First Incidence of Peste des Petits Ruminants Virus in Cervidae Family from State Zoo of Assam, India
Abstract
1. Introduction
2. Materials and Methods
2.1. Study Area and Outbreak Investigation
2.2. Necropsy and Histopathology
2.3. Molecular Analysis
2.3.1. RNA Extraction and cDNA Synthesis
2.3.2. Reverse Transcription Polymerase Chain Reaction (RT-PCR) and RT-Quantitative PCR (RT-qPCR)
2.3.3. Sequencing and Phylogenetic Analysis of PPRV
3. Results
3.1. Mortality in Various Species of Cervids
3.2. Clinical Manifestation of PPRV Infections in Affected Cervids
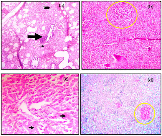
3.3. Necropsy Findings
3.4. Histopathological Findings
3.5. Molecular Analysis
4. Discussion
Supplementary Materials
Author Contributions
Funding
Institutional Review Board Statement
Informed Consent Statement
Data Availability Statement
Acknowledgments
Conflicts of Interest
References
- Munir, M. Rinderpest and Peste des Petits Ruminants: Virus Plagues of Large and Small Ruminants. Emerg. Infect. Dis. 2010, 16, 2024. [Google Scholar] [CrossRef]
- Baazizi, R.; Mahapatra, M.; Clarke, B.D.; Ait-Oudhia, K.; Khelef, D.; Parida, S. Peste des petits ruminants (PPR): A neglected tropical disease in Maghreb region of North Africa and its threat to Europe. PLoS ONE 2017, 12, e0175461. [Google Scholar] [CrossRef]
- Bora, M.; Yousuf, R.W.; Dhar, P.; Singh, R.P. An overview of process intensification and thermo stabilization for upscaling of Peste des petits ruminants vaccines in view of global control and eradication. Virus Dis. 2018, 29, 285–296. [Google Scholar] [CrossRef]
- FAO; OIE. Global Strategy for the Control and Eradication of PPR; FAO: Rome, Italy; OIE: Paris, France, 2015. [Google Scholar]
- ICTV. International Committee on Taxonomy of Viruses. 10th Report. 2021. Available online: https://ictv.global/report (accessed on 24 December 2022).
- Shaila, M.; Shamaki, D.; Forsyth, M.A.; Diallo, A.; Goatley, L.; Kitching, R.; Barrett, T. Geographic distribution and epidemiology of peste des petits ruminants viruses. Virus Res. 1996, 43, 149–153. [Google Scholar] [CrossRef] [PubMed]
- Kwiatek, O.; Minet, C.; Grillet, C.; Hurard, C.; Carlsson, E.; Karimov, B.; Albina, E.; Diallo, A.; Libeau, G. Peste des petits ruminants (PPR) outbreak in Tajikistan. J. Comp. Pathol. 2007, 136, 111–119. [Google Scholar] [CrossRef] [PubMed]
- Abubakar, M.; Mahapatra, M.; Muniraju, M.; Arshed, M.J.; Khan, E.H.; Banyard, A.C.; Ali, Q.; Parida, S. Serological detection of antibodies to peste des petits ruminants virus in large ruminants. Transbound. Emerg. Dis. 2017, 64, 513–519. [Google Scholar] [CrossRef]
- Lefevre, P.C.; Diallo, A. Peste des petits ruminants. Rev.-Off. Int. Epizoot. 1990, 9, 935–981. [Google Scholar] [CrossRef]
- Peste Des Petits Ruminants. In OIE Terresterial Manual; OIE: Paris, France, 2013; Chapter 2.7.11.
