; Zhang, W.; Yang, D.; Yu, L.; Jiang, Y.; Yang, S.; Gao, F.; Yang, Z.; et al. The Identification and Characterization of Two Novel Epitopes on the Nucleocapsid Protein of the Porcine Epidemic Diarrhea Virus. Sci. Rep. 2016, 6, 39010. [Google Scholar] [CrossRef] [PubMed]
- Zhao, Y.; Fan, B.; Xue, J.; Guo, R.; Li, J.; Zhou, J.; Song, X.; Zhang, X.; Tao, S.; Li, B. Characterization and epitope mapping of monoclonal antibodies against PEDV N protein. Virology 2023, 579, 29–37. [Google Scholar] [CrossRef] [PubMed]
- Kristen-Burmann, C.; Rogger, P.; Veiga, I.B.; Riebesehl, S.; Rappe, J.; Ebert, N.; Sautter, C.A.A.; Kelly, J.N.N.; Stalder, H.; Ehmann, R.; et al. Reverse Genetic Assessment of the Roles Played by the Spike Protein and ORF3 in Porcine Epidemic Diarrhea Virus Pathogenicity. J. Virol. 2023, 97, e01964-22. [Google Scholar] [CrossRef] [PubMed]
- Wang, X.W.; Fang, L.L.; Zhan, J.; Shi, X.L.; Liu, Q.Y.; Lu, Q.Q.; Bai, J.; Li, Y.F.; Jiang, P. Identification and characterization of linear B cell epitopes on the nucleocapsid protein of porcine epidemic diarrhea virus using monoclonal antibodies. Virus Res. 2020, 281, 197912. [Google Scholar] [CrossRef] [PubMed]
- Woo, P.C.Y.; Lau, S.K.P.; Lam, C.S.F.; Lau, C.C.Y.; Tsang, A.K.L.; Lau, J.H.N.; Bai, R.; Teng, J.L.L.; Tsang, C.C.C.; Wang, M.; et al. Discovery of Seven Novel Mammalian and Avian Coronaviruses in the Genus Deltacoronavirus Supports Bat Coronaviruses as the Gene Source of Alphacoronavirus and Betacoronavirus and Avian Coronaviruses as the Gene Source of Gammacoronavirus and Deltacoronavirus. J. Virol. 2012, 86, 3995–4008. [Google Scholar]
- Neuman, B.W.; Joseph, J.S.; Saikatendu, K.S.; Serrano, P.; Chatterjee, A.; Johnson, M.A.; Liao, L.; Klaus, J.P.; Yates, J.R., III; Wuethrich, K.; et al. Proteomics analysis unravels the functional repertoire of coronavirus nonstructural protein 3. J. Virol. 2008, 82, 5279–5294. [Google Scholar] [CrossRef]
- Chu, H.-F.; Cheng, S.-C.; Sun, C.-Y.; Chou, C.-Y.; Lin, T.-H.; Chen, W.-Y. Structural and Biochemical Characterization of Porcine Epidemic Diarrhea Virus Papain-Like Protease 2. J. Virol. 2022, 96, e01372-21. [Google Scholar] [CrossRef]
- Neuman, B.W. Bioinformatics and functional analyses of coronavirus nonstructural proteins involved in the formation of replicative organelles. Antiviral Res. 2016, 135, 97–107. [Google Scholar] [CrossRef]
- Ricciardi, S.; Guarino, A.M.; Giaquinto, L.; Polishchuk, E.V.; Santoro, M.; Di Tullio, G.; Wilson, C.; Panariello, F.; Soares, V.C.; Dias, S.S.G.; et al. The role of NSP6 in the biogenesis of the SARS-CoV-2 replication organelle. Nature 2022, 606, 761–768. [Google Scholar] [CrossRef] [PubMed]