- Balamurugan, V.; Hemadri, D.; Gajendragad, M.R.; Singh, R.K.; Rahman, H. Diagnosis and control of peste des petits ruminants: A comprehensive review. Virus Dis. 2014, 25, 39–56. [Google Scholar] [CrossRef]
- Muthuchelvan, D.; Rajak, K.K.; Ramakrishnan, M.A.; Choudhary, D.; Bhadouriya, S.; Saravanan, P.; Pandey, A.B.; Singh, R.K. Peste-des-petits-ruminants: An Indian perspective. Adv. Anim. Vet. Sci. 2015, 3, 422–429. [Google Scholar] [CrossRef]
- Bora, M.; Manu, M.; Mathew, D.D. Emerging viral diseases in livestock-wildlife interfaces: Insights and current update. Indian J. Comp. Microbiol. Immunol. Infect. Dis. 2021, 42, 154–169. [Google Scholar] [CrossRef]
- Jones, B.A.; Mahapatra, M.; Mdetele, D.; Keyyu, J.; Gakuya, F.; Eblate, E.; Lekolool, I.; Limo, C.; Ndiwa, J.N.; Hongo, P.; et al. Peste des petits ruminants virus infection at the wildlife–livestock interface in the greater serengeti ecosystem, 2015–2019. Viruses 2021, 13, 838. [Google Scholar] [CrossRef] [PubMed]
- Dou, Y.; Liang, Z.; Prajapati, M.; Zhang, R.; Li, Y.; Zhang, Z. Expanding Diversity of Susceptible Hosts in Peste Des Petits Ruminants Virus Infection and Its Potential Mechanism Beyond. Front. Vet. Sci. 2020, 7, 66. [Google Scholar] [CrossRef] [PubMed]
- Culling, C. Basic staining and mounting procedures. In Handbook of Histopathological and Histochemical Techniques, 3rd ed.; Butterworths and Co.: London, UK, 1974; pp. 192–200. [Google Scholar]
- Couacy-Hymann, E.; Roger, F.; Hurard, C.; Guillou, J.; Libeau, G.; Diallo, A. Rapid and sensitive detection of peste des petits ruminants virus by a polymerase chain reaction assay. J. Virol. Methods 2002, 100, 17–25. [Google Scholar] [CrossRef] [PubMed]
- Clarke, B.; Mahapatra, M.; Friedgut, O.; Bumbarov, V.; Parida, S. Persistence of Lineage IV Peste-des-petits ruminants virus within Israel since 1993: An evolutionary perspective. PLoS ONE 2017, 12, e0177028. [Google Scholar] [CrossRef]
- Tamura, K.; Stecher, G.; Kumar, S. MEGA11: Molecular Evolutionary Genetics Analysis Version 11. Mol. Biol. Evol. 2021, 38, 3022–3027. [Google Scholar] [CrossRef]
- Saitou, N.; Nei, M. The neighbor-joining method: A new method for reconstructing phylogenetic trees. Mol. Biol. Evol. 1987, 4, 406–425. [Google Scholar] [CrossRef]
- Kimura, M. A simple method for estimating evolutionary rates of base substitutions through comparative studies of nucleotide sequences. J. Mol. Evol. 1980, 16, 111–120. [Google Scholar] [CrossRef]
- Felsenstein, J. Confidence limits on phylogenies: An approach using the bootstrap. Evolution 1985, 39, 783–791. [Google Scholar] [CrossRef]
- Njeumi, F.; Bailey, D.; Soula, J.J.; Diop, B.; Tekola, B.G. Eradicating the scourge of peste des petits ruminants from the world. Viruses 2020, 12, 313. [Google Scholar] [CrossRef]
- Hoffmann, B.; Wiesner, H.; Maltzan, J.; Mustefa, R.; Eschbaumer, M.; Arif, F.A.; Beer, M. Fatalities in wild goats in Kurdistan associated with Peste Des Petits Ruminants virus. Transbound. Emerg. Dis. 2012, 59, 173–176. [Google Scholar] [CrossRef]
- Fine, A.E.; Pruvot, M.; Benfield, C.T.O.; Caron, A.; Cattoli, G.; Chardonnet, P.; Dioli, M.; Dulu, T.; Gilbert, M.; Kock, R.; et al. Eradication of peste des petits ruminants virus and the wildlife-livestock interface. Front. Vet. Sci. 2020, 7, 50. [Google Scholar] [CrossRef] [PubMed]
- Kinne, J.; Kreutzer, R.; Kreutzer, M.; Wernery, U.; Wohlsein, P. Peste des petits ruminants in Arabian wildlife. Epidemiol. Infect. 2010, 138, 1211–1214. [Google Scholar] [CrossRef] [PubMed]
- Gluecks, I.; Younan, M.; Ndanyi, M.R.; Zaspel, D.; Samatar, Y.S.; Wohlsein, P.; Pankuweit, S.; Baumann, M.P.O.; Murithi, M.; Maloo, S.; et al. Camel Sudden Death Syndrome: Outbreak of an Unknown Camel Disease in the Horn of Africa. 2010. Available online: https://pdf.usaid.gov/pdf_docs/Pnadu778.pdf (accessed on 3 July 2024).
- Omani, R.N.; Gitao, G.C.; Gachohi, J.; Gathumbi, P.K.; Bwihangane, B.A.; Abbey, K.; Chemweno, V.J. Peste des petits ruminants (PPR) in dromedary camels and small ruminants in Mandera and Wajir Counties of Kenya. Adv. Virol. 2019, 2019, 4028720. [Google Scholar] [CrossRef]
- Bao, J.; Wang, Z.; Li, L.; Wu, X.; Sang, P.; Wu, G.; Ding, G.; Suo, L.; Liu, C.; Wang, J.; et al. Detection and genetic characterization of peste des petits ruminants virus in free-living bharals (Pseudois nayaur) in Tibet, China. Res. Vet. Sci. 2011, 90, 238–240. [Google Scholar] [CrossRef]
- Pruvot, M.; Fine, A.E.; Hollinger, C.; Strindberg, S.; Damdinjav, B.; Buuveibaatar, B.; Chimeddorj, B.; Bayandonoi, G.; Khishgee, B.; Sandag, B.; et al. Outbreak of peste des petits ruminants among critically endangered Mongolian saiga and other wild ungulates, Mongolia, 2016–2017. Emerg. Infect. Dis. 2020, 26, 51–62. [Google Scholar] [CrossRef]
- Kgotlele, T.; Macha, E.S.; Kasanga, C.J.; Kusiluka, L.J.M.; Karimuribo, E.D.; Van Doorsselaere, J.; Wensman, J.J.; Munir, M.; Misinzo, G. Partial genetic characterization of peste des petits ruminants virus from goats in northern and eastern Tanzania. Transbound. Emerg. Dis. 2014, 61, 56–62. [Google Scholar] [CrossRef]
- Abubakar, M.; Ali, Q.; Khan, H.A. Prevalence and mortality rate of peste des petitis ruminant (PPR): Possible association with abortion in goat. Trop. Anim. Health Prod. 2008, 40, 317–321. [Google Scholar] [CrossRef] [PubMed]
- Chowdhury, E.H.; Bhuiyan, A.R.; Rahman, M.M.; Alam Siddique, M.S.; Islam, M.R. Natural peste des petits ruminants virus infection in Black Bengal goats: Virological, pathological and immunohistochemical investigation. BMC Vet. Res. 2014, 10, 263. [Google Scholar] [CrossRef]
- Aruni, A.; Lalitha, P.; Mohan, A.; Chitravelu, P.; Anbumani, S. Histopathological study of a natural outbreak of peste des petits ruminants in goats of Tamilnadu. Small Rumin. Res. 1998, 28, 233–240. [Google Scholar] [CrossRef]
- Nussieba, A.O. Pathological, serological and virological findings in goats experimentally infected with Sudanese Peste des Petits Ruminants (PPR) virus isolates. J. Gen. Mol. Virol. 2009, 1, 1–6. [Google Scholar]
- Newcomer, B.W.; Cebra, C.; Chamorro, M.F.; Reppert, E.; Cebra, M.; Edmondson, M.A. Diseases of the hematologic, immunologic, and lymphatic systems (multisystem diseases). In Sheep, Goat, and Cervid Medicine; Elsevier: Amsterdam, The Netherlands, 2021; pp. 405–438. [Google Scholar]
- Parida, S.; Muniraju, M.; Mahapatra, M.; Muthuchelvan, D.; Buczkowski, H.; Banyard, A.C. Peste des petits ruminants. Vet. Microbiol. 2015, 181, 90–106. [Google Scholar] [CrossRef] [PubMed]
- Tounkara, K.; Bataille, A.; Adombi, C.M.; Maikano, I.; Djibo, G.; Settypalli, T.B.K.; Loitsch, A.; Diallo, A.; Libeau, G. First genetic characterization of Peste des Petits Ruminants from Niger: On the advancing front of the Asian virus lineage. Transbound. Emerg. Dis. 2018, 65, 1145–1151. [Google Scholar] [CrossRef]