- Sanders, B.; Pokhrel, S.; Labbe, A.; Mathews, I.; Cooper, C.; Davidson, R.; Phillips, G.; Weiss, K.; Zhang, Q.; O’Neill, H.; et al. Potent and Selective Covalent Inhibition of the Papain-like Protease from SARS-CoV-2. Nat. Commun. 2023, 14. [Google Scholar] [CrossRef] [PubMed]
- Xing, Y.; Chen, J.; Tu, J.; Zhang, B.; Chen, X.; Shi, H.; Baker, S.C.; Feng, L.; Chen, Z. The papain-like protease of porcine epidemic diarrhea virus negatively regulates type I interferon pathway by acting as a viral deubiquitinase. J. Gen. Virol. 2013, 94, 1554–1567. [Google Scholar] [CrossRef]
- Li, Y.; Pustovalova, Y.; Shi, W.; Gorbatyuk, O.; Sreeramulu, S.; Schwalbe, H.; Hoch, J.C.; Hao, B. Crystal structure of the CoV-Y domain of SARS-CoV-2 nonstructural protein 3. Sci. Rep. 2023, 13, 2890. [Google Scholar] [CrossRef] [PubMed]
- Klatte, N.; Shields, D.C.C.; Agoni, C. Modelling the Transitioning of SARS-CoV-2 nsp3 and nsp4 Lumenal Regions towards a More Stable State on Complex Formation. Int. J. Mol. Sci. 2023, 24, 720. [Google Scholar] [CrossRef]
- Williams, J.M.M.; Chen, Y.-J.; Cho, W.J.; Tai, A.W.W.; Tsai, B. Reticulons promote formation of ER-derived double-membrane vesicles that facilitate SARS-CoV-2 replication. J. Cell. Biol. 2023, 222, e202203060. [Google Scholar] [CrossRef] [PubMed]
- Ong, E.; Wong, M.U.; Huffman, A.; He, Y. COVID-19 Coronavirus Vaccine Design Using Reverse Vaccinology and Machine Learning. Front. Immunol. 2020, 11, 1581. [Google Scholar] [CrossRef] [PubMed]
- Liu, X.; Zhang, Q.; Zhang, L.; Zhou, P.; Yang, J.; Fang, Y.; Dong, Z.; Zhao, D.; Li, W.; Feng, J.; et al. A newly isolated Chinese virulent genotype GIIb porcine epidemic diarrhea virus strain: Biological characteristics, pathogenicity and immune protective effects as an inactivated vaccine candidate. Virus Res. 2019, 259, 18–27. [Google Scholar] [CrossRef]
- Liu, X.; Zhang, L.; Zhang, Q.; Zhou, P.; Fang, Y.; Zhao, D.; Feng, J.; Li, W.; Zhang, Y.; Wang, Y. Evaluation and comparison of immunogenicity and cross-protective efficacy of two inactivated cell culture-derived GIIa- and GIIb-genotype porcine epidemic diarrhea virus vaccines in suckling piglets. Vet. Microbiol. 2019, 230, 278–282. [Google Scholar] [CrossRef]
- Gerdts, V.; Zakhartchouk, A. Vaccines for porcine epidemic diarrhea virus and other swine coronaviruses. Vet. Microbiol. 2017, 206, 45–51. [Google Scholar] [CrossRef]
- Li, W.T.; Li, H.; Liu, Y.B.; Pan, Y.F.; Deng, F.; Song, Y.H.; Tang, X.B.; He, Q.G. New Variants of Porcine Epidemic Diarrhea Virus, China, 2011. Emerg. Infect. Dis. 2012, 18, 1350–1353. [Google Scholar] [CrossRef]
- Peng, P.; Boerma, A.; Regts, J.; Meijerhof, T.; Wilschut, J.; Nijman, H.W.; Daemen, T. Alphavirus-based Vaccines Encoding Nonstructural Proteins of Hepatitis C Virus Induce Robust and Protective T-cell Responses. Mol. Ther. 2014, 22, 881–890. [Google Scholar]