- Nkamwesiga, J.; Korennoy, F.; Lumu, P.; Nsamba, P.; Mwiine, F.N.; Roesel, K.; Wieland, B.; Perez, A.; Kiara, H.; Muhanguzi, D. Spatio-temporal cluster analysis and transmission drivers for Peste des Petits Ruminants in Uganda. Transbound. Emerg. Dis. 2022, 69, E1642–E1658. [Google Scholar] [CrossRef]
- Peste Des Petits Ruminants. WOAH. 2020. Available online: https://www.woah.org/fileadmin/Home/eng/Animal_Health_in_the_World/docs/pdf/Disease_cards/PESTE_DES_PETITS_RUMINANTS.pdf (accessed on 5 September 2023).
- Peste Des Petits Ruminants (PPR). Technical Information Reporting Guide; National Agricultural Biosecurity Centre. Kansas State University: Manhattan, KS, USA, 2013.
- Couacy-Hymann, E.; Bodjo, C.; Danho, T.; Libeau, G.; Diallo, A. Surveillance of wildlife as a tool for monitoring rinderpest and peste des petits ruminants in West Africa. Rev. Sci. Tech.-Off. Int. Épizoot. 2005, 24, 869–877. [Google Scholar]
- Mahapatra, M.; Sayalel, K.; Muniraju, M.; Eblate, E.; Fyumagwa, R.; Shilinde, L.; Mdaki, M.; Keyyu, J.; Parida, S.; Kock, R. Spillover of peste des petits ruminants virus from domestic to wild ruminants in the Serengeti ecosystem, Tanzania. Emerg. Infect. Dis. 2015, 21, 2230–2234. [Google Scholar] [CrossRef]
- Schulz, C.; Fast, C.; Schlottau, K.; Hoffmann, B.; Beer, M. Neglected hosts of small ruminant morbillivirus. Emerg. Infect. Dis. 2018, 24, 2334–2337. [Google Scholar] [CrossRef] [PubMed]
- Roger, F.; Guebre Yesus, M.; Libeau, G.; Diallo, A.; Yigezu, L.M.; Yilma, T. Detection of antibodies of rinderpest and peste des petits ruminants viruses (Paramyxoviridae, Morbillivirus) during a new epizootic disease in Ethiopian camels (Camelus dromedarius). Rev. Méd. Vét. 2001, 152, 265–268. [Google Scholar]
- Khalafalla, A.I.; Saeed, I.K.; Ali, Y.H.; Abdurrahman, M.B.; Kwiatek, O.; Libeau, G.; Abu Obeida, A.; Abbas, Z. An outbreak of peste des petits ruminants (PPR) in camels in the Sudan. Acta Trop. 2010, 116, 161–165. [Google Scholar] [CrossRef]
- Govindarajan, R.; Koteeswaran, A.; Venugopalan, A.T.; Shyam, G.; Shaouna, S.; Shaila, M.S.; Ramachandran, S. Isolation of pestes des petits ruminants virus from an outbreak in Indian buffalo (Bubalus bubalis). Vet. Rec. 1997, 141, 573–574. [Google Scholar] [CrossRef]
- Rajneesh, K.A.; Tanwar, R.K. Prevalence of some infectious diseases in dromedary camel from Bikaner region in Rajasthan. Vet Pract. 2011, 12, 50–53. [Google Scholar]
- Balamurugan, V.; Sen, A.; Venkatesan, G.; Bhanot, V.; Yadav, V.; Bhanuprakash, V.; Singh, R.K. Peste des petits ruminants virus detected in tissues from an Asiatic lion (Panthera leo persica) belongs to Asian lineage IV. J. Vet. Sci. 2012, 13, 203–206. [Google Scholar] [CrossRef] [PubMed]
- Balamurugan, V.; Krishnamoorthy, P.; Raju, D.S.N.; Rajak, K.K.; Bhanuprakash, V.; Pandey, A.B.; Gajendragad, M.R.; Prabhudas, K.; Rahman, H. Prevalence of Peste-des-petits-ruminant virus antibodies in cattle, buffaloes, sheep and goats in India. Virus Dis. 2014, 25, 85–90. [Google Scholar] [CrossRef] [PubMed]
- Jaisree, S.; Aravindhbabu, R.P.; Roy, P.; Jayathangaraj, M.G. Fatal peste des petits ruminants disease in Chowsingha. Transbound. Emerg. Dis. 2018, 65, e198–e201. [Google Scholar] [CrossRef] [PubMed]





| Duration of Outbreak | Species | Scientific Name | Habitat | Total Population | Mortality | |||
|---|---|---|---|---|---|---|---|---|
| Sub-Adult | Adult | Total | Percent (%) | |||||
| February 2021 | Barking deer | Muntiacus muntjak | Free-ranging | 48 | 1 | 2 | 3 | 6.25 |
| March 2021 | Four-horned Antelope | Tetracerus quadricornis | Captive | 19 | 3 | 13 | 16 | 84.21 |
| March 2021 | Hog Deer | Axis porcinus | Captive | 21 | - | 2 | 2 | 9.52 |
| March 2021 | Thamin | Rucervus eldii | Captive | 57 | - | 4 | 4 | 7.01 |
| March 2021 | Mouse deer | Moschiola indica | Captive | 23 | - | 5 | 5 | 21.73 |
Disclaimer/Publisher’s Note: The statements, opinions and data contained in all publications are solely those of the individual author(s) and contributor(s) and not of MDPI and/or the editor(s). MDPI and/or the editor(s) disclaim responsibility for any injury to people or property resulting from any ideas, methods, instructions or products referred to in the content. |
© 2024 by the authors. Licensee MDPI, Basel, Switzerland. This article is an open access article distributed under the terms and conditions of the Creative Commons Attribution (CC BY) license (https://creativecommons.org/licenses/by/4.0/).
Share and Cite
Barman, N.N.; Bharali, A.; Bora, D.P.; Dutta, B.; Bora, M.; Gogoi, S.M.; Sharma, P.; Sarma, S.; Kakati, P.; Mariswamy, T.; et al. First Incidence of Peste des Petits Ruminants Virus in Cervidae Family from State Zoo of Assam, India. Viruses 2024, 16, 1829. https://doi.org/10.3390/v16121829
Barman NN, Bharali A, Bora DP, Dutta B, Bora M, Gogoi SM, Sharma P, Sarma S, Kakati P, Mariswamy T, et al. First Incidence of Peste des Petits Ruminants Virus in Cervidae Family from State Zoo of Assam, India. Viruses. 2024; 16(12):1829. https://doi.org/10.3390/v16121829
Chicago/Turabian StyleBarman, Nagendra Nath, Arpita Bharali, Durlav Prasad Bora, Biswajit Dutta, Mousumi Bora, Sophia M. Gogoi, Panchami Sharma, Sankar Sarma, Parikshit Kakati, Tejas Mariswamy, and et al. 2024. "First Incidence of Peste des Petits Ruminants Virus in Cervidae Family from State Zoo of Assam, India" Viruses 16, no. 12: 1829. https://doi.org/10.3390/v16121829
APA StyleBarman, N. N., Bharali, A., Bora, D. P., Dutta, B., Bora, M., Gogoi, S. M., Sharma, P., Sarma, S., Kakati, P., Mariswamy, T., Choudhury, A., & Buragohain, L. (2024). First Incidence of Peste des Petits Ruminants Virus in Cervidae Family from State Zoo of Assam, India. Viruses, 16(12), 1829. https://doi.org/10.3390/v16121829