- Reeder, J.E.; Kwak, Y.-T.; McNamara, R.P.; Forst, C.V.; D’Orso, I. HIV Tat controls RNA Polymerase II and the epigenetic landscape to transcriptionally reprogram target immune cells. Elife 2015, 4, e08955. [Google Scholar] [CrossRef]
- Sun, X.X.; Quan, L.; Chen, R.A.; Liu, D.X. Direct Interaction of Coronavirus Nonstructural Protein 3 with Melanoma Differentiation-Associated Gene 5 Modulates Type I Interferon Response during Coronavirus Infection. Int. J. Mol. Sci. 2022, 23, 11692. [Google Scholar] [CrossRef]
- Lei, X.B.; Dong, X.J.; Ma, R.Y.; Wang, W.J.; Xiao, X.; Tian, Z.Q.; Wang, C.H.; Wang, Y.; Li, L.; Ren, L.L.; et al. Activation and evasion of type I interferon responses by SARS-CoV-2. Nat. Commun. 2020, 11, 11692. [Google Scholar] [CrossRef]
- García-Sastre, A. Ten Strategies of Interferon Evasion by Viruses. Cell Host Microbe 2017, 22, 176–184. [Google Scholar] [CrossRef] [PubMed]
- Russo, L.C.; Tomasin, R.; Matos, I.A.; Manucci, A.C.; Sowa, S.T.; Dale, K.; Caldecott, K.W.; Lehtiö, L.; Schechtman, D.; Meotti, F.C.; et al. The SARS-CoV-2 Nsp3 macrodomain reverses PARP9/DTX3L-dependent ADP-ribosylation induced by interferon signaling. J. Biol. Chem. 2021, 297. [Google Scholar] [CrossRef] [PubMed]
- Moustaqil, M.; Ollivier, E.; Chiu, H.P.; Van Tol, S.; Rudolffi-Soto, P.; Stevens, C.; Bhumkar, A.; Hunter, D.J.B.; Freiberg, A.N.; Jacques, D.; et al. SARS-CoV-2 proteases PLpro and 3CLpro cleave IRF3 and critical modulators of inflammatory pathways (NLRP12 and TAB1): Implications for disease presentation across species. Emerg. Microbes Infect. 2021, 10, 178–195. [Google Scholar] [CrossRef] [PubMed]
- Chen, X.J.; Yang, X.X.; Zheng, Y.; Yang, Y.D.; Xing, Y.L.; Chen, Z.B. SARS coronavirus papain-like protease inhibits the type I interferon signaling pathway through interaction with the STING-TRAF3-TBK1 complex. Protein Cell 2014, 5, 369–381. [Google Scholar] [CrossRef] [PubMed]
- Yang, X.X.; Chen, X.J.; Bian, G.X.; Tu, J.; Xing, Y.L.; Wang, Y.Y.; Chen, Z.B. Proteolytic processing, deubiquitinase and interferon antagonist activities of Middle East respiratory syndrome coronavirus papain-like protease. J. General. Virol. 2014, 95, 614–626. [Google Scholar] [CrossRef]
- Sun, L.; Xing, Y.L.; Chen, X.J.; Zheng, Y.; Yang, Y.D.; Nichols, D.B.; Clementz, M.A.; Banach, B.S.; Li, K.; Baker, S.C.; et al. Coronavirus Papain-like Proteases Negatively Regulate Antiviral Innate Immune Response through Disruption of STING-Mediated Signaling. PLoS ONE 2012, 7, e30802. [Google Scholar] [CrossRef]
- Wang, G.; Chen, G.; Zheng, D.H.; Cheng, G.H.; Tang, H. PLP2 of Mouse Hepatitis Virus A59 (MHV-A59) Targets TBK1 to Negatively Regulate Cellular Type I Interferon Signaling Pathway. PLoS ONE 2011, 6, e17192. [Google Scholar] [CrossRef] [PubMed]
- Wang, Y.N.; Sun, A.Y.; Sun, Y.; Zhang, S.J.; Xia, T.; Guo, T.T.; Hao, Z.Y.; Sun, L.; Jiang, Y.P.; Qiao, X.Y.; et al. Porcine transmissible gastroenteritis virus inhibits NF-κB activity via nonstructural protein 3 to evade host immune system. Virol. J. 2019, 16, 1–13. [Google Scholar] [CrossRef] [PubMed]
- Peng, S.W.; Wang, Y.M.; Zhang, Y.; Song, X.; Zou, Y.F.; Li, L.X.; Zhao, X.H.; Yin, Z.Q. Current Knowledge on Infectious Bronchitis Virus Non-structural Proteins: The Bearer for Achieving Immune Evasion Function. Front. Vet. Sci. 2022, 9, 820625. [Google Scholar] [CrossRef] [PubMed]





| Primers | Sequence (5′-3′) | Production Size (bp) |
|---|---|---|
| Nsp3-F | CCGAATTCATGGATGTGCCTAAGTACTACA | 903 |
| Nsp3-R | CGCTCGAGTGTGTCATACTTTATCTGATGAC | |
| Nsp3-F | CCGAATTCATGGATGTGCCTAAGTACTACA | 453 |
| F1-R | CCCTCGAGAAGCCCCATTGCAGG | |
| F2-F | CCGAATTCACAAATGTAGAGTCTGAAGTT | 420 |
| F2-R | CCCTCGAGTTCCAAAGTTGGCGTCAT | |
| F3-F | CCGAATTCCTTTTTAGTGCTGGTAGAGTT | 450 |
| Nsp3-R | CGCTCGAGTGTGTCATACTTTATCTGATGAC | |
| F4-F | CCGAATTCGAGGATGACGGTCTTAAT | 450 |
| Nsp3-R | CGCTCGAGTGTGTCATACTTTATCTGATGAC | |
| F5-F | CCGAATTCAAGGTGGCAGACGTG | 480 |
| Nsp3-R | CGCTCGAGTGTGTCATACTTTATCTGATGAC | |
| F6-F | CCGAATTCGGTGATGAAGTAGACTCC | 510 |
| Nsp3-R | CGCTCGAGTGTGTCATACTTTATCTGATGAC | |
| F7-F | CCGAATTCGTTGTTACTGATGCGC | 540 |
| Nsp3-R | CGCTCGAGTGTGTCATACTTTATCTGATGAC | |
| F8-F | CCGAATTCACGATCTCACAGGATCTG | 570 |
| Nsp3-R | CGCTCGAGTGTGTCATACTTTATCTGATGAC | |
| F9-F | CGGAATTCATGGTTTCTCAGTGGC | 600 |
| Nsp3-R | CGCTCGAGTGTGTCATACTTTATCTGATGAC | |
| F10-F | CCGAATTCGAAGGTGGCACCGAT | 630 |
| Nsp3-R | CGCTCGAGTGTGTCATACTTTATCTGATGAC | |
| F11-F | CCGAATTCCCTAAGTACTACATCTATGATGAG | 660 |
| Nsp3-R | CGCTCGAGTGTGTCATACTTTATCTGATGAC | |
| F12-F | CCGAATTCCTTGGCATCGTTGATGAC | 480 |
| Nsp3-R | CGCTCGAGTGTGTCATACTTTATCTGATGAC | |
| F13-F | CCGAATTCGTTACTTCTACCTTGGTG | 510 |
| Nsp3-R | CGCTCGAGTGTGTCATACTTTATCTGATGAC | |
| F14-F | CCGAATTCGTTTTAAGACAATCTCATAACAAC | 540 |
| Nsp3-R | CGCTCGAGTGTGTCATACTTTATCTGATGAC | |
| F15-F | CCGAATTCTTTGACTTTGCAAGCTAT | 570 |
| Nsp3-R | CGCTCGAGTGTGTCATACTTTATCTGATGAC | |
| F16-F | CCGAATTCCCTTCCACAGTTACTAAGGAT | 600 |
| Nsp3-R | CGCTCGAGTGTGTCATACTTTATCTGATGAC | |
| F17-F | CCGAATTCGCCGCAACCTTGTCC | 630 |
| Nsp3-R | CGCTCGAGTGTGTCATACTTTATCTGATGAC | |
| F2-F | CCGAATTCACAAATGTAGAGTCTGAAGTT | 450 |
| F18-R | CCCTCGAGACACTGAGCACAAGC | |
| F2-F | CCGAATTCACAAATGTAGAGTCTGAAGTT | 480 |
| F19-R | CCCTCGAGACTTTTAAAAGTGTGCATCAA | |
| F2-F | CCGAATTCACAAATGTAGAGTCTGAAGTT | 510 |
| F20-R | CCCTCGAGATCTCGACAAAAGATGCC | |
| F2-F | CCGAATTCACAAATGTAGAGTCTGAAGTT | 540 |
| F21-R | CCCTCGAGAACCAAAGAATCCAAGGA | |
| F2-F | CCGAATTCACAAATGTAGAGTCTGAAGTT | 570 |
| F22-R | CCCTCGAGTATAAAAGCAGCCGCACA | |
| F2-F | CCGAATTCACAAATGTAGAGTCTGAAGTT | 600 |
| F23-R | CCCTCGAGGTTAGTGACATAATGACCACT | |
| F2-F | CCGAATTCACAAATGTAGAGTCTGAAGTT | 630 |
| F24-R | CCCTCGAGACCATCAATAGCCATAGC |
| Monoclonal Antibody | Antibody of Hybridoma Cells Cultural Supernatant Potency | Ascites Potency | Heavy Chain | Light Chain | ||||
|---|---|---|---|---|---|---|---|---|
| F5 | F10 | F15 | F20 | F25 | ||||
| 5A3 | 1:204,800 | 1:204,800 | 1:204,800 | 1:204,800 | 1:204,800 | 1:102,4000 | IgG1 | Kappa |
| 7G4 | 1:12,800 | 1:12,800 | 1:12,800 | 1:25,600 | 1:25,600 | 1:102,4000 | IgG1 | Kappa |
| 2D7 | 1:3200 | 1:3200 | 1:3200 | 1:3200 | 1:3200 | 1:102,4000 | IgG1 | Kappa |
| Monoclonal Antibodies | OD450 and the Overlapping Coefficients | ||
|---|---|---|---|
| 5A3 | 7G4 | 2D7 | |
| 5A3 | 2.145 (50%) | 2.632 (54%) | 2.326 (59%) |
| 7G4 | 2.830 (58%) | 2.726 (50%) | 2.677 (59%) |
| 2D7 | 2.415 (61%) | 2.630 (58%) | 1.784 (50%) |
Disclaimer/Publisher’s Note: The statements, opinions and data contained in all publications are solely those of the individual author(s) and contributor(s) and not of MDPI and/or the editor(s). MDPI and/or the editor(s) disclaim responsibility for any injury to people or property resulting from any ideas, methods, instructions or products referred to in the content. |
© 2024 by the authors. Licensee MDPI, Basel, Switzerland. This article is an open access article distributed under the terms and conditions of the Creative Commons Attribution (CC BY) license (https://creativecommons.org/licenses/by/4.0/).
Share and Cite
Ye, M.; Zhu, H.; Yang, Z.; Gao, Y.; Bai, J.; Jiang, P.; Liu, X.; Wang, X. Identification of Three Novel Linear B-Cell Epitopes in Non-Structural Protein 3 of Porcine Epidemic Diarrhea Virus Using Monoclonal Antibodies. Viruses 2024, 16, 424. https://doi.org/10.3390/v16030424
Ye M, Zhu H, Yang Z, Gao Y, Bai J, Jiang P, Liu X, Wang X. Identification of Three Novel Linear B-Cell Epitopes in Non-Structural Protein 3 of Porcine Epidemic Diarrhea Virus Using Monoclonal Antibodies. Viruses. 2024; 16(3):424. https://doi.org/10.3390/v16030424
Chicago/Turabian StyleYe, Mingjun, Huixin Zhu, Zhen Yang, Yanni Gao, Juan Bai, Ping Jiang, Xing Liu, and Xianwei Wang. 2024. "Identification of Three Novel Linear B-Cell Epitopes in Non-Structural Protein 3 of Porcine Epidemic Diarrhea Virus Using Monoclonal Antibodies" Viruses 16, no. 3: 424. https://doi.org/10.3390/v16030424
APA StyleYe, M., Zhu, H., Yang, Z., Gao, Y., Bai, J., Jiang, P., Liu, X., & Wang, X. (2024). Identification of Three Novel Linear B-Cell Epitopes in Non-Structural Protein 3 of Porcine Epidemic Diarrhea Virus Using Monoclonal Antibodies. Viruses, 16(3), 424. https://doi.org/10.3390/v16030424

